Studying and Analyzing Humane Endpoints in the Fructose-Fed and Streptozotocin-Injected Rat Model of Diabetes
Abstract
Simple Summary
Abstract
1. Introduction
2. Materials and Methods
2.1. Ethical Statements
2.2. Animals and Chemicals
2.3. Experimental Protocol
2.4. Body Weight, Food, and Water Consumption
2.5. Scoring Sheet
2.6. Body Temperature
2.7. Blood Glucose Assessed during Protocol
2.8. Animals’ Euthanasia and Samples Processing
2.9. Murinometric and Nutritional Measurements
2.10. Statistical Analysis
3. Results
3.1. General Observations
3.2. Animal Welfare
3.3. Body Temperature
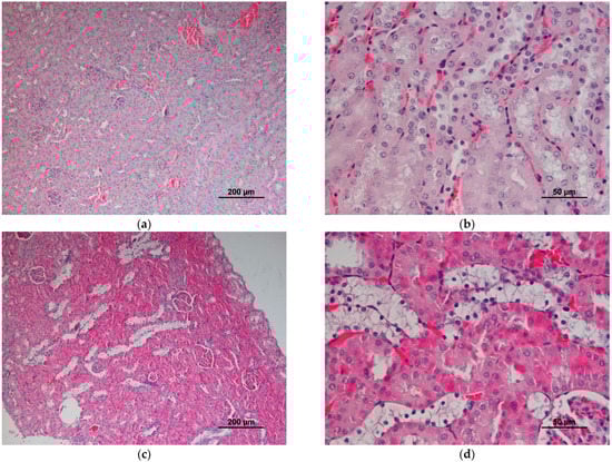
3.4. Kidney Analysis
3.5. Blood Parameters
3.6. Murinometric and Nutritional Measurements
4. Discussion
5. Conclusions
Supplementary Materials
Author Contributions
Funding
Institutional Review Board Statement
Informed Consent Statement
Data Availability Statement
Conflicts of Interest
References
- King, A.J. The Use of Animal Models in Diabetes Research. Br. J. Pharmacol. 2012, 166, 877–894. [Google Scholar] [CrossRef]
- Russell, W.M.S.; Burch, R.L. The Principles of Humane Experimental Technique; Methuen. Co., Ltd.: London, UK, 1959; Volume 1, p. 500. [Google Scholar] [CrossRef]
- Olfert, E.; Bhasin, J.; Latt, R.; Macallum, E.; McCutcheon, K.; Rainnie, D.; Schunk, M. Guidelines on: Choosing an Appropriate Endpoint in Experiments Using Animals for Research, Teaching and Testing; Canadian Council on Animal Care: Ottawa, ON, Canada, 1998. [Google Scholar]
- Morton, D.B. A Systematic Approach for Establishing Humane Endpoints. ILAR J. 2000, 41, 80–86. [Google Scholar] [CrossRef] [PubMed]
- Lloyd, M.H.; Wolfensohn, S.E. Practical Use of Distress Scoring Systems in the Application of Humane Endpoints. Hum. Endpoints Anim. Exp. Biomed. Res. 1999, 1999, 48–53. [Google Scholar]
- Ullman-Culleré, M.H.; Foltz, C.J. Body Condition Scoring: A Rapid and Accurate Method for Assessing Health Status in Mice. Lab. Anim. Sci. 1999, 49, 319–323. [Google Scholar] [PubMed]
- Kalueff, A.V.; Stewart, A.M.; Song, C.; Berridge, K.C.; Graybiel, A.M.; Fentress, J.C. Neurobiology of Rodent Self-Grooming and Its Value for Translational Neuroscience. Nat. Rev. Neurosci. 2016, 17, 45–59. [Google Scholar] [CrossRef] [PubMed]
- Mason, G.; Wilson, D.; Hampton, C.; Würbel, H. Non-Invasively Assessing Disturbance and Stress in Laboratory Rats by Scoring Chromodacryorrhoea. Altern. Lab. Anim. 2004, 32, 153–159. [Google Scholar] [CrossRef] [PubMed]
- Sotocina, S.G.; Sorge, R.E.; Zaloum, A.; Tuttle, A.H.; Martin, L.J.; Wieskopf, J.S.; Mapplebeck, J.C.; Wei, P.; Zhan, S.; Zhang, S.; et al. The Rat Grimace Scale: A Partially Automated Method for Quantifying Pain in the Laboratory Rat via Facial Expressions. Mol. Pain. 2011, 7, 55. [Google Scholar] [CrossRef]
- Faustino-Rocha, A.I.; Ginja, M.; Ferreira, R.; Oliveira, P.A. Studying Humane Endpoints in a Rat Model of Mammary Carcinogenesis. Iran. J. Basic. Med. Sci. 2019, 22, 643–649. [Google Scholar] [CrossRef]
- Warn, P.A.; Brampton, M.W.; Sharp, A.; Morrissey, G.; Steel, N.; Denning, D.W.; Priest, T. Infrared Body Temperature Measurement of Mice as an Early Predictor of Death in Experimental Fungal Infections. Lab. Anim. 2003, 37, 126–131. [Google Scholar] [CrossRef]
- World Health Organization Diabetes. Available online: https://www.who.int/health-topics/diabetes#tab=tab_1 (accessed on 4 April 2023).
- Wilson, R.D.; Islam, M.S. Fructose-Fed Streptozotocin-Injected Rat: An Alternative Model for Type 2 Diabetes. Pharmacol. Rep. 2012, 64, 129–139. [Google Scholar] [CrossRef]
- Wang, Y.-J.; Xie, X.-S.; Feng, S.-G.; Long, Q.-X.; Ai, N.; Wang, B.-F. Causes of Death in STZ-Induced Rat Models of Diabetes Mellitus. Sichuan Da Xue Xue Bao Yi Xue Ban. J. Sichuan Univ. 2014, 45, 691–695. [Google Scholar]
- Dang, J.-K.; Wu, Y.; Cao, H.; Meng, B.; Huang, C.-C.; Chen, G.; Li, J.; Song, X.-J.; Lian, Q.-Q. Establishment of a Rat Model of Type II Diabetic Neuropathic Pain. Pain. Med. 2014, 15, 637–646. [Google Scholar] [CrossRef] [PubMed]
- Mostafavinia, A.; Amini, A.; Ghorishi, S.K.; Pouriran, R.; Bayat, M. The Effects of Dosage and the Routes of Administrations of Streptozotocin and Alloxan on Induction Rate of Type1 Diabetes Mellitus and Mortality Rate in Rats. Lab. Anim. Res. 2016, 32, 160–165. [Google Scholar] [CrossRef]
- Silva-Reis, R.; Faustino-Rocha, A.I.; Gonçalves, M.; Ribeiro, C.C.; Ferreira, T.; Ribeiro-Silva, C.; Gonçalves, L.; Antunes, L.; Venâncio, C.; Ferreira, R.; et al. Refinement of Animal Model of Colorectal Carcinogenesis through the Definition of Novel Humane Endpoints. Animals 2021, 11, 985. [Google Scholar] [CrossRef] [PubMed]
- Oliveira, M.; Nascimento-gonçalves, E.; Silva, J.; Oliveira, P.A.; Ferreira, R.; Antunes, L.; Arantes-rodrigues, R.; Faustino-rocha, A.N.A.I. Implementation of Human Endpoints in a Urinary Bladder Carcinogenesis Study in Rats. In Vivo 2017, 31, 1073–1080. [Google Scholar] [CrossRef]
- Miedel, E.L.; Hankenson, F.C. Biology and Diseases of Hamsters. In Laboratory Animal Medicine; Elsevier: Amsterdam, The Netherlands, 2015; pp. 209–245. [Google Scholar]
- Mayer, J.; Donnelly, T.M. Clinical Veterinary Advisor; Elsevier: Amsterdam, The Netherlands, 2013; pp. 242–252. [Google Scholar]
- Parasuraman, S.; Raveendran, R.; Kesavan, R. Blood Sample Collection in Small Laboratory Animals. J. Pharmacol. Pharmacother. 2010, 1, 87–93. [Google Scholar] [CrossRef]
- Zhu, G.; Wang, Q.; Lu, S.; Niu, Y. Hydrogen Peroxide: A Potential Wound Therapeutic Target. Med. Princ. Pract. 2017, 26, 301–308. [Google Scholar] [CrossRef]
- da Silva Nery, C.; Lins Pinheiro, I.; de Santana Muniz, G.; Antônio Alves de Vasconcelos, D.; Pereira de França, S.; do Nascimento, E. Murinometric Evaluations and Feed Efficiency in Rats from Reduced Litter during Lactation and Submitted or Not to Swimming Exercise. Rev. Bras. Med. Esporte 2011, 17, 49–55. [Google Scholar]
- Novelli, E.L.B.; Diniz, Y.S.; Galhardi, C.M.; Ebaid, G.M.X.; Rodrigues, H.G.; Mani, F.; Fernandes, A.A.H.; Cicogna, A.C.; Novelli Filho, J.L.V.B. Anthropometrical Parameters and Markers of Obesity in Rats. Lab. Anim. 2007, 41, 111–119. [Google Scholar] [CrossRef]
- Cruz, P.L.; Moraes-Silva, I.C.; Ribeiro, A.A.; Machi, J.F.; de Melo, M.D.T.; dos Santos, F.; da Silva, M.B.; Strunz, C.M.C.; Caldini, E.G.; Irigoyen, M.C. Nicotinamide Attenuates Streptozotocin-Induced Diabetes Complications and Increases Survival Rate in Rats: Role of Autonomic Nervous System. BMC Endocr. Disord. 2021, 21, 133. [Google Scholar] [CrossRef]
- Wei, M.; Ong, L.; Smith, M.T.; Ross, F.B.; Hoey, A.J.; Burstow, D.; Fracp, M. The Streptozotocin-Diabetic Rat as a Model of the Chronic Complications of Diabetes. Asia Pac. Heart J. 2003, 12, 44–50. [Google Scholar] [CrossRef] [PubMed]
- Dewi, N.; Syaify, A.; Wahyudi, I.A. Effect of Gestational Diabetes Mellitus on the Expression of Amelogenin in Rat Offspring Tooth Germ. Dent. J. (Majalah Kedokteran Gigi) 2013, 46, 135. [Google Scholar] [CrossRef]
- Garrahy, A.; Moran, C.; Thompson, C.J. Diagnosis and Management of Central Diabetes Insipidus in Adults. Clin. Endocrinol. 2019, 90, 23–30. [Google Scholar] [CrossRef] [PubMed]
- Okon, U.A.; Owo, D.U.; Udokang, N.E.; Udobang, J.A.; Ekpenyong, C.E. Oral Administration of Aqueous Leaf Extract of Ocimum Gratissimum Ameliorates Polyphagia, Polydipsia and Weight Loss in Streptozotocin-Induced Diabetic Rats. Am. J. Med. Med. Sci. 2012, 2, 45–49. [Google Scholar] [CrossRef]
- Xu, J.; Bartolome, C.L.; Low, C.S.; Yi, X.; Chien, C.H.; Wang, P.; Kong, D. Genetic Identification of Leptin Neural Circuits in Energy and Glucose Homeostases. Nature 2018, 556, 505–509. [Google Scholar] [CrossRef]
- Cipriani, P.; Kim, S.L.; Klein, J.D.; Sim, J.H.; von Bergen, T.N.; Blount, M.A. The Role of Nitric Oxide in the Dysregulation of the Urine Concentration Mechanism in Diabetes Mellitus. Front. Physiol. 2012, 3, 176. [Google Scholar] [CrossRef] [PubMed]
- Milles, J.J.; Spruce, B.; Baylis, P.H. A Comparison of Diagnostic Methods to Differentiate Diabetes Insipidus from Primary Polyuria: A Review of 21 Patients. Acta Endocrinol. 1983, 104, 410–416. [Google Scholar] [CrossRef]
- Wang-Fischer, Y.; Garyantes, T. Improving the Reliability and Utility of Streptozotocin-Induced Rat Diabetic Model. J. Diabetes Res. 2018, 2018, 8054073. [Google Scholar] [CrossRef]
- FELDMAN, M. Disorders of Gastrointestinal Motility Associated with Diabetes Mellitus. Ann. Intern. Med. 1983, 98, 378. [Google Scholar] [CrossRef]
- Valdovinos, M.A.; Camilleri, M.; Zimmerman, B.R. Chronic Diarrhea in Diabetes Mellitus: Mechanisms and an Approach to Diagnosis and Treatment. Mayo Clin. Proc. 1993, 68, 691–702. [Google Scholar] [CrossRef]
- Mei, J.; Banneke, S.; Lips, J.; Kuffner, M.T.C.; Hoffmann, C.J.; Dirnagl, U.; Endres, M.; Harms, C.; Emmrich, J.V. Refining Humane Endpoints in Mouse Models of Disease by Systematic Review and Machine Learning-Based Endpoint Definition. ALTEX 2019, 36, 555–571. [Google Scholar] [CrossRef] [PubMed]
- Ramos-Lobo, A.M.; Buonfiglio, D.C.; Cipolla-Neto, J. Streptozotocin-Induced Diabetes Disrupts the Body Temperature Daily Rhythm in Rats. Diabetol. Metab. Syndr. 2015, 7, 39. [Google Scholar] [CrossRef] [PubMed]
- Opherk, C.; Tronche, F.; Kellendonk, C.; Kohlmüller, D.; Schulze, A.; Schmid, W.; Schütz, G. Inactivation of the Glucocorticoid Receptor in Hepatocytes Leads to Fasting Hypoglycemia and Ameliorates Hyperglycemia in Streptozotocin-Induced Diabetes Mellitus. Mol. Endocrinol. 2004, 18, 1346–1353. [Google Scholar] [CrossRef] [PubMed]
- Kretowicz, M.; Johnson, R.J.; Ishimoto, T.; Nakagawa, T.; Manitius, J. The Impact of Fructose on Renal Function and Blood Pressure. Int. J. Nephrol. 2011, 2011, 315879. [Google Scholar] [CrossRef]
- Soto-Greene, M.L.; Salas-Lopez, D.; Sanchez, J.; Like, R.C. Antecedents to Effective Treatment of Hypertension in Hispanic Populations. Clin. Cornerstone 2004, 6, 30–38. [Google Scholar] [CrossRef] [PubMed]
- Gundala, N.K.V.; Naidu, V.G.M.; Das, U.N. Amelioration of Streptozotocin-Induced Type 2 Diabetes Mellitus in Wistar Rats by Arachidonic Acid. Biochem. Biophys. Res. Commun. 2018, 496, 105–113. [Google Scholar] [CrossRef]
- di Sebastiano, K.M.; Yang, L.; Zbuk, K.; Wong, R.K.; Chow, T.; Koff, D.; Moran, G.R.; Mourtzakis, M. Accelerated Muscle and Adipose Tissue Loss May Predict Survival in Pancreatic Cancer Patients: The Relationship with Diabetes and Anaemia. Br. J. Nutr. 2013, 109, 302–312. [Google Scholar] [CrossRef]






| Score | 0 | 1 | 2 | 3 | |
|---|---|---|---|---|---|
| Body Condition/Weight | Normal | Altered body condition/weight loss of <10% | Emaciated/weight loss of 10–20% | Weight loss of >20% (Euthanasia) | |
| Posture | Normal | Curved | --- | --- | |
| Hair/tail appearance and grooming | Normal | Lack of grooming | Very bad-looking hair, dirty tail, severe chromodacryorrhea | --- | |
| Grimace scale | Eyes and extremities | Normal | Narrowing of the orbital area | Moderate anemia/Cataracts, Eyes fully closed | Severe anemia/Corneal ulcers (Euthanasia) |
| Position of ears and whiskers | Normal | Dropped ears, forward whiskers (Stiffened) | Floppy and curved ears, whiskers turned forward and crumpled (clusters) | --- | |
| Nose/cheeks | Normal | Flattening and elongating the tip of the nose | Flattening of the cheeks (cheek appearance) | --- | |
| Walk | Normal | --- | --- | Walking on the tip of the extremities (Euthanasia) | |
| Skin | Absence | Skin injuries/infections <5 mm | Skin injuries/infections >5 mm | Presence of necrosis (Euthanasia) | |
| Mental status | Normal | Inactive | Moribund | Stupor/coma (Euthanasia) | |
| Response to external stimuli | Normal | Moderate | Moderate with vocalization | Violent | |
| Hydration status | Normal | Abnormal skin pinch test (>2 s) | --- | --- | |
| Stool appearance | Solid | Pasty diarrhea | Liquid diarrhea | --- | |
| Convulsions | Absence | --- | --- | Presence | |
| Visualization and response to mild abdominal palpation | Normal | Vocalization | Distended | --- | |
| Relative Weight (g/kg) | Control (n = 6) | Induced (n = 16) |
|---|---|---|
| Right kidney | 4.053 ± 0.165 | 4.952 ± 0.676 a |
| Left kidney | 3.861 ± 0.266 | 4.802 ± 0.593 b |
| Glucose Levels (mg/dL) | |||
|---|---|---|---|
| Week of Protocol | Timepoint | Control (n = 8) | Induced (n = 16) |
| 4 | After fasting (12 h) | 67.00 ± 8.97 | 65.06 ± 19.06 |
| After feeding (2 h) | 141.00 ± 15.22 | 568.92 ± 71.43 a | |
| 6 | After fasting (12 h) | 94.63 ± 8.35 | 110.63 ± 30.25 |
| After feeding (2 h) | 141.63 ± 9.55 | 600.00 ± 0.00 a | |
| Control (n = 6) | Induced (n = 16) | |
|---|---|---|
| Albumin (g/dL) | 2.28 ± 0.66 | 1.81 ± 0.84 |
| Cholesterol (mg/dL) | 47.75 ± 10.24 | 52.19 ± 21.17 |
| Glucose (mg/dL) | 107.87 ± 25.23 | 251.73 ± 136.84 a |
| Triglycerides (mg/dL) | 36.77 ± 12.88 | 60.52 ± 45.23 |
| Parameter | Control (n = 8) | Induced (n = 16) |
|---|---|---|
| Initial body weight (g) | 130.57 ± 12.29 | 133.75 ± 10.92 |
| Final body weight (g) | 349.33 ± 21.76 | 256.07 ± 51.99 c |
| Final fasting body weight (g) | 328.75 ± 18.94 | 235.01 ± 51.41 c |
| Nasal-anal length (cm) | 23.50 ± 0.79 | 21.03 ± 1.39 b |
| Thoracic perimeter (cm) | 15.13 ± 0.60 | 13.22 ± 1.22 b |
| Abdominal perimeter (cm) | 15.88 ± 0.70 | 14.38 ± 1.08 a |
| Lee index | 2.41 ± 0.04 | 2.22 ± 0.11 b |
| BMI (g/cm2) | 0.60 ± 0.03 | 0.53 ± 0.06 a |
| Specific rate of body weight gain (g/g) | 0.03 ± 0.00 | 0.02 ± 0.0 c |
| Food efficiency coefficient (g/g) | 1.41 ± 0.14 | 0.66 ± 0.28 c |
Disclaimer/Publisher’s Note: The statements, opinions and data contained in all publications are solely those of the individual author(s) and contributor(s) and not of MDPI and/or the editor(s). MDPI and/or the editor(s) disclaim responsibility for any injury to people or property resulting from any ideas, methods, instructions or products referred to in the content. |
© 2023 by the authors. Licensee MDPI, Basel, Switzerland. This article is an open access article distributed under the terms and conditions of the Creative Commons Attribution (CC BY) license (https://creativecommons.org/licenses/by/4.0/).
Share and Cite
Silva-Reis, R.; Faustino-Rocha, A.I.; Silva, J.; Valada, A.; Azevedo, T.; Anjos, L.; Gonçalves, L.; Pinto, M.d.L.; Ferreira, R.; Silva, A.M.S.; et al. Studying and Analyzing Humane Endpoints in the Fructose-Fed and Streptozotocin-Injected Rat Model of Diabetes. Animals 2023, 13, 1397. https://doi.org/10.3390/ani13081397
Silva-Reis R, Faustino-Rocha AI, Silva J, Valada A, Azevedo T, Anjos L, Gonçalves L, Pinto MdL, Ferreira R, Silva AMS, et al. Studying and Analyzing Humane Endpoints in the Fructose-Fed and Streptozotocin-Injected Rat Model of Diabetes. Animals. 2023; 13(8):1397. https://doi.org/10.3390/ani13081397
Chicago/Turabian StyleSilva-Reis, Rita, Ana I. Faustino-Rocha, Jéssica Silva, Abigaël Valada, Tiago Azevedo, Lara Anjos, Lio Gonçalves, Maria de Lurdes Pinto, Rita Ferreira, Artur M. S. Silva, and et al. 2023. "Studying and Analyzing Humane Endpoints in the Fructose-Fed and Streptozotocin-Injected Rat Model of Diabetes" Animals 13, no. 8: 1397. https://doi.org/10.3390/ani13081397
APA StyleSilva-Reis, R., Faustino-Rocha, A. I., Silva, J., Valada, A., Azevedo, T., Anjos, L., Gonçalves, L., Pinto, M. d. L., Ferreira, R., Silva, A. M. S., Cardoso, S. M., & Oliveira, P. A. (2023). Studying and Analyzing Humane Endpoints in the Fructose-Fed and Streptozotocin-Injected Rat Model of Diabetes. Animals, 13(8), 1397. https://doi.org/10.3390/ani13081397

