Characterization of Bovine Papillomavirus Types Detected in Cattle Rumen Tissues from Amazon Region, Brazil
Simple Summary
Abstract
1. Introduction
2. Material and Methods
2.1. Research Ethics
2.2. Sample Collection
2.3. PCR, Sequencing and Sequence Analysis
2.4. Phylogenetic Analysis
2.5. Histopathological Analysis
3. Results
3.1. PCR, Genetic Sequencing and Phylogenetic Analysis
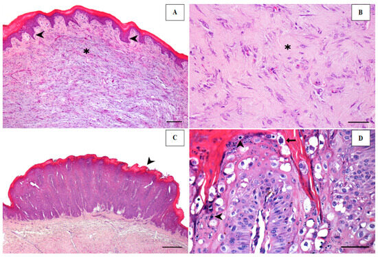
3.2. Histopathological Analysis
4. Discussion
5. Conclusions
Author Contributions
Funding
Institutional Review Board Statement
Informed Consent Statement
Data Availability Statement
Conflicts of Interest
References
- Antonsson, A.; Hansson, B.G. Healthy Skin of Many Animal Species Harbors Papillomaviruses Which Are Closely Related to Their Human Counterparts. J. Virol. 2002, 76, 12537–12542. [Google Scholar] [CrossRef]
- de Villiers, E.-M.; Fauquet, C.; Broker, T.R.; Bernard, H.-U.; zur Hausen, H. Classification of papillomaviruses. Virology 2004, 324, 17–27. [Google Scholar] [CrossRef] [PubMed]
- López-Bueno, A.; Mavian, C.; Labella, A.M.; Castro, D.; Borrego, J.J.; Alcami, A.; Alejo, A. Concurrence of Iridovirus, Polyomavirus, and a Unique Member of a New Group of Fish Papillomaviruses in Lymphocystis Disease-Affected Gilthead Sea Bream. J. Virol. 2016, 90, 8768–8779. [Google Scholar] [CrossRef]
- Borzacchiello, G.; Roperto, F. Bovine papillomaviruses, papillomas and cancer in cattle. Vet. Res. 2008, 39, 45. [Google Scholar] [CrossRef]
- Bianchi, R.M.; Alves, C.D.B.T.; Schwertz, C.I.; Panziera, W.; De Lorenzo, C.; da Silva, F.S.; de Cecco, B.S.; Daudt, C.; Chaves, F.R.; Canal, C.W.; et al. Molecular and pathological characterization of teat papillomatosis in dairy cows in southern Brazil. Braz. J. Microbiol. 2019, 51, 369–375. [Google Scholar] [CrossRef]
- Sauthier, J.T.; Daudt, C.; da Silva, F.R.C.; Alves, C.D.B.T.; Mayer, F.Q.; Bianchi, R.M.; Driemeier, D.; Streit, R.S.A.; Staats, C.C.; Canal, C.W.; et al. The genetic diversity of “papillomavirome” in bovine teat papilloma lesions. Anim. Microbiome 2021, 3, 51. [Google Scholar] [CrossRef]
- de Alcântara, B.K.; Lunardi, M.; Agnol, A.M.D.; Alfieri, A.F.; Alfieri, A.A. Detection and Quantification of the E6 Oncogene in Bovine Papillomavirus Types 2 and 13 From Urinary Bladder Lesions of Cattle. Front. Vet. Sci. 2021, 8, 673189. [Google Scholar] [CrossRef]
- Medeiros-Fonseca, B.; Abreu-Silva, A.L.; Medeiros, R.; Oliveira, P.A.; Gil da Costa, R.M. Pteridium spp. and Bovine Papillomavirus: Partners in Cancer. Front. Vet. Sci. 2021, 8, 758720. [Google Scholar] [CrossRef]
- Van Doorslaer, K.; Li, Z.; Xirasagar, S.; Maes, P.; Kaminsky, D.; Liou, D.; Sun, Q.; Kaur, R.; Huyen, Y.; McBride, A.A. Papilomavírus Episteme: Uma grande atualização para o banco de dados de sequência de papilomavírus. Res. Nucleic Acids 2016, 45, D499–D506. [Google Scholar] [CrossRef]
- Yamashita-Kawanishi, N.; Tsuzuki, M.; Kasuya, F.; Chang, H.-W.; Haga, T. Genomic characterization of a novel bovine papillomavirus type 28. Virus Genes 2020, 56, 594–599. [Google Scholar] [CrossRef]
- Yamashita-Kawanishi, N.; Ito, S.; Ishiyama, D.; Chambers, J.K.; Uchida, K.; Kasuya, F.; Haga, T. Characterization of Bovine papillomavirus 28 (BPV28) and a novel genotype BPV29 associated with vulval papillomas in cattle. Vet. Microbiol. 2020, 250, 108879. [Google Scholar] [CrossRef]
- Daudt, C.; Da Silva, F.R.C.; Lunardi, M.; Alves, C.B.D.T.; Weber, M.N.; Cibulski, S.P.; Alfieri, A.A.; Canal, C.W. Papillomaviruses in ruminants: An update. Transbound. Emerg. Dis. 2018, 65, 1381–1395. [Google Scholar] [CrossRef]
- Stocco-Dos-Santos, R.C.; Lindsey, C.J.; Ferraz, O.P.; Pinto, J.R.; Mirandola, R.S.; Benes, F.J.; Birgel, E.H.; Bragança, C.A.P.; Beçak, W. Bovine papillomavirus transmission and chromosomal aberrations: An experimental model. J. Gen. Virol. 1998, 79, 2127–2135. [Google Scholar] [CrossRef] [PubMed]
- de Freitas, A.C.; de Carvalho, C.; Brunner, O.; Birgel-Junior, E.H.; Dellalibera, A.M.M.P.; Benesi, F.J.; Gregory, L.; Beçak, W.; Santos, R.d.C.S.d. Viral DNA sequences in peripheral blood and vertical transmission of the virus: A discussion about BPV-1. Braz. J. Microbiol. 2003, 34, 76–78. [Google Scholar] [CrossRef]
- Wosiacki, S.R.; Claus, M.P.; Alfieri, A.F.; Alfieri, A.A. Bovine papillomavirus type 2 in the urinary bladder of cattle with chronic enzootic haematuria. Memórias Do Inst. Oswaldo Cruz-Fiocruz 2006, 101, 635–638. [Google Scholar] [CrossRef]
- Araldi, R.; Carvalho, R.; Melo, T.; Diniz, N.; Sant’ana, T.; Mazzuchelli-De-Souza, J.; Spadacci-Morena, D.; Beçak, W.; Stocco, R. Bovine papillomavirus in beef cattle: First description of BPV-12 and putative type BAPV8 in Brazil. Genet. Mol. Res. 2014, 13, 5644–5653. [Google Scholar] [CrossRef]
- da Silva, F.R.C.; Daudt, C.; Streck, A.F.; Weber, M.N.; Filho, R.V.L.; Driemeier, D.; Canal, C.W. Genetic characterization of Amazonian bovine papillomavirus reveals the existence of four new putative types. Virus Genes 2015, 51, 77–84. [Google Scholar] [CrossRef] [PubMed]
- Tessele, B.; Barros, C.S.L. Tumors in cattle found in slaughterhouses. Braz. Vet. Res. 2016, 36, 145–160. [Google Scholar] [CrossRef]
- Russo, V.; Roperto, F.; De Biase, D.; Cerino, P.; Urraro, C.; Munday, J.S.; Roperto, S. Bovine Papillomavirus Type 2 Infection Associated with Papillomatosis of the Amniotic Membrane in Water Buffaloes (Bubalus bubalis). Pathogens 2020, 9, 262. [Google Scholar] [CrossRef]
- Campo, M. Animal models of papillomavirus pathogenesis. Virus Res. 2002, 89, 249–261. [Google Scholar] [CrossRef]
- Kumar, P.; Nagarajan, N.; Saikumar, G.; Arya, R.S.; Somvanshi, R. Detection of bovine papilloma viruses in wart-like lesions of upper gastrointestinal tract of cattle and buffaloes. Transbound. Emerg. Dis. 2015, 62, 264–271. [Google Scholar] [CrossRef] [PubMed]
- Tsirimonaki, E.; O’Neil, B.; Williams, R.; Campo, M. Extensive papillomatosis of the bovine upper gastrointestinal tract. J. Comp. Pathol. 2003, 129, 93–99. [Google Scholar] [CrossRef] [PubMed]
- Haga, T.; Dong, J.; Zhu, W.; Burk, R.D. The many unknown aspects of bovine papillomavirus diversity, infection and pathogenesis. Vet. J. 2013, 197, 122–123. [Google Scholar] [CrossRef] [PubMed]
- Reis, M.O.; Slaviero, M.; Lorenzet, M.P.; Cruz, R.A.S.; Guimarães, L.L.B.; Pavarini, S.P.; Driemeier, D.; Sonne, L. Bovine neoplasms diagnosed at the Veterinary Pathology Sector of UFRGS, Porto Alegre (2005–2014). Braz. Vet. Res. 2017, 37, 105–109. [Google Scholar] [CrossRef]
- Martano, M.; Roperto, F.; Stocco, R.d.C.; Russo, V.; Borzacchiello, G.; Paciello, O.; Iovane, V.; Leonardi, L.; Maiolino, P.; Restucci, B.; et al. Bovine Papillomavirus Type 2 Infection and a Series of Mesenchymal Tumors of the Urinary Bladder in Cattle. BioMed Res. Int. 2013, 2013, 1–9. [Google Scholar] [CrossRef] [PubMed]
- Rector, A.; Van Ranst, M. Animal papillomaviruses. Virology 2013, 445, 213–223. [Google Scholar] [CrossRef] [PubMed]
- Munday, J.S. Bovine and Human Papillomaviruses: A Comparative Review. Vet. Pathol. 2014, 51, 1063–1075. [Google Scholar] [CrossRef] [PubMed]
- Forslund, O.; Antonsson, A.; Nordin, P.; Stenquist, B.; Hansson, B.G. A broad range of human papillomavirus types detected with a general PCR method suitable for analysis of cutaneous tumours and normal skin. J. Gen. Virol. 1999, 80, 2437–2443. [Google Scholar] [CrossRef]
- Larkin, M.A.; Blackshields, G.; Brown, N.P.; Chenna, R.; McGettigan, P.A.; McWilliam, H.; Valentin, F.; Wallace, I.M.; Wilm, A.; Lopez, R.; et al. Clustal W and Clustal X version 2.0. Bioinformatics 2007, 23, 2947–2948. [Google Scholar] [CrossRef]
- Kumar, S.; Stecher, G.; Li, M.; Knyaz, C.; Tamura, K. MEGA X: Molecular evolutionary genetics analysis across computing platforms. Mol. Biol. Evol. 2018, 35, 1547–1549. [Google Scholar] [CrossRef]
- Bernard, H.U.; Burk, R.D.; Chen, Z.; van Doorslaer, K.; Hausen, H.; zur de Villiers, E.M. Classification of papillomaviruses (PVs) based on 189 PV types and proposal of taxonomic amendments. Virology 2022, 401, 70–79. Available online: https://pubmed.ncbi.nlm.nih.gov/20206957/ (accessed on 15 February 2020). [CrossRef] [PubMed]
- Edgar, R.C. MUSCLE: Multiple sequence alignment with high accuracy and high throughput. Nucleic Acids Res. 2004, 32, 1792–1797. [Google Scholar] [CrossRef] [PubMed]
- Munday, J.S.; Löhr, C.V.; Kiupel, M. Tumors of the digestary tract. In Tumors in Domestic Animals, 5th ed.; Meuten, D.J., Ed.; Wiley Blackwell: Ames, United Arab Emirates, 2017; pp. 499–601. [Google Scholar]
- Daudt, C.; da Silva, F.R.C.; Streck, A.F.; Weber, M.N.; Mayer, F.Q.; Cibulski, S.P.; Canal, C.W. How many papillomavirus species can go undetected in papilloma lesions? Sci. Rep. 2016, 6, 36480. [Google Scholar] [CrossRef] [PubMed][Green Version]
- Ogawa, T.; Tomita, Y.; Okada, M.; Shinozaki, K.; Kubonoya, H.; Kaiho, I.; Shirasawa, H. Broad-spectrum detection of papillomaviruses in bovine teat papillomas and healthy teat skin. J. Gen. Virol. 2004, 85, 2191–2197. [Google Scholar] [CrossRef] [PubMed]
- Araldi, R.P.; Giovanni, D.N.S.; Melo, T.C.; Diniz, J.N.; Maz-Zuchelli-De-Souza, T.A.; Sant’Ana, R.F.; Carvalho, W.; Beçak, R.C.; Stocco, C. A Novel Simple and Versatile Method for the Papillomavirus Isolation through Ultracentrifugation. J. Virol. Methods 2014, 208, 119–124. [Google Scholar] [CrossRef] [PubMed]
- Claus, M.P.; Lunardi, M.; Alfieri, F.A.; Ferracin, M.L.; Fungaro, P.H.M.; Alfieri, A.A. Identification of unreported putative new bovine papillomavirus types in Brazilian cattle herds. Vet. Microbiol. 2008, 132, 396–401. [Google Scholar] [CrossRef] [PubMed]
- Daudt, C.; da Silva, F.R.; Cibulski, S.P.; Weber, M.N.; Mayer, F.Q.; Varela, A.P.M.; Roehe, P.M.; Canal, C.W. Complete genome sequence of Deltapapillomavirus 4 (bovine papillomavirus 2) from a bovine papillomavirus lesion in Amazon Region, Brazil. Memórias Do Inst. Oswaldo Cruz–FioCruz 2016, 111, 277–279. [Google Scholar] [CrossRef] [PubMed]
- Tozato, C.C.; Lunardi, M.; Alfieri, A.F.; Otonel, R.A.; Di Santis, G.W.; de Alcântara, B.K.; Headley, S.A.; Alfieri, A.A. Teat papillomatosis associated with bovine papillomavirus types 6, 7, 9, and 10 in dairy cattle from Brazil. Braz. J. Microbiol. 2013, 44, 905–909. [Google Scholar] [CrossRef]
- Lunardi, M.; Alfieri, A.A.; Otonel, R.A.A.; de Alcântara, B.K.; Rodrigues, W.B.; de Miranda, A.B.; Alfieri, A.F. Genetic characterization of a novel bovine papillomavirus member of the Deltapapillomavirus genus. Vet. Microbiol. 2013, 162, 207–213. [Google Scholar] [CrossRef]
- Crespo, S.E.I.; Lunardi, M.; Otonel, R.A.A.; Headley, S.A.; Alfieri, A.F.; Alfieri, A.A. Genetic characterization of a putative new type of bovine papillomavirus in the Xipapillomavirus 1 species in a Brazilian dairy herd. Virus Genes 2019, 55, 682–687. [Google Scholar] [CrossRef]
- Borzacchiello, G.; Ambrosio, V.; Roperto, S.; Poggiali, F.; Tsirimonakis, E.; Venuti, A.; Campo, M.; Roperto, F. Bovine papillomavirus type 4 in oesophageal papillomas of cattle from the south of Italy. J. Comp. Pathol. 2003, 128, 203–206. [Google Scholar] [CrossRef] [PubMed]
- Savini, F.; Gallina, L.; Alberti, A.; Müller, M.; Scagliarini, A. Bovine papillomavirus type 7 in Italy: Complete genomes and sequence variants. Virus Genes 2016, 52, 253–260. [Google Scholar] [CrossRef] [PubMed]
- Shimakura, H.; Dong, J.; Zhu, W.; Chambers, J.K.; Uchida, K.; Kiriki, K.; Uematsu, M.; Goto, Y.; Yasuda, M.; Yamashita-Kawanishi, N.; et al. Full genome analysis of bovine papillomavirus type 1 derived from a calf with severe cutaneous multiple papillomatosis. J. Vet. Med Sci. 2018, 80, 1691–1695. [Google Scholar] [CrossRef] [PubMed]
- Leroy, L.; Barbosa, J.A.R.G.; de Prat-Gay, G.; Polikarpov, I.; Pinheiro, C.B. The structure of the extended E2 DNA-binding domain of the bovine papillomavirus-1. Proteins Struct. Funct. Bioinform. 2020, 88, 106–112. [Google Scholar] [CrossRef]
- Freitas, A.C.; Silva, M.A.R.; Carvalho, C.C.R.; Birgel, E.H.; Santos, J.F.; Beçak, W.; Stocco, R.C. Papillomavírus DNA detection in non-epithelial tissues: A discussion about Bovine Papillomavírus. In Communicating Current Research and Educational Topics and Trends in Applied Microbiology; Mendez-Villas, A., Ed.; Formatex: Helsinki, Finland, 2007; pp. 697–704. [Google Scholar]
- Thomson, J.A. Morphological and genomicodiversity in the genus Pteridium (Dennstaedtiaceae). Ann. Bot. 2000, 85 (Suppl. S2), 77–99. [Google Scholar] [CrossRef]
- Dong, J.; Zhu, W.; Haga, T. Papillomavirus in yaks: The isolates of bovine papillomavirus type 1 have a high possibility of belonging to a novel type. J. Vet. Med Sci. 2016, 78, 1059–1061. [Google Scholar] [CrossRef][Green Version]
- Faccin, T.C.; Cargnelutti, J.F.; Rodrigues, F.d.S.; de Menezes, F.R.; Piazer, J.V.M.; de Melo, S.M.P.; Lautert, B.F.; Flores, E.F.; Kommers, G.D. Bovine upper alimentary squamous cell carcinoma associated with bracken fern poisoning: Clinical-pathological aspects and etiopathogenesis of 100 cases. PLoS ONE 2018, 13, e0204656. [Google Scholar] [CrossRef]
- Bocaneti, F.; Altamura, G.; Corteggio, A.; Velescu, E.; Roperto, F.; Borzacchiello, G. Bovine Papillomavirus: New Insights into an Old Disease. Transbound. Emerg. Dis. 2014, 63, 14–23. [Google Scholar] [CrossRef] [PubMed]
- Campo, M. Bovine papillomavirus and cancer. Vet. J. 1997, 154, 175–188. [Google Scholar] [CrossRef]
- Hamad, M.A.; Al-Shammari, A.M.; Odisho, S.M.; Yaseen, N.Y. Molecular Epidemiology of Bovine Papillomatosis and Identification of Three Genotypes in Central Iraq. Intervirology 2018, 60, 156–164. [Google Scholar] [CrossRef]




| Municipalities * | Sex | Sample | Histopathological Diagnosis |
|---|---|---|---|
| Alvorada do Oeste | ♂ | 02RO19R | Fibropapilloma |
| ♂ | 03RO19R | Fibropapilloma | |
| ♂ | 04RO19R | Fibropapilloma | |
| ♂ | 05RO19R | Fibropapilloma | |
| ♂ | 06RO19R | Fibropapilloma | |
| ♂ | 08RO19R | Fibropapilloma | |
| ♂ | 10RO19R | Squamous papilloma | |
| ♂ | 11RO19R | Squamous papilloma | |
| ♂ | 14RO19R | Fibropapilloma | |
| ♂ | 15RO19R | Fibropapilloma | |
| ♂ | 17RO19R | Fibropapilloma | |
| ♂ | 19RO19R | Fibropapilloma | |
| ♂ | 20RO19R | Squamous papilloma | |
| Ji-Paraná | ♂ | 22RO19R | Squamous papilloma |
| ♂ | 28RO19R | Fibropapilloma | |
| ♂ | 31RO19R | Squamous papilloma | |
| ♀ | 35RO19R | Squamous papilloma | |
| ♀ | 37RO19R | Fibropapilloma | |
| Mirante da Serra | ♀ | 39RO19R | Fibropapilloma |
| ♀ | 49RO19R | Squamous papilloma | |
| ♀ | 51RO19R | Fibropapilloma | |
| ♀ | 52RO19R | Fibropapilloma | |
| ♀ | 53RO19R | Fibropapilloma | |
| ♀ | 63RO19R | Squamous papilloma | |
| ♀ | 65RO19R | Squamous papilloma | |
| ♀ | 70RO19R | Squamous papilloma | |
| Urupá | ♀ | 71RO19R | Fibropapilloma |
| ♀ | 72RO19R | Fibropapilloma | |
| ♀ | 73RO19R | Squamous papilloma and Fibropapilloma | |
| ♀ | 74RO19R | Fibropapilloma | |
| ♀ | 84RO19R | Fibropapilloma | |
| ♀ | 85RO19R | Squamous papilloma | |
| ♀ | 95RO19R | Fibropapilloma | |
| ♀ | 98RO19R | Squamous papilloma |
| Municipalities * | Sex | Sample | Histopathological Diagnosis |
|---|---|---|---|
| Alvorada do Oeste | ♂ | 09RO19R | No Change |
| ♂ | 13RO19R | No Change | |
| ♂ | 25RO19R | Inconclusive ** | |
| Ji-Paraná | ♀ | 36RO19R | No Change |
| ♀ | 42RO19R | No Change | |
| ♀ | 43RO19R | No Change | |
| Mirante da Serra | ♀ | 46RO19R | No Change |
| ♀ | 47RO19R | No Change | |
| ♀ | 58RO19R | Non-diagnostic sample | |
| ♀ | 66RO19R | No Change | |
| ♀ | 67RO19R | No Change | |
| ♀ | 68RO19R | No Change | |
| ♀ | 69RO19R | Non-diagnostic sample | |
| ♀ | 71RO19R | Inconclusive ** | |
| ♀ | 72RO19R | Inconclusive ** | |
| Urupá | ♀ | 76RO19R | Inconclusive ** |
| ♀ | 77RO19R | No Change | |
| ♀ | 78RO19R | Inconclusive ** | |
| ♀ | 79RO19R | Inconclusive ** | |
| ♀ | 81RO19R | Inconclusive ** | |
| ♀ | 82RO19R | Inconclusive ** | |
| ♀ | 83RO19R | No Change | |
| ♀ | 86RO19R | Inconclusive ** | |
| ♀ | 87RO19R | Inconclusive ** | |
| ♀ | 88RO19R | Inconclusive ** | |
| ♀ | 89RO19R | No Change | |
| ♀ | 90RO19R | Inconclusive ** | |
| ♀ | 92RO19R | Non-diagnostic sample | |
| ♀ | 94RO19R | No Change | |
| ♀ | 99RO19R | Inconclusive ** | |
| ♀ | 100RO19R | Inconclusive ** |
| BPV Type | Genus | Municipalities * | Sex | Identity ** | Sample | Histopathological Diagnosis | GenBank Access No. |
|---|---|---|---|---|---|---|---|
| BPV2 M20219 | Delta | Alvorada do Oeste | ♂ | 98.02% | 01RO19R | Fibropapilloma | PP592889 |
| ♂ | 98.02% | 16RO19R | Fibropapilloma | PP481166 | |||
| ♂ | 98.02% | 18RO19R | Squamous papilloma | PP481167 | |||
| Ji-Paraná | ♀ | 98.02% | 29RO19R | Inconclusive | PP481171 | ||
| ♀ | 98.02% | 34RO19R | Fibropapilloma | PP481172 | |||
| ♀ | 98.02% | 50RO19R | Fibropapilloma | PP481168 | |||
| ♀ | 98.02% | 55RO19R | Fibropapilloma | PP619879 | |||
| ♀ | 98.02% | 62RO19R | Fibropapilloma | PP619881 | |||
| ♀ | 98.02% | 64RO19R | Fibropapilloma | PP619882 | |||
| BPV 13 JQ798171 | Delta | Alvorada do Oeste | ♂ | 100% | 07RO19R | Fibropapilloma | PP481164 |
| ♂ | 100% | 12RO19R | Fibropapilloma | PP481165 | |||
| ♂ | 100% | 26RO19R | Fibropapilloma | PP481169 | |||
| Ji-Paraná | ♂ | 100% | 27RO19R | Fibropapilloma | PP481170 | ||
| ♂ | 100% | 30RO19R | Fibropapilloma | PP619877 | |||
| ♀ | 100% | 36RO19R | No Change | PP481173 | |||
| ♀ | 100% | 40RO19R | Fibropapilloma | PP619878 | |||
| Mirante da Serra | ♀ | 100% | 56RO19R | Fibropapilloma | PP481176 | ||
| ♀ | 100% | 57RO19R | Fibropapilloma | PP645755 | |||
| ♀ | 100% | 61RO19R | Fibropapilloma | PP619880 | |||
| BPV44 MW543422 | Unclassified | Ji-Paraná | ♂ | 100% | 38RO19R | Squamous papilloma | PP645756 |
| Alvorada do Oeste | ♂ | 100% | 21RO19R | No Change | PP481168 | ||
| 94.42% | 49RO19R | Squamous papilloma | PP481174 |
Disclaimer/Publisher’s Note: The statements, opinions and data contained in all publications are solely those of the individual author(s) and contributor(s) and not of MDPI and/or the editor(s). MDPI and/or the editor(s) disclaim responsibility for any injury to people or property resulting from any ideas, methods, instructions or products referred to in the content. |
© 2024 by the authors. Licensee MDPI, Basel, Switzerland. This article is an open access article distributed under the terms and conditions of the Creative Commons Attribution (CC BY) license (https://creativecommons.org/licenses/by/4.0/).
Share and Cite
Gilio Gasparotto, P.H.; Ribeiro dos Santos, I.; Viera Dantas Filho, J.; Soares da Silva, M.; dos Anjos Souza, F.; de Macedo Sousa, J.C.; Driemeier, D.; Wageck Canal, C.; Chaves da Silva, F.R.; Daudt, C. Characterization of Bovine Papillomavirus Types Detected in Cattle Rumen Tissues from Amazon Region, Brazil. Animals 2024, 14, 2262. https://doi.org/10.3390/ani14152262
Gilio Gasparotto PH, Ribeiro dos Santos I, Viera Dantas Filho J, Soares da Silva M, dos Anjos Souza F, de Macedo Sousa JC, Driemeier D, Wageck Canal C, Chaves da Silva FR, Daudt C. Characterization of Bovine Papillomavirus Types Detected in Cattle Rumen Tissues from Amazon Region, Brazil. Animals. 2024; 14(15):2262. https://doi.org/10.3390/ani14152262
Chicago/Turabian StyleGilio Gasparotto, Paulo Henrique, Igor Ribeiro dos Santos, Jerônimo Viera Dantas Filho, Mariana Soares da Silva, Fernanda dos Anjos Souza, Jennefer Caroline de Macedo Sousa, David Driemeier, Cláudio Wageck Canal, Flavio Roberto Chaves da Silva, and Cíntia Daudt. 2024. "Characterization of Bovine Papillomavirus Types Detected in Cattle Rumen Tissues from Amazon Region, Brazil" Animals 14, no. 15: 2262. https://doi.org/10.3390/ani14152262
APA StyleGilio Gasparotto, P. H., Ribeiro dos Santos, I., Viera Dantas Filho, J., Soares da Silva, M., dos Anjos Souza, F., de Macedo Sousa, J. C., Driemeier, D., Wageck Canal, C., Chaves da Silva, F. R., & Daudt, C. (2024). Characterization of Bovine Papillomavirus Types Detected in Cattle Rumen Tissues from Amazon Region, Brazil. Animals, 14(15), 2262. https://doi.org/10.3390/ani14152262

