Unraveling TGF-β1’s Role in Mediating Fibrosis and Cell Death in Feline Kidney Cells
Simple Summary
Abstract
1. Introduction
2. Materials and Methods
2.1. Samples
2.1.1. Feline Kidney Cell Line
2.1.2. Kidney Tissue
2.2. Sample Collection
2.2.1. Cytotoxic Assay of Doxorubicin
2.2.2. DOX-Induced Cytotoxicity Test
2.2.3. RNA Extraction
2.2.4. Protein Extraction
2.3. Sample Processing
2.3.1. Relative Gene Expression
2.3.2. Western Blot Analysis
2.3.3. Immunohistochemistry
2.4. Statistical Analysis
3. Results
3.1. Doxorubicin-Induced Cytotoxicity in Feline Kidney Cells
3.2. TGFβ, MAPK, and Bcl2 Relative Gene Expression in Feline Kidney Cells
3.3. TGFβ, MAPK, and Bcl2 Relative Gene Expression in Kidney Tissues
3.4. Protein Expression of TGF-β1 and MAPKs in Feline Kidney Cells
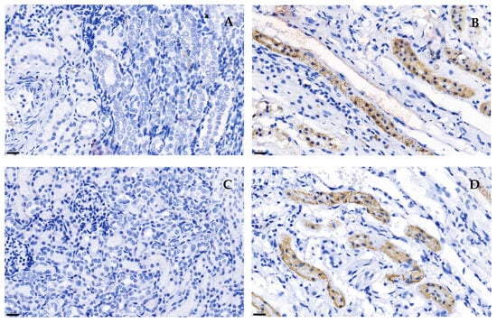
3.5. Immunohistochemistry of TGF-β1 and MAPKs in Cat Kidney Tissues
4. Discussion
5. Conclusions
Supplementary Materials
Author Contributions
Funding
Institutional Review Board Statement
Informed Consent Statement
Data Availability Statement
Conflicts of Interest
References
- Polzin, D.J. Chronic kidney disease in small animals. Vet. Clin. Small Anim. Pract. 2011, 41, 15–30. [Google Scholar] [CrossRef] [PubMed]
- O’neill, D.; Church, D.; McGreevy, P.; Thomson, P.; Brodbelt, D. Prevalence of disorders recorded in cats attending primary-care veterinary practices in England. Vet. J. 2014, 202, 286–291. [Google Scholar] [CrossRef] [PubMed]
- Piyarungsri, K.; Tangtrongsup, S.; Thongtharb, A.; Sodarat, C.; Bussayapalakorn, K. The risk factors of having infected feline leukemia virus or feline immunodeficiency virus for feline naturally occurring chronic kidney disease. Vet. Integr. Sci. 2020, 18, 119–131. [Google Scholar]
- Marino, C.L.; Lascelles, B.D.X.; Vaden, S.L.; Gruen, M.E.; Marks, S.L. Prevalence and classification of chronic kidney disease in cats randomly selected from four age groups and in cats recruited for degenerative joint disease studies. J. Feline Med. Surg. 2014, 16, 465–472. [Google Scholar] [CrossRef] [PubMed]
- Chakrabarti, S.; Syme, H.; Brown, C.; Elliott, J. Histomorphometry of feline chronic kidney disease and correlation with markers of renal dysfunction. Vet. Pathol. 2013, 50, 147–155. [Google Scholar] [CrossRef]
- Lawson, J.; Elliott, J.; Wheeler-Jones, C.; Syme, H.; Jepson, R. Renal fibrosis in feline chronic kidney disease: Known mediators and mechanisms of injury. Vet. J. 2015, 203, 18–26. [Google Scholar] [CrossRef] [PubMed]
- Morikawa, M.; Derynck, R.; Miyazono, K. TGF-β and the TGF-β family: Context-dependent roles in cell and tissue physiology. Cold Spring Harb. Perspect. Biol. 2016, 8, a021873. [Google Scholar] [CrossRef]
- Gordeeva, O. TGFβ family signaling pathways in pluripotent and teratocarcinoma stem cells’ fate decisions: Balancing between self-renewal, differentiation, and cancer. Cells 2019, 8, 1500. [Google Scholar] [CrossRef] [PubMed]
- Bartholin, L.; Vincent, D.F.; Valcourt, U. TGF-β as tumor suppressor: In vitro mechanistic aspects of growth inhibition. In TGF-β in Human Disease; Moustakas, A., Miyazawa, K., Eds.; Springer: Tokyo, Japan, 2013; pp. 113–138. [Google Scholar]
- Habenicht, L.M.; Webb, T.L.; Clauss, L.A.; Dow, S.W.; Quimby, J.M. Urinary cytokine levels in apparently healthy cats and cats with chronic kidney disease. J. Feline Med. Surg. 2013, 15, 99–104. [Google Scholar] [CrossRef] [PubMed]
- Uehara, Y.; Furusawa, Y.; Islam, M.S.; Yamato, O.; Hatai, H.; Ichii, O.; Yabuki, A. Immunohistochemical Expression of TGF-β1 in Kidneys of Cats with Chronic Kidney Disease. Vet. Sci. 2022, 9, 114. [Google Scholar] [CrossRef]
- Piyarungsri, K.; Chuammitri, P.; Pringproa, K.; Pila, P.; Srivorakul, S.; Sornpet, B.; Pusoonthornthum, R. Decreased circulating transforming growth factor-beta (TGF-β) and kidney TGF-β immunoreactivity predict renal disease in cats with naturally occurring chronic kidney disease. J. Feline Med. Surg. 2023, 25, 1098612X231208937. [Google Scholar] [CrossRef] [PubMed]
- Cassidy, H.; Radford, R.; Slyne, J.; O’Connell, S.; Slattery, C.; Ryan, M.P.; McMorrow, T. The role of MAPK in drug-induced kidney injury. J. Signal Transduct. 2012, 2012, 463617. [Google Scholar] [CrossRef] [PubMed]
- Wang, D.; Warner, G.M.; Yin, P.; Knudsen, B.E.; Cheng, J.; Butters, K.A.; Lien, K.R.; Gray, C.E.; Garovic, V.D.; Lerman, L.O. Inhibition of p38 MAPK attenuates renal atrophy and fibrosis in a murine renal artery stenosis model. Am. J. Physiol. Ren. Physiol. 2013, 304, F938–F947. [Google Scholar] [CrossRef]
- Cheng, X.; Gao, W.; Dang, Y.; Liu, X.; Li, Y.; Peng, X.; Ye, X. Both ERK/MAPK and TGF-Beta/Smad signaling pathways play a role in the kidney fibrosis of diabetic mice accelerated by blood glucose fluctuation. J. Diabetes Res. 2013, 2013, 463740. [Google Scholar] [CrossRef] [PubMed]
- Yue, J.; López, J.M. Understanding MAPK signaling pathways in apoptosis. Int. J. Mol. Sci. 2020, 21, 2346. [Google Scholar] [CrossRef] [PubMed]
- Borkan, S.C. The role of BCL-2 family members in acute kidney injury. Semin. Nephrol. 2016, 36, 237–250. [Google Scholar] [CrossRef] [PubMed]
- Youle, R.J.; Strasser, A. The BCL-2 protein family: Opposing activities that mediate cell death. Nat. Rev. Mol. Cell Biol. 2008, 9, 47–59. [Google Scholar] [CrossRef]
- Pila, P.; Chuammitri, P.; Patchanee, P.; Pringproa, K.; Piyarungsri, K. Evaluation of Bcl-2 as a marker for chronic kidney disease prediction in cats. Front. Vet. Sci. 2023, 9, 1043848. [Google Scholar] [CrossRef] [PubMed]
- Chaotham, C.; De-Eknamkul, W.; Chanvorachote, P. Protective effect of plaunotol against doxorubicin-induced renal cell death. J. Nat. Med. 2013, 67, 311–319. [Google Scholar] [CrossRef] [PubMed]
- Mosmann, T. Rapid colorimetric assay for cellular growth and survival: Application to proliferation and cytotoxicity assays. J. Immunol. Methods 1983, 65, 55–63. [Google Scholar] [CrossRef] [PubMed]
- Crandell, R.A.; Fabricant, C.G.; Nelson-Rees, W.A. Development, characterization, and viral susceptibility of a feline (Felis catus) renal cell line (CRFK). In Vitro 1973, 9, 176–185. [Google Scholar] [CrossRef] [PubMed]
- Piyarungsri, K.; Pusoonthornthum, R.; Rungsipipat, A.; Sritularak, B. Investigation of risk factors involving in feline chronic kidney disease, oxidative stress and study the effect of antidesma acidum crude extract in feline kidney cell line. Ph.D. Thesis, Chulalongkorn University, Bangkok, Thailand, 2014. [Google Scholar]
- van Beusekom, C.D.; Zimmering, T.M. Profibrotic effects of angiotensin II and transforming growth factor beta on feline kidney epithelial cells. J. Feline Med. Surg. 2019, 21, 780–787. [Google Scholar] [CrossRef] [PubMed]
- Miyazaki, M.; Yamashita, T.; Miyazaki, T.; Taira, H.; Suzuki, A. Gene delivery to renal tubular epithelial cells using adeno-associated virus vector in domestic cats. Res. Vet. Sci. 2009, 87, 408–412. [Google Scholar] [CrossRef] [PubMed]
- Girolami, F.; Candellone, A.; Jarriyawattanachaikul, W.; Meineri, G.; Nebbia, C.; Badino, P. Protective Effect of Natural Antioxidant Compounds on Methimazole Induced Oxidative Stress in a Feline Kidney Epithelial Cell Line (CRFK). Vet. Sci. 2021, 8, 220. [Google Scholar] [CrossRef] [PubMed]
- Lawson, J.S.; Syme, H.M.; Wheeler-Jones, C.P.D.; Elliott, J. Characterisation of Crandell-Rees Feline Kidney (CRFK) cells as mesenchymal in phenotype. Res. Vet. Sci. 2019, 127, 99–102. [Google Scholar] [CrossRef] [PubMed]
- Lawson, J.S.; Liu, H.H.; Syme, H.M.; Purcell, R.; Wheeler-Jones, C.P.D.; Elliott, J. The cat as a naturally occurring model of renal interstitial fibrosis: Characterisation of primary feline proximal tubular epithelial cells and comparative pro-fibrotic effects of TGF-β1. PLoS ONE 2018, 13, e0202577. [Google Scholar] [CrossRef] [PubMed]
- Taskin, E.; Ozdogan, K.; Kunduz Kindap, E.; Dursun, N. The restoration of kidney mitochondria function by inhibition of angiotensin-II production in rats with acute adriamycin-induced nephrotoxicity. Ren. Fail 2014, 36, 606–612. [Google Scholar] [CrossRef] [PubMed]
- Ghiggeri, G.M.; Bertelli, R.; Ginevri, F.; Oleggini, R.; Altieri, P.; Trivelli, A.; Gusmano, R. Multiple mechanisms for doxorubicin cytotoxicity on glomerular epithelial cells ‘in vitro’. Eur. J. Pharmacol. Environ. Toxicol. Pharmacol. 1992, 228, 77–83. [Google Scholar] [CrossRef] [PubMed]
- Wu, Q.; Li, W.; Zhao, J.; Sun, W.; Yang, Q.; Chen, C.; Xia, P.; Zhu, J.; Zhou, Y.; Huang, G. Apigenin ameliorates doxorubicin-induced renal injury via inhibition of oxidative stress and inflammation. Biomed. Pharmacother. 2021, 137, 111308. [Google Scholar] [CrossRef] [PubMed]
- Schelling, J.R.; Nkemere, N.; Kopp, J.B.; Cleveland, R.P. Fas-dependent fratricidal apoptosis is a mechanism of tubular epithelial cell deletion in chronic renal failure. Lab. Investig. 1998, 78, 813–824. [Google Scholar] [PubMed]
- Khan, S.; Cleveland, R.P.; Koch, C.J.; Schelling, J.R. Hypoxia induces renal tubular epithelial cell apoptosis in chronic renal disease. Lab. Investig. 1999, 79, 1089–1099. [Google Scholar] [PubMed]
- Piyarungsri, K.; Pusoonthornthum, R. Changes in reduced glutathione, oxidized glutathione, and glutathione peroxidase in cats with naturally occurring chronic kidney disease. Comp. Clin. Pathol. 2016, 25, 655–662. [Google Scholar] [CrossRef]
- Park, E.J.; Kwon, H.K.; Choi, Y.M.; Shin, H.J.; Choi, S. Doxorubicin induces cytotoxicity through upregulation of pERK-dependent ATF3. PLoS ONE 2012, 7, e44990. [Google Scholar] [CrossRef] [PubMed]
- Shin, D.-M.; Jeon, J.-H.; Kim, C.-W.; Cho, S.-Y.; Lee, H.-J.; Jang, G.-Y.; Jeong, E.M.; Lee, D.-S.; Kang, J.-H.; Melino, G. TGFβ mediates activation of transglutaminase 2 in response to oxidative stress that leads to protein aggregation. FASEB J. 2008, 22, 2498–2507. [Google Scholar] [CrossRef] [PubMed]
- Lawson, J.S.; Syme, H.M.; Wheeler-Jones, C.P.D.; Elliott, J. Characterisation of feline renal cortical fibroblast cultures and their transcriptional response to transforming growth factor beta1. BMC Vet. Res. 2018, 14, 76. [Google Scholar] [CrossRef] [PubMed]
- Wang, R.; Wu, G.; Dai, T.; Lang, Y.; Chi, Z.; Yang, S.; Dong, D. Naringin attenuates renal interstitial fibrosis by regulating the TGF-β/Smad signaling pathway and inflammation. Exp. Ther. Med. 2021, 21, 66. [Google Scholar] [CrossRef] [PubMed]
- Lourenço, B.N.; Coleman, A.E.; Tarigo, J.L.; Berghaus, R.D.; Brown, C.A.; Rissi, D.R.; Stanton, J.B.; Brown, S.A.; Schmiedt, C.W. Evaluation of profibrotic gene transcription in renal tissues from cats with naturally occurring chronic kidney disease. J. Vet. Intern Med. 2020, 34, 1476–1487. [Google Scholar] [CrossRef]
- Yao, Z.; Yang, S.; He, W.; Li, L.; Xu, R.; Zhang, X.; Li, H.; Zhan, R.; Sun, W.; Tan, J. P311 promotes renal fibrosis via TGFβ1/Smad signaling. Sci. Rep. 2015, 5, 17032. [Google Scholar] [CrossRef] [PubMed]
- Lawson, J.; Syme, H.; Wheeler-Jones, C.; Elliott, J. Urinary active transforming growth factor β in feline chronic kidney disease. Vet. J. 2016, 214, 1–6. [Google Scholar] [CrossRef]
- Moon, J.-A.; Kim, H.-T.; Cho, I.-S.; Sheen, Y.; Kim, D.-K. IN-1130, a novel transforming growth factor-β type I receptor kinase (ALK5) inhibitor, suppresses renal fibrosis in obstructive nephropathy. Kidney Int. 2006, 70, 1234–1243. [Google Scholar] [CrossRef]
- Meng, X.-M.; Nikolic-Paterson, D.J.; Lan, H.Y. TGF-β: The master regulator of fibrosis. Nat. Rev. Nephrol. 2016, 12, 325–338. [Google Scholar] [CrossRef] [PubMed]
- Finkel, T.; Holbrook, N.J. Oxidants, oxidative stress and the biology of ageing. Nature 2000, 408, 239–247. [Google Scholar] [CrossRef] [PubMed]
- Guo, R.M.; Xu, W.M.; Lin, J.C.; Mo, L.Q.; Hua, X.X.; Chen, P.X.; Wu, K.; Zheng, D.D.; Feng, J.Q. Activation of the p38 MAPK/NF-kappaB pathway contributes to doxorubicin-induced inflammation and cytotoxicity in H9c2 cardiac cells. Mol. Med. Rep. 2013, 8, 603–608. [Google Scholar] [CrossRef] [PubMed]
- Zhang, W.; Liu, H.T. MAPK signal pathways in the regulation of cell proliferation in mammalian cells. Cell Res. 2002, 12, 9–18. [Google Scholar] [CrossRef] [PubMed]
- Deng, Z.; Fan, T.; Xiao, C.; Tian, H.; Zheng, Y.; Li, C.; He, J. TGF-beta signaling in health, disease, and therapeutics. Signal Transduct. Target. Ther. 2024, 9, 61. [Google Scholar] [CrossRef] [PubMed]
- An, J.N.; Yang, S.H.; Kim, Y.C.; Hwang, J.H.; Park, J.Y.; Kim, D.K.; Kim, J.H.; Kim, D.W.; Hur, D.G.; Oh, Y.K. Periostin induces kidney fibrosis after acute kidney injury via the p38 MAPK pathway. Am. J. Physiol. Ren. Physiol. 2019, 316, F426–F437. [Google Scholar] [CrossRef]
- Lee, J.; An, J.N.; Hwang, J.H.; Lee, H.; Lee, J.P.; Kim, S.G. p38 MAPK activity is associated with the histological degree of interstitial fibrosis in IgA nephropathy patients. PLoS ONE 2019, 14, e0213981. [Google Scholar] [CrossRef] [PubMed]
- Koshikawa, M.; Mukoyama, M.; Mori, K.; Suganami, T.; Sawai, K.; Yoshioka, T.; Nagae, T.; Yokoi, H.; Kawachi, H.; Shimizu, F. Role of p38 mitogen-activated protein kinase activation in podocyte injury and proteinuria in experimental nephrotic syndrome. J. Am. Soc. Nephrol. 2005, 16, 2690–2701. [Google Scholar] [CrossRef] [PubMed]
- Jiwaganont, P.; Jaturanratsamee, K.; Thaisakun, S.; Roytrakul, S.; Petchdee, S. Analysis of serum proteomic in cats with polycystic kidney disease-1 gene mutation. Heliyon 2024, 10, e35577. [Google Scholar] [CrossRef] [PubMed]
- Hui, K.; Yang, Y.; Shi, K.; Luo, H.; Duan, J.; An, J.; Wu, P.; Ci, Y.; Shi, L.; Xu, C. The p38 MAPK-regulated PKD1/CREB/Bcl-2 pathway contributes to selenite-induced colorectal cancer cell apoptosis in vitro and in vivo. Cancer Lett. 2014, 354, 189–199. [Google Scholar] [CrossRef] [PubMed]
- Gholami, M.; Harchegani, A.; Saeedian, S.; Owrang, M.; Parvizi, M. Effect of N-acetyl cysteine on oxidative stress and Bax and Bcl2 expression in the kidney tissue of rats exposed to lead. Ukr. Biochem. J. 2021, 93, 59–67. [Google Scholar] [CrossRef]
- Ecder, T.; Melnikov, V.Y.; Stanley, M.; Korular, D.; Lucia, M.S.; Schrier, R.W.; Edelstein, C.L. Caspases, Bcl-2 proteins and apoptosis in autosomal-dominant polycystic kidney disease. Kidney Int. 2002, 61, 1220–1230. [Google Scholar] [CrossRef]
- Motyl, T.; Grzelkowska, K.; Zimowska, W.; Skierski, J.; Warȩski, P.; Płoszaj, T.; Trzeciak, L. Expression of bcl-2 and bax in TGF-β1-induced apoptosis of L1210 leukemic cells. Eur. J. Cell Biol. 1998, 75, 367–374. [Google Scholar] [CrossRef] [PubMed]
- Goumenos, D.S.; Tsamandas, A.C.; Kalliakmani, P.; Tsakas, S.; Sotsiou, F.; Bonikos, D.S.; Vlachojannis, J.G. Expression of Apoptosis-Related Proteins Bcl-2 and Bax Along with Transforming Growth Factor (TGF-β1) in the Kidney of Patients with Glomerulonephritides. Ren. Fail. 2004, 26, 361–367. [Google Scholar] [CrossRef]



| Parameter | Unit | Cats with No Kidney Lesions (n = 6) | CKD Cats (n = 6) | p-Value |
|---|---|---|---|---|
| Age | years | 0.33 ± 0.16 | 2.54 ± 2.52 | 0.021 * |
| Gender | ||||
| Male | n | 2 | 6 | |
| Female | n | 4 | 0 | |
| Breed | ||||
| Domestic short hair | n | 6 | 6 | |
| BUN | mg/dL | 33.45 ± 3.10 | 28.75 ± 20.90 | 0.686 |
| Creatinine | mg/dL | 0.69 ± 0.30 | 1.60 ± 1.20 | 0.027 * |
| Total protein | g/dL | 6.90 ± 3.40 | 6.35 ± 1.30 | 0.661 |
| Albumin | g/dL | 2.55 ± 0.20 | 2.72 ± 0.30 | 0.349 |
| Hematocrit | % | 30.00 ± 0.60 | 28.80 ± 8.10 | 0.864 |
| WBC | cells/µL | 15,870 ± 7000 | 26,077.50 ± 20,300 | 0.378 |
| Gene Name | Accession | Direction | Sequence | Annealing Temperature (°C) | Size (bp) |
|---|---|---|---|---|---|
| TGFβ | M38449.1 | Forward | CCCTGGACACCAACTATTGC | 60 | 163 |
| Reverse | TCCAGGCTCCAAATGTAGGG | 60 | |||
| MAPK | XM_003994973.5 | Forward | ACTGCTGAGCTAAGACCATGAG | 60 | 119 |
| Reverse | AAGTCAATGCCACAGTGTGC | 60 | |||
| Bcl2 | NM_001009340.1 | Forward | CCTATCTGGGCCACAAGTGA | 60 | 123 |
| Reverse | TAAGAGACCACGGCTTCGTT | 60 | |||
| β-actin | AB051104.1 | Forward | CCATCGAACACGGCATTGT | 60 | 147 |
| Reverse | TCTTCTCACGGTTGGCCTTG | 60 |
| Protein Name | Antibodies | Dilution | Localization | |
|---|---|---|---|---|
| WB | IHC | IHC | ||
| TGF-β1 | Primary mouse monoclonal TGF-beta 1 Secondary goat anti-mouse | 1:1000 1:5000 | 1:200 | Cytoplasm |
| MAPK | Primary mouse polyclonal p38 MAPK Secondary goat anti-mouse | 1:1000 1:5000 | 1:200 | Cytoplasm |
| β-actin | Direct-Blot HRP mouse monoclonal anti-β-actin | 1:1000 | ||
| Protein Expression | Control (n = 4) | DOX-Treated (n = 4) | p-Value |
|---|---|---|---|
| TGF-β1 | 0.02 (0.03) | 0.04 (0.06) | 0.88 |
| MAPK | 0.39 (0.15) | 1.45 (3.04) | 0.68 |
Disclaimer/Publisher’s Note: The statements, opinions and data contained in all publications are solely those of the individual author(s) and contributor(s) and not of MDPI and/or the editor(s). MDPI and/or the editor(s) disclaim responsibility for any injury to people or property resulting from any ideas, methods, instructions or products referred to in the content. |
© 2025 by the authors. Licensee MDPI, Basel, Switzerland. This article is an open access article distributed under the terms and conditions of the Creative Commons Attribution (CC BY) license (https://creativecommons.org/licenses/by/4.0/).
Share and Cite
Intachat, C.; Chuammitri, P.; Sornpet, B.; Patchanee, P.; Manachai, N.; Piyarungsri, K. Unraveling TGF-β1’s Role in Mediating Fibrosis and Cell Death in Feline Kidney Cells. Animals 2025, 15, 257. https://doi.org/10.3390/ani15020257
Intachat C, Chuammitri P, Sornpet B, Patchanee P, Manachai N, Piyarungsri K. Unraveling TGF-β1’s Role in Mediating Fibrosis and Cell Death in Feline Kidney Cells. Animals. 2025; 15(2):257. https://doi.org/10.3390/ani15020257
Chicago/Turabian StyleIntachat, Chanyanuch, Phongsakorn Chuammitri, Benjaporn Sornpet, Prapas Patchanee, Nawin Manachai, and Kakanang Piyarungsri. 2025. "Unraveling TGF-β1’s Role in Mediating Fibrosis and Cell Death in Feline Kidney Cells" Animals 15, no. 2: 257. https://doi.org/10.3390/ani15020257
APA StyleIntachat, C., Chuammitri, P., Sornpet, B., Patchanee, P., Manachai, N., & Piyarungsri, K. (2025). Unraveling TGF-β1’s Role in Mediating Fibrosis and Cell Death in Feline Kidney Cells. Animals, 15(2), 257. https://doi.org/10.3390/ani15020257

