Left Ventricular Apical Aneurysm in a Dog—A Case Report
Simple Summary
Abstract
1. Introduction
2. Materials and Methods
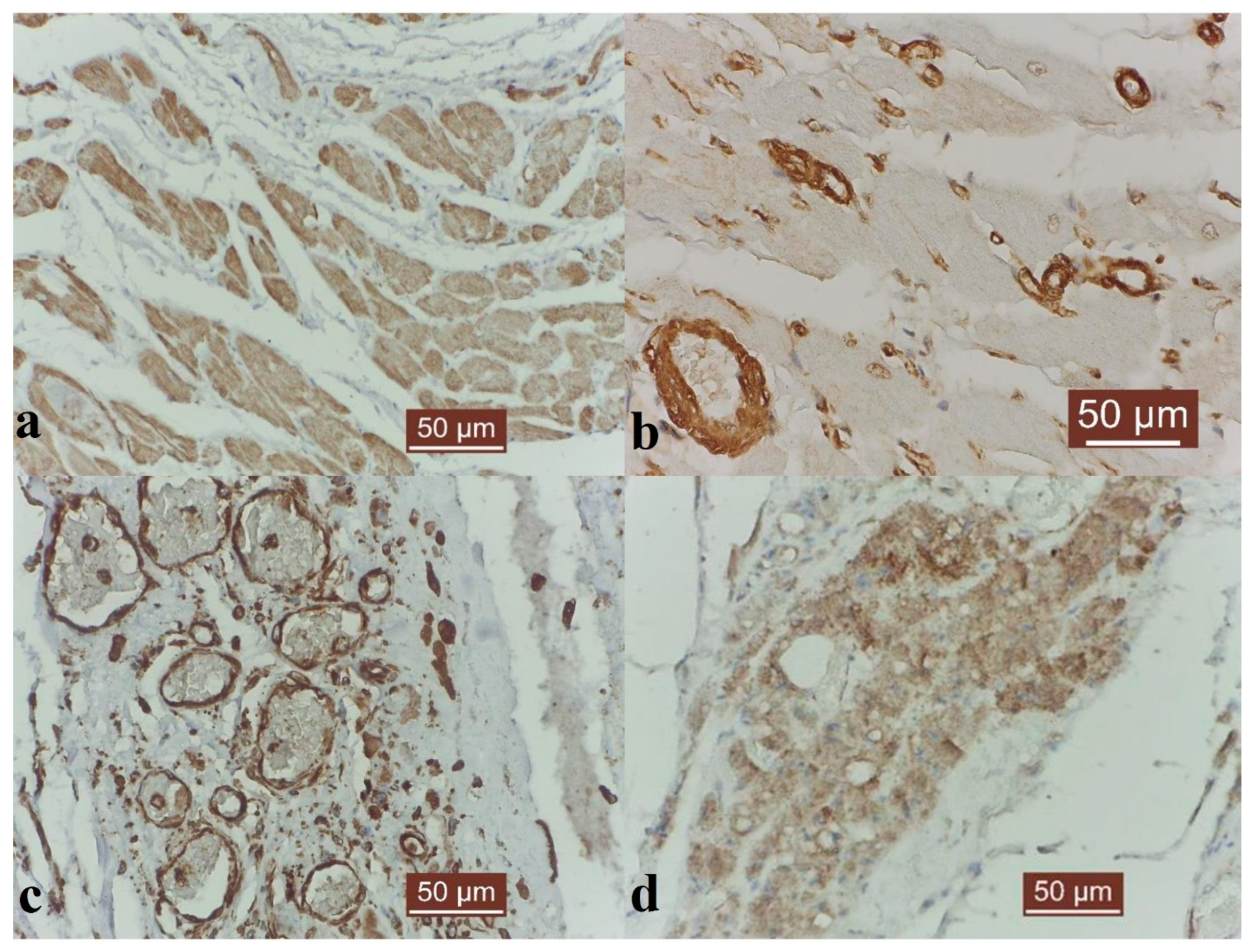
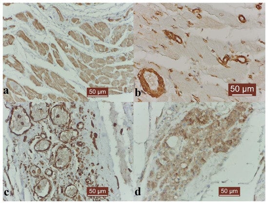
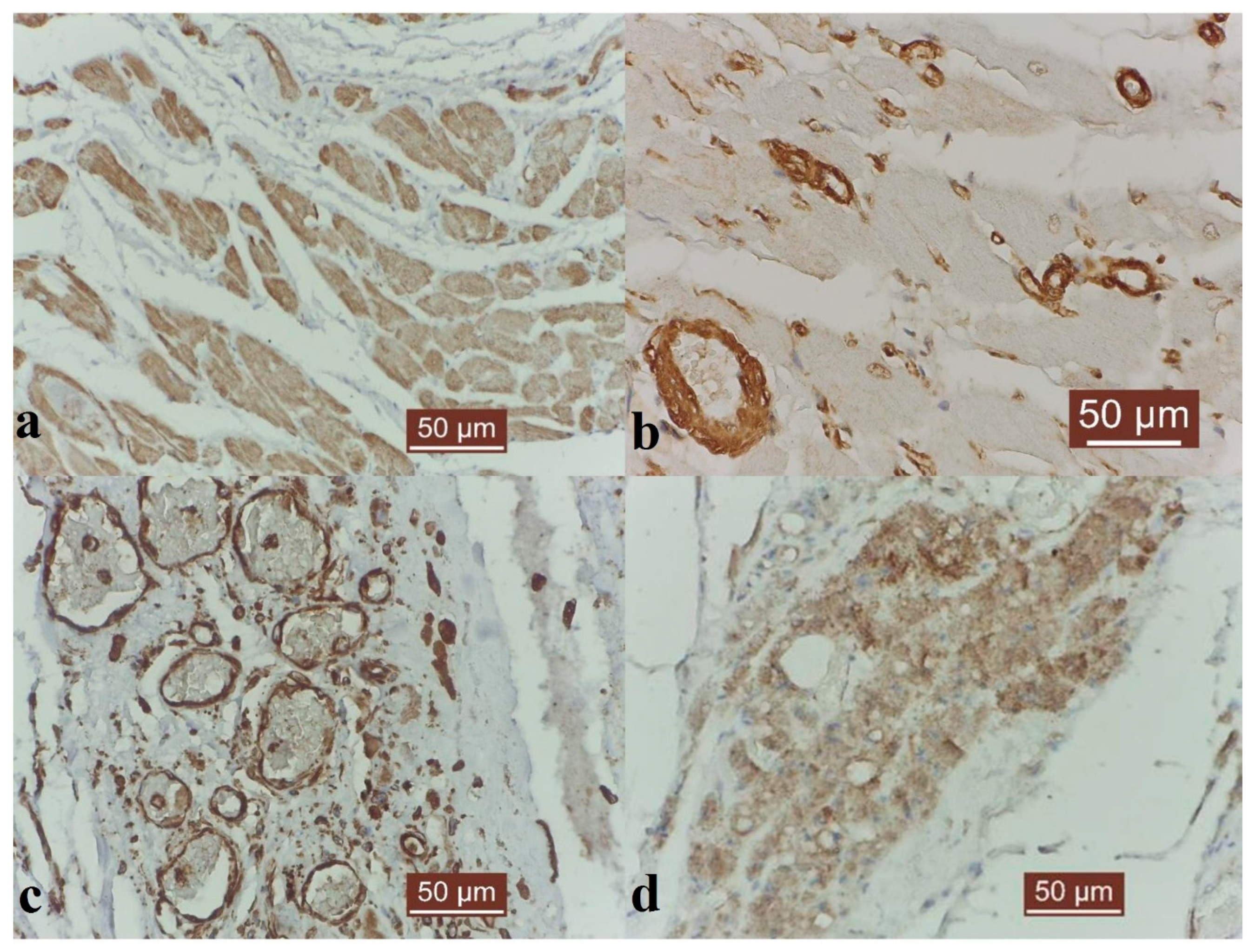
3. Results
4. Discussion
5. Conclusions
Author Contributions
Funding
Institutional Review Board Statement
Informed Consent Statement
Data Availability Statement
Acknowledgments
Conflicts of Interest
References
- Ohlow, M.A. Congenital left ventricular aneurysms and diverticula: An entity in search of an identity. J. Geriatr. Cardiol. 2017, 14, 750–762. [Google Scholar] [PubMed]
- Ho, S.Y. Anatomy and microarchitecture of the left ventricular wall in normal and in disease. Eur. J. Echocard. 2009, 10, iii3–iii7. [Google Scholar] [CrossRef]
- Ramírez-Hernández, C.; Barbosa-Quintana, A.; Ramírez-Romero, R. Left ventricular apical aneurysm in a cat with primary cardiomyopathy. Vet. Pathol. 2017, 54, 254–257. [Google Scholar] [CrossRef]
- Hughes, B.G.; Schulz, R. Targeting MMP-2 to treat ischemic heart injury. Basic Res. Cardiol. 2014, 109, 424. [Google Scholar] [CrossRef] [PubMed]
- Tsikitis, M.; Galata, Z.; Mavroidis, M.; Psarras, S.; Capetanaki, Y. Intermediate filaments in cardiomyopathy. Biophys. Rev. 2018, 10, 1007–1031. [Google Scholar] [CrossRef] [PubMed]
- Becirovic-Agic, M.; Chalise, U.; Daseke, M.J.; Konfrst, S.; Salomon, J.D.; Mishra, P.K.; Lindsey, M.L. Infarct in the heart: What’s MMP-9 got to do with it? Biomolecules 2021, 11, 491. [Google Scholar] [CrossRef]
- Baron, M.A.; Ferreira, L.R.P.; Teixeira, P.C.; Moretti, A.I.S.; Santos, R.H.B.; Frade, A.F.; Kuramoto, A.; Debbas, V.; Benvenuti, L.A.; Gaiotto, F.A.; et al. Matrix Metalloproteinase 2 and 9 enzymatic activities are selectively increased in the myocardium of chronic chagas disease cardiomyopathy patients: Role of TIMPs. Front. Cell. Infect. Microbiol. 2022, 12, 836242. [Google Scholar] [CrossRef]
- DeCoux, A.; Lindsey, M.L.; Villarreal, F.; Garcia, R.A.; Schulz, R. Myocardial matrix metalloproteinase-2: Inside out and upside down. JMCC 2014, 77, 64–72. [Google Scholar] [CrossRef]
- Yabluchanskiy, A.; Ma, Y.; Iyer, R.P.; Hall, M.E.; Lindsey, M.L. Matrix metalloproteinase-9: Many shades of function in cardiovascular disease. Physiology 2013, 28, 391–403. [Google Scholar] [CrossRef]
- Abdelli, L. TIMP-1 Activates a Unique Cardiac Stem Cell Population, cd63+ve/c-kit+ve, Thereby Enhancing Cardiac Differentiation, and Protects the Heart from Adverse Cardiac Remodeling Following Myocardial Infarction. Ph.D. Thesis, University of Central Florida, Orlando, FL, USA, 2015. Available online: https://stars.library.ucf.edu/etd/1198 (accessed on 20 October 2024).
- Pusztaszeri, M.P.; Seelentag, W.; Bosman, F.T. Immunohistochemical expression of endothelial markers CD31, CD34, von Willebrand factor, and Fli-1 in normal human tissues. JHC 2006, 54, 385–395. [Google Scholar] [CrossRef]
- Woodfin, A.; Voisin, M.B.; Nourshargh, S. PECAM-1: A multi-functional molecule in inflammation and vascular biology. ATVB 2007, 27, 2514–2523. [Google Scholar] [CrossRef] [PubMed]
- Ramos-Vara, J.A.; Miller, M.A.; Dusold, D.M. ImmunohistochemicaleExpression of CD31 (PECAM-1) in nonendothelial tumors of dogs. Vet. Pathol. 2018, 55, 402–408. [Google Scholar] [CrossRef]
- Kern, S.; Feng, H.Z.; Wei, H.; Cala, S.; Jin, J.P. Up-regulation of alpha-smooth muscle actin in cardiomyocytes from non-hypertrophic and non-failing transgenic mouse hearts expressing N-terminal truncated cardiac troponin I. FEBS Open Bio. 2014, 4, 11–17. [Google Scholar] [CrossRef] [PubMed]
- Montagnini, K.C.P.; Ferronato, A.; Smaniotto, C.; das Chagas Goulard, J.; Almagro, L.D.; de Marco Viott, A. Biventricular aneurysm in a dog. Ciência Rural 2024, 54, e20230074. [Google Scholar] [CrossRef]
- Bocaneti, F.; Altamura, G.; Corteggio, A.; Solcan, C.; Velescu, E.; Borzacchiello, G. Expression of Cyclooxygenase-2 in naturally occurring bovine cutaneous fibropapillomas. Pol. J. Vet. Sci. 2015, 18, 655–658. [Google Scholar] [CrossRef][Green Version]
- Faccin, M.; De Matos, M.R.; Cavasin, J.P.; Bochi, A.C.; Pavelski, M.; Viott, A.D.M. Bilateral auricular aneurysm with intact pericardial sac in a dog. Braz. J. Vet. Pathol. 2021, 14, 46–49. [Google Scholar] [CrossRef]
- Masson, A.V.; Maddox, T.W.; Bode, E.F.; Mortier, J.R. Clinical and diagnostic imaging findings in dogs with atrial appendage aneurysm: 7 cases (2014–2020). J. Vet. Cardiol. 2021, 35, 63–73. [Google Scholar] [CrossRef] [PubMed]
- Jandrey, K.E.; Smarick, S.D.; Burkitt, J.M.; Labelle, P.; Mohr, F.C.; Kittleson, M.D. Giant unruptured aneurysm of the left sinus of valsalva in the left ventricular outflow tract of a young dog. J. Vet. Intern. Med. 2005, 19, 602–605. [Google Scholar] [CrossRef]
- Uemura, A.; Tanaka, R.; Nakata, T.M.; Namiki, R.; Tanaka, T.; Matsuura, K.; Yoshida, T. Unruptured right sinus of valsalva aneurysm in a Maltese dog: A case report. J. Vet. Sci. 2019, 20, e20. [Google Scholar] [CrossRef]
- Thomas, W.P. Echocardiographic diagnosis of congenital membranous ventricular septal aneurysm in the dog and cat. J. Am. Anim. Hosp. Assoc. 2005, 41, 215–220. [Google Scholar] [CrossRef]
- Çolakoğlu, E.Ç.; Alihosseini, H.; Aydemir, E.; Cansiz, F.; Kalinbacak, A. Atrial septal aneurysm mimicking cor triatriatum in a Cavalier King Charles dog. Ankara Üniv. Vet. Fak. Derg. 2016, 63, 411–414. [Google Scholar] [CrossRef][Green Version]
- El Ouazzani, J.; Jandou, I. Aneurysm and pseudoaneurysm of the left ventricle. Ann. Med. Surg. 2022, 75, 103405. [Google Scholar] [CrossRef] [PubMed]
- Norton, G.R.; Woodiwiss, A.J.; Gaasch, W.H.; Mela, T.; Chung, E.S.; Aurigemma, G.P.; Meyer, T.E. Heart failure in pressure overload hypertrophy the relative roles of ventricular remodeling and myocardial dysfunction. J. Am. Coll. Cardiol. 2002, 39, 664–671. [Google Scholar] [CrossRef] [PubMed]
- Janus, I.; Nowak, M.; Madej, J.A. Pathomorphological changes of the myocardium in canine dilated cardiomyopathy (DCM). Bull. Vet. Inst. Pulawy 2015, 59, 135–142. [Google Scholar] [CrossRef]
- Shinde, A.V.; Humeres, C.; Frangogiannis, N.G. The role of α-smooth muscle actin in fibroblast-mediated matrix contraction and remodeling. Biochim. Biophys. Acta Mol. Basis Dis. 2017, 1863, 298–309. [Google Scholar] [CrossRef]
- Clément, S.; Stouffs, M.; Bettiol, E.; Kampf, S.; Krause, K.H.; Chaponnier, C.; Jaconi, M. Expression and function of α-smooth muscle actin during embryonic-stem-cell-derived cardiomyocyte differentiation. J. Cell Sci. 2007, 120, 229–238. [Google Scholar] [CrossRef] [PubMed]
- Kondo, T.; Takahashi, M.; Yamasaki, G.; Sugimoto, M.; Kuse, A.; Morichika, M.; Nakagawa, K.; Sakurada, M.; Asano, M.; Ueno, Y. Immunohistochemical analysis of vimentin expression in myocardial tissue from autopsy cases of ischemic heart disease. Legal Med. 2022, 54, 102003. [Google Scholar] [CrossRef]
- McCormick, M.E.; Collins, C.; Makarewich, C.A.; Chen, Z.; Rojas, M.; Willis, M.S.; Houser, S.R.; Tzima, E. Platelet endothelial cell adhesion molecule-1 mediates endothelial-cardiomyocyte communication and regulates cardiac function. J. Am. Heart Assoc. 2015, 4, e001210. [Google Scholar] [CrossRef]
- Wang, X.; Khalil, R.A. Matrix metalloproteinases, vascular remodeling, and vascular disease. Adv. Pharmacol. 2018, 81, 241–330. [Google Scholar] [CrossRef]
- Aupperle, H.; Thielebein, J.; Kiefer, B.; März, I.; Dinges, G.; Schoon, H.A. An immunohistochemical study of the role of matrix metalloproteinases and their tissue inhibitors in chronic mitral valvular disease (valvular endocardiosis) in dogs. Vet. J. 2009, 180, 88–94. [Google Scholar] [CrossRef]
- Nepomnyashchikh, L.M.; Lushnikova, E.L.; Bakarev, M.A.; Nikityuk, D.B.; Yuzhik, E.I.; Mzhelskaya, M.M.; Nepomnyashchikh, R.D.; Klinnikova, M.G.; Karpova, A.A. Immunohistochemical analysis of MMP-2 expression in the myocardium during the postinfarction period. Bull. Exp. Biol. Med. 2015, 159, 505–510. [Google Scholar] [CrossRef] [PubMed]
- Bellafiore, M.; Battaglia, G.; Bianco, A.; Farina, F.; Palma, A.; Paoli, A. The involvement of MMP-2 and MMP-9 in heart exercise-related angiogenesis. J. Transl. Med. 2013, 7, 283. [Google Scholar] [CrossRef] [PubMed]
- Evans, L.C.; Liu, H.; Pinkas, G.A.; Thompson, L.P. Chronic hypoxia increases peroxynitrite, MMP9 expression, and collagen accumulation in fetal guinea pig hearts. Pediatr. Res. 2012, 71, 25–31. [Google Scholar] [CrossRef] [PubMed]
- Creemers, E.E.; Davis, J.N.; Parkhurst, A.M.; Leenders, P.; Dowdy, K.B.; Hapke, E.; Hauet, A.M.; Escobar, P.G.; Cleutjens, J.P.; Smits, J.F.; et al. Deficiency of TIMP-1 exacerbates LV remodeling after myocardial infarction in mice. Am. J. Physiol. Heart Circ. Physiol. 2003, 284, H364–H371. [Google Scholar] [CrossRef]
- Mitruţ, R.; Stepan, A.E.; Mărgăritescu, C.; Andreiana, B.C.; Kesse, A.M.; Simionescu, C.E.; Militaru, C. Immunoexpression of MMP-8, MMP-9 and TIMP-2 in dilated cardiomyopathy. Rom. J. Morphol. Embryol. 2019, 60, 119–124. [Google Scholar]
- Takawale, A.; Zhang, P.; Patel, V.B.; Wang, X.; Oudit, G.; Kassiri, Z. Tissue Inhibitor of Matrix Metalloproteinase-1 Promotes Myocardial Fibrosis by Mediating CD63-Integrin β1 Interaction. Hypertension 2017, 69, 1092–1103. [Google Scholar] [CrossRef] [PubMed]




Disclaimer/Publisher’s Note: The statements, opinions and data contained in all publications are solely those of the individual author(s) and contributor(s) and not of MDPI and/or the editor(s). MDPI and/or the editor(s) disclaim responsibility for any injury to people or property resulting from any ideas, methods, instructions or products referred to in the content. |
© 2024 by the authors. Licensee MDPI, Basel, Switzerland. This article is an open access article distributed under the terms and conditions of the Creative Commons Attribution (CC BY) license (https://creativecommons.org/licenses/by/4.0/).
Share and Cite
Hritcu, O.M.; Baisan, R.A.; Pasca, A.S.; Daraban Bocaneti, F. Left Ventricular Apical Aneurysm in a Dog—A Case Report. Animals 2024, 14, 3412. https://doi.org/10.3390/ani14233412
Hritcu OM, Baisan RA, Pasca AS, Daraban Bocaneti F. Left Ventricular Apical Aneurysm in a Dog—A Case Report. Animals. 2024; 14(23):3412. https://doi.org/10.3390/ani14233412
Chicago/Turabian StyleHritcu, Ozana Maria, Radu Andrei Baisan, Aurelian Sorin Pasca, and Florentina Daraban Bocaneti. 2024. "Left Ventricular Apical Aneurysm in a Dog—A Case Report" Animals 14, no. 23: 3412. https://doi.org/10.3390/ani14233412
APA StyleHritcu, O. M., Baisan, R. A., Pasca, A. S., & Daraban Bocaneti, F. (2024). Left Ventricular Apical Aneurysm in a Dog—A Case Report. Animals, 14(23), 3412. https://doi.org/10.3390/ani14233412

