CT Radiomics in Colorectal Cancer: Detection of KRAS Mutation Using Texture Analysis and Machine Learning
Abstract
Featured Application
Abstract
1. Introduction
2. Objectives
3. Materials and Methods
3.1. Patients Selection and Annotation of Regions of Interest (ROIs)
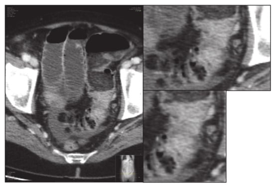
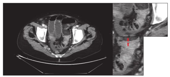
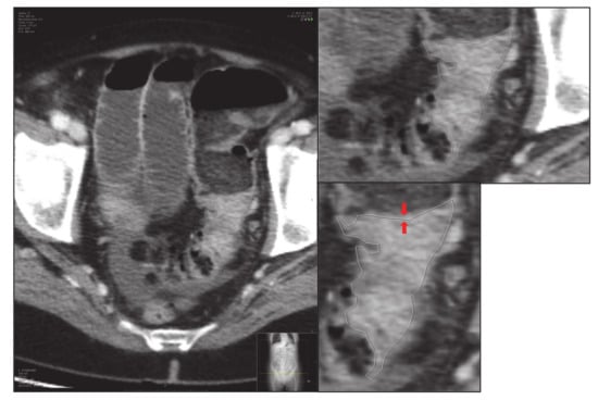
- First, an image of tumour is saved without limitation in original size as “large-original.tiff” (i.e., Figure 1). The sequence of obtaining the images is very important to speed up the process and ensure that the images have the same focus when they are enlarged. An expert radiologist searches the cut with the largest diameter of the tumour. All images must be saved in “.tiff” format, as we will explain later.
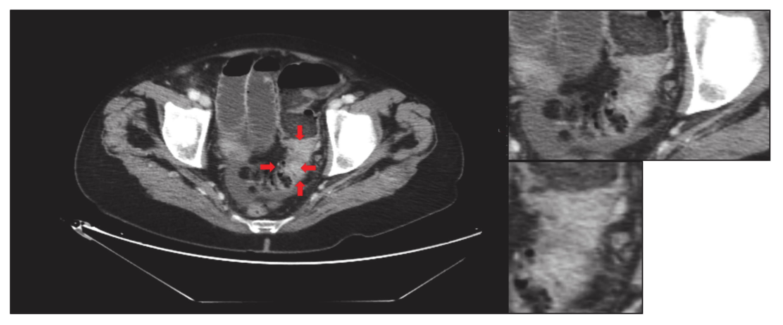
- Secondly, an expert radiologist delimits the tumour, and an image of the delimited tumour is saved in its original size: “large-delimited.tiff” (i.e., Figure 2). The delimitation process is carried out manually by an expert, since due to the morphological heterogeneity of the tumour it is impossible to make an automatic delimitation.
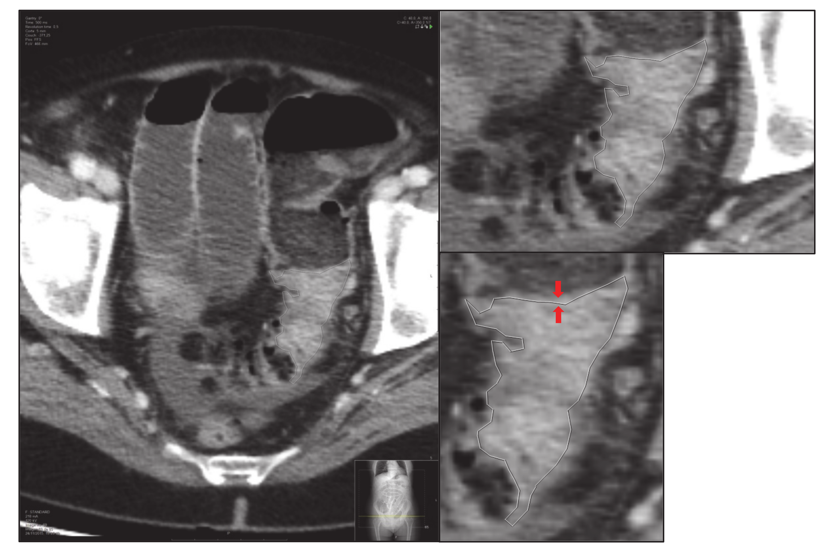
- Third, the screen zoom is adjusted by enlarging the image and an image of the segmented and enlarged tumour is saved: “small-delimited.tiff” (i.e., Figure 3).
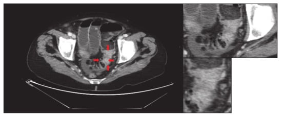
- Finally, without modifying the zoom, the previous delimitation is eliminated, and one image of the tumour is saved without delimiting and enlarged: “small-original.tiff” (i.e., Figure 4).
3.2. Extraction of Texture Features
3.3. Machine Learning Models
- Support Vector Machine (SVM), a state-of-the-art classifier that simultaneously minimizes the training error and the classification margin of a hyperplane (related to the ability of generalization) on a hidden space projected from the input space using a non-linear kernel. We used the LibSVM library (https://www.csie.ntu.edu.tw/~cjlin/libsvm) under the Octave interface. The hyper-parameters of the SVM are the inverse spread γ of the Radial Basis Function kernel, tuned with values 2−10, 2−8, 2−6,..., 210, and the regularization parameter C, tuned with values 2−5, 2−3, 2−1,..., 210.
- Gradient Boosting Machine (GBM) is an ensemble of classification trees trained using the functional gradient descent variant of the Boosting algorithm. We used the gbm package of the R statistical computing language (http://www.r-project.org), tuning the maximum depth of each tree (from 1 to 10) and the number of trees in the ensemble (from 50 to 500). The specific values of each parameter are generated using the utilities of the caret R package, being in general different for each combination of features.
- Multi-Layer Perceptron Neural Network (NNET) is the classical neural network, trained using the Back-Propagation algorithm implemented by the nnet package in R. The hyper-parameters, defined by the caret package, are the number of hidden neurons (tuned with values from 1 to 19) and the weight decay (10 values from 0.1 to 0.001).
- Random Forest (RF) is a bagging ensemble of random classification trees which is also considered a state-of-the-art classifier. Each node in the tree splits one input in two intervals, and each tree learns a different view of the classification problem. A datum is classified using a voting among all the trees in the forest. We used an RF of 500 trees, implemented by the randomForest R package, tuning the hyper-parameter mtry (number of variables that are randomly sampled as candidates in each split), with values between 2 and the number of inputs.
- Linear Discriminant Analysis (LDA), is a classical approach that performs a linear classification oriented to simultaneously maximize the inter-class variance and minimize the within-class variance. This linear mapping is defined by the eigenvectors associated to the largest eigenvalues of the inter-class and within-class covariance matrices. Usually, LDA is used for dimensionality reduction prior to classification with more powerful classifiers. We included it in our study to provide a baseline performance for the remaining classifiers. We used the lda function in the MASS R package.
3.4. Performance Measures
4. Results and Discussion
4.1. Experimental Setup
4.2. Results
4.3. Discussion
Author Contributions
Funding
Acknowledgments
Conflicts of Interest
References
- Observatorio del Cáncer de la AECC. Incidencia y Mortalidad de Cáncer Colorrectal en España en la Población Entre 50 y 69 Años; AECC: Madrid, Spain, 2018; Available online: https://www.aecc.es/es (accessed on 1 July 2019).
- World Health Organization. Lyon: International Agency for Research on Cancer. Available online: http://gco.iarc.fr (accessed on 28 June 2019).
- American Cancer Society. Sitio Web de la American Cáncer Society Atlanta: Equipo de Redactores y Editores de la American Cancer Society. Available online: https://www.cancer.org/es/cancer/cancer-decolon-o-recto/tratamiento/terapia-dirigida.html (accessed on 15 February 2018).
- Sociedad Española de Oncología Médica. Madrid: Fundación SEOM 2019. Available online: https://seom.org (accessed on 28 June 2020).
- Feldman, M.; Friedman, L.; Brandt, L.J.; Sleissenger, M. Enfermedades Gastrointestinales y Hepáticas, 7th ed.; Luna, G.J., Ed.; Editorial Medica Panamericana: Madrid, Spain, 2004. [Google Scholar]
- Vergara, E.; Alvis, N.; Suárez, A. ¿Existen ventajas clínicas al evaluar el estado de los genes KRAS, NRAS, BRAFF, PIK3CA, PTEN y HER2 en pacientes con cáncer colorrectal? Rev. Colomb. Cir. 2017, 32, 45–55. [Google Scholar] [CrossRef]
- Rafiyath, S.; Braden, C.D.; Espat, N.J.; Rose, L.J. Colon Cancer Staging. Available online: https://emedicine.medscape.com/article/2006674-overview (accessed on 28 June 2019).
- Ochoa-Carrillo, F.J.; de la Astudillo, V.H.; Alvarado-Cabrero, I.; Ruiz-García, E.; Torrecillas-Torres, L.; Ruiz-García, A. Cáncer colorrectal metastásico, hacia un tratamiento personalizado. Gac. Mex. Onc. 2014, 13, 39–46. [Google Scholar]
- Valtorta, E.; Misale, S.; Sartore-Bianche, A.; Nagtegaal, I.D.; Paraf, F.; Lauricella, C.; Dimartino, V.; Hobor, S.; Jacobs, B.; Ercolani, C.; et al. KRAS gene amplification in colorectal cancer and impact on response to EGFR-targeted therapy. Int. J. Cancer 2013, 133, 1259–1265. [Google Scholar] [CrossRef]
- Gillies, R.J.; Kinahan, P.E.; Hricak, H. Radiomics: Images are more than pictures, they are data. Radiology 2016, 278, 563–577. [Google Scholar] [CrossRef]
- Aerts, H.; Van Griethuysen, J.; Hosny, A.; Fedonov, A.; Aucoin, N.; Fillion-Robin, J.C.; Pieper, S. Radiomics; Harvard Medical School: Harvard, UK, 2017; Available online: https://www.radiomics.io/index.html (accessed on 28 June 2019).
- Wibmer, A.; Hricak, H.; Gondo, T.; Matsumoto, K.; Veeraraghavan, H.; Fehr, D.; Zheng, J.; Goldman, D.; Moskowitz, C.; Fine, S.; et al. Haralick texture analysis of prostate MRI: Utility for differentiating non-cancerous prostate from prostate cancer and differentiating prostate cancers with different Gleason scores. Eur. Radiol. 2015, 25, 2840–2850. [Google Scholar] [CrossRef]
- Ortiz-Ramón, R.; Hernández, M.C.V.; González-Castro, V.; Makin, A.; Armitage, P.; Aribisala, B.; Bastin, M.; Deary, I.; Wardlaw, J.; Moratal, D. Identification of the presence of ischaemic stroke lesions by means of texture analysis on brain magnetic resonance images. Comput. Med. Imaging Graph. 2019, 74, 12–24. [Google Scholar] [CrossRef]
- Yip, S.S.; Kim, J.; Coroller, T.P.; Parmar, C.; Velazquez, E.R.; Huynh, E.; Mak, R.H.; Aerts, H.J. Associations between somatic mutations and metabolic imaging phenotypes in nonsmall cell lung cancer. J. Nuc. Med. 2017, 58, 569–576. [Google Scholar] [CrossRef]
- Huang, Y.; He, L.; Dong, D.; Yang, C.; Liang, C.; Chen, X.; Ma, Z.; Huang, X.; Yao, S.; Changhong, L.; et al. Individualized prediction of perineural invasion in colorectal cancer: Development and validation of radiomics prediction model. Chin. J. Cancer Res. 2018, 30, 40–50. [Google Scholar] [CrossRef] [PubMed]
- Bodalal, Z.; Trebeschi, S.; Nguyen-Kim, T.D.L.; Schats, W.; Beets-Tan, R. Radiogenomics: Bridging imaging and genomics. Abdom. Radiol. 2019, 44, 1960–1984. [Google Scholar] [CrossRef]
- Rahmim, A.; Bak-Fredslund, K.; Ashrafinia, S.; Lu, L.; Schmidtlein, C.R.; Subramaniam, M.; Morsing, A.; Keiding, S.; Horsager, J.; Munk, O.L. Pronostic modeling for patients with colorectal liver metastases incorporating FDG PET rediomic features. Eur. J. Radiol. 2019, 113, 101–109. [Google Scholar] [CrossRef] [PubMed]
- García-Figueras, R.; Baleato, G.S.; Padhani, A.R.; Luna-Alcalá, A.; Marhuenda, A.; Vilanova, J.C.; Osorio-Vázquez, I.; Martínez-de-Alegría, A.; Gómez-Caamaño, A. Avanced imaging techniques in evaluation of colorectal cancer. Radiographics 2018, 38, 740–765. [Google Scholar] [CrossRef] [PubMed]
- Hernández, M.C.V.; González-Castro, V.; Chappell, F.; Sakka, E.; Makin, S.; Armitage, P.; Nailon, W.; Wardlaw, J. Application of texture analysis to study small vessel disease and blood–brain barrier integrity. Front. Neurol. 2017, 8, 327. [Google Scholar] [CrossRef]
- Cernadas, E.; Fernández-Delgado, M.; González-Rufino, E.; Carrión, P. Influence of normalization and color space to color texture classification. Pattern Recognit. 2017, 61, 120–138. [Google Scholar] [CrossRef]
- González-Rufino, E.; Carrión, P.; Cernadas, E.; Fernández-Delgado, M.; Domínguez-Petit, R. Exhaustive comparison of colour texture features and classification methods to discriminate cells categories in histological images of fish ovary. Pattern Recognit. 2013, 46, 2391–2407. [Google Scholar] [CrossRef]
- Ojala, T.; Piatikäinen, M.; Mäenpää, T. Multiresolution grey-scale and rotation invariant texture classification with local binary pattern. IEEE Trans. Pattern Anal. Mach. Intell. 2002, 24, 971–987. [Google Scholar] [CrossRef]
- Haralick, R.M.; Shanmugam, K.; Dinstein, I. Textural features for image classification. IEEE Trans. Syst. Man. Cybern. 1973, 3, 610–621. [Google Scholar] [CrossRef]
- Alegre, E.; González-Castro, V.; Alaiz-Rodríguez, R.; García-Ordás, M.T. Texture and moments-based classification of the acrosome integrity of boar spermatozoa images. Comput. Meth. Prog. Bio. 2012, 108, 873–881. [Google Scholar]
- Fernández-Delgado, M.; Cernadas, E.; Barro, S.; Amorim, D. Do we need hundreds of classifiers to solve real world classification problems? J. Mach. Learn. Res. 2014, 15, 3133–3181. [Google Scholar]
- McHugh, M.L. Interrater reliabitiy: The kappa statistic. Biochem. Medica. 2012, 22, 276–282. [Google Scholar] [CrossRef]
- Yang, L.; Dong, D.; Fang, M.; Zhu, Y.; Zang, Y.; Liu, Z.; Zhang, H.; Ying, J.; Zhao, X.; Tian, J. Can CT-based radiomics signature predict KRAS/NRAS/BRAF mutations in colorectal cancer? Eur. Radiol. 2018, 28, 2058–2067. [Google Scholar] [CrossRef]
- He, K.; Liu, X.; Li, M.; Li, X.; Yang, H.; Zhang, H. Noninvasive KRAS mutation estimation in colorectal cancer using a deep learning method based on CT imaging. BMC Med. Imaging 2020, 20, 59. [Google Scholar] [CrossRef]
- Rubin, M.; Stein, O.; Turko, N.; Nygate, Y.; Roitshtain, D.; Karako, L.; Barnea, I.; Giryes, R.; Shaked, N. TOP-GAN: Stain-free cancer cell classification using deep learning with a small training set. Med. Image Anal. 2019, 57, 176–185. [Google Scholar] [CrossRef] [PubMed]
- Digumarthy, S.R.; Padole, A.M.; Rastogi, S.; Price, M.; Mooradian, J.; Sequist, L.V.; Kaldra, M.K. Predicting malignant potential of subsolid nodules: Can radiomics preempt longitudinal follow up CT? Cancer Imaging 2019, 19, 36. [Google Scholar] [CrossRef] [PubMed]
- Oh, J.E.; Kim, M.J.; Lee, J.; Hur, B.Y.; Kim, B.; Kim, D.Y.; Baek, J.Y.; Chang, H.J.; Park, S.C.; Oh, J.H.; et al. Magnetic resonance-based texture analysis differentiating KRAS mutation status in rectal cancer. Cancer Res. Treat. 2020, 52, 51–59. [Google Scholar] [CrossRef]
- Cui, Y.; Liu, H.; Ren, J.; Du, X.; Xin, L.; Li, D.; Yang, X.; Wang, D. Development and validation of a MRI-based radiomics signature for prediction of KRAS mutation in rectal cancer. Eur. Radiol. 2020, 30, 1948–1958. [Google Scholar] [CrossRef]
- Meng, X.; Xia, W.; Xie, P.; Zhang, R.; Li, W.; Wang, M.; Xiong, F.; Liu, Y.; Fan, X.; Xie, Y.; et al. Preoperative radiomic signature based on multiparametric magnetic resonance imaging for noninvasive evaluation of biological characteristics in rectal cancer. Eur. Radiol. 2019, 29, 3200–3209. [Google Scholar] [CrossRef]
- Zhou, Y.; He, L.; Huang, Y.; Chen, S.; Wu, P.; Ye, W.; Liu, Z.; Liang, C. CT-based radiomics signature: A potential biomarker for preoperative prediction of early recurrence in hepatocellular carcinoma. Abdom. Radiol. 2017, 42, 1695–1704. [Google Scholar] [CrossRef] [PubMed]
- Bianconi, F.; Palumbo, I.; Spanu, A.; Nuvoli, S.; Fravolini, M.L.; Palumbo, B. PET/CT radiomics in lung cancer: An overview. Appl. Sci. 2020, 10, 1718. [Google Scholar] [CrossRef]
- Zwanenburg, A.; Vallières, M.; Abdalah, M.A.; Aerts, H.J.W.L.; Andrearczyk, V.; Apte, A.; Echegaray, S. The image biomarker standardization initiative: Standardized quantitative radiomics for high-throughput image-based phenotyping. Radiology 2020, 295, 328–338. [Google Scholar] [CrossRef]




| Predicted Class | |||
| KRAS+ | KRAS- | ||
| True class | KRAS+ | TP | FP |
| KRAS- | FN | TN | |
| Texture Features | LDA | GBM | NNET | RF | SVM |
|---|---|---|---|---|---|
| Hfdf | 3.0 | 17.8 | 17.4 | 13.0 | 13.8 |
| LPBRi | 25.5 | 6.8 | 34.3 | 10.4 | |
| DWTsfm | 3.9 | 6.8 | 34.3 | 11.8 | 26.5 |
| WCFdm | 50.0 | 11.8 | 64.7 | 30.3 | 59.9 |
| WDCFfm | 21.7 | 18.5 | 28.5 | 32.5 | 33.4 |
| Texture Features | Configuration | Classifier | Kappa (%) |
|---|---|---|---|
| Hfdf | , | GBM | 17.8 |
| LPBRi | RF | 34.3 | |
| DWTsfm | , , | NNET | 34.3 |
| WCFdm | , | NNET | 64.7 |
| WDCFfm | , | SVM | 33.4 |
| Predicted Class | |||
| KRAS+ | KRAS- | ||
| True class | KRAS+ | 24 (51.1%) | 5 (10.6%) |
| KRAS- | 3 (6.4%) | 15 (31.9%) | |
© 2020 by the authors. Licensee MDPI, Basel, Switzerland. This article is an open access article distributed under the terms and conditions of the Creative Commons Attribution (CC BY) license (http://creativecommons.org/licenses/by/4.0/).
Share and Cite
González-Castro, V.; Cernadas, E.; Huelga, E.; Fernández-Delgado, M.; Porto, J.; Antunez, J.R.; Souto-Bayarri, M. CT Radiomics in Colorectal Cancer: Detection of KRAS Mutation Using Texture Analysis and Machine Learning. Appl. Sci. 2020, 10, 6214. https://doi.org/10.3390/app10186214
González-Castro V, Cernadas E, Huelga E, Fernández-Delgado M, Porto J, Antunez JR, Souto-Bayarri M. CT Radiomics in Colorectal Cancer: Detection of KRAS Mutation Using Texture Analysis and Machine Learning. Applied Sciences. 2020; 10(18):6214. https://doi.org/10.3390/app10186214
Chicago/Turabian StyleGonzález-Castro, Víctor, Eva Cernadas, Emilio Huelga, Manuel Fernández-Delgado, Jacobo Porto, José Ramón Antunez, and Miguel Souto-Bayarri. 2020. "CT Radiomics in Colorectal Cancer: Detection of KRAS Mutation Using Texture Analysis and Machine Learning" Applied Sciences 10, no. 18: 6214. https://doi.org/10.3390/app10186214
APA StyleGonzález-Castro, V., Cernadas, E., Huelga, E., Fernández-Delgado, M., Porto, J., Antunez, J. R., & Souto-Bayarri, M. (2020). CT Radiomics in Colorectal Cancer: Detection of KRAS Mutation Using Texture Analysis and Machine Learning. Applied Sciences, 10(18), 6214. https://doi.org/10.3390/app10186214

