Endocrine Mucin-Producing Sweat Gland Carcinoma (EMPSGC) in a Dog: Immunohistochemical Characterization
Simple Summary
Abstract
1. Introduction
2. Materials and Methods
2.1. Histopathology and Immunohistochemistry
2.1.1. Histological Evaluation
2.1.2. Immunohistochemistry
2.2. Case Presentation
2.2.1. Case 1
2.2.2. Case 2
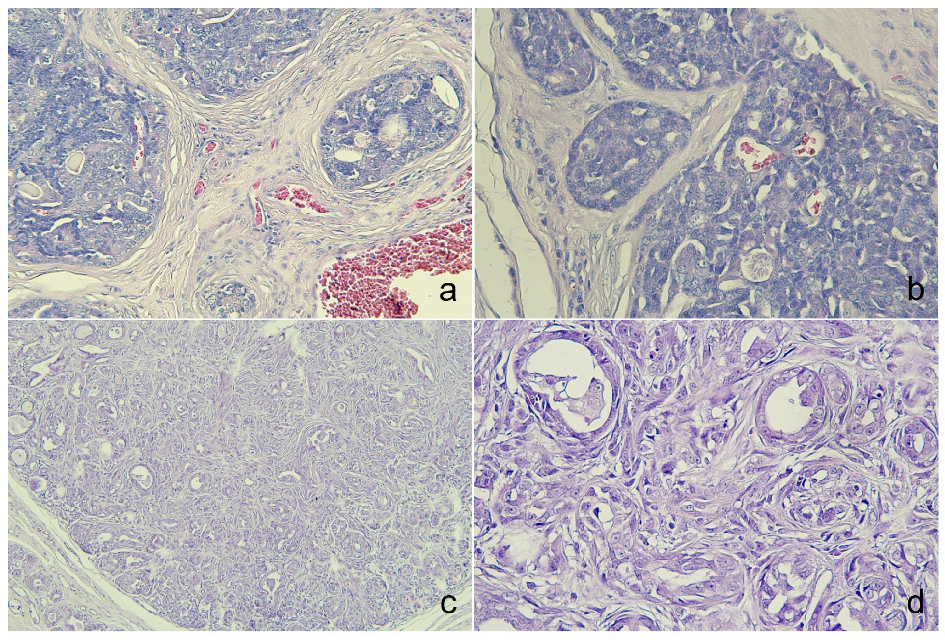
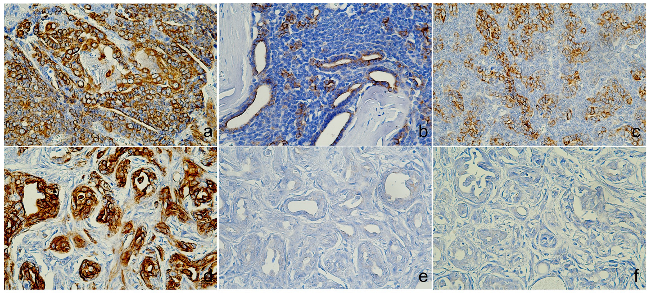
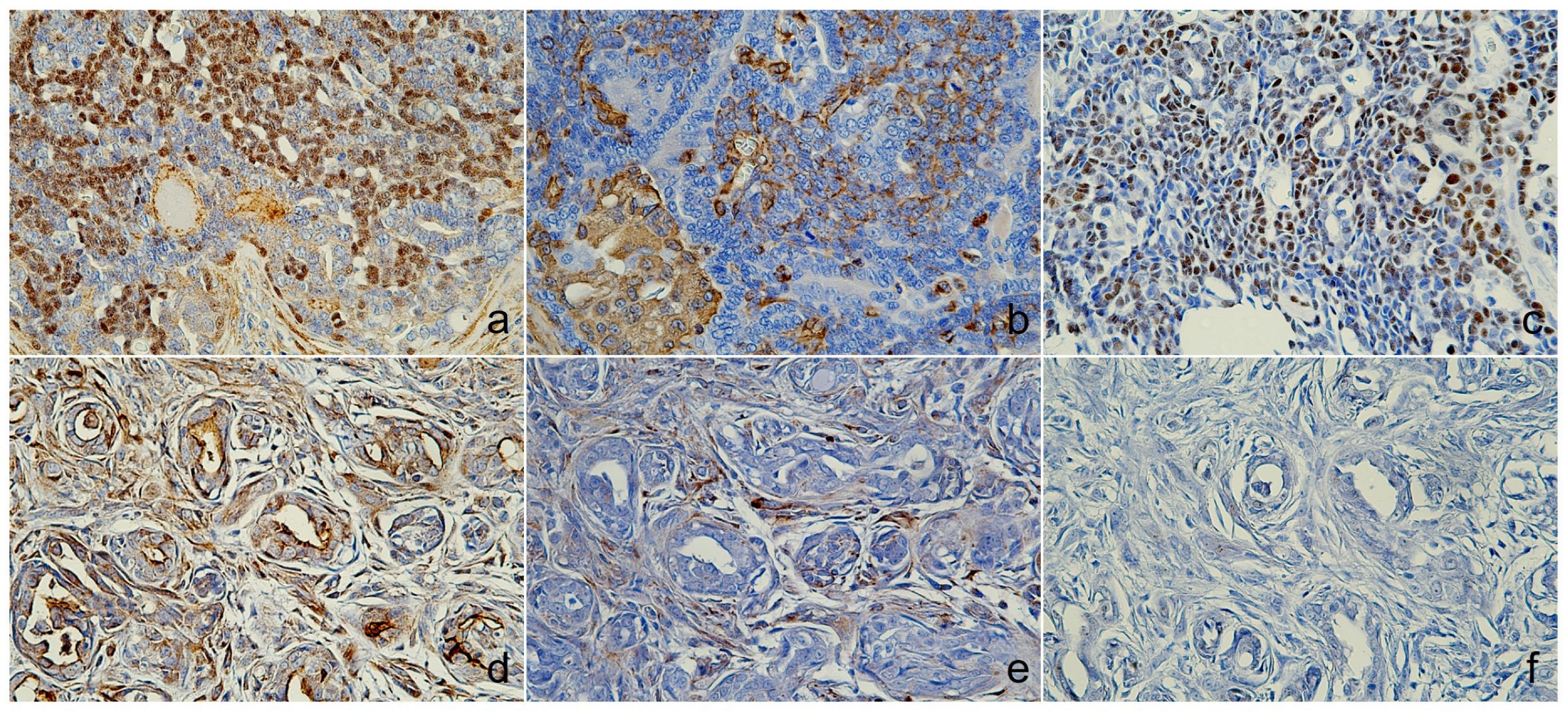
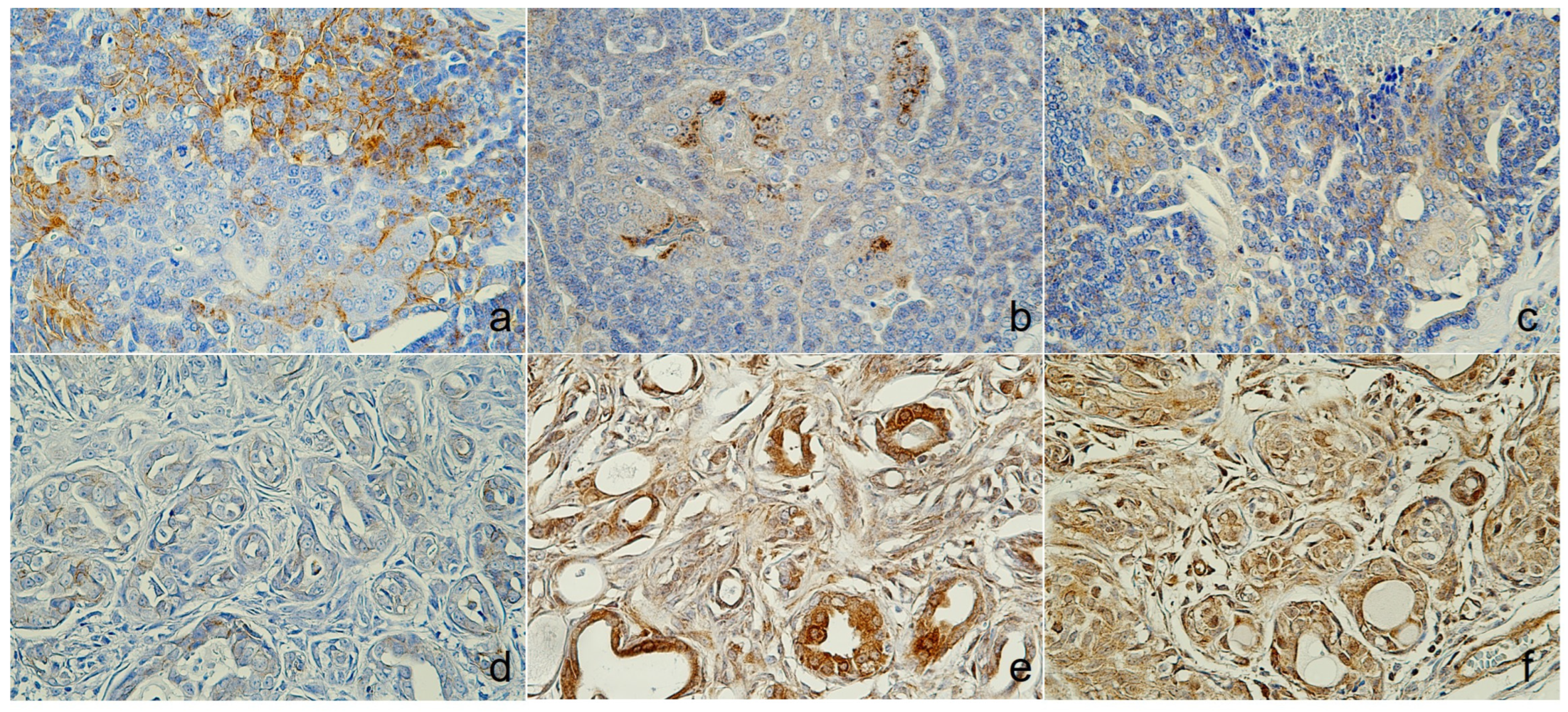
3. Results
3.1. Case 1
3.2. Case 2
4. Discussion
5. Conclusions
Supplementary Materials
Author Contributions
Funding
Institutional Review Board Statement
Informed Consent Statement
Data Availability Statement
Conflicts of Interest
References
- Biggs, L.C.; Mikkola, M.L. Early inductive events in ectodermal appendage morphogenesis. Semin. Cell Dev. Biol. 2014, 25–26, 11–21. [Google Scholar] [CrossRef]
- Mentrikoski, M.J.; Wick, M.R. Immunohistochemical distinction of primary sweat gland carcinoma and metastatic breast carcinoma: Can it always be accomplished reliably? Am. J. Clin. Pathol. 2015, 143, 430–436. [Google Scholar] [CrossRef] [PubMed]
- Khan, Y.S.; Fakoya, A.O.; Sajjad, H. Anatomy, Thorax, Mammary Gland; StatPearls Publishing: Treasure Island, FL, USA, 2023. [Google Scholar]
- Rollins-Raval, M.; Chivukula, M.; Tseng, G.C.; Jukic, D.; Dabbs, D.J. An immunohistochemical panel to differentiate metastatic breast carcinoma to skin from primary sweat gland carcinomas with a review of the literature. Arch. Pathol. Lab. Med. 2011, 135, 975–983. [Google Scholar] [CrossRef] [PubMed]
- Elder, D.; Massi, D.; Scolyer, A.; Willemze, R. WHO Classification of Skin Tumours; IARC: Lyon, France, 2018; pp. 168–169.
- Zhou, X.; Li, G.; Wang, D.; Sun, X.; Li, X. Cytokeratin expression in epidermal stem cells in skin adnexal tumors. Oncol. Lett. 2019, 17, 927–932. [Google Scholar] [CrossRef]
- Lei, Y.H.; Xue, L.I.; Zhang, J.Q.; Zhao, J.Y. Important immunohistochemical markers for identifying sweat glands. Chin. Med. J. 2013, 126, 1370–1377. [Google Scholar] [CrossRef] [PubMed]
- Goto, K.; Ishikawa, M.; Hamada, K.; Muramatsu, K.; Naka, M.; Honma, K.; Sugino, T. Comparison of Immunohistochemical Expression of Cytokeratin 19, c-KIT, BerEP4, GATA3, and NUTM1 Between Porocarcinoma and Squamous Cell Carcinoma. Am. J. Dermatopathol. 2021, 43, 781–787. [Google Scholar] [CrossRef]
- Vidal, V.P.; Ortonne, N.; Schedl, A. SOX9 expression is a general marker of basal cell carcinoma and adnexal-related neoplasms. J. Cutan. Pathol. 2008, 35, 373–379. [Google Scholar] [CrossRef]
- Shi, G.; Sohn, K.C.; Li, Z.; Choi, D.K.; Park, Y.M.; Kim, J.H.; Fan, Y.-M.; Nam, Y.H.; Kim, S.; Im, M.; et al. Expression and functional role of Sox9 in human epidermal keratinocytes. PLoS ONE 2013, 81, e54355. [Google Scholar] [CrossRef]
- Nishimura, Y.; Ryo, E.; Inoue, S.; Kawazu, M.; Ueno, T.; Namikawa, K.; Takahashi, A.; Ogata, D.; Yoshida, A.; Yamazaki, N.; et al. Strategic Approach to Heterogeneity Analysis of Cutaneous Adnexal Carcinomas Using Computational Pathology and Genomics. JID Innov. 2023, 3, 100229. [Google Scholar] [CrossRef]
- Gusterson, B.A.; Stein, T. Human breast development. Semin. Cell Dev. Biol. 2012, 23, 567–573. [Google Scholar] [CrossRef]
- Chintamani; Rekhi, B.; Bansal, A.; Bhatnagar, D.; Saxena, S. Expression of E-Cadherin in breast carcinomas and its association with other biological markers—A prospective study. Indian J. Surg. Oncol. 2010, 1, 40–46. [Google Scholar] [CrossRef] [PubMed]
- Agni, M.; Raven, M.L.; Bowen, R.C.; Laver, N.V.; Chevez-Barrios, P.; Milman, T.; Eberhart, C.G.; Couch, S.; Bennett, D.D.; Albert, D.M.; et al. An Update on Endocrine Mucin-producing Sweat Gland Carcinoma: Clinicopathologic Study of 63 Cases and Comparative Analysis. Am. J. Surg. Pathol. 2020, 44, 1005–1016. [Google Scholar] [CrossRef]
- Zembowicz, A.; Garcia, C.F.; Tannous, Z.S.; Mihm, M.C.; Koerner, F.; Pilch, B.Z. Endocrine mucin-producing sweat gland carcinoma: Twelve new cases suggest that it is a precursor of some invasive mucinous carcinomas. Am. J. Surg. Pathol. 2005, 29, 1330–1339. [Google Scholar] [CrossRef] [PubMed]
- Flieder, A.; Koerner, F.C.; Pilch, B.Z.; Maluf, H.M. Endocrine mucin-producing sweat gland carcinoma: A cutaneous neoplasm analogous to solid papillary carcinoma of breast. Am. J. Surg. Pathol. 1997, 21, 1501–1506. [Google Scholar] [CrossRef] [PubMed]
- Cazzato, G.; Bellitti, E.; Trilli, I.; Colagrande, A.; Sgarro, N.; Scarcella, V.S.; Lettini, T.; Ingravallo, G.; Piscitelli, D.; Resta, L.; et al. Endocrine Mucin-Producing Sweat Gland Carcinoma: Case Presentation with a Comprehensive Review of the Literature. Dermatopathology 2023, 10, 266–280. [Google Scholar] [CrossRef]
- LeBlanc, R. Endocrine Mucin Producing Sweat Gland Carcinoma. PathologyOutlines.com. Available online: https://www.pathologyoutlines.com/topic/skintumornonmelanocyticendocrinemucinsweatglcarcinoma.html (accessed on 1 December 2024).
- Warmke, L.M.; Tinkham, E.G.; Ingram, D.R.; Lazar, A.J.; Panse, G.; Wang, W.L. INSM1 Expression in Angiosarcoma. Am. J. Clin. Pathol. 2021, 155, 575–580. [Google Scholar] [CrossRef]
- Acs, G.; Lawton, T.J.; Rebbeck, T.R.; LiVolsi, V.A.; Zhang, P.J. Differential expression of E-cadherin in lobular and ductal neoplasms of the breast and its biologic and diagnostic implications. Am. J. Clin. Pathol. 2001, 115, 85–98. [Google Scholar] [CrossRef] [PubMed]
- Adiputra, P.A.T.; Sudarsa, I.W.; Irawan, H.; Saputra, H. Malignant adnexal tumor of the skin on breast: A case report of apocrine carcinoma. Case Rep. Pathol. 2023, 108, 108383. [Google Scholar] [CrossRef]
- Brett, M.A.; Salama, S.; Gohla, G.; Alowami, S. Endocrine Mucin-Producing Sweat Gland Carcinoma, a Histological Challenge. Case Rep. Pathol. 2017, 2017, 6343709. [Google Scholar] [CrossRef] [PubMed]
- Caswell, J.L.; Bassel, L.L.; Rothenburger, J.L.; Gröne, A.; Sargeant, J.M.; Beck, A.P.; Ekman, S.; Gibson-Corley, K.N.; Kuiken, T.; LaDouceur, E.E.B.; et al. Observational Study Design in Veterinary Pathology, Part 2: Methodology. Vet. Pathol. 2018, 55, 774–785. [Google Scholar] [CrossRef]
- Ivan, D.; Hafeez Diwan, A.; Prieto, V.G. Expression of p63 in primary cutaneous adnexal neoplasms and adenocarcinoma metastatic to the skin. J. Cutan. Pathol. 2005, 32, 94. [Google Scholar] [CrossRef]
- Brenn, T. Do not break a sweat: Avoiding pitfalls in the diagnosis of sweat gland tumors. Mod. Pathol. 2020, 33, 25–41. [Google Scholar] [CrossRef] [PubMed]
- Gama, A.; Alves, A.; Gartner, F.; Schmitt, F. p63: A novel myoepithelial cell marker in canine mammary tissues. Vet. J. 2003, 40, 412–420. [Google Scholar] [CrossRef]
- Yamashita, N.; Tokunaga, E.; Iimori, M.; Inoue, Y.; Tanaka, K.; Kitao, H.; Saeki, H.; Oki, E.; Maehara, Y. Epithelial Paradox: Clinical Significance of Coexpression of E-cadherin and Vimentin with Regard to Invasion and Metastasis of Breast Cancer. Clin. Breast Cancer 2018, 18, e1003–e1009. [Google Scholar] [CrossRef]
- Myong, N.H. Loss of E-cadherin and Acquisition of Vimentin in Epithelial-Mesenchymal Transition are Noble Indicators of Uterine Cervix Cancer Progression. Korean J. Pathol. 2012, 46, 341–348. [Google Scholar] [CrossRef] [PubMed]
- Charles, N.C.; Proia, A.; Lo, C. Endocrine mucin-producing sweat gland carcinoma of the eyelid associated with mucinous adenocarcinoma. Ophthalmic Plast. Reconstr. Surg. 2018, 34, e37–e38. [Google Scholar] [CrossRef] [PubMed]
- Murshed, K.A.; Ben-Gashir, M. A Case of Endocrine Mucin-Producing Sweat Gland Carcinoma: Is it Still an Under-Recognized Entity? Case Rep. Dermatol. 2021, 12, 255–261. [Google Scholar] [CrossRef] [PubMed]
- Chang, S.; Shim, S.H.; Joo, M.; Kim, H.; Kim, Y.K. A case of endocrine mucin-producing sweat gland carcinoma co-existing with mucinous carcinoma: A case report. J. Pathol. Transl. Med. 2010, 44, 97–100. [Google Scholar] [CrossRef]





| Antibody | Clonality 1 | Clone | Species | Source of Antibody | Dilution |
|---|---|---|---|---|---|
| CK5 | mAb | ab52635 | rabbit | Abcam (Cambridge, UK) | 1:200 |
| AE1/3+CK8/18 2 | pAb | ab86734 | mouse | 1:250 | |
| p63 | mAb | ab124762 | rabbit | 1:1000 | |
| Vimentin 2 | mAb | MAB3400 | mouse | Sigma-Aldrich (St. Louis, MO, USA) | 1:200 |
| Sox9 3 | mAb | ab185966 | rabbit | Abcam (Cambridge, UK) | 1:1000 |
| Synaptophysin | mAb | ab32127 | rabbit | 1:100 | |
| Estrogen | mAb | ab32063 | rabbit | 1:250 | |
| E-cadherin | mAb | 4A2 | mouse | Cell Signaling Technology (Danvers, MA, USA) | 1:200 |
| CK19 | mAb | D7F7W | mouse | 1:100 |
| IHC Marker | SGC | MGC | |||||||||||||||
|---|---|---|---|---|---|---|---|---|---|---|---|---|---|---|---|---|---|
| Intensity | Extent | Intensity | Extent | ||||||||||||||
| Name | Area | B | L | M | S | B | L | M | S | B | L | M | S | B | L | M | S |
| CK5 | Cy | 2 | 3 | 0 | 0 | 2 | 2 | 0 | 0 | 3 | 4 | 0 | 0 | 5 | 3 | 0 | 0 |
| p63 | N | 2 | 0 | 3 | 0 | 3 | 0 | 4 | 0 | 0 | 0 | 1 | 0 | 0 | 0 | 1 | 0 |
| Vimentin | Cy | 2 | 0 | 3 | 0 | 3 | 0 | 4 | 0 | 0 | 0 | 1 | 0 | 0 | 0 | 1 | 0 |
| AE1/3+CK8/18 | C, Cy | 0 | 2 | 0 | 0 | 0 | 3 | 0 | 0 | 0 | 0 | 0 | 0 | 0 | 0 | 0 | 0 |
| E-cadherin | C | 3 | 2 | 0 | 0 | 3 | 2 | 0 | 0 | 1 | 1 | 0 | 0 | 3 | 3 | 0 | 0 |
| Synaptophysin | Cy | 0 | 0 | 0 | 3 | 0 | 0 | 0 | 3 | 3 | 3 | 0 | 0 | 1 | 1 | 0 | 0 |
| Estrogen | N | 0 | 0 | 0 | 0 | 0 | 0 | 0 | 0 | 1 | 0 | 0 | 0 | 3 | 0 | 0 | 0 |
| CK19 | C, Cy | 2 | 2 | 0 | 0 | 3 | 4 | 0 | 0 | 0 | 0 | 0 | 0 | 0 | 0 | 0 | 0 |
| Sox9 | N | 2 | 0 | 3 | 0 | 4 | 0 | 5 | 0 | 0 | 0 | 0 | 0 | 0 | 0 | 0 | 0 |
Disclaimer/Publisher’s Note: The statements, opinions and data contained in all publications are solely those of the individual author(s) and contributor(s) and not of MDPI and/or the editor(s). MDPI and/or the editor(s) disclaim responsibility for any injury to people or property resulting from any ideas, methods, instructions or products referred to in the content. |
© 2024 by the authors. Licensee MDPI, Basel, Switzerland. This article is an open access article distributed under the terms and conditions of the Creative Commons Attribution (CC BY) license (https://creativecommons.org/licenses/by/4.0/).
Share and Cite
Tangchang, W.; Jung, G.-y.; Song, J.-y.; Kumbukgahadeniya, P.; Kim, D.-h.; Kwon, H.-j.; Son, H.-y. Endocrine Mucin-Producing Sweat Gland Carcinoma (EMPSGC) in a Dog: Immunohistochemical Characterization. Animals 2024, 14, 3637. https://doi.org/10.3390/ani14243637
Tangchang W, Jung G-y, Song J-y, Kumbukgahadeniya P, Kim D-h, Kwon H-j, Son H-y. Endocrine Mucin-Producing Sweat Gland Carcinoma (EMPSGC) in a Dog: Immunohistochemical Characterization. Animals. 2024; 14(24):3637. https://doi.org/10.3390/ani14243637
Chicago/Turabian StyleTangchang, Warisraporn, Gi-young Jung, Jun-yeop Song, Poornima Kumbukgahadeniya, Dae-hyun Kim, Hyo-jung Kwon, and Hwa-young Son. 2024. "Endocrine Mucin-Producing Sweat Gland Carcinoma (EMPSGC) in a Dog: Immunohistochemical Characterization" Animals 14, no. 24: 3637. https://doi.org/10.3390/ani14243637
APA StyleTangchang, W., Jung, G.-y., Song, J.-y., Kumbukgahadeniya, P., Kim, D.-h., Kwon, H.-j., & Son, H.-y. (2024). Endocrine Mucin-Producing Sweat Gland Carcinoma (EMPSGC) in a Dog: Immunohistochemical Characterization. Animals, 14(24), 3637. https://doi.org/10.3390/ani14243637

