Idiopathic Intestinal Smooth Muscle Hyperplasia in a French Bulldog: Clinical, Imaging, Capsule Endoscopy, and Histopathological Findings
Simple Summary
Abstract
1. Introduction
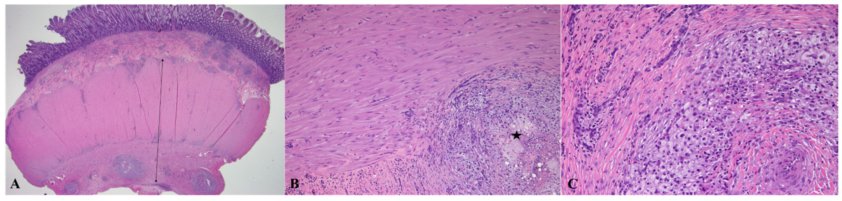
2. Case Description
3. Discussion
4. Conclusions
Author Contributions
Funding
Institutional Review Board Statement
Informed Consent Statement
Data Availability Statement
Acknowledgments
Conflicts of Interest
References
- Sharp, C.A.T.; Dolensek, T.; Martineau, H.; Vlasin, M. Chronic emesis in a dog associated with idiopathic, smooth muscle hyperplasia of the ileo-caeco-colic junction. Vet. Rec. Case Rep. 2023, 11, e661. [Google Scholar] [CrossRef]
- Dandrieux, J.R.S.; Mansfield, C.S. Chronic enteropathy in canines: Prevalence, impact and management strategies. Vet. Med. 2019, 10, 203–214. [Google Scholar] [CrossRef] [PubMed]
- Zacuto, A.C.; Pesavento, P.A.; Hill, S.; McAlister, A.; Rosenthal, K.; Cherbinsky, O.; Marks, S.L. Intestinal Leiomyositis: A cause of chronic intestinal pseudo-obstruction in 6 dogs. J. Vet. Intern. Med. 2016, 30, 132–140. [Google Scholar] [CrossRef]
- Dvir, E.; Leisewitz, A.L.; Van der Lugt, J.J. Chronic idiopathic intestinal pseudo-obstruction in an English Bulldog. J. Small Anim. Pract. 2001, 42, 243–247. [Google Scholar] [CrossRef]
- Collins-Webb, A.G.; Chong, D.L.; Cooley, S.D. Ultrasonographic intestinal muscularis thickening in dogs with histologically confirmed inflammatory bowel disease: 13 cases (2010–2021). Vet. Radiol. Ultrasound 2023, 64, 345–350. [Google Scholar] [CrossRef]
- Chaffin, M.K.; Fuenteabla, I.C.; Schumacher, J.; Welch, R.D.; Edwards, J.F. Idiopathic muscular hypertrophy of the equine small intestine: 11 cases (1980–1991). Equine Vet. J. 1992, 24, 372–378. [Google Scholar] [CrossRef]
- Bettini, G.; Muracchini, M.; Della Salda, L.; Preziosi, R.; Morini, M.; Guglielmini, C.; Sanguinetti, V.; Marcato, P.S. Hypertrophy of intestinal smooth muscle in cats. Res. Vet. Sci. 2003, 75, 43–53. [Google Scholar] [CrossRef] [PubMed]
- Bertram, C.A.; Müller, K.; Halter, L.; Nastarowitz-Bien, C.; Schink, A.K.; Lübke-Becker, A.; von Czapiewski, E.; Klopfleisch, R. Pseudodiverticula of the small intestine associated with idiopathic smooth muscle hypertrophy in domestic rabbits (Oryctolagus cuniculus). Vet. Pathol. 2019, 56, 152–156. [Google Scholar] [CrossRef]
- Gaschen, L. Ultrasonography of small intestinal inflammatory and neoplastic diseases in dogs and cats. Vet. Clin. N. Am. Small Anim. Pract. 2011, 41, 329–344. [Google Scholar] [CrossRef]
- Spencer, R.; Hudson, T.L. Idiopathic muscular hypertrophy of the gastrointestinal tract in a child. Surgery 1961, 50, 678–686. [Google Scholar]
- Uhrich, G.I. Idiopathic muscular hypertrophy of the intestinal tract. Am. J. Surg. 1965, 110, 973–976. [Google Scholar] [CrossRef]
- Guthrie, K.J. Idiopathic muscular hypertrophy of oesophagus, pylorus, duodenum and jejunum in a young girl. Arch. Dis. Child. 1945, 20, 176–178. [Google Scholar] [CrossRef][Green Version]
- Vallejo, V.; Wiener, I.; Stroh, B.C. Idiopathic muscular hypertrophy of the duodenum. J. Surg. Case Rep. 2012, 2012, 9. [Google Scholar] [CrossRef]
- Peison, B. Idiopathic muscular hypertrophy of the lower esophagus and pylorus in an adult. Chest 1971, 59, 682–687. [Google Scholar] [CrossRef]
- Curciarello, R.; Docena, G.H.; MacDonald, T.T. The role of cytokines in the fibrotic responses in Crohn’s disease. Front. Med. 2017, 4, 126. [Google Scholar] [CrossRef]
- Chen, W.; Lu, C.; Hirota, C.; Iacucci, M.; Ghosh, S.; Gui, X. Smooth muscle hyperplasia/hypertrophy is the most prominent histological change in Crohn’s fibrostenosing bowel strictures: A semiquantitative analysis by using a novel histological grading scheme. J. Crohns Colitis 2017, 11, 92–104. [Google Scholar] [CrossRef]
- Chang, H.S.; Yang, H.T.; Kim, S.Y.; Woo, D.C.; Park, W.D.; Yong, J.H.; Choe, B.Y.; Kim, H.Y.; Choi, C.B. Assessment on gastrointestinal transit movement of capsule endoscopy in beagle dogs. Korean J. Med. Phys. 2008, 19, 125–130. [Google Scholar]
- Hardy, B.T.; Gentile-Solomon, J.; Solomon, J.A. Multiple gastric erosions diagnosed by means of capsule endoscopy in a dog. J. Am. Vet. Med. Assoc. 2016, 249, 926–930. [Google Scholar] [CrossRef]
- Davignon, D.L.; Lee, A.C.; Johnston, A.N.; Bowman, D.D.; Simpson, K.W. Evaluation of capsule endoscopy to detect mucosal lesions associated with gastrointestinal bleeding in dogs. J. Small Anim. Pract. 2016, 57, 148–158. [Google Scholar] [CrossRef]
- Mabry, K.; Hill, T.; Marks, S.L.; Hardy, B.T. Use of video capsule endoscopy to identify gastrointestinal lesions in dogs with microcytosis or gastrointestinal hemorrhage. J. Vet. Intern. Med. 2019, 33, 1964–1969. [Google Scholar] [CrossRef]
- Stiller, J.; Defarges, A.M.; Brisson, B.A.; Bersenas, A.M.E.; Pearl, D.L. Feasibility, complications, and quality of visualization using video capsule endoscopy in 40 dogs with overt or questionable gastrointestinal bleeding. J. Vet. Intern. Med. 2021, 35, 1743–1753. [Google Scholar] [CrossRef]
- Lee, D.H.; Song, J.H.; Yu, D.; An, S.J.; Lee, H.C.; Kim, Y.J.; Han, D.; Jung, D.I. A study on the difference of gastrointestinal transit time with minimized capsule endoscope in dogs. J. Biomed. Transl. Res. 2019, 20, 65–70. [Google Scholar] [CrossRef]
- Bae, H.; Jung, D.I. Clinical application of capsule endoscopy in a dog with acute hemorrhagic vomiting. J. Biomed. Transl. Res. 2023, 24, 111–116. [Google Scholar] [CrossRef]
- Jang, H.; Jeon, Y.; Jung, D.I. Clinical approach to chronic enteropathy using capsule endoscopy in two dogs. J. Biomed. Transl. Res. 2025, 26, 11–19. [Google Scholar] [CrossRef]
- Jang, H.; Kim, Y.J.; Jung, D.I. A study on the diagnostic approach using real-time video capsule endoscopy in dogs with acute vomiting. Animals 2025, 15, 1056. [Google Scholar] [CrossRef]
- Rondonotti, E.; Herrerias, J.M.; Pennazio, M.; Caunedo, A.; Mascarenhas-Saraiva, M.; de Franchis, R. Complications, limitations, and failures of capsule endoscopy: A review of 733 cases. Gastrointest. Endosc. 2005, 62, 712–716. [Google Scholar] [CrossRef] [PubMed]
- Hara, F.; Walker, C.; McNamara, D. Patency testing improves capsule retention rates but at what cost? A retrospective look at patency testing. Front. Med. 2023, 10, 1046155. [Google Scholar] [CrossRef]
- Nakano, M.; Oka, S.; Tanaka, S.; Kunihara, S.; Igawa, A.; Aoyama, T.; Imagawa, H.; Onogawa, S.; Ueno, Y.; Hanada, K.; et al. Clinical usefulness of transabdominal ultrasonography prior to patency capsule for suspected small-bowel strictures. Scand. J. Gastroenterol. 2016, 51, 281–287. [Google Scholar] [CrossRef]




Disclaimer/Publisher’s Note: The statements, opinions and data contained in all publications are solely those of the individual author(s) and contributor(s) and not of MDPI and/or the editor(s). MDPI and/or the editor(s) disclaim responsibility for any injury to people or property resulting from any ideas, methods, instructions or products referred to in the content. |
© 2025 by the authors. Licensee MDPI, Basel, Switzerland. This article is an open access article distributed under the terms and conditions of the Creative Commons Attribution (CC BY) license (https://creativecommons.org/licenses/by/4.0/).
Share and Cite
Jang, H.; Kim, S.-W.; Lee, J.W.; Kim, M.; Jung, D.-I. Idiopathic Intestinal Smooth Muscle Hyperplasia in a French Bulldog: Clinical, Imaging, Capsule Endoscopy, and Histopathological Findings. Animals 2025, 15, 1199. https://doi.org/10.3390/ani15091199
Jang H, Kim S-W, Lee JW, Kim M, Jung D-I. Idiopathic Intestinal Smooth Muscle Hyperplasia in a French Bulldog: Clinical, Imaging, Capsule Endoscopy, and Histopathological Findings. Animals. 2025; 15(9):1199. https://doi.org/10.3390/ani15091199
Chicago/Turabian StyleJang, Hyomi, Sang-Woo Kim, Joon Woo Lee, Munso Kim, and Dong-In Jung. 2025. "Idiopathic Intestinal Smooth Muscle Hyperplasia in a French Bulldog: Clinical, Imaging, Capsule Endoscopy, and Histopathological Findings" Animals 15, no. 9: 1199. https://doi.org/10.3390/ani15091199
APA StyleJang, H., Kim, S.-W., Lee, J. W., Kim, M., & Jung, D.-I. (2025). Idiopathic Intestinal Smooth Muscle Hyperplasia in a French Bulldog: Clinical, Imaging, Capsule Endoscopy, and Histopathological Findings. Animals, 15(9), 1199. https://doi.org/10.3390/ani15091199

