Organic Iodine Improves the Growth Performance and Gut Health of Fujian Yellow Rabbits
Abstract
Simple Summary
Abstract
1. Introduction
2. Materials and Methods
2.1. Experimental Materials
2.2. Experimental Methods
2.3. Experimental Design
2.3.1. Animal Experiments
2.3.2. Sample Collection
2.3.3. Growth Performance
2.3.4. Serum Biochemical Analysis
2.3.5. Intestinal Mucosal Immunity
2.3.6. Intestinal Enzyme Activity
2.3.7. Gut Morphometry and Morphology
2.3.8. Cecal Fermentation
2.3.9. Cecal Flora Structure
2.4. Statistical Analysis
3. Results
3.1. Growth Performance
3.2. Serum Biochemical Indicators
3.3. Intestinal Mucosal Immunity
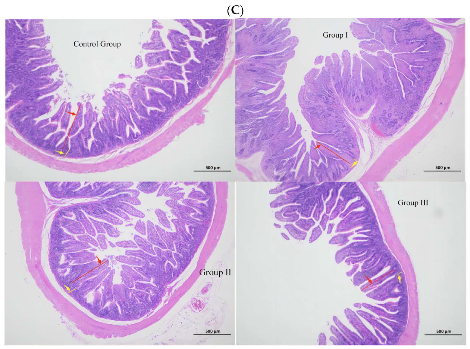
3.4. Intestinal Histomorphology
3.5. Intestinal Enzyme Activity
3.6. Cecal Fermentation
3.7. Cecal Flora Structure
3.7.1. Sequencing Data and OTU Clustering
3.7.2. Alpha and Beta Diversity Analysis
3.7.3. Relative Abundance Analysis at the Phylum, Family, and Genus Level
3.7.4. Intergroup Differential Species and Functional Prediction
4. Discussion
5. Conclusions
Author Contributions
Funding
Institutional Review Board Statement
Informed Consent Statement
Data Availability Statement
Conflicts of Interest
References
- Jiang, Y.-X.; Li, R.; Zhong, G.-Q.; Zhang, Z.-P. Research Status and Application of Organic lodine. Guangdong Trace Elem. Sci. 2010, 17, 12–16. [Google Scholar]
- Mehri, A. Trace elements in human nutrition (II)–An update. Int. J. Prev. Med. 2020, 11, 2. [Google Scholar] [CrossRef]
- Lu, H.; Wu, W.; Zhao, X.; Abbas, M.W.; Liu, S.; Hao, L.; Xue, Y. Effects of Diets Containing Different Levels of Copper, Manganese, and Iodine on Rumen Fermentation, Blood Parameters, and Growth Performance of Yaks. Animals 2023, 13, 2651. [Google Scholar] [CrossRef] [PubMed]
- Huang, X.; Wang, Z.; Chen, J.; Wu, S.; Deng, P.; Li, C.; Zhang, X.; Jiang, G.; Dai, Q. Effects of Organic Trace Elements on Growth Performance, Slaughter Performance, Serum Indices and Trace Elements Contents in Feces of Meat Ducks. Chin. J. Anim. Nutr. 2022, 34, 7801. (In Chinese) [Google Scholar]
- Kohles, M. Gastrointestinal Anatomy and Physiology of Select Exotic Companion Mammals. Vet. Clin. N. Am.-Exot. Anim. Pract. 2014, 17, 165–178. [Google Scholar] [CrossRef] [PubMed]
- Han, X.-D.; Xue, Y.-F.; Hao, L.-Z.; Liu, S.J.; Zhu, J.Z. Effects of different Iodine addition level on rumen fermentation in Vitro in yak. Chin. Qinghai J. Anim. Vet. Sci. 2019, 49, 25–31. (In Chinese) [Google Scholar]
- Huang, A.-M.; Ouyang, J.-H.; Liu, B.-S. Effect of high iodine dietary on milk yield and milk iodine of lactating dairy cows. Guangdong Agric. Sci. 2005, 85–87. (In Chinese) [Google Scholar] [CrossRef]
- Zhang, L.-Q.; Tian, Z.-X. Application Research of Iodine Nutrition in Swine Diet. J. Anim. Sci. Vet. Med. 2011, 30, 47–48. (In Chinese) [Google Scholar]
- Wang, Y.-H.; Xie, Y.-H.; Zhou, S.-C.; Zhang, S.-Y.; He, H. Effect of oils and fats with different iodine valence on the production performance of three-yellow chicken. China Poult. Sci. 2018, 9, 48–50. (In Chinese) [Google Scholar]
- Lu, S.-Y. Effects of Dietary Selenium, Iodine and VE Supplementation on Reproductive Performance of Ewes. Master’s Thesis, Guizhou University, Guiyang, China, 2021. (In Chinese). [Google Scholar]
- Marco, I.; Andrea, I.; Ramy, E.; Martino, C.; Giantin, M.; Cerretani, L.; Dacasto, M.; Martino, G. Iodine Supplemented Diet Positively Affect Immune Response and Dairy Product Quality in Fresian Cow. Animals 2019, 9, 866. [Google Scholar] [CrossRef]
- NY/T 4049-2021; Nutritional Requirements of Meat Rabbits. Ministry of Agriculture and Rural Affairs: Beijing, China, 2021.
- Broderick, G.A.; Kang, J.H. Automated Simultaneous Determination of Ammonia and Total Amino Acids in Ruminal Fluid and In Vitro Media. J. Dairy Sci. 1980, 63, 64–75. [Google Scholar] [CrossRef] [PubMed]
- Clemmons, B.A.; Shin, S.B.; Smith, T.P.L.; Embree, M.M.; Voy, B.H.; Schneider, L.G.; Donohoe, D.R.; McLean, K.J.; Myer, P.R. Ruminal Protozoal Populations of Angus Steers Differing in Feed Efficiency. Animals 2021, 11, 1561. [Google Scholar] [CrossRef]
- Mancini, S.; Paci, G. Probiotics in Rabbit Farming: Growth Performance, Health Status, and Meat Quality. Animals 2021, 11, 3388. [Google Scholar] [CrossRef] [PubMed]
- Wang, Y.; Wang, Y.; Lin, X.; Gou, Z.; Fan, Q.; Ye, J.; Jiang, S. Potential Effects of Acidifier and Amylase as Substitutes for Antibiotic on the Growth Performance, Nutrient Digestion and Gut Microbiota in Yellow-Feathered Broilers. Animals 2020, 10, 1858. [Google Scholar] [CrossRef]
- Lin, Z.; Yang, G.; Zhang, M.; Yang, R.; Wang, Y.; Guo, P.; Zhang, J.; Wang, C.; Liu, Q.; Gao, Y. Dietary Supplementation of Mixed Organic Acids Improves Growth Performance, Immunity, and Antioxidant Capacity and Maintains the Intestinal Barrier of Ira Rabbits. Animals 2023, 13, 3140. [Google Scholar] [CrossRef] [PubMed]
- Shen, L.; Liu, G.-Y.; Zuo, W.-S.; Zhao, X.-Y.; Liu, L.; Li, F.-C. Effects of Dietary Iodine Supplemental Level on Growth Performance. Slaughter Performance, Meat Ouality and Fur Quality of Growing Rex Rabbits. Chin. J. Anim. Nutr. 2018, 30, 156–162. [Google Scholar]
- Sarlak, S.; Tabeidian, S.A.; Toghyani, M.; Foroozandeh, S.; Amir, D.; Goli, M.; Habibian, M. Supplementation of two sources and three levels of iodine in the diet of laying hens: Effects on performance, egg quality, serum and egg yolk lipids, antioxidant status, and iodine accumulation in eggs. Ital. J. Anim. Sci. 2020, 19, 974–988. [Google Scholar] [CrossRef]
- Röttger, A.S.; Halle, I.; Wagner, H.; Breves, G.; Flachowsky, G. The effect of various iodine supplementations and two different iodine sources on performance and iodine concentrations in different tissues of broilers. Br. Poult. Sci. 2011, 52, 115–123. [Google Scholar] [CrossRef]
- Li, X.-C.; Wang, F.-X.; Wang, B.-W.; Ge, C.-H.; Zhang, M.-A.; Li, W.-L. Effects of lodine on Growth Performance, Slaughter Performance and Serum Antioxidation lndicators of Wu long Geese Aged from 1 to 4 Weeks. Chin. J. Anim. Nutr. 2016, 28, 1084–1089. [Google Scholar]
- Xu, Y.-H.; Wang, B.-W.; Li, X.-C.; Ge, W.-H.; Wang, X.-W.; Li, W.-L. Effects of dietary lodine supplemental level on growth performance, slaughter performance, nutrient utilization and nutrient utilization of wulong geese. Chin. J. Anim. Nutr. 2018, 30, 4947–4953. [Google Scholar]
- Chung, H.R. Iodine and thyroid function. Ann. Pediatr. Endocrinol. Metab. 2014, 19, 8–12. [Google Scholar] [CrossRef] [PubMed]
- Xiao, Y.-H. Correlation between thyroid hormone levels and urinary iodine content in patients with hyperthyroidism. Mod. Nurse 2022, 29, 150–152. [Google Scholar] [CrossRef]
- Galton, V.A. The ups and downs of the thyroxine pro-hormone hypothesis. Mol. Cell. Endocrinol. 2017, 458, 105–111. [Google Scholar] [CrossRef] [PubMed]
- Giro, T.M.; Kozlov, S.V.; Gorlov, I.F.; Kulikovskii, A.V.; Giro, A.V.; Slozhenkina, M.I.; Nikolaev, D.V.; Seidavi, A.; Mosolov, A.A. Biomedical evaluation of antioxidant properties of lamb meat enriched with iodine and selenium. Open Life Sci. 2022, 17, 180–188. [Google Scholar] [CrossRef] [PubMed]
- Słupczyńska, M.; Jamroz, D.; Orda, J.; Wiliczkiewicz, A.; Kuropka, P.; Król, B. The Thyroid Hormone and Immunoglobulin Concentrations in Blood Serum and Thyroid Gland Morphology in Young Hens Fed with Different Diets, Sources, and Levels of Iodine Supply. Animals 2022, 13, 158. [Google Scholar] [CrossRef] [PubMed]
- Yang, G.-Z.; Sun, Q.-W.; Wu, Z.-F.; Zhang, Y.-P.; Wu, S.-Q.; Wang, X.-P. Effects of lodine levels on biochemical parameters in meat rabbits. J. Hebei North Univ. (Nat. Sci. Ed.) 2008, 1, 53–55. [Google Scholar] [CrossRef]
- Liu, H.-Z.; Li, X.; Ma, M.-W.; Xin, L.-L.; Li, F.-C. Effects of dietary lodine supplementation levels on growth performance and serum biochemical indices of growing meat rabbits from weanling to 2-month-old. Chin. J. Anim. Nutr. 2010, 22, 1076–1080. [Google Scholar]
- Xiao, K.-Q.; Qu, S.-F.; Fan, X.-Y.; Gao, F.-X. Effects of stocking density on rearing environment and growth performance and serum biochemical, immune, antioxidant and stress indices of growing pigs in winter. Chin. J. Anim. Nutr. 2020, 32, 109–119. [Google Scholar]
- Huo, W.-Y.; Wang, Z.-X.; Huang, Y.-Q.; Chen, W. Effects of energy restriction on growth performance, serum immunoglobulin contents peripheral T lymphocyte subsets and blood lipid level of broilers. Chin. J. Anim. Nutr. 2018, 30, 2118–2127. [Google Scholar]
- Wu, F.-Y.; Li, C.; Cui, J.; Chen, B.-J.; Gu, Z.-L. Effects of Mannose Oligosaccharides on lntestinal Tract Health and Functional Morphology of Rabbits. J. Domest. Anim. Ecol. 2017, 38, 5–7+36. [Google Scholar]
- Yang, S.; Yu, M. Role of Goblet Cells in Intestinal Barrier and Mucosal Immunity. J. Inflamm. Res. 2021, 14, 3171–3183. [Google Scholar] [CrossRef] [PubMed]
- Lai, N.-J.; Wang, H.; Su, S.-L.; Sun, F.-G.; Zhang, W.; Chen, S.-J.; Chen, B.-J. Effects of yeast peptide and bacillus licheniformis on growth performance, nutrient apparent digestibility slaughter performance, meat quality and intestinal morphology of meat rabbits. Chin. J. Anim. Nutr. 2023, 35, 546–555. [Google Scholar]
- Dai, Z.; Shang, L.; Wang, F.; Zeng, X.; Yu, H.; Liu, L.; Zhou, J.; Qiao, S. Effects of Antimicrobial Peptide Microcin C7 on Growth Performance, Immune and Intestinal Barrier Functions, and Cecal Microbiota of Broilers. Front. Vet. Sci. 2021, 8, 813629. [Google Scholar] [CrossRef] [PubMed]
- Farahat, M.; Ibrahim, D.; Kishawy, A.T.Y.; Abdallah, H.M.; Hernandez-Santana, A.; Attia, G. Effect of cereal type and plant extract addition on the growth performance, intestinal morphology, caecal microflora, and gut barriers gene expression of broiler chickens. Animal 2021, 15, 100056. [Google Scholar] [CrossRef] [PubMed]
- Behroozlak, M.; Daneshyar, M.; Farhomand, P. The effects of dietary iodine and its consumption duration on performance, carcass characteristics, meat iodine, thyroid hormones and some blood indices in broiler chickens. Anim. Physiol. Anim. Nutr. 2020, 104, 876–885. [Google Scholar] [CrossRef] [PubMed]
- Huang, J.-F.; Wu, C.; Hong, H.-B.; Feng, C.; Mei, X.-Q. Effect of Povidone lodine ral Solution on lntestinal Microflora and intestine Structure of Yellow-feather Broilers. China Poult. 2016, 38, 21–25. [Google Scholar] [CrossRef]
- Li, L.-X.; Zhang, K.-Y.; Ding, X.-M.; Bai, S.-P.; Wang, J.P.; Lv, L.; Xuan, Y.; Zeng, Q.-F. Effects of Plant Essential 0il Eutectic on Growth Performance, lntestinal Morphology, Digestive Enzyme Activity and Antioxidant Capacity of Meat Ducks. Chin. J. Anim. Nutr. 2022, 34, 7145–7157. [Google Scholar]
- Bai, G.; He, W.; Yang, Z.; Fu, H.; Qiu, S.; Gao, F.; Shi, B. Effects of different emulsifiers on growth performance, nutrient digestibility, and digestive enzyme activity in weanling pigs. J. Anim. Sci. 2019, 97, 4235–4241. [Google Scholar] [CrossRef]
- Long, L.N.; Kang, B.J.; Jiang, Q.; Chen, J.S. Effects of dietary Lycium barbarum polysaccharides on growth performance, digestive enzyme activities, antioxidant status, and immunity of broiler chickens. Poult. Sci. 2020, 99, 744–751. [Google Scholar] [CrossRef]
- Thoo, L.; Noti, M.; Krebs, P. Keep calm: The intestinal barrier at the interface of peace and war. Cell Death Dis. 2019, 10, 849. [Google Scholar] [CrossRef]
- Pogány Simonová, M.; Lauková, A.; Chrastinová, Ľ.; Kandričáková, A.; Ščerbová, J.; Strompfová, V.; Miltko, R.; Belzecki, G. Enterocins as Novel Feed Additives in Rabbit Diet: Enterocin Ent M and Durancin Ent ED26E/7, Their Combination, and Effects on Microbiota, Caecal Fermentation, and Enzymatic Activity. Probiotics Antimicrob. Proteins 2021, 13, 1433–1442. [Google Scholar] [CrossRef] [PubMed]
- Combes, S.; Fortun-Lamothe, L.; Cauquil, L.; Gidenne, T. Engineering the rabbit digestive ecosystem to improve digestive health and efficacy. Animal 2013, 7, 1429–1439. [Google Scholar] [CrossRef] [PubMed]
- Qin, W.; Li, S.; Wu, N.; Wen, Z.; Xie, J.; Ma, H.; Zhang, S. Main Factors Influencing the Gut Microbiota of Datong Yaks in Mixed Group. Animals 2022, 12, 1777. [Google Scholar] [CrossRef] [PubMed]
- Ye, D.; Ding, X.; Pang, S.; Gan, Y.; Li, Z.; Gan, Q.; Fang, S. Seasonal Variations in Production Performance, Health Status, and Gut Microbiota of Meat Rabbit Reared in Semi-Confined Conditions. Animals 2023, 14, 113. [Google Scholar] [CrossRef]
- Zeng, B.; Han, S.; Wang, P.; Wen, B.; Jian, W.; Guo, W.; Yu, Z.; Du, D.; Fu, X.; Kong, F.; et al. The bacterial communities associated with fecal types and body weight of rex rabbits. Sci. Rep. 2015, 5, 9342. [Google Scholar] [CrossRef] [PubMed]
- Wang, Z.; He, H.; Chen, M.; Ni, M.; Yuan, D.; Cai, H.; Chen, Z.; Li, M.; Xu, H. Impact of coprophagy prevention on the growth performance, serum biochemistry, and intestinal microbiome of rabbits. BMC Microbiol. 2023, 23, 125. [Google Scholar] [CrossRef] [PubMed]
- Yang, Q. Effects of highly complex iodine solution orally on intestinal flora of piglets. Chin. J. Vet. Med. 2019, 55, 58–59. [Google Scholar]
- Cao, Q.; Zhang, K.-G.; Fan, Z.-B.; Wang, Y.-Y.; Jiang, Y.-B. Effect of plant essential oils on growth performance, slaughter performance, intestinal morphology and microflora of meat rabbits. Feed. Res. 2022, 45, 57–61. [Google Scholar] [CrossRef]









| Components | (%) | Componsition 2 | (%) |
|---|---|---|---|
| Corn | 26.70 | DE (MJ/kg) | 10.46 |
| Soybean meal | 8.40 | Crude protein | 15.48 |
| Wheat bran | 15.40 | Crude fiber | 12.25 |
| Alfalfa hay meal | 28.50 | Crude fat | 3.63 |
| Wheat middling | 5.00 | Calcium | 0.73 |
| Unified bran | 6.00 | Available phosphorus | 0.37 |
| Extruded soybean | 5.00 | Lysine | 0.76 |
| Methionine | 0.10 | Methionine+ cystine | 0.45 |
| CaHPO4 | 0.70 | ||
| Lysine | 0.20 | ||
| Premix 1 | 4.00 | ||
| Total | 100.00 |
| Items | Control | Group I | Group II | Group III |
|---|---|---|---|---|
| BW (kg) | 2.02 ± 0.13 B | 2.11 ± 0.10 AB | 2.17 ± 0.06 AB | 2.31 ± 0.15 A |
| ADG (g) (U/mg protein) | 21.16 ± 1.82 B | 22.83 ± 1.51 AB | 23.85 ± 0.94 AB | 26.15 ± 2.14 A |
| ADFI (g) | 98.76 ± 0.75 B | 96.28 ± 1.27 C | 99.40 ± 1.09 B | 103.18 ± 0.87 A |
| F/G (%) | 4.68 ± 0.35 a | 4.23 ± 0.27 b | 4.17 ± 0.17 b | 3.96 ± 0.31 b |
| Items | Control | Group I | Group II | Group III |
|---|---|---|---|---|
| T3 (ng/mL) | 5.05 ± 0.52 B | 6.65 ± 0.46 A | 5.18 ± 0.51 B | 5.08 ± 0.70 B |
| T4 (ng/mL) | 115.15 ± 15.42 C | 203.30 ± 14.63 AB | 229.07 ± 14.42 A | 181.03 ± 13.66 B |
| IgM (g/L) (U/mg protein) | 0.42 ± 0.04 b | 0.43 ± 0.03 b | 0.43 ± 0.05 b | 0.65 ± 0.02 a |
| IgA (g/L) | 0.93 ± 0.09 c | 0.74 ± 0.19 c | 2.30 ± 0.31 a | 1.37 ± 0.27 b |
| IgG (g/L) | 24.94 ± 0.99 bc | 23.98 ± 1.71 c | 25.75 ± 1.77 b | 35.42 ± 2.24 a |
| Items | Control | Group I | Group II | Group III |
|---|---|---|---|---|
| Duodena | ||||
| IL-1α (pg/mL) | 26.74 ± 1.40 C | 44.76 ± 1.73 A | 37.36 ± 2.85 AB | 31.5 ± 5.05 BC |
| IL-2 (pg/mL) | 112.19 ± 8.90 C | 171.37 ± 6.86 A | 146.56 ± 15.68 AB | 128.18 ± 11.00 BC |
| sIgA (μg/mL) | 13.73 ± 1.37 C | 22.31 ± 2.53 A | 19.49 ± 0.48 AB | 16.27 ± 0.59 BC |
| Jejunum | ||||
| IL-1α (pg/mL) | 20.36 ± 1.11 C | 38.77 ± 1.66 A | 31.75 ± 2.94 AB | 24.95 ± 4.91 BC |
| IL-2 (pg/mL) | 91.11 ± 8.39 C | 151.04 ± 5.23 A | 126.53 ± 13.95 AB | 104.27 ± 11.65 BC |
| sIgA (μg/mL) | 13.73 ± 1.37 C | 19.12 ± 2.75 A | 15.81 ± 0.69 AB | 12.83 ± 0.62 BC |
| Ileum | ||||
| IL-1α (pg/mL) | 22.70 ± 3.81 B | 38.94 ± 4.52 A | 31.41 ± 3.90 AB | 26.40 ± 7.37 AB |
| IL-2 (pg/mL) | 92.01 ± 10.98 B | 158.07 ± 7.96 A | 119.21 ± 20.37 B | 115.18 ± 11.52 B |
| sIgA (μg/mL) | 12.09 ± 1.10 c | 18.01 ± 2.21 a | 16.16 ± 2.50 ab | 13. 66 ± 1.84 bc |
| Items | Control | Group I | Group II | Group III |
|---|---|---|---|---|
| Duodena | ||||
| Villous height (μm) | 902.73 ± 139.83 ab | 915.98 ± 27.83 a | 778.85 ± 40.80 b | 912.68 ± 125.64 ab |
| Crypt depth (μm) | 115.23 ± 23.52 ab | 120.05 ± 27.28 a | 92.50 ± 11.62 b | 105. 8 ± 15.38 ab |
| V/C | 8.14 ± 2.15 | 7.90 ± 1.53 | 8.50 ± 0.89 | 8.93 ± 2.35 |
| Goblet cells (NO./mm) | 12.82 ± 4.09 b | 22.62 ± 12.74 ab | 18.69 ± 11.60 ab | 31.12 ± 14.57 a |
| Jejunum | ||||
| Villous height (μm) | 904.91 ± 69.8 ab | 814.01 ± 135.19 b | 913.89 ± 104. 99 ab | 991.77 ± 104.43 a |
| Crypt depth (μm) | 108.80 ± 18.61 | 109.31 ± 28.29 | 113.22 ± 19.01 | 108.25 ± 4.83 |
| V/C | 8.43 ± 0.91 | 7.86 ± 2.49 | 8.35 ± 2.27 | 9.18 ± 1.11 |
| Goblet cells (NO./mm) | 11.75 ± 6.29 B | 27.22 ± 10.28 AB | 42.97 ± 17.99 A | 26.31 ± 12.52 A |
| Ileum | ||||
| Villous height (μm) | 432.72 ± 75.59 ab | 415.98 ± 45.15 b | 469.62 ± 47.16 ab | 501.87 ± 48.96 a |
| Crypt depth (μm) | 110.81 ± 19.62 B | 161.93 ± 15.04 A | 116.61 ± 20.27 B | 93.91 ± 14.10 B |
| V/C | 4.00 ± 1.04 b | 2.59 ± 0.43 c | 4.13 ± 0.92 b | 5.41 ± 0.73 a |
| Goblet cells (NO./mm) | 13.89 ± 5.52 B | 9.59 ± 2.27 B | 24.62 ± 9.85 AB | 39.23 ± 15.99 A |
| Items | Control | Group I | Group II | Group III |
|---|---|---|---|---|
| Amylase (µ/g) | 7.94 ± 1.86 ab | 8.64 ± 1.66 a | 4.37 ± 2.85 b | 6.09 ± 1.90 ab |
| Cellulase (µ/g) | 206.51 ± 6.86 b | 281.35 ± 30.54 a | 247.02 ± 50.42 ab | 252.02 ± 13.75 ab |
| Trypsin (µ/g) | 15.89 ± 3.90 ab | 17.29 ± 3.59 a | 8.40 ± 6.20 b | 11.97 ± 4.18 ab |
| Items | Control | Group I | Group II | Group III |
|---|---|---|---|---|
| PH | 6.75 ± 0.24 bc | 6.52 ± 0.31 c | 7.01 ± 0.21 ab | 7.12 ± 0.26 a |
| NH3-N (mg/g) | 2.99 ± 0.38 b | 4.70 ± 1.55 a | 3.23 ± 1.55 ab | 2.74 ± 0.22 b |
| Acetic acid (μ/g) | 1202.66 ± 345.23 bc | 1456.81 ± 184.86 ab | 1726.24 ± 152.92 a | 1007.56 ± 37.30 c |
| Propionic acid (μ/g) | 180.23 ± 35.42 a | 211.95 ± 32.23 a | 220.88 ± 48.67 a | 108.74 ± 31.83 b |
| Butyric acid (μ/g) | 128.43 ± 46.61 | 177.68 ± 105.55 | 113.34 ± 14.85 | 75.14 ± 20.13 |
| Items | Control | Group I | Group II | Group III |
|---|---|---|---|---|
| Shannon | 7.15 ± 0.31 | 7.60 ± 0.33 | 7.76 ± 0.57 | 7.84 ± 0.18 |
| Simpson | 0.975 | 0.978 | 0.982 | 0.986 |
| Ace | 1222.01 ± 6.02 | 1368.89 ± 76.50 | 1275.89 ± 84.37 | 1403.04 ± 76.16 |
| Chao1 | 1212.32 ± 12.53 | 1354.28 ± 76.16 | 1274.16 ± 92. 82 | 1393.19 ± 373.37 |
| Coverage | 0.998 | 0.997 | 0.998 | 0.997 |
Disclaimer/Publisher’s Note: The statements, opinions and data contained in all publications are solely those of the individual author(s) and contributor(s) and not of MDPI and/or the editor(s). MDPI and/or the editor(s) disclaim responsibility for any injury to people or property resulting from any ideas, methods, instructions or products referred to in the content. |
© 2024 by the authors. Licensee MDPI, Basel, Switzerland. This article is an open access article distributed under the terms and conditions of the Creative Commons Attribution (CC BY) license (https://creativecommons.org/licenses/by/4.0/).
Share and Cite
Liu, Q.; Zhang, Y.; Zhang, J.; Du, Z.; He, B.; Qin, J.; Zhang, L.; Zhang, J. Organic Iodine Improves the Growth Performance and Gut Health of Fujian Yellow Rabbits. Animals 2024, 14, 1935. https://doi.org/10.3390/ani14131935
Liu Q, Zhang Y, Zhang J, Du Z, He B, Qin J, Zhang L, Zhang J. Organic Iodine Improves the Growth Performance and Gut Health of Fujian Yellow Rabbits. Animals. 2024; 14(13):1935. https://doi.org/10.3390/ani14131935
Chicago/Turabian StyleLiu, Qinghua, Yeqiu Zhang, Jie Zhang, Zhijian Du, Bixian He, Juanqing Qin, Liping Zhang, and Jing Zhang. 2024. "Organic Iodine Improves the Growth Performance and Gut Health of Fujian Yellow Rabbits" Animals 14, no. 13: 1935. https://doi.org/10.3390/ani14131935
APA StyleLiu, Q., Zhang, Y., Zhang, J., Du, Z., He, B., Qin, J., Zhang, L., & Zhang, J. (2024). Organic Iodine Improves the Growth Performance and Gut Health of Fujian Yellow Rabbits. Animals, 14(13), 1935. https://doi.org/10.3390/ani14131935

