Splenic Myelolipomas in the Domestic Cat—To Operate or Not to Operate?
Abstract
Simple Summary
Abstract
1. Introduction
2. Case Description
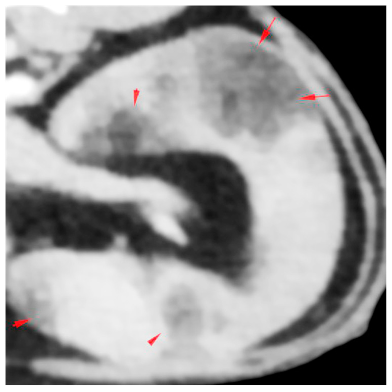
2.1. History, Clinical Findings and Diagnostic Investigations
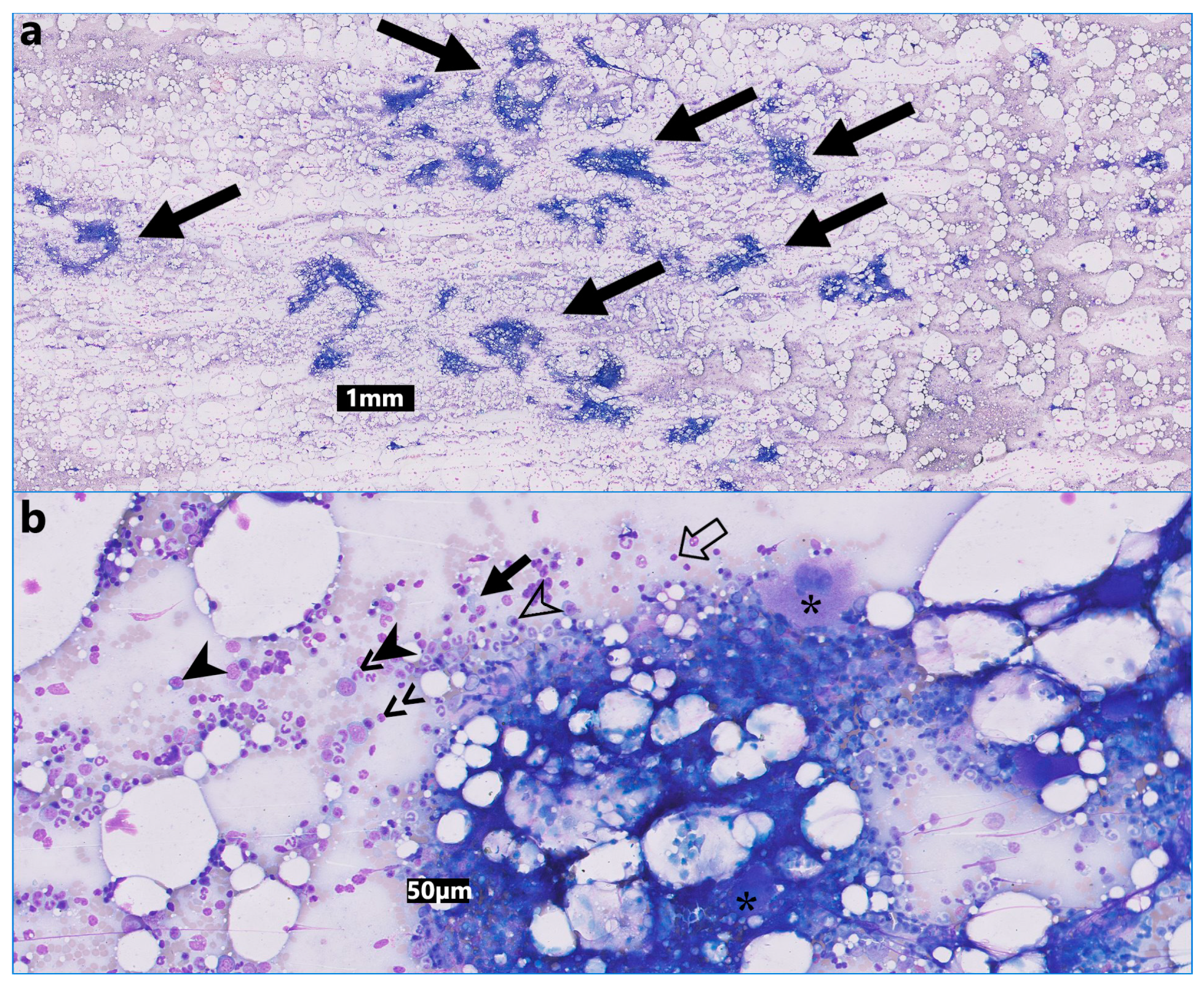
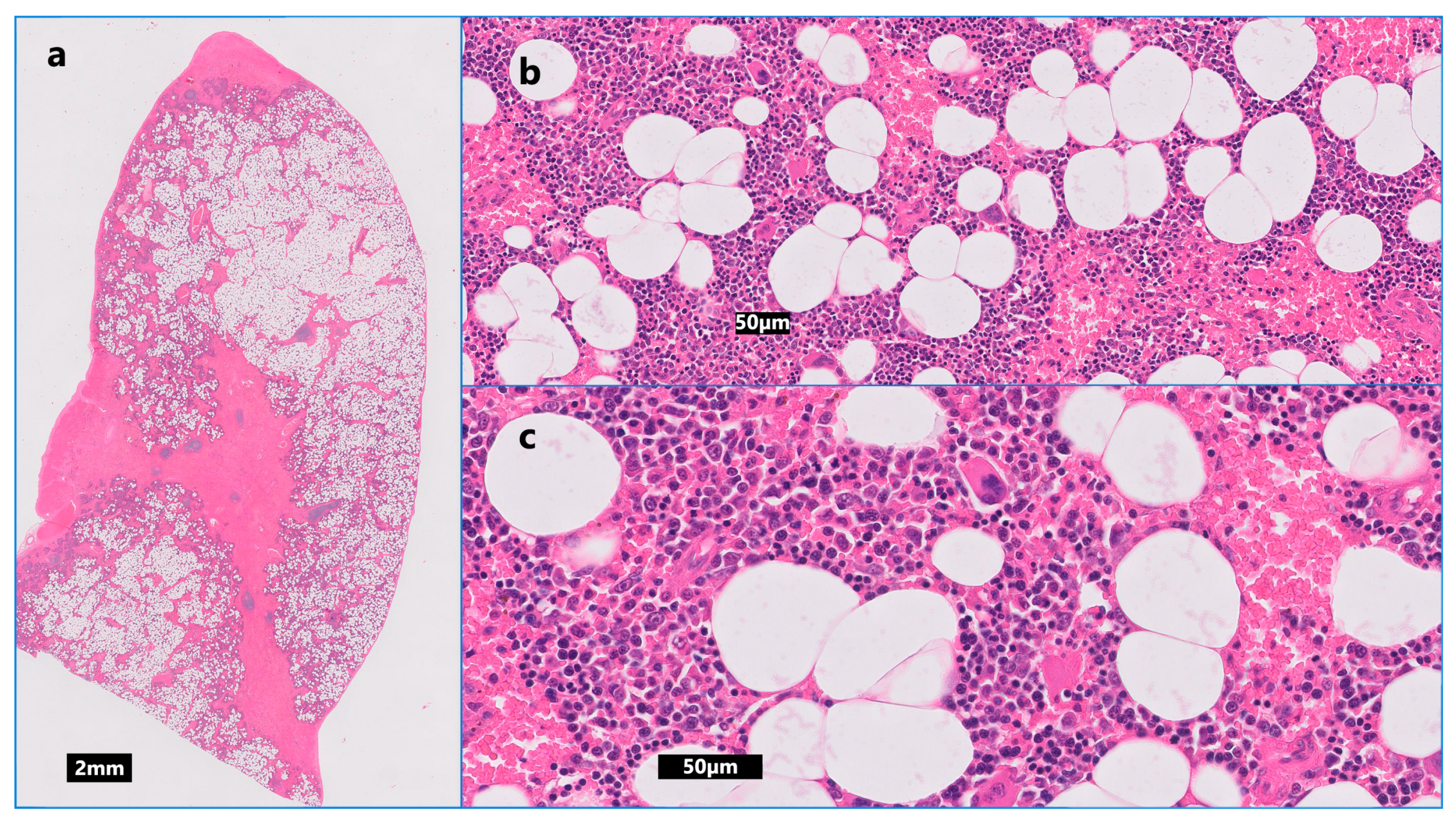
2.2. Surgical Case Management and Outcome
3. Discussion
4. Conclusions
Author Contributions
Funding
Institutional Review Board Statement
Informed Consent Statement
Data Availability Statement
Acknowledgments
Conflicts of Interest
References
- Feng, C.; Jiang, H.; Ding, Q.; Wen, H. Adrenal myelolipoma: A mingle of progenitor cells? Med. Hypotheses 2013, 80, 819–822. [Google Scholar] [CrossRef]
- Nemanic, S.; Nelson, N.C.; Guiot, L.P. What Is Your Diagnosis? J. Am. Vet. Med. Assoc. 2013, 243, 627–629. [Google Scholar] [CrossRef]
- Sander, C.H.; Langham, R.F. Myelolipoma of the spleen in a cat. J. Am. Vet. Med. Assoc. 1972, 160, 1101–1103. [Google Scholar]
- Al-Bahri, S.; Tariq, A.; Lowentritt, B.; Nasrallah, D.V. Giant bilateral adrenal myelolipoma with congenital adrenal hyperplasia. Case Rep. Surg. 2014, 2014, 728198. [Google Scholar] [CrossRef][Green Version]
- Bokhari, M.R.; Zulfiqar, H.; Leslie, S.W.; Garla, V.V. Adrenal Myelolipoma; StatPearls Publishing: Treasure Island, FL, USA, 2024. [Google Scholar]
- Nitz, J.A.; Huckleby, J.; Hwang, E.H.; Medina, M.G.; Pera, S.J.; Orcutt, S.T. Symptomatic Extra-Adrenal Myelolipoma in the Spleen. Case Rep. Surg. 2020, 2020, 8839178. [Google Scholar] [CrossRef] [PubMed]
- Wood, W.G.; Restivo, T.E.; Axelsson, K.L.; Svahn, J.D. Myelolipoma in the spleen: A rare discovery of extra-adrenal hematopoietic tissue. J. Surg. Case Rep. 2013, 2013, rjt007. [Google Scholar] [CrossRef]
- Cina, S.J.; Gordon, B.M.; Curry, N.S. Ectopic adrenal myelolipoma presenting as a splenic mass. Arch. Pathol. Lab. Med. 1995, 119, 561–563. [Google Scholar] [PubMed]
- Zeng, Y.; Ma, Q.; Lin, L.; Fu, P.; Shen, Y.; Luo, Q.Y.; Zhao, L.H.; Mou, J.H.; Xiao, H.L. Giant Myelolipoma in the Spleen: A Rare Case Report and Literature Review. Int. J. Surg. Pathol. 2016, 24, 177–180. [Google Scholar] [CrossRef] [PubMed]
- McCaw, D.L.; da Silva Curiel, J.M.; Shaw, D.P. Hepatic myelolipomas in a cat. J. Am. Vet. Med. Assoc. 1990, 197, 243–244. [Google Scholar] [CrossRef]
- Wani, N.A.; Kosar, T.; Rawa, I.A.; Qayum, A. Giant adrenal myelolipoma: Incidentaloma with a rare incidental association. Urol. Ann. 2010, 2, 130–133. [Google Scholar] [CrossRef]
- Daneshmand, S.; Quek, M.L. Adrenal myelolipoma: Diagnosis and management. Urol. J. 2006, 3, 71–74. [Google Scholar] [PubMed]
- Liu, H.P.; Chang, W.Y.; Chien, S.T.; Hsu, C.W.; Wu, Y.C.; Kung, W.C.; Su, C.M.; Liu, P.H. Intra-abdominal bleeding with hemorrhagic shock: A case of adrenal myelolipoma and review of literature. BMC Surg. 2017, 17, 74. [Google Scholar] [CrossRef] [PubMed]
- Thomas, R.M.; Fischetti, A.J. What Is Your Diagnosis? J. Am. Vet. Med. Assoc. 2012, 241, 881–883. [Google Scholar] [CrossRef] [PubMed]
- Haak, C.E.; Zumbo, B.; Allen, J.; Kunz, B. Nontraumatic hemoabdomen and pancytopenia secondary to myelolipoma in a cat. J. Vet. Emerg. Crit. Care 2022, 32, 260–266. [Google Scholar] [CrossRef] [PubMed]
- Nabi, J.; Rafiq, D.; Authoy, F.N.; Sofi, G.N. Incidental detection of adrenal myelolipoma: A case report and review of literature. Case Rep. Urol. 2013, 2013, 789481. [Google Scholar] [CrossRef]
- Cardy, R.H.; Bostrom, R.E. Multiple Splenic Myelolipomas in a Cheetah (Acinonyx jubatus). Vet. Pathol. 1978, 15, 556–558. [Google Scholar] [CrossRef] [PubMed]
- Kamiie, J.; Fueki, K.; Amagai, H.; Ichikawa, Y.; Shirota, K. Multicentric myelolipoma in a dog. J. Vet. Med. Sci. 2009, 71, 371–373. [Google Scholar] [CrossRef] [PubMed]
- Gourley, I.M.; Popp, J.A.; Park, R.D. Myelolipomas of the liver in a domestic cat. J. Am. Vet. Med. Assoc. 1971, 158, 2053–2057. [Google Scholar]
- Barge, P.; Sebastián-Marcos, P.; Martínez, M.; Soler, M.; Gómez, S.; Buendía, A.; Agut, A. Cholangiocarcinoma and hepatic myelolipoma incarcerated in a peritoneopericardial diaphragmatic hernia with pulmonary metastasis and carcinomatosis in a cat. JFMS Open Rep. 2019, 5, 2055116919835081. [Google Scholar] [CrossRef]
- Zimmer, M.A.; Stair, F.L. Splenic Myelolipomas in Two Dogs. Vet. Pathol. 1983, 20, 637–638. [Google Scholar] [CrossRef]
- Ikede, B.O.; Downey, R.S. Case report. Multiple hepatic myelolipomas in a cat. Can. Vet. J. 1972, 13, 160–163. [Google Scholar] [PubMed]
- Schuh, J.C. Hepatic nodular myelolipomatosis (myelolipomas) associated with a peritoneo-pericardial diaphragmatic hernia in a cat. J. Comp. Pathol. 1987, 97, 231–235. [Google Scholar] [CrossRef]
- Hamidi, O.; Raman, R.; Lazik, N.; Iniguez-Ariza, N.; McKenzie, T.J.; Lyden, M.L.; Thompson, G.B.; Dy, B.M.; Young, W.F., Jr.; Bancos, I. Clinical course of adrenal myelolipoma: A long-term longitudinal follow-up study. Clin. Endocrinol. 2020, 93, 11–18. [Google Scholar] [CrossRef] [PubMed]
- Ramirez, M.; Misra, S. Adrenal myelolipoma: To operate or not? A case report and review of the literature. Int. J. Surg. Case Rep. 2014, 5, 494–496. [Google Scholar] [CrossRef] [PubMed]
- Wouda, R.M.; Chalkley, M.D.; Fraser, A.R.; Moses, P.A.E. Hepatic myelolipoma incarcerated in a peritoneopericardial diaphragmatic hernia in a cat. Aust. Vet. J. 2010, 88, 231–235. [Google Scholar] [CrossRef] [PubMed]
- Rolph, K.E.; Vidana, B.; Field, E. Giant splenic myelolipoma in a cat with hyperthyroidism. JFMS Open Rep. 2022, 8, 20551169221127889. [Google Scholar] [CrossRef] [PubMed]
- Griffin, S. Feline abdominal ultrasonography: What’s normal? What’s abnormal? The spleen. J. Feline Med. Surg. 2021, 23, 241–255. [Google Scholar] [CrossRef] [PubMed]
- Rao, P.; Kenney, P.J.; Wagner, B.J.; Davidson, A.J. Imaging and pathologic features of myelolipoma. Radiographics 1997, 17, 1373–1385. [Google Scholar] [CrossRef]
- Hasan, M.; Siddiqui, F.; Al-Ajmi, M. FNA diagnosis of adrenal myelolipoma: A rare entity. Diagn. Cytopathol. 2008, 36, 925–926. [Google Scholar] [CrossRef]
- Hernández-Amate, A.; Ríos-Martín, J.J.; Díaz-Delgado, M.; García-Escudero, A.; Otal-Salaverri, C.; González-Cámpora, R. Cytological diagnosis of a presacral myelolipoma: A case report diagnosed by fine-needle aspiration. Diagn. Cytopathol. 2008, 36, 921–922. [Google Scholar] [CrossRef]
- Tursi, M.; Iussich, S.; Prunotto, M.; Buracco, P. Adrenal Myelolipoma in a Dog. Vet. Pathol. 2005, 42, 232–235. [Google Scholar] [CrossRef] [PubMed]
- Finch, N.C. Hypercalcaemia in cats: The complexities of calcium regulation and associated clinical challenges. J. Feline Med. Surg. 2016, 18, 387–399. [Google Scholar] [CrossRef] [PubMed]
- Gordon, S.S.; McClaran, J.K.; Bergman, P.J.; Liu, S.M. Outcome following splenectomy in cats. J. Feline Med. Surg. 2010, 12, 256–261. [Google Scholar] [CrossRef] [PubMed]
- Kraus, K.A.; Clifford, C.A.; Davis, G.J.; Kiefer, K.M.; Drobatz, K.J. Outcome and Prognostic Indicators in Cats Undergoing Splenectomy for Splenic Mast Cell Tumors. J. Am. Anim. Hosp. Assoc. 2015, 51, 231–238. [Google Scholar] [CrossRef]
- Evans, B.J.; O’brien, D.; Allstadt, S.D.; Gregor, T.P.; Sorenmo, K.U. Treatment outcomes and prognostic factors of feline splenic mast cell tumors: A multi-institutional retrospective study of 64 cases. Vet. Comp. Oncol. 2018, 16, 20–27. [Google Scholar] [CrossRef] [PubMed]
- Brodbelt, D. Perioperative mortality in small animal anaesthesia. Vet. J. 2009, 182, 152–161. [Google Scholar] [CrossRef]
- Brodbelt, D.C.; Blissitt, K.J.; Hammond, R.A.; Neath, P.J.; Young, L.E.; Pfeiffer, D.U.; Wood, J.L. The risk of death: The confidential enquiry into perioperative small animal fatalities. Vet. Anaesth. Analg. 2008, 35, 365–373. [Google Scholar] [CrossRef] [PubMed]
- Cappellini, M.; Robbiolo, L.; Bottasso, B.M.; Coppola, R.; Fiorelli, G.; Mannucci, A.P. Venous thromboembolism and hypercoagulability in splenectomized patients with thalassaemia intermedia. Br. J. Haematol. 2000, 111, 467–473. [Google Scholar] [CrossRef]
- Lee Deborah, H.; Barmparas, G.; Fierro, N.; Sun, B.J.; Ashrafian, S.; Li, T.; Ley, E.J. Splenectomy is associated with a higher risk for venous thromboembolism: A prospective cohort study. Int. J. Surg. 2015, 24, 27–32. [Google Scholar]




Disclaimer/Publisher’s Note: The statements, opinions and data contained in all publications are solely those of the individual author(s) and contributor(s) and not of MDPI and/or the editor(s). MDPI and/or the editor(s) disclaim responsibility for any injury to people or property resulting from any ideas, methods, instructions or products referred to in the content. |
© 2024 by the authors. Licensee MDPI, Basel, Switzerland. This article is an open access article distributed under the terms and conditions of the Creative Commons Attribution (CC BY) license (https://creativecommons.org/licenses/by/4.0/).
Share and Cite
Kennedy, D.J.; Ferreira, H.M.T.; Dobromylskyj, M.J.; Hobi, S.; Almendros, A.; Bęczkowski, P.M. Splenic Myelolipomas in the Domestic Cat—To Operate or Not to Operate? Animals 2024, 14, 1700. https://doi.org/10.3390/ani14111700
Kennedy DJ, Ferreira HMT, Dobromylskyj MJ, Hobi S, Almendros A, Bęczkowski PM. Splenic Myelolipomas in the Domestic Cat—To Operate or Not to Operate? Animals. 2024; 14(11):1700. https://doi.org/10.3390/ani14111700
Chicago/Turabian StyleKennedy, Diana J., Helena M. T. Ferreira, Melanie J. Dobromylskyj, Stefan Hobi, Angel Almendros, and Paweł M. Bęczkowski. 2024. "Splenic Myelolipomas in the Domestic Cat—To Operate or Not to Operate?" Animals 14, no. 11: 1700. https://doi.org/10.3390/ani14111700
APA StyleKennedy, D. J., Ferreira, H. M. T., Dobromylskyj, M. J., Hobi, S., Almendros, A., & Bęczkowski, P. M. (2024). Splenic Myelolipomas in the Domestic Cat—To Operate or Not to Operate? Animals, 14(11), 1700. https://doi.org/10.3390/ani14111700

