Pretraining Convolutional Neural Networks for Mudstone Petrographic Thin-Section Image Classification
Abstract
:1. Introduction
- An evaluation of how the difference between the dataset used to train a CNN model for the primary task affects the performance of such model when used for transfer learning for the classification of petrographic thin sections for the secondary task;
- The optimization of models that can accurately classify thin-section images from the Sycamore formation with two different magnification levels;
- How the amount of data affects CNN models used for transfer learning;
- How the similarity between primary and secondary tasks affects CNN models used for transfer learning;
2. Materials and Methods
2.1. Petrographic Thin-Section Data
2.2. ImageNet
2.3. HAM10000
2.4. RawFooT
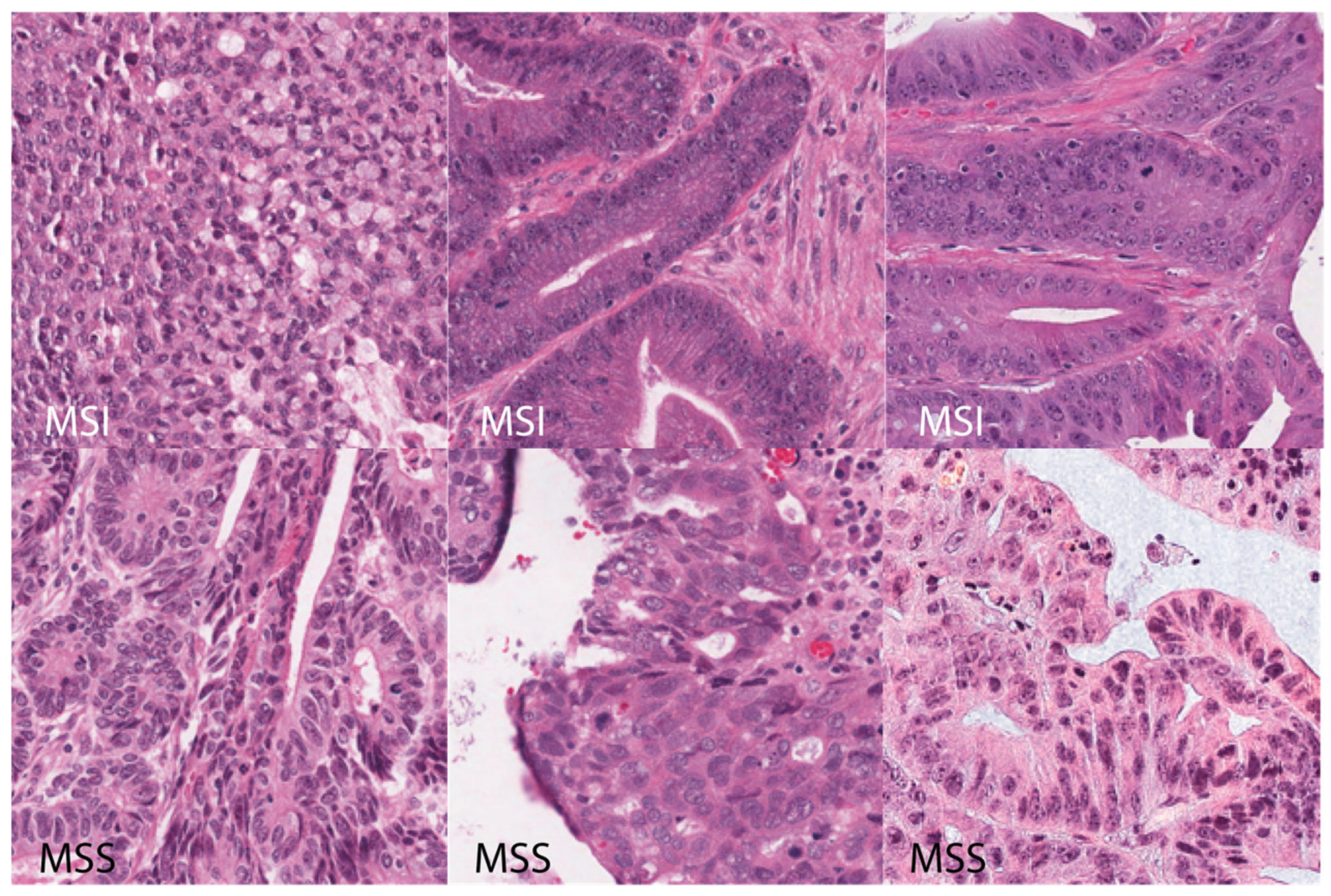
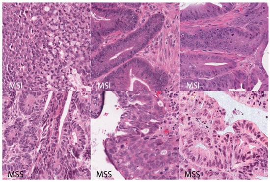
2.5. MSI vs. MSS
2.6. Transfer Learning and Implementation Details
3. Results and Interpretation
3.1. Results
3.2. Interpretation
4. Discussion
5. Conclusions
Author Contributions
Funding
Data Availability Statement
Acknowledgments
Conflicts of Interest
Appendix A
| Model Name | Dataset | # of Layers | Batch Size | Optimizer | Learning Rate |
|---|---|---|---|---|---|
| ResNet18-M-128-A3 | MSI vs. MSS | 18 | 128 | Adam | 1 × 10−3 |
| ResNet18-M-512-A3 | MSI vs. MSS | 18 | 512 | Adam | 1 × 10−3 |
| ResNet18-M-1024-A3 | MSI vs. MSS | 18 | 1024 | Adam | 1 × 10−3 |
| ResNet50-M-512-A3 | MSI vs. MSS | 50 | 512 | Adam | 1 × 10−3 |
| ResNet50-M-1024-A3 | MSI vs. MSS | 50 | 1024 | Adam | 1 × 10−3 |
| ResNet18-R-A2 ResNet18-R-A3 ResNet18-R-A4 | RawFooT RawFooT RawFooT | 18 18 18 | 128 128 128 | Adam Adam Adam | 1 × 10−2 1 × 10−3 1 × 10−4 |
| ResNet50-R-A2 ResNet50-R-A3 ResNet50-R-A4 | RawFooT RawFooT RawFooT | 50 50 50 | 128 128 128 | Adam Adam Adam | 1 × 10−2 1 × 10−3 1 × 10−4 |
| ResNet18-H-64-A3 | HAM10000 | 18 | 64 | Adam | 1 × 10−3 |
| ResNet18--H-128-A3 | HAM10000 | 18 | 128 | Adam | 1 × 10−3 |
| ResNet18--H-128-R3 | HAM10000 | 18 | 128 | RMSprop | 1 × 10−3 |
| ResNet18--H-256-A3 | HAM10000 | 18 | 256 | Adam | 1 × 10−3 |
| ResNet50-H-64-A3 | HAM10000 | 50 | 64 | Adam | 1 × 10−3 |
| ResNet50--H-128-A3 | HAM10000 | 50 | 128 | Adam | 1 × 10−3 |
| ResNet50--H-128-A4 | HAM10000 | 50 | 128 | Adam | 5 × 10−4 |
| ResNet50--H-256-A3 | HAM10000 | 50 | 256 | Adam | 1 × 10−3 |
| Model Name | Training | Validation | Test | GPU | Elapsed Time 1 | Epochs |
|---|---|---|---|---|---|---|
| ResNet18-M-128-A3 | 0.95 | 0.92 | 0.70 | GTX 1050 | 11.5 h | 34 |
| ResNet18-M-512-A3 | 0.94 | 0.91 | 0.71 | GTX 1050 | 11.5 h | 33 |
| ResNet18-M-1024-A3 | 0.93 | 0.91 | 0.70 | GTX 1050 | 9.5 h | 28 |
| ResNet50-M-512-A3 | 0.92 | 0.91 | 0.68 | GTX 1050 | 24 h | 32 |
| ResNet50-M-1024-A3 | 0.91 | 0.90 | 0.71 | GTX 1050 | 20 h | 27 |
| ResNet18-R-A2 ResNet18-R-A3 ResNet18-R-A4 | 0.97 0.98 0.97 | 0.92 0.96 0.92 | 0.88 0.88 0.88 | Quadro K1200 Quadro K1200 Quadro K1200 | 12 h 8 h 11.5 h | 38 25 38 |
| ResNet50-R-A2 ResNet50-R-A3 ResNet50-R-A4 | 0.85 0.89 0.90 | 0.79 0.87 0.83 | -- 0.73 -- | Quadro K1200 Quadro K1200 Quadro K1200 | 6 h 7 h 9 h | 9 10 14 |
| ResNet18-H-64-A3 | 0.78 | 0.75 | 0.73 | GTX 1050 | 1 h | 16 |
| ResNet18--H-128-A3 | 0.79 | 0.77 | 0.76 | GTX 1050 | 1.5 h | 21 |
| ResNet18--H-128-R3 | 0.80 | 0.76 | 0.75 | GTX 1050 | 2 h | 30 |
| ResNet18--H-256-A3 | 0.77 | 0.73 | 0.75 | GTX 1050 | 1 h | 15 |
| ResNet50-H-64-A3 | 0.78 | 0.75 | 0.73 | GTX 1050 | 2 h | 29 |
| ResNet50--H-128-A3 | 0.78 | 0.74 | 0.74 | GTX 1050 | 2 h | 28 |
| ResNet50--H-128-A4 | 0.77 | 0.76 | 0.74 | GTX 1050 | 1.5 h | 16 |
| ResNet50--H-256-A3 | 0.80 | 0.76 | 0.75 | GTX 1050 | 2.5 h | 32 |
Appendix B
| Model | Pretrained | Batch Size | Batch Size (Accumulated) | Optimizer | Learning Rate | Patience | Last Epoch | Train Accuracy | Validation Accuracy | Test Accuracy |
|---|---|---|---|---|---|---|---|---|---|---|
| ResNet18 | RawFooT | 4 | 8 | Adam | 1.00 × 10−3 | 10 | 25 | 0.73 | 0.64 | 0.65 |
| ResNet18 | RawFooT | 4 | 16 | Adam | 1.00 × 10−3 | 10 | 49 | 0.82 | 0.72 | 0.85 |
| ResNet18 | RawFooT | 4 | 32 | Adam | 1.00 × 10−4 | 10 | 26 | 0.84 | 0.79 | 0.81 |
| ResNet18 | RawFooT | 4 | 32 | Adam | 1.00 × 10−3 | 10 | 32 | 0.77 | 0.78 | 0.80 |
| ResNet18 | RawFooT | 4 | 64 | Adam | 1.00 × 10−4 | 10 | 35 | 0.87 | 0.69 | 0.80 |
| ResNet18 | RawFooT | 4 | 64 | RMSprop | 1.00 × 10−3 | 10 | 48 | 0.73 | 0.61 | 0.79 |
| ResNet18 | RawFooT | 4 | 64 | Adam | 1.00 × 10−3 | 10 | 72 | 0.95 | 0.85 | 0.93 |
| ResNet18 | RawFooT | 4 | 128 | Adam | 1.00 × 10−3 | 10 | 37 | 0.85 | 0.79 | 0.82 |
| ResNet18 | MSI vs. MSS | 16 | 32 | Adam | 1.00 × 10−4 | 5 | 26 | 0.91 | 0.78 | 0.84 |
| ResNet18 | MSI vs. MSS | 16 | 64 | Adam | 1.00 × 10−3 | 5 | 25 | 0.91 | 0.79 | 0.77 |
| ResNet18 | MSI vs. MSS | 16 | 64 | Adam | 5.00 × 10−5 | 5 | 21 | 0.87 | 0.74 | 0.85 |
| ResNet18 | MSI vs. MSS | 16 | 64 | RMSprop | 1.00 × 10−4 | 5 | 21 | 0.82 | 0.56 | 0.73 |
| ResNet18 | MSI vs. MSS | 16 | 64 | Adam | 1.00 × 10−4 | 5 | 25 | 0.92 | 0.78 | 0.91 |
| ResNet18 | MSI vs. MSS | 16 | 128 | Adam | 1.00 × 10−4 | 5 | 23 | 0.88 | 0.75 | 0.85 |
| ResNet18 | ImageNet | 16 | 32 | Adam | 1.00 × 10−4 | 5 | 14 | 1.00 | 0.89 | 0.94 |
| ResNet18 | ImageNet | 16 | 64 | RMSprop | 5.00 × 10−5 | 5 | 20 | 1.00 | 0.92 | 0.94 |
| ResNet18 | ImageNet | 16 | 64 | RMSprop | 1.00 × 10−4 | 5 | 19 | 0.99 | 0.82 | 0.95 |
| ResNet18 | ImageNet | 16 | 64 | Adam | 5.00 × 10−5 | 5 | 18 | 0.98 | 0.93 | 0.94 |
| ResNet18 | ImageNet | 16 | 64 | Adam | 1.00 × 10−4 | 5 | 15 | 1.00 | 0.91 | 0.95 |
| ResNet18 | ImageNet | 16 | 128 | Adam | 1.00 × 10−4 | 5 | 18 | 0.99 | 0.93 | 0.94 |
| ResNet18 | HAM10000 | 16 | 32 | Adam | 5.00 × 10−5 | 5 | 24 | 0.91 | 0.77 | 0.86 |
| ResNet18 | HAM10000 | 16 | 64 | RMSprop | 5.00 × 10−5 | 5 | 14 | 0.82 | 0.52 | 0.68 |
| ResNet18 | HAM10000 | 16 | 64 | Adam | 1.00 × 10−5 | 5 | 52 | 0.85 | 0.79 | 0.86 |
| ResNet18 | HAM10000 | 16 | 64 | Adam | 5.00 × 10−5 | 5 | 37 | 0.95 | 0.86 | 0.93 |
| ResNet18 | HAM10000 | 16 | 64 | Adam | 1.00 × 10−4 | 5 | 18 | 0.89 | 0.57 | 0.81 |
| ResNet18 | HAM10000 | 16 | 128 | Adam | 5.00 × 10−5 | 5 | 32 | 0.89 | 0.78 | 0.86 |
| ResNet50 | RawFooT | 4 | 8 | Adam | 1.00 × 10−3 | 10 | 58 | 0.79 | 0.75 | 0.84 |
| ResNet50 | RawFooT | 4 | 16 | Adam | 1.00 × 10−3 | 10 | 30 | 0.75 | 0.76 | 0.79 |
| ResNet50 | RawFooT | 4 | 32 | Adam | 1.00 × 10−4 | 10 | 43 | 0.82 | 0.71 | 0.84 |
| ResNet50 | RawFooT | 4 | 32 | Adam | 1.00 × 10−3 | 10 | 50 | 0.87 | 0.69 | 0.73 |
| ResNet50 | RawFooT | 4 | 64 | RMSprop | 1.00 × 10−3 | 10 | 34 | 0.66 | 0.48 | 0.55 |
| ResNet50 | RawFooT | 4 | 64 | Adam | 1.00 × 10−3 | 10 | 39 | 0.80 | 0.77 | 0.89 |
| ResNet50 | MSI vs. MSS | 4 | 8 | Adam | 1.00 × 10−3 | 10 | 53 | 0.76 | 0.74 | 0.65 |
| ResNet50 | MSI vs. MSS | 4 | 16 | Adam | 1.00 × 10−3 | 10 | 35 | 0.72 | 0.48 | 0.82 |
| ResNet50 | MSI vs. MSS | 4 | 32 | Adam | 5.00 × 10−5 | 10 | 25 | 0.63 | 0.56 | 0.69 |
| ResNet50 | MSI vs. MSS | 4 | 32 | Adam | 1.00 × 10−4 | 10 | 21 | 0.73 | 0.64 | 0.66 |
| ResNet50 | MSI vs. MSS | 4 | 64 | RMSprop | 1.00 × 10−3 | 10 | 32 | 0.60 | 0.55 | 0.54 |
| ResNet50 | MSI vs. MSS | 4 | 64 | Adam | 1.00 × 10−3 | 10 | 40 | 0.83 | 0.75 | 0.81 |
| ResNet50 | MSI vs. MSS | 4 | 128 | Adam | 1.00 × 10−3 | 10 | 57 | 0.92 | 0.76 | 0.77 |
| ResNet50 | ImageNet | 4 | 8 | Adam | 1.00 × 10−3 | 10 | 14 | 0.78 | 0.70 | 0.82 |
| ResNet50 | ImageNet | 4 | 16 | Adam | 1.00 × 10−3 | 10 | 14 | 0.79 | 0.77 | 0.85 |
| ResNet50 | ImageNet | 4 | 32 | RMSprop | 1.00 × 10−4 | 10 | 28 | 1.00 | 0.91 | 0.90 |
| ResNet50 | ImageNet | 4 | 32 | Adam | 5.00 × 10−5 | 10 | 31 | 1.00 | 0.90 | 0.84 |
| ResNet50 | ImageNet | 4 | 32 | Adam | 1.00 × 10−4 | 10 | 37 | 1.00 | 0.94 | 0.90 |
| ResNet50 | ImageNet | 4 | 64 | Adam | 1.00 × 10−3 | 10 | 33 | 0.96 | 0.85 | 0.84 |
| ResNet50 | ImageNet | 4 | 128 | Adam | 1.00 × 10−3 | 10 | 27 | 0.98 | 0.75 | 0.76 |
| ResNet50 | HAM10000 | 4 | 8 | Adam | 1.00 × 10−3 | 10 | 34 | 0.69 | 0.74 | 0.74 |
| ResNet50 | HAM10000 | 4 | 16 | Adam | 1.00 × 10−3 | 10 | 29 | 0.72 | 0.61 | 0.74 |
| ResNet50 | HAM10000 | 4 | 32 | Adam | 5.00 × 10−5 | 10 | 24 | 0.65 | 0.53 | 0.68 |
| ResNet50 | HAM10000 | 4 | 32 | Adam | 1.00 × 10−4 | 10 | 22 | 0.74 | 0.64 | 0.68 |
| ResNet50 | HAM10000 | 4 | 64 | Adam | 1.00 × 10−4 | 10 | 31 | 0.79 | 0.68 | 0.66 |
| ResNet50 | HAM10000 | 4 | 64 | RMSprop | 1.00 × 10−3 | 10 | 28 | 0.65 | 0.59 | 0.49 |
| ResNet50 | HAM10000 | 4 | 64 | Adam | 1.00 × 10−3 | 10 | 54 | 0.92 | 0.79 | 0.89 |
| ResNet50 | HAM10000 | 4 | 128 | Adam | 1.00 × 10−3 | 10 | 39 | 0.89 | 0.85 | 0.77 |
Appendix C
| Class | Precision | Recall | F1-Score | Support |
|---|---|---|---|---|
| AMdst | 0.77 | 1.00 | 0.87 | 20 |
| BMdst | 0.93 | 0.70 | 0.80 | 20 |
| MCSt | 0.95 | 0.95 | 0.95 | 20 |
| MCcSt | 0.95 | 0.90 | 0.92 | 20 |
| macro average | 0.90 | 0.89 | 0.89 | 80 |
| weighted average | 0.90 | 0.89 | 0.89 | 80 |
| Class | Precision | Recall | F1-Score | Support |
|---|---|---|---|---|
| AMdst | 0.95 | 0.90 | 0.92 | 20 |
| BMdst | 0.90 | 0.90 | 0.90 | 20 |
| MCSt | 1.00 | 1.00 | 1.00 | 20 |
| MCcSt | 0.95 | 1.00 | 0.98 | 20 |
| macro average | 0.95 | 0.95 | 0.95 | 80 |
| weighted average | 0.95 | 0.95 | 0.95 | 80 |
| Class | Precision | Recall | F1-Score | Support |
|---|---|---|---|---|
| AMdst | 0.90 | 0.95 | 0.93 | 20 |
| BMdst | 1.00 | 0.85 | 0.92 | 20 |
| MCSt | 0.90 | 0.95 | 0.93 | 20 |
| MCcSt | 0.90 | 0.95 | 0.93 | 20 |
| macro average | 0.93 | 0.93 | 0.92 | 80 |
| weighted average | 0.93 | 0.93 | 0.92 | 80 |
| Class | Precision | Recall | F1-Score | Support |
|---|---|---|---|---|
| AMdst | 1.00 | 0.85 | 0.92 | 20 |
| BMdst | 0.90 | 0.95 | 0.93 | 20 |
| MCSt | 0.95 | 0.90 | 0.92 | 20 |
| MCcSt | 0.87 | 1.00 | 0.93 | 20 |
| macro average | 0.93 | 0.92 | 0.92 | 80 |
| weighted average | 0.93 | 0.93 | 0.92 | 80 |
| Class | Precision | Recall | F1-Score | Support |
|---|---|---|---|---|
| AMdst | 0.80 | 1.00 | 0.89 | 20 |
| BMdst | 1.00 | 0.70 | 0.82 | 20 |
| MCSt | 1.00 | 0.95 | 0.97 | 20 |
| MCcSt | 0.91 | 1.00 | 0.95 | 20 |
| macro average | 0.93 | 0.91 | 0.91 | 80 |
| weighted average | 0.93 | 0.91 | 0.91 | 80 |
References
- Fukushima, K. Neocognitron: A Self-Organizing Neural Network Model for a Mechanism of Pattern Recognition Unaffected by Shift in Position. Biol. Cybern. 1980, 36, 193–202. [Google Scholar] [CrossRef]
- LeCun, Y.; Boser, B.E.; Denker, J.S.; Henderson, D.; Howard, R.E.; Hubbard, W.E.; Jackel, L.D. Handwritten Digit Recognition with a Back-Propagation Network. In Advances in Neural Information Processing Systems 2; Touretzky, D.S., Ed.; Morgan-Kaufmann: Denver, CA, USA, 1990; pp. 396–404. [Google Scholar]
- Krizhevsky, A.; Sutskever, I.; Hinton, G.E. ImageNet Classification with Deep Convolutional Neural Networks. In Proceedings of the 25th International Conference on Neural Information Processing Systems, Lake Tahoe, NV, USA, 3–6 December 2012; pp. 1097–1105. [Google Scholar]
- Russakovsky, O.; Deng, J.; Su, H.; Krause, J.; Satheesh, S.; Ma, S.; Huang, Z.; Karpathy, A.; Khosla, A.; Bernstein, M.; et al. ImageNet Large Scale Visual Recognition Challenge. Int. J. Comput. Vis. 2015, 115, 211–252. [Google Scholar] [CrossRef] [Green Version]
- LeCun, Y.; Bengio, Y.; Hinton, G. Deep Learning. Nature 2015, 521, 436–444. [Google Scholar] [CrossRef]
- Deng, J.; Dong, W.; Socher, R.; Li, L.; Li, K.; Fei-Fei, L. ImageNet: A Large-Scale Hierarchical Image Database. In Proceedings of the 2009 IEEE Conference on Computer Vision and Pattern Recognition, Miami, FL, USA, 20–25 June 2009; pp. 248–255. [Google Scholar]
- LeCun, Y. The MNIST Database of Handwritten Digits. 1998. Available online: http://yann.lecun.com/exdb/mnist/ (accessed on 7 August 2021).
- Lin, T.-Y.; Maire, M.; Belongie, S.; Hays, J.; Perona, P.; Ramanan, D.; Dollár, P.; Zitnick, C.L. Microsoft COCO: Common Objects in Context BT—Computer Vision—ECCV 2014; Fleet, D., Pajdla, T., Schiele, B., Tuytelaars, T., Eds.; Springer International Publishing: Cham, Switzerland, 2014; pp. 740–755. [Google Scholar]
- Krizhevsky, A. Learning Multiple Layers of Features from Tiny Images, Technical Report TR-2009; University of Toronto: Toronto, ON, Canada, 2009. [Google Scholar]
- Pan, S.J.; Yang, Q. A Survey on Transfer Learning. IEEE Trans. Knowl. Data Eng. 2010, 22, 1345–1359. [Google Scholar] [CrossRef]
- Bengio, Y. Deep Learning of Representations for Unsupervised and Transfer Learning. In Proceedings of the ICML Workshop on Unsupervised and Transfer Learning; Guyon, I., Dror, G., Lemaire, V., Taylor, G., Silver, D., Eds.; PMLR: Bellevue, WA, USA, 2012; Volume 27, pp. 17–36. [Google Scholar]
- Razavian, A.S.; Azizpour, H.; Sullivan, J.; Carlsson, S. CNN Features Off-the-Shelf: An Astounding Baseline for Recognition. In Proceedings of the 2014 IEEE Conference on Computer Vision and Pattern Recognition Workshops, Columbus, OH, USA, 23–28 June 2014; pp. 512–519. [Google Scholar]
- Yosinski, J.; Clune, J.; Bengio, Y.; Lipson, H. How Transferable Are Features in Deep Neural Networks? Adv. Neural Inf. Process. Syst. 2014, 27, 3320–3328. [Google Scholar]
- Simonyan, K.; Vedaldi, A.; Zisserman, A. Deep inside Convolutional Networks: Visualising Image Classification Models and Saliency Maps. In Proceedings of the International Workshop at International Conference on Learning Representations, Banff, AB, Canada, 14–16 April 2014. [Google Scholar]
- Olah, C.; Mordvintsev, A.; Schubert, L. Feature Visualization. Distill 2017, 2, e7. [Google Scholar] [CrossRef]
- Olah, C.; Satyanarayan, A.; Johnson, I.; Carter, S.; Schubert, L.; Ye, K.; Mordvintsev, A. The Building Blocks of Interpretability. Distill 2018, 3, e10. [Google Scholar] [CrossRef]
- Carter, S.; Armstrong, Z.; Schubert, L.; Johnson, I.; Olah, C. Activation Atlas. Distill 2019, 4, e15. [Google Scholar] [CrossRef]
- Hu, F.; Xia, G.-S.; Hu, J.; Zhang, L. Transferring Deep Convolutional Neural Networks for the Scene Classification of High-Resolution Remote Sensing Imagery. Remote Sens. 2015, 7, 14680–14707. [Google Scholar] [CrossRef] [Green Version]
- Zamir, A.R.; Sax, A.; Shen, W.; Guibas, L.J.; Malik, J.; Savarese, S. Taskonomy: Disentangling Task Transfer Learning. In Proceedings of the IEEE Conference on Computer Vision and Pattern Recognition (CVPR), Salt Lake City, UT, USA, 18–23 June 2018. [Google Scholar]
- Norouzzadeh, M.S.; Nguyen, A.; Kosmala, M.; Swanson, A.; Palmer, M.S.; Packer, C.; Clune, J. Automatically Identifying, Counting, and Describing Wild Animals in Camera-Trap Images with Deep Learning. Proc. Natl. Acad. Sci. USA 2018, 115, E5716–E5725. [Google Scholar] [CrossRef] [Green Version]
- Tschandl, P.; Rosendahl, C.; Kittler, H. The HAM10000 Dataset, a Large Collection of Multi-Source Dermatoscopic Images of Common Pigmented Skin Lesions. Sci. Data 2018, 5, 180161. [Google Scholar] [CrossRef]
- Kather, J.N.; Pearson, A.T.; Halama, N.; Jäger, D.; Krause, J.; Loosen, S.H.; Marx, A.; Boor, P.; Tacke, F.; Neumann, U.P.; et al. Deep Learning Can Predict Microsatellite Instability Directly from Histology in Gastrointestinal Cancer. Nat. Med. 2019, 25, 1054–1056. [Google Scholar] [CrossRef]
- Pires de Lima, R.; Marfurt, K. Convolutional Neural Network for Remote-Sensing Scene Classification: Transfer Learning Analysis. Remote Sens. 2019, 12, 86. [Google Scholar] [CrossRef] [Green Version]
- Pires de Lima, R.; Suriamin, F.; Marfurt, K.J.; Pranter, M.J. Convolutional Neural Networks as Aid in Core Lithofacies Classification. Interpretation 2019, 7, SF27–SF40. [Google Scholar] [CrossRef]
- Baraboshkin, E.E.; Ismailova, L.S.; Orlov, D.M.; Zhukovskaya, E.A.; Kalmykov, G.A.; Khotylev, O.V.; Baraboshkin, E.Y.; Koroteev, D.A. Deep Convolutions for In-Depth Automated Rock Typing. Comput. Geosci. 2020, 135, 104330. [Google Scholar] [CrossRef] [Green Version]
- Pires de Lima, R.; Duarte, D.; Nicholson, C.; Slatt, R.; Marfurt, K.J. Petrographic Microfacies Classification with Deep Convolutional Neural Networks. Comput. Geosci. 2020, 142, 104481. [Google Scholar] [CrossRef]
- Liu, X.; Song, H. Automatic Identification of Fossils and Abiotic Grains during Carbonate Microfacies Analysis Using Deep Convolutional Neural Networks. Sediment. Geol. 2020, 410, 105790. [Google Scholar] [CrossRef]
- Koeshidayatullah, A.; Morsilli, M.; Lehrmann, D.J.; Al-Ramadan, K.; Payne, J.L. Fully Automated Carbonate Petrography Using Deep Convolutional Neural Networks. Mar. Pet. Geol. 2020, 122, 104687. [Google Scholar] [CrossRef]
- Ma, H.; Han, G.; Peng, L.; Zhu, L.; Shu, J. Rock Thin Sections Identification Based on Improved Squeeze-and-Excitation Networks Model. Comput. Geosci. 2021, 152, 104780. [Google Scholar] [CrossRef]
- Cusano, C.; Napoletano, P.; Schettini, R. Evaluating Color Texture Descriptors under Large Variations of Controlled Lighting Conditions. J. Opt. Soc. Am. A JOSAA 2016, 33, 17–30. [Google Scholar] [CrossRef] [PubMed] [Green Version]
- Limare, N.; Lisani, J.-L.; Morel, J.-M.; Petro, A.B.; Sbert, C. Simplest Color Balance. Image Process. Line 2011, 1, 297–315. [Google Scholar] [CrossRef] [Green Version]
- Bianco, S.; Cusano, C.; Napoletano, P.; Schettini, R.; Bianco, S.; Cusano, C.; Napoletano, P.; Schettini, R. Improving CNN-Based Texture Classification by Color Balancing. J. Imaging 2017, 3, 33. [Google Scholar] [CrossRef] [Green Version]
- Paszke, A.; Gross, S.; Massa, F.; Lerer, A.; Bradbury, J.; Chanan, G.; Killeen, T.; Lin, Z.; Gimelshein, N.; Antiga, L.; et al. PyTorch: An Imperative Style, High-Performance Deep Learning Library. Adv. Neural Inf. Proces. Syst. 2019, 32, 8024–8035. [Google Scholar]
- He, K.; Zhang, X.; Ren, S.; Sun, J. Deep Residual Learning for Image Recognition. In Proceedings of the 2016 IEEE Conference on Computer Vision and Pattern Recognition (CVPR), Las Vegas, NV, USA, 27–30 June 2016; pp. 770–778. [Google Scholar]
- Kingma, D.P.; Ba, J. Adam: A Method for Stochastic Optimization. In Proceedings of the ICLR, San Diego, CA, USA, 22 December 2014. [Google Scholar]
- Tieleman, T.; Hinton, G. Lecture 6.5—RmsProp: Divide the Gradient by a Running Average of Its Recent Magnitude; 2012. Available online: https://www.youtube.com/watch?v=SJ48OZ_qlrc (accessed on 7 August 2021).
- WA PyTorch Lightning. GitHub. 2019, 3. Available online: https://github.com/PyTorchLightning/pytorch-lightning (accessed on 7 August 2021).
- Biewald, L. Experiment Tracking with Weights and Biases. Available online: https://www.wandb.com/ (accessed on 7 August 2021).
- Fawcett, T. An Introduction to ROC Analysis. Pattern Recognit. Lett. 2006, 27, 861–874. [Google Scholar] [CrossRef]
- Powers, D.M.W. Evaluation: From Precision, Recall and F-Measure to ROC, Informedness, Markedness and Correlation. Int. J. Mach. Learn. Technol. 2011, 2, 37–63. [Google Scholar]
- Bello, I.; Fedus, W.; Du, X.; Cubuk, E.D.; Srinivas, A.; Lin, T.-Y.; Shlens, J.; Zoph, B. Revisiting ResNets: Improved Training and Scaling Strategies. arXiv 2021, arXiv:2103.07579. [Google Scholar]
- Liu, Y.; Yin, B.; Yu, J.; Wang, Z. Image Classification Based on Convolutional Neural Networks with Cross-Level Strategy. Multimed Tools Appl. 2017, 76, 11065–11079. [Google Scholar] [CrossRef]
- Sultana, F.; Sufian, A.; Dutta, P. Advancements in Image Classification Using Convolutional Neural Network. In Proceedings of the 2018 Fourth International Conference on Research in Computational Intelligence and Communication Networks (ICRCICN), Kolkata, India, 22–23 November 2018; pp. 122–129. [Google Scholar]
- Graziani, M.; Lompech, T.; Müller, H.; Depeursinge, A.; Andrearczyk, V. On the Scale Invariance in State of the Art CNNs Trained on ImageNet. Mach. Learn. Knowl. Extr. 2021, 3, 19. [Google Scholar] [CrossRef]











| Class | Microfacies | Description | Train | Test |
|---|---|---|---|---|
| AMdst | Argillaceous mudstone | Clay-rich mudstones. Structureless or slightly laminated. | 63 | 20 |
| BMdst | Bioturbated mudstone | Clay-rich mudstones. Evident bioturbation at 10X magnification. | 134 | 20 |
| MCcSt | Massive calcite cemented siltstone | Silt-rich mudstones. Structureless, abundant calcite cemented and calcareous pellets. | 104 | 20 |
| MCSt | Massive calcareous siltstone | Silt-rich mudstones. Structureless, some calcite cement. | 132 | 20 |
| Class | Description | Train | Test |
|---|---|---|---|
| bkl | benign keratosis-like lesions (solar lentigines/seborrheic keratoses and lichen-planus like keratoses) | 871 | 228 |
| nv | Melanocytic nevi | 5367 | 1338 |
| df | Dermatofibroma | 87 | 28 |
| mel | Melanoma | 887 | 226 |
| vasc | Vascular lesions (angiomas, angiokeratomas, pyogenic granulomas and hemorrhage) | 121 | 21 |
| bcc | Basal cell carcinoma | 421 | 93 |
| akiec | Actinic keratoses and intraepithelial carcinoma/Bowen’s disease | 258 | 69 |
| Class | Description | Train | Test | Class | Description | Train | Test |
|---|---|---|---|---|---|---|---|
| 0001 | chickpeas | 368 | 368 | 0035 | hazelnut grain | 368 | 368 |
| 0002 | corn | 368 | 368 | 0036 | flour | 368 | 368 |
| 0003 | salt | 368 | 368 | 0037 | bread crumbs | 368 | 368 |
| 0004 | cookie | 368 | 368 | 0038 | pasta (stars) | 368 | 368 |
| 0005 | lentils | 368 | 368 | 0039 | cut spaghetti | 368 | 368 |
| 0006 | candies | 368 | 368 | 0040 | pastina | 368 | 368 |
| 0007 | green peas | 368 | 368 | 0041 | red cabbage | 368 | 368 |
| 0008 | puffed rice | 368 | 368 | 0042 | grapefruit | 368 | 368 |
| 0009 | spelt | 368 | 368 | 0043 | hamburger | 368 | 368 |
| 0010 | white peas | 368 | 368 | 0044 | swordfish | 368 | 368 |
| 0011 | cous cous | 368 | 368 | 0045 | bread | 368 | 368 |
| 0012 | sliced bread | 368 | 368 | 0046 | candied fruit | 368 | 368 |
| 0013 | apple slice | 368 | 368 | 0047 | chili pepper | 368 | 368 |
| 0014 | pearl barley | 368 | 368 | 0048 | milk chocolate | 368 | 368 |
| 0015 | oat | 368 | 368 | 0049 | garlic grain | 368 | 368 |
| 0016 | black rice | 368 | 368 | 0050 | curry | 368 | 368 |
| 0017 | quinoa | 368 | 368 | 0051 | pink pepper | 368 | 368 |
| 0018 | buckwheat | 368 | 368 | 0052 | kiwi | 368 | 368 |
| 0019 | puffed rice | 368 | 368 | 0053 | mango | 368 | 368 |
| 0020 | basmati rice | 368 | 368 | 0054 | pomegranate | 368 | 368 |
| 0021 | steak | 368 | 368 | 0055 | currant | 368 | 368 |
| 0022 | fennel seeds | 368 | 368 | 0056 | pumpkin seeds | 368 | 368 |
| 0023 | poppy seeds | 368 | 368 | 0057 | tea | 368 | 368 |
| 0024 | brown sugar | 368 | 368 | 0058 | red lentils | 368 | 368 |
| 0025 | sultana | 368 | 368 | 0059 | green adzuki | 368 | 368 |
| 0026 | coffee powder | 368 | 368 | 0060 | linseeds | 368 | 368 |
| 0027 | polenta flour | 368 | 368 | 0061 | coconut flakes | 368 | 368 |
| 0028 | salami | 368 | 368 | 0062 | chicory | 368 | 368 |
| 0029 | air-cured beef | 368 | 368 | 0063 | pork loin | 368 | 368 |
| 0030 | flatbread | 368 | 368 | 0064 | chicken breast | 368 | 368 |
| 0031 | corn crackers | 368 | 368 | 0065 | carrots | 368 | 368 |
| 0032 | oregano | 368 | 368 | 0066 | sugar | 368 | 368 |
| 0033 | black beans | 368 | 368 | 0067 | salmon | 368 | 368 |
| 0034 | soluble coffee | 368 | 368 | 0068 | tuna | 368 | 368 |
| Class | Description | Train | Test |
|---|---|---|---|
| MSI | Microsatellite instable | 46,704 | 28,335 |
| MSS | Microsatellite stable | 46,704 | 70,569 |
| Dataset | Model | Train | Validation | Test |
|---|---|---|---|---|
| MSI vs. MSS | ResNet18 | 0.94 | 0.91 | 0.71 |
| RawFooT | ResNet18 | 0.98 | 0.96 | 0.88 |
| HAM10000 | ResNet18 | 0.79 | 0.77 | 0.76 |
| MSI vs. MSS | ResNet50 | 0.91 | 0.90 | 0.71 |
| RawFooT | ResNet50 | 0.89 | 0.87 | 0.73 |
| HAM10000 | ResNet50 | 0.80 | 0.76 | 0.75 |
| Model | Batch Size (Accumulated) | Optimizer | Learning Rate | Last Epoch | Train Accuracy | Validation Accuracy | Test Accuracy |
|---|---|---|---|---|---|---|---|
| ResNet18 | 128 | Adam | 1.00 × 10−4 | 18 | 0.90 | 0.79 | 0.86 |
| ResNet18 | 64 | Adam | 1.00 × 10−4 | 15 | 0.91 | 0.75 | 0.89* |
| ResNet18 | 32 | Adam | 5.00 × 10−5 | 15 | 0.90 | 0.67 | 0.81 |
| ResNet18 | 32 | Adam | 1.00 × 10−4 | 10 | 0.86 | 0.72 | 0.86 |
| ResNet18 | 32 | Adam | 1.00 × 10−3 | 8 | 0.78 | 0.67 | 0.66 |
| ResNet50 | 256 | Adam | 1.00 × 10−3 | 33 | 0.79 | 0.64 | 0.76 |
| ResNet50 | 64 | Adam | 1.00 × 10−3 | 46 | 0.93 | 0.75 | 0.74 |
| ResNet50 | 128 | RMSprop | 1.00 × 10−3 | 31 | 0.58 | 0.53 | 0.64 |
| ResNet50 | 128 | Adam | 1.00 × 10−2 | 38 | 0.71 | 0.70 | 0.77 |
| ResNet50 | 128 | Adam | 1.00 × 10−3 | 36 | 0.84 | 0.71 | 0.80 |
| ResNet50 | 128 | Adam | 5.00 × 10−3 | 56 | 0.73 | 0.72 | 0.82 |
| ResNet18 | 128 | Adam | 1.00 × 10−4 | 18 | 0.90 | 0.79 | 0.86 * |
| Dataset | Model | Mean | Minimum | Maximum |
|---|---|---|---|---|
| Baseline | ResNet18 | 0.82 | 0.66 | 0.89 |
| ImageNet | ResNet18 | 0.94 | 0.94 | 0.95 |
| HAM10000 | ResNet18 | 0.83 | 0.68 | 0.93 |
| RawFooT | ResNet18 | 0.81 | 0.65 | 0.93 |
| MSI vs. MSS | ResNet18 | 0.83 | 0.73 | 0.91 |
| Baseline | ResNet50 | 0.75 | 0.64 | 0.82 |
| ImageNet | ResNet50 | 0.84 | 0.76 | 0.90 |
| HAM10000 | ResNet50 | 0.70 | 0.49 | 0.89 |
| RawFooT | ResNet50 | 0.77 | 0.55 | 0.89 |
| MSI vs. MSS | ResNet50 | 0.71 | 0.54 | 0.82 |
Publisher’s Note: MDPI stays neutral with regard to jurisdictional claims in published maps and institutional affiliations. |
© 2021 by the authors. Licensee MDPI, Basel, Switzerland. This article is an open access article distributed under the terms and conditions of the Creative Commons Attribution (CC BY) license (https://creativecommons.org/licenses/by/4.0/).
Share and Cite
Pires de Lima, R.; Duarte, D. Pretraining Convolutional Neural Networks for Mudstone Petrographic Thin-Section Image Classification. Geosciences 2021, 11, 336. https://doi.org/10.3390/geosciences11080336
Pires de Lima R, Duarte D. Pretraining Convolutional Neural Networks for Mudstone Petrographic Thin-Section Image Classification. Geosciences. 2021; 11(8):336. https://doi.org/10.3390/geosciences11080336
Chicago/Turabian StylePires de Lima, Rafael, and David Duarte. 2021. "Pretraining Convolutional Neural Networks for Mudstone Petrographic Thin-Section Image Classification" Geosciences 11, no. 8: 336. https://doi.org/10.3390/geosciences11080336
APA StylePires de Lima, R., & Duarte, D. (2021). Pretraining Convolutional Neural Networks for Mudstone Petrographic Thin-Section Image Classification. Geosciences, 11(8), 336. https://doi.org/10.3390/geosciences11080336

