Principles and Clinical Uses of Real-Time Ultrasonography in Female Swine Reproduction
Abstract
Simply Summary
Abstract
1. Introduction
2. Technical Requirements and Route of Application
3. Reproductive Organs and Functions to be Monitored
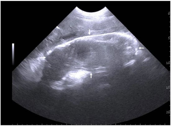
3.1. The Uterus
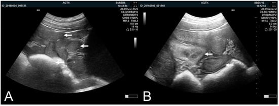
3.1.1. The Pregnant Uterus, Pregnancy Determination and Peripartum Assessment
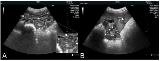
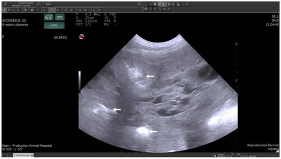
3.1.2. The Puerperal Uterus
3.1.3. The Non-Gravid Post-Puerperal Uterus
3.1.4. The Pre-Pubertal Versus Pubertal Uterus
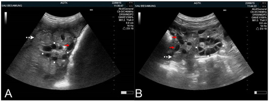
3.2. The Ovary
4. Practical Use of RTU in Swine Reproduction
4.1. Delayed or Failure to Attain Puberty
4.2. Prolonged Wean-to-Estrus Interval
4.3. Problems with Conception and Farrowing Rate
4.4. Problems with Non-Puerperal Vulval Discharge
5. Conclusions
Author Contributions
Funding
Acknowledgments
Conflicts of Interest
References
- Kauffold, J.; Althouse, G.C. An update on the use of B-mode ultrasonography in female pig reproduction. Theriogenology 2007, 67, 901–911. [Google Scholar] [CrossRef] [PubMed]
- Kauffold, J.; Richter, A.; Sobiraj, A. Ergebnisse und Erfahrungen einer zweijährigen Untersuchungstätigkeit im Rahmen der sonographischen Trächtigkeitskontrolle bei Sauen zu unterschiedlichen Graviditätstagen. [Results and experiences of pregnancy control in swine by ultrasonography on different days of gestation over two years]. Tierärztl. Prax. 1997, 25, 429–437. [Google Scholar]
- Kauffold, J.; Richter, A.; Rautenberg, T.; Sobiral, A. Die ultrasonographische Trächtigkeitsuntersuchung beim Schwein Teil (1): Ein kritischer Vergleich zur Umrauscherkontrolle. [The ultrasonographic pregnancy diagnosis in pigs (1): A critical comparison of the procedures used to check for returns-to-service]. Tierarztl. Prax. 2003, 31, 336–341. [Google Scholar]
- Kauffold, J.; Rautenberg, T.; Hoffmann, G.; Betnon, N.; Schellenberg, I.; Sobiraj, A. A field study into the appropriateness of transcutaneous ultrasonography in the diagnoses of uterine disorders in reproductively failed pigs. Theriogenology 2005, 64, 1546–1558. [Google Scholar] [CrossRef] [PubMed]
- Kauffold, J.; Wehrend, A. Reproductive disorders in the female pig: Causes, manifestation, diagnostics and approach in herd health care. Tierarztl. Prax. 2014, 42, 179–186. [Google Scholar]
- Herlt, C.; Stark, R.; Sigmarsson, H.L.; Kauffold, J. Feasibility of transabdominal Doppler sonography for studying uterine blood flow characteristics in cycling gilts. Tierarztl. Prax. 2018, 46, 154–163. [Google Scholar] [CrossRef] [PubMed]
- Peltoniemi, O.A.T.; Björkman, S.; Oliviero, C. Parturition effects on reproductive health in the gilt and sow. Reprod. Dom. Anim. 2016, 51, 36–47. [Google Scholar] [CrossRef] [PubMed]
- Kauffold, J.; Rautenberg, T.; Gutjahr, S.; Richter, A.; Sobiraj, A. Ultrasonographic characterization of the ovaries in non-pregnant first served sows and gilts. Theriogenology 2004, 61, 1407–1417. [Google Scholar] [CrossRef] [PubMed]
- Waberski, D.; Kunz-Schmidt, A.; Borchardt Neto, G. Real-time ultrasound diagnosis of ovulation and ovarian cysts and its impact on artificial insemination efficiency. Proc. Am. Soc. Anim. Sci. 1999. Available online: http://www.asas.org/jas/symposia (accessed on 20 June 2000).
- Martinat-Botté, F.; Royer, E.; Venturi, E.; Boisseau, C.; Philippe, G.; Furstoss, V.; Terqui, M. Determination by echography of uterine changes around puberty in gilts and evaluation of a diagnosis of puberty. Reprod. Nutr. Dev. 2003, 43, 225–236. [Google Scholar] [CrossRef] [PubMed][Green Version]
- Kauffold, J.; Rautenberg, T.; Richter, A.; Waehner, M.; Sobiraj, A. Ultrasonographic characterization of the ovaries and the uterus in prepubertal and pubertal gilts. Theriogenology 2004, 61, 1635–1648. [Google Scholar] [CrossRef] [PubMed]
- Kauffold, J. Use of Ultrasonography for Reproductive Troubleshooting; University of Veterinary Medicine: Hannover, Germany, 2010; pp. 31–32. [Google Scholar]
- Althouse, G.C.A.; Kauffold, J.; Rossow, S. Diseases of the reproductive system. In Diseases of Swine, 11th ed.; Zimmermann, J.J., Karriker, L.A., Ramirez, A., Schwartz, K.J., Stevenson, G.W., Zhang, J., Eds.; John Wiley & Sons, Inc.: Hoboken, NJ, USA, 2019; pp. 373–392. [Google Scholar]
- Kauffold, J.; Wehrend, A.; Schwarz, B.A.; Knauf, D.; Willig, R.; Schagemann, G.; Schmoll, F. Exhaust expulsion of the porcine reproductive and respiratory syndrome virus (PRRSV) through ultrasound machines. Tierarztl. Prax. 2010, 38, 285–292. [Google Scholar]
- Kauffold, J.; Beckjunker, J.; Scheller, R.; Schwarz, B.A.; Beynon, N.; Sobiraj, A. Effects of type of machine and covering on viruses and microorganisms recovered from dust in ultrasound machines used in German swine production operations. J. Swine Health Prod. 2005, 13, 72–80. [Google Scholar]
- Knox, R.V.; Althouse, G.C. Visualizing the reproductive tract of the female pig using real-time ultrasonography. J. Swine Health Prod. 1999, 7, 207–215. [Google Scholar]
- Kauffold, J.; Gmeiner, K.; Sobiraj, A.; Richter, A.; Failing, K.; Wendt, M. Ultrasonographic characterization of the urinary bladder in sows with and without urinary tract infection. Vet. J. 2010, 183, 103–108. [Google Scholar] [CrossRef] [PubMed]
- Kauffold., J.; von dem Bussche, B.; Failing, K.; Wehrend, A.; Wendt, M. Use of B-mode Ultrasound and Grey-Scale Analysis to Study Uterine Echogenicity in the Pig. J. Reprod. Dev. 2010, 56, 444–448. [Google Scholar] [CrossRef] [PubMed]
- von dem Bussche-Hünnefeld, B. Sonographische Graustufenanalyse des Uterus vom Schwein im Verlauf des Zyklus und der frühen Trächtigkeit. [Sonographic Grey-Scale Analysis of the Pig Uterus during the Oestrous Cycle and Early Gestation]. Ph.D. Thesis, University of Leipzig, Leipzig, Germany, 2007. [Google Scholar]
- de Rensis, F.; Bigliardi, E.; Parmigiani, E.; Peters, A.R. Early diagnosis of pregnancy in sows by ultrasound evaluation of embryo development and uterine echotexture. Vet. Rec. 2000, 2, 267–270. [Google Scholar] [CrossRef] [PubMed]
- Miller, G.M.; Breen, S.M.; Roth, S.L.; Willenburg, K.L.; Rodriguez-Zas, S.; Knox, R.V. Characterization of image and labor requirements for positive pregnancy diagnosis in swine using two methods of real-time ultrasound. J. Swine Health Prod. 2003, 11, 233–239. [Google Scholar]
- Fraunholz, J.; Kähn, W.; Leidl, W. Sonography for pregnancy diagnosis of swine – comparison between transrectal and transcutaneous procedures. Mh. Vet. Med. 1989, 44, 425–430. [Google Scholar]
- Cartee, R.E.; Powe, T.A.; Ayer, R.L. Ultrasonographic detection of pregnancy in sows. Mod. Vet. Pract. 1985, 66, 23–26. [Google Scholar]
- Brüssow, K.P.; Kurth, J.; Vernunft, A.; Becker, F.; Tuchscherer, A.; Kanitz, W. Laparoscopy guided Doppler ultrasound measurement of fetal blood flow indices during early to mid-gestation in pigs. J. Reprod. Dev. 2012, 58, 243–247. [Google Scholar] [PubMed]
- Kauffold, J.; Richter, A.; Rautenberg, T.; Sobiraj, A. Die ultrasonographische Trächtigkeitsuntersuchung beim Schwein Teil (2): Sensitivität und Spezifität sowie Notwendigkeit mehrmaliger Untersuchungen. [The ultrasonographic pregnancy diagnosis in pigs (2): Concerning the sensitivity and specificity and the need of repeated tests]. Tierärztl. Prax. 2004, 32, 32–39. [Google Scholar]
- Jonker, F.H. Fetal death: Comparative aspects in large domestic animals. Anim. Reprod. Sci. 2004, 82, 415–430. [Google Scholar] [CrossRef] [PubMed]
- Cohen, S.; Mulder, E.J.; van Oord, A.C.; Jonker, F.H.; van der Weijden, G.C.; Taverne, M.A. Non-invasive monitoring of fetal heart rate during the last ten days of gestation in sows. Am. J. Vet. Res. 1997, 58, 1285–1290. [Google Scholar] [PubMed]
- Peltoniemi, O.A.T.; Björkman, S.; Oliviero, C. Disorders of parturition and the puerperium in the gilt and sow. In Veterinary Reproduction and Obstetrics, 10th ed.; Noakes, D.E., Parkinson, T., England, G.C.W., Eds.; Elsevier: Amsterdam, The Netherlands, 2019; pp. 315–325. [Google Scholar]
- Boulot, S.; Loiseau, D.; Richard, R. Ultrasonographic diagnosis of intra-partum death in stillborn piglets; preliminary results. Reprod. Dom. Anim. 2014, 49, 58–59. [Google Scholar]
- Björkman, S.; Oliviero, C.; Rajala-Schultz, P.J.; Soeder, M.M.; Peltoniemi, O.A.T. The effect of litter size, parity and farrowing duration on placenta expulsion and retention in sows. Theriogenology 2018, 92, 36–44. [Google Scholar] [CrossRef] [PubMed]
- Björkman, S.; Kauffold, J.; Soede, N.M.; Peltoniemi, O.A.T. Prolonged parturition and impaired placenta expulsion increase the risk of postpartum metritis and delay uterine involution in sows. Theriogenology 2018, 106, 87–92. [Google Scholar] [CrossRef] [PubMed]
- Oliviero, C.; Kothe, S.; Heinonen, M.; Valros, A.; Peltoniemi, O. Prolonged duration of farrowing is associated with subsequent decreased fertility in sows. Theriogenology 2013, 70, 1095–1099. [Google Scholar] [CrossRef] [PubMed]
- Meile, A.; Nathues, H.; Grahofer, A. Association between uterine involution in sows and reproductive performance in their next gestation. In Proceedings of the 17th International Conference on Production Diseases in Farm Animals; Bruckmaier, R., Gross, J.J., Eds.; Bern University: Bern, Switzerland, 2019; p. 179. [Google Scholar]
- Kauffold, J.; Hoeruegel, K.; Beynon, N.; Sobiraj, A. Ultrasonographische Charakterisierung von Uteri und Ovarien fertiler Altsauen nach dem Absetzen und in der darauffolgenden Brunst. [Ultrasonographic characterization of the uteri and ovaries of fertile sows after weaning and at the post-weaning oestrus]. Tierärztl. Prax. 2006, 34, 35–39. [Google Scholar]
- Kauffold, J.; Richter, A.; Sobiraj, A. Untersuchungen zur Eignung des ultrasonographisch ermittelten Uterusgewichtes und der uterinen Echotextur zur Prognose der Fertilität beim weiblichen Schwein. [Investigations into the appropriateness of the ultrasonographically ascertained uterine weight and the uterine echotexture for the prognosis of fertility in the female pig]. Tierärztl. Prax. 2005, 33, 175–180. [Google Scholar]
- Kauffold, J. (University of Leipzig, Leipzig, Germany). Personal communication, (older parity sows with larger uterine sizes than younger animals). 2019.
- Kauffold, J. Nichtpuerperale Uteruserkrankungen beim Schwein. [Non-puerperal inflammations of the uterus in the pig]. Tierärztl. Prax. 2008, 36, 189–199. [Google Scholar]
- Martinat-Botté, F.; Venturi, É.; Royer, É.; Elleboudt, F.; Furstoss, V.; Ridremont, B.; Driancourt, M.A. Selection of impubertal gilts by ultrasonography optimizes their oestrus, ovulatory and fertility responses following puberty induction by PG600. Anim. Reprod. Sci. 2011, 124, 132–137. [Google Scholar] [CrossRef] [PubMed]
- Lents, C.A.; Cushman, R.A.; Freking, B.A. Measures of the ovaries and uterus during development of gilts selected for differences in uterine capacity. J. Anim. Sci. 2014, 92, 2433–2439. [Google Scholar] [CrossRef] [PubMed]
- Kauffold, J. (University of Leipzig, Leipzig, Germany). Personal communication, (gilts put on altrenogest may exhibit small amounts of anechoic intrauterine fluid). 2019.
- Kauffold, J.; Gottschalk, J.; Schneider, S.; Beynon, N.; Wahner, M. Effects of feeding level during lactation on FSH and LH secretion patterns, and follicular development in primiparous sows. Reprod. Dom. Anim. 2008, 43, 234–238. [Google Scholar] [CrossRef] [PubMed]
- Kauffold, J. (University of Leipzig, Leipzig, Germany). Personal communication, (follicle size one day post-weaning). 2019.
- Legler, N.; Kauffold, J. Fixed-Time-Insemination after synchronization of ovulation with Porceptal®: Comparing different time schedules in a system with morning weaning. In Proceedings of the 24th IPVS Congress and 8th European Symposium of Porcine Health Management, Dublin, Ireland, 7–10 June 2016; p. 384. [Google Scholar]
- Knox, R.V.; Rodriguez-Zas, S.L. Factors influencing estrus and ovulation in weaned sows as determined by transrectal ultrasound. J. Anim. Sci. 2001, 79, 2957–2963. [Google Scholar] [CrossRef] [PubMed]
- Knox, R.V.; Probst-Miller, A. Evaluation of transrectal real-time ultrasound for use in identifying sources of reproductive failure in weaned sows. J. Swine Health Prod. 2004, 12, 71–74. [Google Scholar]
- Soede, N.M.; Hazeleger, W.; Kemp, B. Follicle size and the process of ovulation in sows as studied with ultrasound. Repod. Dom. Anim. 1998, 33, 239–244. [Google Scholar] [CrossRef]
- Lucy, M.C.; Liu, J.; Boyd, C.K.; Bracken, C.J. Ovarian follicular growth in sows. Reproduction 2001, 58, 31–45. [Google Scholar] [PubMed]
- Bracken, C.J.; Radcliff, R.P.; McCormack, B.L.; Keisler, D.H.; Lucy, M.C. Decreased follicular size during late lactation caused by treatment with charcoal-treated follicular fluid delays onset of estrus and ovulation after weaning in sows. J. Anim. Sci. 2006, 84, 2110–2117. [Google Scholar] [CrossRef] [PubMed]
- Vorhagen, V. Sonographische Untersuchung von präovulatorischen Follikeln bei der Sau in Hinblick auf eine mögliche Voraussage der Ovulationsperiode. Doctoral Thesis, University of Giessen, Giessen, Germany, 2015. [Google Scholar]
- Waberski, D.; Kunz-Schmidt, A.; Wagner-Rietschel, H.; Kerzel, I.; Weitze, K.F. Ultrasonography in swine gynaecology: Possibilities and limits. Prak. Tierarzt. 1998, 79, 257–262. [Google Scholar]
- Nissen, A.K.; Soede, N.M.; Hyttel, P.; Schmidt, M.; D’Hoore, L. The influence of time of insemination relative to time of ovulation on farrowing frequency and litter size in sows, as investigated by ultrasonography. Theriogenology 1997, 47, 1571–1582. [Google Scholar] [CrossRef]
- Knox, R.V. Recruitment and selection of ovarian follicles for determination of ovulation rate in the pig. Domest. Anim. Endocrinol. 2005, 29, 385–397. [Google Scholar] [CrossRef] [PubMed]
- Soede, N.M.; Langendijk, P.; Kemp, B. Reproductive cycles in pigs. Anim. Reprod. Sci. 2011, 124, 251–258. [Google Scholar] [CrossRef] [PubMed]
- Stark, R.; Herlt, C.; Sigmarsson, H.L.; Kauffold, J. Feasibility of transabdominal Doppler ultrasonography for studying ovarian blood flow characteristics in cycling gilts. Tierarztl. Prax. 2019, 47, 77–85. [Google Scholar] [CrossRef] [PubMed]
- Kauffold., J.; Peltoniemi, O.; Knöppel, H.; Collel, M. Effective treatment of polycystic ovarian degeneration in gilts and sows with Altrenogest (Regumate®)—First Results. In Proceedings of the 6th European Symposium of Porcine Health Management, Sorrento, Italy, 7–9 May 2014; p. 256. [Google Scholar]
- Cech, S.; Dolezel, R. Treatment of ovarian cysts in sows—A field trial. Vet. Med. (Praha) 2007, 52, 413–418. [Google Scholar] [CrossRef]
- Schmidt, A. Studies on the control of ovarian cysts in sows using transcutaneous sonography. Ph.D. Thesis, School of Veterinary Medicine, Hannover, Germany, 2003. [Google Scholar]
- Musella, C.; de Rensis, F.; Tonon, F. Ultrasonography evaluation of ovary and uterus avoids inclusion of not pubertal gilts in a program of oestrus synchronization with altrenogest. In Proceedings of the 24th IPVS Congress and 8th European Symposium of Porcine Health Management, Dublin, Ireland, 7–10 June 2016; p. 383. [Google Scholar]
- Soede, N.M.; Laurenssen, B.; Abrahamse-Berkeveld, M.; Gerritsen, R.; Dirx-Kuijken, N.; Langendijk, P.; Kemp, B. Timing of lactational oestrus in intermittent suckling regimes: Consequences for sow fertility. Anim. Reprod. Sci. 2012, 130, 74–81. [Google Scholar] [CrossRef] [PubMed]
- Sigmarsson, H.L.; Kauffold, J. Incidence and fertility of sows with lactational estrus in a mid-size commercial farm with Danish genetic. In Proceedings of the 24th IPVS Congress and 8th European Symposium of Porcine Health Management, Dublin, Ireland, 7–10 June 2016; p. 115. [Google Scholar]
- Quesnel, H. Nutritional and lactational effects on follicular development in the pig. Soc. Reprod. Fertil. Suppl. 2009, 66, 121–134. [Google Scholar] [PubMed]
- Chen, T.Y.; Lines, D.; Dickson, C.; Go, C.; Kirkwood, R.N.; Langendijk, P. Elevating glucose and insulin secretion by carbohydrate formulation diets in late lactation to improve post-weaning fertility in primiparous sows. Reprod. Domest. Anim. 2016, 51, 813–818. [Google Scholar] [CrossRef] [PubMed]
- Kauffold, J. (University of Leipzig, Leipzig, Germany). Personal communication, (POD as a result of follicular growth during lactation failing to ovulate). 2019.
- Kauffold, J. (University of Leipzig, Leipzig, Germany). Personal communication, (early parity sows can be more susceptible to nutritional influences or may reproductively behave differently than older sows). 2019.







| Interval Prior to Ovulation (h) | Follicles Analyzed (n) | Follicles “Round” (%) | Follicles “Oval” (%) | Follicles “Polygonal” (%) |
|---|---|---|---|---|
| 30–24 | 94 | 26.6 | 26.6 | 46.8 |
| 24–18 | 95 | 13.7 | 34.7 | 51.6 |
| 18–12 | 103 | 10.7 | 27.2 | 62.1 |
| 18–6 | 42 | 4.8 | 38.1 | 57.1 |
| 6–0 | 47 | 0 | 27.7 | 72.3 |
| Applicability in Female Swine Reproduction 1 | Applicability for Troubleshooting of “on Farm” Fertility Problems 1 |
|---|---|
| Diagnosis of pregnancy and pregnancy failure Assessment of health of the non-pregnant uterus Monitoring of ovulation and ovulation failure Assessment of puberty and failure to attain puberty Assessment of follicle growth and failure to grow Determination of fetal viability, retained piglets and placentae, assessment of uterine involution (Measurement of backfat depth) | Low conception rate Low farrowing rate Late fallouts High rate of returns Delayed puberty/high cull rate of gilts for “No Heat“ Vulval discharges Reduced litter size Long wean–estrus interval Peripartum/puerperal uterine disorders (Body condition monitoring) |
© 2019 by the authors. Licensee MDPI, Basel, Switzerland. This article is an open access article distributed under the terms and conditions of the Creative Commons Attribution (CC BY) license (http://creativecommons.org/licenses/by/4.0/).
Share and Cite
Kauffold, J.; Peltoniemi, O.; Wehrend, A.; Althouse, G.C. Principles and Clinical Uses of Real-Time Ultrasonography in Female Swine Reproduction. Animals 2019, 9, 950. https://doi.org/10.3390/ani9110950
Kauffold J, Peltoniemi O, Wehrend A, Althouse GC. Principles and Clinical Uses of Real-Time Ultrasonography in Female Swine Reproduction. Animals. 2019; 9(11):950. https://doi.org/10.3390/ani9110950
Chicago/Turabian StyleKauffold, Johannes, Olli Peltoniemi, Axel Wehrend, and Gary C. Althouse. 2019. "Principles and Clinical Uses of Real-Time Ultrasonography in Female Swine Reproduction" Animals 9, no. 11: 950. https://doi.org/10.3390/ani9110950
APA StyleKauffold, J., Peltoniemi, O., Wehrend, A., & Althouse, G. C. (2019). Principles and Clinical Uses of Real-Time Ultrasonography in Female Swine Reproduction. Animals, 9(11), 950. https://doi.org/10.3390/ani9110950

