Histomorphological and Dynamical Changes in Female River Lampreys during Maturation under Controlled Conditions as a Part of Lamprey Restoration Programs
Abstract
Simple Summary
Abstract
1. Introduction
2. Materials and Methods
2.1. Ethics
2.2. River Lamprey Origin
2.3. Broodstock Management
2.4. Sex Determination
2.5. Sampling and Morphological Indexes
- Gonadosomatic index ((GSI; %) = GW × 100/BW, where GW: gonad weight (g), BW: body weight (g));
- Total fecundity (F = EN × GW, where EN: number of eggs in 1 g (pieces g), GW: gonad weight (g));
- Hepatosomatic index ((HSI; %) = HW × 100/BW, where HW: liver weight (g), BW: body weight (g));
- Digestivesomatic index (DIS; %) = (DW BW − 1) 100%, where DW: digestive tract weight (g), BW: body weight (g).
2.6. Histological Analysis
2.7. Statistical Analysis
3. Results
3.1. Gonadal Development
3.2. Liver
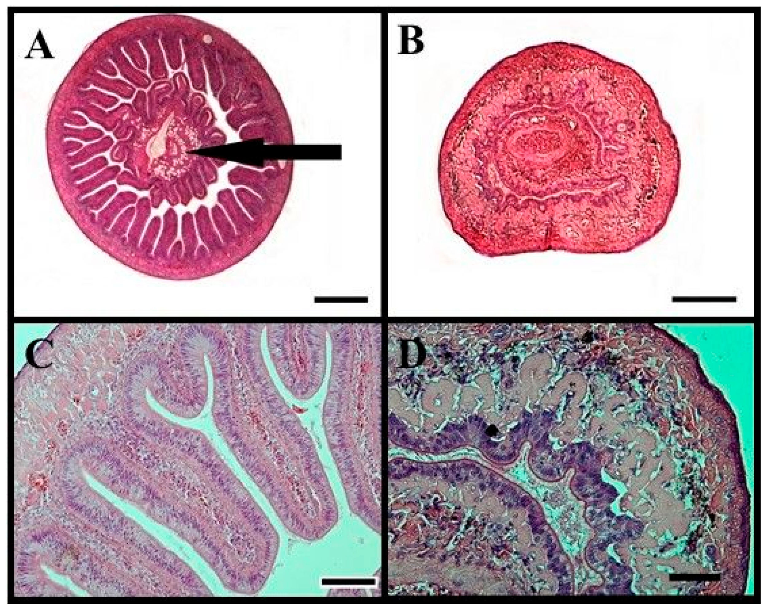
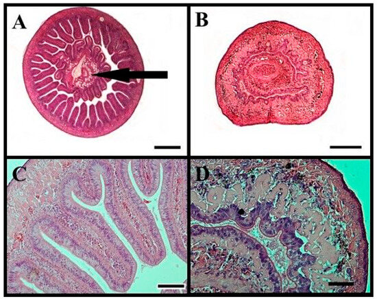
3.3. Digestive System
4. Discussion
4.1. Gonads and Gametes
4.2. Liver
4.3. The Digestive System
5. Conclusions
Author Contributions
Funding
Institutional Review Board Statement
Informed Consent Statement
Data Availability Statement
Conflicts of Interest
References
- Migocka-Patrzałek, M.; Kujawa, R.; Podlasz, P.; Juchno, D.; Haczkiewicz-Leśniak, K.; Daczewska, M. Unique Features of River Lamprey (Lampetra fluviatilis) Myogenesis. Int. J. Mol. Sci. 2022, 23, 8595. [Google Scholar] [CrossRef] [PubMed]
- Xu, Y.; Zhu, S.-W.; Li, Q.-W. Lamprey: A model for vertebrate evolutionary research. Zool. Res. 2016, 37, 263–269. [Google Scholar] [CrossRef] [PubMed]
- Rodríguez-Garay, E.A. Cholestasis: Human disease and experimental animal models. Ann. Hepatol. 2003, 2, 150–158. [Google Scholar] [CrossRef]
- Moser, M.; Almeida, P.; Kemp, P.; Sorensen, P. Lamprey Spawning Migration. In Lampreys: Biology, Conservation and Control; Docker, M., Ed.; Springer: Berlin/Heidelberg, Germany, 2015; Volume 37, pp. 215–263. [Google Scholar] [CrossRef]
- Potter, I.; Gill, H.; Renaud, C.; Haoucher, D. The Taxonomy, Phylogeny, and Distribution of Lampreys. In Lampreys: Biology, Conservation and Control; Docker, M., Ed.; Springer: Berlin/Heidelberg, Germany, 2015; Volume 37, pp. 35–73. [Google Scholar] [CrossRef]
- Borowiec, B.G.; Docker, M.F.; Johnson, N.S.; Moser, M.L.; Zielinski, B.; Wilkie, M.P. Exploiting the physiology of lampreys to refine methods of control and conservation. J. Great Lakes Res. 2021, 47, 723–741. [Google Scholar] [CrossRef]
- Kelly, F.L.; King, J.J. The Ecology and distribution of three lamprey species, Lampetra fluviatilis (L.), Lampetra planeri (Bloch) and Petromyzon marinus (L.): A context for conservation and biodiversity considerations in Ireland. In Proceedings of the Biology and Environment, Royal Irish Academy, Dublin, Ireland, 31 December 2001; Volume 101, pp. 165–185. Available online: https://www.jstor.org/stable/20500120 (accessed on 23 January 2024).
- Evans, T.M.; Janvier, P.; Docker, M.F. The evolution of lamprey (Petromyzontida) life history and the origin of metamorphosis. Rev. Fish Biol. Fish. 2018, 28, 825–838. [Google Scholar] [CrossRef]
- Almeida, P.R.; Arakawa, H.; Aronsuu, K.; Baker, C.; Blair, S.R.; Beaulaton, L.; Belo, A.F.; Kitson, J.; Kucheryavyy, A.; Kynard, B.; et al. Lamprey fisheries: History, trends and management. J. Great Lakes Res. 2021, 47, 159–185. [Google Scholar] [CrossRef]
- Maitland, P.S. Review of the ecology of lampreys in northern Europe. Can. J. Fish. Aquat. Sci. 1980, 37, 1944–1952. [Google Scholar] [CrossRef]
- Nowosad, J.; Kucharczyk, D.; Łuczyńska, J.; Targońska, K.; Czarkowski, T.K.; Biłas, M.; Krejszeff, S.; Horváth, L.; Müller, T. Changes in European eel ovary development and body and ovary chemistry during stimulated maturation under controlled conditions: Preliminary data. Aquac. Inter. 2015, 23, 13–27. [Google Scholar] [CrossRef]
- Asturiano, J.F. Chapter 14 Improvements on the Reproductive Control of the European Eel. In Reproduction in Aquatic Animals; Yoshida, M., Asturiano, J., Eds.; Springer: Singapore, 2020; pp. 293–320. [Google Scholar] [CrossRef]
- Goodwin, C.E.; Griffiths, D.; Dick, J.T.A.; Elwood, R.W. A freshwater feeding Lampetra fluviatilis population in Lough Neagh, Northern Ireland. J. Fish Biol. 2006, 68, 628–633. [Google Scholar] [CrossRef]
- Jang, M.H.; Lucas, M.C. Reproductive ecology of the river lamprey. J. Fish Biol. 2005, 66, 499–512. [Google Scholar] [CrossRef]
- Nika, N.; Virbickas, T. Brown trout Salmo trutta red superimposition by spawning Lampetra species in lowland stream. J. Fish Biol. 2010, 77, 2358–2372. [Google Scholar] [CrossRef] [PubMed]
- Johnson, N.S.; Buchinger, T.J.; Li, W. Reproductive Ecology of Lampreys. In Lampreys: Biology, Conservation and Control; Docker, M., Ed.; Springer: Berlin/Heidelberg, Germany, 2015; Volume 37, pp. 265–303. [Google Scholar] [CrossRef]
- Aronsuu, K. Lotic Life Stages of the European River Lamprey (Lampetra fluviatilis): Anthropogenic Detriment and Rehabilitation. Academic dissertation, Faculty of Mathematics and Science, University of Jyväskylä, Jyväskylä, Finland, 2015. [Google Scholar]
- Kujawa, R.; Fopp-Bayat, D.; Cejko, B.I.; Kucharczyk, D.; Glińska-Lewczuk, K.; Obolewski, K.; Biegaj, M. Rearing river lamprey Lampetra fluviatilis (L.) larvae under controlled conditions as a tool for restitution of endangered populations. Aquac. Int. 2018, 26, 27–36. [Google Scholar] [CrossRef]
- Cejko, B.I.; Judycka, S.; Kujawa, R. The effect of different ambient temperatures on river lamprey (Lampetra fluviatilis) egg and sperm production under controlled conditions. J. Therm. Biol. 2016, 62, 70–85. [Google Scholar] [CrossRef] [PubMed]
- Kujawa, R.; Cejko, B.I.; Fopp-Bayat, D.; Judycka, S.; Glińska-Lewczuk, K.; Timofte, C.M.; Nowosad, J.; Kucharczyk, D. Reproduction of endangered river lamprey (Lampetra fluviatilis) in controlled conditions. Anim. Reprod. Sci. 2019, 203, 75–83. [Google Scholar] [CrossRef] [PubMed]
- Kujawa, R.; Nowosad, J.; Biegaj, M.; Cejko, B.I.; Kucharczyk, D. Use of ultrasonography to determine sex in sexually immature European river lamprey Lampetra fluviatilis (L.). Anim. Reprod. Sci. 2019, 204, 95–100. [Google Scholar] [CrossRef]
- Khvorova, I.A.; Nadei, O.V.; Agalakova, N.I. Differential protein expression of mitogen-activated protein kinases in erythrocytes and liver of lamprey Lampetra fluviatilis on the course of prespawning starvation. Comp. Biochem. Physiol. Part A Mol. Integr. Physiol. 2022, 264, 111108. [Google Scholar] [CrossRef] [PubMed]
- Larsen, L.O. Physiology of Adult Lampreys, with Special Regard to Natural Starvation, Reproduction, and Death after Spawning. Can. J. Fish. Aquat. Sci. 1980, 37, 1762–1779. [Google Scholar] [CrossRef]
- Konovalova, S.A.; Savina, M.V.; Nikiforov, A.A.; Puchkova, L.V. Mitochondrial and lysosomal pathways of lamprey (Lampetra fluviatilis L.) hepatocyte death. J. Evol. Biochem. Physiol. 2012, 48, 510–515. [Google Scholar] [CrossRef]
- Mateus, C.S.; Rodríguez-Muñoz, R.; Quintella, B.R.; Alves, M.J.; Almeida, P.R. Lampreys of the Iberian Peninsula: Distribution, population status and conservation. Endanger. Species Res. 2012, 16, 183–198. [Google Scholar] [CrossRef]
- Silva, S.; Gooderham, A.; Forty, M.; Morland, B.; Lucas, M.C. Egg drift and hatching success in European river lamprey Lampetra fluviatilis: Is egg deposition in gravel vital to spawning success? Aquatic Conservation: Marine and Freshwater Ecosystems. Aquat. Conserv. Mar. Freshw. Ecosyst. 2015, 25, 534–543. [Google Scholar] [CrossRef]
- Lucas, M.C.; Bubb, D.H.; Jang, M.H.; Ha, K.; Masters, J.E. Availability of and access to critical habitats in regulated rivers: Effects of low-head barriers on threatened lampreys. Freshw. Biol. 2009, 54, 621–634. [Google Scholar] [CrossRef]
- Kerr, J.R.; Karageorgopoulos, P.; Kemp, P.S. Efficacy of a side-mounted vertically oriented bristle pass for improving upstream passage of European eel (Anguilla anguilla) and river lamprey (Lampetra fluviatilis) at an experimental Crump weir. Ecol. Eng. 2015, 85, 121–131. [Google Scholar] [CrossRef]
- Kerr, J.R.; Vowles, A.S.; Crabb, M.C.; Kemp, P.S. Selective fish passage: Restoring habitat connectivity without facilitating the spread of a non-native species. J. Environ. Manag. 2021, 279, 110908. [Google Scholar] [CrossRef] [PubMed]
- Larsen, L.O.; Dufour, S. Growth, reproduction and death in lampreys and eels. In Fish Ecophysiology; Rankin, C.J., Jensen, F.B., Eds.; Springer: Berlin/Heidelberg, Germany, 1993; Volume 9, pp. 72–104. [Google Scholar] [CrossRef]
- Clemens, B.J.; Arakawa, H.; Baker, C.; Coghlan, S.; Kucheryavyy, A.; Lampman, R.; Lança, M.J.; Mateus, C.S.; Miller, A.; Nazari, H.; et al. Management of anadromous lampreys: Common threats, different approaches. J. Great Lakes Res. 2021, 47, 129–146. [Google Scholar] [CrossRef]
- Lampman, R.T.; Maine, A.N.; Moser, M.L.; Arakawa, H.; Neave, F.B. Lamprey aquaculture successes and failures: A path to production for control and conservation. J. Great Lakes Res. 2021, 47, 201–215. [Google Scholar] [CrossRef]
- Kujawa, R.; Kucharczyk, D.; Mamcarz, A. A model system for keeping spawners of wild and domestic fish before artificial spawning. Aquac. Eng. 1999, 20, 85–89. [Google Scholar] [CrossRef]
- Lambooij, B.; Pilarczyk, M.; Bialowas, H.; Reimert, H.; Andre, G.; Van De Vis, H. Anaesthetic properties of Propiscin (Etomidaat) and 2-phenoxyethanol in the common carp (Cyprinus carpio L.), neural and behavioural measures. Aquac. Res. 2009, 40, 1328–1333. [Google Scholar] [CrossRef]
- Bancroft, J.D.; Gamble, M. The hematoxylin and eosin. In Theory and Practice of Histological Techniques, 7th ed.; Churchill Livingstone: London, UK, 2013; pp. 179–220. [Google Scholar]
- Georgieva, E.; Atanasova, P.; Velcheva, I.; Stoyanova, S.; Yancheva, V. Histochemical effects of “Verita WG” on Glycogen and lipid storage in Common Carp (Cyprinus Carpio L.) Liver. Ecol. Balk. 2013, 5, 91–97. [Google Scholar]
- Docker, M.F.; Beamish, F.W.; Yasmin, T.; Bryan, M.B.; Khan, A. The Lamprey Gonad. In Lampreys: Biology, Conservation and Control; Docker, M., Ed.; Springer: Berlin/Heidelberg, Germany, 2019; Volume 38, pp. 1–186. [Google Scholar] [CrossRef]
- Hardisty, M.W. The relationship of gonadal development to the life cycles of the paired species of lamprey, Lampetra fluviatilis (L.) and Lampetru planeri (Bloch). J. Fish Biol. 1970, 2, 173–181. [Google Scholar] [CrossRef]
- Dziewulska, K.; Domagała, J. Ripening of the oocyte of the river lamprey (Lampetra fluviatilis L.) after river entry. J. Appl. Ichthyol. 2009, 25, 752–756. [Google Scholar] [CrossRef]
- Araújo, M.J.; Ozório, R.O.A.; Bessa, R.J.B.; Kijjoa, A.; Gonçalves, J.F.M.; Antunes, C. Nutritional status of adult sea lamprey (Petromyzon marinus Linnaeus, 1758) during spawning migration in the Minho River, NW Iberian Peninsula. J. Appl. Ichthyol. 2013, 29, 808–814. [Google Scholar] [CrossRef]
- Reinhardt, U.G.; Hrodey, P.J. Trap Happiness and Catch Bias in Sea Lamprey Traps. Fishes 2019, 4, 34. [Google Scholar] [CrossRef]
- Lubzens, E.; Young, G.; Bobe, J.; Cerdà, J. Oogenesis in teleosts: How fish eggs are formed oogenesis in teleosts: How fish eggs are formed. Gen. Comp. Endocrinol. 2010, 165, 367–389. [Google Scholar] [CrossRef] [PubMed]
- Kucheryavyi, I.A.; Tsimbalov, V.V.; Kostin, D.Y.; Nazarov, A.O.; Zvezdin, D.S. Polymorphism of spawners of the resident form of European River Lamprey Lampetra fluviatilis (Petromyzontidae). J. Ichthyol. 2016, 56, 577–585. [Google Scholar] [CrossRef]
- Smith, S.J.; Marsden, J.E. Predictive morphometric relationships for estimating fecundity of Sea lampreys from Lake Champlain and Other Landlocked populations. Trans. Am. Fish. Soc. 2007, 136, 979–987. [Google Scholar] [CrossRef]
- Gambicki, S.; Steinhart, G.B. Changes in sea lamprey size and fecundity through time in the Great Lakes. J. Great Lakes Res. 2017, 43, 209–214. [Google Scholar] [CrossRef]
- Hebanowska, A. Bile acid biosynthesis and its regulation. Postep. Hig. Med. Dosw. 2010, 64, 544–554. Available online: http://www.phmd.pl/fulltxt.php?ICID=922007 (accessed on 24 January 2024). (In Polish with English Abstract).
- Yeh, C.Y.; Chung-Davidson, Y.W.; Wang, H.; Li, K.; Li, W. Intestinal synthesis and secretion of bile salts as an adaptation to developmental biliary atresia in the sea lamprey. Proc. Nati. Acad. Sci. USA 2012, 109, 11419–11424. [Google Scholar] [CrossRef] [PubMed]
- Chung-Davidson, Y.W.; Davidson, P.J.; Scott, A.M.; Walaszczyk, E.J.; Brant, C.O.; Buchinger, T.; Johnson, N.S.; Li, W. A new clarification method to visualize biliary degeneration during liver metamorphosis in Sea Lamprey (Petromyzon marinus). J. Vis. Exp. 2014, 6, 51648. [Google Scholar] [CrossRef]
- Youson, J.H.; Sargent, P.A.; Ogilvie, D.; Shivers, R.R. Morphology of the green livers in upstream migrants of Petromyzon marinus L. J. Morphol. 1986, 188, 347–361. [Google Scholar] [CrossRef]
- Takagi, S.; Murata, H.; Goto, T.; Ichiki, T.; Endo, M.; Hatate, H.; Yoshida, T.; Sakai, T.; Yamashita, H.; Ukawa, M. Efficacy of taurine supplementation for preventing green liver syndrome and improving growth performance in yearling red sea bream Pagrus major fed low-fishmeal diet. Fish. Sci. 2006, 72, 1191–1199. [Google Scholar] [CrossRef]
- Takagi, S.; Murata, H.; Goto, T.; Ichiki, T.; Munasinghe, D.M.; Endo, M.; Matsumoto, T.; Sakurai, A.; Hatate, H.; Yoshida, T.; et al. The green liver syndrome is caused by taurine deficiency in yellowtail, Seriola quinqueradiata fed diets without fishmeal. Aquac. Sci. 2005, 53, 279–290. [Google Scholar] [CrossRef]
- Savina, M.V.; Konovalova, S.A.; Zubatkina, I.S.; Nikiforov, A.A. Reversible metabolic depression in lamprey hepatocytes during prespawning migration: Dynamics of mitochondrial membrane potential. Part B Comp. Biochem. Physiol. 2011, 160, 194–200. [Google Scholar] [CrossRef] [PubMed]
- Savina, M.V.; Emel’Yanova, L.V.; Korotkov, S.M.; Brailovskaya, I.V.; Nadeev, A.D. Bioenergetics of mitochondria of the liver with biliary atresia during prolonged starvation. Dokl. Biochem. Biophys. 2009, 425, 80–83. [Google Scholar] [CrossRef]
- Gamper, N.L.; Savina, M.V. Reversible metabolic depression in hepatocytes of lamprey (Lampetra fluviatilis) during pre-spawning: Regulation by substrate availability. Comp. Biochem. Physiol. B Biochem. Mol. Biol. 2000, 127, 147–154. [Google Scholar] [CrossRef]
- Sato, K.; Kawahara, A.; Amano, M. Stimulation of uridine phosphorylation in primary cultures of Xenopus laevis hepatocytes by Estradiol-17β. Cell Struct. Funct. 1984, 9, 157–165. [Google Scholar] [CrossRef] [PubMed]
- Cui, Z.; Amevor, F.K.; Feng, Q.; Kang, X.; Song, W.; Zhu, Q.; Wang, Y.; Li, D.; Zhao, X. Sexual maturity promotes yolk precursor synthesis and follicle development in hens via liver-blood-ovary signal axis. Animals 2020, 10, 2348. [Google Scholar] [CrossRef]
- Higashi, N.; Wake, K.; Sato, M.; Kojima, N.; Imai, K.; Senoo, H. Degradation of extracellular matrix by extrahepatic stellate cells in the intestine of the lamprey, Lampetra japonica. Anat. Rec. Part A-Discov Mol. Cell. Evol. Biol. 2005, 285, 668–675. [Google Scholar] [CrossRef]
- Benam, S.A.L.E.H.; Amiri, M.B.; Rafiee, G.R.; Abedi, M.A.J.I.D.; Namdariyan, A. Comparative study on the gastrointestinal tract of mature and maturing female and male of Caspian lamprey, Caspiomyzon wagneri (Kessler, 1870) in southern Caspian Sea (Cephalaspidomorphi: Petromyzontidae). Iran. J. Ichthyol. 2016, 3, 140–149. [Google Scholar]
- Langille, R.M.; Youson, J.H. Morphology of the intestine of prefeeding and feeding adult lampreys, (Petromyzon marinus): The mucosa of the posterior intestine and hindgut. J. Morphol. 1984, 182, 137–152. [Google Scholar] [CrossRef]
- Pankhurst, N.W.; Sorensen, P.W. Degeneration of the alimentary tract in sexually maturing European Anguilla anguilla (L.) and American eels Anguilla rostrata (Lesueur). Can. J. Zool. 1984, 62, 1143–1149. [Google Scholar] [CrossRef]







| Month | NOV | DEC | JAN | FEB | MAR | APR | MAY |
|---|---|---|---|---|---|---|---|
| Body weight (g) | 141.8 ± 10.3 a | 126.8 ± 11.7 b | 125.6 ± 7.4 b | 116.3 ± 5.2 bc | 106.0 ± 8.1 c | 103.5 ± 6.5 c | 100.3 ± 10.5 c |
| Body length (cm) | 43.2 ± 0.1 | 40.7 ± 1.4 | 40.9 ± 0.6 | 39.6 ± 1.2 | 38.9 ± 1.6 | 36.3 ± 0.7 | 35.5 ± 1.7 |
Disclaimer/Publisher’s Note: The statements, opinions and data contained in all publications are solely those of the individual author(s) and contributor(s) and not of MDPI and/or the editor(s). MDPI and/or the editor(s) disclaim responsibility for any injury to people or property resulting from any ideas, methods, instructions or products referred to in the content. |
© 2024 by the authors. Licensee MDPI, Basel, Switzerland. This article is an open access article distributed under the terms and conditions of the Creative Commons Attribution (CC BY) license (https://creativecommons.org/licenses/by/4.0/).
Share and Cite
Nowosad, J.; Kujawa, R.; Sherzada, S.; Kucharczyk, D.; Mikiewicz, M.; Dryl, K.; Kapusta, A.; Łuczyńska, J.; Abdel-Latif, H.M.R. Histomorphological and Dynamical Changes in Female River Lampreys during Maturation under Controlled Conditions as a Part of Lamprey Restoration Programs. Animals 2024, 14, 2516. https://doi.org/10.3390/ani14172516
Nowosad J, Kujawa R, Sherzada S, Kucharczyk D, Mikiewicz M, Dryl K, Kapusta A, Łuczyńska J, Abdel-Latif HMR. Histomorphological and Dynamical Changes in Female River Lampreys during Maturation under Controlled Conditions as a Part of Lamprey Restoration Programs. Animals. 2024; 14(17):2516. https://doi.org/10.3390/ani14172516
Chicago/Turabian StyleNowosad, Joanna, Roman Kujawa, Shahid Sherzada, Dariusz Kucharczyk, Mateusz Mikiewicz, Katarzyna Dryl, Andrzej Kapusta, Joanna Łuczyńska, and Hany M. R. Abdel-Latif. 2024. "Histomorphological and Dynamical Changes in Female River Lampreys during Maturation under Controlled Conditions as a Part of Lamprey Restoration Programs" Animals 14, no. 17: 2516. https://doi.org/10.3390/ani14172516
APA StyleNowosad, J., Kujawa, R., Sherzada, S., Kucharczyk, D., Mikiewicz, M., Dryl, K., Kapusta, A., Łuczyńska, J., & Abdel-Latif, H. M. R. (2024). Histomorphological and Dynamical Changes in Female River Lampreys during Maturation under Controlled Conditions as a Part of Lamprey Restoration Programs. Animals, 14(17), 2516. https://doi.org/10.3390/ani14172516

