Clinicopathological and Molecular Investigation of Newcastle Disease Outbreaks in Vaccinated and Non-Vaccinated Broiler Chicken Flocks in Nepal
Abstract
Simple Summary
Abstract
1. Introduction
2. Materials and Methods
2.1. Outbreak Summary
2.2. Clinical Observations and Rapid Screening of NDV
2.3. Gross Pathology
2.4. Histopathology
2.5. Molecular Analysis
3. Results
3.1. Clinical Findings
3.2. Rapid Screening Test
3.3. Necropsy Findings
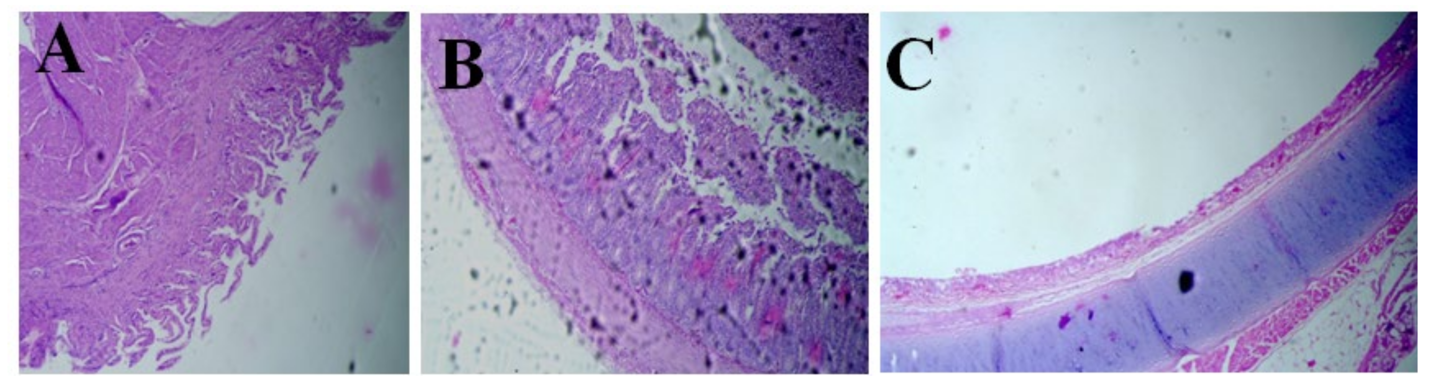
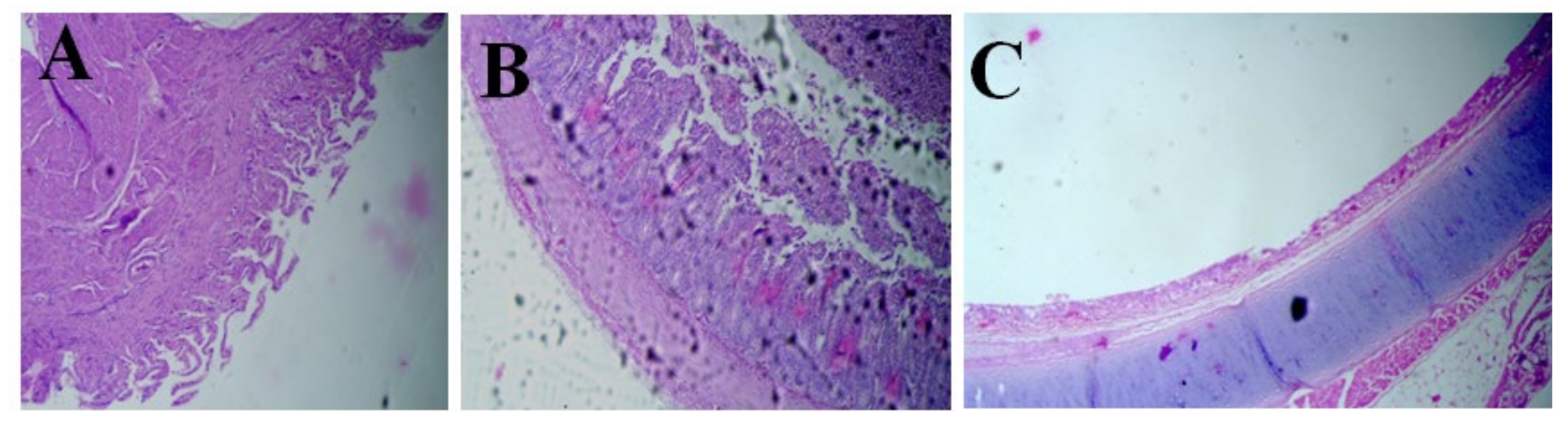
3.4. Histopathology Findings
3.5. Molecular Findings
4. Discussion
5. Conclusions
Author Contributions
Funding
Institutional Review Board Statement
Informed Consent Statement
Data Availability Statement
Acknowledgments
Conflicts of Interest
References
- Alexander, D.J. Newcastle disease and other avian paramyxoviruses. Rev. Sci. Tech. 2000, 19, 443–462. [Google Scholar]
- Suarez, D.L. Newcastle disease, other avian paramyxoviruses, and avian metapneumovirus infections. In Diseases of Poultry; Wiley-Blackwell: Hoboken, NJ, USA, 2020; pp. 109–166. [Google Scholar]
- Getabalew, M.; Akeberegn, D.; Getahun, D.; Zewdie, D. Epidemiology, Diagnosis & Prevention of Newcastle disease in poultry. Am. J. Biomed. Sci. Res. 2019, 3, 50–59. [Google Scholar]
- Brown, V.R.; Bevins, S.N. A review of virulent Newcastle disease viruses in the United States and the role of wild birds in viral persistence and spread. Vet. Res. 2017, 48, 68. [Google Scholar]
- Sharif, A.; Ahmad, T.; Umer, M.; Rehman, A.; Hussain, Z. Prevention and control of Newcastle disease. Int. J. Agric. Innov. Res. 2014, 3, 454–460. [Google Scholar]
- Miller, P.J.; Koch, G. Newcastle disease. In Diseases of Poultry; Swayne, D.E., Ed.; Wiley-Blackwell: Hoboken, NJ, USA, 2013; pp. 89–138. [Google Scholar]
- Alexander, D. Newcastle Disease and other Avian Paramyxoviridae Infections. In Diseases of Poultry; Calnel, B.W., Barnes, H.J., Beard, C.W., McDougald, L.R., Eds.; Iowa State University Press: Ames, IA, USA, 1997; pp. 541–547. [Google Scholar]
- Spalatin, J.; Hanson, R.P.; Jones, T.D. Edema of the eyelid and face of chickens exposed to the viscerotropic type of Newcastle Disease virus. Avian Dis. 1973, 17, 623–628. [Google Scholar]
- Swayne, D.E.; King, D.J. Avian influenza and Newcastle disease. J. Am. Vet. Med. Assoc. 2003, 222, 1534–1540. [Google Scholar] [PubMed]
- Kabiraj, C.K.; Mumu, T.T.; Chowdhury, E.H.; Islam, M.R.; Nooruzzaman, M. Sequential Pathology of a Genotype XIII Newcastle Disease Virus from Bangladesh in Chickens on Experimental Infection. Pathogens 2020, 9, 539. [Google Scholar] [CrossRef]
- Ratih, D.; Handharyani, E.; Setiyaningsih, S. Pathology and immunohistochemistry study of Newcastle disease field case in chicken in Indonesia. Vet. World 2017, 10, 1066–1071. [Google Scholar]
- Ewies, S.S.; Ali, A.; Tamam, S.M.; Madbouly, H.M. Molecular characterization of Newcastle disease virus (genotype VII) from broiler chickens in Egypt. Beni-Suef Univ. J. Basic Appl. Sci. 2017, 6, 232–237. [Google Scholar]
- Hussein, E.A.; Hair-Bejo, M.; Adamu, L.; Omar, A.R.; Arshad, S.S.; Awad, E.A.; Aini, I. Scoring System for Lesions Induced by Different Strains of Newcastle Disease Virus in Chicken. Vet. Med. Int. 2018, 2018, 9296520. [Google Scholar]
- Wise, M.G.; Suarez, D.L.; Seal, B.S.; Pedersen, J.C.; Senne, D.A.; King, D.J.; Kapczynski, D.R.; Spackman, E. Development of a real-time reverse-transcription PCR for detection of newcastle disease virus RNA in clinical samples. J. Clin. Microbiol. 2004, 42, 329–338. [Google Scholar]
- Lomniczi, B.; Wehmann, E.; Herczeg, J.; Ballagi-Pordány, A.; Kaleta, E.F.; Werner, O.; Meulemans, G.; Jorgensen, P.H.; Manté, A.P.; Gielkens, A.L.J.; et al. Newcastle disease outbreaks in recent years in Western Europe were caused by an old (VI) and a novel genotype (VII). Arch. Virol. 1998, 143, 49–64. [Google Scholar]
- Kumar, S.; Stecher, G.; Tamura, K. MEGA7: Molecular Evolutionary Genetics Analysis Version 7.0 for Bigger Datasets. Mol. Biol. Evol. 2016, 33, 1870–1874. [Google Scholar]
- Dimitrov, K.M.; Abolnik, C.; Afonso, C.L.; Albina, E.; Bahl, J.; Berg, M.; Briand, F.-X.; Brown, I.H.; Choi, K.-S.; Chvala, I.; et al. Updated unified phylogenetic classification system and revised nomenclature for Newcastle disease virus. Infect. Genet. Evol. 2019, 74, 103917. [Google Scholar] [PubMed]
- Reddy, R.; Patil, K.; Shah, N.; Rathod, P.; Chavda, N.; Ruparel, F.; Chhikara, M.K. Deciphering whole genome sequence of a Newcastle disease virus genotype VII.2 isolate from a commercial poultry farm in India. Gene Rep. 2024, 34, 101884. [Google Scholar]
- Moura, V.M.; Susta, L.; Cardenas-Garcia, S.; Stanton, J.B.; Miller, P.J.; Afonso, C.L.; Brown, C.C. Neuropathogenic Capacity of Lentogenic, Mesogenic, and Velogenic Newcastle Disease Virus Strains in Day-Old Chickens. Vet. Pathol. 2016, 53, 53–64. [Google Scholar]
- Ezema, W.S.; Eze, D.C.; Shoyinka, S.V.O.; Okoye, J.O.A. Atrophy of the lymphoid organs and suppression of antibody response caused by velogenic Newcastle disease virus infection in chickens. Trop. Anim. Health Prod. 2016, 48, 1703–1709. [Google Scholar]
- Numan, M.; Zahoor, M.A.; Khan, H.A.; Siddique, M. Serologic status of Newcastle disease in broilers and layers in Faisalabad and surrounding districts. Pak. Vet. J. 2005, 25, 55. [Google Scholar]
- Wodajo, W.; Mohammed, N.; Tora, E.; Seyoum, W. Sero-prevalence of Newcastle disease and associated risk factors in chickens at backyard chicken production Kindo Koisha, Wolaita zone, Southern Ethiopia. Front. Vet. Sci. 2023, 9, 1089931. [Google Scholar]
- Wiedermann, U.; Garner-Spitzer, E.; Wagner, A. Primary vaccine failure to routine vaccines: Why and what to do? Hum. Vaccines Immunother. 2016, 12, 239–243. [Google Scholar]
- Vidor, E. The nature and consequences of intra- and inter-vaccine interference. J. Comp. Pathol. 2007, 137 (Suppl. S1), S62–S66. [Google Scholar]
- Mariappan, A.K.; Munusamy, P.; Kumar, D.; Latheef, S.K.; Singh, S.D.; Singh, R.; Dhama, K. Pathological and molecular investigation of velogenic viscerotropic Newcastle disease outbreak in a vaccinated chicken flocks. Virusdisease 2018, 29, 180–191. [Google Scholar] [PubMed]
- Meher, M.M.; Islam, J.; Afrin, M. Investigation of risk factors and biosecurity measures associated with prevalence of newcastle disease virus in broiler farms. Turk. J. Agric.-Food Sci. Technol. 2020, 8, 2426–2432. [Google Scholar]
- Winterfield, R.W.; Dhillon, A.S.; Alby, L.J. Vaccination of chickens against Newcastle disease with live and inactivated Newcastle disease virus. Poult. Sci. 1980, 59, 240–246. [Google Scholar] [PubMed]
- Sedeik, M.E.; Elbestawy, A.; El-Shall, N.; El-Hack, M.A.; Saadeldin, I.; Swelum, A. Comparative efficacy of commercial inactivated Newcastle disease virus vaccines against Newcastle disease virus genotype VII in broiler chickens. Poult. Sci. 2019, 98, 2000–2007. [Google Scholar]
- Sultan, H.A.; Talaat, S.; Elfeil, W.K.; Selim, K.; Kutkat, M.A.; Amer, S.A.; Choi, K.-S. Protective efficacy of the Newcastle disease virus genotype VII-matched vaccine in commercial layers. Poult. Sci. 2020, 99, 1275–1286. [Google Scholar]
- Sattar, S.A.; Ijaz, M.K. Spread of Viral-Infections by Aerosols. Crc Crit. Rev. Environ. Control 1987, 17, 89–131. [Google Scholar]
- Cattoli, G.; Kumar, S.; Nayak, B.; Samal, S.K. Newcastle disease: A review of field recognition and current methods of laboratory detection. J. Vet. Diagn. Investig. 2011, 23, 637–656. [Google Scholar]
- Paldurai, A.; Kumar, S.; Nayak, B.; Samal, S.K. Complete genome sequence of highly virulent neurotropic Newcastle disease virus strain Texas GB. Virus Genes 2010, 41, 67–72. [Google Scholar]
- Abdisa, T.; Tagesu, T. Review on Newcastle disease of poultry and its public health importance. J. Anim. Poult. Sci. 2017, 6, 29–39. [Google Scholar]
- Ojok, L.; Brown, C. An immunohistochemical study of the pathogenesis of virulent viscerotropic Newcastle disease in chickens. J. Comp. Pathol. 1996, 115, 221–227. [Google Scholar] [PubMed]
- Mase, M.; Imai, K.; Sanada, Y.; Sanada, N.; Yuasa, N.; Imada, T.; Tsukamoto, K.; Yamaguchi, S. Phylogenetic analysis of Newcastle disease virus genotypes isolated in Japan. J. Clin. Microbiol. 2002, 40, 3826–3830. [Google Scholar] [PubMed]
- Abdul-Aziz, T.A.; Arp, L.H. Pathology of the trachea in turkeys exposed by aerosol to lentogenic strains of Newcastle disease virus. Avian Dis. 1983, 27, 1002–1011. [Google Scholar] [PubMed]
- Brar, R.S.; Leishangthem, G.D.; Gadhave, P.; Singh, N.; Banga, H.; Mahajan, V.; Sodhi, S. Diagnosis of Newcastle disease in broiler by histopathology and immunohistochemistry. Indian J. Vet. Pathol. 2017, 41, 60–62. [Google Scholar]
- Mohammadamin, O.G.; Qubih, T.S. Histopathology of virulent Newcastle disease virus in immune broiler chickens treated with IMBO®. Iraqi J. Vet. Sci. 2011, 25, 9–13. [Google Scholar]
- Kianizadeh, M.; Aini, I.; Gholami, G.R. A comparative study on histopathologic effects of Iranian Newcastle disease virus isolates. Arch. Razi Inst. 2002, 54, 17–29. [Google Scholar]
- Gopal, P.A.; Narayanaswamy, H.D.; Sathyanarayana, M.L.; Rao, S.; Rathnamma, D.; Hemadri, D. Studies on respiratory tract pathology and molecular diagnosis of Newcastle disease in chickens in Karnataka. Pharma Innov. Int. J. 2023, 12, 772–779. [Google Scholar]
- Napit, R.; Poudel, A.; Pradhan, S.M.; Manandhar, P.; Ghaju, S.; Sharma, A.N.; Joshi, J.; Tha, S.; Dhital, K.; Rajbhandari, U.; et al. Newcastle disease burden in Nepal and efficacy of Tablet I2 vaccine in commercial and backyard poultry production. PLoS ONE 2023, 18, e0280688. [Google Scholar]




| District | Farm Location | Flock Size | Age of Onset (Days) | Vaccine Administered 1 | Vaccinated on (days) | Eventual Fatality | Estimated Number of Sick Birds at Reporting | Positive/Tested Samples (ND Rapid Test Kits) |
|---|---|---|---|---|---|---|---|---|
| Chitwan | Khadrauli | 500 | 19 | F1 | 6 | 100% | 125 | 11/12 |
| Shukranagar | 790 | 22 | - | - | 100% | 160 | 14/16 | |
| Jhuwani, | 600 | 30 | F1 | 7 | 100% | 100 | 9/10 | |
| LaSota | 28 | |||||||
| Tandi | 400 | 30 | F1 | 7 | 100% | 150 | 15/15 | |
| Tandi | 1000 | 16 | F1 | 5 | 100% | 200 | 18/20 | |
| Bakulahar | 500 | 36 | - | - | 100% | 250 | 25/25 | |
| Parbatipur | 650 | 34 | F1 | 7 | 100% | 150 | 14/15 | |
| LaSota | 28 | |||||||
| Nawalpur | Daldale | 3200 | 19 | F1 | 6 | 100% | 400 | 37/40 |
| Harkapur | 700 | 32 | F1 | 6 | 100% | 200 | 19/20 | |
| Gaidakot | 1500 | 27 | F1 | 6 | 100% | 200 | 18/20 | |
| LaSota | 25 | |||||||
| Total | 9840 | = 26.5 | 1935 | 180/193 |
Disclaimer/Publisher’s Note: The statements, opinions and data contained in all publications are solely those of the individual author(s) and contributor(s) and not of MDPI and/or the editor(s). MDPI and/or the editor(s) disclaim responsibility for any injury to people or property resulting from any ideas, methods, instructions or products referred to in the content. |
© 2024 by the authors. Licensee MDPI, Basel, Switzerland. This article is an open access article distributed under the terms and conditions of the Creative Commons Attribution (CC BY) license (https://creativecommons.org/licenses/by/4.0/).
Share and Cite
Regmi, S.; Bhatta, R.; Pal, P.; Shrestha, A.; Mató, T.; Puri, B.; Paudel, S. Clinicopathological and Molecular Investigation of Newcastle Disease Outbreaks in Vaccinated and Non-Vaccinated Broiler Chicken Flocks in Nepal. Animals 2024, 14, 2423. https://doi.org/10.3390/ani14162423
Regmi S, Bhatta R, Pal P, Shrestha A, Mató T, Puri B, Paudel S. Clinicopathological and Molecular Investigation of Newcastle Disease Outbreaks in Vaccinated and Non-Vaccinated Broiler Chicken Flocks in Nepal. Animals. 2024; 14(16):2423. https://doi.org/10.3390/ani14162423
Chicago/Turabian StyleRegmi, Subash, Rajesh Bhatta, Pushkar Pal, Arvindra Shrestha, Tamás Mató, Bikash Puri, and Surya Paudel. 2024. "Clinicopathological and Molecular Investigation of Newcastle Disease Outbreaks in Vaccinated and Non-Vaccinated Broiler Chicken Flocks in Nepal" Animals 14, no. 16: 2423. https://doi.org/10.3390/ani14162423
APA StyleRegmi, S., Bhatta, R., Pal, P., Shrestha, A., Mató, T., Puri, B., & Paudel, S. (2024). Clinicopathological and Molecular Investigation of Newcastle Disease Outbreaks in Vaccinated and Non-Vaccinated Broiler Chicken Flocks in Nepal. Animals, 14(16), 2423. https://doi.org/10.3390/ani14162423

