Morphological and Immunohistochemical Changes in Progressive Postmortem Autolysis of the Murine Brain
Simple Summary
Abstract
1. Introduction
2. Materials and Methods
2.1. Animals
2.2. Experimental Design
2.3. Histopathology
2.4. Immunohistochemistry
2.5. Statistical Analysis
3. Results
3.1. Gross Examination
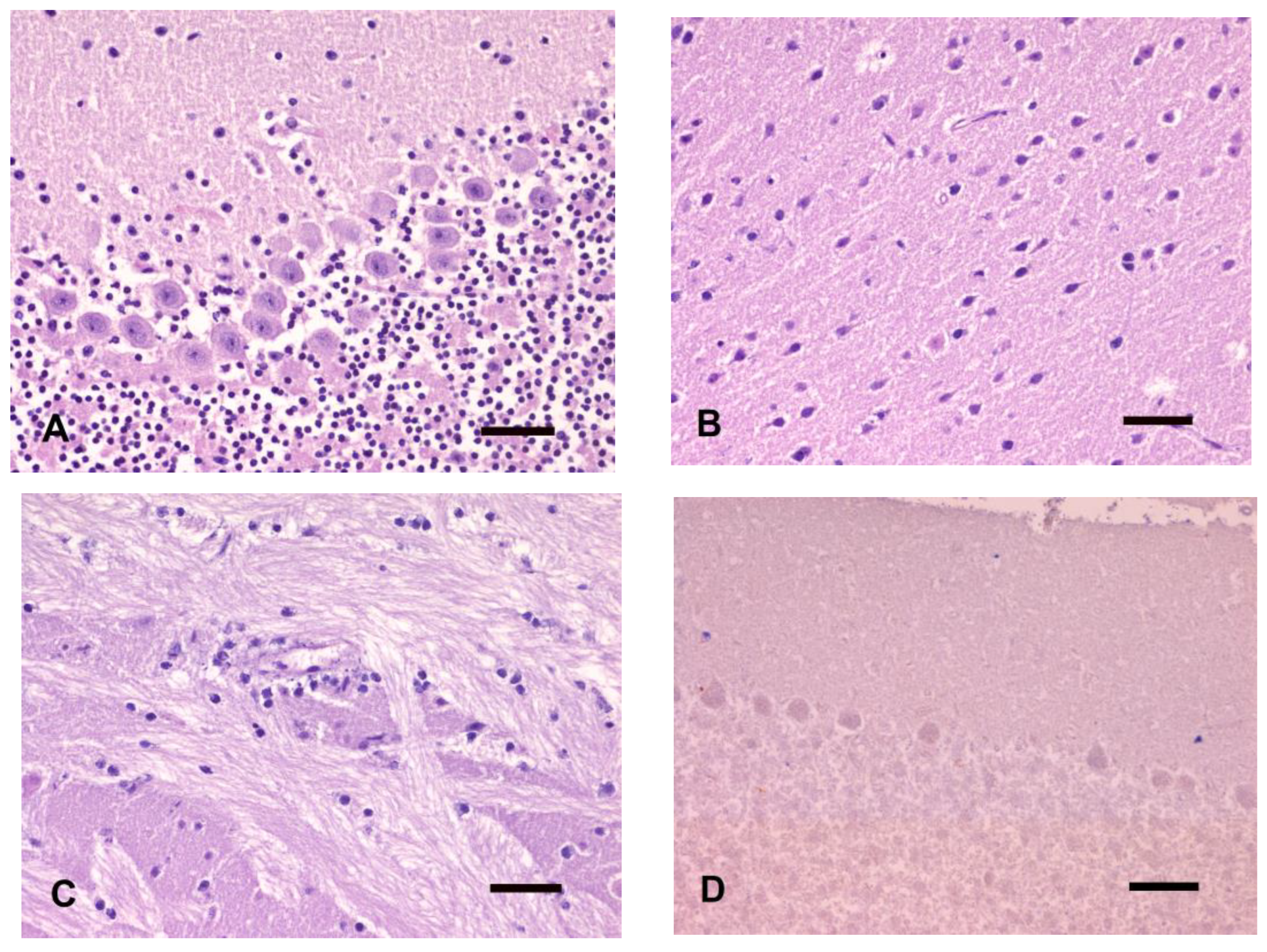
3.2. Histopathology
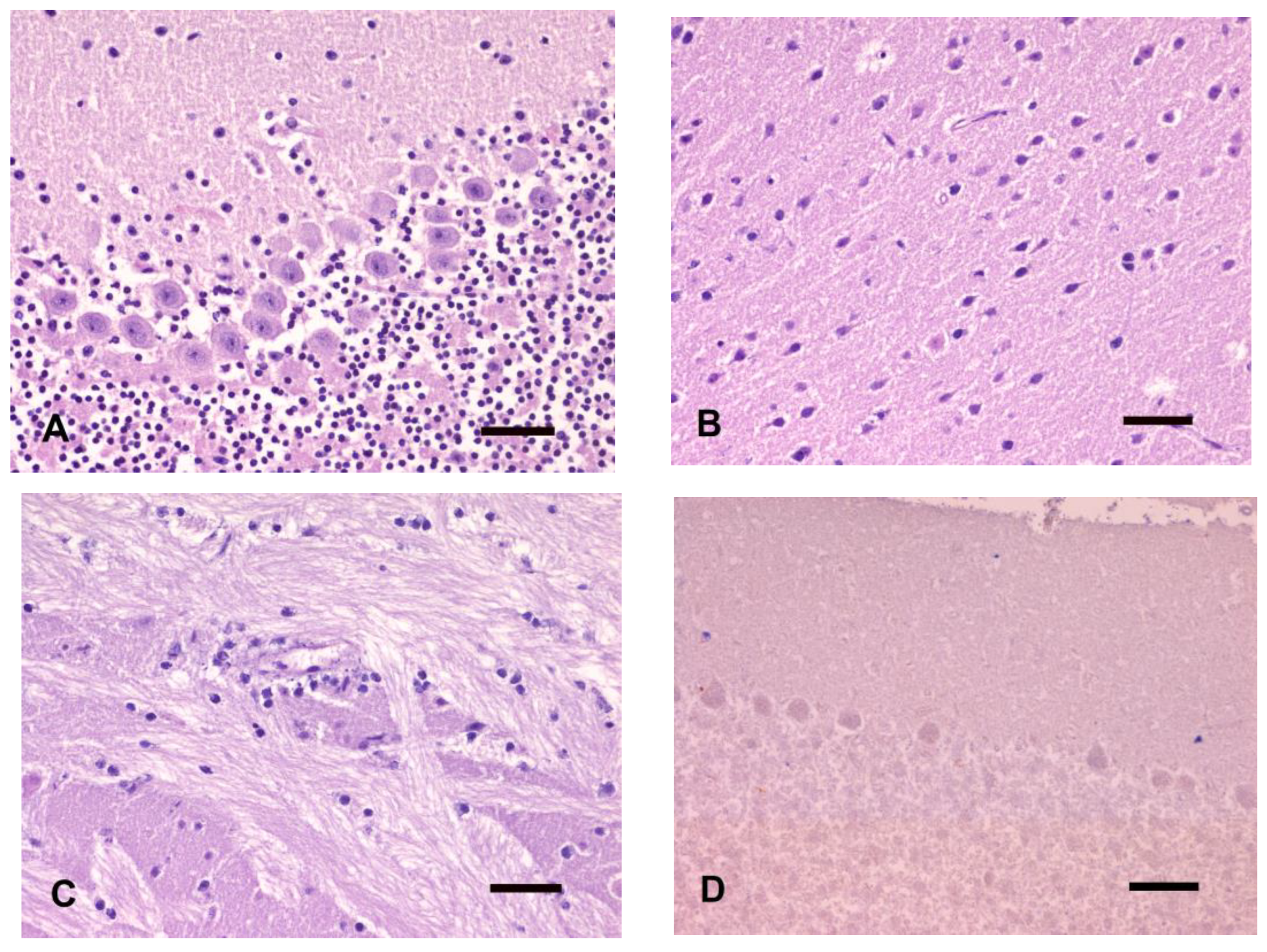
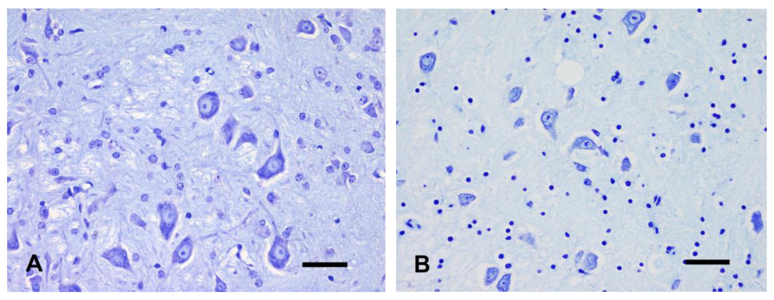
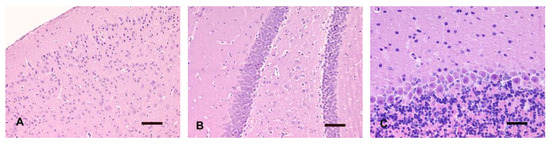
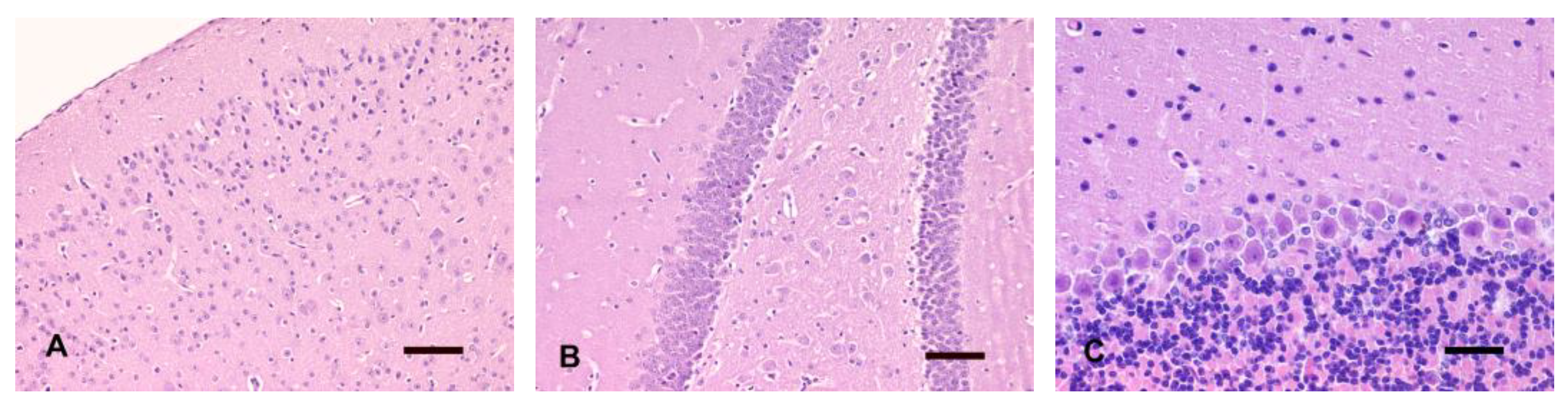
3.2.1. Brains Kept at 4 °C
T1 (24 h)
T2 (120 h)
T3 (168 h)
T4 (336 h)
3.2.2. Brains Kept at 22 °C
T1 (24 h)
T2 (120 h)
T3 (168 h)
T4 (336 h)
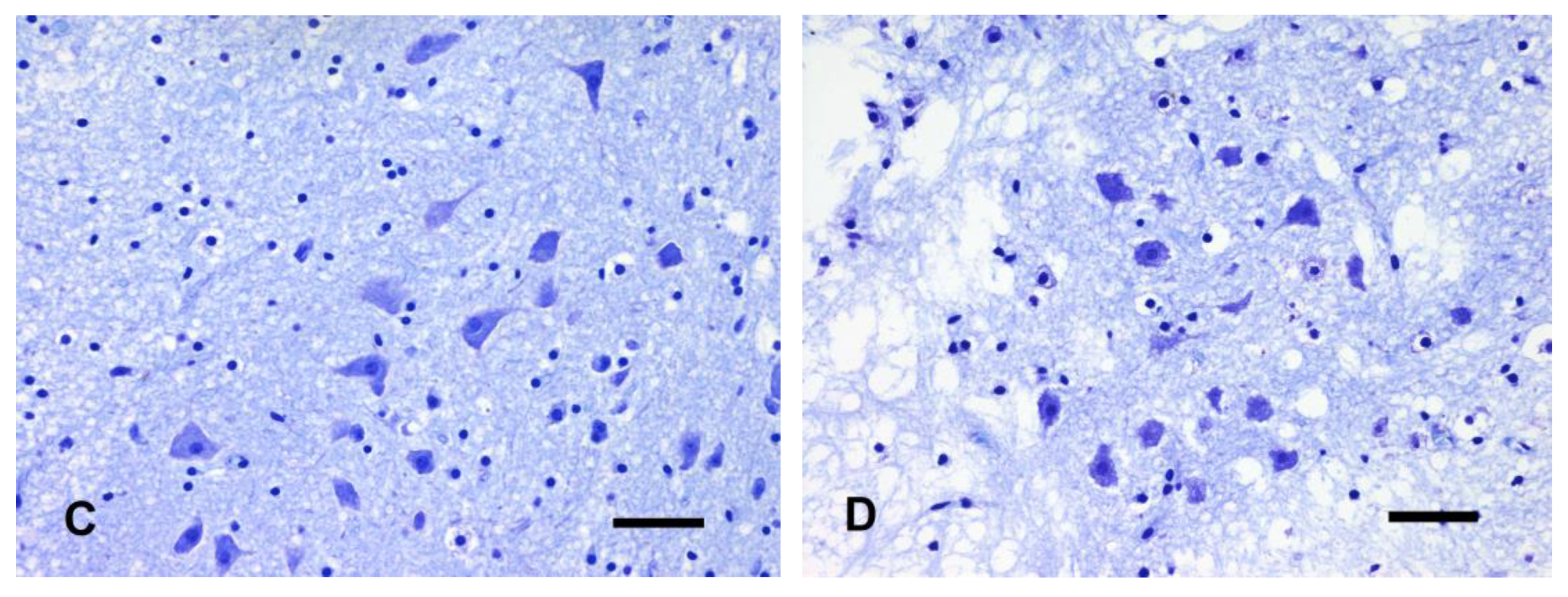
3.2.3. Brains Kept at 37 °C
T1 (24 h)
T2 (120 h)
T3 (168 h)
T4 (336 h)
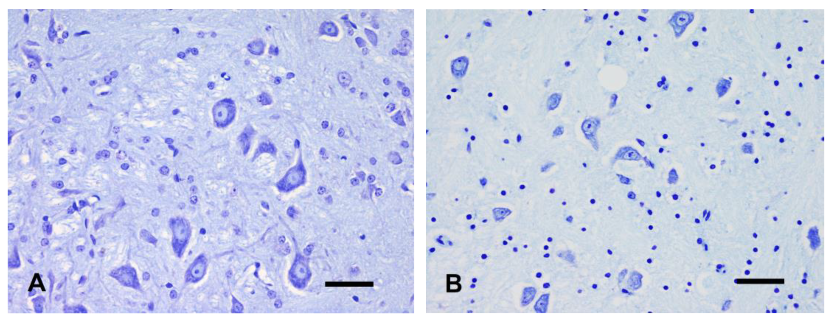
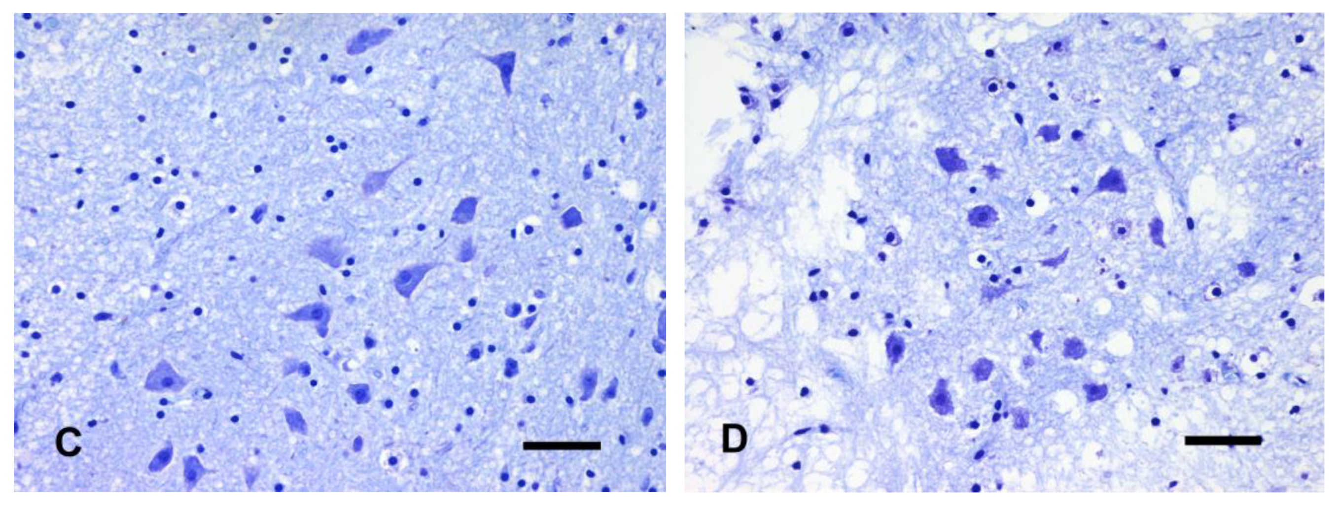
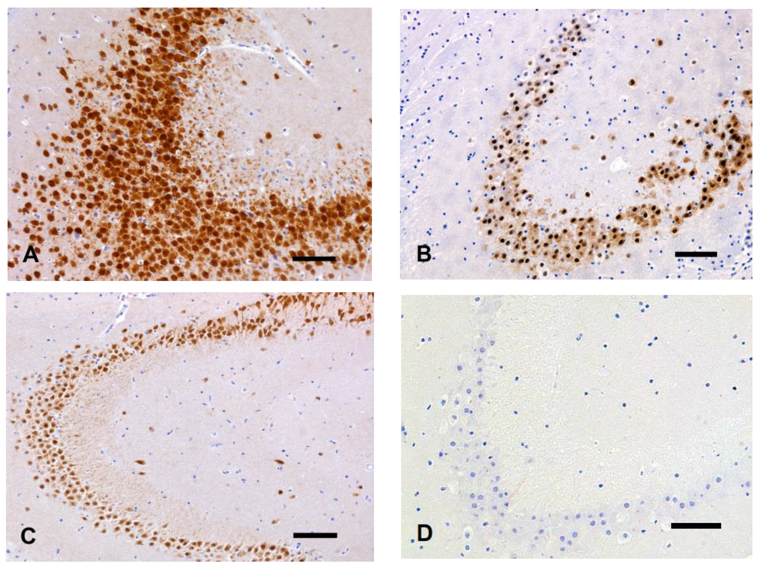
3.3. Immunohistochemistry
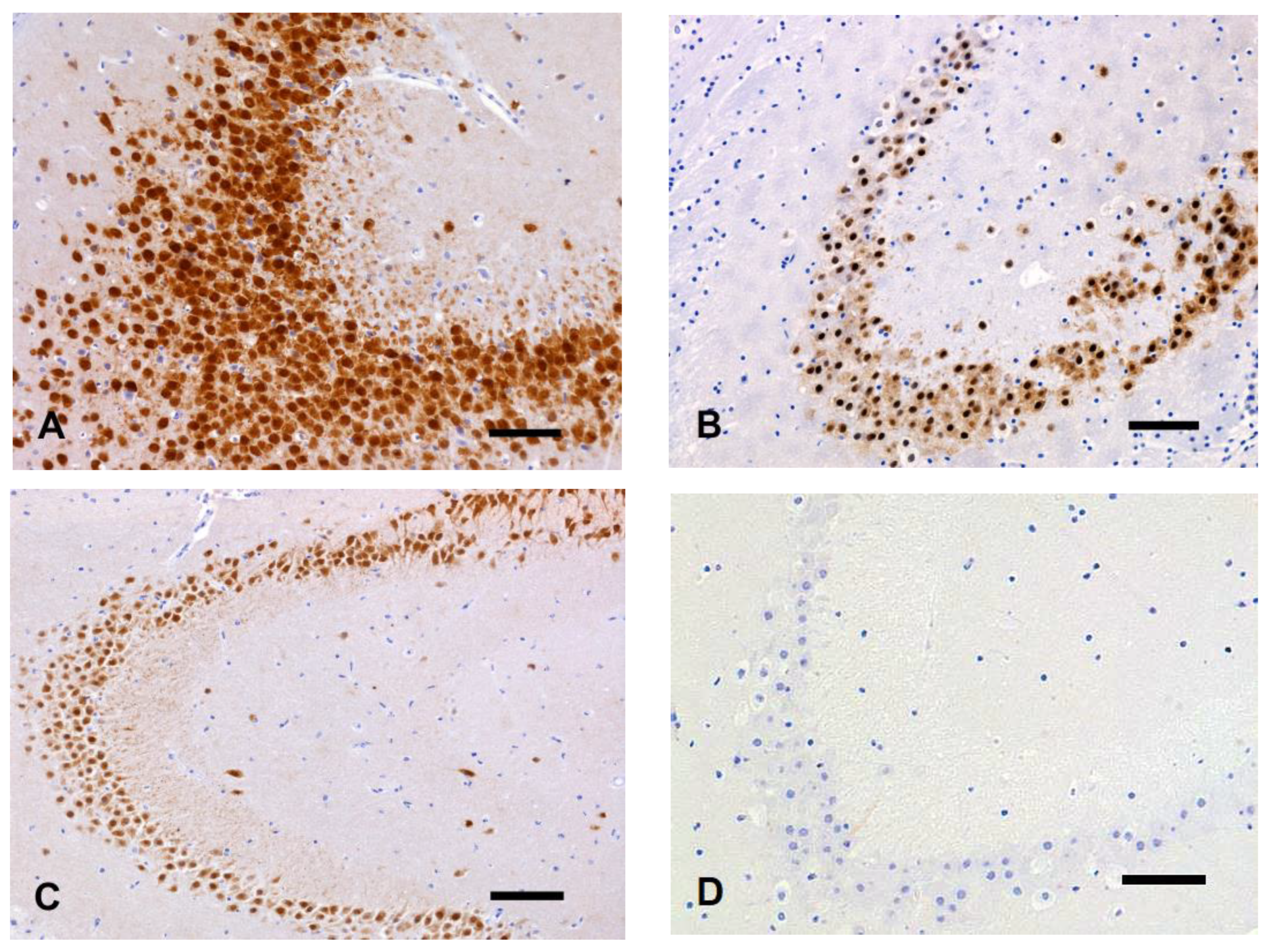
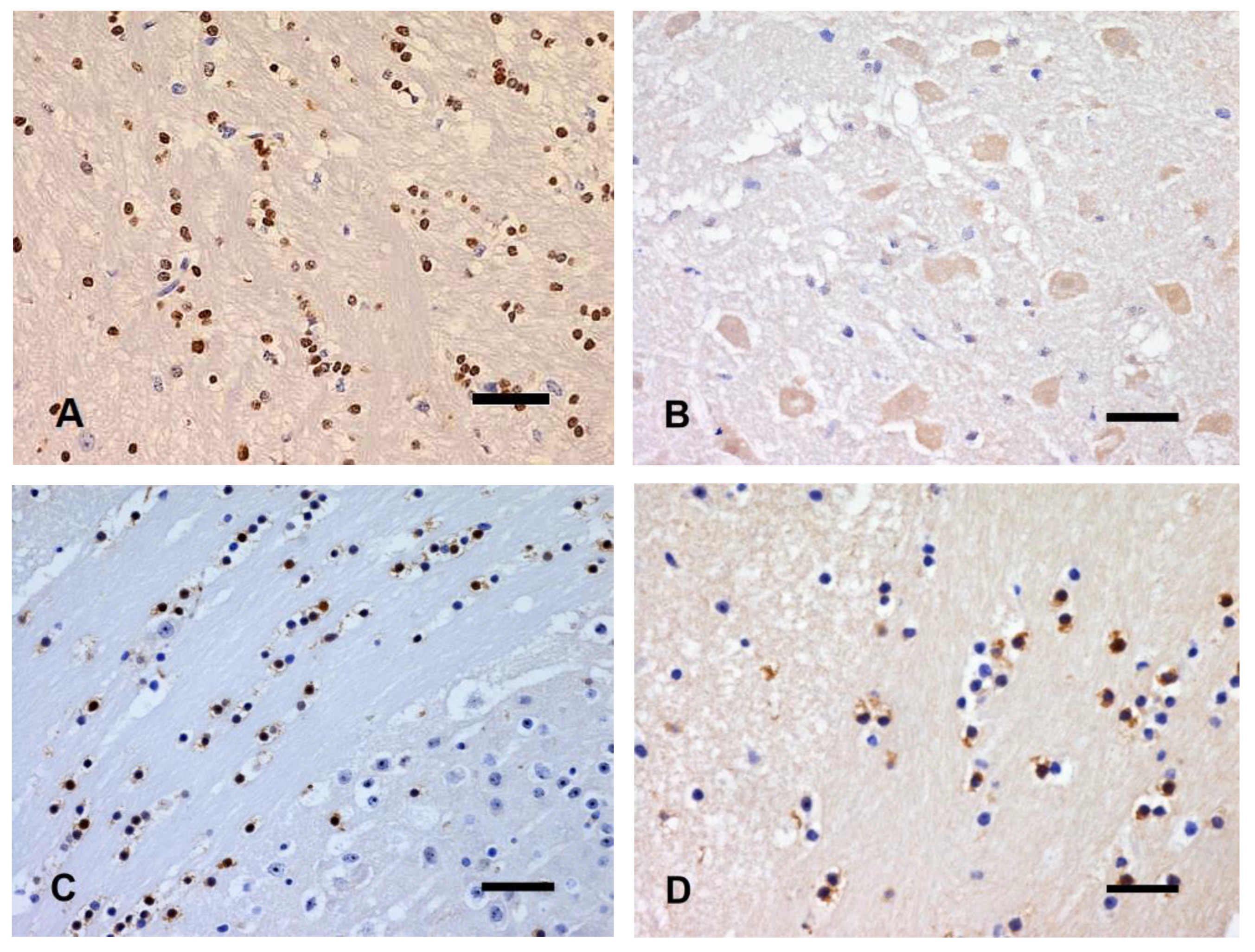
3.3.1. NeuN
3.3.2. SMI-32
3.3.3. 2F11
3.3.4. Olig2
3.3.5. GFAP
4. Discussion
4.1. Histopathology
4.2. Immunohistochemistry
5. Conclusions
Author Contributions
Funding
Institutional Review Board Statement
Informed Consent Statement
Data Availability Statement
Acknowledgments
Conflicts of Interest
References
- Jones, T.C.; Hunt, D.R.; King, W.N. Veterinary Pathology, 6th ed.; Lippincott: Philadelphia, PA, USA, 1997; pp. 8–17. [Google Scholar]
- Kumar, V.; Abbas, A.; Aster, J. Robbins and Cotran Pathologic Basis of Disease, 7th ed.; Elsevier: Philadelphia, PA, USA, 2005; pp. 14, 15, 19, 21, 28. [Google Scholar]
- Aits, S.; Jäättelä, M. Lysosomal cell death at a glance. J. Cell Sci. 2013, 126, 1905–1912. [Google Scholar] [CrossRef] [PubMed]
- Gorrie, C.; Oakes, S.; Duflou, J. Axonal injury in children after motor vehicle crashes: Extent, distribution, and size of axonal swellings using β-APP immunohistochemistry. J. Neurotrauma 2002, 19, 1171–1182. [Google Scholar] [CrossRef] [PubMed]
- Fricker, M.; Tolkovsky, A.M.; Borutaite, V.; Coleman, M.; Brown, G.C. Neuronal Cell Death. Physiol. Rev. 2018, 98, 813–880. [Google Scholar] [CrossRef] [PubMed]
- Forbes, S.L.; Perrault Uptmor, K.A.; Comstock, J.L. Microscopic post-mortem changes: The chemistry of decomposition. In Taphonomy of Human Remains: Forensic Analysis of the Dead and the Depositional Environment: Forensic Analysis of the Dead and the Depositional Environment; Schotsmans, E.M.J., Márquez-Grant, N., Forbes, S.L., Eds.; John Wiley & Sons Ltd.: Hoboken, NJ, USA, 2017; pp. 26–38. [Google Scholar]
- Brown, D.L.; Van Wettere, A.J.; Cullen, J.M. Hepatobiliary system and exocrine pancreas. In Pathologic Basis of Veterinary Disease, 6th ed.; Zachary, J.F., Ed.; Elsevier: Amsterdam, The Netherlands, 2017; p. 433. [Google Scholar]
- Cooper, B.J.; Valentine, B.A. Muscle and tendon. In Jubb, Kennedy, and Palmer’s Pathology of Domestic Animals, 6th ed.; Maxie, M.G., Ed.; Elsevier: Amsterdam, The Netherlands, 2016; Volume 1, p. 186. [Google Scholar]
- Cullen, J.M.; Stalker, M.J. Liver and biliary system. In Jubb, Kennedy, and Palmer’s Pathology of Domestic Animals, 6th ed.; Maxie, M.G., Ed.; Elsevier: Amsterdam, The Netherlands, 2016; Volume 2, pp. 279–281. [Google Scholar]
- Foster, R.A. Female reproductive system and mammae. In Pathologic Basis of Veterinary Disease, 6th ed.; Zachary, J.F., Ed.; Elsevier: Amsterdam, The Netherlands, 2017; p. 1173. [Google Scholar]
- Galluzzi, L.; Vitale, I.; Aaronson, S.A.; Abrams, J.M.; Adam, D.; Agostinis, P.; Alnemri, E.S.; Altucci, L.; Amelio, I.; Andrews, D.W.; et al. Molecular mechanisms of cell death: Recommendations of the Nomenclature Committee on Cell Death. Cell Death Differ. 2018, 25, 486–541. [Google Scholar] [CrossRef]
- Henßge, C.; Wang, H.; Hoppe, B. Light microscopical investigations on structural changes of skeletal muscle as artifacts after postmortem stimulation. Forensic Sci. Int. 2002, 125, 163–171. [Google Scholar] [CrossRef]
- Palmiere, C.; Vanhaebost, J.; Ventura, F. Cerebrospinal fluid PCR analysis and biochemistry in bodies with severe decomposition. J. Forensic Leg. Med. 2015, 30, 21–24. [Google Scholar] [CrossRef]
- Scarpelli, D.G.; Iannaccone, P.M. Cell death, autolysis and necrosis. In Anderson’s Pathology, 9th ed.; Kissane, J.M., Ed.; Mosby: St. Louis, MO, USA, 1990; p. 13. [Google Scholar]
- Kimura, M.; Abe, M. Histology of postmortem changes in rat livers to ascertain hour of death. Int. J. Tissue React. 1994, 16, 139–150. [Google Scholar]
- Gelpi, E.; Preusser, M.; Bauer, G.; Budka, H. Autopsy at 2 months after death: Brain is satisfactorily preserved for neuropathology. Forensic Sci. Int. 2007, 168, 177–182. [Google Scholar] [CrossRef]
- Omalu, B.I.; Mancuso, J.A.; Cho, P.; Wecht, C.H. Diagnosis of Alzheimer’s disease in an exhumed decomposed brain after twenty months of burial in a deep grave. J. Forensic Sci. 2005, 50, 1453–1458. [Google Scholar] [CrossRef]
- Shibayama, H.; Kitoh, J. The postmortem changes of pyramidal neurons in the hippocampus of rats. Folia Psychiatr. Neurol. Jpn. 1976, 30, 73–91. [Google Scholar] [CrossRef]
- Sheleg, S.V.; Lobello, J.R.; Hixon, H.; Coons, S.W.; Lowry, D.; Nedzved, M.K. Stability and autolysis of cortical neurons in post-mortem adult rat brains. Int. J. Clin. Exp. Pathol. 2008, 1, 291–299. [Google Scholar] [PubMed]
- Finnie, J.W.; Blumbergs, P.C.; Manavis, J. Temporal sequence of autolysis in the cerebellar cortex of the mouse. J. Comp. Path 2016, 154, 323–328. [Google Scholar] [CrossRef] [PubMed]
- Krassner, M.M.; Kauffman, J.; Sowa, A.; Cialowicz, K.; Walsh, S.; Farrell, K.; Crary, J.F.; McKenzie, A.T. Postmortem changes in brain cell structure: A review. Free Neuropathol. 2023, 4, 4–10. [Google Scholar] [PubMed]
- Hilbig, H.; Bidmon, H.J.; Oppermann, O.T.; Remmerbach, T. Influence of post-mortem delay and storage temperature on the immunohistochemical detection of antigens in the CNS of mice. Exp. Toxicol. Pathol. 2004, 56, 159–171. [Google Scholar] [CrossRef] [PubMed]
- Oehmichen, M.; Gencic, M. Postmortal histomorphologic and histoenzymatic alterations in rat brain. Pathol. Res. Pract. 1980, 169, 72–83. [Google Scholar] [CrossRef]
- MacManus, D.B. Excision of whole intact mouse brain. Methods X 2023, 10, 102246. [Google Scholar] [CrossRef]
- Rao, D.B.; Little, P.B.; Malarkey, D.E.; Herbert, R.A.; Sills, R.C. Histopathological evaluation of the nervous system in National Toxicology Program rodent studies: A modified approach. Toxicol. Pathol. 2011, 39, 463–470. [Google Scholar] [CrossRef]
- Koehler, J.W.; Miller, A.D.; Rissi, D.R. Effects of autolysis and prolonged formalin fixation on histomorphology and immunohistochemistry of normal canine brain tissue: An experimental study. J. Vet. Diagn. Investig. 2024, 36, 169–176. [Google Scholar] [CrossRef]
- Koenig, S.R.; Koenig, H. An Experimental Study of Post Mortem Alterations in Neurons of the Central Nervous System. J. Neuropathol. Exp. Neurol. 1952, 11, 69–78. [Google Scholar] [CrossRef]
- Sele, M.; Wernitznig, S.; Lipovšek, S.; Radulović, S.; Haybaeck, J.; Birkl-Toeglhofer, A.M.; Wodlej, C.; Kleinegger, F.; Sygulla, S.; Leoni, M.; et al. Optimization of ultrastructural preservation of human brain for transmission electron microscopy after long post-mortem intervals. Acta Neuropathol. Commun. 2019, 7, 144. [Google Scholar] [CrossRef]
- Garcia, J.H.; Lossinsky, A.S.; Kauffman, F.C.; Conger, K.A. Neuronal ischemic injury: Light microscopy, ultrastructure and biochemistry. Acta Neuropathol. 1978, 43, 85–95. [Google Scholar] [CrossRef] [PubMed]
- MacKenzie, J.M. Examining the decomposed brain. Am. J. Forensic Med. Pathol. 2014, 35, 265–270. [Google Scholar] [CrossRef] [PubMed]
- Pantoni, L.; Garcia, J.H.; Gutierrez, J.A. Cerebral white matter is highly vulnerable to ischemia. Stroke 1996, 27, 1641–1647. [Google Scholar] [CrossRef] [PubMed]
- Sheedy, D.; Harding, A.; Say, M.; Stevens, J.; Kril, J.J. Histological assessment of cerebellar granule cell layer in postmortem brain; a useful marker of tissue integrity? Cell Tissue Bank. 2012, 13, 521–527. [Google Scholar] [CrossRef]
- Rech, R.R.; Rissi, D.R.; Pierezan, F.; Gabriel, A.L.; Barros, C.S.L. Autólise da camada de células granulares do cerebelo em bovinos. Ciência Rural 2008, 38, 1181–1183. [Google Scholar] [CrossRef]
- Chang, B.-J.; Jang, B.-J.; Son, T.G.; Cho, I.-H.; Quan, F.-S.; Choe, N.-H.; Nahm, S.-S.; Lee, J.-H. Ascorbic acid ameliorated oxidative damage induced by maternal low-level lead exposure in the hippocampus of rat pups during gestation and lactation. Food Chem. Toxicol. 2012, 50, 104–108. [Google Scholar] [CrossRef]
- Igarashi, T.; Huang, T.T.; Noble, L.J. Regional vulnerability after traumatic brain injury: Gender differences in mice that overexpress human copper, zinc superoxide dismutase. Exp. Neurol. 2001, 172, 332–341. [Google Scholar] [CrossRef]
- Uysal, N.; Tugyan, K.; Aksu, I.; Ozbal, S.; Ozdemir, D.; Dayi, A.; Gönenç, S.; Açikgöz, O. Age related changes in apoptosis in rat hippocampus induced by oxidative stress. Biotech. Histochem. 2012, 87, 98–104. [Google Scholar] [CrossRef]
- Gonzalez-Riano, C.; Tapia-González, S.; García, A.; Muñoz, A.; DeFelipe, J.; Barbas, C. Metabolomics and neuroanatomical evaluation of post-mortem changes in the hippocampus. Brain Struct. Funct. 2017, 222, 2831–2853. [Google Scholar] [CrossRef]
- Zdravkovic, M.; Kostov, M.; Stojanovic, M. Identification of post mortem autolytic changes on the kidney tissue using PAS stained method. Med. Biol. 2006, 13, 181–184. [Google Scholar]
- Henßge, C.; Madea, B. Estimation of the time since death in the early post-mortem period. Forensic Sci. Int. 2004, 144, 167–175. [Google Scholar] [CrossRef] [PubMed]
- Janaway, R.C.; Percival, S.L.; Wilson, A.S. Decomposition of human remains. In Microbiology and Aging; Percival, S.L., Ed.; Humana Press: Totowa, NJ, USA, 2009; pp. 313–334. [Google Scholar]
- Powers, R.H. The decomposition of human remains. In Forensic Medicine of the Lower Extremity; Forensic Science and Medicine; Rich, J., Dean, D.E., Powers, R.H., Eds.; Humana Press: Totowa, NJ, USA, 2005; pp. 3–15. [Google Scholar]
- Ith, M.; Scheurer, E.; Kreis, R.; Thali, M.; Dirnhofer, R.; Boesch, C. Estimation of the postmortem interval by means of 1H MRS of decomposing brain tissue: Influence of ambient temperature. NMR Biomed. 2011, 24, 791–798. [Google Scholar] [CrossRef] [PubMed]
- Gusel’nikova, V.V.; Korzhevskiy, D.E. NeuN as a neuronal nuclear antigen and neuron differentiation marker. Acta Naturae 2015, 7, 42–47. [Google Scholar] [CrossRef] [PubMed]
- Sarnat, H.B.; Flores-Sarnat, L.; Trevenen, C.L. Synaptophysin Immunoreactivity in the Human Hippocampus and Neocortex From 6 to 41 Weeks of Gestation. J. Neuropathol. Exp. Neurol. 2010, 69, 234–245. [Google Scholar] [CrossRef]
- Gärtner, U.; Janke, C.; Holzer, M.; Vanmechelen, E.; Arendt, T. Postmortem changes in the phosphorylation state of tau-protein in the rat brain. Neurobiol. Aging 1998, 19, 535–543. [Google Scholar] [CrossRef]
- Fieguth, A.; Kleemann, W.J.; von Wasielewski, R.; Werner, M.; Tröger, H.D. Influence of postmortem changes on immunohistochemical reactions in skin. Int. J. Legal Med. 1997, 110, 18–21. [Google Scholar] [CrossRef]
- Li, J.; Gould, T.; Yuan, P.; Manji, H.K.; Chen, G. Post-mortem interval effects on the phosphorylation of signaling proteins. Neuropsychopharmacology 2003, 28, 1017–1025. [Google Scholar] [CrossRef]
- De Groot, C.J.; Theeuwes, J.W.; Dijkstra, C.D.; van der Valk, P. Postmortem delay effects on neuroglial cells and brain macrophages from Lewis rats with acute experimental allergic encephalomyelitis: An immunohistochemical and cytochemical study. J. Neuroimmunol. 1995, 59, 123–134. [Google Scholar] [CrossRef]










| Score | Histopathological Features | |
|---|---|---|
| Grey matter | 0 | cellular homogenization (“ghost-like” appearance) |
| 1 | cytoplasmic hypereosinophilia; nuclear pyknosis/karyorrhexis | |
| 2 | cytoplasmic vacuolation/shrinkage; nuclear hyperchromasia | |
| 3 | no morphological abnormalities | |
| White matter | 0 | severe dilation and fragmentation of the myelin sheath; severe loss of staining intensity |
| 1 | moderate dilation and fragmentation of the myelin sheath; moderate loss of staining intensity | |
| 2 | mild dilation of the myelin sheath | |
| 3 | no morphological abnormalities |
| Antigen | Antibody | Antigen Retrieval | Dilution | Source |
|---|---|---|---|---|
| NeuN | mouse mAb 1 | HIER 3 | 1:1400 | Millipore, Burlington, MA, USA |
| SMI32 | mouse mAb 1 | HIER 3 | 1:100 | Millipore, Burlington, MA, USA |
| 2F11 | mouse mAb 1 | HIER 3 | 1:1500 | Dako, Glostrup, Denmark |
| GFAP | rabbit pAb 2 | NT 4 | 1:1000 | Dako, Glostrup, Denmark |
| Olig 2 | rabbit pAb 2 | HIER 3 | 1:500 | Millipore, Burlington, MA, USA |
| Score | Immunohistochemical Features | |
|---|---|---|
| Specificity | 0 | labeling of non-target cells and structures |
| 1 | consistent changes in the immunostaining pattern | |
| 2 | slight changes in the immunostaining pattern | |
| 3 | expected immunostaining pattern | |
| Intensity | 0 | very faint or absent immunostaining |
| 1 | immunostaining lighter than control group | |
| 2 | immunostaining intensity similar to control group | |
| 3 | immunostaining stronger than control group |
| Temperature | Time Points (h) | Score | |
|---|---|---|---|
| GM | WM | ||
| 4 °C | T1 (24) | 3 | 3 |
| T2 (120) | 2 | 3 | |
| T3 (168) | 1 | 2 | |
| T4 (336) | 1 | 2 | |
| 22 °C | T1 (24) | 2 | 2 |
| T2 (120) | 1 | 1 | |
| T3 (168) | 1 | 1 | |
| T4 (336) | 0 | 0 | |
| 37 °C | T1 (24) | 2 | 2 |
| T2 (120) | 1 | 1 | |
| T3 (168) | 0 | 0 | |
| T4 (336) | 0 | 0 | |
| Temperature | Time Points (h) | Score | |||||||||
|---|---|---|---|---|---|---|---|---|---|---|---|
| NeuN | SMI | 2F11 | Olig2 | GFAP | |||||||
| I | S | I | S | I | S | I | S | I | S | ||
| 4 °C | T1 (24) | 2 | 3 | 2 | 3 | 2 | 3 | 2 | 3 | 2 | 3 |
| T2 (120) | 2 | 2 | 2 | 2 | 2 | 3 | 2 | 3 | 2 | 2 | |
| T3 (168) | 2 | 2 | 2 | 2 | 2 | 3 | 2 | 2 | 2 | 2 | |
| T4 (336) | 2 | 2 | 2 | 2 | 2 | 3 | 0 | 0 | 2 | 2 | |
| 22 °C | T1 (24) | 2 | 2 | 2 | 2 | 2 | 3 | 2 | 2 | 3 | 2 |
| T2 (120) | 1 | 2 | 2 | 2 | 2 | 3 | 1 | 2 | 2 | 2 | |
| T3 (168) | 1 | 2 | 2 | 2 | 2 | 3 | 1 | 1 | 2 | 1 | |
| T4 (336) | 0 | 0 | 2 | 2 | 0 | 0 | 0 | 0 | 2 | 1 | |
| 37 °C | T1 (24) | 2 | 2 | 2 | 2 | 1 | 3 | 2 | 2 | 3 | 2 |
| T2 (120) | 1 | 2 | 2 | 1 | 0 | 0 | 1 | 1 | 1 | 2 | |
| T3 (168) | 0 | 0 | 2 | 1 | 0 | 0 | 0 | 0 | 1 | 1 | |
| T4 (336) | 0 | 0 | 2 | 0 | 0 | 0 | 0 | 0 | 1 | 1 | |
Disclaimer/Publisher’s Note: The statements, opinions and data contained in all publications are solely those of the individual author(s) and contributor(s) and not of MDPI and/or the editor(s). MDPI and/or the editor(s) disclaim responsibility for any injury to people or property resulting from any ideas, methods, instructions or products referred to in the content. |
© 2024 by the authors. Licensee MDPI, Basel, Switzerland. This article is an open access article distributed under the terms and conditions of the Creative Commons Attribution (CC BY) license (https://creativecommons.org/licenses/by/4.0/).
Share and Cite
Parisi, F.; Degl’Innocenti, S.; Aytaş, Ç.; Pirone, A.; Cantile, C. Morphological and Immunohistochemical Changes in Progressive Postmortem Autolysis of the Murine Brain. Animals 2024, 14, 3676. https://doi.org/10.3390/ani14243676
Parisi F, Degl’Innocenti S, Aytaş Ç, Pirone A, Cantile C. Morphological and Immunohistochemical Changes in Progressive Postmortem Autolysis of the Murine Brain. Animals. 2024; 14(24):3676. https://doi.org/10.3390/ani14243676
Chicago/Turabian StyleParisi, Francesca, Sara Degl’Innocenti, Çağla Aytaş, Andrea Pirone, and Carlo Cantile. 2024. "Morphological and Immunohistochemical Changes in Progressive Postmortem Autolysis of the Murine Brain" Animals 14, no. 24: 3676. https://doi.org/10.3390/ani14243676
APA StyleParisi, F., Degl’Innocenti, S., Aytaş, Ç., Pirone, A., & Cantile, C. (2024). Morphological and Immunohistochemical Changes in Progressive Postmortem Autolysis of the Murine Brain. Animals, 14(24), 3676. https://doi.org/10.3390/ani14243676

