Effect of Nitrogen Sources on Diatoms Growth and Nutritional Value for Enhancing Litopenaeus vannamei Larval Performance
Simple Summary
Abstract
1. Introduction
2. Materials and Methods
2.1. Microalgae Culture
2.1.1. Strain and Identification
2.1.2. Morphological Identification of Diatoms
2.1.3. Molecular Identification of Microalgal Species
2.2. Cultivation of Diatoms Under Different Nitrogen Sources
2.2.1. Determination of Microalgal Growth Rate
2.2.2. Chemical Analysis of Microalgae
2.3. Evaluation of Diatom-Based Diets for Litopenaeus Vannamei Larvae
2.4. Growth Measurements of Shrimp Larvae
2.5. Statistical Analysis
3. Results
3.1. Morphological Identification of the Microalgae Used
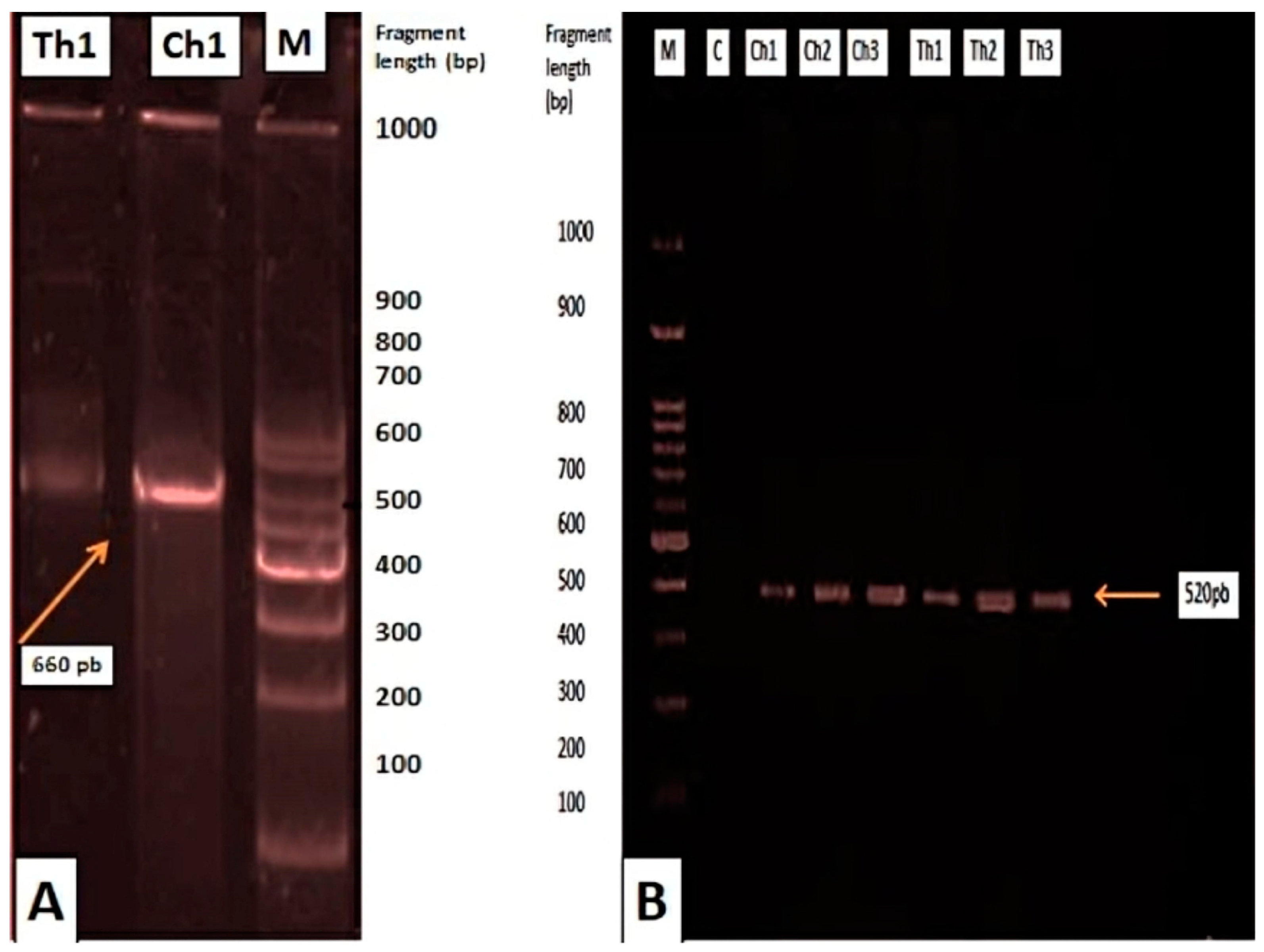
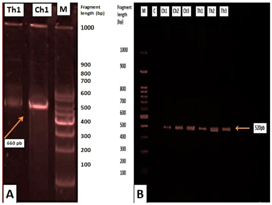
3.2. Molecular Identification of Microalgal Species
3.3. Effect of Nitrogen Sources on Growth Rates of Diatoms
3.4. Effect of Nitrogen Sources on Chemical Composition of Diatoms
3.5. Feeding Rate by White Leg Shrimp (Litopenaeus vannamei) Larvae
3.6. Mortality Rate for Shrimp Larvae Treated with Diatoms
3.7. Growth Performance of L. vannamei Larvae
4. Discussion
5. Conclusions
Author Contributions
Funding
Institutional Review Board Statement
Informed Consent Statement
Data Availability Statement
Conflicts of Interest
References
- FAO. FAO Report: Global Fisheries and Aquaculture Production Reaches a New Record High. 2024. Available online: https://www.fao.org/newsroom/detail/fao-report-global-fisheries-and-aquaculture-production-reaches-a-new-record-high/en (accessed on 20 January 2025).
- Prem, R.; Tewari, V. Development of human-powered fish feeding machine for freshwater aquaculture farms of developing countries. Aquac. Eng. 2020, 88, 102028. [Google Scholar] [CrossRef]
- Mounes, H.A.; Abd-El Azeem, Z.M.; Abd El-Bary, D.A.; Al-Sagheer, A.A.; Abd-Elhakim, Y.M.; Hassan, B.A.; Sadek, S.S.; Ahmed, K.M. Effect of Substituting Soybean Meal in Oreochromis niloticus Diets with Pumpkin (Cucurbita maxima) Seed Cake on Water Quality, Growth, Antioxidant Capacity, Immunity, and Carcass Composition. Animals 2024, 14, 195. [Google Scholar] [CrossRef]
- Magouz, F.I.; Essa, M.A.; Matter, M.; Mansour, A.T.; Gaber, A.; Ashour, M. Effect of Different Salinity Levels on Population Dynamics and Growth of the Cyclopoid Copepod Oithona nana. Diversity 2021, 13, 190. [Google Scholar] [CrossRef]
- Lukwambe, B.; Nicholaus, R.; Zhang, D.; Yang, W.; Zhu, J.; Zheng, Z. Successional changes of microalgae community in response to commercial probiotics in the intensive shrimp (Litopenaeus vannamei Boone) culture systems. Aquaculture 2019, 511, 734257. [Google Scholar] [CrossRef]
- Abbas, E.M.; Ali, F.S.; Desouky, M.G.; Ashour, M.; El-Shafei, A.; Maaty, M.M.; Sharawy, Z.Z. Novel Comprehensive Molecular and Ecological Study Introducing Coastal Mud Shrimp (Solenocera crassicornis) Recorded at the Gulf of Suez, Egypt. J. Mar. Sci. Eng. 2021, 9, 9. [Google Scholar] [CrossRef]
- Sharawy, Z.Z.; Ashour, M.; Labena, A.; Alsaqufi, A.S.; Mansour, A.T.; Abbas, E.M. Effects of dietary Arthrospira platensis nanoparticles on growth performance, feed utilization, and growth-related gene expression of Pacific white shrimp, Litopenaeus vannamei. Aquaculture 2022, 551, 737905. [Google Scholar] [CrossRef]
- Alprol, A.E.; Heneash, A.M.; Soliman, A.M.; Ashour, M.; Alsanie, W.F.; Gaber, A.; Mansour, A.T. Assessment of water quality, eutrophication, and zooplankton community in Lake Burullus, Egypt. Diversity 2021, 13, 268. [Google Scholar] [CrossRef]
- Pinho, S.M.; Emerenciano, M.G.C. Sensorial attributes and growth performance of whiteleg shrimp (Litopenaeus vannamei) cultured in biofloc technology with varying water salinity and dietary protein content. Aquaculture 2021, 540, 736727. [Google Scholar] [CrossRef]
- Food and Agriculture Organization. Fisheries and Aquaculture: Global Aquaculture Production Quantity (1950–2022). Updated: 2022. Available online: https://www.fao.org/fishery/statistics-query/en/aquaculture/aquaculture_quantity (accessed on 25 December 2024).
- Villarreal, H. Shrimp farming advances, challenges, and opportunities. J. World Aquac. Soc. 2023, 54, 1092–1095. [Google Scholar] [CrossRef]
- Reis, J.; Novriadi, R.; Swanepoel, A.; Guo, J.; Rhodes, M.; Davis, D.A. Optimizing feed automation: Improving timer-feeders and on demand systems in semi-intensive pond culture of shrimp Litopenaeus vannamei. Aquaculture 2020, 519, 734759. [Google Scholar] [CrossRef]
- Strebel, L.M.; Nguyen, K.; Araujo, A.; Corby, T.; Rhodes, M.; Beck, B.H.; Roy, L.A.; Davis, D.A. On demand feeding and the response of Pacific white shrimp (Litopenaeus vannamei) to varying dietary protein levels in semi-intensive pond production. Aquaculture 2023, 574, 739698. [Google Scholar] [CrossRef]
- Jamali, H.; Ahmadifard, N.; Abdollahi, D. Evaluation of growth, survival and body composition of larval white shrimp (Litopenaeus vannamei) fed the combination of three types of algae. Int. Aquat. Res. 2015, 7, 115–122. [Google Scholar] [CrossRef]
- Kandathil Radhakrishnan, D.; AkbarAli, I.; Schmidt, B.V.; John, E.M.; Sivanpillai, S.; Thazhakot Vasunambesan, S. Improvement of nutritional quality of live feed for aquaculture: An overview. Aquac. Res. 2020, 51, 1–17. [Google Scholar] [CrossRef]
- Ma, M.; Hu, Q. Microalgae as feed sources and feed additives for sustainable aquaculture: Prospects and challenges. Rev. Aquac. 2024, 16, 818–835. [Google Scholar] [CrossRef]
- Napiórkowska-Krzebietke, A. Phytoplankton as a basic nutritional source in diets of fish. J. Elem. 2017, 22, 831–841. [Google Scholar] [CrossRef]
- Qiao, L.; Chang, Z.; Li, J.; Chen, Z. Phytoplankton community succession in relation to water quality changes in the indoor industrial aquaculture system for Litopenaeus vannamei. Aquaculture 2020, 527, 735441. [Google Scholar] [CrossRef]
- Bhattacharjya, R.; Marella, T.K.; Kumar, M.; Kumar, V.; Tiwari, A. Diatom-assisted aquaculture: Paving the way towards sustainable economy. Rev. Aquac. 2024, 16, 491–507. [Google Scholar] [CrossRef]
- Sas, A.A.A.; Arshad, A.; Das, S.K.; Pau, S.S.N.; Cob, Z.C. Optimum Temperature and Salinity Conditions for Growth, Lipid Contents, and Fatty Acids Composition of Centric Diatoms Chaetoceros calcitrans and Thalassiosira Weissflogii. Pertanika J. Sci. Technol. 2023, 31, 689–707. [Google Scholar]
- Tam, L.T.; Van Cong, N.; Thom, L.T.; Ha, N.C.; Hang, N.T.M.; Van Minh, C.; Vien, D.T.H.; Hong, D.D. Cultivation and biomass production of the diatom Thalassiosira weissflogii as a live feed for white-leg shrimp in hatcheries and commercial farms in Vietnam. J. Appl. Phycol. 2021, 33, 1559–1577. [Google Scholar] [CrossRef]
- Bhattacharjya, R.; Singh, P.K.; Tiwari, A. Aquaculture water as a source of sustainable growth medium for diatom cultivation and its nutritive suitability as a potential aqua feed. Environ. Technol. Innov. 2021, 24, 101987. [Google Scholar] [CrossRef]
- Guedes, A.C.; Malcata, F.X. Nutritional value and uses of microalgae in aquaculture. In Aquaculture; Muchlizin, Z.A., Ed.; IntechOpen: Rijeka, Croatia, 2012; pp. 59–78. [Google Scholar]
- Brown, M.R. Nutritional Value and Use of Microalgae in Aquaculture. In Proceedings of the Avances en Nutrición Acuícola VI, Memorias del VI Simposium Internacional de Nutrición Acuícola, Cancún, Mexico, 3–6 September 2002. [Google Scholar]
- Guo, L.; Sui, Z.; Zhang, S.; Ren, Y.; Liu, Y. Comparison of potential diatom ‘barcode’ genes (the 18S rRNA gene and ITS, COI, rbcL) and their effectiveness in discriminating and determining species taxonomy in the Bacillariophyta. Int. J. Syst. Evol. Microbiol. 2015, 65, 1369–1380. [Google Scholar] [CrossRef] [PubMed]
- Wang, Z.; Lee, Y.-Y.; Scherr, D.; Senger, R.S.; Li, Y.; He, Z. Mitigating nutrient accumulation with microalgal growth towards enhanced nutrient removal and biomass production in an osmotic photobioreactor. Water Res. 2020, 182, 116038. [Google Scholar] [CrossRef]
- Lam, M.K.; Lee, K.T. Potential of using organic fertilizer to cultivate Chlorella vulgaris for biodiesel production. Appl. Energy 2012, 94, 303–308. [Google Scholar] [CrossRef]
- Khwancharoen, C.; Chotipan, N.; Nawatmai, T.; Direkbussarakom, S. Effects of nitrogen sources on the growth and biochemical composition of diatom (Amphora coffeaeformis) used for shrimp larviculture. Walailak J. Sci. Technol. 2021, 18, 12411–12429. [Google Scholar] [CrossRef]
- Podevin, M.; De Francisci, D.; Holdt, S.L.; Angelidaki, I. Effect of nitrogen source and acclimatization on specific growth rates of microalgae determined by a high-throughput in vivo microplate autofluorescence method. J. Appl. Phycol. 2015, 27, 1415–1423. [Google Scholar] [CrossRef]
- Alvarado, D.; Buitrago, E.; Solé, M.; Frontado, K. Experimental evaluation of a composted seaweed extract as microalgal culture media. Aquac. Int. 2008, 16, 85–90. [Google Scholar] [CrossRef]
- Walne, P. Culture of Bivalve Mollusks, 50 Years Experience at Conwy; Fishing News Books Ltd.: Farnham, UK, 1974; 189p. [Google Scholar]
- Hasle, G.; Syvertsen, E. Marine diatoms. In Identifying Marine Phytoplankton; Tomas, C.R., Ed.; Academic Press: San Diego, CA, USA, 1997; pp. 5–385. [Google Scholar]
- Ronquist, F.; Huelsenbeck, J.P. MrBayes 3: Bayesian phylogenetic inference under mixed models. Bioinformatics 2003, 19, 1572–1574. [Google Scholar] [CrossRef] [PubMed]
- Larkin, M.A.; Blackshields, G.; Brown, N.P.; Chenna, R.; McGettigan, P.A.; McWilliam, H.; Valentin, F.; Wallace, I.M.; Wilm, A.; Lopez, R. Clustal W and Clustal X version 2.0. Bioinformatics 2007, 23, 2947–2948. [Google Scholar] [CrossRef] [PubMed]
- Tamura, K.; Stecher, G.; Peterson, D.; Filipski, A.; Kumar, S. MEGA6: Molecular evolutionary genetics analysis version 6.0. Mol. Biol. Evol. 2013, 30, 2725–2729. [Google Scholar] [CrossRef] [PubMed]
- Xia, X. DAMBE7: New and improved tools for data analysis in molecular biology and evolution. Mol. Biol. Evol. 2018, 35, 1550–1552. [Google Scholar] [CrossRef]
- Posada, D.; Crandall, K.A. MODELTEST: Testing the model of DNA substitution. Bioinformatics 1998, 14, 817–818. [Google Scholar] [CrossRef] [PubMed]
- Luo, A.; Qiao, H.; Zhang, Y.; Shi, W.; Ho, S.Y.; Xu, W.; Zhang, A.; Zhu, C. Performance of criteria for selecting evolutionary models in phylogenetics: A comprehensive study based on simulated datasets. BMC Evol. Biol. 2010, 10, 242. [Google Scholar] [CrossRef] [PubMed]
- Rambaut, A. FigTree. Available online: http://tree.bio.ed.ac.uk/software/figtree/ (accessed on 11 November 2023).
- Leganes, F.; Sanchez-Maeso, E.; Fernandez-Valiente, E. Effect of indole acetic acid on growth and dinitrogen fixation by blue green algae. Sven. Bot. Tidskr. 1987, 64, 460–461. [Google Scholar]
- El-Sheekh, M.M.; Dawah, A.M.; ABD El-Rahman, A.M.; El-Adel, H.M.; ABD El-Hay, R.A. Antimicrobial activity of the cyanobacteria Anabaena wisconsinense and Oscillatoria curviceps against pathogens of fish in aquaculture. Ann. Microbiol. 2008, 58, 527–534. [Google Scholar] [CrossRef]
- AOAC. Official Methods of Analysis, 18th ed.; Association of Official Analytical Chemists: Washington, DC, USA, 2006. [Google Scholar]
- Li, X.; Hu, H.-Y.; Gan, K.; Sun, Y.-X. Effects of different nitrogen and phosphorus concentrations on the growth, nutrient uptake, and lipid accumulation of a freshwater microalga Scenedesmus sp. Bioresour. Technol. 2010, 101, 5494–5500. [Google Scholar]
- Batista, I.R.; Garcia, A.B.; Van Dalen, P.; Kamermans, P.; Verdegem, M.; Smaal, A.C. Culturing Chaetoceros muelleri using simplified media with different N sources: Effects on production and lipid content. Eur. J. Phycol. 2015, 50, 92–99. [Google Scholar] [CrossRef]
- Karthikeyan, P.; Manimaran, K.; Sampathkumar, P.; Rameshkumar, L. Growth and nutrient removal properties of the diatoms, Chaetoceros curvisetus and C. simplex under different nitrogen sources. Appl. Water Sci. 2013, 3, 49–55. [Google Scholar] [CrossRef]
- Kutluk, T.; Altın, N.; Uyar, B.; Kapucu, N. Effect of different nitrogen sources on the growth and lipid accumulation of Chlorella variabilis. J. Appl. Biol. Sci. 2018, 12, 38–40. [Google Scholar]
- Remacle, C.; Eppe, G.; Coosemans, N.; Fernandez, E.; Vigeolas, H. Combined intracellular nitrate and NIT2 effects on storage carbohydrate metabolism in Chlamydomonas. J. Exp. Bot. 2013, 65, 23–33. [Google Scholar] [CrossRef] [PubMed][Green Version]
- Wang, D.-Z.; Huang, S.-Y.; Cheng, Z.-D. Influences of nutrient status on extracellular carbohydrate production of marine planktonic diatoms. J. Oceanogr. Taiwan Strait 2003, 22, 487–492. [Google Scholar]
- Simsek, G.K.; Cetin, A.K. Effect of nitrogen sources on growth, protein, total lipid amount and pigment content in Chlorella vulgaris. Fresen. Environ. Bull. 2019, 8, 3065–3072. [Google Scholar]
- Sánchez-García, D.; Resendiz-Isidro, A.; Villegas-Garrido, T.L.; Flores-Ortiz, C.M.; Chávez-Gómez, B.; Cristiani-Urbina, E. Effect of nitrate on lipid production by T. suecica, M. contortum, and C. minutissima. Cent. Eur. J. Biol. 2013, 8, 578–590. [Google Scholar] [CrossRef]
- Lourenco, S.O.; Barbarino, E.; Mancini-Filho, J.; Schinke, K.P.; Aidar, E. Effects of different nitrogen sources on the growth and biochemical profile of 10 marine microalgae in batch culture: An evaluation for aquaculture. Phycologia 2002, 41, 158–168. [Google Scholar] [CrossRef]
- Fernández-Herrera, L.J.; Band-Schmidt, C.J.; Zenteno-Savín, T.; Leyva-Valencia, I.; Hernández-Guerrero, C.J.; Hernández-Sandoval, F.E.; Bustillos-Guzmán, J.J. Changes in Toxin Production, Morphology and Viability of Gymnodinium catenatum Associated with Allelopathy of Chattonella marina var. marina and Gymnodinium impudicum. Toxins 2022, 14, 616. [Google Scholar] [CrossRef] [PubMed]
- Pérez-Morales, A.; Band-Schmidt, C.J.; Martínez-Díaz, S.F. Changes in mortality rates during the larval stage of the Pacific white shrimp (Litopenaeus vannamei) on the basis of algal (Chaetoceros calcitrans or Tetraselmis suecica) food density. Ecosistemas Recur. Agropecu. 2016, 3, 415–420. [Google Scholar]
- Muller-Feuga, A. The role of microalgae in aquaculture: Situation and trends. J. Appl. Phycol. 2000, 12, 527–534. [Google Scholar] [CrossRef]
- Kiatmetha, P.; Siangdang, W.; Bunnag, B.; Senapin, S.; Withyachumnarnkul, B. Enhancement of survival and metamorphosis rates of Penaeus monodon larvae by feeding with the diatom Thalassiosira weissflogii. Aquac. Int. 2011, 19, 599–609. [Google Scholar] [CrossRef]
- Sandeep, K.P.; Avunje, S.; Dayal, J.S.; Balasubramanian, C.P.; Sawant, P.B.; Chadha, N.K.; Ambasankar, K.; Vijayan, K.K. Efficiency of different microalgae as monospecific and bispecific diets in larval rearing of Penaeus indicus with special reference to growth, nutrient composition and antimicrobial activity of microalgae. Aquac. Res. 2021, 52, 5146–5154. [Google Scholar] [CrossRef]





| Primer | Sequence (5’–3’) | Approx. Fragment Length (bp) |
|---|---|---|
| ITS-F | CSMACAACGATGAAGRRCRCAGC | 520 |
| ITS-R | TCCCDSTTCRBTCGCCVTTACT | |
| rbcL-F | ATGTCTCAATCTGTAWCAGAACGGACTC | 660 |
| rbcL-R | TAARAAWCKYTCTCTCCAACGCA |
| Nitrogen Source | Chemical Formula | Molarity (g/mol) | Nitrogen Content (%) | Density (g/cm3) | Nitrogen (g/mol) | Price (US$/kg) * |
|---|---|---|---|---|---|---|
| Potassium nitrate (control) | KNO3 | 101.1 | 13.4 | 2.11 | 13.54 | 100 |
| Urea (T1) | CO(NH2)2 | 60.06 | 46 | 1.32 | 27.62 | 0.30 |
| Ammonium sulfate (T2) | (NH4)2SO4 | 132.1 | 21 | 1.77 | 27.74 | 0.20 |
| Ammonium nitrate (T3) | NH4NO3 | 80.04 | 33.5 | 1.72 | 26.81 | 0.30 |
| Growth Parameters | Incubation Time (days) | Treatments * | p Value | |||
|---|---|---|---|---|---|---|
| Control | T1 | T2 | T3 | |||
| Cell Count | Day 0 | 0.17 a ± 0.01 | 0.11 a ± 0.01 | 0.14 a ± 0.02 | 0.18 a ± 0.03 | 0.090 |
| Day 2 | 1.45 b ± 0.20 | 1.49 b ± 0.14 | 2.28 a ± 0.17 | 1.57 b ± 0.17 | 0.006 | |
| Day 4 | 3.13 b ± 0.36 | 3.56 ab ± 0.27 | 2.91 c ± 0.54 | 3.86 a ± 0.13 | 0.256 | |
| Day 6 | 3.24 b ± 0.46 | 3.17 b ± 0.34 | 4.28 ab ± 0.56 | 4.60 a ± 0.54 | 0.101 | |
| Dry weight | Day 0 | 10.70 a ± 0.20 | 10.60 a ± 0.40 | 10.35 a ± 0.15 | 10.30 a ± 0.10 | 0.627 |
| Day 2 | 13.70 c ± 1.0 | 15.65 a ± 1.25 | 13.45 c ± 0.35 | 14.65 b ± 0.15 | 0.346 | |
| Day 4 | 21.05 c ± 0.05 | 23.05 a ± 0.05 | 15.25 d ± 0.25 | 22.10 b ± 0.10 | <0.001 | |
| Day 6 | 20.35 b ± 0.05 | 18.70 c ± 0.20 | 21.60 b ± 0.10 | 22.70 a ± 0.10 | <0.001 | |
| Growth Parameters | Incubation Time (days) | Treatments * | p Value | |||
|---|---|---|---|---|---|---|
| Control | T1 | T2 | T3 | |||
| Cell Count | Day 0 | 0.017 a ± 0.002 | 0.021 a ± 0.003 | 0.022 a ± 0.004 | 0.015 a ± 0.003 | 0.362 |
| Day 2 | 0.070 b ± 0.009 | 0.130 a ± 0.012 | 0.041 c ± 0.005 | 0.077 b ±0.017 | <0.001 | |
| Day 4 | 0.322 a ± 0.019 | 0.318 a ± 0.033 | 0.210 b ± 0.026 | 0.108 c ± 0.028 | <0.001 | |
| Day 6 | 0.232 ab ± 0.032 | 0.162 b ± 0.036 | 0.260 a ± 0.014 | 0.062 c ± 0.015 | <0.001 | |
| Dry weight | Day 0 | 9.55 ± 0.15 | 9.30 ± 0.20 | 9.35 ± 0.15 | 9.65 ± 0.15 | 0.474 |
| Day 2 | 10.90 ± 0.90 | 10.95 ± 0.05 | 10.25 ± 0.05 | 10.70 ± 0.40 | 0.751 | |
| Day 4 | 12.75 a ± 0.05 | 10.25 c ± 0.05 | 10.25 c ± 0.05 | 12.05 b ± 0.05 | <0.001 | |
| Day 6 | 12.75 a ± 0.05 | 10.23 b± 0.20 | 10.20 b ± 0.10 | 12.70 a ± 0.10 | <0.001 | |
| Parameters | Treatments * | p Value | |||
|---|---|---|---|---|---|
| Control | T1 | T2 | T3 | ||
| Chaetoceros calcitrans | |||||
| Moisture % | 7.62 ± 0.14 | 7.65 ± 0.08 | 7.63 ± 0.05 | 7.49 ± 0.08 | 0.621 |
| Protein % | 30.40 c ± 0.44 | 33.67 b ± 0.47 | 32.87 bc ± 0.33 | 37.03 a ± 0.34 | <0.001 |
| Lipids % | 13.77 c ± 0.20 | 17.47 b ± 0.66 | 20.37 a ± 0.52 | 21.40 a ± 0.42 | <0.001 |
| Ash % | 11.18 ± 0.03 | 11.0 ± 0.13 | 11.27 ± 0.21 | 11.05 ± 0.11 | 0.515 |
| Carbohydrates % | 37.04 a ± 0.41 | 30.22 b ± 0.18 | 27.87c ± 0.66 | 23.03 d ±0.43 | <0.001 |
| Thalassiosira weissflogii | |||||
| Moisture % | 7.54 a ± 0.05 | 7.65 a ± 0.10 | 7.60 a ± 0.08 | 7.32 a ± 0.03 | 0.046 |
| Protein % | 33.60 c ± 0.44 | 37.73 b ± 0.24 | 31.60 d ± 0.58 | 41.93 a ± 0.75 | <0.001 |
| Lipids % | 17.60 c ± 0.44 | 21.60 b ± 0.51 | 21.83 b ± 0.20 | 25.47 a ± 0.55 | <0.001 |
| Ash % | 10.87 ± 0.18 | 11.12 ± 0.17 | 11.10 ± 0.12 | 11.09 ± 0.27 | 0.779 |
| Carbohydrates % | 30.39 a ± 0.32 | 21.90 c ± 0.67 | 27.87 b ± 0.56 | 14.19 d ± 0.50 | <0.001 |
| Growth Phases | Experimental Groups | p Value | ||
|---|---|---|---|---|
| D1 | D2 | D3 | ||
| Zoea 1 | 0.354 c ± 0.001 | 0.378 b ± 0.0 | 0.407 a ± 0.005 | <0.001 |
| Zoea 2 | 0.646 b ± 0.006 | 0.693 ab ± 0.006 | 0.715 a ± 0.024 | 0.042 |
| Zoea 3 | 0.900 ± 0.019 | 0.928 ± 0.002 | 0.963 ± 0.023 | 0.104 |
| Mysis 1 | 1.035 b ± 0.025 | 1.207 a ± 0.031 | 1.230 a ± 0.031 | 0.006 |
| Mysis 2 | 1.140 c ± 0.006 | 1.365 b ± 0.032 | 1.475 a ± 0.014 | <0.001 |
| Mysis 3 | 1.323 c ± 0.025 | 1.413 b ± 0.022 | 1.588 a ± 0.065 | 0.011 |
Disclaimer/Publisher’s Note: The statements, opinions and data contained in all publications are solely those of the individual author(s) and contributor(s) and not of MDPI and/or the editor(s). MDPI and/or the editor(s) disclaim responsibility for any injury to people or property resulting from any ideas, methods, instructions or products referred to in the content. |
© 2025 by the authors. Licensee MDPI, Basel, Switzerland. This article is an open access article distributed under the terms and conditions of the Creative Commons Attribution (CC BY) license (https://creativecommons.org/licenses/by/4.0/).
Share and Cite
Abdelhay, R.A.; El-Mor, M.S.; Salem, M.A.M.; Al-Sagheer, A.A.; Abd-Elhakim, Y.M.; Hassan, B.A.; Mounes, H.A.M. Effect of Nitrogen Sources on Diatoms Growth and Nutritional Value for Enhancing Litopenaeus vannamei Larval Performance. Animals 2025, 15, 466. https://doi.org/10.3390/ani15040466
Abdelhay RA, El-Mor MS, Salem MAM, Al-Sagheer AA, Abd-Elhakim YM, Hassan BA, Mounes HAM. Effect of Nitrogen Sources on Diatoms Growth and Nutritional Value for Enhancing Litopenaeus vannamei Larval Performance. Animals. 2025; 15(4):466. https://doi.org/10.3390/ani15040466
Chicago/Turabian StyleAbdelhay, Reham A., Mohammad S. El-Mor, Mohammed A. M. Salem, Adham A. Al-Sagheer, Yasmina M. Abd-Elhakim, Bayan A. Hassan, and Hossam A. M. Mounes. 2025. "Effect of Nitrogen Sources on Diatoms Growth and Nutritional Value for Enhancing Litopenaeus vannamei Larval Performance" Animals 15, no. 4: 466. https://doi.org/10.3390/ani15040466
APA StyleAbdelhay, R. A., El-Mor, M. S., Salem, M. A. M., Al-Sagheer, A. A., Abd-Elhakim, Y. M., Hassan, B. A., & Mounes, H. A. M. (2025). Effect of Nitrogen Sources on Diatoms Growth and Nutritional Value for Enhancing Litopenaeus vannamei Larval Performance. Animals, 15(4), 466. https://doi.org/10.3390/ani15040466

