Point-of-Care Lung Ultrasound in Small Animal Emergency and Critical Care Medicine: A Clinical Review
Simple Summary
Abstract
1. Introduction
2. Fundamentals of T-POCUS
3. Practical Applications in the Patient with Respiratory Distress
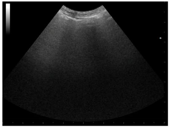
3.1. Pleural Space Disorders
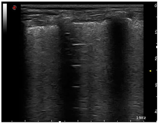
3.1.1. Pneumothorax
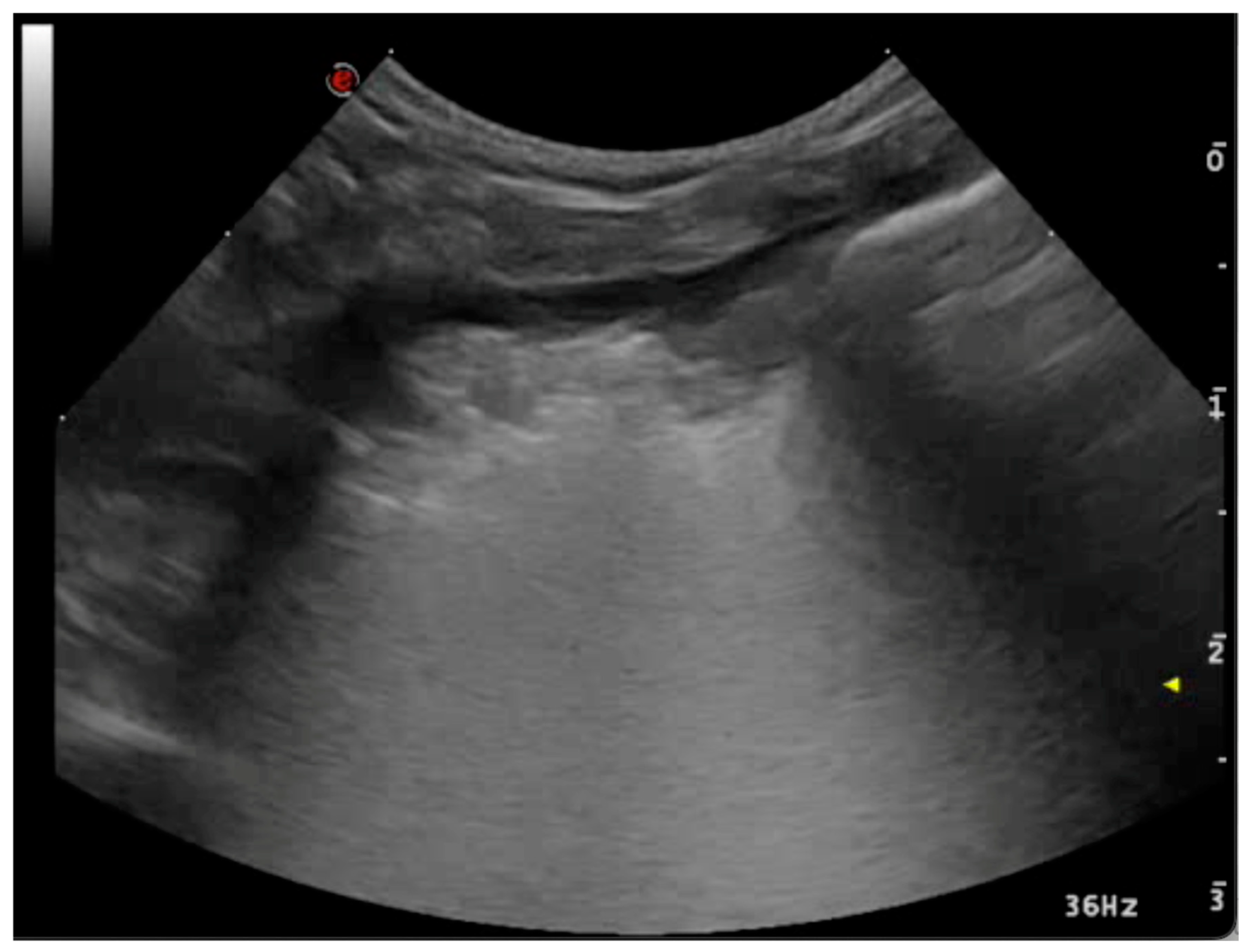
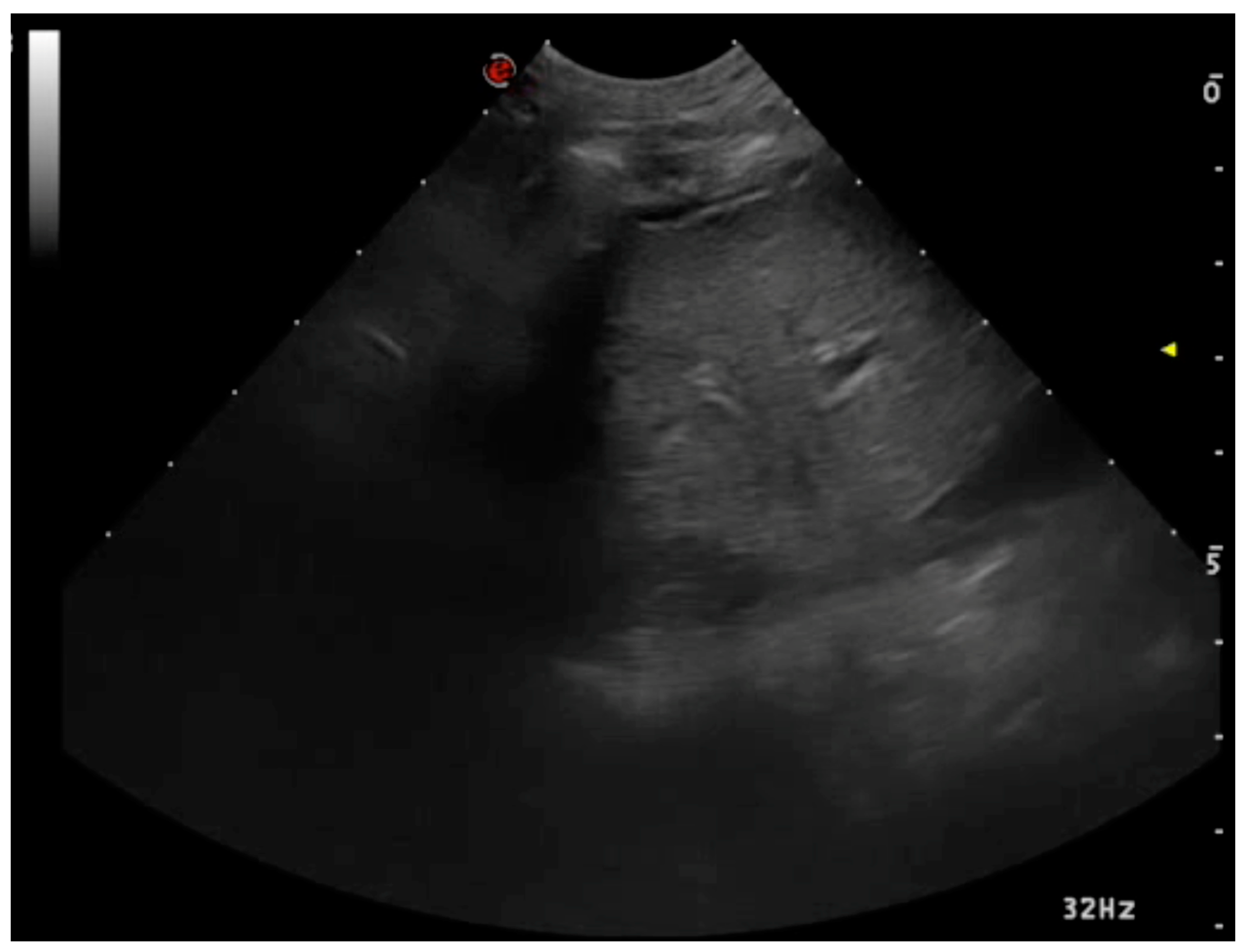
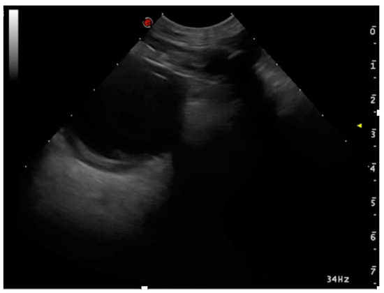
3.1.2. Pleural Effusion
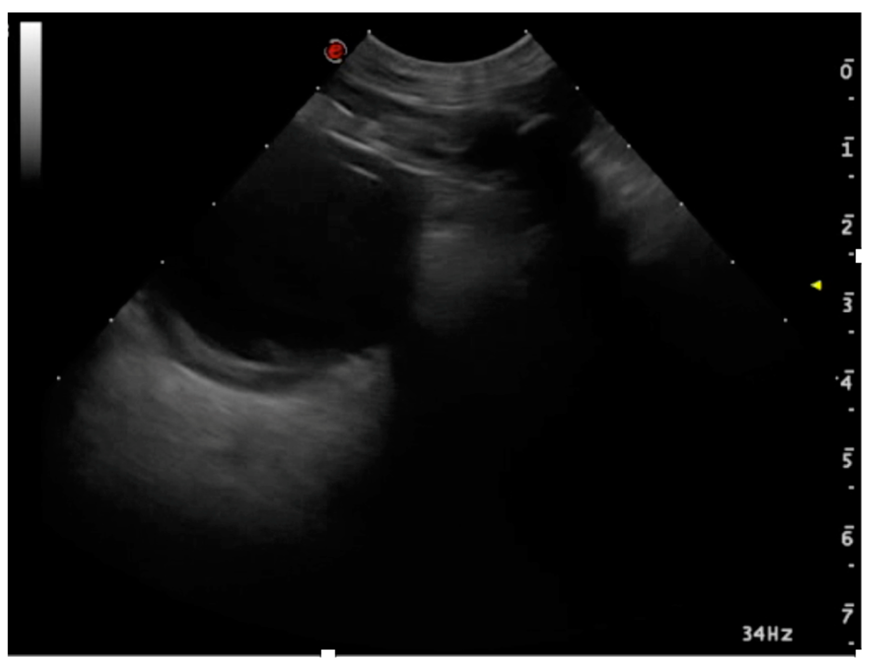
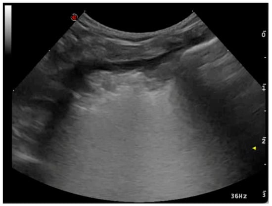
3.1.3. Neoplastic Pleural Diseases
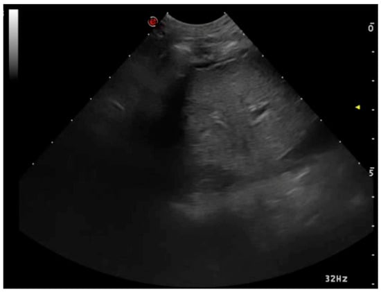
3.1.4. Irregularities of the Pleural Surface
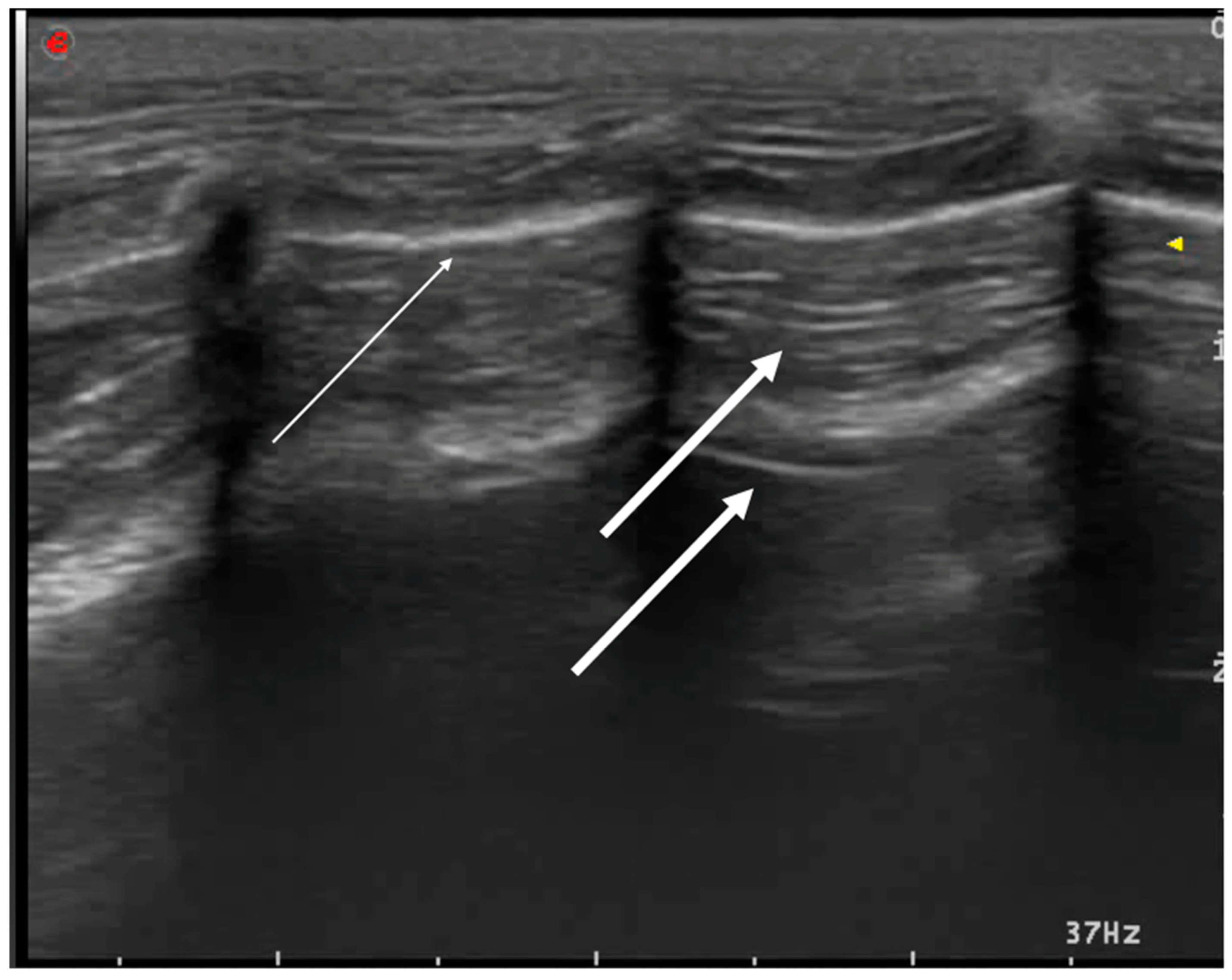
3.2. Pulmonary Diseases
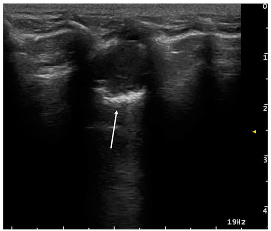
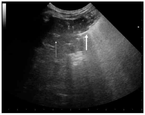
3.2.1. Pneumonia and Atelectasis
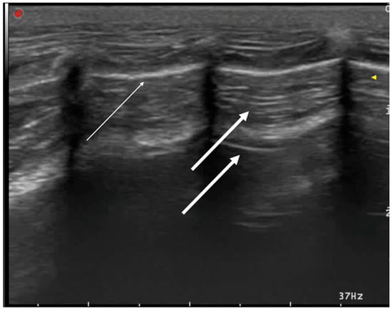
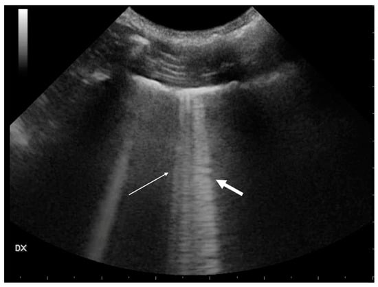
3.2.2. Cardiogenic Pulmonary Edema
3.2.3. Non-Cardiogenic Pulmonary Edema
3.2.4. Lung Lobe Torsion
3.2.5. Pulmonary Thromboembolism
3.2.6. Pulmonary Fibrosis
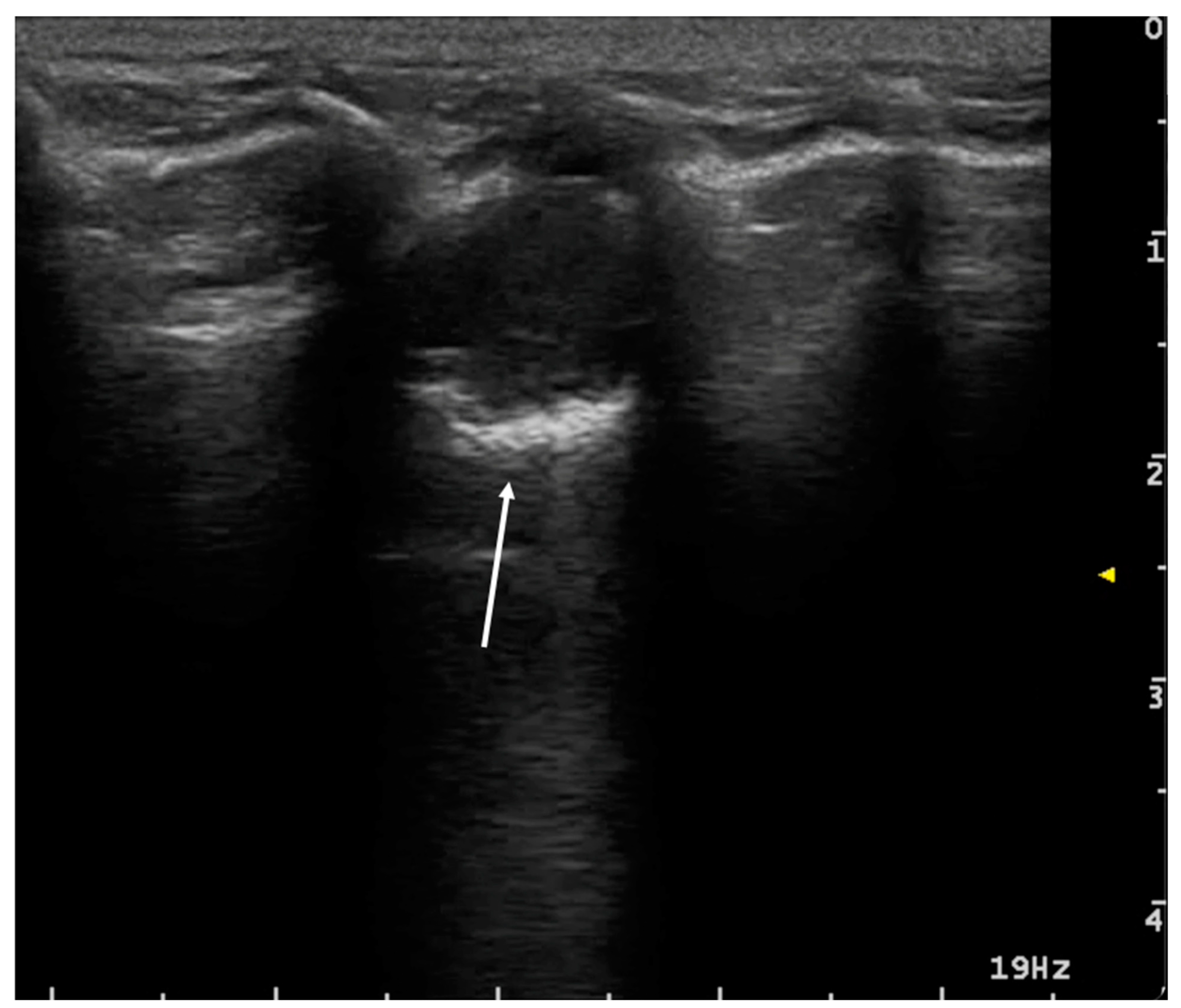
3.2.7. Pulmonary Neoplasia
3.2.8. Pulmonary Hemorrhage
3.3. Miscellaneous
4. Limitations and Future Directions
5. Conclusions
Funding
Institutional Review Board Statement
Informed Consent Statement
Data Availability Statement
Acknowledgments
Conflicts of Interest
References
- Lisciandro, G.R.; Lagutchik, M.S.; Mann, K.A.; Voges, A.K.; Fosgate, G.T.; Tiller, E.G.; Cabano, N.R.; Bauer, L.D.; Book, B.P. Evaluation of a thoracic focused assessment with sonography for trauma (TFAST) protocol to detect pneumothorax and concurrent thoracic injury in 145 traumatized dogs. J. Vet. Emerg. Crit. Care 2008, 18, 258–269. [Google Scholar] [CrossRef]
- Armenise, A.; Boysen, R.S.; Rudloff, E.; Neri, L.; Spattini, G.; Storti, E. Veterinary-focused assessment with sonography for trauma-airway, breathing, circulation, disability and exposure: A prospective observational study in 64 canine trauma patients. J. Small Anim. Pract. 2019, 60, 173–182. [Google Scholar] [CrossRef]
- Soldati, G.; Copetti, R. Semeiotica ecografica del torace. In Ecografia Dell’apparato Respiratorio, 3rd ed.; Soldati, G., Copetti, R., Eds.; Edizioni Medico-Scientifiche: Torino, Italy, 2019; pp. 87–124. [Google Scholar]
- Mao, J.Y.; Zhang, H.M.; Liu, D.W.; Wang, X.T. Visual rounds based on multiorgan point-of-care ultrasound in the ICU. Front. Med. 2022, 9, 131. [Google Scholar] [CrossRef]
- Mattoon, J.S.; Berry, C.R. Fundamentals of diagnostic ultrasound. In Small Animal Diagnostic Ultrasound, 4th ed.; Mattoon, J.S., Sellon, R.K., Berry, C.R., Eds.; W.B. Saunders: Philadelphia, PA, USA, 2021; pp. 1–48. [Google Scholar]
- Boysen, S.; Chalhoub, S.; Gommeren, K. The Essentials of Veterinary Point-of-Care Ultrasound: Pleural Space and Lung; Groupo Asis Biomedia: Zaragoza, Spain, 2022; pp. 13–32. [Google Scholar]
- Łobaczewski, A.; Czopowicz, M.; Moroz, A.; Mickiewicz, M.; Stabińska, M.; Petelicka, H.; Frymus, T.; Szaluś-Jordanow, O. Lung Ultrasound for Imaging of B-Lines in Dogs and Cats—A Prospective Study Investigating Agreement Between Three Types of Transducers and the Accuracy in Diagnosing Cardiogenic Pulmonary Edema, Pneumonia and Lung Neoplasia. Animals 2021, 11, 3279. [Google Scholar] [CrossRef] [PubMed]
- Le, M.T.; Voigt, L.; Nathanson, R.; Maw, A.M.; Johnson, G.; Dancel, R.; Mathews, B.; Moreira, A.; Sauthoff, H.; Gelabert, C.; et al. Comparison of four handheld point-of-care ultrasound devices by expert users. Ultrasound J. 2022, 14, 27. [Google Scholar] [CrossRef] [PubMed]
- Demi, L.; Wolfram, F.; Klersy, C.; De Silvestri, A.; Ferretti, V.V.; Muller, M.; Miller, D.; Feletti, F.; Wełnicki, M.; Buda, N.; et al. New International Guidelines and Consensus on the Use of Lung Ultrasound. J. Ultrasound Med. 2023, 42, 309–344. [Google Scholar] [CrossRef] [PubMed]
- Rigot, M.; Boysen, S.R.; Masseau, I.; Letendre, J.A. Evaluation of B-lines with 2 point-of-care lung ultrasound protocols in cats with radiographically normal lungs. J. Vet. Emerg. Crit. Care 2024, 34, 143–152. [Google Scholar] [CrossRef]
- Armenise, A.; Briganti, A.; Ricciardi, M.; Trerotoli, P.; Boysen, S.R. Comparison of computed tomography with three different point-of-care lung ultrasound protocols for detection of thoracic pathology in canine patients undergoing malignant cancer staging. 2025, Submitted.
- Cole, L.; Pivetta, M.; Humm, K. Diagnostic accuracy of a lung ultrasound protocol (Vet BLUE) for detection of pleural fluid, pneumothorax and lung pathology in dogs and cats. J. Small Anim. Pract. 2021, 62, 178–186. [Google Scholar] [CrossRef]
- Vezzosi, T.; Mannucci, T.; Pistoresi, A.; Toma, F.; Tognetti, R.; Zini, E.; Domenech, O.; Auriemma, E.; Citi, S. Assessment of Lung Ultrasound B-Lines in Dogs with Different Stages of Chronic Valvular Heart Disease. J. Vet. Intern. Med. 2017, 31, 700–704. [Google Scholar] [CrossRef] [PubMed]
- Gommeren, K.; Boysen, S.; Chalhoub, S. The Essentials of Veterinary Point of Care Ultrasound: Pleural Space and Lung. Edra: Milano, Italy, 2022. [Google Scholar]
- Boysen, S.R.; Lisciandro, G.R. The use of ultrasound for dogs and cats in the emergency room: AFAST and TFAST. Vet. Clin. North. Am. Small Anim. Pract. 2013, 43, 773–797. [Google Scholar] [CrossRef]
- Lichtenstein, D.A.; Menu, Y. A bedside ultrasound sign ruling out pneumothorax in the critically ill. Lung sliding. Chest 1995, 108, 1345–1348. [Google Scholar] [PubMed]
- Lichtenstein, D.A.; Lascols, N.; Prin, S.; Mezière, G. The “lung pulse”: An early ultrasound sign of complete atelectasis. Intensive Care Med. 2003, 29, 2187–2192. [Google Scholar] [CrossRef] [PubMed]
- Volpicelli, G.; Gargani, L. Interstitial Syndrome. In Chest Sonography, 4th ed.; Mathis, G., Ed.; Springer: Cham, Switzerland, 2017; pp. 45–50. [Google Scholar]
- Soldati, G.; Demi, M.; Inchingolo, R.; Smargiassi, A.; Demi, L. On the Physical Basis of Pulmonary Sonographic Interstitial Syndrome. J. Ultrasound Med. 2016, 35, 2075–2086. [Google Scholar] [CrossRef] [PubMed]
- Demi, M.; Buda, N.; Soldati, G. Vertical Artifacts in Lung Ultrasonography: Some Common Clinician Questions and the Related Engineer Answers. Diagnostics 2022, 12, 215. [Google Scholar] [CrossRef]
- Lichtenstein, D.; Mézière, G.; Biderman, P.; Gepner, A.; Barré, O. The comet-tail artifact. An ultrasound sign of alveolar-interstitial syndrome. Am. J. Respir. Crit. Care Med. 1997, 156, 1640–1646. [Google Scholar] [CrossRef] [PubMed]
- Lisciandro, G.R.; Fosgate, G.T.; Fulton, R.M. Frequency and number of ultrasound lung rockets (B-lines) using a regionally based lung ultrasound examination named VETBLUE (veterinary bedside lung ultrasound exam) in dogs with radiographically normal lung findings. Vet. Radiol. Ultrasound 2014, 55, 315–322. [Google Scholar] [CrossRef]
- Lichtenstein, D.A.; Lascols, N.; Mezière, G.; Gepner, A. Ultrasound diagnosis of alveolar consolidation in the critically ill. Intensive Care Med. 2004, 30, 276–281. [Google Scholar] [CrossRef] [PubMed]
- Łyźniak, P.; Świętoń, D.; Serafin, Z.; Szurowska, E. Lung ultrasound in a nutshell. Lines, signs, some applications, and misconceptions from a radiologist’s point of view. Pol. J. Radiol. 2023, 88, e294–e310. [Google Scholar] [CrossRef]
- Francisco, M.J.; Neto, A.; Rahal, A.; Junior, V.; Vieira, F.A.; Silva, P.S.; Funari, M.B. Advances in lung ultrasound. Einstein 2016, 14, 443–448. [Google Scholar] [CrossRef] [PubMed]
- Lichtenstein, D.; Mezière, G.; Biderman, P.; Gepner, A. The “lung point”: An ultrasound sign specific to pneumothorax. Intensive Care Med. 2000, 26, 1434–1440. [Google Scholar]
- Santos-Silva, J.; Lichtenstein, D.; Tuinman, P.R.; Elbers, P.W.G. The lung point, still a sign specific to pneumothorax. Intensive Care Med. 2019, 45, 1327–1328. [Google Scholar] [CrossRef] [PubMed]
- Lichtenstein, D.A.; Mezière, G.; Lascols, N.; Biderman, P.; Courret, J.P.; Gepner, A.; Goldstein, I.; Tenoudji-Cohen, M. Ultrasound diagnosis of occult pneumothorax. Crit. Care Med. 2005, 33, 1231–1238. [Google Scholar] [CrossRef]
- Walters, A.M.; O’Brien, M.A.; Selmic, L.E.; Hartman, S.; McMichael, M.; O’Brien, R.T. Evaluation of the agreement between focused assessment with sonography for trauma (AFAST/TFAST) and computed tomography in dogs and cats with recent trauma. J. Vet. Emerg. Crit. Care 2018, 28, 429–435. [Google Scholar] [CrossRef] [PubMed]
- Boysen, S.; McMurray, J.; Gommeren, K. Abnormal curtain signs identified with a novel lung ultrasound protocol in six dogs with pneumothorax. Front. Vet. Sci. 2019, 6, 291. [Google Scholar] [CrossRef] [PubMed]
- Murphy, K.; Papasouliotis, K. Pleural effusions in dogs and cats. Practice 2011, 33, 462–469. [Google Scholar] [CrossRef]
- Lichtenstein, D.A. Lung ultrasound in the critically ill. Ann. Intensive Care 2014, 4, 1. [Google Scholar] [CrossRef] [PubMed]
- Brogi, E.; Gargani, L.; Bignami, E.; Barbariol, F.; Marra, A.; Forfori, F.; Vetrugno, L. Thoracic ultrasound for pleural effusion in the intensive care unit: A narrative review from diagnosis to treatment. Crit. Care 2017, 21, 325. [Google Scholar] [CrossRef] [PubMed]
- Chichra, A.; Makaryus, M.; Chaudhri, P.; Narasimhan, M. Ultrasound for the Pulmonary Consultant. Clin. Med. Insights Circ. Respir. Pulm. Med. 2016, 10, 1–9. [Google Scholar] [CrossRef]
- Dietrich, C.F.; Mathis, G.; Cui, X.W.; Ignee, A.; Hocke, M.; Hirche, T.O. Ultrasound of the pleurae and lungs. Ultrasound Med. Biol. 2015, 41, 351–365. [Google Scholar] [CrossRef]
- Ho, J.-C.; Chen, H.-W.; Lin, C.-H.; Hu, K.-C. Fluid colour sign on chest ultrasonography in a cat with exudate pleural effusion and pleuropneumonia. J. Small Anim. Pract. 2019, 60, 518. [Google Scholar] [CrossRef]
- Han, J.; Xiang, H.; Ridley, W.E.; Ridley, L.J. Jellyfish sign: Pleural effusion. J. Med. Imaging Radiat. Oncol. 2018, 62 (Suppl. S1), 33. [Google Scholar] [CrossRef] [PubMed]
- Bhoil, R.; Ahluwalia, A.; Chopra, R.; Surya, M.; Bhoil, S. Signs and lines in lung ultrasound. J. Ultrason. 2021, 21, e225–e233. [Google Scholar] [CrossRef]
- Lin, C.H.; Lo, P.Y.; Lam, M.C.; Wu, H.D. Usefulness of chest ultrasonography in predicting diagnosis in non-emergency small animal patients with lung parenchymal and pleural disease. Front. Vet. Sci. 2020, 7, 616882. [Google Scholar] [CrossRef]
- Carroll, D.; Knipe, H.; Sharma, R. Pleural Effusion Volume (Ultrasound). Reference Article, Radiopaedia.org. Available online: https://radiopaedia.org/articles/pleural-effusion-volume-ultrasound?lang=us (accessed on 29 September 2024).
- Newitt, A.L.; Cripps, P.J.; Shimali, J. Sonographic estimation of pleural fluid volume in dogs. Vet. Radiol. Ultrasound 2009, 50, 86–90. [Google Scholar] [CrossRef]
- Watton, T.C.; Lara-Garcia, A.; Lamb, C.R. Can malignant and inflammatory pleural effusions in dogs be distinguished using computed tomography? Vet. Radiol. Ultrasound 2018, 59, 124. [Google Scholar] [CrossRef] [PubMed]
- Di Tommaso, M.; Rocconi, F.; Marruchella, G.; D’Angelo, A.R.; Masci, S.; Santori, D.; Civitella, C.; Luciani, A.; Boari, A. Invasive pleural malignant mesothelioma with rib destruction and concurrent osteosarcoma in a dog. Acta Vet. Scand. 2015, 57, 85. [Google Scholar] [CrossRef][Green Version]
- Hassan, M.; Mercer, R.M.; Rahman, N.M. Thoracic ultrasound in the modern management of pleural disease. Eur. Respir. Rev. 2020, 29, 190136. [Google Scholar] [CrossRef]
- Ward, J.L.; Lisciandro, G.R.; Ware, W.A.; Miles, K.G.; Viall, A.K.; DeFrancesco, T.C. Lung Ultrasonography Findings in Dogs with Various Underlying Causes of Cough. J. Am. Vet. Med. Assoc. 2019, 255, 574–583. [Google Scholar] [CrossRef]
- Manaker, S.; Weinbergen, S.E. Diagnostic Procedures in Respiratory Disease. In Harrison’s Principles of Internal Medicine, 17th ed.; MacGraw Hill: New York, NY, USA, 2008; Chapter 247. [Google Scholar]
- King, L.; Boag, A. Ultrasonography. Imaging techniques for the critical patient. In BSAVA Manual of Canine and Feline Emergency and Critical Care; BSAVA: Quedgeley, UK, 2007; p. 367. [Google Scholar]
- Smargiassi, A.; Inchingolo, R.; Soldati, G. The role of chest ultrasonography in the management of respiratory diseases: Document II. Multidiscip. Respir. Med. 2013, 8, 55. [Google Scholar] [CrossRef]
- Lichtenstein, D.; Mezière, G.; Seitz, J. The dynamic air bronchogram. A lung ultrasound sign of alveolar consolidation ruling out atelectasis. Chest 2009, 135, 1421–1425. [Google Scholar] [CrossRef] [PubMed]
- Citi, S.; Daddi, V.; Mannucci, T. Thoracic Ultrasound: A Method for the Work-Up in Dogs and Cats with Acute Dyspnea. J. Anim. Sci. Res. 2017, 1. [Google Scholar]
- Fernandes Rodrigues, N.; Giraud, L.; Bolen, G.; Fastrès, A.; Clercx, C.; Boysen, S.; Billen, F.; Gommeren, K. Comparison of lung ultrasound, chest radiographs, C-reactive protein, and clinical findings in dogs treated for aspiration pneumonia. J. Vet. Intern. Med. 2022, 36, 743–752. [Google Scholar] [CrossRef] [PubMed]
- Sherman, R.; Karagiannis, M. Aspiration Pneumonia in the Dog: A Review. Top. Companion Anim. Med. 2017, 32, 1–7. [Google Scholar] [CrossRef]
- Haaksma, M.E.; Smit, J.M.; Heldeweg, M.L.A.; Nooitgedacht, J.S.; de Grooth, H.J.; Jonkman, A.H.; Girbes, A.R.J.; Heunks, L.; Tuinman, P.R. Extended Lung Ultrasound to Differentiate Between Pneumonia and Atelectasis in Critically Ill Patients: A Diagnostic Accuracy Study. Crit. Care Med. 2022, 50, 750–759. [Google Scholar] [CrossRef]
- Kraszewska, K.; Gajewski, M.; Boysen, S.R. Case report: Application of color Doppler sonography for the assessment of pulmonary consolidations in a dog. Front. Vet. Sci. 2023, 10, 1275929. [Google Scholar] [CrossRef] [PubMed]
- Gargani, L. Lung Ultrasound: A New Tool for the Cardiologist. Cardiovasc. Ultrasound 2011, 9, 1–9. [Google Scholar] [CrossRef] [PubMed]
- Szymczak, J.; Kiełbowicz, Z.; Kinda, W.; Zaleska-Dorobisz, U.; Kubiak, K. Transthoracic lung and pleura ultrasonography as a diagnostic tool of pulmonary edema in dogs and cats. Pol. J. Vet. Sci. 2018, 21, 475–481. [Google Scholar] [CrossRef] [PubMed]
- Manolescu, D.; Davidescu, L.; Traila, D.; Oancea, C.; Tudorache, V. The reliability of lung ultrasound in assessment of idiopathic pulmonary fibrosis. Clin. Interv. Aging 2018, 13, 437–449. [Google Scholar] [CrossRef] [PubMed]
- Rademacher, N.; Pariaut, R.; Pate, J.; Saelinger, C.; Kearney, M.T.; Gaschen, L. Transthoracic lung ultrasound in normal dogs and dogs with cardiogenic pulmonary edema: A pilot study. Vet. Radiol. Ultrasound 2014, 55, 447–452. [Google Scholar] [CrossRef]
- Ward, J.; Lisciandro, G.R.; Keene, B.W.; Tou, S.; DeFrancesco, T.C. Accuracy of point-of-care lung ultrasonography for the diagnosis of cardiogenic pulmonary edema in dogs and cats with acute dyspnea. J. Am. Vet. Med. Assoc. 2017, 250, 666–675. [Google Scholar] [CrossRef]
- DeFrancesco, T.C.; Ward, J.L. Focused Canine Cardiac Ultrasound. Vet. Clin. N. Am. Small Anim. Pract. 2021, 51, 1203–1216. [Google Scholar] [CrossRef] [PubMed]
- Brüler, B.C.; Giannico, A.T.; Wolf, M.; Sousa, M.G. Role of echocardiographic views adapted for lung evaluation in diagnosis of cardiogenic pulmonary edema in Dogs. Vet. Res. Commun. 2023, 47, 675–682. [Google Scholar] [CrossRef] [PubMed]
- Koegelenberg, C.F.N.; Groote-Bidlingmaier, F.; Bolliger, C.T. Transthoracic Ultrasonography for the Respiratory Physician. Respiration 2012, 84, 337–350. [Google Scholar] [CrossRef]
- Murphy, S.D.; Ward, J.L.; Viall, A.K.; Tropf, M.A.; Walton, R.L.; Fowler, J.L.; Ware, W.A.; DeFrancesco, T.C. Utility of point-of-care lung ultrasound for monitoring cardiogenic pulmonary edema in dogs. J. Vet. Intern. Med. 2021, 35, 68–77. [Google Scholar] [CrossRef]
- Unger, K.; Martin, L.G. Noncardiogenic pulmonary edema in small animals. J. Vet. Emerg. Crit. Care 2023, 33, 156–172. [Google Scholar] [CrossRef]
- Ward, J.L.; Lisciandro, G.R.; DeFrancesco, T.C. Distribution of alveolar-interstitial syndrome in dogs and cats with respiratory distress as assessed by lung ultrasound versus thoracic radiographs. J. Vet. Emerg. Crit. Care 2018, 28, 415–428. [Google Scholar] [CrossRef]
- Volpicelli, G.; Elbarbary, M.; Blaivas, M.; Lichtenstein, D.A.; Mathis, G.; Kirkpatrick, A.W.; Melniker, L.; Gargani, L.; Noble, V.E.; Via, G.; et al. International Liaison Committee on Lung Ultrasound (ILC-LUS) for International Consensus Conference on Lung Ultrasound (ICC-LUS). International evidence-based recommendations for point-of-care lung ultrasound. Intensive Care Med. 2012, 38, 577–591. [Google Scholar] [CrossRef] [PubMed]
- Murphy, K.A.; Brisson, B.A. Evaluation of lung lobe torsion in Pugs: 7 cases (1991–2004). J. Am. Vet. Med. Assoc. 2006, 228, 86–90. [Google Scholar] [CrossRef]
- Coady, M.R.M.; Atilla, A.; Stillion, J. Bilateral lung lobe torsions in a cat. Can. Vet. J. 2020, 61, 161–165. [Google Scholar] [PubMed]
- Park, K.M.; Grimes, J.A.; Wallace, M.L.; Sterman, A.A.; Thieman Mankin, K.M.; Campbell, B.G.; Flannery, E.E.; Milovancev, M.; Mathews, K.G.; Schmiedt, C.W. Lung lobe torsion in dogs: 52 cases (2005–2017). Vet. Surg. 2018, 47, 1002–1008. [Google Scholar] [CrossRef] [PubMed]
- Belmudes, A.; Gory, G.; Cauvin, E.; Combes, A.; Gallois-Bride, H.; Couturier, L.; Rault, D.N. Lung lobe torsion in 15 dogs: Peripheral band sign on ultrasound. Vet. Radiol. Ultrasound 2021, 62, 116–125. [Google Scholar] [CrossRef]
- Zhu, R.; Ma, X.C. Clinical Value of Ultrasonography in Diagnosis of Pulmonary Embolism in Critically Ill Patients. J. Transl. Int. Med. 2017, 5, 200–204. [Google Scholar] [CrossRef]
- Lisciandro, G.R.; Puchot, M.L.; Gambino, J.M.; Lisciandro, S.C. The wedge sign: A possible lung ultrasound sign for pulmonary thromboembolism. J. Vet. Emerg. Crit. Care 2022, 32, 663–669. [Google Scholar] [CrossRef] [PubMed]
- Armenise, A. Chapter 7 Case 9: Pulmonary Thromboembolism. In Case Studies in Small Animal Point of Care Ultrasound; Binagia, E., Boysen, S.R., Stastny, T., Eds.; CRC Press: Boca Raton, FL, USA, 2025; in press. [Google Scholar]
- Gargani, L. SP0179 Ultrasound in Lung Fibrosis. Ann. Rheum. Dis. 2013, 72, A41. [Google Scholar] [CrossRef]
- Sperandeo, M.; Varriale, A.; Sperandeo, G.; Filabozzi, P.; Piattelli, M.; Carnevale, V.; Decuzzi, M.; Vendemiale, G. Transthoracic ultrasound in the evaluation of pulmonary fibrosis: Our experience. Ultrasound Med. Biol. 2009, 35, 723–729. [Google Scholar] [CrossRef] [PubMed]
- Farrag, M.; Elembaby, D.; Pasha, M. The Reliability of Ultrasound in Diagnosis of Idiopathic Pulmonary Fibrosis. QJM An. Int. J. Med. 2023, 116 (Suppl. S1), hcad069-176. [Google Scholar] [CrossRef]
- Sperandeo, M.; Cata, A.; Molinaro, F.; Trovato, F.; Catalano, D.; Simeone, A.; Varriale, A.; Martines, G.; Trovato, G. Ultrasound signs of pulmonary fibrosis in systemic sclerosis as timely indicators for chest computed tomography. Scand. J. Rheumatol. 2015, 44, 389–396. [Google Scholar] [CrossRef] [PubMed]
- Schueller, G.; Herold, C. Lung Metastases. Cancer Imaging 2015, 3, 126–128. [Google Scholar]
- Pacholec, C.; Lisciandro, G.; Masseau, I.; Donnelly, L.; DeClue, A.; Reinero, C. Lung ultrasound nodule sign for detection of pulmonary nodule lesions in dogs: Comparison to thoracic radiography using computed tomography as the criterion standard. Vet. J. 2021, 275, 105727. [Google Scholar] [CrossRef] [PubMed]
- Linta, N.; Baron Toaldo, M.; Bettini, G.; Cordella, A.; Quinci, M.; Pey, P.; Galli, V.; Cipone, M.; Diana, A. The feasibility of contrast-enhanced ultrasonography (CEUS) in the diagnosis of non-cardiac thoracic disorders of dogs and cats. BMC Vet. Res. 2017, 13, 141. [Google Scholar] [CrossRef]
- Łobaczewski, A.; Czopowicz, M.; Moroz, A.; Mickiewicz, M.; Sapierzyński, R.; Tarka, S.; Frymus, T.; Mądry, W.; Buczyński, M.; Szaluś-Jordanow, O. Integrated Basic Heart and Lung Ultrasound Examination for the Differentiation between Bacterial Pneumonia and Lung Neoplasm in Dogs—A New Diagnostic Algorithm. Animals 2022, 12, 1154. [Google Scholar] [CrossRef] [PubMed]
- Liu, J.; Chi, J.; Lu, Z.; Fu, W. The specific signs of lung ultrasound to diagnose pulmonary hemorrhage of the newborns: Evidence from a multicenter retrospective case-control study. Front. Pediatr. 2023, 11, 1090332. [Google Scholar] [CrossRef] [PubMed]
- Ren, X.; Fu, W.; Liu, J.; Liu, Y.; Xia, R. Lung ultrasonography to diagnose pulmonary hemorrhage of the newborn. J. Matern. Fetal Neonatal Med. 2017, 30, 2601–2606. [Google Scholar] [CrossRef] [PubMed]
- Spattini, G.; Rossi, F.; Vignoli, M.; Lamb, C.R. Use of ultrasound to diagnose diaphragmatic rupture in dogs and cats. Vet. Radiol. Ultrasound 2003, 44, 226–230. [Google Scholar] [CrossRef] [PubMed]
- Uemura, A.; Fukayama, T.; Tanaka, T.; Tanaka, R. Utility of Lung Ultrasonography for Detection of Pleural Adhesions in Dogs. J. Ultrasound Med. 2018, 37, 1193–1198. [Google Scholar] [CrossRef]
- Oricco, S.; Medico, D.; Tommasi, I.; Bini, R.M.; Rabozzi, R. Lung ultrasound score in dogs and cats: A reliability study. J. Vet. Intern. Med. 2024, 38, 336–345. [Google Scholar] [CrossRef]
- Kraft, C.; Lasure, B.; Sharon, M.; Patel, P.; Minardi, J. Pediatric lung abscess: Immediate diagnosis by point-of-care ultrasound. Pediatr. Emerg. Care 2018, 34, 447–449. [Google Scholar] [CrossRef]










Disclaimer/Publisher’s Note: The statements, opinions and data contained in all publications are solely those of the individual author(s) and contributor(s) and not of MDPI and/or the editor(s). MDPI and/or the editor(s) disclaim responsibility for any injury to people or property resulting from any ideas, methods, instructions or products referred to in the content. |
© 2025 by the author. Licensee MDPI, Basel, Switzerland. This article is an open access article distributed under the terms and conditions of the Creative Commons Attribution (CC BY) license (https://creativecommons.org/licenses/by/4.0/).
Share and Cite
Armenise, A. Point-of-Care Lung Ultrasound in Small Animal Emergency and Critical Care Medicine: A Clinical Review. Animals 2025, 15, 106. https://doi.org/10.3390/ani15010106
Armenise A. Point-of-Care Lung Ultrasound in Small Animal Emergency and Critical Care Medicine: A Clinical Review. Animals. 2025; 15(1):106. https://doi.org/10.3390/ani15010106
Chicago/Turabian StyleArmenise, Andrea. 2025. "Point-of-Care Lung Ultrasound in Small Animal Emergency and Critical Care Medicine: A Clinical Review" Animals 15, no. 1: 106. https://doi.org/10.3390/ani15010106
APA StyleArmenise, A. (2025). Point-of-Care Lung Ultrasound in Small Animal Emergency and Critical Care Medicine: A Clinical Review. Animals, 15(1), 106. https://doi.org/10.3390/ani15010106

