Exotic Mammal Care and Medicine

A special issue of Animals (ISSN 2076-2615). This special issue belongs to the section "Mammals".

Deadline for manuscript submissions: closed (30 June 2025) | Viewed by 14712

Special Issue Editors


E-Mail Website
Guest Editor
1. Veterinary Research Centre (CECAV), Associate Laboratory for Animal and Veterinary Sciences (AL4AnimalS), UTAD, Vila Real, Portugal
2. Exotics and Wild Animal Service of the Veterinary Teaching Hospital UTAD, Vila Real, Portugal
Interests: exotic animal medicine; infectious diseases; one health; wildlife conservation

E-Mail Website
Guest Editor
Clínica Veterinária Jekl & Hauptman, Mojmírovo nome 3105/6ª, 612 00 Brno, Pólo Královo, Czech Republic
Interests: dental diseases; dentistry; diagnostic imaging; internal medicine; small mammals; soft tissue surgery

E-Mail Website
Guest Editor
Clinique Vétérinaire L'Arche des NAC, 95300 Pontoise, France
Interests: dermatology; internal medicine; small mammals; rabbits; surgery

Special Issue Information

Dear Colleagues,

As veterinarians who want to offer the best medical and surgical care for owners of exotic companion mammals, we must recognize that this group of animals has changed the landscape of small animal medicine. Pet exotic small mammals are seen in the clinic on a daily basis, and routine and specialized medical and surgical care is provided for both healthy and sick animals. However, despite this increase, the standard of exotic mammal medicine has not yet reached its full potential.

Updates on the latest advances focusing on diagnosis and treatment options, infectious diseases, nutrition, behavior, clinical pathology, anesthesia, emergency medicine or surgery of exotic small mammals are welcome, as long as they can be useful for veterinarians’ decision-making process.

This Special Issue aims to present research and reviews on exotic mammal care and medicine, exploring the latest insights into this interesting and wide subject. We truly believe that sharing knowledge is the best way to elevate the level of exotic mammal care and medicine and to provide the best possible care for patients.

Dr. Filipa Loureiro
Prof. Dr. Vladimír Jekl
Dr. Ana Cláudia Coelho
Dr. Véronique Mentré
Guest Editors

Manuscript Submission Information

Manuscripts should be submitted online at www.mdpi.com by registering and logging in to this website. Once you are registered, click here to go to the submission form. Manuscripts can be submitted until the deadline. All submissions that pass pre-check are peer-reviewed. Accepted papers will be published continuously in the journal (as soon as accepted) and will be listed together on the special issue website. Research articles, review articles as well as short communications are invited. For planned papers, a title and short abstract (about 100 words) can be sent to the Editorial Office for announcement on this website.

Submitted manuscripts should not have been published previously, nor be under consideration for publication elsewhere (except conference proceedings papers). All manuscripts are thoroughly refereed through a single-blind peer-review process. A guide for authors and other relevant information for submission of manuscripts is available on the Instructions for Authors page. Animals is an international peer-reviewed open access semimonthly journal published by MDPI.

Please visit the Instructions for Authors page before submitting a manuscript. The Article Processing Charge (APC) for publication in this open access journal is 2400 CHF (Swiss Francs). Submitted papers should be well formatted and use good English. Authors may use MDPI's English editing service prior to publication or during author revisions.

Keywords

  • anesthesia
  • clinical pathology
  • hedgehogs
  • ferrets
  • lagomorphs
  • medicine
  • rabbits
  • rodents
  • small mammals
  • surgery

Benefits of Publishing in a Special Issue

  • Ease of navigation: Grouping papers by topic helps scholars navigate broad scope journals more efficiently.
  • Greater discoverability: Special Issues support the reach and impact of scientific research. Articles in Special Issues are more discoverable and cited more frequently.
  • Expansion of research network: Special Issues facilitate connections among authors, fostering scientific collaborations.
  • External promotion: Articles in Special Issues are often promoted through the journal's social media, increasing their visibility.
  • Reprint: MDPI Books provides the opportunity to republish successful Special Issues in book format, both online and in print.

Further information on MDPI's Special Issue policies can be found here.

Published Papers (7 papers)

Order results
Result details
Select all
Export citation of selected articles as:

Research

Jump to: Other

13 pages, 2433 KB  
Article
Distribution and Antimicrobial Resistance Patterns of Aerobic Bacterial Isolates from Clinically Ill Pet Guinea Pigs (Cavia porcellus) in Hong Kong
by Desiree Hung, Ibrahim Elsohaby, Fraser Hill, Andrew Ferguson and Colin T. McDermott
Animals 2025, 15(14), 2042; https://doi.org/10.3390/ani15142042 - 11 Jul 2025
Viewed by 556
Abstract
With the increase in keeping exotic companion mammals as pets, concerns about antimicrobial resistance (AMR) and its impact on animal and human health are growing. Guinea pigs, a popular pet in Hong Kong and globally, have limited studies regarding antimicrobial culture and sensitivity [...] Read more.
With the increase in keeping exotic companion mammals as pets, concerns about antimicrobial resistance (AMR) and its impact on animal and human health are growing. Guinea pigs, a popular pet in Hong Kong and globally, have limited studies regarding antimicrobial culture and sensitivity results. We reviewed bacteriologic and antimicrobial sensitivity results from clinically ill pet guinea pigs from 2019 to 2023 using data from the City University Veterinary Diagnostic Laboratory. Of the 234 clinical samples from 22 veterinary clinics in Hong Kong, 134 (57.3%) showed positive bacterial growth, of which 23 (17.2%) showed mixed bacterial growth. In total, 156 bacterial isolates were identified. Gram-positive bacteria (n = 104, 66.7%) were most commonly recovered, representing 25 bacterial species, most commonly Streptococcus spp., Staphylococcus spp., and Corynebacterium spp. The majority of positive samples were from the integument (43.6%) and urinary tract (33.8%). A total of 85.9% of all isolates were resistant to at least one antimicrobial agent, with over 40% of isolates exhibiting resistance to three or more antimicrobial agents, and 27.6% were multidrug resistant (resistant to at least one agent in three or more antimicrobial classes). High resistance rates were observed for penicillin (45.6%), gentamicin (43.7%), doxycycline (42.1%), and azithromycin (36.3%). In contrast, isolates were highly susceptible to ceftazidime (84.1%), chloramphenicol (82.6%), ciprofloxacin (72.7%), and marbofloxacin (72.2%). These findings highlight the high frequency of AMR in this population of clinically ill pet guinea pigs in Hong Kong and the need for informed and judicious antimicrobial use. Full article
(This article belongs to the Special Issue Exotic Mammal Care and Medicine)
Show Figures

Figure 1

17 pages, 449 KB  
Article
What Are the Most Prevalent Welfare Issues for Pet Small Mammals?
by Lauren Fenton, Livia Benato, Elisabetta Mancinelli and Nicola J. Rooney
Animals 2025, 15(10), 1423; https://doi.org/10.3390/ani15101423 - 14 May 2025
Viewed by 1041
Abstract
The welfare of pet small mammals is an understudied, but growing research topic in the UK and Europe. We surveyed European veterinary experts who each rated severity and prevalence of a large number of issues in the eight most common species. Overall, 46 [...] Read more.
The welfare of pet small mammals is an understudied, but growing research topic in the UK and Europe. We surveyed European veterinary experts who each rated severity and prevalence of a large number of issues in the eight most common species. Overall, 46 responses were obtained. We calculated the mean expert’s ratings for severity and prevalence of each issue, which were multiplied together to create an overall impact score. We then ranked issues from most to least impactful for each species. The most impactful welfare issue was perceived to be small housing for all the species apart from the rat where the main concern was respiratory disease. Where comparing veterinary surgeons and veterinary nurses, rating differed significantly on numerous issues. Veterinary nurses generally rated welfare issues as more prevalent than veterinary surgeons. UK respondents also rated numerous issues as more severe and prevalent than non-UK respondents. Better guidance on, and increased availability of, affordable large housing is likely to greatly improve small mammal welfare. Full article
(This article belongs to the Special Issue Exotic Mammal Care and Medicine)
Show Figures

Figure 1

12 pages, 539 KB  
Article
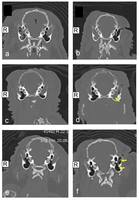
Evaluation of Lateral Ear Canal Ablation (LECA) as a Surgical Treatment Option for External Ear Canal Disease in Lop-Eared Pet Rabbits (Oryctolagus cuniculus)
by Anne Willems, Johannes Hetterich, Milena Thöle, Michael Pees, Michael Fehr and Maximilian Reuschel
Animals 2025, 15(8), 1142; https://doi.org/10.3390/ani15081142 - 16 Apr 2025
Viewed by 959
Abstract
A soft tissue-filled external ear canal, sometimes also referred to as otitis externa in the veterinary literature, is a prevalent disease in pet rabbits, especially in lop-eared pet rabbits. The authors describe the clinical findings, diagnostic workup, therapy, and outcome of pet rabbits [...] Read more.
A soft tissue-filled external ear canal, sometimes also referred to as otitis externa in the veterinary literature, is a prevalent disease in pet rabbits, especially in lop-eared pet rabbits. The authors describe the clinical findings, diagnostic workup, therapy, and outcome of pet rabbits treated surgically for a lateral ear canal ablation (LECA). For the time period between 2015 and 2023, the medical records of two veterinary clinics were evaluated retrospectively. A total of 25 pet rabbits, diagnosed via computed tomography (CT) scans with a soft tissue-filled external ear canal and (if present) middle ear, were identified. All the pet rabbits were evaluated as lop-eared pet rabbits and all were treated surgically using the same surgical technique, LECA. In accordance with Richardson et al., we categorized the different ear filling levels by using the grading system that was established in 2019. The mean follow-up period was 19 days, and in one case complete wound healing was not reached within 131 days after surgery. A total of 7/25 of the pet rabbits were evaluated with wound healing issues. Of the cases, 18/25 did not develop any recurrent ear diseases. Loss to follow-up was observed in 5/25 of the cases and recurrent ear diseases were identified in 2/25 of the pet rabbits. Progression of the ear disease was detected in four cases. CT post-operative images were acquired for 14/25 of the pet rabbits. Based on this study, LECA can be considered a safe surgical method to treat soft tissue-filled external ear canals, especially in lop-eared pet rabbits. Nonetheless, thorough post-surgical management including wound control is critical for therapy success. Full article
(This article belongs to the Special Issue Exotic Mammal Care and Medicine)
Show Figures

Figure 1

15 pages, 1683 KB  
Article
Helping Rabbits Cope with Veterinary Acts and Vaccine-Related Stress: The Effects of the Rabbit Appeasing Pheromone (RAP)
by Pietro Asproni, Elisa Codecasa, Miriam Marcet-Rius, Juliane Demellier, Estelle Descout, Marine Verbaere, Orane Vinck, Patrick Pageat and Alessandro Cozzi
Animals 2024, 14(23), 3549; https://doi.org/10.3390/ani14233549 - 9 Dec 2024
Viewed by 2046
Abstract
Rabbits are subjected to challenges that induce stress and require them to continuously adapt. Veterinary procedures represent an important source of stress. In other pets, pheromone use was shown to help patients better cope with these procedures. This study aimed to evaluate whether [...] Read more.
Rabbits are subjected to challenges that induce stress and require them to continuously adapt. Veterinary procedures represent an important source of stress. In other pets, pheromone use was shown to help patients better cope with these procedures. This study aimed to evaluate whether continuous exposure to the rabbit appeasing pheromone (RAP) could help rabbits cope with the stress induced by routine clinical consultations and vaccinations. Twenty-four 5-week-old rabbits were housed in two identical rooms for 43 days, one in which the rabbits underwent continuous RAP treatment and one with the placebo. The rabbits were vaccinated 8 days afterwards, and their behaviour was evaluated using visual analogic scales (VASs) and videos. The rabbits were also examined seven times, on a weekly basis, using VASs to assess their behaviour. The video analysis showed that the RAP-treated rabbits were less inhibited (p = 0.03) and more in contact with the surgeon (p = 0.039) during vaccinations, while the non-treated rabbits kept their ears in the middle/flattened position (p = 0.003). The RAP-treated rabbits were also less agitated (VAS analysis, p = 0.02). During the consultations, a treatment × day effect was observed in favour of the RAP group for the rabbit state and rabbit reactivity VAS analysis (p < 0.0001). These findings seem to suggest that continuous RAP exposure could be a promising tool for helping rabbits cope with veterinary procedures. Full article
(This article belongs to the Special Issue Exotic Mammal Care and Medicine)
Show Figures

Figure 1

13 pages, 2240 KB  
Article
Association of Encephalitozoon cuniculi with Clinical Signs and Abnormal Hematologic/Biochemical Changes in Pet Rabbits in Thailand
by Taksaon Duangurai, Natruree Khamchomphu, Kanyanut Dusitkul, Chawaporn Tousee, Yosanun Sukmai, Teerapat Rungnirundorn, Ladawan Areevijittrakul, Siriluk Jala and Naris Thengchaisri
Animals 2024, 14(19), 2766; https://doi.org/10.3390/ani14192766 - 25 Sep 2024
Cited by 2 | Viewed by 4558
Abstract
Encephalitozoon cuniculi can cause serious disease and subclinical infection in rabbits and requires active surveillance to control the infection. This study investigated the association between anti-Encephalitozoon cuniculi antibody status and various health parameters in pet rabbits. A total of 90 rabbits were [...] Read more.
Encephalitozoon cuniculi can cause serious disease and subclinical infection in rabbits and requires active surveillance to control the infection. This study investigated the association between anti-Encephalitozoon cuniculi antibody status and various health parameters in pet rabbits. A total of 90 rabbits were divided into healthy (N = 30), subclinical (N = 30), and clinical (N = 30) groups based on their anti-Encephalitozoon cuniculi antibody status and clinical presentations. The mean ages of the control (37 ± 40 months) and subclinical groups (38 ± 34 months) were notably lower compared to that of the clinical group (63 ± 38 months, p < 0.01). Serum titers for anti-Encephalitozoon cuniculi antibodies were significantly elevated in rabbits with subclinical and clinical infections compared to those of healthy rabbits (p < 0.05). Neurological signs were predominant in rabbits with active E. cuniculi infection (80.0%), with additional pathological features including urinary dysfunction (10.0%) and cataracts (10.0%). The source of rabbits was not associated with E. cuniculi infection (p = 0.159). Anemia was significantly linked to E. cuniculi infection (p = 0.026); however, no significant associations were found with leukocytosis, thrombocytopenia, or serum biochemistry parameters. Mature adult rabbits were more likely to be infected with E. cuniculi. Recognizing anemia and neurological signs facilitates in early diagnosis of E. cuniculi infection. Full article
(This article belongs to the Special Issue Exotic Mammal Care and Medicine)
Show Figures

Figure 1

8 pages, 260 KB  
Communication
Occurrence of Clostridium perfringens in Wild Mammals in the Amazon Biome
by Hanna Gabriela da Silva Oliveira, Ananda Iara de Jesus Sousa, Isabela Paduá Zanon, Cinthia Távora de Albuquerque Lopes, Rodrigo Otavio Silveira Silva, Sheyla Farhayldes Souza Domingues and Felipe Masiero Salvarani
Animals 2024, 14(9), 1333; https://doi.org/10.3390/ani14091333 - 29 Apr 2024
Viewed by 1467
Abstract
The objective of this study was to evaluate the occurrence of Clostridium perfringens in stool samples and swabs collected from wild mammals in the Amazon biome. Sixty-five faecal and swab samples were collected in situ and ex situ from 16 species and three [...] Read more.
The objective of this study was to evaluate the occurrence of Clostridium perfringens in stool samples and swabs collected from wild mammals in the Amazon biome. Sixty-five faecal and swab samples were collected in situ and ex situ from 16 species and three genera of wild mammals, some of which were in good health and some of which had diarrhoea. After pre-enrichment, the samples were plated on selective agar for C. perfringens. Characteristic colonies were subjected to multiplex PCR for the detection of genes encoding the main C. perfringens toxins (alpha, beta, epsilon, and iota toxin and enterotoxin). Among the 65 samples, 40 (61.5%) were positive for the gene encoding the alpha toxin and were classified as type A, 36 of which were asymptomatic animals and four were diarrheal. No other toxinotypes were found. The findings of this study suggest that C. perfringens type A is commonly found in mammal species of the Amazon biome. This seems to be the first study to identify C. perfringens type A in species such as B. variegatus (common ground sloth), C. didactylus (two-toed sloth), P. flavus (Jupará), T. tetradactyla (anteater), S. collinsi (squirrel monkey), S. niger (black marmoset), and S. apella (Guyana capuchin) and in the genus Didelphis sp. (opossum). Full article
(This article belongs to the Special Issue Exotic Mammal Care and Medicine)

Other

Jump to: Research

10 pages, 1738 KB  
Case Report
Acute Fatal Gastric Dilatation and Volvulus in a Captive Adult Linnaeus’s Two-Toed Sloth (Choloepus didactylus) in Amazon Biome
by Hanna Gabriela da Silva Oliveira, Cinthia Távora de Albuquerque Lopes, Letícia Yasmin Silva Correa, Roberta Martins Crivelaro Thiesen, Rodrigo Otavio Silveira Silva, Francisco Alejandro Uzal, Sheyla Farhayldes Souza Domingues and Felipe Masiero Salvarani
Animals 2024, 14(23), 3527; https://doi.org/10.3390/ani14233527 - 6 Dec 2024
Viewed by 2306
Abstract
This study aims to report the dietary and daily management, clinical signs, complementary exams, and pathological findings related to an acute and fatal case of gastric dilatation and volvulus (GDV) in a captive Linnaeus’s two-toed sloth (Choloepus didactylus) in the Amazon [...] Read more.
This study aims to report the dietary and daily management, clinical signs, complementary exams, and pathological findings related to an acute and fatal case of gastric dilatation and volvulus (GDV) in a captive Linnaeus’s two-toed sloth (Choloepus didactylus) in the Amazon Biome. An adult female sloth, rescued after being electrocuted, was housed at the Wildlife Section of the Veterinary Hospital (WSVH) of the Institute of Veterinary Medicine (IVM) at the Universidade Federal do Pará (UFPA). It was fed a diverse diet that included animal protein, fruits, vegetables, and greens, with vitamin and mineral supplementation. After five years, the sloth was found in its enclosure hyporesponsive, dehydrated, hypothermic, and hyperventilating, with an abdominal dilation of firm consistency. During emergency care, the animal died. Fecal samples collected two days before death were positive only for Clostridium perfringens type A. Necropsy findings included dilatation of the squamous gastric compartment due to gas accumulation, with necrotic and hemorrhagic mucosa, a 180–270° volvulus obstructing the gastroesophageal region, and intestinal mucosal hyperemia. Histopathology revealed marked congestion with hemorrhage and gastric mucosal necrosis, along with tertiary lymphoid follicles in the submucosa. To the authors’ knowledge, this is the first report of GDV in a sloth in Brazil. Further research is needed to develop appropriate approaches to GDV in captive sloths. Full article
(This article belongs to the Special Issue Exotic Mammal Care and Medicine)
Show Figures

Figure 1

Back to TopTop