Non-aureus Staphylococci Cause the Spontaneous Cure or Persistent Infection of Major Bovine Mastitis Pathogens in the Murine Mammary Glands
Simple Summary
Abstract
1. Introduction
2. Materials and Methods
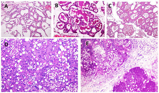
3. Results
4. Discussion
5. Conclusions
Author Contributions
Funding
Institutional Review Board Statement
Informed Consent Statement
Data Availability Statement
Acknowledgments
Conflicts of Interest
References
- Dudko, P.; Winiarczyk, S.; Winiarczyk, S.; Majewski, P.; Antkowiak, I.; Pytlewski, J.; Kurpisz, M.; Pruciak, A. The Coexistence of Several Microbial Species at the Same Site of Bovine Mammary Gland Parenchyma Infection and Their Mixed Infections. Anim. Genet. 2023, 19, 29–50. [Google Scholar] [CrossRef]
- Byndloss, M.X.; Tsolis, R.M. Chronic Bacterial Pathogens: Mechanisms of Persistence. Microbiol. Spectr. 2016, 4. [Google Scholar] [CrossRef] [PubMed] [PubMed Central]
- Young, D.; Hussell, T.; Dougan, G. Chronic Bacterial Infections: Living with Unwanted Guests. Nat. Immunol. 2002, 3, 1026–1032. [Google Scholar] [CrossRef] [PubMed]
- Enwuru, C.A.; Aiyedobgon, A.S.; Ajayi, M.B. Bacterial Vaginosis (BV) and Trichomonas vaginalis (TV) Co-Infection, and Bacterial Antibiogram Profile of Pregnant Women Studied in Lagos, Nigeria. BMC Women’s Health 2024, 24, 415. [Google Scholar] [CrossRef]
- Srithanasuwan, A.; Intanon, M.; Chaisri, W.; Suriyasathaporn, W. In Vitro Bacterial Competition of Staphylococcus aureus, Streptococcus agalactiae, and Escherichia coli against Coagulase-Negative Staphylococci from Bovine Mastitis Milk. Antibiotics 2023, 12, 600. [Google Scholar] [CrossRef]
- Leelahapongsathon, K.; Schukken, Y.; Srithanasuwan, A.; Suriyasathaporn, W. Molecular Epidemiology of Streptococcus uberis Intramammary Infections: Persistent and Transient Patterns of Infection in a Dairy Herd. J. Dairy Sci. 2020, 103, 3565–3576. [Google Scholar] [CrossRef]
- Shahzad, M.A.; Yousaf, A.; Ahsan, A. Virulence and Resistance Profiling of Staphylococcus aureus Isolated from Subclinical Bovine Mastitis in the Pakistani Pothohar region. Sci. Rep. 2024, 14, 14569. [Google Scholar] [CrossRef]
- Campos, B.; Pickering, A.C.; Rocha, L.S.; Aguilar, A.P.; Fabres-Klein, M.H.; de Oliveira Mendes, T.A. Diversity and Pathogenesis of Staphylococcus Aureus from Bovine Mastitis: Current Understanding and Future Perspectives. BMC Vet. Res. 2022, 24, 115. [Google Scholar] [CrossRef]
- Kabelitz, T.; Aubry, E.; van Vorst, K.; Amon, T.; Fulde, M. The role of Streptococcus spp. in Bovine Mastitis. Microorganisms 2021, 9, 1497. [Google Scholar] [CrossRef]
- Srithanasuwan, A.; Pangprasit, N.; Intanon, M.; Suriyasathaporn, W. Ultra-Short Spontaneous Cure Rates of Intramammary Infection among Mastitis Pathogens in Dairy Cattle. In Proceedings of the Annual Meeting Integrating Dairy Science Globally, Knoxville, TN, USA, 24–27 June 2018. Abstract Number M33. [Google Scholar]
- Idamokoro, E.M. Coagulase-Negative Staphylococci as an Evolving Mastitis Causing Organism In Cows: A Review. F1000Research 2022, 11, 824. [Google Scholar] [CrossRef]
- Pyörälä, S.; Taponen, S. Coagulase-Negative Staphylococci-Emerging Mastitis Pathogens. Vet. Microbiol. 2009, 134, 3–8. [Google Scholar] [CrossRef] [PubMed]
- Souza, F.N.; Piepers, S.; Della Libera, A.M.M.P.; Heinemann, M.B.; Cerqueira, M.M.; De Vliegher, S. Interaction between Bovine-Associated Coagulase-Negative Staphylococci Species and Strains and Bovine Mammary Epithelial Cells Reflects Differences in Ecology and Epidemiological Behavior. J. Dairy Sci. 2016, 99, 2867–2874. [Google Scholar] [CrossRef] [PubMed]
- Vanderhaeghen, W.; Piepers, S.; Leroy, F.; Van Coillie, E.; Haesebrouck, F.; De Vliegher, S. Invited review: Effect, Persistence, and Virulence of Coagulase-Negative Staphylococcus Species associated with Ruminant Udder Health. J. Dairy Sci. 2014, 97, 5275–5293. [Google Scholar] [CrossRef] [PubMed]
- Yasser, S.; Mahmmod, I.; Christine, K.; Svennesen, L.; Pedersen, K.; Ingmer, H. Communications of Staphylococcus aureus and Non-aureus Staphylococcus Species from Bovine Intramammary Infections and Teat Apex Colonization. J. Dairy Sci. 2018, 101, 7322–7333. [Google Scholar] [CrossRef]
- Vander Elst, N.; Bellemans, J.; Steenbrugge, J.; Geeroms, C.; Breyne, K.; Piepers, S.; Toledo-Silva, B.; de Souza, F.N.; Haesebrouck, F.; De Vliegher, S.; et al. Priming of the Murine Mammary Gland with Staphylococcus chromogenes IM Reduces Bacterial Growth of Streptococcus uberis: A Proof-of-Concept Study. Vet. Res. 2023, 54, 28. [Google Scholar] [CrossRef]
- Chin, D.; Goncheva, M.I.; Flannagan, R.S.; Deecker, S.R.; Guariglia-Oropeza, V.; Ensminger, A.W. Coagulase-Negative Staphylococci Release a Purine Analog That Inhibits Staphylococcus aureus Virulence. Nat. Commun. 2021, 12, 1887. [Google Scholar] [CrossRef]
- Carson, D.A.; Barkema, H.W.; Naushad, S.; De Buck, J. Bacteriocins of Non-aureus Staphylococci Isolated From Bovine Milk. Appl. Environ. Microbiol. 2017, 83, e01015-17. [Google Scholar] [CrossRef]
- Hand, T.W. The Role of the Microbiota in Shaping Infectious Immunity. Trends Immunol. 2016, 37, 647–658. [Google Scholar] [CrossRef]
- Camperio, C.; Armas, F.; Biasibetti, E. A Mouse Mastitis Model to Study the Effects of the Intramammary Infusion of a food-grade Lactococcus lactis strain. PLoS ONE 2017, 12, e0184218. [Google Scholar] [CrossRef]
- Breyne, K.; De Vliegher, S.; De Visscher, A.; Piepers, S.; Meyer, E. Technical Note: A Pilot Study Using A Mouse Mastitis Model to Study Differences between Bovine associated Coagulase-Negative Staphylococci. J. Dairy Sci. 2015, 98, 1090–1100. [Google Scholar] [CrossRef]
- Leelahapongsathon, K.; Schukken, Y.H.; Pinyopummintr, T.; Suriyasathaporn, W. Comparison of transmission dynamics between Streptococcus uberis and Streptococcus agalactiae intramammary infections. J. Dairy Sci. 2016, 99, 1418–1426. [Google Scholar] [CrossRef] [PubMed]
- Trigo, G.; Dinis, M.; França, Â.; Bonifácio Andrade, E.; Gil da Costa, R.M.; Ferreira, P.; Tavares, D. Leukocyte Populations and Cytokine Expression in the Mammary Gland in a Mouse Model of Streptococcus agalactiae mastitis. J. Med. Microbiol. 2009, 58, 951–958. [Google Scholar] [CrossRef] [PubMed]
- Pang, M.; Sun, L.; He, T.; Bao, H.; Zhang, L.; Zhou, Y.; Zhang, H.; Wei, R.; Liu, Y.; Wang, R. Molecular and virulence characterization of highly prevalent Streptococcus agalactiae circulated in bovine dairy herds. Vet. Res. 2017, 48, 65. [Google Scholar] [CrossRef] [PubMed]
- Wataradee, S.; Samngamnim, S.; Boonserm, T.; Ajariyakhajorn, K. Genotypic and antimicrobial susceptibility of Streptococcus agalactiae causing bovine mastitis in the central region of Thailand. Front. Vet. Sci. 2023, 10, 1250436. [Google Scholar] [CrossRef]
- Östensson, K.; Lam, V.; Sjögren, N.; Wredle, E. Prevalence of subclinical mastitis and isolated udder pathogens in dairy cows in Southern Vietnam. Trop. Anim. Health Prod. 2013, 45, 79–86. [Google Scholar] [CrossRef]
- Richards, V.P.; Lang, P.; Bitar, P.D.; Lefébure, T.; Schukken, Y.H.; Zadoks, R.N.; Stanhope, M.J. Comparative genomics and the role of lateral gene transfer in the evolution of bovine adapted Streptococcus agalactiae. Infect. Genet. Evol. 2011, 11, 1263–1275. [Google Scholar] [CrossRef]
- Keefe, G.P. Streptococcus agalactiae Mastitis: A Review. Can. Vet. J. 1997, 38, 429–437. [Google Scholar] [PubMed]
- Srithanasuwan, A.; Pangprasit, N.; Mektrirat, R.; Suriyasathaporn, W.; Chuammitri, P. Divergent Immune Responses to Minor Bovine Mastitis-Causing Pathogens. Vet. Sci. 2024, 11, 262. [Google Scholar] [CrossRef]
- Krishnamoorthy, P.; Satyanarayana, M.L.; Shome, B.R.; Rahman, H. Pathological Changes In Experimental Intramammary Infection with Different Staphylococcus Species in Mice. J. Microsc. Ultrastruct. 2018, 6, 93–98. [Google Scholar] [CrossRef]
- Garrett, S.R.; Palmer, T. The Role of Proteinaceous Toxins Secreted by Staphylococcus aureus in Interbacterial Competition. FEMS Microbes 2024, 5, xtae006. [Google Scholar] [CrossRef]
- Stubbendieck, R.M.; Straight, P.D. Escape from Lethal Bacterial Competition Through Coupled Activation of Antibiotic Resistance and a Mobilized Subpopulation. PLoS Genet. 2015, 11, e1005722. [Google Scholar] [CrossRef] [PubMed]
- De Vliegher, S.; Opsomer, G.; Vanrolleghem, A.; Devriese, L.A.; Sampimon, O.C.; Sol, J.; Barkema, H.W.; Haesebrouck, F.; de Kruif, A. In Vitro Growth Inhibition of Major Mastitis Pathogens by Staphylococcus chromogenes Originating from Teat Apices of Dairy Heifers. Vet. Microbiol. 2004, 101, 215–221. [Google Scholar] [CrossRef] [PubMed]
- Garcia-Gutierrez, E.; O’Connor, P.M.; Saalbach, G.; Walsh, C.J.; Hegarty, J.W.; Guinane, C.M.; Mayer, M.J.; Narbad, A.; Cotter, P.D. First Evidence of Production of the Lantibiotic Nisin P. Sci. Rep. 2020, 10, 3738. [Google Scholar] [CrossRef] [PubMed]
- Vidal Amaral, J.R.; Jucá Ramos, R.T.; Almeida Araújo, F.; Bentes Kato, R.; Figueira Aburjaile, F.; de Castro Soares, S.; Góes-Neto, A.; Matiuzzi da Costa, M.; Azevedo, V.; Brenig, B.; et al. Bacteriocin Producing Streptococcus agalactiae Strains Isolated from Bovine Mastitis in Brazil. Microorganisms 2022, 10, 588. [Google Scholar] [CrossRef]
- Chaisri, W.; Intanon, M.; Saipinta, D.; Srithanasuwan, A.; Pangprasit, N.; Jaraja, W.; Chuasakhonwilai, A.; Suriyasathaporn, W. Variation in Interleukin-4, -6, and -10 in Mastitis Milk: Associations with Infections, Pathogens, Somatic Cell Counts, and Oxidative Stress. Vet. Sci. 2024, 11, 350. [Google Scholar] [CrossRef]
- Keefe, G. Update on Control of Staphylococcus aureus and Streptococcus agalactiae for Management of Mastitis. Vet. Clin. N. Am. Food Anim. Pract. 2012, 28, 203–216. [Google Scholar] [CrossRef]
- Restucci, B.; Dipineto, L.; Martano, M.; Balestrieri, A.; Ciccarelli, D.; Russo, T.P.; Varriale, L.; Maiolino, P. Histopathological and Microbiological Findings in Buffalo Chronic Mastitis: Evidence of Tertiary Lymphoid Structures. J. Vet. Sci. 2019, 20, e28. [Google Scholar] [CrossRef]
- Newstead, L.L.; Varjonen, K.; Nuttall, T.; Paterson, G.K. Staphylococcal-Produced Bacteriocins and Antimicrobial Peptides: Their Potential as Alternative Treatments for Staphylococcus aureus Infections. Antibiotics 2020, 9, 40. [Google Scholar] [CrossRef]
- Dordet-Frisoni, E.; Dorchies, G.; De Araujo, C.; Talon, R.; Leroy, S. Genomic diversity in Staphylococcus xylosus. Appl. Environ. Microbiol. 2007, 73, 7199–7209. [Google Scholar] [CrossRef]
- Battaglia, M.; Garrett-Sinha, L.A. Staphylococcus xylosus and Staphylococcus aureus as Commensals and Pathogens on Murine Skin. Lab. Anim. Res. 2023, 39, 18. [Google Scholar] [CrossRef]
- Fernández, L.; Langa, S.; Martín, V. The Human Milk Microbiota: Origin and Potential Roles in Health and Disease. Pharmacol. Res. 2013, 69, 1–10. [Google Scholar] [CrossRef]


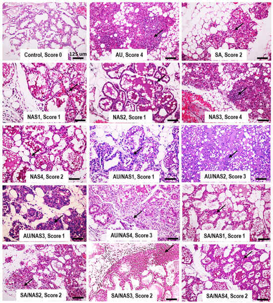
| After IMI 72 h | ||||||
|---|---|---|---|---|---|---|
| IMI Species a | IMI Species b | CFU/mL | HS | Clinical Signs | Remaining Microbes | |
| Control (PBS) | - | <10 | 0 | No | S. lentus | |
| Single infection | ||||||
| S. aureus (AU) | AU | 4.0 × 104 | 4 | Yes | ||
| S. agalactiae (SA) | ng | <10 | 2 | No | S. xylosus, S. lentus | |
| S. hominis (NAS) | ng | <10 | 1 | No | S. xylosus, C. stationis | |
| S. hominis (NAS2) | ng | <10 | 1 | No | S. xylosus | |
| S. chromogenes (NAS3) | NAS3 | 1.6 × 104 | 4 | No | S. xylosus, S. lentus | |
| S. chromogenes (NAS4) | NAS4 | <10 | 2 | No | S. lentus | |
| Mixed infection | ||||||
| AU–NAS1 | ng | <10 | 1 | No | S. lentus | |
| AU–NAS2 | ng | - | 3 | Yes | ||
| AU–NAS3 | AU | >105 | 1 | No | S. lentus | |
| AU–NAS4 | AU | 7.9 × 103 | 3 | Yes | S. lentus | |
| SA–NAS1 | SA | 1.6 × 103 | 1 | No | S. kloosii, S. saprophyticus | |
| SA–NAS2 | ng | <10 | 2 | No | S. kloosii, Cur. albidum | |
| SA–NAS3 | SA | 6.3 × 102 | 2 | No | ||
| SA–NAS4 | SA | 1 × 103 | 1 | No | ||
Disclaimer/Publisher’s Note: The statements, opinions and data contained in all publications are solely those of the individual author(s) and contributor(s) and not of MDPI and/or the editor(s). MDPI and/or the editor(s) disclaim responsibility for any injury to people or property resulting from any ideas, methods, instructions or products referred to in the content. |
© 2024 by the authors. Licensee MDPI, Basel, Switzerland. This article is an open access article distributed under the terms and conditions of the Creative Commons Attribution (CC BY) license (https://creativecommons.org/licenses/by/4.0/).
Share and Cite
Suriyasathaporn, W.; Kongkaew, A.; Intanon, M.; Srithanasuwan, A.; Saipinta, D.; Pangprasit, N.; Thongtharb, A.; Chuasakhonwilai, A.; Chaisri, W. Non-aureus Staphylococci Cause the Spontaneous Cure or Persistent Infection of Major Bovine Mastitis Pathogens in the Murine Mammary Glands. Animals 2024, 14, 3526. https://doi.org/10.3390/ani14233526
Suriyasathaporn W, Kongkaew A, Intanon M, Srithanasuwan A, Saipinta D, Pangprasit N, Thongtharb A, Chuasakhonwilai A, Chaisri W. Non-aureus Staphylococci Cause the Spontaneous Cure or Persistent Infection of Major Bovine Mastitis Pathogens in the Murine Mammary Glands. Animals. 2024; 14(23):3526. https://doi.org/10.3390/ani14233526
Chicago/Turabian StyleSuriyasathaporn, Witaya, Aphisek Kongkaew, Montira Intanon, Anyaphat Srithanasuwan, Duanghathai Saipinta, Noppason Pangprasit, Atigan Thongtharb, Areerat Chuasakhonwilai, and Wasana Chaisri. 2024. "Non-aureus Staphylococci Cause the Spontaneous Cure or Persistent Infection of Major Bovine Mastitis Pathogens in the Murine Mammary Glands" Animals 14, no. 23: 3526. https://doi.org/10.3390/ani14233526
APA StyleSuriyasathaporn, W., Kongkaew, A., Intanon, M., Srithanasuwan, A., Saipinta, D., Pangprasit, N., Thongtharb, A., Chuasakhonwilai, A., & Chaisri, W. (2024). Non-aureus Staphylococci Cause the Spontaneous Cure or Persistent Infection of Major Bovine Mastitis Pathogens in the Murine Mammary Glands. Animals, 14(23), 3526. https://doi.org/10.3390/ani14233526

