Predictive Factors of Canine Malignant Hepatic Diseases with Multifocal Hepatic Lesions Using Clinicopathology, Ultrasonography, and Hepatobiliary Ultrasound Scores
Abstract
Simple Summary
Abstract
1. Introduction
2. Materials and Methods
2.1. Animals
2.2. Data Collection
2.3. Ultrasonographic Examination
2.4. Statistical Analyses
3. Results
3.1. Demographic Data
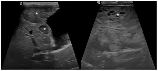
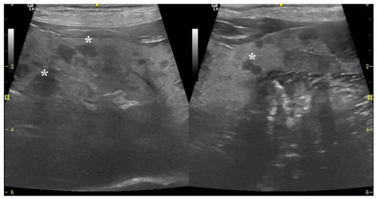
3.2. Ultrasound Examination
4. Discussion
5. Conclusions
Supplementary Materials
Author Contributions
Funding
Institutional Review Board Statement
Informed Consent Statement
Data Availability Statement
Acknowledgments
Conflicts of Interest
References
- Leela-Arporn, R.; Ohta, H.; Nagata, N.; Sasaoka, K.; Tamura, M.; Dermlim, A.; Nisa, K.; Morishita, K.; Sasaki, N.; Nakamura, K.; et al. Epidemiology of massive hepatocellular carcinoma in dogs: A 4-year retrospective study. Vet. J. 2019, 248, 74–78. [Google Scholar] [CrossRef] [PubMed]
- Whiteley, M.B.; Feeney, D.A.; Whiteley, L.O.; Hardy, R.M. Ultrasonographic appearance of primary and metastatic canine hepatic tumors. A review of 48 cases. J. Ultrasound Med. 1989, 8, 621–630. [Google Scholar] [CrossRef] [PubMed]
- Liptak, J.; Dernell, W.; Withrow, S.J. Liver Tumors in Cats and Dogs. Compen. Contin. Educ. Vet. 2004, 26, 50–56. [Google Scholar]
- Nakamura, K.; Takagi, S.; Sasaki, N.; Bandula Kumara, W.R.; Murakami, M.; Ohta, H.; Yamasaki, M.; Takiguchi, M. Contrast-enhanced ultrasonography for characterization of canine focal liver lesions. Vet. Radiol. Ultrasound. 2010, 51, 79–85. [Google Scholar] [CrossRef]
- Ramos-Vara, J.A.; Miller, M.A.; Johnson, G.C. Immunohistochemical characterization of canine hyperplastic hepatic lesions and hepatocellular and biliary neoplasms with monoclonal antibody hepatocyte paraffin 1 and a monoclonal antibody to cytokeratin 7. Vet. Pathol. 2001, 38, 636–643. [Google Scholar] [CrossRef]
- Leela-Arporn, R.; Ohta, H.; Tamura, M.; Nagata, N.; Sasaoka, K.; Dermlim, A.; Nisa, K.; Morishita, K.; Sasaki, N.; Nakamura, K. Predictive factors of malignancy in dogs with focal liver lesions using clinical data and ultrasonographic features. J. Vet. Med. Sci. 2019, 81, 723–729. [Google Scholar] [CrossRef]
- van Sprundel, R.G.H.M.; van den Ingh, T.S.G.A.M.; Guscetti, F.; Kershaw, O.; Kanemoto, H.; van Gils, H.M.; Rothuizen, J.; Roskams, T.; Spee, B. Classification of primary hepatic tumours in the dog. Vet. J. 2013, 197, 596–606. [Google Scholar] [CrossRef]
- Stehlík, L.; Di Tommaso, M.; Del Signore, F.; Paninárová, M.; Terragni, R.; Magni, T.; Pontonutti, L.; Carloni, A.; Alberti, M.; De Magistris, A.V.; et al. Triple-Phase multidetector computed tomography in distinguishing canine hepatic lesions. Animals 2020, 11, 11. [Google Scholar] [CrossRef]
- Hammer, A.S.; Sikkema, D.A. Hepatic neoplasia in the dog and cat. Vet. Clin. N. Am. Small Anim. Pract. 1995, 25, 419–435. [Google Scholar] [CrossRef]
- Warren-Smith, C.; Andrew, S.; Mantis, P.; Lamb, C. Lack of associations between ultrasonographic appearance of parenchymal lesions of the canine liver and histological diagnosis. J. Small Anim. Pract. 2012, 53, 168–173. [Google Scholar] [CrossRef]
- Gupta, P.; Bhardwaj, H.; Gupta, A.; Dwivedi, D.; Sharma, A.; Kumar, A.; Chakraborty, D. Clinical study on comparative evaluation of diagnostic modalities in the diagnosis of hepatic affections in dogs. J. Anim. Sci. 2020, 10, 717–724. [Google Scholar] [CrossRef]
- Patnaik, A.; Hurvitz, A.; Lieberman, P. Canine hepatic neoplasms: A clinicopathologic study. Vet. Pathol. 1980, 17, 553–564. [Google Scholar] [CrossRef] [PubMed]
- Matsuyama, A.; Takagi, S.; Hosoya, K.; Kagawa, Y.; Nakamura, K.; Deguchi, T.; Takiguchi, M. Impact of surgical margins on survival of 37 dogs with massive hepatocellular carcinoma. N. Z. Vet. J. 2017, 65, 227–231. [Google Scholar] [CrossRef] [PubMed]
- Lapsley, J.M.; Wavreille, V.; Barry, S.; Dornbusch, J.A.; Chen, C.; Leeper, H.; Bertran, J.; Scavelli, D.; Liptak, J.M.; Wood, C. Risk factors and outcome in dogs with recurrent massive hepatocellular carcinoma: a Veterinary Society of Surgical Oncology case-control study. Vet. Comp. Oncol. 2022, 20, 697–709. [Google Scholar] [CrossRef]
- Bera, A.; Lodh, C. Clinico-Hematobiochemical evaluation of hepatic disorders in canines and its correlation with imaging diagnosis. Intas. Polivet. 2019, 20, 137–142. [Google Scholar]
- Stockhaus, C.; Van Den Ingh, T.; Rothuizen, J.; Teske, E. A multistep approach in the cytologic evaluation of liver biopsy samples of dogs with hepatic diseases. Vet. Pathol. 2004, 41, 461–470. [Google Scholar] [CrossRef]
- Kemp, S.; Panciera, D.; Larson, M.; Saunders, G.; Werre, S. A comparison of hepatic sonographic features and histopathologic diagnosis in canine liver disease: 138 cases. J. Vet. Intern. Med. 2013, 27, 806–813. [Google Scholar] [CrossRef]
- Assawarachan, S.N.; Chuchalermporn, P.; Maneesaay, P.; Thengchaisri, N. Evaluation of hepatobiliary ultrasound scores in healthy dogs and dogs with liver diseases. Vet. World 2019, 12, 1266–1272. [Google Scholar] [CrossRef]
- Leela-Arporn, R.; Ohta, H.; Shimbo, G.; Hanazono, K.; Osuga, T.; Morishita, K.; Sasaki, N.; Takiguchi, M. Computed tomographic features for differentiating benign from malignant liver lesions in dogs. J. Vet. Med. Sci. 2019, 81, 1697–1704. [Google Scholar] [CrossRef]
- Taniura, T.; Marukawa, K.; Yamada, K.; Hikasa, Y.; Ito, K. Differential diagnosis of hepatic tumor-like lesions in dog by using dynamic CT scanning. Hiroshima J. Med. Sci. 2009, 58, 17–24. [Google Scholar]
- Kurokawa, S.; Tanaka, T.; Yamazaki, H.; Noguchi, S.; Wada, Y.; Nishida, H.; Akiyoshi, H. Comparing the CT and MRI findings for canine primary hepatocellular lesions. Vet. Rec. 2022, 190, e1083. [Google Scholar] [CrossRef] [PubMed]
- Griebie, E.R.; David, F.H.; Ober, C.P.; Feeney, D.A.; Anderson, K.L.; Wuenschmann, A.; Jessen, C.R. Evaluation of canine hepatic masses by use of triphasic computed tomography and B-mode, color flow, power, and pulsed-wave Doppler ultrasonography and correlation with histopathologic classification. Am. J. Vet. Res. 2017, 78, 1273–1283. [Google Scholar] [CrossRef] [PubMed]
- Cuccovillo, A.; Lamb, C.R. Cellular features of sonographic target lesions of the liver and spleen in 21 dogs and a cat. Vet. Radiol. Ultrasound 2002, 43, 275–278. [Google Scholar] [CrossRef] [PubMed]
- Kumar, V.; Kumar, A.; Varshney, A.; Tyagi, S.; Kanwar, M.; Sharma, S. Diagnostic imaging of canine hepatobiliary affections: A review. Vet. Med. Int. 2012, 2012, 672107. [Google Scholar] [CrossRef]
- Mattoon, J.S.; Sellon, R.K.; Berry, C.R. Liver. In Small Animal Diagnostic Ultrasound, 3rd ed.; Torsion, L.L., Ed.; Elsevier: St. Louis, MO, USA, 2014; Volume 1, p. 667. [Google Scholar]
- Pandya, P.; Vagh, A.; Joseph, J.; Bilwal, A.; Parmar, V. Assessment of hepatobiliary ultrasound score with hemato-biochemical alterations between healthy dogs and dogs with hepatobiliary dysfunctions. Innov. Pharm. 2022, 11, 933–937. [Google Scholar]
- Assawarachan, S.N.; Maneesaay, P.; Thengchaisri, N. A descriptive study of the histopathologic and biochemical liver test abnormalities in dogs with liver disease in Thailand. Can J. Vet. Res. 2020, 84, 217–224. [Google Scholar] [PubMed]
- Vatnikov, Y.; Vilkovysky, I.; Kulikov, E.; Popova, I.; Khairova, N.; Gazin, A.; Zharov, A.; Lukina, D. Size of canine hepatocellular carcinoma as an adverse prognostic factor for surgery. J. Adv. Vet. Anim. Res. 2020, 7, 127–132. [Google Scholar] [CrossRef]
- Polak, K.Z.; Schaffer, P.; Donaghy, D.; Zenk, M.C.; Olver, C.S. Iron, hepcidin, and microcytosis in canine hepatocellular carcinoma. Vet. Clin. Pathol. 2022, 51, 208–215. [Google Scholar] [CrossRef]
- Pastor, J.; Bachs, M. Liver tumors: Diagnosis and treatment. In Veternary Focus; Pastor, J., Bachs, M., Eds.; IVIS: Barcelona, Spain, 2010; Volume 20, pp. 41–47. [Google Scholar]
- Assy, N.; Nasser, G.; Djibre, A.; Beniashvili, Z.; Elias, S.; Zidan, J. Characteristics of common solid liver lesions and recommendations for diagnostic workup. World J. Gastroenterol. 2009, 15, 3217. [Google Scholar] [CrossRef]
- Roberts, L.R. Clinical approach to liver mass lesions. In Mayo Clinic Gastroenterology and Hepatology Board Review; Mayo Clinic Scientific Press, Oxford University Press: New York, NY, USA, 2011; pp. 281–294. [Google Scholar]
- Kim, J.M.; Kwon, C.H.D.; Joh, J.-W.; Park, J.B.; Ko, J.S.; Lee, J.H.; Kim, S.J.; Park, C.-K. The effect of alkaline phosphatase and intrahepatic metastases in large hepatocellular carcinoma. World J. Surg. Oncol. 2013, 11, 1–8. [Google Scholar] [CrossRef]



| Score | Characteristics |
|---|---|
| 0 | normal echogenicity |
| 1 | white (hyperechoic) or black (hypoechoic) liver parenchyma |
| 2 | parenchyma has begun to crumble but still has some normal parenchyma traits (inhomogeneous) |
| 3 | rugosity of the liver tissue (heteroechoic) |
| Score | Characteristics |
|---|---|
| 0 | homogeneity of parenchyma and no evidence of nodular lesions |
| 1 | nodules in liver parenchyma that were distributed in less than 50% of the liver and mild nodular border of liver capsule |
| 2 | nodules in liver parenchyma that were distributed in more than 50% of the liver and diffuse nodular border of liver capsule |
| Score Type | Clinical Features | Score | |||
|---|---|---|---|---|---|
| 0 | 1 | 2 | 3 | ||
| Surface score Parenchymal score | Liver edge/border Parenchymal echogenicity Nodularity of parenchyma | Sharp Normal Smooth | Mild blunt Hypo-/hyper-echogenicity Mildly irregular | Blunt Inhomogeneous Irregular | Heterogeneous |
| Biliary score | Gallbladder wall thickness Gall sludge Bile duct visibility | <2 mm Normal No | >2 mm Increased Yes | Stellate sludge | Stone |
| Variables a | Benign (n = 32) | Malignant (n = 11) | p-Value b |
|---|---|---|---|
| Age (years) (mean SD) | 11.9 2.79 | 12.98 1.58 | 0.302 |
| Sex | 0.668 | ||
| Male (n (%)) | 14 (43.75) | 4 (36.36) | |
| Female (n (%)) | 18 (56.25) | 7 (63.64) | |
| Breed | 0.137 | ||
| Mixed (n (%)) | 10 (31.25) | 3 (27.27) | |
| Shi-Tzu (n (%)) | 9 (28.12) | 1 (9.09) | |
| Poodle (n (%)) | 4 (12.5) | 2 (18.18) | |
| Chihuahua (n (%)) | 4 (12.5) | 1 (9.09) | |
| Beagle (n (%)) | 0 (0) | 2 (18.18) | |
| Other (n (%)) | 4 (12.5) | 2 (18.18) | |
| Concurrent diseases | 0.562 | ||
| 4 (12.5) | 3 (27.27) | |
| 2 (6.25) | 1 (9.09) | |
| 1 (3.12) | 1 (9.09) | |
| 5 (15.62) | 0 (0) | |
| 1 (3.12) | 0 (0) | |
| 19 (59.37) | 6 (54.54) |
| Clinical Sign |
Benign (n = 32) |
Malignant (n = 11) | p-Value a |
|---|---|---|---|
| Asymptomatic (n (%)) | 18 (56.25) | 1 (9.09) | 0.007 |
| Abdominal distention (n (%)) | 7 (21.87) | 10 (90.90) | <0.001 |
| Abdominal pain (n (%)) | 3 (9.37) | 6 (54.54) | 0.001 |
| Inappetence (n (%)) | 7 (21.87) | 9 (81.81) | <0.001 |
| Vomiting (n (%)) | 2 (6.25) | 4 (36.36) | 0.013 |
| Diarrhea (n (%)) | 1 (3.12) | 0 (0) | 0.553 |
| Parameter a | Benign | Malignant | p-Value b |
|---|---|---|---|
| Hematocrit (%) (mean ± SD) | 46.40 (±7.66) | 35.63 (±10.37) | 0.003 |
| 30 (93.75) | 5 (45.45) | |
| 2 (6.25) | 6 (54.54) | |
| WBC (×103/µL) (mean ± SD) | 12.51 (±4.69) | 35.12 (±26.33) | 0.024 |
| 29 (90.62) | 5 (45.45) | |
| 3 (9.37) | 6 (54.54) | |
| Platelet count (×103/µL) (mean ± SD) | 382.43 (±144.31) | 423.18 (±244.83) | 0.707 |
| 27 (84.37) | 6 (54.54) | |
| 1 (3.12) | 3 (27.27) | |
| 4 (12.5) | 2 (18.18) | |
| AST (U/L) (mean ± SD) | 36.39 (±35.28) | 117.21 (147.67) | 0.039 |
| 24 (75) | 8 (72.72) | |
| 7 (21.87) | 2 (18.18) | |
| 1 (3.12) | 1 (9.09) | |
| ALT (U/L) (mean ± SD) | 216.96 (±291.13) | 1019.18 (±2023) | 0.095 |
| 16 (50) | 4 (36.36) | |
| 10 (31.25) | 1 (9.09) | |
| 6 (18.75) | 6 (54.54) | |
| ALP (U/L) (mean ± SD) | 703.65 (±787.96) | 1298.45 (±773.89) | 0.039 |
| 9 (28.15) | 1 (9.09) | |
| 8 (25) | 0 (0) | |
| 15 (46.87) | 10 (90.90) | |
| BUN (mg/dL) (mean ± SD) | 18.57 (±8.5) | 28.28 (±27.65) | 0.846 |
| 30 (93.75) | 6 (54.54) | |
| 2 (6.25) | 2 (18.18) | |
| 0 (0) | 3 (27.27) | |
| Creatinine (mg/dL) (mean ± SD) | 1.023 (±0.28) | 1.047 (±0.48) | 0.686 |
| 32 (100) | 10 (90.90) | |
| 0 (0) | 0 (0) | |
| 0 (0) | 1 (9.09) | |
| Total protein (g/dL) (mean ± SD) | 7.39 (±1.01) | 7.06 (±0.67) | 0.236 |
| 28 (87.5) | 11 (100) | |
| 2 (6.25) | 0 (0) | |
| 2 (6.25) | 0 (0) | |
| Albumin (g/dL) (mean ± SD) | 3 (±0.3) | 2.86 (±0.68) | 0.878 |
| 24 (75) | 6 (54.54) | |
| 8 (25) | 5 (45.45) | |
| 0 (0) | 0 (0) |
| Ultrasonographic Parameters | Benign n = 32 | Malignant n = 11 | p-Value a |
|---|---|---|---|
| Liver parenchyma homogeneity | 0.011 | ||
| Homogeneous (n (%)) | 20 (62.5) | 3 (27.27) | |
| Heterogeneous (n (%)) | 12 (37.5) | 8 (72.72) | |
| Liver parenchyma echogenicity | 0.053 | ||
| Hyperechoic (n (%)) | 30 (93.75) | 8 (72.72) | |
| Hypoechoic (n (%)) | 1 (3.12) | 0 (0) | |
| Heteroechoic (n (%)) | 1 (3.12) | 3 (27.27) | |
| Lesion homogeneity | <0.001 | ||
| Homogeneous (n (%)) | 30 (93.75) | 1 (9.09) | |
| Heterogeneous (n (%)) | 2 (6.25) | 10 (90.90) | |
| Lesion echogenicity | <0.001 | ||
| Hyperechoic (n (%)) | 2 (6.25) | 0 (0) | |
| Hypoechoic (n (%)) | 29 (90.62) | 3 (27.27) | |
| Heteroechoic (n (%)) | 1 (3.12) | 8 (72.72) | |
| Maximum lesion diameter (cm) (mean SD) | 1.23 (0.68) | 4.33 (1.52) | <0.001 |
| Average lesion diameter (cm) (mean SD) | 0.64 (0.42) | 2.6 (1.03) | <0.001 |
| Hepatobiliary ultrasound score | <0.001 | ||
| Mild (score 0–2) (n (%)) | 0 (0) | 0 (0) | |
| Moderate (score 3–5) (n (%)) | 30 (93.75) | 0 (0) | |
| Severe (score 6–12) (n (%)) | 2 (6.25) | 11 (100) |
| Parameters | Odds Ratio | 95% CI | p-Value a |
|---|---|---|---|
| Qualitative ultrasound parameters | |||
| Heterogeneous lesion homogeneity | 4.148 | 0.16–0.48 | <0.001 |
| Semiquantitative ultrasound parameter | |||
| Severe hepatobiliary ultrasound score | 2.669 | 0.05–0.57 | 0.011 |
| Heterogeneous Lesion Homogeneity | Severe Hepatobiliary Ultrasound Score | |
|---|---|---|
| Area under the curve | 0.923 | 0.969 |
| Sensitivity (%) | 90.90 | 100 |
| Specificity (%) | 93.75 | 96.85 |
| Positive predictive value (%) | 83.33 | 91.66 |
| Negative predictive value (%) | 96.77 | 100 |
| Accuracy (%) | 92.30 | 97.66 |
Disclaimer/Publisher’s Note: The statements, opinions and data contained in all publications are solely those of the individual author(s) and contributor(s) and not of MDPI and/or the editor(s). MDPI and/or the editor(s) disclaim responsibility for any injury to people or property resulting from any ideas, methods, instructions or products referred to in the content. |
© 2024 by the authors. Licensee MDPI, Basel, Switzerland. This article is an open access article distributed under the terms and conditions of the Creative Commons Attribution (CC BY) license (https://creativecommons.org/licenses/by/4.0/).
Share and Cite
Phosri, A.; Chantawong, P.; Thitaram, N.; Pringproa, K.; Thongtharb, A. Predictive Factors of Canine Malignant Hepatic Diseases with Multifocal Hepatic Lesions Using Clinicopathology, Ultrasonography, and Hepatobiliary Ultrasound Scores. Animals 2024, 14, 2910. https://doi.org/10.3390/ani14192910
Phosri A, Chantawong P, Thitaram N, Pringproa K, Thongtharb A. Predictive Factors of Canine Malignant Hepatic Diseases with Multifocal Hepatic Lesions Using Clinicopathology, Ultrasonography, and Hepatobiliary Ultrasound Scores. Animals. 2024; 14(19):2910. https://doi.org/10.3390/ani14192910
Chicago/Turabian StylePhosri, Aphinan, Pinkarn Chantawong, Niyada Thitaram, Kidsadagon Pringproa, and Atigan Thongtharb. 2024. "Predictive Factors of Canine Malignant Hepatic Diseases with Multifocal Hepatic Lesions Using Clinicopathology, Ultrasonography, and Hepatobiliary Ultrasound Scores" Animals 14, no. 19: 2910. https://doi.org/10.3390/ani14192910
APA StylePhosri, A., Chantawong, P., Thitaram, N., Pringproa, K., & Thongtharb, A. (2024). Predictive Factors of Canine Malignant Hepatic Diseases with Multifocal Hepatic Lesions Using Clinicopathology, Ultrasonography, and Hepatobiliary Ultrasound Scores. Animals, 14(19), 2910. https://doi.org/10.3390/ani14192910

