Sign in to use this feature.

Years

Between: -

Subjects

remove_circle_outline
remove_circle_outline
remove_circle_outline
remove_circle_outline

Journals

Article Types

Countries / Regions

Search Results (6)

Search Parameters:
Keywords = septic exudate

Order results
Result details
Results per page
Select all
Export citation of selected articles as:
15 pages, 689 KB  
Article
Diagnosis of Septic Body Cavity Effusion in Dogs and Cats: Cytology vs. Bacterial Culture
by Marta Medardo, Paolo Capozza, Walter Bertazzolo, Saverio Paltrinieri, Piera Anna Martino, Vito Martella and Nicola Decaro
Animals 2024, 14(12), 1762; https://doi.org/10.3390/ani14121762 - 11 Jun 2024
Cited by 4 | Viewed by 3377
Abstract
The elective test for the determination of the effusions etiopathogenesis is represented by physico-chemical analysis and cytology. Nevertheless, the bacterial culture and antibiotic sensitivity tests are crucial for setting therapy and for the outcome. This study compared cytology with microbiology in the etiologic [...] Read more.
The elective test for the determination of the effusions etiopathogenesis is represented by physico-chemical analysis and cytology. Nevertheless, the bacterial culture and antibiotic sensitivity tests are crucial for setting therapy and for the outcome. This study compared cytology with microbiology in the etiologic diagnosis of exudative body cavity effusions in dogs and cats collected from October 2018 to October 2022. All samples underwent aerobic and anaerobic culture and cytology examination. Bacterial identifications were confirmed using matrix-assisted laser desorption ionization-time of flight (MALDI-TOF) mass spectrometry, whereas cytological samples were blindly evaluated either in May Grunwald-Giemsa (MGG) or Gram-stained samples by two board-certified clinical pathologists. A moderate agreement (κ = 0.454) between cytology and bacterial culture was revealed. The sensitivity of the cytological evaluation in our study ranged from 38.5% to 67.9%, and the specificity ranged from 88.9% to 100%, depending on the type of the effusion, so cytology may not be representative of the etiopathogenesis, whereas bacterial culture can misidentify or fail to isolate the correct pathogen for difficult in vitro growing due to the presence of inhibitory substances or contamination. Cytology and bacterial culture results for exudative body cavity effusions in dogs and cats can be misleading if conducted separately, so these two tests should be performed together to increase diagnostic accuracy. Full article
Show Figures

Figure 1

11 pages, 293 KB  
Review
The Past, Present, and Future of Kingella kingae Detection in Pediatric Osteoarthritis
by Pablo Yagupsky
Diagnostics 2022, 12(12), 2932; https://doi.org/10.3390/diagnostics12122932 - 24 Nov 2022
Cited by 9 | Viewed by 3197
Abstract
As a result of the increasing use of improved detection methods, Kingella kingae, a Gram-negative component of the pediatric oropharyngeal microbiota, is increasingly appreciated as the prime etiology of septic arthritis, osteomyelitis, and spondylodiscitis in children aged 6 to 48 months. The [...] Read more.
As a result of the increasing use of improved detection methods, Kingella kingae, a Gram-negative component of the pediatric oropharyngeal microbiota, is increasingly appreciated as the prime etiology of septic arthritis, osteomyelitis, and spondylodiscitis in children aged 6 to 48 months. The medical literature was reviewed to summarize the laboratory methods required for detecting the organism. Kingella kingae is notoriously fastidious, and seeding skeletal system samples onto solid culture media usually fails to isolate it. Inoculation of synovial fluid aspirates and bone exudates into blood culture vials enhances Kingella kingae recovery by diluting detrimental factors in the specimen. The detection of the species has been further improved by nucleic acid amplification tests, especially by using species-specific primers targeting Kingella kingae’s rtxA, groEL, and mdh genes in a real-time PCR platform. Although novel metagenomic next-generation technology performed in the patient’s plasma sample (liquid biopsy) has not yet reached its full potential, improvements in the sensitivity and specificity of the method will probably make this approach the primary means of diagnosing Kingella kingae infections in the future. Full article
(This article belongs to the Special Issue Pediatric Diagnostic Microbiology)
24 pages, 16606 KB  
Review
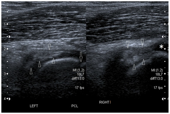
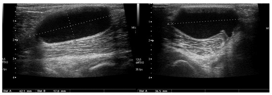
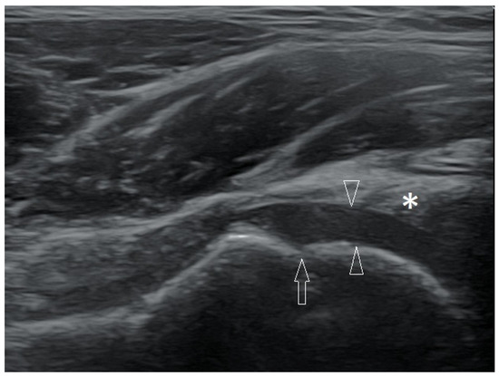
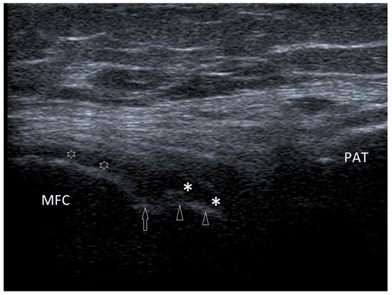
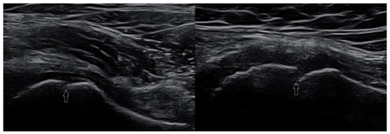
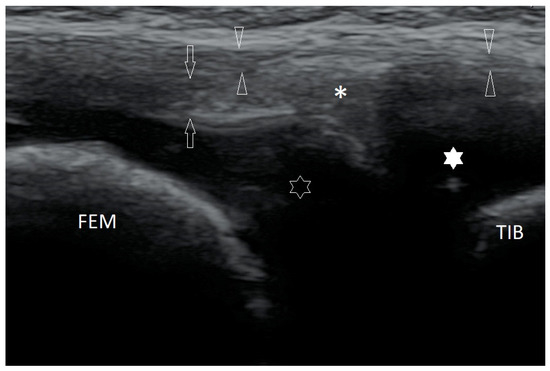
Basic Differences and Most Common Findings in Ultrasound Examinations of Musculoskeletal System in Children: A Narrative Literature Review
by Tomasz Poboży, Wojciech Konarski, Karolina Piotrowska-Lis, Julia Domańska, Kamil Poboży and Maciej Kielar
Healthcare 2022, 10(10), 2010; https://doi.org/10.3390/healthcare10102010 - 12 Oct 2022
Cited by 6 | Viewed by 4699
Abstract
We present basic differences in the musculoskeletal ultrasound examinations between adults and children. Examiners who deal with adults on a daily basis have shared concerns about examining children. Such concerns may arise from the different approach to child ultrasounds, but they also come [...] Read more.
We present basic differences in the musculoskeletal ultrasound examinations between adults and children. Examiners who deal with adults on a daily basis have shared concerns about examining children. Such concerns may arise from the different approach to child ultrasounds, but they also come from differences in anatomical characteristics according to developmental age. We discuss the presence of growth plates, as well as non-mineralized parts of the bones. We also refer to the pathologies most often found in ultrasounds in early developmental stages. In the PubMed database, the set of keywords: “msk ultrasound in children”, “pediatric msk sonoanatomy”, “coxitis fugax”, “pediatric Baker’s cyst”, “Baker’s cyst ultrasonography”, “bone septic necrosis in ultrasonography”, “ultrasonography in juvenile idiopathic arthritis”, and “ultrasonography in juvenile spondyloarthropathies”, was used to identify a total of 1657 results, from which 54 was selected to be included in the article. We discuss the problem of osteochondritis dissecans, Osgood-Schlatter disease, examples of ligament injuries (especially in relation to the knee and ankle joints), exfoliation of growth cartilages, osteochondroma, exudates and inflammations affecting joints, and Baker’s cysts. In this way, we have collected useful information about the most common diseases of the musculoskeletal system in children. Full article
Show Figures

Figure 1

10 pages, 2144 KB  
Case Report
Salmonella Enteritidis Fatal Septicemia with Meningoencephalitis in a Tiger (Panthera tigris) Cub
by Elisa Mazzotta, Greta Foiani, Giulia Maria De Benedictis, Enrico Fiore, Alda Natale, Elena Spagnolo, Marta Vascellari, Giulia Cento and Michela Corrò
Animals 2022, 12(19), 2490; https://doi.org/10.3390/ani12192490 - 20 Sep 2022
Cited by 2 | Viewed by 4614
Abstract
A 15-day-old, female, captive Panthera tigris cub was hospitalized after developing severe hyperthermia, depression, and lack of appetite. The clinical condition rapidly worsened, and the tiger cub died in 72 h after the onset of neurological symptoms, septic shock, and multiple organ dysfunction [...] Read more.
A 15-day-old, female, captive Panthera tigris cub was hospitalized after developing severe hyperthermia, depression, and lack of appetite. The clinical condition rapidly worsened, and the tiger cub died in 72 h after the onset of neurological symptoms, septic shock, and multiple organ dysfunction syndrome. The postmortem main gross findings consisted of a severe and diffuse bilateral fibrino-suppurative meningoencephalitis and ventriculitis, mild fibrinous and sero-hemorrhagic polyserositis and cystitis, severe pulmonary edema, and hemorrhages. Microscopically, the meninges, ependyma, and choroid plexuses were diffusely expanded by abundant infiltration of neutrophils and macrophages, with multifocal fibrinous exudation. Histiocytic interstitial pneumonia, fibrinous and neutrophilic polyserositis, and pyelocystitis were also observed. Vascular thrombosis with multifocal vasculitis and vascular necrosis were frequently observed. Aerobic and anaerobic cultures performed on the brain, lungs, intestine, kidneys, and in pericardial effusion reported the presence of Salmonella enterica subsp. enterica serovar Enteritidis. Environmental and nutritional contamination were identified as putative sources of infections. To the best of the authors’ knowledge, this is the first report of Salmonella Enteritidis septicemia with meningoencephalitis in a tiger cub, which highlights the need to further investigate the cause of acute perinatal death to reduce the risk of infectious disease outbreaks. Full article
(This article belongs to the Special Issue Pathology in Zoo Animals and Conservation)
Show Figures

Figure 1

18 pages, 4350 KB  
Article
Infection Responsive Smart Delivery of Antibiotics Using Recombinant Spider Silk Nanospheres
by Pranothi Mulinti, Jacob Shreffler, Raquib Hasan, Michael Dea and Amanda E. Brooks
Pharmaceutics 2021, 13(9), 1358; https://doi.org/10.3390/pharmaceutics13091358 - 28 Aug 2021
Cited by 19 | Viewed by 4460
Abstract
Frequent and inappropriate usage of antibiotics has changed the natural evolution of bacteria by reducing susceptibility and increasing resistance towards antibacterial agents. New resistance mechanisms evolved in the response to host defenses and pharmaceutical interventions are threatening our ability to treat common infections, [...] Read more.
Frequent and inappropriate usage of antibiotics has changed the natural evolution of bacteria by reducing susceptibility and increasing resistance towards antibacterial agents. New resistance mechanisms evolved in the response to host defenses and pharmaceutical interventions are threatening our ability to treat common infections, resulting in increased mortality. In the face of this rising epidemic, antibiotic drug discovery, which has long been overlooked by big pharma, is reaching a critical low. Thus, the development of an infection-responsive drug delivery system, which may mitigate multidrug resistance and preserve the lifetime of our current antibiotic arsenal, has garnered the attention of both popular science and funding agencies. The present work describes the development of a thrombin-sensitive linker embedded into a recombinant spider silk copolymer to create a nanosphere drug delivery vehicle. Recent studies have suggested that there is an increase in thrombin-like activity during Staphylococcus aureus infection; thus, drug release from this new “smart” nanosphere can be triggered in the presence of infection. A thrombin sensitive peptide (TSP) was synthesized, and the thrombin cleavage sensitivity was determined by HPLC. The results showed no cleavage of the peptide when exposed to human serum whereas the peptide was cleaved when incubated with S. aureus exudate. Subsequently, the peptide was coupled with a silk copolymer via EDC-NHS chemistry and formulated into nanospheres encapsulating antibiotic vancomycin. These nanospheres were evaluated for in vitro infection-responsive drug release and antimicrobial activity. Finally, the drug responsive nanospheres were assessed for efficacy in an in vivo septic arthritis model. Our study provides evidence that the protein conjugate was enzyme responsive and can be used to formulate targeted drug release to combat infections against multidrug-resistant bacterial strains. Full article
Show Figures

Figure 1

19 pages, 5553 KB  
Article
Multi-Organ Histopathological Changes in a Mouse Hepatitis Virus Model of COVID-19
by Michael J. Paidas, Adhar B. Mohamed, Michael D. Norenberg, Ali Saad, Ariel Faye Barry, Cristina Colon, Norma Sue Kenyon and Arumugam R. Jayakumar
Viruses 2021, 13(9), 1703; https://doi.org/10.3390/v13091703 - 27 Aug 2021
Cited by 20 | Viewed by 5379
Abstract
Infection with SARS-CoV-2, the virus responsible for the global COVID-19 pandemic, causes a respiratory illness that can severely impact other organ systems and is possibly precipitated by cytokine storm, septic shock, thrombosis, and oxidative stress. SARS-CoV-2 infected individuals may be asymptomatic or may [...] Read more.
Infection with SARS-CoV-2, the virus responsible for the global COVID-19 pandemic, causes a respiratory illness that can severely impact other organ systems and is possibly precipitated by cytokine storm, septic shock, thrombosis, and oxidative stress. SARS-CoV-2 infected individuals may be asymptomatic or may experience mild, moderate, or severe symptoms with or without pneumonia. The mechanisms by which SARS-CoV-2 infects humans are largely unknown. Mouse hepatitis virus 1 (MHV-1)-induced infection was used as a highly relevant surrogate animal model for this study. We further characterized this animal model and compared it with SARS-CoV-2 infection in humans. MHV-1 inoculated mice displayed death as well as weight loss, as reported earlier. We showed that MHV-1-infected mice at days 7–8 exhibit severe lung inflammation, peribronchiolar interstitial infiltration, bronchiolar epithelial cell necrosis and intra-alveolar necrotic debris, alveolar exudation (surrounding alveolar walls have capillaries that are dilated and filled with red blood cells), mononuclear cell infiltration, hyaline membrane formation, the presence of hemosiderin-laden macrophages, and interstitial edema. When compared to uninfected mice, the infected mice showed severe liver vascular congestion, luminal thrombosis of portal and sinusoidal vessels, hepatocyte degeneration, cell necrosis, and hemorrhagic changes. Proximal and distal tubular necrosis, hemorrhage in interstitial tissue, and the vacuolation of renal tubules were observed. The heart showed severe interstitial edema, vascular congestion, and dilation, as well as red blood cell extravasation into the interstitium. Upon examination of the MHV-1 infected mice brain, we observed congested blood vessels, perivascular cavitation, cortical pericellular halos, vacuolation of neuropils, darkly stained nuclei, pyknotic nuclei, and associated vacuolation of the neuropil in the cortex, as well as acute eosinophilic necrosis and necrotic neurons with fragmented nuclei and vacuolation in the hippocampus. Our findings suggest that the widespread thrombotic events observed in the surrogate animal model for SARS-CoV-2 mimic the reported findings in SARS-CoV-2 infected humans, representing a highly relevant and safe animal model for the study of the pathophysiologic mechanisms of SARS-CoV-2 for potential therapeutic interventions. Full article
(This article belongs to the Section SARS-CoV-2 and COVID-19)
Show Figures

Figure 1

Back to TopTop