Common Spontaneous Tumors and Tumor-like Lesions in 70 Pet Rodents and Negative MMTV Detection in Mammary Tumors
Abstract
Simple Summary
Abstract
1. Introduction
2. Materials and Methods
2.1. Case Collection
2.2. Histopathology
2.3. Nested Polymerase Chain Reaction (Nested PCR)
3. Results
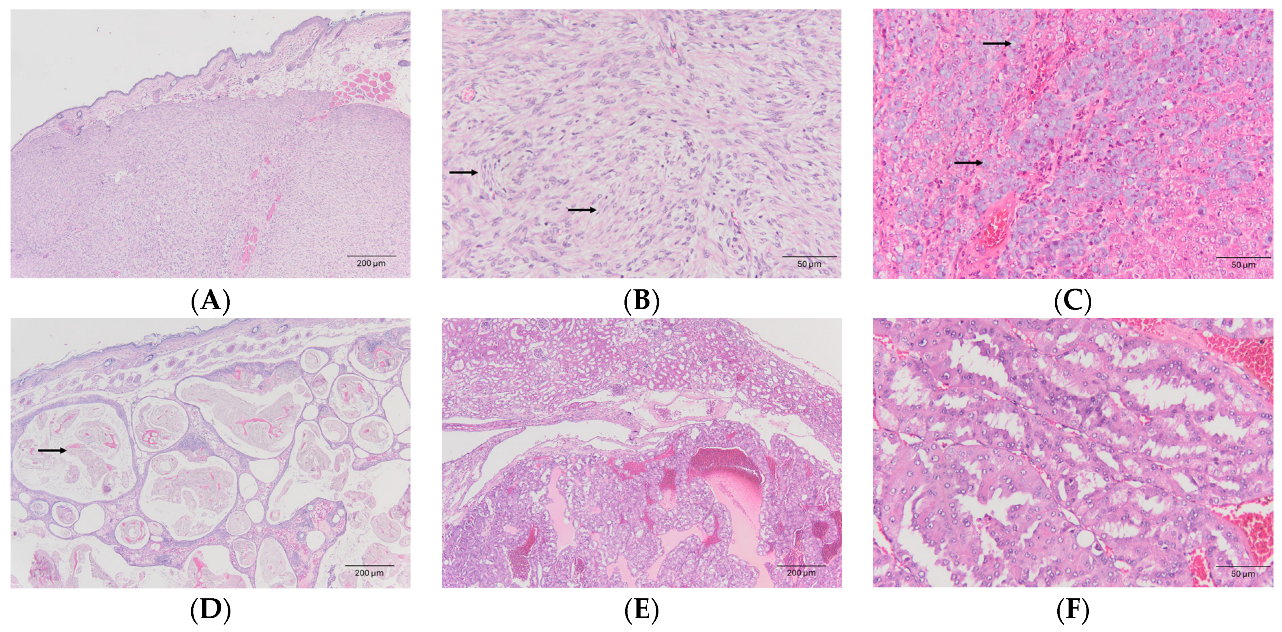
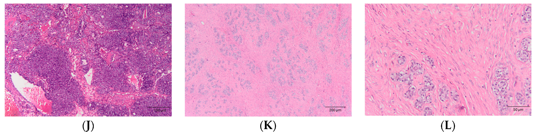
3.1. Hamsters
3.2. Guinea Pigs
3.3. Rats and Gerbil
3.4. MMTV Detection in Rodent Mammary Tumors
4. Discussion
5. Conclusions
Author Contributions
Funding
Institutional Review Board Statement
Informed Consent Statement
Data Availability Statement
Acknowledgments
Conflicts of Interest
References
- Donnelly, T.M. Disease Problems of Small Rodents. In Ferrets, Rabbits, and Rodents; Elsevier: Amsterdam, The Netherlands, 2004; pp. 299–315. [Google Scholar]
- Quesenberry, K.E.; Mans, C.; Orcutt, C.J. Ferrets, Rabbits, and Rodents, 4th ed.; Carpenter, J.W., Ed.; Elsevier: Amsterdam, The Netherlands, 2020; ISBN 9780323484350. [Google Scholar]
- Rother, N.; Bertram, C.A.; Klopfleisch, R.; Fragoso-Garcia, M.; Bomhard, W.V.; Schandelmaier, C.; Müller, K. Tumours in 177 Pet Hamsters. Vet. Rec. 2021, 188, e14. [Google Scholar] [CrossRef] [PubMed]
- Wentz, M.F.; Bianchi, M.V.; Mello, L.S.; Pietzsch, C.Á.; Alievi, M.M.; Driemeier, D.; Sonne, L.; Pavarini, S.P. Neoplasms in Domestic Hamsters in Southern Brazil: Epidemiological and Pathological Aspects of 40 Cases. Pesqui. Veterinária Bras. 2020, 40, 1029–1038. [Google Scholar] [CrossRef]
- Kondo, H.; Onuma, M.; Shibuya, H.; Sato, T. Spontaneous Tumors in Domestic Hamsters. Vet. Pathol. 2008, 45, 674–680. [Google Scholar] [CrossRef] [PubMed]
- Dudley, J.P.; Golovkina, T.V.; Ross, S.R. Lessons Learned from Mouse Mammary Tumor Virus in Animal Models. ILAR J. 2016, 57, 12–23. [Google Scholar] [CrossRef] [PubMed]
- Tikhonenko, A.T.; Vassetzky, N.S.; Golovkina, T.V.; Gudkov, A.V. Molecular Cloning and Primary Structure Analysis of the Mouse Mammary Tumor Virus-Related Element from Dwarf Hamster Genome. Virus Genes 1990, 3, 259–261. [Google Scholar] [CrossRef] [PubMed]
- Horváth, K.B.; Boros, Á.; Kálmán, E.; Pankovics, P.; Delwart, E.; Reuter, G. Characterization of an Integrated, Endogenous Mouse Mammary Tumor Virus-like (MMTV) Betaretrovirus Genome in a Black Syrian Hamster (Mesocricetus auratus). Infect. Genet. Evol. 2019, 75, 103995. [Google Scholar] [CrossRef] [PubMed]
- Ringold, G.M.; Cardiff, R.D.; Varmus, H.E.; Yamamoto, K.R. Infection of Cultured Rat Hepatoma Cells by Mouse Mammary Tumor Virus. Cell 1977, 10, 11–18. [Google Scholar] [CrossRef] [PubMed]
- Wang, Y.; Holland, J.F.; Bleiweiss, I.J.; Melana, S.; Liu, X.; Pelisson, I.; Cantarella, A.; Stellrecht, K.; Mani, S.; Pogo, B.G. Detection of Mammary Tumor Virus Env Gene-like Sequences in Human Breast Cancer. Cancer Res. 1995, 55, 5173–5179. [Google Scholar]
- Parisi, F.; Freer, G.; Mazzanti, C.M.; Pistello, M.; Poli, A. Mouse Mammary Tumor Virus (MMTV) and MMTV-like Viruses: An In-Depth Look at a Controversial Issue. Viruses 2022, 14, 977. [Google Scholar] [CrossRef]
- Kiupel, M. (Ed.) Surgical Pathology of Tumors of Domestic Animals Volume 2: Mammary Tumors; Davis-Thompson DVM Foundation: Gurnee, IL, USA, 2008. [Google Scholar]
- Wang, S.-P. Detection of Mouse Mammary Tumor Virus (MMTV)-Like Sequences in Human and Mice in Taiwan. National Chung Hsing University: Taichung, Taiwan, 2010. [Google Scholar]
- Russo, I.H.; Russo, J. Role of Hormones in Mammary Cancer Initiation and Progression. J. Mammary Gland. Biol. Neoplasia 1998, 3, 49–61. [Google Scholar] [CrossRef]
- Szabo, S.; Haislip, A.M.; Traina-Dorge, V.; Costin, J.M.; Crawford, B.E.; Wilson, R.B.; Garry, R.F. Human, Rhesus Macaque, and Feline Sequences Highly Similar to Mouse Mammary Tumor Virus Sequences. Microsc. Res. Tech. 2005, 68, 209–221. [Google Scholar] [CrossRef] [PubMed]
- Hsu, W.-L.; Lin, H.-Y.; Chiou, S.-S.; Chang, C.-C.; Wang, S.-P.; Lin, K.-H.; Chulakasian, S.; Wong, M.-L.; Chang, S.-C. Mouse Mammary Tumor Virus-Like Nucleotide Sequences in Canine and Feline Mammary Tumors. J. Clin. Microbiol. 2010, 48, 4354–4362. [Google Scholar] [CrossRef] [PubMed][Green Version]
- Baillie, G.J.; van de Lagemaat, L.N.; Baust, C.; Mager, D.L. Multiple Groups of Endogenous Betaretroviruses in Mice, Rats, and Other Mammals. J. Virol. 2004, 78, 5784–5798. [Google Scholar] [CrossRef]
- Weiss, R.A. Cross-Species Infections. In Xenotransplantation; Springer: Berlin/Heidelberg, Germany, 2003; pp. 47–71. [Google Scholar]
- Shivambu, N.; Shivambu, T.C.; Chimimba, C.T. Zoonotic Pathogens Associated with Pet and Feeder Murid Rodent Species: A Global Systematic Review. Vector-Borne Zoonotic Dis. 2023, 23, 551–560. [Google Scholar] [CrossRef] [PubMed]
- Yoshimura, H.; Kimura-Tsukada, N.; Ono, Y.; Michishita, M.; Ohkusu-Tsukada, K.; Matsuda, Y.; Ishiwata, T.; Takahashi, K. Characterization of Spontaneous Mammary Tumors in Domestic Djungarian Hamsters (Phodopus sungorus). Vet. Pathol. 2015, 52, 1227–1234. [Google Scholar] [CrossRef] [PubMed]
- McKeon, G.P.; Nagamine, C.M.; Ruby, N.F.; Luong, R.H. Hematologic, Serologic, and Histologic Profile of Aged Siberian Hamsters (Phodopus sungorus). J. Am. Assoc. Lab. Anim. Sci. 2011, 50, 308–316. [Google Scholar]
- Barthold, S.W.; Griffey, S.M.; Percy, D.H. (Eds.) Pathology of Laboratory Rodents and Rabbits, 4th ed.; Wiley: New York, NY, USA, 2016; ISBN 9781118824245. [Google Scholar]
- Li, X.; Wardrip, C.; Seps, S.; Padrid, P. Renal Cell Carcinoma in Two Siberian Hamsters (Phodopus sungorus). Contemp. Top. Lab. Anim. Sci. 1998, 37, 70–73. [Google Scholar]
- Li, J.J.; Li, S.A. Estrogen Carcinogenesis in Syrian Hamster Tissues: Role of Metabolism. Fed. Proc. 1987, 46, 1858–1863. [Google Scholar] [PubMed]
- Greenacre, C.B. Spontaneous Tumors of Small Mammals. Vet. Clin. Exot. Anim. Pract. 2004, 7, 627–651. [Google Scholar] [CrossRef]
- Dobromylskyj, M.J.; Hederer, R.; Smith, K.C. Lumpy, Bumpy Guinea Pigs: A Retrospective Study of 619 Biopsy Samples of Externally Palpable Masses Submitted from Pet Guinea Pigs for Histopathology. J. Comp. Pathol. 2023, 203, 13–18. [Google Scholar] [CrossRef]
- Jelínek, F. Spontaneous Tumours in Guinea Pigs. Acta Vet. Brno 2003, 72, 221–228. [Google Scholar] [CrossRef]
- Gibbons, P.M.; Garner, M.M.; Kiupel, M. Morphological and Immunohistochemical Characterization of Spontaneous Thyroid Gland Neoplasms in Guinea Pigs (Cavia Porcellus). Vet. Pathol. 2013, 50, 334–342. [Google Scholar] [CrossRef] [PubMed]
- Andrews, E.J. Mammary Neoplasia in the Guinea Pig (Cavia Porcellus). Cornell Vet. 1976, 66, 82–96. [Google Scholar] [PubMed]
- Suárez-Bonnet, A.; Martín de las Mulas, J.; Millán, M.Y.; Herráez, P.; Rodríguez, F.; Espinosa de los Monteros, A. Morphological and Immunohistochemical Characterization of Spontaneous Mammary Gland Tumors in the Guinea Pig (Cavia porcellus). Vet. Pathol. 2010, 47, 298–305. [Google Scholar] [CrossRef] [PubMed]
- Laik-Schandelmaier, C.; Klopfleisch, R.; Schöniger, S.; Weiffenbach, G.; Staudacher, M.; Aupperle, H. Spontaneously Arising Tumours and Tumour-like Lesions of the Cervix and Uterus in 83 Pet Guinea Pigs (Cavia porcellus). J. Comp. Pathol. 2017, 156, 339–351. [Google Scholar] [CrossRef]
- Matsuoka, K.; Suzuki, J. Spontaneous Tumors in the Mongolian Gerbil (Meriones unguiculatus). Exp. Anim. 1995, 43, 755–760. [Google Scholar] [CrossRef]





| Name | Primer Sequence (5′->3′) | Location | Expected PCR Product Size (bp) | No. of Cycles |
|---|---|---|---|---|
| ENV-1F | CCTTCTGGGAGGGAGACGAGT | env; 7273–7293; outer | 647 | 35 |
| ENV-1R | AGCTCGAATTAAATCTGTGGCATAC | env; 7895–7919; outer | ||
| ENV-2F | CCTTGGGTTACTTTGGGATTTCTC | env; 7361–7384; inner | 449 | 35 |
| ENV-2R | TGATCGCTGCATAGTCGTAGGC | env; 7788–7809; inner |
| Sex | Age (Months) | |||||
|---|---|---|---|---|---|---|
| Histologic Diagnosis | n | Male | Female | Range | Median | |
| Integumentary | Malignant mammary tumor | 10 | 0 | 10 | 3–24 | 11 |
| Fibrosarcoma | 9 | 4 | 5 | 12–27 | 20 | |
| Squamous cell carcinoma | 4 | 4 | 0 | 7–18 | 19 | |
| Malignant mast cell tumor | 4 | 1 | 3 | 17–36 | 24 | |
| Benign papilloma | 3 | 3 | 0 | 15–23 | 18 | |
| Mammary gland adenoma | 3 | 0 | 3 | 14 | 14 | |
| Malignant histiocytoma | 2 | 1 | 1 | 12–24 | 18 | |
| Myxosarcoma | 1 | 1 | 0 | 19 | 19 | |
| Pilomatricoma | 1 | 1 | 0 | 17 | 17 | |
| Sweat gland adenocarcinoma | 1 | 1 | 0 | 24 | 24 | |
| Trichoepithelioma | 1 | 1 | 0 | 12 | 12 | |
| Hemangiosarcoma | 1 | 0 | 1 | 18 | 18 | |
| Round cell tumor | 1 | 0 | 1 | na* | na | |
| Reproductive | Luteoma | 1 | 0 | 1 | 8 | 8 |
| Interstitial cell tumor | 1 | 0 | 1 | 17 | 17 | |
| Seminoma | 1 | 1 | 0 | 18 | 18 | |
| Uterine leiomyosarcoma | 1 | 0 | 1 | na | na | |
| Urinary | Renal cell carcinoma | 3 | 3 | 0 | 23–27 | 25 |
| Hematopoietic | Splenic lymphoma | 1 | 0 | 1 | na | na |
| Splenic fibrosarcoma | 1 | 0 | 1 | na | na | |
| Sex | Age (Months) | |||||
|---|---|---|---|---|---|---|
| Histologic Diagnosis | n | Male | Female | Range | Median | |
| Integumentary | Lipoma | 5 | 4 | 1 | 13–65 | 32 |
| Malignant mammary tumor | 4 | 3 | 1 | 48–64 | 56 | |
| Trichofolliculoma | 2 | 0 | 2 | 28–60 | 44 | |
| Sarcoma | 1 | 1 | 0 | 68 | 68 | |
| Collagenous hamartoma | 2 | 2 | 0 | 68 | 68 | |
| Sebaceous gland adenoma | 1 | 1 | 0 | 55 | 55 | |
| Skeletal | Malignant giant cell tumor of bone | 1 | 1 | 0 | 82 | 82 |
| Osteosarcoma | 1 | 0 | 1 | 24 | 24 | |
| Reproductive | Uterine adenocarcinoma | 1 | 0 | 1 | 17 | 17 |
| Lipoma | 1 | 0 | 1 | 60 | 60 | |
| Endocrine | Thyroid adenocarcinoma | 1 | 0 | 1 | 78 | 78 |
Disclaimer/Publisher’s Note: The statements, opinions and data contained in all publications are solely those of the individual author(s) and contributor(s) and not of MDPI and/or the editor(s). MDPI and/or the editor(s) disclaim responsibility for any injury to people or property resulting from any ideas, methods, instructions or products referred to in the content. |
© 2024 by the authors. Licensee MDPI, Basel, Switzerland. This article is an open access article distributed under the terms and conditions of the Creative Commons Attribution (CC BY) license (https://creativecommons.org/licenses/by/4.0/).
Share and Cite
Chen, Y.-M.; Wu, J.-L.; Lin, W.-H. Common Spontaneous Tumors and Tumor-like Lesions in 70 Pet Rodents and Negative MMTV Detection in Mammary Tumors. Animals 2024, 14, 1469. https://doi.org/10.3390/ani14101469
Chen Y-M, Wu J-L, Lin W-H. Common Spontaneous Tumors and Tumor-like Lesions in 70 Pet Rodents and Negative MMTV Detection in Mammary Tumors. Animals. 2024; 14(10):1469. https://doi.org/10.3390/ani14101469
Chicago/Turabian StyleChen, Ya-Mei, Jia-Ling Wu, and Wei-Hao Lin. 2024. "Common Spontaneous Tumors and Tumor-like Lesions in 70 Pet Rodents and Negative MMTV Detection in Mammary Tumors" Animals 14, no. 10: 1469. https://doi.org/10.3390/ani14101469
APA StyleChen, Y.-M., Wu, J.-L., & Lin, W.-H. (2024). Common Spontaneous Tumors and Tumor-like Lesions in 70 Pet Rodents and Negative MMTV Detection in Mammary Tumors. Animals, 14(10), 1469. https://doi.org/10.3390/ani14101469

