Diagnosis of Septic Body Cavity Effusion in Dogs and Cats: Cytology vs. Bacterial Culture
Abstract
Simple Summary
Abstract
1. Introduction
2. Materials and Methods
2.1. Sample Collection
2.2. Effusion Evaluation and Cytological Analysis
2.3. Bacterial Culture
2.4. Data Analysis
3. Results
3.1. Signalment
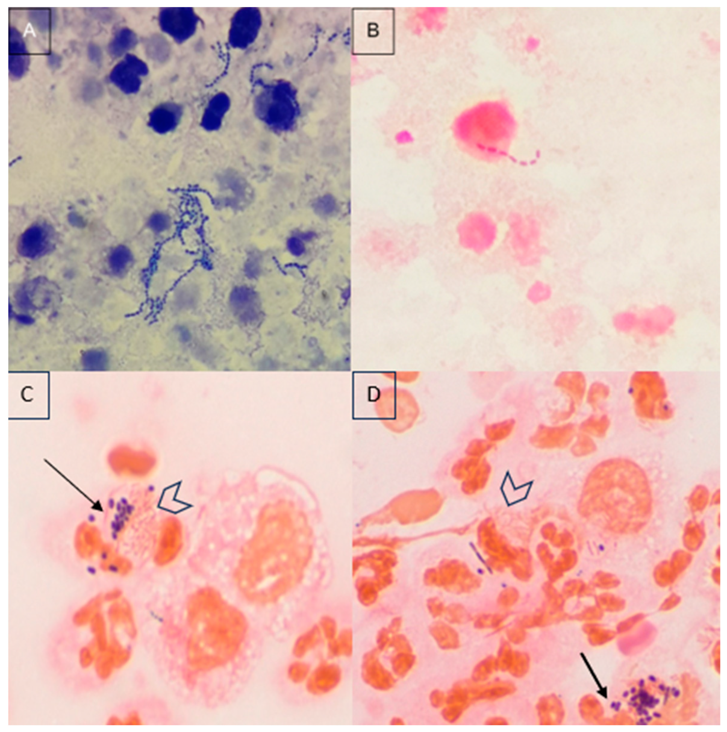
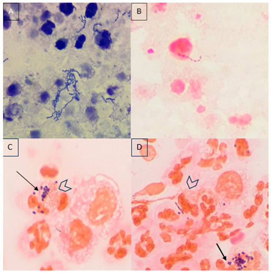
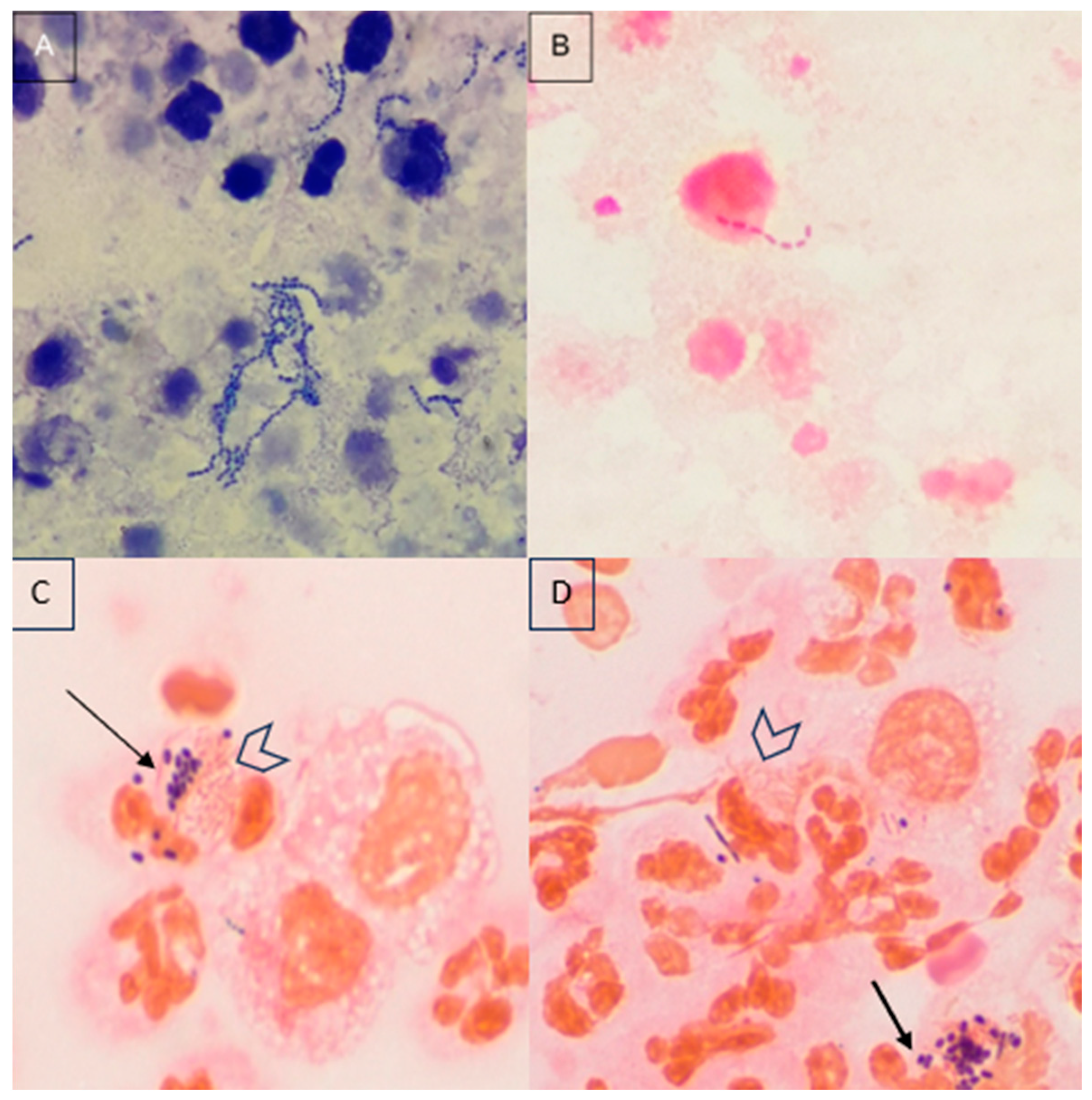
3.2. Cytological Analysis
3.3. Bacterial Identification
3.4. Data Analysis
4. Discussion
5. Conclusions
Author Contributions
Funding
Institutional Review Board Statement
Informed Consent Statement
Data Availability Statement
Conflicts of Interest
References
- O’Brien, P.J.; Lumsden, J.H. The cytologic examination of body cavity fluids. Semin. Vet. Med. Surg. Small Anim. 1988, 3, 140–156. [Google Scholar] [PubMed]
- Dempsey, S.M.; Ewing, P.J. A review of the pathophysiology, classification, and analysis of canine and feline cavitary effusions. J. Am. Anim. Hosp. Assoc. 2011, 47, 1–11. [Google Scholar] [CrossRef]
- Stillion, J.R.; Letendre, J.A. A clinical review of the pathophysiology, diagnosis, and treatment of pyothorax in dogs and cats. J. Vet. Emerg. Crit. Care 2015, 25, 113–129. [Google Scholar] [CrossRef]
- Alleman, A.R. Abdominal, thoracic, and pericardial effusions. Vet. Clin. N. Am. Small Anim. Pract. 2003, 33, 89–118. [Google Scholar] [CrossRef]
- Barrs, V.R.; Beatty, J.A. Feline pyothorax—New insights into an old problem: Part 1. Aetiopathogenesis and diagnostic investigation. Vet. J. 2009, 179, 163–170. [Google Scholar] [CrossRef]
- Barrs, V.R.; Allan, G.S.; Martin, P.; Beatty, J.A.; Malik, R. Feline pyothorax: A retrospective study of 27 cases in Australia. J. Feline Med. Surg. 2005, 7, 211–222. [Google Scholar] [CrossRef] [PubMed]
- Bonczynski, J.J.; Ludwig, L.L.; Barton, L.J.; Loar, A.; Peterson, M.E. Comparison of peritoneal fluid and peripheral blood pH, bicarbonate, glucose, and lactate concentration as a diagnostic tool for septic peritonitis in dogs and cats. Vet. Surg. 2003, 32, 161–166. [Google Scholar] [CrossRef]
- Koenig, A.; Verlander, L.L. Usefulness of whole blood, plasma, peritoneal fluid, and peritoneal fluid supernatant glucose concentrations obtained by a veterinary point-of-care glucometer to identify septic peritonitis in dogs with peritoneal effusion. J. Am. Vet. Med. Assoc. 2015, 247, 1027–1032. [Google Scholar] [CrossRef] [PubMed]
- Tyler, R.D.; Cowell, R.L. Evaluation of pleural and peritoneal effusions. Vet. Clin. N. Am. Small Anim. Pract. 1989, 19, 743–768. [Google Scholar] [CrossRef]
- Allen, M.D.; Buckle, A.M.; Cordell, S.C.; Lowe, J.; Bycroft, M. The crystal structure of AF1521 a protein from Archaeoglobus fulgidus with homology to the non-histone domain of macroH2A. J. Mol. Biol. 2003, 330, 503–511. [Google Scholar] [CrossRef]
- Allen, B.A.; Evans, S.J.M. Diagnostic accuracy of cytology for the detection of bacterial infection in fluid samples from veterinary patients. Vet. Clin. Pathol. 2022, 51, 252–257. [Google Scholar] [CrossRef] [PubMed]
- Athanasiou, L.; Spyropoulou, M.; Meichner, K. The laboratory diagnostic approach to thoracic and abdominal effusions in the dog, cat, and horse. J. Hell. Vet. Med. Soc. 2019, 70, 1589. [Google Scholar] [CrossRef]
- Hodgson, N.; Llewellyn, E.A.; Schaeffer, D.J. Utility and Prognostic Significance of Neutrophil-to-Lymphocyte Ratio in Dogs with Septic Peritonitis. J. Am. Anim. Hosp. Assoc. 2018, 54, 351–359. [Google Scholar] [CrossRef] [PubMed]
- Karlsson, I.; Hagman, R.; Johannisson, A.; Wang, L.; Karlstam, E.; Wernersson, S. Cytokines as immunological markers for systemic inflammation in dogs with pyometra. Reprod. Domest. Anim. 2012, 47 (Suppl. 6), 337–341. [Google Scholar] [CrossRef] [PubMed]
- Levin, G.M.; Bonczynski, J.J.; Ludwig, L.L.; Barton, L.J.; Loar, A.S. Lactate as a diagnostic test for septic peritoneal effusions in dogs and cats. J. Am. Anim. Hosp. Assoc. 2004, 40, 364–371. [Google Scholar] [CrossRef]
- Martiny, P.; Goggs, R. Biomarker Guided Diagnosis of Septic Peritonitis in Dogs. Front. Vet. Sci. 2019, 6, 208. [Google Scholar] [CrossRef]
- Guieu, L.V.; Bersenas, A.M.; Brisson, B.A.; Holowaychuk, M.K.; Ammersbach, M.A.; Beaufrere, H.; Fujita, H.; Weese, J.S. Evaluation of peripheral blood and abdominal fluid variables as predictors of intestinal surgical site failure in dogs with septic peritonitis following celiotomy and the placement of closed-suction abdominal drains. J. Am. Vet. Med. Assoc. 2016, 249, 515–525. [Google Scholar] [CrossRef] [PubMed]
- Cortellini, S.; Seth, M.; Kellett-Gregory, L.M. Plasma lactate concentrations in septic peritonitis: A retrospective study of 83 dogs (2007–2012). J. Vet. Emerg. Crit. Care 2015, 25, 388–395. [Google Scholar] [CrossRef]
- Szabo, S.D.; Jermyn, K.; Neel, J.; Mathews, K.G. Evaluation of postceliotomy peritoneal drain fluid volume, cytology, and blood-to-peritoneal fluid lactate and glucose differences in normal dogs. Vet. Surg. 2011, 40, 444–449. [Google Scholar] [CrossRef]
- Guieu, L.V.; Bersenas, A.M.; Holowaychuk, M.K.; Brisson, B.A.; Weese, J.S. Serial Evaluation of Abdominal Fluid and Serum Amino-terminal pro-C-type Natriuretic Peptide in Dogs with Septic Peritonitis. J. Vet. Intern. Med. 2015, 29, 1300–1306. [Google Scholar] [CrossRef]
- Thomovsky, E.J.; Johnson, P.A.; Moore, G.E. Diagnostic accuracy of a urine reagent strip to identify bacterial peritonitis in dogs with ascites. Vet. J. 2014, 202, 640–642. [Google Scholar] [CrossRef] [PubMed]
- Gebhardt, C.; Hirschberger, J.; Rau, S.; Arndt, G.; Krainer, K.; Schweigert, F.J.; Brunnberg, L.; Kaspers, B.; Kohn, B. Use of C-reactive protein to predict outcome in dogs with systemic inflammatory response syndrome or sepsis. J. Vet. Emerg. Crit. Care 2009, 19, 450–458. [Google Scholar] [CrossRef] [PubMed]
- Karlsson, I.; Wernersson, S.; Ambrosen, A.; Kindahl, H.; Sodersten, F.; Wang, L.; Hagman, R. Increased concentrations of C-reactive protein but not high-mobility group box 1 in dogs with naturally occurring sepsis. Vet. Immunol. Immunopathol. 2013, 156, 64–72. [Google Scholar] [CrossRef] [PubMed]
- Letendre, J.A.; Goggs, R. Determining prognosis in canine sepsis by bedside measurement of cell-free DNA and nucleosomes. J. Vet. Emerg. Crit. Care 2018, 28, 503–511. [Google Scholar] [CrossRef] [PubMed]
- Luschini, M.A.; Fletcher, D.J.; Schoeffler, G.L. Incidence of ionized hypocalcemia in septic dogs and its association with morbidity and mortality: 58 cases (2006–2007). J. Vet. Emerg. Crit. Care 2010, 20, 406–412. [Google Scholar] [CrossRef]
- Osterbur, K.; Whitehead, Z.; Sharp, C.R.; DeClue, A.E. Plasma nitrate/nitrite concentrations in dogs with naturally developing sepsis and non-infectious forms of the systemic inflammatory response syndrome. Vet. Rec. 2011, 169, 554. [Google Scholar] [CrossRef] [PubMed]
- Goggs, R.; Milloway, M.; Troia, R.; Giunti, M. Plasma procalcitonin concentrations are increased in dogs with sepsis. Vet. Rec. Open 2018, 5, e000255. [Google Scholar] [CrossRef]
- Landis, J.R.; Koch, G.G. The measurement of observer agreement for categorical data. Biometrics 1977, 33, 159–174. [Google Scholar] [CrossRef] [PubMed]
- Human, K.P.; Bleyaert, H.F.; Iacovetta, C. A feasibility study investigating the utility of a point-of-care rapid immunoassay for detecting septic peritoneal effusion in dogs. J. Vet. Emerg. Crit. Care 2021, 31, 691–697. [Google Scholar] [CrossRef]
- Brudvig, J.M.; Swenson, C.L. Total nucleated cell and leukocyte differential counts in canine pleural and peritoneal fluid and equine synovial fluid samples: Comparison of automated and manual methods. Vet. Clin. Pathol. 2015, 44, 570–579. [Google Scholar] [CrossRef]
- De Brauwer, E.; Jacobs, J.; Nieman, F.; Bruggeman, C.; Drent, M. Test characteristics of acridine orange, Gram, and May-Grunwald-Giemsa stains for enumeration of intracellular organisms in bronchoalveolar lavage fluid. J. Clin. Microbiol. 1999, 37, 427–429. [Google Scholar] [CrossRef] [PubMed]
- Kalafut, S.R.; Schwartz, P.; Currao, R.L.; Levien, A.S.; Moore, G.E. Comparison of Initial and Postlavage Bacterial Culture Results of Septic Peritonitis in Dogs and Cats. J. Am. Anim. Hosp. Assoc. 2018, 54, 257–266. [Google Scholar] [CrossRef] [PubMed]
- Marshall, H.; Sinnott-Stutzman, V.; Ewing, P.; Bracker, K.; Kalis, R.; Khorzad, R. Effect of peritoneal lavage on bacterial isolates in 40 dogs with confirmed septic peritonitis. J. Vet. Emerg. Crit. Care 2019, 29, 635–642. [Google Scholar] [CrossRef] [PubMed]
- Mueller, M.G.; Ludwig, L.L.; Barton, L.J. Use of closed-suction drains to treat generalized peritonitis in dogs and cats: 40 cases (1997–1999). J. Am. Vet. Med. Assoc. 2001, 219, 789–794. [Google Scholar] [CrossRef] [PubMed]
- Swayne, S.L.; Brisson, B.; Weese, J.S.; Sears, W. Evaluating the effect of intraoperative peritoneal lavage on bacterial culture in dogs with suspected septic peritonitis. Can. Vet. J. 2012, 53, 971–977. [Google Scholar] [PubMed]
- Lanz, O.I.; Ellison, G.W.; Bellah, J.R.; Weichman, G.; VanGilder, J. Surgical treatment of septic peritonitis without abdominal drainage in 28 dogs. J. Am. Anim. Hosp. Assoc. 2001, 37, 87–92. [Google Scholar] [CrossRef]
- Walker, A.L.; Jang, S.S.; Hirsh, D.C. Bacteria associated with pyothorax of dogs and cats: 98 cases (1989–1998). J. Am. Vet. Med. Assoc. 2000, 216, 359–363. [Google Scholar] [CrossRef] [PubMed]
- Love, D.N.; Jones, R.F.; Bailey, M.; Johnson, R.S.; Gamble, N. Isolation and characterisation of bacteria from pyothorax (empyaemia) in cats. Vet. Microbiol. 1982, 7, 455–461. [Google Scholar] [CrossRef] [PubMed]
- Maskell, N.A.; Batt, S.; Hedley, E.L.; Davies, C.W.; Gillespie, S.H.; Davies, R.J. The bacteriology of pleural infection by genetic and standard methods and its mortality significance. Am. J. Respir. Crit. Care Med. 2006, 174, 817–823. [Google Scholar] [CrossRef]
- Finley, C.; Clifton, J.; Fitzgerald, J.M.; Yee, J. Empyema: An increasing concern in Canada. Can. Respir. J. 2008, 15, 85–89. [Google Scholar] [CrossRef]
- Kumar, N.R.; Norwood, B.S. Sphingomonas Paucimobilis Pneumonia Complicated by Empyema in an Immunocompetent Patient: A Case Report and Concise Review of Literature. Cureus 2022, 14, e24820. [Google Scholar] [CrossRef] [PubMed]
- Inayat, F.; Virk, H.U.H.; Fatima, S.; Hobson, S.; Herzog, E. Burkholderia cepacia-Associated Hemorrhagic Pericardial Effusion. Am. J. Med. Sci. 2017, 353, 605–606. [Google Scholar] [CrossRef] [PubMed]
- Tagawa, M.; Kurashima, C.; Shimbo, G.; Omura, H.; Koyama, K.; Horiuchi, N.; Kobayashi, Y.; Kawamoto, K.; Miyahara, K. Fibrinous pericarditis secondary to bacterial infection in a cat. J. Vet. Med. Sci. 2017, 79, 957–961. [Google Scholar] [CrossRef] [PubMed][Green Version]

| (a) | Observer 1 | ||||
|---|---|---|---|---|---|
| Cocci | Rods | Mixed | Negative | ||
| Observer 2 | Cocci | 2 | 1 | 1 | 0 |
| Rods | 3 | 10 | 6 | 1 | |
| Mixed | 1 | 5 | 16 | 3 | |
| Negative | 1 | 2 | 2 | 28 | |
| (b) | Observer 1 | ||||
| Cocci | Rods | Mixed | Negative | ||
| Observer 2 | Cocci | 3 | 1 | 2 | 1 |
| Rods | 1 | 10 | 6 | 2 | |
| Mixed | 2 | 2 | 12 | 4 | |
| Negative | 3 | 2 | 1 | 30 | |
| Bacteria Isolated | Number of Cases | Percentage | Gram/A/AN |
|---|---|---|---|
| Bacteroides pyogenes | 9 | 16.98 | Gram−, AN |
| Pasteurella multocida | 7 | 13.2 | Gram−, A |
| Fusobacterium russii | 6 | 11.32 | Gram−, AN |
| Escherichia coli | 3 | 5.66 | Gram−, A |
| Enterococcus faecalis | 2 | 3.77 | Gram+, A |
| Enterococcus faecium | 2 | 3.77 | Gram+, A |
| Pseudomonas aeruginosa | 2 | 3.77 | Gram−, A |
| Streptococcus pneumoniae | 2 | 3.77 | Gram+, A |
| Fusobacterium nucleatum | 2 | 3.77 | Gram−, AN |
| Bacteroides fragilis | 2 | 3.77 | Gram−, AN |
| Klebsiella pneumoniae | 1 | 1.88 | Gram−, A |
| Proteus mirabilis | 1 | 1.88 | Gram−, A |
| Enterobacter cloacae | 1 | 1.88 | Gram−, A |
| Pasteurella canis | 1 | 1.88 | Gram−, A |
| Clostridium bifermentans | 1 | 1.88 | Gram+, AN |
| Peptoniphilus asaccharolyticus | 1 | 1.88 | Gram+, AN |
| Staphylococcus pseudintermedius | 1 | 1.88 | Gram+, A |
| Peptostreptococcus anaerobius | 1 | 1.88 | Gram+, AN |
| Streptococcus canis | 1 | 1.88 | Gram+, A |
| Burkholderia cepacia | 1 | 1.88 | Gram−, A |
| Burkholderia stabilis | 1 | 1.88 | Gram−, A |
| Serratia liquefaciens | 1 | 1.88 | Gram−, A |
| Stenotrophomonas maltophilia | 1 | 1.88 | Gram−, A |
| Moraxella osloensis | 1 | 1.88 | Gram−, A |
| Unidentified Gram positive | 1 | 1.88 | Gram+, A |
| Unidentified Gram negative | 1 | 1.88 | Gram−, A |
| Bacteria Isolated | Number of Cases | Percentage | Gram/A/AN |
|---|---|---|---|
| Escherichia coli | 5 | 23.80 | Gram−, A |
| Pasteurella canis | 3 | 14.28 | Gram−, A |
| Bacteroides pyogenes | 2 | 9.52 | Gram−, AN |
| Pasteurella multocida | 1 | 4.76 | Gram−, A |
| Staphylococcus pseudintermedius | 1 | 4.76 | Gram+, A |
| Enterococcus faecalis | 1 | 4.76 | Gram+, A |
| Burkholderia contaminans | 1 | 4.76 | Gram−, A |
| Burkholderia stabilis | 1 | 4.76 | Gram−, A |
| Eggerthia catenaformis | 1 | 4.76 | Gram+, AN |
| Fusobacterium russii | 1 | 4.76 | Gram−, AN |
| Fusobacterium nucleatum | 1 | 4.76 | Gram−, AN |
| Klebsiella oxytoca | 1 | 4.76 | Gram−, A |
| Sphingomonas paucimobilis | 1 | 4.76 | Gram−, A |
| Enterococcus faecium | 1 | 4.76 | Gram+, A |
| Cytology | Bacteriology | ||
|---|---|---|---|
| Positive (%) | Negative (%) | ||
| MGG (n = 73) | Positive | 44 (60.3%) | 1 (1.4%) |
| Negative | 15 (20.5%) | 13 (17.8%) | |
| Gram (n = 69) | Positive | 38 (55.1) | 1 (1.5%) |
| Negative | 17 (24.6%) | 13 (18.8%) | |
| MGG or Gram (n = 74) | Positive | 45 (60.8%) | 1 (1.4%) |
| Negative | 15 (33.6) | 13 (17.6%) | |
| Test Parameters | Pleural (n = 57) | Peritoneal (n = 15) | Pericardial (n = 2) |
|---|---|---|---|
| Sensitivity | 79.2% | 63.6% | 0.0% |
| Specificity | 88.9% | 100.0% | ND |
| Positive predictive value | 97.4% | 100.0% | ND |
| Negative predictive value | 44.4% | 50.0% | 50.0% |
| Diagnostic accuracy | 80.7% | 73.3% | 50.0% |
| Likelihood ratio of a positive test | 7.13 | Inf | ND |
| Likelihood ratio of a negative test | 0.23 | 0.36 | ND |
| Test Parameters | Pleural (n = 12) | Peritoneal (n = 7) | Pericardial (n = 2) |
|---|---|---|---|
| Sensitivity | 70.0% | 80.0% | 0.0% |
| Specificity | 100.0% | 100.0% | ND |
| Positive predictive value | 100.0% | 100.0% | ND |
| Negative predictive value | 40.0% | 66.7% | 50.0% |
| Diagnostic accuracy | 75.0% | 85.7% | 50.0% |
| Likelihood ratio of a positive test | Inf | Inf | ND |
| Likelihood ratio of a negative test | 0.30 | 0.20 | ND |
| Test Parameters | Pleural (n = 45) | Peritoneal (n = 8) |
|---|---|---|
| Sensitivity | 81.6% | 50.0% |
| Specificity | 85.7% | 100.0% |
| Positive predictive value | 96.9% | 100.0% |
| Negative predictive value | 46.2% | 40.0% |
| Diagnostic accuracy | 82.2% | 62.5% |
| Likelihood ratio of a positive test | 5.71 | Inf |
| Likelihood ratio of a negative test | 0.21 | 0.50 |
| Test Parameters | Observer 1 | Observer 2 | ||
|---|---|---|---|---|
| Gram (n = 46) | MGG (n = 49) | Gram (n = 45) | MGG (n = 50) | |
| Sensitivity | 64.2% | 71.6% | 65.7% | 70.1% |
| Specificity | 86.7% | 86.7% | 86.7% | 86.7% |
| Positive predictive value | 95.6% | 96% | 95.7% | 95.9% |
| Negative predictive value | 35.1% | 40.6% | 36.1% | 39.4% |
| Diagnostic accuracy | 68.3% | 74.4% | 69.5% | 73.2% |
| Likelihood ratio of a positive test | 4.81 | 5.37 | 4.92 | 5.27 |
| Likelihood ratio of a negative test | 0.41 | 0.32 | 0.39 | 0.39 |
Disclaimer/Publisher’s Note: The statements, opinions and data contained in all publications are solely those of the individual author(s) and contributor(s) and not of MDPI and/or the editor(s). MDPI and/or the editor(s) disclaim responsibility for any injury to people or property resulting from any ideas, methods, instructions or products referred to in the content. |
© 2024 by the authors. Licensee MDPI, Basel, Switzerland. This article is an open access article distributed under the terms and conditions of the Creative Commons Attribution (CC BY) license (https://creativecommons.org/licenses/by/4.0/).
Share and Cite
Medardo, M.; Capozza, P.; Bertazzolo, W.; Paltrinieri, S.; Martino, P.A.; Martella, V.; Decaro, N. Diagnosis of Septic Body Cavity Effusion in Dogs and Cats: Cytology vs. Bacterial Culture. Animals 2024, 14, 1762. https://doi.org/10.3390/ani14121762
Medardo M, Capozza P, Bertazzolo W, Paltrinieri S, Martino PA, Martella V, Decaro N. Diagnosis of Septic Body Cavity Effusion in Dogs and Cats: Cytology vs. Bacterial Culture. Animals. 2024; 14(12):1762. https://doi.org/10.3390/ani14121762
Chicago/Turabian StyleMedardo, Marta, Paolo Capozza, Walter Bertazzolo, Saverio Paltrinieri, Piera Anna Martino, Vito Martella, and Nicola Decaro. 2024. "Diagnosis of Septic Body Cavity Effusion in Dogs and Cats: Cytology vs. Bacterial Culture" Animals 14, no. 12: 1762. https://doi.org/10.3390/ani14121762
APA StyleMedardo, M., Capozza, P., Bertazzolo, W., Paltrinieri, S., Martino, P. A., Martella, V., & Decaro, N. (2024). Diagnosis of Septic Body Cavity Effusion in Dogs and Cats: Cytology vs. Bacterial Culture. Animals, 14(12), 1762. https://doi.org/10.3390/ani14121762

