Ultrasound Morphology of Presumed Normal Anal Sacs in Dogs and Cats
Abstract
Simple Summary
Abstract
1. Introduction
2. Materials and Methods
2.1. Study Design
2.2. Patient Selection
2.3. Image Acquisition
2.4. Image Evaluation
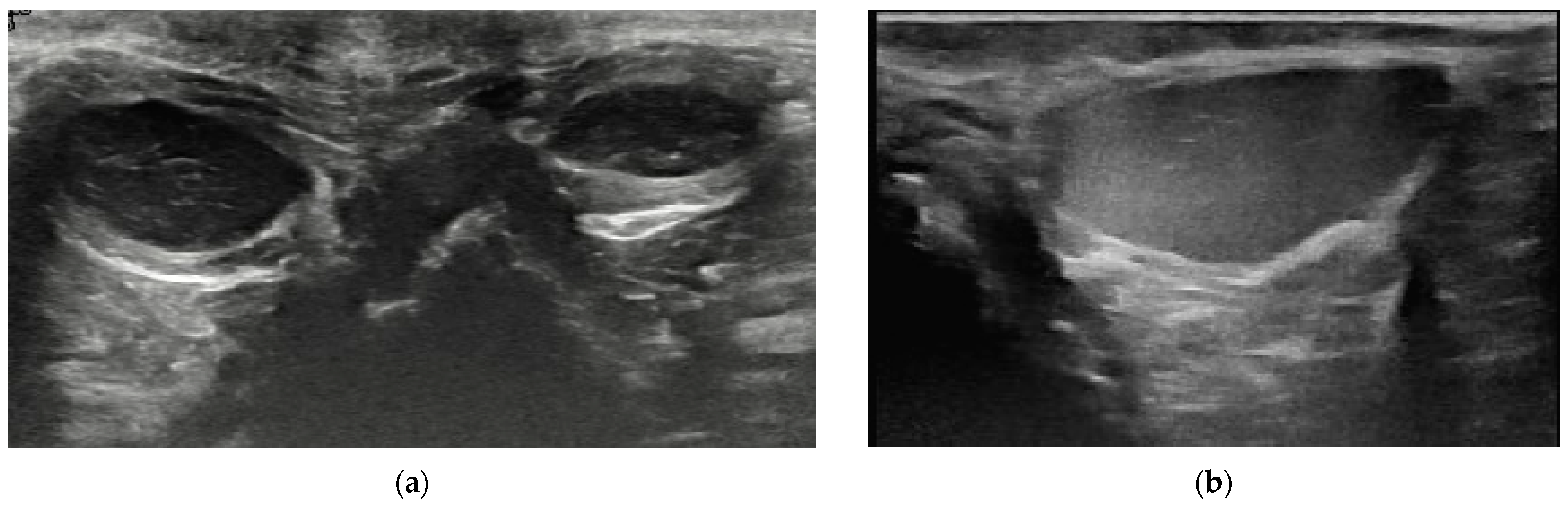
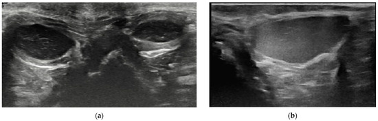
2.4.1. Content of Anal Sacs
2.4.2. Size and Shape of Anal Sacs
2.4.3. Wall of Anal Sacs
2.5. Statistical Analysis
3. Results
3.1. Study Population
3.2. Content of Anal Sacs
3.3. Size and Shape of Anal Sacs
3.4. Wall of Anal Sacs
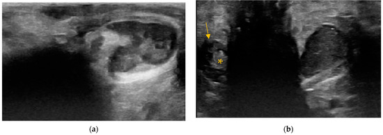
3.5. Adverse Findings
4. Discussion
5. Conclusions
Author Contributions
Funding
Institutional Review Board Statement
Informed Consent Statement
Data Availability Statement
Conflicts of Interest
References
- Evans, H.E.; de Lahunta, A. Chapter 7—The Digestive Apparatus and Abdomen. In Millers Anatomy of the Dog; Elsevier Saunders: St Louis, MO, USA, 2013; pp. 281–337. [Google Scholar]
- Shoieb, A.M.; Hanshaw, D.M. Anal Sac Gland Carcinoma in 64 Cats in the United Kingdom (1995–2007). Vet. Pathol. 2009, 46, 677–683. [Google Scholar] [CrossRef] [PubMed]
- Aronson, L. Rectum and Anus. In Textbook of Small Animal Surgery; Saunders: Philadelphia, PA, USA, 2003; pp. 682–708. [Google Scholar]
- van Duijkeren, E. Disease Conditions of Canine Anal Sacs. J. Small Anim. Pract. 1995, 36, 12–16. [Google Scholar] [CrossRef]
- Pappalardo, E.; Martino, P.A.; Noli, C. Macroscopic, Cytological and Bacteriological Evaluation of Anal Sac Content in Normal Dogs and in Dogs with Selected Dermatological Diseases. Vet. Dermatol. 2002, 13, 315–322. [Google Scholar] [CrossRef] [PubMed]
- Bradshaw, J.W.S.; Cameron-Beaumont, C.L. The Signalling Repertoire of the Domestic Cat and Its Undomesticated Relatives. In The Domestic Cat: The Biology of Its Behaviour; Turner, D.C., Bateson, P., Eds.; Cambridge University Press: Cambridge, UK, 2000; pp. 68–93. [Google Scholar]
- Pageat, P.; Gaultier, E. Current Research in Canine and Feline Pheromones. Vet. Clin. N. Am. Small Anim. Pract. 2003, 33, 187–211. [Google Scholar] [CrossRef] [PubMed]
- Lake, A.M.; Scott, D.W.; Miller, W.H.; Erb, H.N. Gross and Cytological Characteristics of Normal Canine Anal-Sac Secretions. J. Vet. Med. A Physiol. Pathol. Clin. Med. 2004, 51, 249–253. [Google Scholar] [CrossRef]
- Frankel, J.L.; Scott, D.W.; Erb, H.N. Gross and Cytological Characteristics of Normal Feline Anal-Sac Secretions. J. Feline Med. Surg. 2008, 10, 319–323. [Google Scholar] [CrossRef] [PubMed]
- Doty, R.L.; Dunbar, I. Color, Odor, Consistency, and Secretion Rate of Anal Sac Secretions from Male, Female, and Early-Androgenized Female Beagles. Am. J. Vet. Res. 1974, 35, 729–731. [Google Scholar]
- Harvey, C.E. Incidence Distribution of Anal Sac Disease in the Dog. J. Am. Anim. Hosp. Assoc. 1974, 10, 573–577. [Google Scholar]
- Hill, P.B.; Lo, A.; Eden, C.A.N.; Huntley, S.; Morey, V.; Ramsey, S.; Richardson, C.; Smith, D.J.; Sutton, C.; Taylor, M.D.; et al. Survey of the Prevalence, Diagnosis and Treatment of Dermatological Conditions in Small Animals in General Practice. Vet. Rec. 2006, 158, 533–539. [Google Scholar] [CrossRef]
- Halnan, C.R. The Diagnosis of Anal Sacculitis in the Dog. J. Small Anim. Pract. 1976, 17, 527–535. [Google Scholar] [CrossRef]
- Corbee, R.J.; Woldring, H.H.; van den Eijnde, L.M.; Wouters, E.G.H. A Cross-Sectional Study on Canine and Feline Anal Sac Disease. Animals 2021, 12, 95. [Google Scholar] [CrossRef] [PubMed]
- Goldschmidt, M.H.; Shofer, F.S. Skin Tumors of the Dog & Cat; Pergamon Press: Oxford, UK; New York, NY, USA, 1992; ISBN 978-0-08-040823-1. [Google Scholar]
- Elliott, J.W.; Blackwood, L. Treatment and Outcome of Four Cats with Apocrine Gland Carcinoma of the Anal Sac and Review of the Literature. J. Feline Med. Surg. 2011, 13, 712–717. [Google Scholar] [CrossRef] [PubMed]
- Bennett, P.F.; DeNicola, D.B.; Bonney, P.; Glickman, N.W.; Knapp, D.W. Canine Anal Sac Adenocarcinomas: Clinical Presentation and Response to Therapy. J. Vet. Intern. Med. 2002, 16, 100–104. [Google Scholar] [CrossRef] [PubMed]
- Jimeno Sandoval, J.C.; Charlesworth, T.; Anderson, D. Outcomes and Complications of Anal Sacculectomy for Non-Neoplastic Anal Sac Disease in Cats: 8 Cases (2006–2019). J. Small Anim. Pract. 2022, 63, 56–61. [Google Scholar] [CrossRef] [PubMed]
- James, D.J.; Griffin, C.E.; Polissar, N.L.; Neradilek, M.B. Comparison of Anal Sac Cytological Findings and Behaviour in Clinically Normal Dogs and Those Affected with Anal Sac Disease. Vet. Dermatol. 2011, 22, 80–87. [Google Scholar] [CrossRef] [PubMed]
- Morello, E.M.; Cino, M.; Giacobino, D.; Nicoletti, A.; Iussich, S.; Buracco, P.; Martano, M. Prognostic Value of Ki67 and Other Clinical and Histopathological Factors in Canine Apocrine Gland Anal Sac Adenocarcinoma. Animals 2021, 11, 1649. [Google Scholar] [CrossRef] [PubMed]
- Wong, H.; Byrne, S.; Rasotto, R.; Drees, R.; Taylor, A.; Priestnall, S.L.; Leo, C. A Retrospective Study of Clinical and Histopathological Features of 81 Cases of Canine Apocrine Gland Adenocarcinoma of the Anal Sac: Independent Clinical and Histopathological Risk Factors Associated with Outcome. Animals 2021, 11, 3327. [Google Scholar] [CrossRef] [PubMed]
- Williams, L.E.; Gliatto, J.M.; Dodge, R.K.; Johnson, J.L.; Gamblin, R.M.; Thamm, D.H.; Lana, S.E.; Szymkowski, M.; Moore, A.S. Carcinoma of the Apocrine Glands of the Anal Sac in Dogs: 113 Cases (1985–1995). J. Am. Vet. Med. Assoc. 2003, 223, 825–831. [Google Scholar] [CrossRef] [PubMed]
- Dennis, R.; Penderis, J. Radiology Corner—Anal Sac Gas Appearing as an Osteolytic Pelvic Lesion. Vet. Radiol. Ultrasound 2002, 43, 552–553. [Google Scholar] [CrossRef]
- Jung, Y.; Jeong, E.; Park, S.; Jeong, J.; Choi, U.S.; Kim, M.-S.; Kim, N.; Lee, K. Diagnostic Imaging Features of Normal Anal Sacs in Dogs and Cats. J. Vet. Sci. 2016, 17, 331–335. [Google Scholar] [CrossRef]
- Hamza, S.; Nouh, S.; Kammar, M.; Korittum, A. Ultrasonographical and Histopathological Diagnosis of Anal Sacculitis in Dogs. Alex. J. Vet. Sci. 2021, 71, 127. [Google Scholar] [CrossRef]
- Heng, H.G.; Lim, C.K.; Fulkerson, C.V.; Fulkerson, C.M.; Weng, H.-Y. Anal Sacculiths May Be an Incidental Finding in Dogs. Vet. Radiol. Ultrasound 2021, 62, 175–180. [Google Scholar] [CrossRef] [PubMed]
- Colthurst, S.M.M.; Simcock, J.O.; Cashmore, R.G. Comparison of Incidence of Medial Meniscal Injury in Small Dogs (≤15 Kg) and Medium-to-Large Dogs (>15 Kg) with Naturally Occurring Cranial Cruciate Ligament Disease Undergoing Tibial Plateau Levelling Osteotomy: 580 Stifles (2015–2019). J. Small Anim. Pract. 2022, 63, 686–691. [Google Scholar] [CrossRef] [PubMed]
- Büttelmann, G.; Harder, L.K.; Nolte, I.; Wefstaedt, P. Impact of Body Weight and Sex in Selected Dog Breeds on the Canine Adrenal Gland Dimensions Measured by Computed Tomographic Imaging. BMC Vet. Res. 2023, 19, 99. [Google Scholar] [CrossRef] [PubMed]
- Greer, M.B.; Calhoun, M.L. Anal Sacs of the Cat (Felis Domesticus). Am. J. Vet. Res. 1966, 27, 773–781. [Google Scholar] [PubMed]
- Ragni, R.A. Anal Sac Disease and Its Surgical Treatment. Companion Anim. 2012, 17, 17–25. [Google Scholar] [CrossRef]
- Zoran, D.L. Chapter 59—Anorectum. In Canine and Feline Gastroenterology; Washabau, R.J., Day, M.J., Eds.; W.B. Saunders: Saint Louis, MO, USA, 2013; pp. 778–798. ISBN 978-1-4160-3661-6. [Google Scholar]
- Hubers, M.W.L.; Vink, J.J.W.G.; Brissot, H.N.; Sjollema, B.E.; van Klaveren, N.J. Outcome of Surgical Treatment of Perineal Hernia in Cats: 36 Cases (2013–2019). J. Small Anim. Pract. 2022, 63, 776–783. [Google Scholar] [CrossRef] [PubMed]
- Åhlberg, T.M.; Jokinen, T.S.; Salonen, H.M.; Laitinen-Vapaavuori, O.M.; Mölsä, S.H. Exploring the Association between Canine Perineal Hernia and Neurological, Orthopedic, and Gastrointestinal Diseases. Acta Vet. Scand. 2022, 64, 39. [Google Scholar] [CrossRef]






| Dogs ≤ 15 kg (n = 86) | Mean | Median | Min | Max | SD | Confidence Interval 95% | |
|---|---|---|---|---|---|---|---|
| Lower Limit | Upper Limit | ||||||
| Anal sac L length (cm) | 1.27 | 1.30 | 0.70 | 2.00 | 0.28 | 1.21 | 1.33 |
| Anal sac L width (cm) | 0.78 | 0.75 | 0.40 | 1.50 | 0.22 | 0.73 | 0.83 |
| Anal sac L wall width (mm) | 1.01 | 1.00 | 0.50 | 1.80 | 0.26 | 0.95 | 1.06 |
| Anal sac L aspect ratio | 1.69 | 1.70 | 1.20 | 2.60 | 0.31 | 1.63 | 1.76 |
| Anal sac R length (cm) | 1.26 | 1.30 | 0.70 | 2.00 | 0.28 | 1.20 | 1.32 |
| Anal sac R width (cm) | 0.79 | 0.80 | 0.40 | 1.50 | 0.23 | 0.74 | 0.84 |
| Anal sac R wall width (mm) | 0.99 | 1.00 | 0.50 | 1.80 | 0.26 | 0.94 | 1.05 |
| Anal sac R aspect ratio | 1.64 | 1.60 | 1.20 | 2.60 | 0.33 | 1.57 | 1.71 |
| Dogs>15 kg (n = 51) | Mean | Median | Min | Max | SD | Confidence interval 95% | |
| Lower limit | Upper limit | ||||||
| Anal sac L length (cm) | 1.65 | 1.60 | 0.90 | 2.50 | 0.36 | 1.54 | 1.75 |
| Anal sac L width (cm) | 1.03 | 1.10 | 0.40 | 1.70 | 0.29 | 0.95 | 1.11 |
| Anal sac L wall width (mm) | 1.34 | 1.20 | 0.80 | 2.00 | 0.38 | 1.19 | 1.42 |
| Anal sac L aspect ratio | 1.66 | 1.60 | 1.10 | 2.60 | 0.34 | 1.57 | 1.76 |
| Anal sac R length (cm) | 1.61 | 1.60 | 0.80 | 2.50 | 0.40 | 1.50 | 1.72 |
| Anal sac R width (cm) | 1.00 | 1.00 | 0.40 | 1.80 | 0.30 | 0.92 | 1.08 |
| Anal sac R wall width (mm) | 1.34 | 1.25 | 0.70 | 2.00 | 0.38 | 1.22 | 1.43 |
| Anal sac R aspect ratio | 1.66 | 1.70 | 1.10 | 2.30 | 0.32 | 1.57 | 1.76 |
| Cats (n = 131) | Mean | Median | Min | Max | SD | Confidence interval 95% | |
| Lower limit | Upper limit | ||||||
| Anal sac L length (cm) | 0.77 | 0.70 | 0.50 | 1.40 | 0.17 | 0.74 | 0.80 |
| Anal sac L width (cm) | 0.48 | 0.50 | 0.30 | 0.90 | 0.12 | 0.46 | 0.51 |
| Anal sac L wall width (mm) | 0.61 | 0.60 | 0.40 | 1.10 | 0.15 | 0.59 | 0.64 |
| Anal sac L aspect ratio | 1.62 | 1.60 | 1.20 | 2.00 | 0.21 | 1.58 | 1.65 |
| Anal sac R length (cm) | 0.76 | 0.80 | 0.50 | 1.20 | 0.15 | 0.74 | 0.79 |
| Anal sac R width (cm) | 0.48 | 0.50 | 0.30 | 0.80 | 0.11 | 0.46 | 0.50 |
| Anal sac R wall width (mm) | 0.62 | 0.60 | 0.40 | 1.10 | 0.15 | 0.59 | 0.65 |
| Anal sac R aspect ratio | 1.60 | 1.60 | 1.00 | 2.00 | 0.22 | 1.56 | 1.64 |
| Correlation Coefficients—Dogs ≤ 15 kg | Body Weight | Age | |
|---|---|---|---|
| Anal sac L length | Correlation coefficient | 0.341 1 | 0.142 2 |
| p-value | 0.001 * | 0.191 | |
| Anal sac L width | Correlation coefficient | 0.223 2 | 0.177 2 |
| p-value | 0.039 * | 0.102 | |
| Aspect ratio L | Correlation coefficient | 0.097 2 | −0.039 2 |
| p-value | 0.372 | 0.719 | |
| Anal sac R length | Correlation coefficient | 0.266 1 | 0.079 2 |
| p-value | 0.013 * | 0.471 | |
| Anal sac R width | Correlation coefficient | 0.227 2 | 0.012 2 |
| p-value | 0.035 * | 0.910 | |
| Aspect ratio R | Correlation coefficient | 0.038 2 | 0.035 2 |
| p-value | 0.729 | 0.751 | |
| Correlation coefficients—dogs > 15 kg | Body weight | Age | |
| Anal sac L length | Correlation coefficient | 0.308 2 | −0.020 1 |
| p-value | 0.028 * | 0.887 | |
| Anal sac L width | Correlation coefficient | 0.189 2 | 0.0711 |
| p-value | 0.184 | 0.620 | |
| Aspect ratio L | Correlation coefficient | 0.084 2 | −0.139 2 |
| p-value | 0.556 | 0.331 | |
| Anal sac R length | Correlation coefficient | 0.250 2 | −0.026 1 |
| p-value | 0.077 | 0.857 | |
| Anal sac R width | Correlation coefficient | 0.164 2 | 0.023 1 |
| p-value | 0.251 | 0.871 | |
| Aspect ratio R | Correlation coefficient | 0.019 2 | −0.122 2 |
| p-value | 0.896 | 0.395 | |
| Correlation coefficients—cats | Body weight | Age | |
| Anal sac L length | Correlation coefficient | 0.240 2 | 0.174 2 |
| p-value | 0.006 * | 0.047 * | |
| Anal sac L width | Correlation coefficient | 0.269 2 | 0.208 2 |
| p-value | 0.002 * | 0.017 * | |
| Aspect ratio L | Correlation coefficient | −0.103 2 | −0.092 2 |
| p-value | 0.243 | 0.298 | |
| Anal sac R length | Correlation coefficient | 0.216 2 | 0.138 2 |
| p-value | 0.013 * | 0.117 | |
| Anal sac R width | Correlation coefficient | 0.250 2 | 0.183 2 |
| p-value | 0.004 * | 0.036 * | |
| Aspect ratio R | Correlation coefficient | −0.096 2 | −0.036 2 |
| p-value | 0.277 | 0.681 | |
Disclaimer/Publisher’s Note: The statements, opinions and data contained in all publications are solely those of the individual author(s) and contributor(s) and not of MDPI and/or the editor(s). MDPI and/or the editor(s) disclaim responsibility for any injury to people or property resulting from any ideas, methods, instructions or products referred to in the content. |
© 2024 by the authors. Licensee MDPI, Basel, Switzerland. This article is an open access article distributed under the terms and conditions of the Creative Commons Attribution (CC BY) license (https://creativecommons.org/licenses/by/4.0/).
Share and Cite
Nývltová-Pírková, I.; Proks, P.; Moserová, H. Ultrasound Morphology of Presumed Normal Anal Sacs in Dogs and Cats. Animals 2024, 14, 1684. https://doi.org/10.3390/ani14111684
Nývltová-Pírková I, Proks P, Moserová H. Ultrasound Morphology of Presumed Normal Anal Sacs in Dogs and Cats. Animals. 2024; 14(11):1684. https://doi.org/10.3390/ani14111684
Chicago/Turabian StyleNývltová-Pírková, Ivana, Pavel Proks, and Hana Moserová. 2024. "Ultrasound Morphology of Presumed Normal Anal Sacs in Dogs and Cats" Animals 14, no. 11: 1684. https://doi.org/10.3390/ani14111684
APA StyleNývltová-Pírková, I., Proks, P., & Moserová, H. (2024). Ultrasound Morphology of Presumed Normal Anal Sacs in Dogs and Cats. Animals, 14(11), 1684. https://doi.org/10.3390/ani14111684

