Acute Fatal Gastric Dilatation and Volvulus in a Captive Adult Linnaeus’s Two-Toed Sloth (Choloepus didactylus) in Amazon Biome
Simple Summary
Abstract
1. Introduction
2. Materials and Methods
2.1. Ethical Approvement
2.2. Case Report
3. Results
3.1. Microbiological, Parasitological, and Molecular Findings
3.2. Post-Mortem Examination
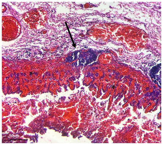
3.3. Histological Findings
4. Discussion
5. Conclusions
Author Contributions
Funding
Institutional Review Board Statement
Informed Consent Statement
Data Availability Statement
Acknowledgments
Conflicts of Interest
References
- Eisenberg, J.F.; Redford, K.H. Mammals of the Neotropics: The Central Neotropics, 1st ed.; Chicago, Ecuador, Peru, Bolivia, Brazil; The University of Chicago Press: Chicago, IL, USA, 1999; p. 610. [Google Scholar]
- Castro, A.B.; Melo-Dias, M.; Santos, T.P.; Custódio, R.J.; Rodrigues, D.J.; Rosa, C.A. Lost in Amazon: Evidencing the Southern extension of the geographic distribution of Linné’s two-toed sloth (Cholopeus didactylus). Biotropica 2024, 56, e13353. [Google Scholar] [CrossRef]
- Diniz, L.S.M.; Oliveira, P.M.A. Clinical problems of sloths (Bradypus sp. and Choloepus spp.) in captivity. J. Zoo Wildl. Med. 1999, 30, 76–80. [Google Scholar] [PubMed]
- Dill-McFarland, K.A.; Weimer, P.J.; Pauli, J.N.; Peery, M.Z.; Suen, G. Diet specialization selects for an unusual and simplified gut microbiota in two- and three-toed sloths. Environ. Microbiol. 2015, 18, 1391–1402. [Google Scholar] [CrossRef] [PubMed]
- Vendl, C.; Frei, S.; Dittmann, M.T.; Furrer, S.; Osmann, C.; Ortmann, S.; Munn, A.; Kreuzer, M.; Clauss, M. Digestive physiology, metabolism and methane production of captive Linné’s two-toed sloths (Choloepus didactylus). J. Anim. Physiol. Anim. Nutr. 2015, 100, 552–564. [Google Scholar] [CrossRef] [PubMed]
- Magarido, M.P.; Carvalho, E.A.R., Jr.; Endo, W.; Lopes, A.M.C.; Miranda, F.R. Xenarthra richness and activity pattern in the Brazilian Amazon. Mamm. Biol. 2023, 103, 215–225. [Google Scholar] [CrossRef]
- Lee, J.; Braden, M.; Medianero, A.G.A.; Uzal, F.A.; Li, G.; Paulsen, D.B.; Carossino, M. Fatal gastric amebiasis in a Linnaeus’s two-toed sloth associated with Naegleria australiensis infection. J. Vet. Diagn. Investig. 2024, 36, 915–920. [Google Scholar] [CrossRef]
- Almeida, D.V.C.; Magalhães-Matos, P.C.; Soares, A.R.B.; Lopes, C.T.A.; Domingues, S.F.S. Casuistry of xenarthrans treated at the Veterinary Hospital of the Federal University of Pará, Brazilian Amazon. Pesqui. Vet. Bras. 2023, 43, e07058. [Google Scholar] [CrossRef]
- Sharp, C.R.; Rozanski, E.A. Cardiovascular and systemic effects of gastric dilatation and volvulus in dogs. Top. Companion Anim. Med. 2014, 29, 67–70. [Google Scholar] [CrossRef]
- DiGeronimo, P.M.; Enright, C.; Ziemssen, E.; Keller, D. Fatal gastric dilatation and volvulus in three captive juveline Linnaeus’s two-toed sloths (Cholopeus didactylus). J. Zoo Wildl. Med. 2023, 54, 211–218. [Google Scholar] [CrossRef]
- Smith, L.H.; Ruple, A. Idly infected: A review of infectious agents in populations of two- and three-toed sloths (Choloepus species and Bradypus species). J. Zoo Wildl. Med. 2021, 51, 789–798. [Google Scholar] [CrossRef]
- Almeida, D.V.C.; Lopes, C.T.A.; Magalhães-Matos, P.C.; Pereira Junior, J.J.; Imbeloni, A.A.; Domingues, S.F.S. Eletrocution in a Sloth (Choloepus didactylus)—Clinical and surgical approach. Acta Sci. Vet. 2022, 50, 830. [Google Scholar] [CrossRef]
- Hoffman, R.P. Diagnóstico de Parasitismo Veterinário; Editora Sulina: Porto Alegre, Brazil, 1987; p. 156. [Google Scholar]
- Faust, E.C.; D’Antoni, J.S.; Odom, V.; Miller, M.J.; Peres, C.; Sawitz, W.; Thomen, L.F.; Tobie, J.; Walker, J.H. A critical study of clinical laboratory technics for the diagnosis of protozoan cysts and helminth eggs in feces. Am. J. Trop. Med. 1938, 18, 169–183. [Google Scholar] [CrossRef]
- Dubois, D.; Grare, M.; Prere, M.F.; Segonds, C.; Marty, N.; Oswald, E. Performances of the MALDI-TOF mass spectrometry system VITEK MS for the rapid identification of bacteria in routine clinical microbiology. J. Clin. Microbiol. 2012, 50, 2568–2576. [Google Scholar] [CrossRef]
- Uzal, F.A.; Plumb, J.J.; Blackall, L.; Kelly, W.R. PCR detection of Clostridium perfringens producing different toxins in faeces of goats. Lett. Appl. Microbiol. 1997, 25, 339–344. [Google Scholar] [CrossRef]
- Silva, R.O.S.; Salvarani, F.M.; Cruz Junior, E.C.C.; Pires, P.S.; Santos, R.L.R.; Assis, R.A.; Guedes, R.M.C.; Lobato, F.C.F. Detection of enterotoxin A and cytotoxin B, and isolation of Clostridioides difficile in piglets in Minas Gerais, Brazil. Ciênc. Rural 2011, 41, 1430–1435. [Google Scholar] [CrossRef]
- Aparicio, P.M.; Plana, C.L. Atlas de Anatomia de Espécies Silvestres Amazônicas, 1st ed.; Editora Associada a Associação Brasileira das Editoras Universitárias: Belém, PA, Brazil, 2021; pp. 146–153. [Google Scholar]
- Nunes, C.S.; Cinsa, L.A. Princípios do processamento histológico de rotina. Rev. Interdiscip. Estud. Exp. 2016, 8, 31–40. [Google Scholar]
- Dudley, E.S.; Boivin, G.P. Gastric volvulus in guinea pigs: Comparison with other species. J. Am. Assoc. Lab. Anim. Sci. 2011, 50, 526–530. [Google Scholar]
- Knafo, S.E.; Rosenblatt, A.J.; Morrisey, J.K.; Flanders, J.A.; Thompson, M.S.; Knapp-Hoch, H.M. Diagnosis and treatment of mesenteric volvulus in a red kangaroo (Macropus rufus). J. Am. Vet. Med. Assoc. 2014, 244, 844–850. [Google Scholar] [CrossRef]
- Neilsen, C.; Mans, C.; Colopy, S.A. Gastric dilatation and volvulus in a red panda (Ailurus fulgens). Vet. Surg. 2014, 43, 1001–1003. [Google Scholar] [CrossRef]
- Marinkovic, D.; Ozvegy, J.; Anicic, M.; Vucicevic, I.; Nesic, S.; Kukolj, V. Gastric dilatation and volvulus in brown bear (Ursus arctos). Acta Vet.-Beogr. 2016, 66, 422–428. [Google Scholar] [CrossRef]
- Hinton, J.D.; Padilla, L.R.; Joyner, P.H.; Schnellbacher, R.; Walsh, T.F.; Aitken-Palmer, C. Gastric dilatation volvulus in adult maned wolves (Chrysocyon brachyurus). J. Zoo Wildl. Med. 2017, 48, 476–483. [Google Scholar] [CrossRef] [PubMed]
- Larrazábal, L.B. Crianza en cautiverio de perezoso de dos dedos (Choloepus didactylus). Edentata 2004, 6, 30–36. [Google Scholar] [CrossRef][Green Version]
- Glickman, L.T.; Glickman, N.W.; Schellenberg, D.B.; Simpson, K.; Lantz, G.C. Multiple risk factors for the gastric dilatation-volvulus syndrome in dogs: A practioner/owner case-control study. J. Am. Anim. Hosp. Assoc. 1997, 33, 197–204. [Google Scholar] [CrossRef] [PubMed]
- Cliffe, R.N.; Avey-Arroyo, J.A.; Arroyo, F.J.; Holton, M.D.; Wilson, R.P. Mitigating the squash effect: Sloths breathe easily upside down. Biol. Lett. 2014, 10, 20140172. [Google Scholar] [CrossRef]
- Pond, C.L.; Newcomer, C.E.; Anver, M.R. Acute gastric dilatation in nonhuman primates: Review and case studies. Vet. Pathol. Suppl. 1982, 7, 126–133. [Google Scholar] [CrossRef]
- Mosquera, D.; Vinueza-Hidalgo, G.; Blake, J.G. Patterns of mineral lick visitation by Linnaeus’s two-toed sloth Choloepus didactylus (Pilosa, Megalonychidae) in eastern Ecuador. Notas Sobre Mamíferos Sudam. 2019, 1, 1–11. [Google Scholar] [CrossRef]
- Gómez-Hoyos, D.A.; González-Maya, J.F.; Pacheco, J.; Seisdedos-Vergara, R.; Barrio-Amorós, C.L.; Ceballos, G. Mineral-lick use by Choloepus hoffmanni (Pilosa:Megalonychidae) at las cruces biological station, Coto Brus, Costa Rica. Southwest. Nat. 2017, 62, 278–280. [Google Scholar] [CrossRef]
- Vatn, S.; Gunnes, G.; Nybo, K.; Juul, H.M. Possible involvement of Sarcina ventriculi in canine and equine acute gastric dilatation. Acta Vet. Scand. 2000, 41, 333–337. [Google Scholar] [CrossRef]
- Im, J.Y.; Sokol, S.; Duhamel, G.E. Gastric dilatation associated with gastric colonization with Sarcina-like bacteria in a cat with chronic enteritis. J. Am. Anim. Hosp. Assoc. 2017, 53, 321–325. [Google Scholar] [CrossRef]
- Lee, L.M.; Owens, L.A.; Krugner-Higby, L.A.; Graham, M.; Simmons, H.A.; Climans, M.; Brown, K.; Bennett, A.J.; Schaefer, J.; Meyer, K.; et al. Sarcina sp. As a presumptive cause of fatal acute gastric dilation and gastric emphysema in rhesus macaques. J. Vet. Diagn. Investig. 2023, 35, 698–703. [Google Scholar] [CrossRef]
- Frasca Junior, S.; Dunn, J.L.; Kruiningen, H.J.V. Acute gastric dilatation with vouvulus in a northern ful seal (Callorhinus ursinus). J. Wildl. Dis. 1996, 32, 548–551. [Google Scholar] [CrossRef] [PubMed]
- Anderson, K.M.; Garner, M.M.; Clyde, V.L.; Volle, K.A.; Ialeggio, D.M.; Reid, S.W.; Hobbs, J.K.; Wolf, K.N. Gastric dilatation and enterotoxemia in ten captive felids. J. Am. Vet. Med. Assoc. 2018, 253, 919–925. [Google Scholar] [CrossRef] [PubMed]



| Food Item Quantity | Food Item Quantity | |
|---|---|---|
| Morning Period (food provided in strips) | Apple | 20 g |
| Melon | 20 g | |
| Carrot | 20 g | |
| Boiled chicken egg (shell removed) | 20 g | |
| Afternoon (soft food) | Banana | 40 g |
| Papaya | 35 g | |
| Apple | 20 g | |
| Carrot | 35 g | |
| Broccoli | 20 g | |
| Chicken | 30 g | |
| Boiled egg (shell removed) | ½ | |
| Water | 150 mL |
Disclaimer/Publisher’s Note: The statements, opinions and data contained in all publications are solely those of the individual author(s) and contributor(s) and not of MDPI and/or the editor(s). MDPI and/or the editor(s) disclaim responsibility for any injury to people or property resulting from any ideas, methods, instructions or products referred to in the content. |
© 2024 by the authors. Licensee MDPI, Basel, Switzerland. This article is an open access article distributed under the terms and conditions of the Creative Commons Attribution (CC BY) license (https://creativecommons.org/licenses/by/4.0/).
Share and Cite
Oliveira, H.G.d.S.; Lopes, C.T.d.A.; Correa, L.Y.S.; Thiesen, R.M.C.; Silva, R.O.S.; Uzal, F.A.; Domingues, S.F.S.; Salvarani, F.M. Acute Fatal Gastric Dilatation and Volvulus in a Captive Adult Linnaeus’s Two-Toed Sloth (Choloepus didactylus) in Amazon Biome. Animals 2024, 14, 3527. https://doi.org/10.3390/ani14233527
Oliveira HGdS, Lopes CTdA, Correa LYS, Thiesen RMC, Silva ROS, Uzal FA, Domingues SFS, Salvarani FM. Acute Fatal Gastric Dilatation and Volvulus in a Captive Adult Linnaeus’s Two-Toed Sloth (Choloepus didactylus) in Amazon Biome. Animals. 2024; 14(23):3527. https://doi.org/10.3390/ani14233527
Chicago/Turabian StyleOliveira, Hanna Gabriela da Silva, Cinthia Távora de Albuquerque Lopes, Letícia Yasmin Silva Correa, Roberta Martins Crivelaro Thiesen, Rodrigo Otavio Silveira Silva, Francisco Alejandro Uzal, Sheyla Farhayldes Souza Domingues, and Felipe Masiero Salvarani. 2024. "Acute Fatal Gastric Dilatation and Volvulus in a Captive Adult Linnaeus’s Two-Toed Sloth (Choloepus didactylus) in Amazon Biome" Animals 14, no. 23: 3527. https://doi.org/10.3390/ani14233527
APA StyleOliveira, H. G. d. S., Lopes, C. T. d. A., Correa, L. Y. S., Thiesen, R. M. C., Silva, R. O. S., Uzal, F. A., Domingues, S. F. S., & Salvarani, F. M. (2024). Acute Fatal Gastric Dilatation and Volvulus in a Captive Adult Linnaeus’s Two-Toed Sloth (Choloepus didactylus) in Amazon Biome. Animals, 14(23), 3527. https://doi.org/10.3390/ani14233527

