Next Article in Journal
Emerging Trends in Research on Food Compounds and Women’s Fertility: A Systematic Review
Next Article in Special Issue
4-Hexylresorcinol Administration Increases Dental Hard Tissue Formation and Incisor Eruption Rate in Rats
Previous Article in Journal
Carbon Nanotubes under Scrutiny: Their Toxicity and Utility in Mesothelioma Research
Previous Article in Special Issue
Effect of Ultraviolet Irradiation on Osseointegration of Dental Implants: A Comparative Histomorphometric Study in Canine Models
 
 
Font Type:
Arial Georgia Verdana
Font Size:
Aa Aa Aa
Line Spacing:
Column Width:
Background:
Article

Three-Dimensional Evaluation of Slow Maxillary Expansion with Leaf Expander vs. Rapid Maxillary Expansion in a Sample of Growing Patients: Direct Effects on Maxillary Arch and Spontaneous Mandibular Response

by
Gianguido Cossellu
1,2,
Alessandro Ugolini
3,
Matteo Beretta
4,
Marco Farronato
1,2,
Alessandro Gianolio
5,
Cinzia Maspero
1,2 and
Valentina Lanteri
1,2,*
1
Fondazione IRCCS Ca’ Granda, Ospedale Maggiore Policlinico, 20100 Milan, Italy
2
Department of Biomedical, Surgical and Dental Sciences, University of Milan, 20100 Milan, Italy
3
Department of Sciences Integrated Surgical and Diagnostic, University of Genova, 16100 Genova, Italy
4
Private Practice, 15033 Casale Monferrato (AL), Italy
5
Private Practice, 12042 Bra (CN), Italy
*
Author to whom correspondence should be addressed.
Appl. Sci. 2020, 10(13), 4512; https://doi.org/10.3390/app10134512
Submission received: 9 April 2020 / Revised: 12 May 2020 / Accepted: 23 June 2020 / Published: 29 June 2020

Abstract

The aim is to evaluate the effects of slow maxillary expansion on maxillary and mandibular arch, using a slow maxillary expander (SME-Leaf Expander) banded on primary second molar. Ninety patients with transverse maxillary deficiency and posterior crossbite were selected. Sixty-nine patients (33 males/36 females; 7.6 ± 1.7 years old) who underwent SME and 21 patients (10 males/11 females; 7.4 ± 1.2 years old) who were treated with rapid maxillary expander (RME). Digital models obtained pre- and post-treatment at appliance removal (9 to 11 months) were processed by means of a 3D scanner (Trios 3, 3Shape D250 laser, Copenhagen, Denmark). Interdental width in both maxilla and mandible were measured with 3 SHAPE Ortho Analyzer. Four Maxillary and four mandibular interdental width were traced and evaluated. The adequate Student’s t-test (dependent or independent) was used to compare intra and intergroups interdental width differences (p < 0.05). The efficacy of the SME was confirmed both on maxillary and mandibular arch. All the maxillary and mandibular interdental widths increased significantly (p < 0.001). The comparison with the RME group showed significant statistical differences between the two treatments with a greater increase in primary first and second intermolar and canine width for the test group (p < 0.001). SME with Leaf Expander produced statistically significant effects for the correction of transverse maxillary deficiencies with a significant indirect effect on the mandibular arch.

1. Introduction

Maxillary transverse hypoplasia is commonly associated with uni- or bilateral posterior crossbite with an incidence ranging from 4% to 20% and, depending on the geographical area, even 50% of the population examined [1,2,3,4,5]. Posterior crossbite can result in many different growth alterations, with asymmetrical condylar positioning, temporomandibular dysfunction and even more severe skeletal and myofunctional alterations [6,7,8].
The maxillary deficit does not self-correct during the growth, thus, slow maxillary expansion (SME) or rapid maxillary expansion (RME) could be performed with the intent to correct it. As reported by several authors, widening the maxilla with maxillary expansion often leads to spontaneous forward posturing and to spontaneous expansion of the mandible [9,10,11,12]. This is because the palatal expansion acts on the balance of forces between the tongue and cheek on lower arch. The action of the tongue on the mandibular teeth might promote the growth of the mandibular dental arch width [12,13].
Spontaneous enlargement in the mandibular dentition under the influence of RME or SME have been reported previously [14,15,16,17,18].
The Leaf Expander has been proposed previously in 2016 by Lanteri et al. [19] and is now available with two different measurements of the screw (6 or 9 mm) and with two different types of forces generated by the nickel titanium leaf spring (450 or 900 g). Recently the efficacy of this new expander has been reported by the same authors in pilot studies based on digital models and postero-anterior cephalometric study. However, the sample of patients treated was limited to only 10 subjects [20,21].
Few data based on 3D noninvasive analysis are available considering the indirect effects of SME on mandibular arch and all of those have been done with a removable expansion plate or a Quad Helyx [22,23,24,25].
The aim of this retrospective study is to quantitatively evaluate the maxillary and mandibular changes after the SME treatment with the Leaf Expander in patients with maxillary arch constriction compared with a group of subjects treated with RME. The null hypothesis is that the Leaf Expander will show less increase in the amount of expansion compared with the RME group.

2. Materials and Methods

Ninety Caucasian patients, 43 males and 47 females (mean age 7.5 ± 1.5 years), presenting with maxillary transverse deficiency and posterior crossbite, were selected from those treated at the Department of Biomedical Surgical and Dental Sciences, University of Milan from June 2018 until December 2019. The study was approved by the Ethic Committee, Fondazione IRCCS Ospedale Maggiore-Policlinico, Milan (Prot. n°573).
Inclusion criteria were: early or midmixed dentition with upper primary second molars (E) preserved, cervical vertebral stage 1 through 3 (CVS methods 1–3) [26], Angle Class I or Class II malocclusion, no previous orthodontic treatments, transverse maxillary hypoplasia, digital records obtained before activation and at appliance removal. Exclusion criteria were: presence of craniofacial deformities, tooth extraction or surgical treatment, temporomandibular disorders, absence or caries of E.
Sixty-nine patients (33 males/36 females), mean age 7.6 ± 1.7 years old, treated with SME (Leaf Expander) were selected according to the inclusion criteria. The appliances were banded by a unique operator on the E. The expanders presented a 6 mm screw (450 g) with an anterior arm till canines; no other orthodontic treatment was applied before the removal of the appliance. The expander was activated as described previously by Lanteri et al. [19] (Figure 1 and Table 1).
The RME control group consisted of 21 subjects (10 males/11 females); mean age 7.4 ± 1.2 years old (Table 1). These appliances were banded by a unique operator on the primary second molars. The expander (Haas type) presented an anterior arm till canines and a posterior till the first permanent molars (Figure 2). Screw activation was done three times per day for ten days (0.2 mm × 3 × 10).
The expansion, in both groups, was considered clinically obtained when the intercuspation of the lingual cusp of the first permanent upper molar laid on the occlusal aspect of the vestibular cusp of the lower first permanent molar.
Dental casts were done pretreatment and at appliance removal with a mean comprehensive treatment duration (active phase and retention) of 9 to 11 months and were processed by means of an intraoral scanner (Trios 3, 3Shape D250 laser, 3 Shape, Copenhagen, Denmark). The sample comprised 180 cast models (90 of the maxillary and 90 of the mandibular arch).
Digital landmarks were traced by means of 3Shape Ortho Analyzer software (version 1.7).
Each patient was randomly identified with a number and eight linear variables were considered, traced and analyzed by a single blinded examiner.
Permanent intermolar, primary canine, and first and second intermolar width were measured for all subjects. The reference points were set for the molars at the mesio-palatal/lingual cusps and the intercanine width was traced between the two canine cusps tips (Figure 3, Figure 4, Figure 5 and Figure 6). When either the deciduous or the permanent teeth were missing or not fully erupted, the measurements for that variable were not traced.

2.1. Evaluation of Reliability

All measurements were traced by one expert operator that was blinded to the treatment. Measurements were repeated on 20 randomly selected dental casts by the same operator and a different one—even he was blinded to the group allocation—to assess intra- and interoperator variability. Intraclass correlation coefficients (ICC) were calculated to compare within-subject variability to between-subject variability.

2.2. Statistical Analysis

The software MedCalc (v. 18.10.2) was used for the statistical analysis.
Descriptive statistics were expressed as mean value and standard deviation. The adequate Student’s t-test (dependent or independent) was used to compare intra and intergroups interdental width differences. Ninety-five percent confidence interval was also calculated (Table 1).
All the interdental widths expressed in millimeters were compared and evaluated. The Shapiro–Wilk test for normality showed that data were normally distributed. A p value < 0.05 was set as statistically significant.

3. Results

Posterior crossbite was clinically corrected in all the subjects with an improvement of the transversal maxillary dimension. The ICC values for the intra- and interobserver agreement were always larger than 0.88. The mean error was less than 0.3 mm. The method error was considered negligible.
Descriptive statistics and statistical results of maxillary and mandibular measurements at T0 and T1 in the test and control group are shown in Table 2, Table 3, Table 4 and Table 5.
Statistically significant differences were found in all of the intragroup comparisons of the test group (p < 0.05).
SME—test group: all the interdental widths of the maxilla (Table 2) increased significantly: first permanent molars +2.51 mm (SD 1.58 mm), second primary molar +5.06 mm (SD 0.98 mm), first primary molar +5.41 mm (SD 1.81 mm), primary canine +5.22 mm (SD 1.91 mm). As shown in Table 3, even the mandibular interdental width of the test group increased significantly: intermolar width increased by 1.24 mm (SD 1.09 mm), first primary intermolar 1.63 mm (SD 1.57 mm), second primary intermolar by 0.93 mm (SD 1.08 mm), intercanine width 1.03 mm (SD 1.25 mm).
RME—control group: all the interdental widths increased significantly in both arches and are shown in Table 4 and Table 5.
Treatment comparison between the control and the test group (Table 6 and Table 7) showed statistically significant differences indicating a greater increase in patients treated with the Leaf Expander in the upper first and second primary intermolar (p < 0.001) and primary canine width (p < 0.001). The control group presented a greater expansion only in the first permanent molar (p < 0.05). The other interdental width showed no significant statistical differences.

4. Discussion

This study aimed to confirm the efficacy of a new Slow Maxillary Expander—The Leaf Expander—in a large sample of growing patients and to compare the results obtained with those of patients treated with a RME.
The first main clinical effect achieved is that the maxillary crossbite was corrected in all the patients. We obtained also significant statistical results for the lower dental measurements.
Recently in a study by Di Ventura et al. [14], it was observed that there are no differences when comparing mono or bilateral crossbites; thus, we considered as a unique group all the patients presenting mono or bilateral crossbites.
Few studies have been reported about SME effects both on the maxillary and the mandibular arches [18,19,20,21]. In 2018, Bukhari et al. [27] evaluated transversal interdental increase in a group of 30 patients treated with a banded Haas-Type appliance activated one quarter-turn every two days. The mean intercanine width increased 4.65 mm with values comparable with those reported also by Wong et al. [27,28].
These results were greater than those reported for other patients in mixed dentition treated with SME and RME such as Hyrax appliance, expansion plates, or quad helix [23,25,29]. However, our values are even higher than those with an increase in the intercanine width of more than 5 mm in accordance with the preliminary results published on the Leaf Expander appliance [20].
Bucci et al. published a review in 2016 reporting the dental effects of different slow maxillary expansion appliances. From these data, it has been confirmed with moderate evidence the efficacy of the Quad Helix for the increase of the maxillary intermolar and intercanine width [22,30,31].
From these reviews it has been reported that there is not a significative difference comparing dentoalveolar transversal effects of the SME with the RME. Contrariwise in our study we have noticed significant differences comparing the test group with the RME. The Leaf Expander produced a significative greater expansion for maxillary intercanine and primary intermolar width. However, the interdental change for the first permanent molars was greater in the RME group. This might be explained also considering that the RME was banded with a posterior arm that is not placed on the Leaf Expander. Despite this, all the interdental widths in the test group were significantly improved when comparing the pre and post-treatment values.
Minimal data has been already published about the SME effects on the mandibular arch: an increase of 0.49 mm was previously found on the lower molars and considered as clinically not relevant, thus indicating a lesser spontaneous adaptation of the lower dentition [22,30].
Indeed, in the test group we observed a significant increment of all the interdental width that was higher than those previously reported for the SME and comparable with those of the RME.
Moreover, unlike previous studies, deciduous teeth such as primary molars were included in our study. Almost all the lower interdental width in the test group increased more than 1 mm (except for the lower first primary molar +0.93 mm). Mandibular intermolar width (1.19 mm) and intercanine (0.9 mm) inter second primary molar (0.7 mm) were found to be increased in the patients treated with Hyrax or Haas expander in previous studies [28]. The results of the control group were in accordance with this data confirming a spontaneous response of the lower arch after RME.
The interdental width increment in the lower arch should be considered as the result gained from the increase of tongue pressure and the reduction of lip pressure and new occlusal intercuspation [32].
Moreover, the tongue lowers its position due to the presence of the expander (the Leaf Expander has the same structure as the RME of the control group) influencing and promoting the enlargement in the position of the lower teeth. Another important consideration is that the new intercuspation during the action of chewing might also promote expansive forces in the mandibular dental arch.
Patients were selected in order to be far from their puberty growth peek and the measurements have been taken after a short period (not more than 11 months) from baseline in order to be able to consider the expansion obtained as the direct consequence of the treatments with no or insignificant influence of the spontaneous physiological growth.
Posterior crossbite correction and stability of the expansion by other SME such as the Quad-Helyx has shown more than 90% of stability during the retention phase confirming the long-term effectiveness of SME [31,33].
The main limitation of the study is the lack of a long-term follow-up and the retrospective design of the study. Randomized controlled clinical trials are needed to confirm our results.

5. Conclusions

Therapy with Leaf Expander anchored on primary molars is an effective treatment option to correct maxillary transverse deficiencies and crossbites.
Within the limitations of this study, the mandibular and maxillary interdental arch widths increased significantly in both groups. A significant greater improvement resulted considering the primary canine and molars interdental width in the SME compared with those of the RME group.
These results demonstrated also a statistically significant mandibular spontaneous response with RME and SME whose clinical influence should be better studied.

Author Contributions

Conceptualization, V.L. and G.C.; methodology, V.L. and G.C.; software, M.B. and A.G.; validation, V.L. and M.B.; formal analysis, G.C. and A.U. and M.B.; investigation, V.L and M.B. and A.G.; resources, V.L. and A.U.; data curation, G.C. and M.B.; writing—original draft preparation, G.C.; writing—review and editing, M.B., V.L. and A.U.; supervision, V.L.; project administration, V.L. and G.C., M.F. and C.M. made the investigation and supervision of the article. All authors have read and agreed to the published version of the manuscript.

Funding

This research received no external funding.

Conflicts of Interest

The authors declare no conflict of interest.

References

  1. Ferro, R.; Besostri, A.; Olivieri, A.; Quinzi, V.; Scibetta, D. Prevalence of cross-bite in a sample of Italian preschoolers. Eur. J. Paediatr. Dent. 2016, 17, 307–309. [Google Scholar] [PubMed]
  2. Gudipaneni, R.K.; Aldahmeshi, R.F.; Patil, S.R.; Alam, M.K. The prevalence of malocclusion and the need for orthodontic treatment among adolescents in the northern border region of Saudi Arabia: An epidemiological study. BMC Oral Health 2018, 18, 16. [Google Scholar] [CrossRef] [PubMed]
  3. De Sousa, R.V.; Ribeiro, G.L.; Firmino, R.T.; Martins, C.C.; Granville-Garcia, A.F.; Paiva, S.M. Prevalence and associated factors for the development of anterior open bite and posterior crossbite in the primary dentition. Braz. Dent. J. 2014, 25, 336–342. [Google Scholar] [CrossRef] [PubMed]
  4. Carvalho, A.C.; Paiva, S.M.; Viegas, C.M.; Scarpelli, A.C.; Ferreira, F.M.; Pordeus, I.A. Impact of malocclusion on oral health-related quality of life among Brazilian preschool children: A population-based study. Braz. Dent. J. 2013, 24, 610–655. [Google Scholar] [CrossRef][Green Version]
  5. Gungor, K.; Taner, L.; Kaygisiz, E. Prevalence of Posterior Crossbite for Orthodontic Treatment Timing. J. Clin. Pediatr. Dent. 2016, 40, 422–424. [Google Scholar] [CrossRef]
  6. Iodice, G.; Danzi, G.; Cimino, R.; Paduano, S.; Michelotti, A. Association between posterior crossbite, skeletal, and muscle asymmetry: A systematic review. Eur. J. Orthod. 2016, 38, 638–651. [Google Scholar] [CrossRef]
  7. Cossellu, G.; Biagi, R.; Faggioni, G.; Farronato, G. Orthodontic Treatment of Binder Syndrome: A Case Report with 5 Years of Follow-up. Cleft Palate Craniofac. J. 2015, 52, 484–488. [Google Scholar] [CrossRef]
  8. Cossellu, G.; Farronato, G.; Nicotera, O.; Biagi, R. Transverse maxillary deficit and its influence on the cervical vertebrae maturation index. Eur. J. Paediatr. Dent. 2016, 17, 147–150. [Google Scholar]
  9. Beretta, M.; Lanteri, C.; Lanteri, V.; Cherchi, C.; Franchi, L.; Gianolio, A. Evolution of the Leaf Expander: A Maxillary Self Expander. J. Clin. Orthod. 2019, 53, 260–266. [Google Scholar]
  10. Lione, R.; Brunelli, V.; Franchi, L.; Pavoni, C.; Quiroga Souki, B.; Cozza, P. Mandibular response after rapid maxillary expansion in class II growing patients: A pilot randomized controlled trial. Prog. Orthod. 2017, 18, 36. [Google Scholar] [CrossRef]
  11. Guest, S.S.; Mcnamara, J.J.; Baccetti, T.; Franchi, L. Improving class II malocclusion as a side-effect of rapid maxillary expansion: A prospective clinical study. Am. J. Orthod. Dentofac. Orthop. 2010, 138, 582–591. [Google Scholar] [CrossRef] [PubMed]
  12. Farronato, G.; Giannini, L.; Galbiati, G.; Maspero, C. Sagittal and vertical effects of rapid maxillary expansion in Class I, II, and III occlusions. Angle Orthod. 2011, 81, 298–303. [Google Scholar] [CrossRef] [PubMed]
  13. Halazonetis, D.J.; Katsavrias, E.; Spyropoulos, M.N. Changes in cheek pressure following rapid maxillary expansion. Eur. J. Orthod. 1994, 16, 295–300. [Google Scholar] [CrossRef] [PubMed]
  14. Di Ventura, A.; Lanteri, V.; Farronato, G.; Gaffuri, F.; Beretta, M.; Lanteri, C.; Cossellu, G. Three-dimensional evaluation of rapid maxillary expansion anchored to the primary molars: Direct effects on maxillary arch and spontaneous mandibular response. Eur. J. Paediatr. Dent. 2019, 20, 38–42. [Google Scholar]
  15. Grassia, V.; D’apuzzo, F.; DiStasio, D.; Jamilian, A.; Lucchese, A.; Perillo, L. Upper and lower arch changes after Mixed Palatal Expansion protocol. Eur. J. Paediatr. Dent. 2014, 15, 375–380. [Google Scholar]
  16. Ugolini, A.; Doldo, T.; Ghislanzoni, L.T.; Mapelli, A.; Giorgetti, R.; Sforza, C. Rapid palatal expansion effects on mandibular transverse dimensions in unilateral posterior crossbite patients: A three-dimensional digital imaging study. Prog. Orthod. 2016, 17, 1. [Google Scholar] [CrossRef]
  17. Ugolini, A.; Cerruto, C.; Di Vece, L.; Ghislanzoni, L.H.; Sforza, C.; Doldo, T.; Silvestrini-Biavati, A.; Caprioglio, A. Dental arch response to Haas-type rapid maxillary expansion anchored to deciduous vs permanent molars: A multicentric randomized controlled trial. Angle Orthod. 2015, 85, 570–576. [Google Scholar] [CrossRef]
  18. Corbridge, J.K.; Campbell, P.M.; Taylor, R.; Ceen, R.F.; Buschang, P.H. Transverse dentoalveolar changes after slow maxillary expansion. Am. J. Orthod. Dentofac. Orthop. 2011, 140, 317–325. [Google Scholar] [CrossRef]
  19. Lanteri, C.; Beretta, M.; Lanteri, V.; Gianolio, A.; Cherchi, C.; Franchi, L. The Leaf Expander for Non-Compliance Treatment in the Mixed Dentition. J. Clin. Orthod. 2016, 50, 552–560. [Google Scholar]
  20. Lanteri, V.; Gianolio, A.; Gualandi, G.; Beretta, M. Maxillary tridimensional changes after slow expansion with leaf expander in a sample of growing patients: A pilot study. Eur. J. Paediatr. Dent. 2018, 19, 29–34. [Google Scholar]
  21. Lanteri, V.; Cossellu, G.; Gianolio, A.; Beretta, M.; Lanteri, C.; Cherchi, C.; Farronato, G. Comparison between RME, SME and Leaf Expander in growing patients: A retrospective postero-anterior cephalometric study. Eur. J. Paediatr. Dent. 2018, 19, 199–204. [Google Scholar] [PubMed]
  22. Petren, S.; Bondemark, L.; Soderfeldt, B. A systematic review concerning early orthodontic treatment of unilateral posterior crossbite. Angle Orthod. 2003, 73, 588–596. [Google Scholar] [PubMed]
  23. Petren, S.; Bondemark, L. Correction of unilateral posterior crossbite in the mixed dentition: A randomized controlled trial. Am. J. Orthod. Dentofac. Orthop. 2008, 133, 790.e7–790.e13. [Google Scholar] [CrossRef] [PubMed]
  24. Godoy, F.; Godoy-Bezerra, J.; Rosenblatt, A. Treatment of posterior crossbite comparing 2 appliances: A community-based trial. Am. J. Orthod. Dentofac. Orthop. 2011, 139, e45–e52. [Google Scholar] [CrossRef]
  25. Bjerklin, K. Follow-up control of patients with unilateral posterior cross-bite treated with expansion plates or the quad-helix appliance. J. Orofac. Orthop. 2000, 61, 112–124. [Google Scholar] [CrossRef] [PubMed]
  26. Baccetti, T.; Franchi, L.; Mcnamara, J.A. The cervical vertebral maturation (CVM) method for the as-assessment of optimal treatment timing in dentofacial orthopedics. Semin. Orthod. 2005, 11, 119–129. [Google Scholar] [CrossRef]
  27. Bukhari, A.; Kennedy, D.; Hannam, A.; Aleksejūnienė, J.; Yen, E. Dimensional changes in the palate associated with slow maxillary expansion for early treatment of posterior crossbite. Angle Orthod. 2018, 88, 390–396. [Google Scholar] [CrossRef]
  28. Wong, C.A.; Sinclair, P.M.; Keim, R.G.; Kennedy, D.B. Arch dimension changes from successful slow maxillary expansion of unilateral posterior crossbite. Angle Orthod. 2011, 81, 616–623. [Google Scholar] [CrossRef]
  29. Lamparski, D.G.; Rinchuse, D.J.; Close, J.M.; Sciote, J.J. Comparison of skeletal and dental changes between 2-point and 4- point rapid palatal expanders. Am. J. Orthod. Dentofac. Orthop. 2003, 123, 321–328. [Google Scholar] [CrossRef]
  30. Bucci, R.; D’Antò, V.; Rongo, R.; Valletta, R.; Martina, R.; Michelotti, A. Dental and skeletal effects of palatal expansion techniques: A systematic review of the current evidence from systematic reviews and meta-analyses. J. Oral Rehabil. 2016, 43, 543–564. [Google Scholar] [CrossRef]
  31. Zhou, Y.; Long, H.; Ye, N.; Xue, J.; Yang, X.; Liao, L.; Lai, W. The effectiveness of non-surgical maxillary expansion: A metanalysis. Eur. J. Orthod. 2014, 36, 233–242. [Google Scholar] [CrossRef] [PubMed]
  32. Kartalian, A.; Gohl, E.; Adamina, M.; Enciso, R. Cone-beam computer tomography evaluation of the maxillary dentoskeletal complex after rapid palatal expansion. Am. J. Orthod. Dentofac. Orthop. 2010, 138. [Google Scholar] [CrossRef] [PubMed]
  33. Schiffman, P.H.; Tuncay, O.C. Maxillary expansion: A meta-analysis. Clin. Orthod. Res. 2001, 4, 86–96. [Google Scholar] [CrossRef] [PubMed]
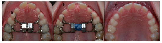
Figure 1. Test Group: Leaf Expander banded on primary second molars with an anterior arm till the canine before (a), after activation (b) and to the removal (c).
Figure 1. Test Group: Leaf Expander banded on primary second molars with an anterior arm till the canine before (a), after activation (b) and to the removal (c).
Applsci 10 04512 g001
Figure 2. Control Group: rapid maxillary expander (RME) banded on primary second molars before (a), after activation (b) and to the removal (c).
Figure 2. Control Group: rapid maxillary expander (RME) banded on primary second molars before (a), after activation (b) and to the removal (c).
Applsci 10 04512 g002
Figure 3. Test Group—Leaf: Maxillary arch before (a), after the expansion (b) and the superimposition of the two digital casts (c) with traced interdental width.
Figure 3. Test Group—Leaf: Maxillary arch before (a), after the expansion (b) and the superimposition of the two digital casts (c) with traced interdental width.
Applsci 10 04512 g003
Figure 4. Test Group—Leaf: Mandibular arch before (a), after the expansion (b) and the superimposition of the two digital casts (c).
Figure 4. Test Group—Leaf: Mandibular arch before (a), after the expansion (b) and the superimposition of the two digital casts (c).
Applsci 10 04512 g004
Figure 5. Control Group—RME: Mandibular arch before (a), after the expansion (b) and the superimposition of the two digital casts (c).
Figure 5. Control Group—RME: Mandibular arch before (a), after the expansion (b) and the superimposition of the two digital casts (c).
Applsci 10 04512 g005
Figure 6. Control Group—RME: Maxillary arch before (a), after the expansion (b) and the superimposition of the two digital casts (c) with the digital landmarks traced by means of 3Shape Ortho Analyzer software.
Figure 6. Control Group—RME: Maxillary arch before (a), after the expansion (b) and the superimposition of the two digital casts (c) with the digital landmarks traced by means of 3Shape Ortho Analyzer software.
Applsci 10 04512 g006
Table 1. Starting form comparison (T0 RME vs. T0 slow maxillary expander—SME).
Table 1. Starting form comparison (T0 RME vs. T0 slow maxillary expander—SME).
Sample GroupControl Group—RMETest Group—SMEp Values
Male1033-
Female1136-
Age (years)7.4 ± 1.27.6 ± 1.7-
16–26 (mm)43.36 ± 2.3444 ± 2.170.273
55–65 (mm)39.93 ± 2.0138.85 ± 2.130.042
54–64 (mm)34.52 ± 1.9933.52 ± 1.840.054
53–63 (mm)31.51 ± 2.6130.52 ± 2.230.122
SD = standard deviation. Test t for independent samples, p value < 0.05 were considered to indicate statistical significance.
Table 2. Paired t-test comparing the mean interdental maxillary width (mm) increase after SME treatment—Test Group (n°69).
Table 2. Paired t-test comparing the mean interdental maxillary width (mm) increase after SME treatment—Test Group (n°69).
Interdental Maxillary WidthT0 MeanSDCI 95%T1 MeanSDCI 95%IncreaseSDCI 95%Significance
16–26 width442.1743.46–44.5446.512.4645.97–47.052.511.582.14–2.88<0.001
55–65 width38.852.1338.36–39.3343.912.1343.43–44.405.060.984.84–5.28<0.001
54–64 width33.521.8433.00–34.0438.932.4438.41–39.465.411.85–5.84<0.001
53–63 width30.522.2329.95–31.1035.752.7335.17–36.335.221.914.77–5.41<0.001
SD = standard deviation CI = confidence interval; p value < 0.05 were considered to indicate statistical significance.
Table 3. Paired t-test comparing the mean interdental mandibular width (mm) increase after SME Treatment—Test Group (n°69).
Table 3. Paired t-test comparing the mean interdental mandibular width (mm) increase after SME Treatment—Test Group (n°69).
Interdental Mandibular WidthT0 MeanSDCI 95%T1 MeanSDCI 95%IncreaseSDCI 95%Significance
36–46 width45.582.6144.99–46.1746.822.5146.23–47.401.241.090.992–1.49<0.001
75–85 width39.622.3639.06–40.1941.232.6340.66–41.791.631.571.25–1.95<0.001
74–84 width32.161.9531.70–32.6133.092.0132.63–33.540.931.080.684–1.18<0.001
73–83 width25.462.0325.03–25.8926.461.7526.03–26.891.031.250.719–1.28<0.001
SD = standard deviation CI = confidence interval; p value < 0.05 were considered to indicate statistical significance.
Table 4. Paired t-test comparing the mean interdental maxillary width (mm) increase after RME treatment—Control Group (n°21).
Table 4. Paired t-test comparing the mean interdental maxillary width (mm) increase after RME treatment—Control Group (n°21).
Interdental Maxillary WidthT0 MeanSDCI 95%T1 MeanSDCI 95%IncreaseSDCI 95%Significance
16–26 width43.362.3442.4–44.447.172.146.3–48.13.811.433.2–4.44<0.001
55–65 width39.932.0135.4–41.643.121.7842.3–43.93.21.12.74–3.68<0.001
54–64 width34.521.9933.6–35.437.821.6337.1–38.53.31.222.77–3.83<0.001
53–63 width31.512.6130.4–32.635.152.4534.2–36.33.631.512.99–4.29<0.001
SD = standard deviation CI = confidence interval; p value < 0.05 were considered to indicate statistical significance.
Table 5. Paired t-test comparing the mean interdental mandibular width (mm) increase after RME treatment—Control Group (n°21).
Table 5. Paired t-test comparing the mean interdental mandibular width (mm) increase after RME treatment—Control Group (n°21).
Interdental Mandibular WidthT0 MeanSDCI 95%T1 MeanSDCI 95%IncreaseSDCI 95%Significance
16–26 width44.812.0843.9–45.746.842.0245.9–47.72.021.331.46–2.6<0.001
55–65 width39.452.3738.5–40.541.22.5240.1–42.31.751.381.21–2.31<0.001
54–64 width32.341.5731.66–3333.741.8832.9–34.51.391.180.891–1.91<0.001
53–63 width26.432.1425.5–27.327.382.1826.5–28.30.951.10.484–1.42<0.001
SD = standard deviation CI = confidence interval; p value < 0.05 were considered to indicate statistical significance.
Table 6. T test for independent samples comparing the net (∆T1 − T0) interdental width (mm) increase after Leaf (n°69) or RPE treatment (n°21)—maxillary arch.
Table 6. T test for independent samples comparing the net (∆T1 − T0) interdental width (mm) increase after Leaf (n°69) or RPE treatment (n°21)—maxillary arch.
Interdental Maxillary WidthLeaf GroupCI 95%RPE GroupCI 95%Significance
MeanSDMeanSD
16–26 width2.511.582.14–2.883.81.43.22–4.4<0.001
55–65 width5.060.984.84–5.283.21.12.61–3.85<0.001
54–64 width5.411.84.98–5.843.31.22.82–3.86<0.001
53–63 width5.221.914.78–5.663.61.52.98–4.28<0.001
SD = standard deviation CI = confidence interval; NS = not significant p value < 0.05 were considered to indicate statistical significance.
Table 7. T-Test for independent samples comparing the net (∆T1 − T0) interdental width (mm) increase after Leaf (n°69) or RPE treatment (n°21)—mandibular arch.
Table 7. T-Test for independent samples comparing the net (∆T1 − T0) interdental width (mm) increase after Leaf (n°69) or RPE treatment (n°21)—mandibular arch.
Interdental Mandibular WidthLeaf GroupCI 95%RPE GroupCI 95%Significance
MeanSDMeanSD
36–46 width1.241.090.992–1.492.021.431.41–2.630.009
75–85 width1.631.571.25–1.951.751.381.16–2.34NS–0.753
74–84 width0.931.080.692–1.181.391.180.885–1.9NS–0.098
73–83 width1.031.250.717–1.280.951.100.482–1.42NS–0.792
SD = standard deviation CI = confidence interval; NS = not significant p value < 0.05 were considered to indicate statistical significance.

Share and Cite

MDPI and ACS Style

Cossellu, G.; Ugolini, A.; Beretta, M.; Farronato, M.; Gianolio, A.; Maspero, C.; Lanteri, V. Three-Dimensional Evaluation of Slow Maxillary Expansion with Leaf Expander vs. Rapid Maxillary Expansion in a Sample of Growing Patients: Direct Effects on Maxillary Arch and Spontaneous Mandibular Response. Appl. Sci. 2020, 10, 4512. https://doi.org/10.3390/app10134512

AMA Style

Cossellu G, Ugolini A, Beretta M, Farronato M, Gianolio A, Maspero C, Lanteri V. Three-Dimensional Evaluation of Slow Maxillary Expansion with Leaf Expander vs. Rapid Maxillary Expansion in a Sample of Growing Patients: Direct Effects on Maxillary Arch and Spontaneous Mandibular Response. Applied Sciences. 2020; 10(13):4512. https://doi.org/10.3390/app10134512

Chicago/Turabian Style

Cossellu, Gianguido, Alessandro Ugolini, Matteo Beretta, Marco Farronato, Alessandro Gianolio, Cinzia Maspero, and Valentina Lanteri. 2020. "Three-Dimensional Evaluation of Slow Maxillary Expansion with Leaf Expander vs. Rapid Maxillary Expansion in a Sample of Growing Patients: Direct Effects on Maxillary Arch and Spontaneous Mandibular Response" Applied Sciences 10, no. 13: 4512. https://doi.org/10.3390/app10134512

APA Style

Cossellu, G., Ugolini, A., Beretta, M., Farronato, M., Gianolio, A., Maspero, C., & Lanteri, V. (2020). Three-Dimensional Evaluation of Slow Maxillary Expansion with Leaf Expander vs. Rapid Maxillary Expansion in a Sample of Growing Patients: Direct Effects on Maxillary Arch and Spontaneous Mandibular Response. Applied Sciences, 10(13), 4512. https://doi.org/10.3390/app10134512

Note that from the first issue of 2016, this journal uses article numbers instead of page numbers. See further details here.

Article Metrics

Back to TopTop