The Accessory Olfactory Bulb in Arvicola scherman: A Neuroanatomical Study in a Subterranean Mammal
Simple Summary
Abstract
1. Introduction
2. Materials and Methods
2.1. Specimen Collection
2.2. Olfactory Bulb Extraction
2.3. Processing of Samples for Microscopic Study
2.3.1. Paraffin Embedding
2.3.2. Sectioning
2.4. General Histological Staining
2.5. Immunohistochemical Staining
2.6. Lectin Histochemical Labelling
2.7. Image Acquisition
3. Results
3.1. Macroscopic Study
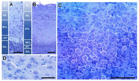
3.2. Histological Study
3.3. Lectin Histochemical Study
3.4. Immunohistochemical Study
4. Discussion
4.1. Histological Study
4.2. Lectin Histochemical Study
4.3. Immunohistochemical Study
5. Conclusions
Author Contributions
Funding
Institutional Review Board Statement
Informed Consent Statement
Data Availability Statement
Acknowledgments
Conflicts of Interest
References
- Bembibre, C.; Strlič, M. From Smelly Buildings to the Scented Past: An Overview of Olfactory Heritage. Front. Psychol. 2022, 12, 718287. [Google Scholar] [CrossRef] [PubMed]
- Menini, A. (Ed.) The Neurobiology of Olfaction; Frontiers in Neuroscience; CRC Press: Boca Raton, FL, USA; Taylor & Francis: Boca Raton, FL, USA, 2010; ISBN 978-1-4200-7197-9. [Google Scholar]
- Barrios, A.W.; Sanchez Quinteiro, P.; Salazar, I. The Nasal Cavity of the Sheep and Its Olfactory Sensory Epithelium. Microsc. Res. Tech. 2014, 77, 1052–1059. [Google Scholar] [CrossRef] [PubMed]
- Salazar, I.; Barrios, A.W.; Sánchez-Quinteiro, P. Revisiting the Vomeronasal System From an Integrated Perspective. Anat. Rec. 2016, 299, 1488–1491. [Google Scholar] [CrossRef] [PubMed]
- Halpern, M.; Martínez-Marcos, A. Structure and Function of the Vomeronasal System: An Update. Prog. Neurobiol. 2003, 70, 245–318. [Google Scholar] [CrossRef]
- Yohe, L.R.; Krell, N.T. An Updated Synthesis of and Outstanding Questions in the Olfactory and Vomeronasal Systems in Bats: Genetics Asks Questions Only Anatomy Can Answer. Anat. Rec. 2023, 306, ar.25290. [Google Scholar] [CrossRef]
- Ortiz-Leal, I.; Torres, M.V.; Villamayor, P.R.; López-Beceiro, A.; Sanchez-Quinteiro, P. The Vomeronasal Organ of Wild Canids: The Fox (Vulpes vulpes) as a Model. J. Anat. 2020, 237, 890–906. [Google Scholar] [CrossRef]
- Scott, K. Sex and the MHC. Dev. Cell 2003, 4, 290–291. [Google Scholar] [CrossRef]
- Overath, P.; Sturm, T.; Rammensee, H.-G. Of Volatiles and Peptides: In Search for MHC-Dependent Olfactory Signals in Social Communication. Cell. Mol. Life Sci. 2014, 71, 2429–2442. [Google Scholar] [CrossRef][Green Version]
- Keverne, E.B. The Vomeronasal Organ. Science 1999, 286, 716–720. [Google Scholar] [CrossRef]
- Kondoh, D.; Kawai, Y.K.; Watanabe, K.; Muranishi, Y. Artiodactyl Livestock Species Have a Uniform Vomeronasal System with a Vomeronasal Type 1 Receptor (V1R) Pathway. Tissue Cell 2022, 77, 101863. [Google Scholar] [CrossRef]
- Dulac, C.; Axel, R. A Novel Family of Genes Encoding Putative Pheromone Receptors in Mammals. Cell 1995, 83, 195–206. [Google Scholar] [CrossRef] [PubMed]
- Ryba, N.J.P.; Tirindelli, R. A New Multigene Family of Putative Pheromone Receptors. Neuron 1997, 19, 371–379. [Google Scholar] [CrossRef] [PubMed]
- Boillat, M.; Carleton, A.; Rodriguez, I. From Immune to Olfactory Expression: Neofunctionalization of Formyl Peptide Receptors. Cell Tissue Res. 2021, 383, 387–393. [Google Scholar] [CrossRef] [PubMed]
- Schröder, H.; Moser, N.; Huggenberger, S. The Mouse Olfactory System. In Neuroanatomy of the Mouse: An Introduction; Schröder, H., Moser, N., Huggenberger, S., Eds.; Springer International Publishing: Cham, Switzerland, 2020; pp. 319–331. ISBN 978-3-030-19898-5. [Google Scholar]
- Torres, M.V.; Ortiz-Leal, I.; Villamayor, P.R.; Ferreiro, A.; Rois, J.L.; Sanchez-Quinteiro, P. Does a Third Intermediate Model for the Vomeronasal Processing of Information Exist? Insights from the Macropodid Neuroanatomy. Brain Struct. Funct. 2022, 227, 881–899. [Google Scholar] [CrossRef]
- Meisami, E.; Bhatnagar, K.P. Structure and Diversity in Mammalian Accessory Olfactory Bulb. Microsc. Res. Tech. 1998, 43, 476–499. [Google Scholar] [CrossRef]
- Winans, S.S.; Scalia, F. Amygdaloid Nucleus: New Afferent Input from the Vomeronasal Organ. Science 1970, 170, 330–332. [Google Scholar] [CrossRef]
- Scalia, F.; Winans, S.S. The Differential Projections of the Olfactory Bulb and Accessory Olfactory Bulb in Mammals. J. Comp. Neurol. 1975, 161, 31–55. [Google Scholar] [CrossRef]
- Holy, T.E. The Accessory Olfactory System: Innately Specialized or Microcosm of Mammalian Circuitry? Annu. Rev. Neurosci. 2018, 41, 501–525. [Google Scholar] [CrossRef]
- Zimmerman, A.D.; Munger, S.D. Olfactory Subsystems Associated with the Necklace Glomeruli in Rodents. Cell Tissue Res. 2021, 383, 549–557. [Google Scholar] [CrossRef]
- Switzer, R.C., III; Johnson, J.I.; Kirsch, J.A.W. Phylogeny Through Brain Traits. Brain Behav. Evol. 1980, 17, 339–363. [Google Scholar] [CrossRef]
- Fernández-Aburto, P.; Delgado, S.E.; Sobrero, R.; Mpodozis, J. Can Social Behaviour Drive Accessory Olfactory Bulb Asymmetries? Sister Species of Caviomorph Rodents as a Case in Point. J. Anat. 2020, 236, 612–621. [Google Scholar] [CrossRef] [PubMed]
- Nakajima, T.; Sakaue, M.; Kato, M.; Saito, S.; Ogawa, K.; Taniguchi, K. Immunohistochemical and Enzyme-Histochemical Study on the Accessory Olfactory Bulb of the Dog. Anat. Rec. 1998, 252, 393–402. [Google Scholar] [CrossRef]
- Kelliher, K.R.; Baum, M.J.; Meredith, M. The Ferret’s Vomeronasal Organ and Accessory Olfactory Bulb: Effect of Hormone Manipulation in Adult Males and Females. Anat. Rec. 2001, 263, 280–288. [Google Scholar] [CrossRef]
- Chuah, M.I.; Zheng, D.R. Olfactory Marker Protein Is Present in Olfactory Receptor Cells of Human Fetuses. Neuroscience 1987, 23, 363–370. [Google Scholar] [CrossRef]
- Mucignat, C. High-Resolution Magnetic Resonance Spectroscopy of the Mouse Vomeronasal Organ. Chem. Senses 2004, 29, 693–696. [Google Scholar] [CrossRef]
- Schneider, N.Y.; Fletcher, T.P.; Shaw, G.; Renfree, M.B. Goα Expression in the Vomeronasal Organ and Olfactory Bulb of the Tammar Wallaby. Chem. Senses 2012, 37, 567–577. [Google Scholar] [CrossRef][Green Version]
- Villamayor, P.R.; Cifuentes, J.M.; Quintela, L.; Barcia, R.; Sanchez-Quinteiro, P. Structural, Morphometric and Immunohistochemical Study of the Rabbit Accessory Olfactory Bulb. Brain Struct. Funct. 2020, 225, 203–226. [Google Scholar] [CrossRef]
- Frahm, H.D.; Bhatnagar, K.P. Comparative Morphology of the Accessory Olfactory Bulb in Bats. J. Anat. 1980, 130, 349–365. [Google Scholar]
- Chengetanai, S.; Bhagwandin, A.; Bertelsen, M.F.; Hård, T.; Hof, P.R.; Spocter, M.A.; Manger, P.R. The Brain of the African Wild Dog. II. The Olfactory System. J. Comp. Neurol. 2020, 528, 3285–3304. [Google Scholar] [CrossRef]
- Ortiz-Leal, I.; Torres, M.V.; Barreiro-Vázquez, J.; López-Beceiro, A.; Fidalgo, L.; Shin, T.; Sanchez-Quinteiro, P. The Vomeronasal System of the Wolf (Canis lupus signatus): The Singularities of a Wild Canid. J. Anat. 2024, 245, 109–136. [Google Scholar] [CrossRef]
- Larriva-Sahd, J. The Accessory Olfactory Bulb in the Adult Rat: A Cytological Study of Its Cell Types, Neuropil, Neuronal Modules, and Interactions with the Main Olfactory System. J. Comp. Neurol. 2008, 510, 309–350. [Google Scholar] [CrossRef] [PubMed]
- Martín-López, E.; Corona, R.; López-Mascaraque, L. Postnatal Characterization of Cells in the Accessory Olfactory Bulb of Wild Type and Reeler Mice. Front. Neuroanat. 2012, 6, 25421. [Google Scholar] [CrossRef] [PubMed]
- Suárez, R.; Santibáñez, R.; Parra, D.; Coppi, A.A.; Abrahão, L.M.B.; Sasahara, T.H.C.; Mpodozis, J. Shared and Differential Traits in the Accessory Olfactory Bulb of Caviomorph Rodents with Particular Reference to the Semiaquatic Capybara: The AOB of Capybaras and Other Caviomorphs. J. Anat. 2011, 218, 558–565. [Google Scholar] [CrossRef] [PubMed]
- Torres, M.V.; Ortiz-Leal, I.; Villamayor, P.R.; Ferreiro, A.; Rois, J.L.; Sanchez-Quinteiro, P. The Vomeronasal System of the Newborn Capybara: A Morphological and Immunohistochemical Study. Sci. Rep. 2020, 10, 13304. [Google Scholar] [CrossRef]
- Suárez, R.; Mpodozis, J. Heterogeneities of Size and Sexual Dimorphism between the Subdomains of the Lateral-Innervated Accessory Olfactory Bulb (AOB) of Octodon degus (Rodentia: Hystricognathi). Behav. Brain Res. 2009, 198, 306–312. [Google Scholar] [CrossRef]
- Suárez, R.; Fernández-Aburto, P.; Manger, P.R.; Mpodozis, J. Deterioration of the Gαo Vomeronasal Pathway in Sexually Dimorphic Mammals. PLoS ONE 2011, 6, e26436. [Google Scholar] [CrossRef]
- Tomiyasu, J.; Korzekwa, A.; Kawai, Y.K.; Robstad, C.A.; Rosell, F.; Kondoh, D. The Vomeronasal System in Semiaquatic Beavers. J. Anat. 2022, 241, 809–819. [Google Scholar] [CrossRef]
- Balmori-de La Puente, A.; Ventura, J.; Miñarro, M.; Somoano, A.; Hey, J.; Castresana, J. Divergence Time Estimation Using ddRAD Data and an Isolation-with-Migration Model Applied to Water Vole Populations of Arvicola. Sci. Rep. 2022, 12, 4065. [Google Scholar] [CrossRef]
- Ruiz-Rubio, S.; Ortiz-Leal, I.; Torres, M.V.; Somoano, A.; Sanchez-Quinteiro, P. Do Fossorial Water Voles Have a Functional Vomeronasal Organ? A Histological and Immunohistochemical Study. Anat. Rec. 2024, 307, 2912–2932. [Google Scholar] [CrossRef]
- Taniguchi, K.; Nii, Y.; Ogawa, K. Subdivisions of the Accessory Olfactory Bulb, as Demonstrated by Lectin-Histochemistry in the Golden Hamster. Neurosci. Lett. 1993, 158, 185–188. [Google Scholar] [CrossRef]
- Nakajima, T.; Okamura, M.; Ogawa, K.; Taniguchi, K. Immunohistochemical and Enzyme Histochemical Characteristics of Short Axon Cells in the Olfactory Bulb of the Golden Hamster. J. Vet. Med. Sci. 1996, 58, 903–908. [Google Scholar] [CrossRef] [PubMed][Green Version]
- Saito, S.; Nii, Y.; Taniguchi, K. Heterogeneous Expression of Glycoconjugates among Individual Glomeruli of the Hamster Main Olfactory Bulb. Chem. Senses 1999, 24, 509–515. [Google Scholar] [CrossRef] [PubMed][Green Version]
- Airoldi, J.P. Le Terrier de La Forme Fouisseuse Du Campagnol Terrestre, Arvicola Terrestris Scherman Shaw (Mammalia, Rodentia). Z. Säugetierkd. 1976, 41, 23–42. [Google Scholar]
- Dennis, J.C.; Stilwell, N.K.; Smith, T.D.; Park, T.J.; Bhatnagar, K.P.; Morrison, E.E. Is the Mole Rat Vomeronasal Organ Functional? Anat. Rec. 2020, 303, 318–329. [Google Scholar] [CrossRef] [PubMed]
- Somoano, A. The Role of the Montane Water Vole (Arvicola Scherman) as a Crop Pest in NW Spain: Since When? Galemys 2020, 32, 61–63. [Google Scholar] [CrossRef]
- Giraudoux, P.; Charbonell, N.; Deter, J.; Chaval, Y.; Cosson, J.F.; Raoul, F. Maladies Transmissibles à l’homme. In Le Campagnol Terrestre. Prévention et Contrôle des Populations; Éditions Quæ: Versailles, France, 2009; pp. 101–110. [Google Scholar]
- Espí, A.; Del Cerro, A.; Somoano, A.; García, V.; Prieto, J.M.; Barandika, J.F.; García-Pérez, A.L. Borrelia Burgdorferi Sensu Lato Prevalence and Diversity in Ticks and Small Mammals in a Lyme Borreliosis Endemic Nature Reserve in North-Western Spain. Incidence in Surrounding Human Populations. Enfermedades Infecc. Y Microbiol. Clín. 2017, 35, 563–568. [Google Scholar] [CrossRef]
- Fuehrer, H.-P.; Blöschl, I.; Siehs, C.; Hassl, A. Detection of Toxoplasma Gondii, Neospora Caninum, and Encephalitozoon Cuniculi in the Brains of Common Voles (Microtus arvalis) and Water Voles (Arvicola terrestris) by Gene Amplification Techniques in Western Austria (Vorarlberg). Parasitol. Res. 2010, 107, 469–473. [Google Scholar] [CrossRef]
- Robardet, E.; Giraudoux, P.; Caillot, C.; Augot, D.; Boue, F.; Barrat, J. Fox Defecation Behaviour in Relation to Spatial Distribution of Voles in an Urbanised Area: An Increasing Risk of Transmission of Echinococcus Multilocularis? Int. J. Parasitol. 2011, 41, 145–154. [Google Scholar] [CrossRef]
- Sbarbati, A.; Osculati, F. Allelochemical Communication in Vertebrates: Kairomones, Allomones and Synomones. Cells Tissues Organs 2006, 183, 206–219. [Google Scholar] [CrossRef]
- Fortes-Marco, L.; Lanuza, E.; Martinez-Garcia, F. Of Pheromones and Kairomones: What Receptors Mediate Innate Emotional Responses?: Pheromones and Kairomones. Anat. Rec. 2013, 296, 1346–1363. [Google Scholar] [CrossRef]
- Dielenberg, R.A.; McGregor, I.S. Defensive Behavior in Rats towards Predatory Odors: A Review. Neurosci. Biobehav. Rev. 2001, 25, 597–609. [Google Scholar] [CrossRef] [PubMed]
- Horii, Y.; Nikaido, Y.; Nagai, K.; Nakashima, T. Exposure to TMT Odor Affects Adrenal Sympathetic Nerve Activity and Behavioral Consequences in Rats. Behav. Brain Res. 2010, 214, 317–322. [Google Scholar] [CrossRef] [PubMed]
- Takahashi, L.K. Olfactory Systems and Neural Circuits That Modulate Predator Odor Fear. Front. Behav. Neurosci. 2014, 8, 72. [Google Scholar] [CrossRef]
- Apfelbach, R.; Blanchard, C.D.; Blanchard, R.J.; Hayes, R.A.; McGregor, I.S. The Effects of Predator Odors in Mammalian Prey Species: A Review of Field and Laboratory Studies. Neurosci. Biobehav. Rev. 2005, 29, 1123–1144. [Google Scholar] [CrossRef]
- Papes, F.; Logan, D.W.; Stowers, L. The Vomeronasal Organ Mediates Interspecies Defensive Behaviors through Detection of Protein Pheromone Homologs. Cell 2010, 141, 692–703. [Google Scholar] [CrossRef]
- Poissenot, K.; Trouillet, A.-C.; Trives, E.; Moussu, C.; Chesneau, D.; Meunier, M.; Lattard, V.; Chorfa, A.; Saez, F.; Drevet, J.; et al. Sexual Discrimination and Attraction through Scents in the Water Vole, Arvicola Terrestris. J. Comp. Physiol. A 2023. [Google Scholar] [CrossRef]
- Poissenot, K.; Porte, C.; Chesneau, D.; Keller, M. Exploration of Olfactory Communication in the Water Vole, Arvicola Terrestris. In Chemical Signals in Vertebrates 15; Schaal, B., Rekow, D., Keller, M., Damon, F., Eds.; Springer International Publishing: Cham, Switzerland, 2023; pp. 153–163. ISBN 978-3-031-35158-7. [Google Scholar]
- Nagnan-Le Meillour, P.; Descamps, A.; Le Danvic, C.; Grandmougin, M.; Saliou, J.-M.; Klopp, C.; Milhes, M.; Bompard, C.; Chesneau, D.; Poissenot, K.; et al. Identification of Potential Chemosignals in the European Water Vole Arvicola Terrestris. Sci. Rep. 2019, 9, 18378. [Google Scholar] [CrossRef]
- Torres, M.V.; Ortiz-Leal, I.; Ferreiro, A.; Rois, J.L.; Sanchez-Quinteiro, P. Neuroanatomical and Immunohistological Study of the Main and Accessory Olfactory Bulbs of the Meerkat (Suricata suricatta). Animals 2021, 12, 91. [Google Scholar] [CrossRef]
- Shinohara, H.; Asano, T.; Kato, K. Differential Localization of G-Proteins Gi and Go in the Accessory Olfactory Bulb of the Rat. J. Neurosci. 1992, 12, 1275–1279. [Google Scholar] [CrossRef]
- Matsunami, H.; Buck, L.B. A Multigene Family Encoding a Diverse Array of Putative Pheromone Receptors in Mammals. Cell 1997, 90, 775–784. [Google Scholar] [CrossRef]
- Johnson, G.; Jope, R. The Role of Microtubule-Associated Protein 2 (MAP-2) in Neuronal Growth, Plasticity, and Degeneration. J. Neurosci. Res. 1992, 33, 505–512. [Google Scholar] [CrossRef] [PubMed]
- Lee, V.M.; Otvos, L.; Carden, M.J.; Hollosi, M.; Dietzschold, B.; Lazzarini, R.A. Identification of the Major Multiphosphorylation Site in Mammalian Neurofilaments. Proc. Natl. Acad. Sci. USA 1988, 85, 1998–2002. [Google Scholar] [CrossRef] [PubMed]
- Verhaagen, J.; Oestreicher, A.; Gispen, W.; Margolis, F. The Expression of the Growth Associated Protein B50/GAP43 in the Olfactory System of Neonatal and Adult Rats. J. Neurosci. 1989, 9, 683–691. [Google Scholar] [CrossRef] [PubMed]
- Smithson, L.J.; Kawaja, M.D. A Comparative Examination of Biomarkers for Olfactory Ensheathing Cells in Cats and Guinea Pigs. Brain Res. 2009, 1284, 41–53. [Google Scholar] [CrossRef] [PubMed]
- Taniguchi, K.; Harumi, S.; Okamura, M.; Ogawa, K. Immunohistochemical Demonstration of Protein Gene Product 9.5 (PGP 9.5) in the Primary Olfactory System of the Rat. Neurosci. Lett. 1993, 156, 24–26. [Google Scholar] [CrossRef]
- Wagner, L.; Oliyarnyk, O.; Gartner, W.; Nowotny, P.; Groeger, M.; Kaserer, K.; Waldhäusl, W.; Pasternack, M.S. Cloning and Expression of Secretagogin, a Novel Neuroendocrine- and Pancreatic Islet of Langerhans-Specific Ca2+-Binding Protein. J. Biol. Chem. 2000, 275, 24740–24751. [Google Scholar] [CrossRef]
- Ortiz-Leal, I.; Torres, M.V.; López-Callejo, L.N.; Fidalgo, L.E.; López-Beceiro, A.; Sanchez-Quinteiro, P. Comparative Neuroanatomical Study of the Main Olfactory Bulb in Domestic and Wild Canids: Dog, Wolf and Red Fox. Animals 2022, 12, 1079. [Google Scholar] [CrossRef]
- Brown, J.P.; Couillard-Després, S.; Cooper-Kuhn, C.M.; Winkler, J.; Aigner, L.; Kuhn, H.G. Transient Expression of Doublecortin during Adult Neurogenesis. J. Comp. Neurol. 2003, 467, 1–10. [Google Scholar] [CrossRef]
- Lis, H.; Sharon, N. Lectins: Carbohydrate-Specific Proteins That Mediate Cellular Recognition. Chem. Rev. 1998, 98, 637–674. [Google Scholar] [CrossRef]
- Shin, T.; Kim, J.; Choi, Y.; Ahn, M. Glycan Diversity in the Vomeronasal Organ of the Korean Roe Deer, Capreolus Pygargus: A Lectin Histochemical Study. Acta Histochem. 2017, 119, 778–785. [Google Scholar] [CrossRef]
- Kondoh, D.; Kamikawa, A.; Sasaki, M.; Kitamura, N. Localization of A1-2 Fucose Glycan in the Mouse Olfactory Pathway. Cells Tissues Organs 2017, 203, 20–28. [Google Scholar] [CrossRef] [PubMed]
- Ortiz-Leal, I.; Torres, M.V.; Villamayor, P.R.; Fidalgo, L.E.; López-Beceiro, A.; Sanchez-Quinteiro, P. Can Domestication Shape Canidae Brain Morphology? The Accessory Olfactory Bulb of the Red Fox as a Case in Point. Ann. Anat. 2022, 240, 151881. [Google Scholar] [CrossRef] [PubMed]
- Franceschini, V.; Lazzari, M.; Revoltella, R.P.; Ciani, F. Histochemical Study by Lectin Binding of Surface Glycoconjugates in the Developing Olfactory System of Rat. Int. J. Dev. Neurosci. 1994, 12, 197–206. [Google Scholar] [CrossRef] [PubMed]
- Keller, L.-A.; Niedermeier, S.; Claassen, L.; Popp, A. Comparative Lectin Histochemistry on the Murine Respiratory Tract and Primary Olfactory Pathway Using a Fully Automated Staining Procedure. Acta Histochem. 2022, 124, 151877. [Google Scholar] [CrossRef] [PubMed]
- Tomiyasu, J.; Kondoh, D.; Sakamoto, H.; Matsumoto, N.; Haneda, S.; Matsui, M. Lectin Histochemical Studies on the Olfactory Gland and Two Types of Gland in Vomeronasal Organ of the Brown Bear. Acta Histochem. 2018, 120, 566–571. [Google Scholar] [CrossRef]
- Ichikawa, M.; Osada, T.; Ikai, A. Bandeiraea Simplicifolia Lectin I and Vicia Villosa Agglutinin Bind Specifically to the Vomeronasal Axons in the Accessory Olfactory Bulb of the Rat. Neurosci. Res. 1992, 13, 73–79. [Google Scholar] [CrossRef]
- Takami, S.; Graziadei, P.P.C.; Ichikawa, M. The Differential Staining Patterns of Two Lectins in the Accessory Olfactory Bulb of the Rat. Brain Res. 1992, 598, 337–342. [Google Scholar] [CrossRef]
- Salazar, I.; Sánchez Quinteiro, P. Differential Development of Binding Sites for Four Lectins in the Vomeronasal System of Juvenile Mouse: From the Sensory Transduction Site to the First Relay Stage. Brain Res. 2003, 979, 15–26. [Google Scholar] [CrossRef]
- Chun, J.; Kang, T.; Seo, J.-P.; Jeong, H.; Kim, M.; Kim, B.S.; Ahn, M.; Kim, J.; Shin, T. Glycoconjugate-Specific Developmental Changes in the Horse Vomeronasal Organ. Cells Tissues Organs 2023, 213, 147–160. [Google Scholar] [CrossRef]
- Lee, K.-H.; Park, C.; Kim, J.; Moon, C.; Ahn, M.; Shin, T. Histological and Lectin Histochemical Studies of the Vomeronasal Organ of Horses. Tissue Cell 2016, 48, 361–369. [Google Scholar] [CrossRef]
- Torres, M.V.; Ortiz-Leal, I.; Ferreiro, A.; Rois, J.L.; Sanchez-Quinteiro, P. Immunohistological study of the unexplored vomeronasal organ of an endangered mammal, the dama gazelle (Nanger dama). Microsc. Res. Tech. 2023, 86, 1206–1233. [Google Scholar] [CrossRef] [PubMed]
- Hofmann, M.H.; Meyer, D.L. Functional Subdivisions of the Olfactory System Correlate with Lectin-Binding Properties inXenopus. Brain Res. 1991, 564, 344–347. [Google Scholar] [CrossRef] [PubMed]
- Salazar, I.; Sanchez-Quinteiro, P.; Lombardero, M.; Cifuentes, J.M. A Descriptive and Comparative Lectin Histochemical Study of the Vomeronasal System in Pigs and Sheep. J. Anat. 2000, 196, 15–22. [Google Scholar] [CrossRef] [PubMed]
- Mogi, K.; Sakurai, K.; Ichimaru, T.; Ohkura, S.; Mori, Y.; Okamura, H. Structure and Chemical Organization of the Accessory Olfactory Bulb in the Goat. Anat. Rec. 2007, 290, 301–310. [Google Scholar] [CrossRef] [PubMed]
- Brennan, P.A. The Vomeronasal System. Cell. Mol. Life Sci. 2001, 58, 546–555. [Google Scholar] [CrossRef]
- Ennis, M.; Holy, T.E. Anatomy and Neurobiology of the Main and Accessory Olfactory Bulbs. In Handbook of Olfaction and Gustation; Doty, R.L., Ed.; John Wiley & Sons, Inc.: Hoboken, NJ, USA, 2015; pp. 157–182. ISBN 978-1-118-97175-8. [Google Scholar]
- Johnson, M.C.; Biju, K.C.; Hoffman, J.; Fadool, D.A. Odor Enrichment Sculpts the Abundance of Olfactory Bulb Mitral Cells. Neurosci. Lett. 2013, 541, 173–178. [Google Scholar] [CrossRef]
- Vyas, A.; Kim, S.-K.; Sapolsky, R.M. The Effects of Toxoplasma Infection on Rodent Behavior Are Dependent on Dose of the Stimulus. Neuroscience 2007, 148, 342–348. [Google Scholar] [CrossRef]
- Park, C.; Ahn, M.; Lee, J.-Y.; Lee, S.; Yun, Y.; Lim, Y.-K.; Taniguchi, K.; Shin, T. A Morphological Study of the Vomeronasal Organ and the Accessory Olfactory Bulb in the Korean Roe Deer, Capreolus Pygargus. Acta Histochem. 2014, 116, 258–264. [Google Scholar] [CrossRef]
- Jia, C.; Halpern, M. Subclasses of Vomeronasal Receptor Neurons: Differential Expression of G Proteins (Giα2 and Goα) and Segregated Projections to the Accessory Olfactory Bulb. Brain Res. 1996, 719, 117–128. [Google Scholar] [CrossRef]
- Sugai, T.; Sugitani, M.; Onoda, N. Subdivisions of the Guinea-Pig Accessory Olfactory Bulb Revealed by the Combined Method with Immunohistochemistry, Electrophysiological, and Optical Recordings. Neuroscience 1997, 79, 871–885. [Google Scholar] [CrossRef]
- Salazar, I.; Sanchez-Quinteiro, P.; Lombardero, M.; Cifuentes, J.M. Histochemical Identification of Carbohydrate Moieties in the Accessory Olfactory Bulb of the Mouse Using a Panel of Lectins. Chem. Senses 2001, 26, 645–652. [Google Scholar] [CrossRef] [PubMed]
- Salazar, I.; Sánchez Quinteiro, P. Lectin Binding Patterns in the Vomeronasal Organ and Accessory Olfactory Bulb of the Rat. Anat. Embryol. 1998, 198, 331–339. [Google Scholar] [CrossRef] [PubMed]
- Lipscomb, B.; Treloar, H.; Greer, C. Cell Surface Carbohydrates Reveal Heterogeneity in Olfactory Receptor Cell Axons in the Mouse. Cell Tissue Res. 2002, 308, 7–17. [Google Scholar] [CrossRef] [PubMed]
- Barber, P.C. Ulex Europeus Agglutinin I Binds Exclusively to Primary Olfactory Neurons in the Rat Nervous System. Neuroscience 1989, 30, 1–9. [Google Scholar] [CrossRef]
- Shapiro, L.S.; Halpern, M.; Ee, P.-L. Lectin Histochemical Identification of Carbohydrate Moieties in Opossum Chemosensory Systems during Development, with Special Emphasis on VVA-Identified Subdivisions in the Accessory Olfactory Bulb. J. Morphol. 1995, 224, 331–349. [Google Scholar] [CrossRef]
- Kondoh, D.; Yamamoto, Y.; Nakamuta, N.; Taniguchi, K.; Taniguchi, K. Lectin Histochemical Studies on the Olfactory Epithelium and Vomeronasal Organ in the Japanese Striped Snake, Elaphe Quadrivirgata. J. Morphol. 2010, 271, 1197–1203. [Google Scholar] [CrossRef]
- Chatham, J.C.; Zhang, J.; Wende, A.R. Role of O-Linked N-Acetylglucosamine Protein Modification in Cellular (Patho)Physiology. Physiol. Rev. 2020, 101, 427. [Google Scholar] [CrossRef]
- Uhlen, M.; Oksvold, P.; Fagerberg, L.; Lundberg, E.; Jonasson, K.; Forsberg, M.; Zwahlen, M.; Kampf, C.; Wester, K.; Hober, S.; et al. Towards a Knowledge-Based Human Protein Atlas. Nat. Biotechnol. 2010, 28, 1248–1250. [Google Scholar] [CrossRef]
- Matsuoka, M.; Yoshida-Matsuoka, J.; Iwasaki, N.; Norita, M.; Costanzo, R.M.; Ichikawa, M. Immunocytochemical Study of Gi2α and Goα on the Epithelium Surface of the Rat Vomeronasal Organ. Chem. Senses 2001, 26, 161–166. [Google Scholar] [CrossRef][Green Version]
- Perez-Gomez, A.; Stein, B.; Leinders-Zufall, T.; Chamero, P. Signaling Mechanisms and Behavioral Function of the Mouse Basal Vomeronasal Neuroepithelium. Front. Neuroanat. 2014, 8, 135. [Google Scholar] [CrossRef]
- Jacobowitz, D.M.; Winsky, L. Immunocytochemical Localization of Calretinin in the Forebrain of the Rat. J. Comp. Neurol. 1991, 304, 198–218. [Google Scholar] [CrossRef] [PubMed]
- Porteros, A.; Arévalo, R.; Crespo, C.; García-Ojeda, E.; Briñón, J.G.; Aijón, J.; Alonso, J.R. Calbindin D-28k Immunoreactivity in the Rat Accessory Olfactory Bulb. Brain Res. 1995, 689, 93–100. [Google Scholar] [CrossRef] [PubMed][Green Version]
- Jia, C.; Halpern, M. Calbindin D28K Immunoreactive Neurons in Vomeronasal Organ and Their Projections to the Accessory Olfactory Bulb in the Rat. Brain Res. 2003, 977, 261–269. [Google Scholar] [CrossRef] [PubMed]
- Jia, C.; Halpern, M. Calbindin D28k, Parvalbumin, and Calretinin Immunoreactivity in the Main and Accessory Olfactory Bulbs of the Gray Short-Tailed Opossum,Monodelphis Domestica. J. Morphol. 2004, 259, 271–280. [Google Scholar] [CrossRef] [PubMed]
- Larriva-Sahd, J. Cytological Organization of the Alpha Component of the Anterior Olfactory Nucleus and Olfactory Limbus. Front. Neuroanat. 2012, 6, 30295. [Google Scholar] [CrossRef]
- Ramón y Cajal, S.R. Textura Del Lobulo Olfativo Accesorio. Rev. Micros. 1902, 1, 141–150. [Google Scholar]
- Young, M.W. The Nuclear Pattern and Fiber Connections of the Non-cortical Centers of the Telencephalon of the Rabbit (Lepus cuniculus). J. Comp. Neurol. 1936, 65, 295–401. [Google Scholar] [CrossRef]
- Valverde, F.; López-Mascaraque, L.; De Carlos, J.A. Structure of the Nucleus Olfactorius Anterior of the Hedgehog (Erinaceus europaeus). J. Comp. Neurol. 1989, 279, 581–600. [Google Scholar] [CrossRef]
- Dehmelt, L.; Halpain, S. The MAP2/Tau Family of Microtubule-Associated Proteins. Genome Biol. 2005, 6, 204. [Google Scholar] [CrossRef]
- Bernhardt, R.; Matus, A. Light and Electron Microscopic Studies of the Distribution of Microtubule-Associated Protein 2 in Rat Brain: A Difference between Dendritic and Axonal Cytoskeletons. J. Comp. Neurol. 1984, 226, 203–221. [Google Scholar] [CrossRef]
- Salazar, I.; Sanchez-Quinteiro, P.; Cifuentes, J.M.; De Troconiz, P.F. General Organization of the Perinatal and Adult Accessory Olfactory Bulb in Mice. Anat. Rec. 2006, 288A, 1009–1025. [Google Scholar] [CrossRef] [PubMed]
- Ramakers, G.J.A.; Verhaagen, J.; Oestreicher, A.B.; Margolis, F.L.; Van Bergen En Henegouwen, P.M.P.; Gispen, W.H. Immunolocalization of B-50 (GAP-43) in the Mouse Olfactory Bulb: Predominant Presence in Preterminal Axons. J. Neurocytol. 1992, 21, 853–869. [Google Scholar] [CrossRef] [PubMed]
- Benowitz, L.I.; Routtenberg, A. GAP-43: An Intrinsic Determinant of Neuronal Development and Plasticity. Trends Neurosci. 1997, 20, 84–91. [Google Scholar] [CrossRef] [PubMed]
- Fanjul, M.S.; Zenuto, R.R.; Busch, C. Use of Olfaction for Sexual Recognition in the Subterranean rodentCtenomys Talarum. Acta Theriol. 2003, 48, 35–46. [Google Scholar] [CrossRef]
- Rodewald, A.; Gisder, D.; Gebhart, V.M.; Oehring, H.; Jirikowski, G.F. Distribution of Olfactory Marker Protein in the Rat Vomeronasal Organ. J. Chem. Neuroanat. 2016, 77, 19–23. [Google Scholar] [CrossRef]
- Nakamura, Y.; Miwa, T.; Shiga, H.; Sakata, H.; Shigeta, D.; Hatta, T. Histological Changes in the Olfactory Bulb and Rostral Migratory Stream Due to Interruption of Olfactory Input. Auris Nasus Larynx 2024, 51, 517–524. [Google Scholar] [CrossRef]
- Smith, T.D.; Dennis, J.C.; Bhatnagar, K.P.; Garrett, E.C.; Bonar, C.J.; Morrison, E.E. Olfactory Marker Protein Expression in the Vomeronasal Neuroepithelium of Tamarins (Saguinus spp). Brain Res. 2011, 1375, 7–18. [Google Scholar] [CrossRef]
- Kream, R.M.; Davis, B.J.; Kawano, T.; Margolis, F.L.; Macrides, F. Substance P and Catecholaminergic Expression in Neurons of the Hamster Main Olfactory Bulb. J. Comp. Neurol. 1984, 222, 140–154. [Google Scholar] [CrossRef]
- Bock, P.; Rohn, K.; Beineke, A.; Baumgärtner, W.; Wewetzer, K. Site-Specific Population Dynamics and Variable Olfactory Marker Protein Expression in the Postnatal Canine Olfactory Epithelium. J. Anat. 2009, 215, 522–535. [Google Scholar] [CrossRef]
- Albeanu, D.F.; Provost, A.C.; Agarwal, P.; Soucy, E.R.; Zak, J.D.; Murthy, V.N. Olfactory Marker Protein (OMP) Regulates Formation and Refinement of the Olfactory Glomerular Map. Nat. Commun. 2018, 9, 5073. [Google Scholar] [CrossRef]
- Margolis, F.L.; Verhaagen, J.; Biffo, S.; Huang, F.L.; Grillo, M. Regulation of Gene Expression in the Olfactory Neuroepithelium: A Neurogenetic Matrix. Prog. Brain Res. 1991, 89, 97–122. [Google Scholar] [CrossRef] [PubMed]
- Hershko, A.; Ciechanover, A. The Ubiquitin System for Protein Degradation. Annu. Rev. Biochem. 1992, 61, 761–807. [Google Scholar] [CrossRef] [PubMed]
- Johnson, E.W.; Eller, P.M.; Jafek, B.W. Protein Gene Product 9.5 in the Developing and Mature Rat Vomeronasal Organ. Dev. Brain Res. 1994, 78, 259–264. [Google Scholar] [CrossRef] [PubMed]
- Ang, L.C.; Munoz, D.G.; Shul, D.; George, D.H. SMI-32 Immunoreactivity in Human Striate Cortex during Postnatal Development. Dev. Brain Res. 1991, 61, 103–109. [Google Scholar] [CrossRef]
- Huang, J.S.; Kunkhyen, T.; Rangel, A.N.; Brechbill, T.R.; Gregory, J.D.; Winson-Bushby, E.D.; Liu, B.; Avon, J.T.; Muggleton, R.J.; Cheetham, C.E.J. Immature Olfactory Sensory Neurons Provide Behaviourally Relevant Sensory Input to the Olfactory Bulb. Nat. Commun. 2022, 13, 6194. [Google Scholar] [CrossRef]
- Fortes-Marco, L.; Lanuza, E.; Martínez-García, F.; Agustín-Pavón, C. Avoidance and Contextual Learning Induced by a Kairomone, a Pheromone and a Common Odorant in Female CD1 Mice. Front. Neurosci. 2015, 9, 336. [Google Scholar] [CrossRef]









| Antibody | 1st Ab Species | Dilution | Supplier/ Catalog Number | Target Immunogen | 2nd Ab Species/Catalog Number |
|---|---|---|---|---|---|
| Anti-Gαo | Rabbit | 1:200 | MBL-551 | Bovine GTP binding protein Gαo subunit | ImmPRESS VR HRP Anti-rabbit IgG Reagent MP-6401-15 |
| Anti-Gαi2 | Rabbit | 1:100 | Santa Cruz Biotech. SC-7276 | Peptide mapping within a highly divergent domain of Gαi2 of rat origin | ImmPRESS VR HRP Anti-rabbit IgG Reagent MP-6401-15 |
| Anti-CB | Rabbit | 1:6000 | Swant-CB38 | Rat recombinant calbindin D-28K | ImmPRESS VR HRP Anti-rabbit IgG Reagent MP-6401-15 |
| Anti-CR | Rabbit | 1:6000 | Swant-7697 | Recombinant human calretinin containing a 6-His tag at the N-terminus | ImmPRESS VR HRP Anti-rabbit IgG Reagent MP-6401-15 |
| Anti-MAP-2 | Mouse | 1:200 | Sigma M4403 | Rat brain microtubule-associated proteins | ImmPRESS VR HRP Anti-mouse IgG Reagent MP-6402-15 |
| Anti-GAP-43 | Mouse | 1:800 | Sigma G9264 | HPLC-purified GAP43 from neonatal rat forebrain | ImmPRESS VR HRP Anti-mouse IgG Reagent MP-6402-15 |
| Anti-OMP | Mouse | 1:200 | Santa Cruz Biotech. SC-365818 | Amino acids 1-163 of the total human-origin OMP | ImmPRESS VR HRP Anti-mouse IgG Reagent MP-6402-15 |
| Anti-DCX | Rabbit | 1:300 | Proteintech 13925-1-AP | DCX fusion protein Ag4945 | ImmPRESS VR HRP Anti-rabbit IgG Reagent MP-6401-15 |
| Anti-SMI-32 | Rabbit | 1:20 | Enzo ABS-219-0100 | Nonphosphorylated neurofilaments from rat brain | ImmPRESS VR HRP Anti-rabbit IgG Reagent MP-6401-15 |
| Anti-PGP | Rabbit | 1:200 | Proteintech 14730-1-AP | UCHL1/PGP 9.5 fusion protein Ag6490 | ImmPRESS VR HRP Anti-rabbit IgG Reagent MP-6401-15 |
| Anti-SG | Rabbit | 1:400 | Gift from L Wagner (University of Vienna, Austria) | Recombinant human secretagogin | ImmPRESS VR HRP Anti-rabbit IgG Reagent MP-6401-15 |
| Lectin | Abbreviation | Dilution (mg/mL) | Supplier Catalog Number | Preferred Sugar Specificity | Specificity Groups |
|---|---|---|---|---|---|
| Ulex europaeus (Gorse) agglutinin | UEA | 2.0 | Vector B-1065-2 | α-Fuc | Fucose |
| Lycopersicon esculentum (Tomato) lectin | LEA | 1.0 | Vector B-1175-1 | β-1,4 GlcNAc oligomers | GlcNAc |
| Vicia villosa (Hairy Vetch) agglutinin | VVA | 2.0 | Vector B1235-2 | GalNAc | Gal/GalNAc |
| Solanum tuberosum (Potato) lectin | STL | 2.0 | Vector B-1165-2 | GlcNAc Oligomers, LacNAc | GlcNAc |
| Dolichos biflorum (Horse gram) lectin | DBA | 2.0 | Vector B-1035-5 | α GalNAc | GalNAc |
Disclaimer/Publisher’s Note: The statements, opinions and data contained in all publications are solely those of the individual author(s) and contributor(s) and not of MDPI and/or the editor(s). MDPI and/or the editor(s) disclaim responsibility for any injury to people or property resulting from any ideas, methods, instructions or products referred to in the content. |
© 2024 by the authors. Licensee MDPI, Basel, Switzerland. This article is an open access article distributed under the terms and conditions of the Creative Commons Attribution (CC BY) license (https://creativecommons.org/licenses/by/4.0/).
Share and Cite
Ruiz-Rubio, S.; Ortiz-Leal, I.; Torres, M.V.; Elsayed, M.G.A.; Somoano, A.; Sanchez-Quinteiro, P. The Accessory Olfactory Bulb in Arvicola scherman: A Neuroanatomical Study in a Subterranean Mammal. Animals 2024, 14, 3285. https://doi.org/10.3390/ani14223285
Ruiz-Rubio S, Ortiz-Leal I, Torres MV, Elsayed MGA, Somoano A, Sanchez-Quinteiro P. The Accessory Olfactory Bulb in Arvicola scherman: A Neuroanatomical Study in a Subterranean Mammal. Animals. 2024; 14(22):3285. https://doi.org/10.3390/ani14223285
Chicago/Turabian StyleRuiz-Rubio, Sara, Irene Ortiz-Leal, Mateo V. Torres, Mostafa G. A. Elsayed, Aitor Somoano, and Pablo Sanchez-Quinteiro. 2024. "The Accessory Olfactory Bulb in Arvicola scherman: A Neuroanatomical Study in a Subterranean Mammal" Animals 14, no. 22: 3285. https://doi.org/10.3390/ani14223285
APA StyleRuiz-Rubio, S., Ortiz-Leal, I., Torres, M. V., Elsayed, M. G. A., Somoano, A., & Sanchez-Quinteiro, P. (2024). The Accessory Olfactory Bulb in Arvicola scherman: A Neuroanatomical Study in a Subterranean Mammal. Animals, 14(22), 3285. https://doi.org/10.3390/ani14223285

