Co-Infection of Chickens with Staphylococcus lentus and Staphylococcus aureus from an Outbreak of Arthritis, Synovitis, and Osteomyelitis Argues for Detailed Characterisation of Isolates
Abstract
Simple Summary
Abstract
1. Introduction
2. Materials and Methods
2.1. Case Description
2.2. Post-Mortem Investigation, Bacterial Isolation, and Identification
2.3. Antibiotic Susceptibility Testing
2.4. Histology
3. Results
3.1. Necropsy, Bacterial Isolation, and Identification
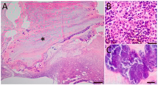
3.2. Histology
4. Discussion
5. Conclusions
Author Contributions
Funding
Institutional Review Board Statement
Informed Consent Statement
Data Availability Statement
Acknowledgments
Conflicts of Interest
References
- Parte, A.C.; Carbasse, J.S.; Meier-Kolthoff, J.P.; Reimer, L.C.; Göker, M. List of Prokaryotic Names with Standing in Nomenclature (LPSN) Moves to the DSMZ. Int. J. Syst. Evol. Microbiol. 2020, 70, 5607–5612. [Google Scholar] [CrossRef] [PubMed]
- Catherine, M.L.; Claire, B. Andreasen Other Bacterial Diseases. In Diseases of Poultry; Swayne, D.E., Boulianne, M., Logue, C.M., McDougald, L.R., Nair, V., Suarez, D.L., Eds.; John Wiley & Sons, Inc.: Hoboken, NJ, USA, 2020; pp. 995–1085. [Google Scholar]
- Andreasan, J.R.; Andreasan, C.B.; Anwer, M.; Sonn, A.E. Heterophil Chemotaxis in Chickens with Natural Staphylococcal Infections. Avian Dis. 1993, 37, 284–289. [Google Scholar] [CrossRef]
- Szafraniec, G.M.; Szeleszczuk, P.; Dolka, B. Review on Skeletal Disorders Caused by Staphylococcus Spp. in Poultry. Vet. Q. 2022, 42, 21–40. [Google Scholar] [CrossRef] [PubMed]
- CLSI. Performance Standards for Antimicrobial Disk and Dilution Susceptibility Tests for Bacteria Isolated from Animals, 5th ed.; Sweeney, M.T., Diaz-Campos, D.V., Bowden, R., Fritsche, T.R., Hayes, J., Langston, C., Lubbers, B.V., Martin-Jimenez, T., Miller, C., Pallotta, C., et al., Eds.; Clinical and Laboratory Standards Institute: Wayne, PA, USA, 2018. [Google Scholar]
- Elbehiry, A.; Al-Dubaib, M.; Marzouk, E.; Osman, S.; Edrees, H. Performance of MALDI Biotyper Compared with VitekTM 2 Compact System for Fast Identification and Discrimination of Staphylococcus Species Isolated from Bovine Mastitis. Microbiologyopen 2016, 5, 1061–1070. [Google Scholar] [CrossRef] [PubMed]
- Hess, C.; Alispahic, M.; Hess, M. Application of MALDI-TOF MS in Veterinary and Food Microbiology. In MALDI-TOF Mass Spectrometry in Microbiology; Kostrzewa, M., Schubert, S., Eds.; Caister Academic Press: Bremen & Munich, Germany, 2016; pp. 109–126. [Google Scholar]
- Cameron, M.; Barkema, H.W.; De Buck, J.; De Vliegher, S.; Chaffer, M.; Lewis, J.; Keefe, G.P. Identification of Bovine-Associated Coagulase-Negative Staphylococci by Matrix-Assisted Laser Desorption/Ionization Time-of-Flight Mass Spectrometry Using a Direct Transfer Protocol. J. Dairy Sci. 2017, 100, 2137–2147. [Google Scholar] [CrossRef] [PubMed]
- Awan, M.; Matsumoto, M. Heterogeneity of Staphylococci and Other Bacteria Isolated from Six-Week-Old Broiler Chickens. Poult. Sci. 1998, 77, 944–949. [Google Scholar] [CrossRef] [PubMed]
- Devriese, L.A.; Schleifer, K.H. Identification of Coagulase-Negative Staphylococci from Farm Animals. J. Appl. Bacteriol. 1985, 58, 45–55. [Google Scholar] [CrossRef] [PubMed]
- Marek, A.; Stepień-Pyśniak, D.; Pyzik, E.; Adaszek, Ł.; Wilczyński, J.; Winiarczyk, S. Occurrence and Characterization of Staphylococcus Bacteria Isolated from Poultry in Western Poland. Berl. Munch. Tierarztl. Wochenschr. 2016, 129, 147–152. [Google Scholar] [PubMed]
- Vanderhaeghen, W.; Piepers, S.; Leroy, F.; Van Coillie, E.; Haesebrouck, F.; De Vliegher, S. Invited Review: Effect, Persistence, and Virulence of Coagulase-Negative Staphylococcus Species Associated with Ruminant Udder Health. J. Dairy Sci. 2014, 97, 5275–5293. [Google Scholar] [CrossRef] [PubMed]
- Von Eiff, C.; Peters, G.; Heilmann, C. Pathogenesis of Infections Due to Coagulase-Negative Staphylococci. Lancet Infect. Dis. 2002, 2, 677–685. [Google Scholar] [CrossRef] [PubMed]
- Alderson, M.; Speers, D.; Emslie, K.; Nade, S. Acute Haematogenous Osteomyelitis and Septic Arthritis--a Single Disease. An Hypothesis Based upon the Presence of Transphyseal Blood Vessels. J. Bone Jt. Surg. Br. 1986, 68-B, 268–274. [Google Scholar] [CrossRef] [PubMed]
- Nairn, M.E.; Watson, A.R.A. Leg Weakness of Poultry—A Clinical and Pathological Characterization. Aust. Vet. J. 1972, 48, 645–656. [Google Scholar] [CrossRef] [PubMed]
- Sato, Y. Optimizing the Health of Poultry Layers. In Optimising Poultry Flock Health; de Wit, S., Ed.; Burleigh Dodds Science Publishing: Cambridge, UK, 2022; pp. 289–345. ISBN 9781786768872. [Google Scholar]
- Dowling, P. Antimicrobial Therapy of Selected Organ Systems. In Antimicrobial Therapy in Veterinary Medicine; Giguèra, S., Prescott, J.F., Dowling, P.M., Eds.; Wiley-Blackwell: Ames, IA, USA, 2013; pp. 395–419. [Google Scholar]
- Pyzik, E.; Marek, A.; Stȩpień-Pyśniak, D.; Urban-Chmiel, R.; Jarosz, L.S.; Jagiełło-Podȩbska, I. Detection of Antibiotic Resistance and Classical Enterotoxin Genes in Coagulase-Negative Staphylococci Isolated from Poultry in Poland. J. Vet. Res. 2019, 63, 183–190. [Google Scholar] [CrossRef] [PubMed]
- Osman, K.; Badr, J.; Al-Maary, K.S.; Moussa, I.M.I.; Hessain, A.M.; Amin Girah, Z.M.S.; Abo-shama, U.H.; Orabi, A.; Saad, A. Prevalence of the Antibiotic Resistance Genes in Coagulase-Positive-and Negative-Staphylococcus in Chicken Meat Retailed to Consumers. Front. Microbiol. 2016, 7, 1846. [Google Scholar] [CrossRef] [PubMed]
- European Commission Regulation (EU) 2018/848 of the European Parliament and of the Council of 30 May 2018 on Organic Production and Labelling of Organic Products and Repealing Council Regulation (EC) No 834/2007. Off. J. Eur. Union 2018, L150, 1–92.


| Sample | Matched Pattern | Log (Score) a |
|---|---|---|
| PA18_25301 A | Staphylococcus lentus LMG 19120 LMG_corr | 2.14 |
| PA18_25301 B | Staphylococcus aureus subsp. aureus DSM 799 DSM | 2.61 |
| S. aureus | S. lentus | |
|---|---|---|
| Oxalic acid (2 µg) | R | R |
| Spectinomycin (100 µg) | S | R |
| Tilmycosin (15 µg) | S | I |
| Trimethropin/Sulfamethoxazol (1.25/23.7 µg) | R | I |
| Tylosin (15 µg) | S | I |
| Amoxicillin (10 µg) | I | I |
| Ampicillin (10 µg) | I | I |
| Colistin (10 µg) | R | R |
| Doxycycline (30 µg) | I | S |
| Enrofloxacin (5 µg) | S | I |
| Neomycin (30 µg) | I | I |
| Tetracycline (30 µg) | I | R |
Disclaimer/Publisher’s Note: The statements, opinions and data contained in all publications are solely those of the individual author(s) and contributor(s) and not of MDPI and/or the editor(s). MDPI and/or the editor(s) disclaim responsibility for any injury to people or property resulting from any ideas, methods, instructions or products referred to in the content. |
© 2024 by the authors. Licensee MDPI, Basel, Switzerland. This article is an open access article distributed under the terms and conditions of the Creative Commons Attribution (CC BY) license (https://creativecommons.org/licenses/by/4.0/).
Share and Cite
Matos, M.; Mitsch, P.; Liebhart, D.; Hess, M.; Hess, C. Co-Infection of Chickens with Staphylococcus lentus and Staphylococcus aureus from an Outbreak of Arthritis, Synovitis, and Osteomyelitis Argues for Detailed Characterisation of Isolates. Animals 2024, 14, 2574. https://doi.org/10.3390/ani14172574
Matos M, Mitsch P, Liebhart D, Hess M, Hess C. Co-Infection of Chickens with Staphylococcus lentus and Staphylococcus aureus from an Outbreak of Arthritis, Synovitis, and Osteomyelitis Argues for Detailed Characterisation of Isolates. Animals. 2024; 14(17):2574. https://doi.org/10.3390/ani14172574
Chicago/Turabian StyleMatos, Miguel, Peter Mitsch, Dieter Liebhart, Michael Hess, and Claudia Hess. 2024. "Co-Infection of Chickens with Staphylococcus lentus and Staphylococcus aureus from an Outbreak of Arthritis, Synovitis, and Osteomyelitis Argues for Detailed Characterisation of Isolates" Animals 14, no. 17: 2574. https://doi.org/10.3390/ani14172574
APA StyleMatos, M., Mitsch, P., Liebhart, D., Hess, M., & Hess, C. (2024). Co-Infection of Chickens with Staphylococcus lentus and Staphylococcus aureus from an Outbreak of Arthritis, Synovitis, and Osteomyelitis Argues for Detailed Characterisation of Isolates. Animals, 14(17), 2574. https://doi.org/10.3390/ani14172574

