Evaluation of the Effects of Sedation and Anesthesia on Total Lung Volume and Attenuation in Rabbit Lung CT Exams
Simple Summary
Abstract
1. Introduction
2. Materials and Methods
2.1. Study Design and Subject Inclusion
2.2. Sedation and Anesthesia Protocols and Computed Tomography Image Acquisition
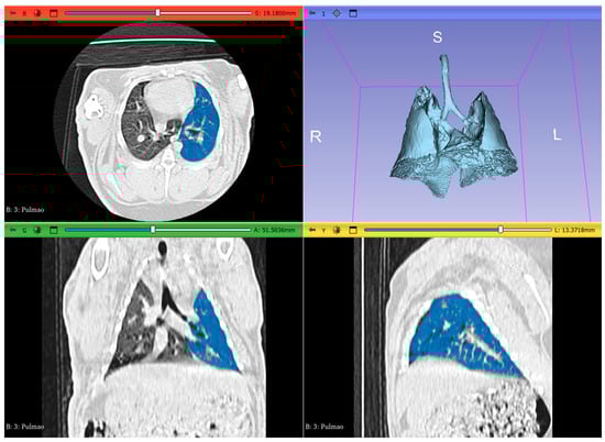
2.3. Image Analysis and Segmentation
2.4. Statistical Analysis
3. Results
3.1. Study Population
3.2. Lung Volume and Attenuation
4. Discussion
5. Conclusions
Author Contributions
Funding
Institutional Review Board Statement
Informed Consent Statement
Data Availability Statement
Conflicts of Interest
References
- Johnson-Delaney, C.A.; Orosz, S.E. Rabbit Respiratory System: Clinical Anatomy, Physiology and Disease. Vet. Clin. N. Am. Exot. Anim. Pract. 2011, 14, 257–266. [Google Scholar] [CrossRef] [PubMed]
- Hedley, J. Respiratory Disease. In BSAVA Manual of Rabbit Medicine; Meredith, L., Ed.; British Small Animal Veterinary Association: London, UK, 2014; pp. 160–167. ISBN 978-1-905319-49-7. [Google Scholar]
- Lennox, A.M.; Mancinelli, E. Respiratory Disease. In Ferrets, Rabbits, and Rodents: Clinical Medicine and Surgery; Qesenberry, K., Orcutt, C., Mans, C., Carpenter, J., Eds.; Elsevier: St. Louis, MO, USA, 2021; pp. 188–200. ISBN 978-0-323-48435-0. [Google Scholar]
- Jekl, V. Respiratory Disorders in Rabbits. Vet. Clin. N. Am. Exot. Anim. Pract. 2021, 24, 459–482. [Google Scholar] [CrossRef] [PubMed]
- Veraa, S.; Schoemaker, N. CT and MRI Scanning and Interpretation. In BSAVA Manual of Rabbit Surgery, Dentistry and Imaging; Harcourt-Brown, C., Ed.; British Small Animal Veterinary Association: London, UK, 2013; pp. 107–114. ISBN 978-1-905319-41-1. [Google Scholar]
- Capello, V.; Lennox, A.M. Diagnostic Imaging of the Respiratory System in Exotic Companion Mammals. Vet. Clin. N. Am. Exot. Anim. Pract. 2011, 14, 369–389. [Google Scholar] [CrossRef] [PubMed]
- Müllhaupt, D.; Wenger, S.; Kircher, P.; Pfammatter, N.; Hatt, J.-M.; Ohlerth, S. Computed Tomography of the Thorax in Rabbits: A Prospective Study in Ten Clinically Healthy New Zealand White Rabbits. Acta Vet. Scand. 2017, 59, 72. [Google Scholar] [CrossRef] [PubMed]
- Grint, N. Anaesthesia. In BSAVA Manual of Rabbit Surgery, Dentistry and Imaging; Harcourt-Brown, C., Ed.; British Small Animal Veterinary Association: London, UK, 2013; pp. 1–25. ISBN 978-1-905319-41-1. [Google Scholar]
- Thrall, D.E. Principles of Radiographic Interpretation of the Thorax. In Textbook of Veterinary Diagnostic Radiology; Elsevier: Amsterdam, The Netherlands, 2018; pp. 568–582. ISBN 978-0-323-48247-9. [Google Scholar]
- Monte, V.D.; Grasso, S.; Marzo, C.D.; Crovace, A.; Staffieri, F. Effects of Reduction of Inspired Oxygen Fraction or Application of Positive End-Expiratory Pressure after an Alveolar Recruitment Maneuver on Respiratory Mechanics, Gas Exchange, and Lung Aeration in Dogs during Anesthesia and Neuromuscular Blockade. Am. J. Vet. Res. 2013, 74, 25–33. [Google Scholar] [CrossRef]
- Hunt, T.D.; Wallack, S.T. Minimal Atelectasis and Poorly Aerated Lung on Thoracic CT Images of Normal Dogs Acquired under Sedation. Vet. Radiol. Ultrasound 2021, 62, 647–656. [Google Scholar] [CrossRef]
- Magnusson, L.; Spahn, D.R. New Concepts of Atelectasis during General Anaesthesia. Br. J. Anaesth. 2003, 91, 61–72. [Google Scholar] [CrossRef]
- Reimegård, E.; Lee, H.T.N.; Westgren, F. Prevalence of Lung Atelectasis in Sedated Dogs Examined with Computed Tomography. Acta Vet. Scand. 2022, 64, 25. [Google Scholar] [CrossRef]
- Cohen, J. Statistical Power Analysis for the Behavioral Sciences, 2nd ed.; Taylor and Francis: Hoboken, NJ, USA, 2013; ISBN 978-0-8058-0283-2. [Google Scholar]
- Slicer/SlicerLungCTAnalyzer 2024. Available online: https://github.com/Slicer/SlicerLungCTAnalyzer (accessed on 21 September 2022).
- Bumm, R.; Zaffino, P.; Lasso, A.; Estépar, R.S.J.; Pieper, S.; Wasserthal, J.; Spadea, M.F.; Latshang, T.; Kawel-Böhm, N.; Wäckerlin, A.; et al. From Voxels to Prognosis: AI-Driven Quantitative Chest CT Analysis Forecasts ICU Requirements in 78 COVID-19 Cases. Res. Sq. 2023, rs.3.rs-3027617. [Google Scholar] [CrossRef]
- Roels, E.; Couvreur, T.; Farnir, F.; Clercx, C.; Verschakelen, J.; Bolen, G. Comparison between sedation and general anesthesia for high resolution computed tomographic characterization of canine idiopathic pulmonary fibrosis in west highland white terriers. Vet. Radiol. Ultrasound Off. J. Am. Coll. Vet. Radiol. Int. Vet. Radiol. Assoc. 2017, 58, 284–294. [Google Scholar] [CrossRef]
- Lam, W.W.M.; Chen, P.P.; So, N.M.C.; Metreweli, C. Sedation versus General Anaesthesia in Paediatric Patients Undergoing Chest Ct. Acta Radiol. 1998, 39, 298–300. [Google Scholar] [CrossRef]
- Negroni, D.; Zagaria, D.; Paladini, A.; Falaschi, Z.; Arcoraci, A.; Barini, M.; Carriero, A. COVID-19 CT Scan Lung Segmentation: How We Do It. J. Digit. Imaging 2022, 35, 424–431. [Google Scholar] [CrossRef] [PubMed]
- Lee, J.; Koh, D.; Ong, C.N. Statistical Evaluation of Agreement between Two Methods for Measuring a Quantitative Variable. Comput. Biol. Med. 1989, 19, 61–70. [Google Scholar] [CrossRef] [PubMed]
- Boatman, E.S. A morphometric and morphological study of the lungs of rabbits after unilateral pneumonectomy. Thorax 1977, 32, 406–417. [Google Scholar] [CrossRef] [PubMed]
- Duggan, M.; Kavanagh, B.P.; Warltier, D.C. Pulmonary Atelectasis: A Pathogenic Perioperative Entity. Anesthesiology 2005, 102, 838–854. [Google Scholar] [CrossRef] [PubMed]
- Hedenstierna, G. 1 Effects of Anaesthesia on Respiratory Function. Baillières Clin. Anaesthesiol. 1996, 10, 1–16. [Google Scholar] [CrossRef]
- Sacks, M.; Raidal, S.; Catanchin, C.S.M.; Hosgood, G.; Mosing, M. Impact of Sedation, Body Position Change and Continuous Positive Airway Pressure on Distribution of Ventilation in Healthy Foals. Front. Vet. Sci. 2023, 9, 1075791. [Google Scholar] [CrossRef]
- Brismar, B.; Hedenstierna, G.; Lundquist, H.; Strandberg, Å.; Svensson, L.; Tokics, L. Pulmonary Densities during Anesthesia with Muscular Relaxation—A Proposal of Atelectasis. Anesthesiology 1985, 62, 422–428. [Google Scholar] [CrossRef]
- Foo, T.S.; Pilton, J.L.; Hall, E.J.; Martinez-Taboada, F.; Makara, M. Effect of Body Position and Time on Quantitative Computed Tomographic Measurements of Lung Volume and Attenuation in Healthy Anesthetized Cats. Am. J. Vet. Res. 2018, 79, 874–883. [Google Scholar] [CrossRef]
- Guarracino, A.; Lacitignola, L.; Auriemma, E.; De Monte, V.; Grasso, S.; Crovace, A.; Staffieri, F. Which Airway Pressure Should Be Applied During Breath-Hold in Dogs Undergoing Thoracic Computed Tomography? Vet. Radiol. Ultrasound 2016, 57, 475–481. [Google Scholar] [CrossRef]
- Martins, A.R.C.; Ambrósio, A.M.; Fantoni, D.T.; Pinto, A.C.B.C.F.; Villamizar-Martinez, L.A.; Soares, J.H.N.; Otsuki, D.A.; Malbouisson, L.M.S. Computed Tomography Assessment of Tidal Lung Overinflation in Domestic Cats Undergoing Pressure-Controlled Mechanical Ventilation During General Anesthesia. Front. Vet. Sci. 2022, 9, 842528. [Google Scholar] [CrossRef] [PubMed]
- Sanchez, A.F.; Ambrósio, A.M.; Pinto, A.C.B.C.F.; Pereira, M.A.A.; Andrade, F.S.R.M.; Rodrigues, R.R.; de Carvalho Martins, A.R.; Baroni, C.O.; Ferrante, B.; Fantoni, D.T. Effects of a Stepwise Alveolar Recruitment Maneuver on Lung Volume Distribution in Dogs Assessed by Computed Tomography. Front. Vet. Sci. 2024, 10, 1232635. [Google Scholar] [CrossRef] [PubMed]
- Henao-Guerrero, N.; Ricco, C.; Jones, J.C.; Buechner-Maxwell, V.; Daniel, G.B. Comparison of Four Ventilatory Protocols for Computed Tomography of the Thorax in Healthy Cats. Am. J. Vet. Res. 2012, 73, 646–653. [Google Scholar] [CrossRef] [PubMed]

| Variable | Session | Minimum | Maximum | Mean ± SD | Paired t-Test | ICC (95%CI) |
|---|---|---|---|---|---|---|
| Right lung volume | I | 28.739 | 46.423 | 38.82 ± 5.11 | 0.994 | 0.96 (0.905–0.987) |
| II | 28.450 | 46.973 | 38.82 ± 4.95 | |||
| Left lung volume | I | 22.456 | 39.974 | 30.57 ± 5.54 | 0.208 | 0.976 (0.936–0.991) |
| II | 21.289 | 40.085 | 30.97 ± 5.82 | |||
| Total lung volume | I | 52.513 | 85.769 | 69.39 ± 10.04 | 0.060 | 0.998 (0.995–0.998) |
| II | 53.016 | 86.05 | 69.68 ± 9.89 | |||
| Aerated right lung attenuation | I | −698.944 | −634.225 | −675.08 ± 18.23 | 0.747 | 0.996 (0.99–0.999) |
| II | −699.133 | −636.572 | −675.21 ± 18.37 | |||
| Aerated left lung attenuation | I | −708.961 | −666.244 | −690.03 ± 14.19 | 0.862 | 0.992 (0.978–0.997) |
| II | −708.822 | −664.883 | −689.96 ± 13.96 |
| Variable | Session | Minimum | Maximum | Mean ± SD | Paired t-Test | ICC (95%CI) |
|---|---|---|---|---|---|---|
| Total lung volume | I | 18.952 | 35.261 | 27.82 ± 5.40 | 0.707 | 0.976 (0.934–0.991) |
| II | 19.164 | 35.276 | 27.70 ± 5.62 | |||
| Left lung volume | I | 12.632 | 29.688 | 19.28 ± 4.41 | 0.200 | 0.979 (0.943–0.992) |
| II | 12.970 | 30.215 | 19.58 ± 4.56 | |||
| Total lung volume | I | 32.861 | 64.832 | 47.10 ± 9.28 | 0.470 | 0.994 (0.983–0.998) |
| II | 33.441 | 65.491 | 47.29 ± 9.60 | |||
| Aerated right lung attenuation | I | −685.725 | −578.192 | −633.48 ± 36.15 | 0.069 | 0.999 (0.997–1.000) |
| II | −685.825 | −579.140 | −632.73 ± 35.61 | |||
| Aerated left lung attenuation | I | −692.192 | −574.591 | −632.24 ± 38.75 | 0.124 | 0.998 (0.994–0.999) |
| II | −691.120 | −574.792 | −631.20 ± 39.63 |
| Variable | Session | Minimum | Maximum | Mean ± SD | Paired t-Test | ICC (95%CI) |
|---|---|---|---|---|---|---|
| Total lung volume | I | 19.678 | 35.231 | 28.26 ± 3.88 | 0.916 | 0.923 (0.801–0.971) |
| II | 18.982 | 35.619 | 28.22 ± 4.56 | |||
| Left lung volume | I | 13.258 | 30.957 | 20.34 ± 4.36 | 0.618 | 0.917 (0.787–0.969) |
| II | 14.754 | 31.021 | 20.13 ± 4.11 | |||
| Total lung volume | I | 36.141 | 66.188 | 48.60 ± 7.40 | 0.614 | 0.964 (0.903–0.987) |
| II | 35.057 | 66.640 | 48.35 ± 7.81 | |||
| Aerated right lung attenuation | I | −676.742 | −544.738 | −627.23 ± 35.02 | 0.349 | 1.000 (0.999–1.000) |
| II | −675.811 | −544.447 | −627.05 ± 35.02 | |||
| Aerated left lung attenuation | I | −696.140 | −555.915 | −632.77 ± 38.28 | 0.092 | 0.999 (0.999–1.000) |
| II | −695.299 | −552.714 | −632.27 ± 38.59 |
| Lung Region | Sedated | Anesthesia | Apnea | ||||
|---|---|---|---|---|---|---|---|
| Volume | Attenuation | Volume | Attenuation | Volume | Attenuation | ||
| Dorsal | Right Lung | 16.10 ± 2.53 | −684.16 ± 19.62 | 10.37 ± 3.54 | −644.60 ± 36.64 | 13.09 ± 3.14 | −648.95 ± 34.56 |
| Left Lung | 12.46 ± 2.38 | −692.65 ± 16.67 | 7.41 ± 2.93 | −657.67 ± 36 | 9.50 ± 2.66 | −659.53 ± 34.86 | |
| Ventral | Right Lung | 11.52 ± 2.57 | −667.33 ± 18.35 | 5.50 ± 2.89 | −624.74 ± 32.94 | 6.73 ± 2.54 | −621.54 ± 34.56 |
| Left Lung | 10.30 ± 2.26 | −686.80 ± 18.39 | 4.80 ± 3.07 | −632.61 ± 33.31 | 5.96 ± 2.50 | −624.52 ± 28.93 | |
Disclaimer/Publisher’s Note: The statements, opinions and data contained in all publications are solely those of the individual author(s) and contributor(s) and not of MDPI and/or the editor(s). MDPI and/or the editor(s) disclaim responsibility for any injury to people or property resulting from any ideas, methods, instructions or products referred to in the content. |
© 2024 by the authors. Licensee MDPI, Basel, Switzerland. This article is an open access article distributed under the terms and conditions of the Creative Commons Attribution (CC BY) license (https://creativecommons.org/licenses/by/4.0/).
Share and Cite
Sargo, R.; Tomé, I.; Silva, F.; Ginja, M. Evaluation of the Effects of Sedation and Anesthesia on Total Lung Volume and Attenuation in Rabbit Lung CT Exams. Animals 2024, 14, 3473. https://doi.org/10.3390/ani14233473
Sargo R, Tomé I, Silva F, Ginja M. Evaluation of the Effects of Sedation and Anesthesia on Total Lung Volume and Attenuation in Rabbit Lung CT Exams. Animals. 2024; 14(23):3473. https://doi.org/10.3390/ani14233473
Chicago/Turabian StyleSargo, Roberto, Inês Tomé, Filipe Silva, and Mário Ginja. 2024. "Evaluation of the Effects of Sedation and Anesthesia on Total Lung Volume and Attenuation in Rabbit Lung CT Exams" Animals 14, no. 23: 3473. https://doi.org/10.3390/ani14233473
APA StyleSargo, R., Tomé, I., Silva, F., & Ginja, M. (2024). Evaluation of the Effects of Sedation and Anesthesia on Total Lung Volume and Attenuation in Rabbit Lung CT Exams. Animals, 14(23), 3473. https://doi.org/10.3390/ani14233473

