Ovarian Sex Cord Stromal Tumor in a Free-Ranging Brown Bear (Ursus arctos)
Abstract
Simple Summary
Abstract
1. Introduction
2. Materials and Methods
2.1. The Brown Bear
2.2. Diagnostic Procedures
3. Results
3.1. Gross Findings
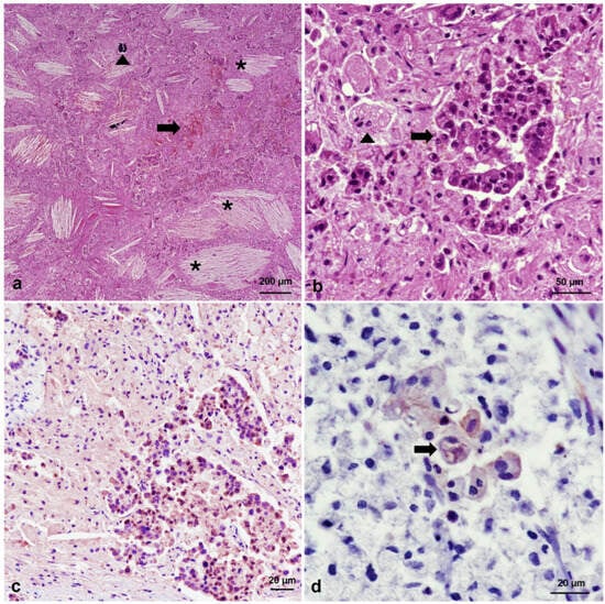
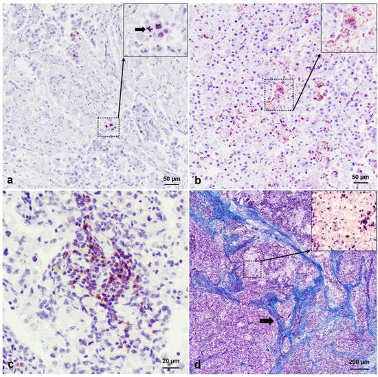
3.2. Microscopic Features
4. Discussion
5. Conclusions
Author Contributions
Funding
Institutional Review Board Statement
Informed Consent Statement
Data Availability Statement
Acknowledgments
Conflicts of Interest
References
- Kelly, E.J.; Roug, A.; Gray, S.; Baldwin, T.J. Peritoneal Mesothelioma in a Free-Ranging American Black Bear (Ursus Americanus). J. Wildl. Dis. 2021, 57, 230–233. [Google Scholar] [CrossRef] [PubMed]
- Elfadl, A.K.; Park, S.; Ullah, H.A.; Youn, S.H.; Chung, M.J.; Son, J.Y.; Lee, J.Y.; Lee, S.W.; Lee, A.R.; Baek, S.M.; et al. Sertoli Cell Tumor (SCT) in a Captive Black Bear (Ursus Americanus). Vet. Sci. 2019, 6, 77. [Google Scholar] [CrossRef] [PubMed]
- Balseiro, A.; Herrero-García, G.; García Marín, J.F.; Balsera, R.; Monasterio, J.M.; Cubero, D.; de Pedro, G.; Oleaga, Á.; García-Rodríguez, A.; Espinoza, I.; et al. New Threats in the Recovery of Large Carnivores Inhabiting Human-Modified Landscapes: The Case of the Cantabrian Brown Bear (Ursus Arctos). Vet. Res. 2024, 55, 24. [Google Scholar] [CrossRef] [PubMed]
- Rossi, G.; Laus, F.; Piccinini, A.; Piccinini, R.; Pasquinelli, F.; Gambi, R.; Paggi, E.; Tesei, B. Metastasizing Ovarian Carcinoma in an Eurasian Brown Bear (Ursus Arctos Arctos): A Case Report. Slov. Vet. Res. 2016, 53, 99–106. [Google Scholar]
- Gao, Q.; Wang, C.; Li, D.; Zhang, H.; Deng, L.; Li, C.; Chen, Z. A Case of Giant Panda Ovarian Cancer Diagnosis and Histopathology. BMC Vet. Res. 2018, 14, 311. [Google Scholar] [CrossRef] [PubMed]
- Staats, P.N.; Young, R.H. Sex Cord-Stromal, Steroid Cell, and Other Ovarian Tumors with Endocrine, Paraendocrine, and Paraneoplastic Manifestations. In Blaustein’s Pathology of the Female Genital Tract; Kurman, R.J., Ed.; Springer International Publishing: Cham, Switzerland, 2019; pp. 967–1045. [Google Scholar]
- Troisi, A.; Orlandi, R.; Vallesi, E.; Pastore, S.; Sforna, M.; Quartuccio, M.; Zappone, V.; Cristarella, S.; Polisca, A. Clinical and Ultrasonographic Findings of Ovarian Tumours in Bitches: A Retrospective Study. Theriogenology 2023, 210, 227–233. [Google Scholar] [CrossRef]
- Al Harbi, R.; McNeish, I.A.; El-Bahrawy, M. Ovarian Sex Cord-Stromal Tumors: An Update on Clinical Features, Molecular Changes, and Management. Int. J. Gynecol. Cancer 2021, 31, 161–168. [Google Scholar] [CrossRef] [PubMed]
- Durkes, A.; Garner, M.; Juan-Sallés, C.; Ramos-Vara, J.A. Immunohistochemical Characterization of Nonhuman Primate Ovarian Sex Cord-Stromal Tumors. Vet. Pathol. 2012, 49, 834–838. [Google Scholar] [CrossRef]
- El-Sheikh Ali, H.; Kitahara, G.; Nibe, K.; Osawa, T. Endocrinological Characterization of an Ovarian Sex Cord–Stromal Tumor with a Sertoli Cell Pattern in a Japanese Black Cow. Reprod. Domest. Anim. 2019, 54, 1501–1504. [Google Scholar] [CrossRef]
- Mehra, P.; Aditi, S.; Prasad, K.M.; Bariar, N. k Histomorphological Analysis of Ovarian Neoplasms According to the 2020 WHO Classification of Ovarian Tumors: A Distribution Pattern in a Tertiary Care Center. Cureus 2023, 15, 1–10. [Google Scholar] [CrossRef]
- Trecourt, A.; Donzel, M.; Alsadoun, N.; Allias, F.; Devouassoux-Shisheboran, M. Relevance of Molecular Pathology for the Diagnosis of Sex Cord–Stromal Tumors of the Ovary: A Narrative Review. Cancers 2023, 15, 5864. [Google Scholar] [CrossRef]
- Prichard, J.; Liu, H.; Wilkerson, M. Ovary. In Handbook of Practical Immunohistochemistry; Springer New York: New York, NY, USA, 2011; pp. 277–298. [Google Scholar]
- Riccardi, E.; Grieco, V.; Verganti, S.; Finazzi, M. Immunohistochemical Diagnosis of Canine Ovarian Epithelial and Granulosa Cell Tumors. J. Vet. Diagnostic Investig. 2007, 19, 431–435. [Google Scholar] [CrossRef]
- Costa, M.J.; Ames, P.F.; Walls, J.; Roth, L.M. Inhibin Immunohistochemistry Applied to Ovarian Neoplasms: A Novel, Effective, Diagnostic Tool. Hum. Pathol. 1997, 28, 1247–1254. [Google Scholar] [CrossRef] [PubMed]
- Fundación Oso de Asturias (FOA). Available online: https://www.osodeasturias.es/oso-pardo (accessed on 13 June 2024).
- Klevezal, G.A. Recording Structures of Mammals; Routledge: Abingdon, UK, 2017; ISBN 9780203741146. [Google Scholar]
- Koufopoulos, N.; Nasi, D.; Antoniadou, F.; Kokkali, S.; Theocharis, S. Kidney Carcinoma Ovarian Metastasis: Review of the Literature. Cureus 2018, 10, e3620. [Google Scholar] [CrossRef] [PubMed]
- Chung, D.-H.; Lee, S.-H.; Lee, K.-B. A Case of Ovarian Steroid Cell Tumor, Not Otherwise Specified, Treated with Surgery and Gonadotropin Releasing Hormone Agonist. J. Menopausal Med. 2014, 20, 39. [Google Scholar] [CrossRef] [PubMed][Green Version]
- Fadare, O.; Fard, E.V.; Bhargava, R.; Desouki, M.M.; Hanley, K.Z.; Ip, P.P.C.; Li, J.J.X.; Lu, B.; Medeiros, F.; Ng, J.H.Y.; et al. The Malignant Potential of Ovarian Steroid Cell Tumors Revisited. Am. J. Surg. Pathol. 2024, 48, 570–580. [Google Scholar] [CrossRef] [PubMed]
- Foster Female Reproductive System and Mammae. In Pathologic Basis of Veterinary Disease; Zachary, J.F., Ed.; Elsevier Inc.: Maryland Heights, MO, USA, 2017; pp. 1147–1193. ISBN 978-0-323-35775-3. [Google Scholar]
- Reiswich, V.; Gorbokon, N.; Luebke, A.M.; Burandt, E.; Menz, A.; Kluth, M.; Hube-Magg, C.; Wittmer, C.; Weidemann, S.; Fraune, C.; et al. Pattern of Placental Alkaline Phosphatase (PLAP) Expression in Human Tumors: A Tissue Microarray Study on 12,381 Tumors. J. Pathol. Clin. Res. 2021, 7, 577–589. [Google Scholar] [CrossRef]
- Scully, R.E. Tumors of the Ovary and Maldeveloped Gonads. In Atlas of Tumor Pathology; 2nd series, fascicle 16; Armed Forces Institute of Pathology: Washington, DC, USA, 1979; pp. 215–220. [Google Scholar]
- Jiang, W.; Tao, X.; Fang, F.; Zhang, S.; Xu, C. Benign and Malignant Ovarian Steroid Cell Tumors, Not Otherwise Specified: Case Studies, Comparison, and Review of the Literature. J. Ovarian Res. 2013, 6, 53. [Google Scholar] [CrossRef]
- Agrawal, N.; Vardhan, H.; Khokhar, S.; Rai, N.; Saxena, R.; Riyaz, S. Fine-Needle Aspiration Cytology of Ovarian Steroid Cell Tumor: A Rare Case Report. J. Cytol. 2015, 32, 284. [Google Scholar] [CrossRef] [PubMed]
- Mizoguchi, M.; Minami, S.; Yamamoto, M.; Tanizaki, Y.; Kobayashi, A.; Ino, K. Ovarian Steroid Cell Tumor, Not Otherwise Specified, Producing Testosterone. J. Obstet. Gynaecol. Res. 2014, 40, 2081–2085. [Google Scholar] [CrossRef]
- An, Y.; Yang, Q. Tumor-associated Macrophage-targeted Therapeutics in Ovarian Cancer. Int. J. Cancer 2021, 149, 21–30. [Google Scholar] [CrossRef] [PubMed]
- Abela, G.S.; Katkoori, V.R.; Pathak, D.R.; Bumpers, H.L.; Leja, M.; ul Abideen, Z.; Boumegouas, M.; Perry, D.; Al-Janadi, A.; Richard, J.E.; et al. Cholesterol Crystals Induce Mechanical Trauma, Inflammation, and Neo-Vascularization in Solid Cancers as in Atherosclerosis. Am. Hear. J. Plus Cardiol. Res. Pract. 2023, 35, 100317. [Google Scholar] [CrossRef] [PubMed]
- Polinas, M.; Burrai, G.P.; Marras, V.; Ariu, R.; Zedda, M.T.; Pau, S.; Antuofermo, E. Co-Occurrence of a Metastatic Mammary Liposarcoma and an Ovarian Sex-Cord Stromal Tumor in a Dog. Res. Vet. Sci. 2016, 109, 157–160. [Google Scholar] [CrossRef] [PubMed]
- Matemanosak, P.; Peeyananjarassri, K.; Suwanrath, C.; Wattanakumtornkul, S.; Klangsin, S.; Thiangphak, E.; Kanjanapradit, K. Ovarian Steroid Cell Tumor (Not Otherwise Specified) with Subsequent Spontaneous Pregnancy after Tumor Removal: A Case Report and Literature Review. Gynecol. Endocrinol. 2023, 39, 2186138. [Google Scholar] [CrossRef] [PubMed]
- Abbes, I.; Mrad, K.; Driss, M.; Sassi, S.; Dhouib, R.; Ben Romdhane, K. Smooth Muscle Differentiation in Ovarian Granulosa-Cell Tumours: A New Case Report. Pathologica 2008, 100, 6–8. [Google Scholar] [PubMed]
- Yang, Z.; Yang, X.; Xu, S.; Jin, P.; Li, X.; Wei, X.; Liu, D.; Huang, K.; Long, S.; Wang, Y.; et al. Reprogramming of Stromal Fibroblasts by SNAI2 Contributes to Tumor Desmoplasia and Ovarian Cancer Progression. Mol. Cancer 2017, 16, 163. [Google Scholar] [CrossRef] [PubMed]



| Target Cell Type | Primary Antibody (Dilution a) | Reference (Source) | Secondary Antibody (Dilution a) | Positive Tissue Control |
|---|---|---|---|---|
| Stroma-cells b | INHA, Inhibin-Alpha. Polyclonal (1:200) | PA5-95909 (Invitrogen-ThermoFisher Scientific. Waltham, MA, USA) | Goat anti-rabbit biotinylated (1:200) | Rabbit ovary |
| Germ-cells b | PLAP, Placental Alkaline Phosphatase. Polyclonal (1:500) | PA5-78764 (Invitrogen-ThermoFisher Scientific. Waltham, MA, USA) | Goat anti-rabbit biotinylated (1:200) | Rabbit ovary |
| Macrophages b | IBA1, Ionized Calcium-Binding Adapter Molecule. Polyclonal (1:1000) | 019-19741 (FUJIFILM Wako Pure Chemical Corporation. Osaka, Japan) | Goat anti-rabbit biotinylated (1:200) | Badger lymph node |
| T Lymphocytes b | CD3. Monoclonal (1:500) | NCL-L-CD3-565 (Leica Biosystems. Newcastle, UK) | Horse anti-mouse biotinylated (1:200) | Badger lymph node |
| B lymphocytes b | CD20. Polyclonal (1:400) | PA5-16701 (Invitrogen-ThermoFisher Scientific. Waltham, MA, USA) | Goat anti-rabbit biotinylated (1:200) | Badger lymph node |
| Proliferative cells c | Ki-67. Monoclonal (1:2000) | MIB-1. M7240 (DAKO. Glostrup, Denmark) | Horse anti-mouse biotinylated (1:200) | Sheep intestine |
| Smooth muscle cells and miofibroblasts c | α-SMA, Actin Alpha-Smooth Muscle. Monoclonal (1:50) | 1A4. A2547 (Sigma-Aldrich. Saint Louis, MO, USA) | Horse anti-mouse biotinylated (1:200) | Sheep intestine |
Disclaimer/Publisher’s Note: The statements, opinions and data contained in all publications are solely those of the individual author(s) and contributor(s) and not of MDPI and/or the editor(s). MDPI and/or the editor(s) disclaim responsibility for any injury to people or property resulting from any ideas, methods, instructions or products referred to in the content. |
© 2024 by the authors. Licensee MDPI, Basel, Switzerland. This article is an open access article distributed under the terms and conditions of the Creative Commons Attribution (CC BY) license (https://creativecommons.org/licenses/by/4.0/).
Share and Cite
García-Álvarez, N.; Oleaga, Á.; García-Iglesias, M.J.; Pérez-Martínez, C.; Fernández, D.; Álvarez, L.M.; Balsera, R.; Balseiro, A. Ovarian Sex Cord Stromal Tumor in a Free-Ranging Brown Bear (Ursus arctos). Animals 2024, 14, 1936. https://doi.org/10.3390/ani14131936
García-Álvarez N, Oleaga Á, García-Iglesias MJ, Pérez-Martínez C, Fernández D, Álvarez LM, Balsera R, Balseiro A. Ovarian Sex Cord Stromal Tumor in a Free-Ranging Brown Bear (Ursus arctos). Animals. 2024; 14(13):1936. https://doi.org/10.3390/ani14131936
Chicago/Turabian StyleGarcía-Álvarez, Natalia, Álvaro Oleaga, María José García-Iglesias, Claudia Pérez-Martínez, Daniel Fernández, Luis Miguel Álvarez, Ramón Balsera, and Ana Balseiro. 2024. "Ovarian Sex Cord Stromal Tumor in a Free-Ranging Brown Bear (Ursus arctos)" Animals 14, no. 13: 1936. https://doi.org/10.3390/ani14131936
APA StyleGarcía-Álvarez, N., Oleaga, Á., García-Iglesias, M. J., Pérez-Martínez, C., Fernández, D., Álvarez, L. M., Balsera, R., & Balseiro, A. (2024). Ovarian Sex Cord Stromal Tumor in a Free-Ranging Brown Bear (Ursus arctos). Animals, 14(13), 1936. https://doi.org/10.3390/ani14131936

