Anatomic Study of the Elbow Joint in a Bengal Tiger (Panthera tigris tigris) Using Magnetic Resonance Imaging and Gross Dissections
Simple Summary
Abstract
1. Introduction
2. Materials and Methods
2.1. Animals
2.2. Magnetic Resonance Imaging
2.3. Anatomical Evaluation
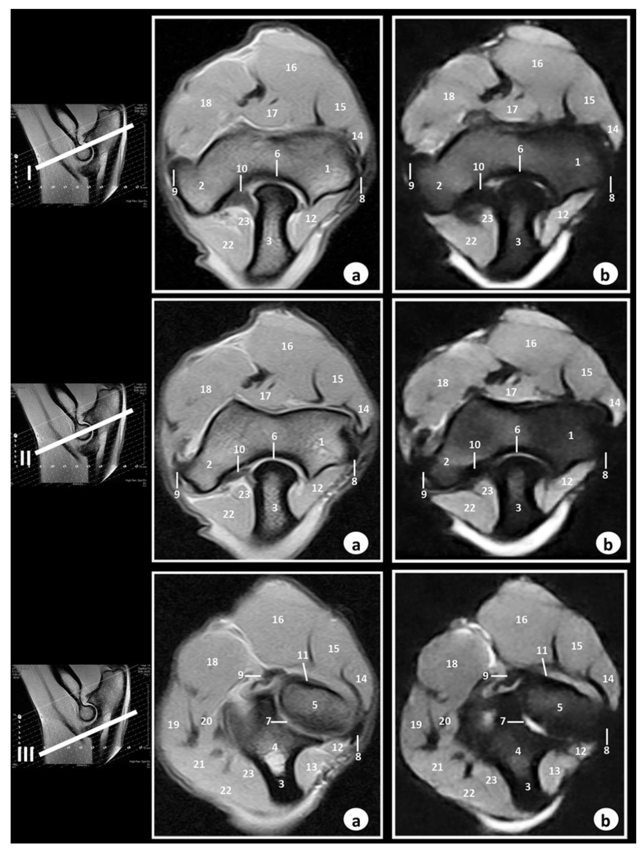
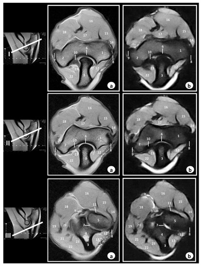
3. Results
3.1. Gross Anatomical Dissections
3.2. Magnetic Resonance Imaging
4. Discussion
5. Conclusions
Author Contributions
Funding
Acknowledgments
Conflicts of Interest
References
- Bredella, M.A.; Tirman, P.F.; Fritz, R.C.; Feller, J.F.; Wischer, T.K.; Genant, H.K. MR imaging findings of lateral ulnar collateral ligament abnormalities in patients with lateral epicondylitis. Am. J. Roentgenol. 1999, 173, 1379–1382. [Google Scholar] [CrossRef] [PubMed]
- Kijowski, R.; Tuite, M.; Sanford, M. Magnetic resonance imaging of the elbow. Part I: Normal anatomy, imaging technique, and osseous abnormalities. Skelet. Radiol. 2004, 33, 685–697. [Google Scholar] [CrossRef] [PubMed]
- Sampath, S.C.; Sampath, S.C.; Bredella, M.A. Magnetic resonance imaging of the elbow: A structured approach. Sports Health 2013, 5, 34–39. [Google Scholar] [CrossRef] [PubMed]
- Tnibar, M.A.; Auer, J.A.; Bakkali, S. Ultrasonography of the equine elbow technique and normal appearance. J. Equine Vet. Sci. 2001, 21, 177–187. [Google Scholar] [CrossRef]
- Snaps, F.R.; Saunders, J.H.; Park, R.D.; Daenen, B.; Balligand, M.H.; Dondelinger, R.F. Comparison of spin echo, gradient echo and fat saturation magnetic resonance imaging sequences for imaging the canine elbow. Vet. Radiol. Ultrasound 1998, 39, 518–523. [Google Scholar] [CrossRef]
- Baeumlin, Y.; De Rycke, L.; Van Caelenberg, A.; Van Bree, H.; Gielen, I. Magnetic resonance imaging of the canine elbow: An anatomic study. Vet. Surg. 2010, 39, 566–573. [Google Scholar] [CrossRef]
- Wucherer, K.L.; Ober, C.P.; Conzemius, M.G. The use of delayed gadolinium enhanced magnetic resonance imaging of cartilage and T2 mapping to evaluate articular cartilage in the normal canine elbow. Vet. Radiol. Ultrasound 2012, 53, 57–63. [Google Scholar] [CrossRef]
- Cook, C.R.; Cook, J.L. Diagnostic imaging of canine elbow dysplasia: A review. Vet. Surg. 2009, 38, 144–153. [Google Scholar] [CrossRef]
- Adamiak, Z.; Jaskólska, M.; Matyjasik, H.; Pomianowski, A.; Kwiatkowska, M. Magnetic resonance imaging of selected limb joints in dogs. Pol. J. Vet. Sci. 2011, 14, 501–505. [Google Scholar] [CrossRef]
- Piola, V.; Posch, B.; Radke, H.; Telintelo, G.; Herrtage, M.E. Magnetic resonance imaging features of canine incomplete humeral condyle ossification. Vet. Radiol. Ultrasound 2012, 53, 560–565. [Google Scholar] [CrossRef]
- De Bakker, E.; Gielen, I.; Kromhout, K.; van Bree, H.; Van Ryssen, B. Magnetic resonance imaging of primary and concomitant flexor enthesopathy in the canine elbow. Vet. Radiol. Ultrasound 2014, 55, 56–62. [Google Scholar] [CrossRef] [PubMed]
- Ambrosius, L.; Arnoldy, C.; Waller, K.R., 3rd; Little, J.P.; Bleedorn, J.A. Reconstruction of chronic triceps tendon avulsion using synthetic mesh graft in a dog. Vet. Comp. Orthop. Traumatol. 2015, 28, 220–224. [Google Scholar] [CrossRef] [PubMed]
- Coppieters, E.; Gielen, I.; Verhoeven, G.; Van Vynckt, D.; Van Ryssen, B. Erosion of the medial compartment of the canine elbow: Occurrence, diagnosis and currently available treatment options. Vet. Comp. Orthop. Traumatol. 2015, 28, 9–18. [Google Scholar] [PubMed]
- Wavreille, V.; Fitzpatrick, N.; Drost, W.T.; Russell, D.; Allen, M.J. Correlation between histopathologic, arthroscopic, and magnetic resonance imaging findings in dogs with medial coronoid disease. Vet. Surg. 2015, 44, 501–510. [Google Scholar] [CrossRef]
- Franklin, S.P.; Burke, E.E.; Holmes, S.P. Utility of MRI for characterizing articular cartilage pathology in dogs with medial coronoid process disease. Front. Vet. Sci. 2017, 4, 25. [Google Scholar] [CrossRef]
- International Union for Conservation of Nature and Natural Resources Species Survival Commission (IUCN), The IUCN Red List of Threatened Species. 2011. Available online: https://www.iucnredlist.org (accessed on 1 November 2019).
- Arencibia, A.; Encinoso, M.; Jaber, J.R.; Morales, D.; Blanco, D.; Artiles, A.; Vázquez, J.M. Magnetic resonance imaging study in a normal Bengal tiger (Panthera tigris) stifle joint. BMC Vet. Res. 2015, 11, 192. [Google Scholar] [CrossRef]
- Arencibia, A.; Matos, J.; Encinoso, M.; Gil, F.; Artiles, A.; Martínez-Gomariz, F.; Vázquez, J.M. Computed tomography and magnetic resonance imaging study of a normal tarsal joint in a Bengal tiger (Panthera tigris). BMC Vet. Res. 2019, 15, 126. [Google Scholar] [CrossRef]
- Jaber, J.R.; Encinoso, M.; Morales, D.; Artiles, A.; Santana, M.; Blanco, D.; Arencibia, A. Anatomic study of the normal Bengal tiger (Panthera tigris tigris) brain and associated structures using low field magnetic resonance imaging. Eur. J. Anat. 2016, 20, 195–203. [Google Scholar]
- Snow, T.M.; Litster, A.L.; Gregory, R.J. Big cat scan: Magnetic resonance imaging of the tiger. Australas. Radiol. 2004, 48, 93–95. [Google Scholar] [CrossRef]
- Zeira, O.; Briola, C.; Konar, M.; Dumas, M.P.; Wrzosek, M.A.; Papa, V. Suspected neurotoxicity due to Clostridium perfringens type B in a tiger (Panthera tigris). J. Zoo Wildl. Med. 2012, 43, 666–669. [Google Scholar] [CrossRef]
- Williams, M.C.; Lambrechts, N.E. Synovial osteochondromatosis in the elbow joint of a Bengal tiger (Panthera tigris tigris). Vet. Comp. Orthop. Traumatol. 2001, 14, 56–59. [Google Scholar] [CrossRef]
- Rossi, F.; Vignoli, M.; Terragni, R.; Pozzi, L.; Impallomeni, C.; Magnani, M. Bilateral elbow malformation in a cat caused by radio-ulnar synostosis. Vet. Radiol. Ultrasound 2003, 44, 283–286. [Google Scholar] [CrossRef] [PubMed]
- Lascelles, B.D.X. Feline Degenerative Joint Disease. Vet. Surg. 2010, 39, 2–13. [Google Scholar] [CrossRef] [PubMed]
- Medl, N.; Hurter, K. Fracture of the anconeal process in two cats. Vet. Comp. Orthop. Traumatol. 2010, 23, 124–127. [Google Scholar]
- Tan, C.; Allan, G.S.; Barfield, D.; Krockenberger, M.B.; Howlett, R.; Malik, R. Synovial osteochondroma involving the elbow of a cat. J. Feline Med. Surg. 2010, 12, 412–417. [Google Scholar] [CrossRef]
- Streubel, R.; Geyer, H.; Montavon, P.M. Medial humeral epicondylitis in cats. Vet. Surg. 2012, 41, 795–802. [Google Scholar] [CrossRef]
- Monsalve Buriticá, S.; Rojano, C.; Martínez, L.M. Tumor de la vaina nerviosa periférica en un tigre de bengala (Panthera tigris). J. Agric. Animal Sci. 2012, 1, 70–74. [Google Scholar]
- Latorre, R.; Gil, F.; Climent, S.; López, O.; Henry, R.; Ayala, M.; Ramírez, G.; Martínez, F.; Vázquez, J.M. Artrologia. In Atlas en Color sobre Abordajes Quirúrgicos a Huesos y Articulaciones en el Perro y el Gato. Miembros Toracico y Pelviano, 1th ed.; Inter-Médica: Buenos Aires, República Argentina, 2008; pp. 48–89. [Google Scholar]
- Done, S.H.; Goody, P.C.; Evans, S.A.; Stickland, N.C. El miembro torácico. In Atlas en Color de Anatomía Veterinaria. El Perro y el Gato, 2nd ed.; Elsevier Mosby: Barcelona, Spain, 2010; pp. 139–184. [Google Scholar]
- World Association of Veterinary Anatomists. Arthrologia. In Nomina Anatomica Veterinaria, 6th ed.; International Committee on Veterinary Gross Anatomical Nomenclature: Hanover, NH, USA, 2005; p. 50. [Google Scholar]
- Schaller, O. Arthrologia. In Illustrated Veterinary Anatomical Nomenclature, 2nd ed.; Enke: Sttutgart, Germany; Ghent, Belgium; Columbia, MO, USA; Rio de Janeiro, Brazil, 2007; pp. 84–85. [Google Scholar]
- Hauptfleisch, J.; English, C.; Murphy, D. Elbow magnetic resonance imaging: Imaging anatomy and evaluation. Top. Magn. Reson. Imaging 2015, 24, 93–107. [Google Scholar] [CrossRef]
- Brunton, L.M.; Anderson, M.W.; Pannunzio, M.E.; Khanna, A.J.; Chhabra, A.B. Magnetic resonance imaging of the elbow: Update on current techniques and indications. J. Hand. Surg. Am. 2006, 31, 1001–1011. [Google Scholar] [CrossRef]
- Freire, M.; Robertson, I.; Bondell, H.D.; Brown, J.; Hash, J.; Pease, A.P.; Lascelles, B.D.X. Radiographic evaluation of feline appendicular degenerative joint disease vs. macroscopic appearance of articular cartilage. Vet. Radiol. Ultrasound 2011, 52, 239–247. [Google Scholar] [CrossRef]
- Kramer, M.; Gerwing, M.; Hach, V.; Schimke, E. Sonography of the musculoskeletal system in dogs and cats. Vet. Radiol. Ultrasound 1997, 38, 139–149. [Google Scholar] [CrossRef] [PubMed]
- De Rycke, L.M.; Gielen, I.M.; Henri van Bree, H.; Simoens, P.J. Computed tomography of the elbow joint in clinically normal dogs. Am. J. Vet. Res. 2002, 63, 1400–1407. [Google Scholar] [CrossRef] [PubMed]
- Deem, S.L. Role of the zoo veterinarian in the conservation of captive and free ranging wildlife. Int. Zoo. Yearb. 2007, 41, 3–11. [Google Scholar] [CrossRef]
- Konar, M.; Lang, J. Pros and cons of low-field magnetic resonance imaging in veterinary practice. Vet. Radiol. Ultrasound 2011, 52, S5–S14. [Google Scholar] [CrossRef]
- Basa, R.M.; Podadera, J.M.; Burland, G.; Johnson, K.A. High field magnetic resonance imaging anatomy of feline carpal ligaments is comparable to plastinated specimen anatomy. Vet. Radiol. Ultrasound 2018, 59, 597–606. [Google Scholar] [CrossRef]





| TISSUE | SE-T1 Weighted | GE-STIR-T2 Weighted |
|---|---|---|
| Cortical and subchondral bone | Very low | Very low |
| Bone marrow | High | Intermediate |
| Fat | High | Intermediate |
| Synovial fluid | Low | High |
| Articular cartilage | Intermediate | Intermediate |
| Ligament | Low | Very low |
| Muscle | Intermediate | Intermediate |
| Tendon | Low | Very low |
© 2019 by the authors. Licensee MDPI, Basel, Switzerland. This article is an open access article distributed under the terms and conditions of the Creative Commons Attribution (CC BY) license (http://creativecommons.org/licenses/by/4.0/).
Share and Cite
Encinoso, M.; Orós, J.; Ramírez, G.; Jaber, J.R.; Artiles, A.; Arencibia, A. Anatomic Study of the Elbow Joint in a Bengal Tiger (Panthera tigris tigris) Using Magnetic Resonance Imaging and Gross Dissections. Animals 2019, 9, 1058. https://doi.org/10.3390/ani9121058
Encinoso M, Orós J, Ramírez G, Jaber JR, Artiles A, Arencibia A. Anatomic Study of the Elbow Joint in a Bengal Tiger (Panthera tigris tigris) Using Magnetic Resonance Imaging and Gross Dissections. Animals. 2019; 9(12):1058. https://doi.org/10.3390/ani9121058
Chicago/Turabian StyleEncinoso, Mario, Jorge Orós, Gregorio Ramírez, José Raduan Jaber, Alejandro Artiles, and Alberto Arencibia. 2019. "Anatomic Study of the Elbow Joint in a Bengal Tiger (Panthera tigris tigris) Using Magnetic Resonance Imaging and Gross Dissections" Animals 9, no. 12: 1058. https://doi.org/10.3390/ani9121058
APA StyleEncinoso, M., Orós, J., Ramírez, G., Jaber, J. R., Artiles, A., & Arencibia, A. (2019). Anatomic Study of the Elbow Joint in a Bengal Tiger (Panthera tigris tigris) Using Magnetic Resonance Imaging and Gross Dissections. Animals, 9(12), 1058. https://doi.org/10.3390/ani9121058

