Multi-Omics Analysis of the Mechanism of Mentha Haplocalyx Briq on the Growth and Metabolic Regulation of Fattening Sheep
Abstract
:Simple Summary
Abstract
1. Introduction
2. Materials and Methods
2.1. Experimental Animals and Design
2.2. Collection and Determination of Samples
2.3. 16S rRNA Sequencing of Rumen Fluid and Fecal Microorganisms
2.4. Metabolomics Detection of Rumen Fluid, Serum and Urine
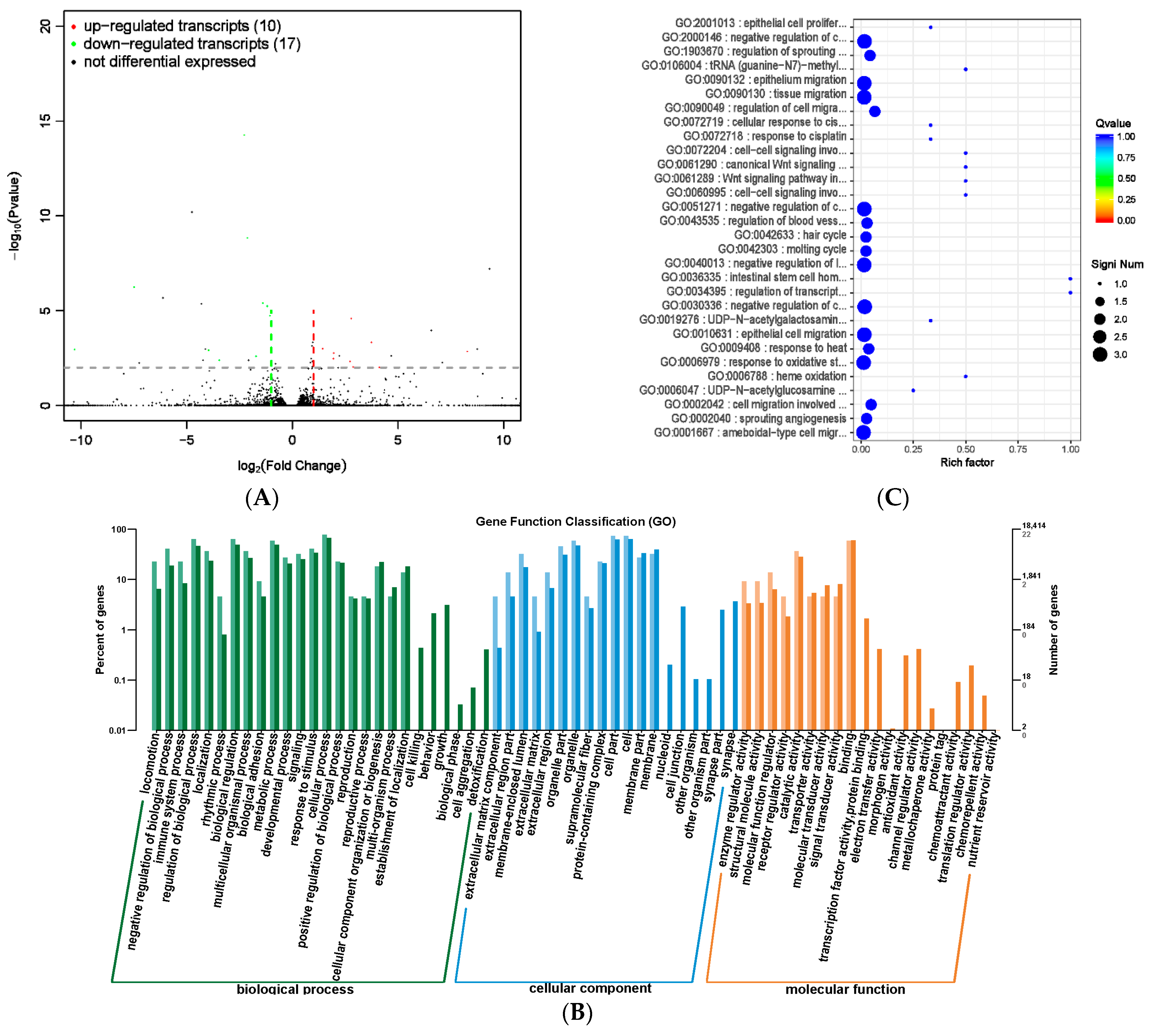
2.5. Transcriptomics Analysis
2.6. Statistical Analysis
3. Results
3.1. Growth and Performance
3.2. Characteristics of Intestinal Tissue Morphology
3.3. Analysis of Rumen Fermentation Parameters and Rumen Microbiota
3.4. Analysis of Fecal Microbiota
3.5. Metabolomics Analysis of Rumen Fluid
3.6. Serum Antioxidant Capacity and Metabolomics Analysis
3.7. Urine Metabolomics Analysis
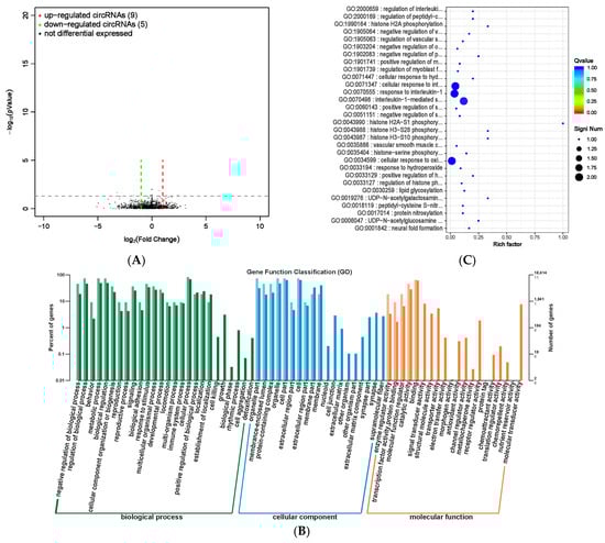
3.8. Analysis of Circular RNA in Rumen Epithelial Tissue
3.9. Analysis of lncRNA in Rumen Epithelial Tissues
3.10. miRNA Analysis of Rumen Epithelial Tissue
4. Discussion
4.1. Growth Performance and Intestinal Tissue Morphology
4.2. Rumen and Fecal Microorganisms
4.3. Metabolomics of Rumen Fluid, Serum, and Urine
4.4. Rumen Epithelial Tissue Transcriptomics
5. Conclusions
Supplementary Materials
Author Contributions
Funding
Institutional Review Board Statement
Informed Consent Statement
Data Availability Statement
Acknowledgments
Conflicts of Interest
References
- Jian, Z.; Zeng, L.; Xu, T.; Sun, S.; Yan, S.; Yang, L.; Huang, Y.; Jia, J.; Dou, T. Antibiotic resistance genes in bacteria: Occurrence, spread, and control. J. Basic Microbiol. 2021, 61, 1049–1070. [Google Scholar] [CrossRef]
- Seidavi, A.; Tavakoli, M.; Asroosh, F.; Scanes, C.G.; Abd El-Hack, M.E.; Naiel, M.A.E.; Taha, A.E.; Aleya, L.; El-Tarabily, K.A.; Swelum, A.A. Antioxidant and antimicrobial activities of phytonutrients as antibiotic substitutes in poultry feed. Environ. Sci. Pollut. Res. Int. 2022, 29, 5006–5031. [Google Scholar] [CrossRef]
- Schwartz, B.; Vetvicka, V. Review: β-glucans as Effective Antibiotic Alternatives in Poultry. Molecules 2021, 26, 3560. [Google Scholar] [CrossRef] [PubMed]
- Barton, M.D. Antibiotic use in animal feed and its impact on human healt. Nutr. Res. Rev. 2000, 13, 279–299. [Google Scholar] [CrossRef]
- Mahendran, G.; Verma, S.K.; Rahman, L.U. The traditional uses, phytochemistry and pharmacology of spearmint (Mentha spicata L.): A review. J. Ethnopharmacol. 2021, 278, 114266. [Google Scholar] [CrossRef]
- Zhang, L.L.; Chen, Y.; Li, Z.J.; Li, X.; Fan, G. Bioactive properties of the aromatic molecules of spearmint (Mentha spicata L.) essential oil: A review. Food Funct. 2022, 13, 3110–3132. [Google Scholar] [CrossRef]
- Asadi, N.; Husseini, S.D.; Tohidian, M.T.; Abdali, N.; Mimandipoure, A.; Rafieian-Kopaei, M.; Bahmani, M. Performance of Broilers Supplemented with Peppermint (Mentha piperita L.) Powder. J. Evid.-Based Complement. Altern. Med. 2017, 22, 703–706. [Google Scholar] [CrossRef] [PubMed]
- Behboodi, H.R.; Hosseini, D.; Salarieh, A.; Gholampour, M.; Panahi, M.; Alemi, M.; Baradaran, A.; Nazarpak, H.H. Impact of drinking water supplementation of a blend of peppermint, coneflower (Echinacea purpurea), thyme, propolis, and prebiotic on performance, serum constituents, and immunocompetence of broiler chickens. Trop. Anim. Health Prod. 2022, 54, 289. [Google Scholar] [CrossRef] [PubMed]
- Masouri, L.; Bagherzadeh-Kasmani, F.; Mehri, M.; Rokouei, M.; Masouri, B. Mentha piperita as a promising feed additive used to protect liver, bone, and meat of Japanese quail against aflatoxin B(1). Trop. Anim. Health Prod. 2022, 54, 254. [Google Scholar] [CrossRef]
- Zhao, H.; Ren, S.; Yang, H.; Tang, S.; Guo, C.; Liu, M.; Tao, Q.; Ming, T.; Xu, H. Peppermint essential oil: Its phytochemistry, biological activity, pharmacological effect and application. Biomed. Pharmacother. 2022, 154, 113559. [Google Scholar] [CrossRef]
- Lee, S.J.; Lee, Y.J.; Eom, J.S.; Kim, H.S.; Choi, Y.Y.; Jo, S.U.; Kang, S.N.; Park, H.Y.; Kim, D.H.; Lee, S.S. Effects of the Appropriate Addition of Antioxidants from Pinus densiflora and Mentha canadensis Extracts on Methane Emission and Rumen Fermentation. Animals 2020, 10, 1888. [Google Scholar] [CrossRef]
- Abdel-Wareth, A.A.A.; Kehraus, S.; Südekum, K.H. Peppermint and its respective active component in diets of broiler chickens: Growth performance, viability, economics, meat physicochemical properties, and carcass characteristics. Poult. Sci. 2019, 98, 3850–3859. [Google Scholar] [CrossRef]
- Mosayyeb Zadeh, A.; Mirghelenj, S.A.; Hasanlou, P.; Shakouri Alishah, H. Effects of Pennyroyal (Mentha pulegium L.) Supplementation on production performance, egg quality traits, and biochemical parameters of blood and egg in laying hens at later stages of the production period. Vet. Med. Sci. 2023, 9, 242–251. [Google Scholar] [CrossRef] [PubMed]
- Akbari, M.; Torki, M.; Kaviani, K. Single and combined effects of peppermint and thyme essential oils on productive performance, egg quality traits, and blood parameters of laying hens reared under cold stress condition (6.8 ± 3 °C). Int. J. Biometeorol. 2016, 60, 447–454. [Google Scholar] [CrossRef] [PubMed]
- Mousavi, A.; Mahdavi, A.H.; Riasi, A.; Soltani-Ghombavani, M. Efficacy of essential oils combination on performance, ileal bacterial counts, intestinal histology and immunocompetence of laying hens fed alternative lipid sources. J. Anim. Physiol. Anim. Nutr. 2018, 102, 1245–1256. [Google Scholar] [CrossRef]
- Grigoleit, H.G.; Grigoleit, P. Pharmacology and preclinical pharmacokinetics of peppermint oil. Phytomed. Int. J. Phytother. Phytopharm. 2005, 12, 612–616. [Google Scholar] [CrossRef] [PubMed]
- Afrin, A.; Ahmed, A.U.; Zannat, K.E.; Tanzim, S.M.; Saha, B.C.; Joynal, J.B.; Aktar, M.; Nira, N.H.; Sabrin, F.; Nahar, S.; et al. Antibacterial Activities of Mint (Mentha piperita) Leaf Extracts (Aqueous) Against Two Food Borne infection causing pathogens: Staphylococcus aureus and Escherichia coli. Mymensingh Med. J. MMJ 2023, 32, 659–665. [Google Scholar] [PubMed]
- Kapp, K.; Orav, A.; Roasto, M.; Raal, A.; Püssa, T.; Vuorela, H.; Tammela, P.; Vuorela, P. Composition and Antibacterial Effect of Mint Flavorings in Candies and Food Supplements. Planta Medica 2020, 86, 1089–1096. [Google Scholar] [CrossRef]
- Yu, B.; Tsai, C.C.; Hsu, J.C.; Chiou, P.W. Effect of different sources of dietary fibre on growth performance, intestinal morphology and caecal carbohydrases of domestic geese. Br. Poult. Sci. 1998, 39, 560–567. [Google Scholar] [CrossRef]
- Toden, S.; Bird, A.R.; Topping, D.L.; Conlon, M.A. Differential effects of dietary whey, casein and soya on colonic DNA damage and large bowel SCFA in rats fed diets low and high in resistant starch. Br. J. Nutr. 2007, 97, 535–543. [Google Scholar] [CrossRef]
- Lu, H.; You, Y.; Zhou, X.; He, Q.; Wang, M.; Chen, L.; Zhou, L.; Sun, X.; Liu, Y.; Jiang, P.; et al. Citrus reticulatae pericarpium Extract Decreases the Susceptibility to HFD-Induced Glycolipid Metabolism Disorder in Mice Exposed to Azithromycin in Early Life. Front. Immunol. 2021, 12, 774433. [Google Scholar] [CrossRef]
- Downes, J.; Dewhirst, F.E.; Tanner, A.C.R.; Wade, W.G. Description of Alloprevotella rava gen. nov., sp. nov., isolated from the human oral cavity, and reclassification of Prevotella tannerae Moore et al. 1994 as Alloprevotella tannerae gen. nov., comb. nov. Int. J. Syst. Evol. Microbiol. 2013, 63, 1214–1218. [Google Scholar] [CrossRef] [PubMed]
- Sannes, R.A.; Messman, M.A.; Vagnoni, D.B. Form of rumen-degradable carbohydrate and nitrogen on microbial protein synthesis and protein efficiency of dairy cows. J. Dairy Sci. 2002, 85, 900–908. [Google Scholar] [CrossRef] [PubMed]
- Emerson, E.L.; Weimer, P.J. Fermentation of model hemicelluloses by Prevotella strains and Butyrivibrio fibrisolvens in pure culture and in ruminal enrichment cultures. Appl. Microbiol. Biotechnol. 2017, 101, 4269–4278. [Google Scholar] [CrossRef]
- Ju, T.; Kong, J.Y.; Stothard, P.; Willing, B.P. Defining the role of Parasutterella, a previously uncharacterized member of the core gut microbiota. ISME J. 2019, 13, 1520–1534. [Google Scholar] [CrossRef]
- Wang, Y.; Ai, Z.; Xing, X.; Fan, Y.; Zhang, Y.; Nan, B.; Li, X.; Wang, Y.; Liu, J. The ameliorative effect of probiotics on diet-induced lipid metabolism disorders: A review. Crit. Rev. Food Sci. Nutr. 2022, 1–17. [Google Scholar] [CrossRef]
- Garavito, M.F.; Narváez-Ortiz, H.Y.; Zimmermann, B.H. Pyrimidine Metabolism: Dynamic and Versatile Pathways in Pathogens and Cellular Development. J. Genet. Genom. = Yi Chuan Xue Bao 2015, 42, 195–205. [Google Scholar] [CrossRef] [PubMed]
- Wang, Z.; Ohata, Y.; Watanabe, Y.; Yuan, Y.; Yoshii, Y.; Kondo, Y.; Nishizono, S.; Chiba, T. Taurine Improves Lipid Metabolism and Increases Resistance to Oxidative Stress. J. Nutr. Sci. Vitaminol. 2020, 66, 347–356. [Google Scholar] [CrossRef] [PubMed]
- Prentki, M.; Madiraju, S.R. Glycerolipid metabolism and signaling in health and disease. Endocr. Rev. 2008, 29, 647–676. [Google Scholar] [CrossRef]
- Lu, S.C. Glutathione synthesis. Biochim. Biophys. Acta 2013, 1830, 3143–3153. [Google Scholar] [CrossRef]
- Jeck, W.R.; Sorrentino, J.A.; Wang, K.; Slevin, M.K.; Burd, C.E.; Liu, J.; Marzluff, W.F.; Sharpless, N.E. Circular RNAs are abundant, conserved, and associated with ALU repeats. RNA 2013, 19, 141–157. [Google Scholar] [CrossRef]
- Liu, C.X.; Li, X.; Nan, F.; Jiang, S.; Gao, X.; Guo, S.K.; Xue, W.; Cui, Y.; Dong, K.; Ding, H.; et al. Structure and Degradation of Circular RNAs Regulate PKR Activation in Innate Immunity. Cell 2019, 177, 865–880. [Google Scholar] [CrossRef] [PubMed]
- Pan, Z.; Cai, J.; Lin, J.; Zhou, H.; Peng, J.; Liang, J.; Xia, L.; Yin, Q.; Zou, B.; Zheng, J.; et al. A novel protein encoded by circFNDC3B inhibits tumor progression and EMT through regulating Snail in colon cancer. Mol. Cancer 2020, 19, 71. [Google Scholar] [CrossRef] [PubMed]
- Yoon, J.H.; Kim, J.; Gorospe, M. Long noncoding RNA turnover. Biochimie 2015, 117, 15–21. [Google Scholar] [CrossRef]
- Bartel, D.P. MicroRNAs: Genomics, biogenesis, mechanism, and function. Cell 2004, 116, 281–297. [Google Scholar] [CrossRef]
- Cai, Y.; Yu, X.; Hu, S.; Yu, J. A brief review on the mechanisms of miRNA regulation. Genom. Proteom. Bioinform. 2009, 7, 147–154. [Google Scholar] [CrossRef]
- Kuchnia, A.J.; Conlon, B.; Greenberg, N. Natural Bioactive Food Components for Improving Enteral Tube Feeding Tolerance in Adult Patient Populations. Nutr. Clin. Pract. 2018, 33, 107–120. [Google Scholar] [CrossRef]
- Acker, B.W.; Cash, B.D. Medicinal Foods for Functional GI Disorders. Curr. Gastroenterol. Rep. 2017, 19, 62. [Google Scholar] [CrossRef]
- Mani Badal, R.; Badal, D.; Badal, P.; Khare, A.; Shrivastava, J.; Kumar, V. Pharmacological Action of Mentha piperita on Lipid Profile in Fructose-Fed Rats. Iran. J. Pharm. Res. IJPR 2011, 10, 843–848. [Google Scholar] [PubMed]
- Hejna, M.; Kovanda, L.; Rossi, L.; Liu, Y. Mint Oils: In Vitro Ability to Perform Anti-Inflammatory, Antioxidant, and Antimicrobial Activities and to Enhance Intestinal Barrier Integrity. Antioxidants 2021, 10, 1004. [Google Scholar] [CrossRef]
















| Position | Item | CON (μm) | MHB (μm) |
|---|---|---|---|
| Duodenum | Muscularis | 431.17 ± 3.29 | 445.01 ± 39.53 |
| Villus | 383.11 ± 5.00 | 334.62 ± 29.51 | |
| Jejunum | Muscularis | 272.98 ± 5.24 | 219.98 ± 35.05 |
| Villus | 362.08 ± 38.72 | 474.07 ± 16.56 | |
| Ileum | Muscularis | 161.41 ± 7.32 | 164.53 ± 12.63 |
| Villus | 276.27 ± 4.31 | 201.45 ± 9.86 ** | |
| Cecum | Muscularis mucosae | 344.66 ± 11.46 | 338.46 ± 13.99 |
| Mucosa | 396.35 ± 14.37 | 246.23 ± 8.03 ** | |
| Colon | Muscularis mucosae | 276.68 ± 12.00 | 244.32 ± 7.16 |
| Mucosa | 535.91 ± 23.65 | 627.06 ± 16.09 * | |
| Rectum | Muscularis mucosae | 363.97 ± 8.92 | 418.78 ± 11.66 * |
| Mucosa | 351.72 ± 32.90 | 423.86 ± 9.76 |
| Item | Treatment | SEM | p-Value | |
|---|---|---|---|---|
| CON | MHB | |||
| Ammonia-nitrogen, mg/dL | 6.21 | 4.00 | 1.1119 | 0.065 |
| Total volatile fatty acid, mM | 66.10 | 73.15 | 2.9304 | 0.029 |
| Acetate, mM | 45.23 | 51.2 | 2.4436 | 0.027 |
| Propionate, mM | 12.21 | 13.4 | 0.9084 | 0.193 |
| Butyrate, mM | 7.85 | 7.72 | 0.5670 | 0.820 |
| Valerate, mM | 0.81 | 0.78 | 0.0456 | 0.592 |
| Acetate: Propionate | 3.71 | 3.94 | 0.3498 | 0.530 |
| Phylum | Genus | Treatment | SEM | p-Value | |
|---|---|---|---|---|---|
| CON | MHB | ||||
| Bacteroidota | Paraprevotella | 0.708 | 1.333 | 0.282 | 0.043 |
| Alloprevotella | 0.028 | 0.097 | 0.028 | 0.029 | |
| Marinilabilia | 0.013 | 0.070 | 0.026 | 0.044 | |
| Candidatus Saccharibacteria | Saccharibacteria_genera_incertae_sedis | 0.110 | 0.283 | 0.072 | 0.030 |
| Bacillota | Blautia | 0.150 | 0.083 | 0.031 | 0.048 |
| Verrucomicrobia | Subdivision5_genera_incertae_sedis | 0.065 | 0.113 | 0.019 | 0.022 |
| Chloroflexota | Ornatilinea | 0.118 | 0.025 | 0.021 | <0.01 |
| Phylum | Genus | Treatment | SEM | p-Value | |
|---|---|---|---|---|---|
| CON | MHB | ||||
| Bacteroidota | Prevotella | 1.662 | 3.960 | 0.998 | 0.036 |
| Bacillota | Blautia | 0.947 | 0.482 | 0.213 | 0.046 |
| Coprococcus | 0.700 | 0.412 | 0.118 | 0.028 | |
| Clostridium XlVb | 0.203 | 0.320 | 0.050 | 0.035 | |
| Parasutterella | 0.148 | 0.068 | 0.024 | 0.005 | |
| Item | Treatment | SEM | p-Value | |
|---|---|---|---|---|
| CON | MHB | |||
| GSH-Px | 287.419 | 351.290 | 22.455 | 0.012 |
| MDA | 2.970 | 2.094 | 0.598 | 0.164 |
| SOD | 15.551 | 20.061 | 0.639 | <0.01 |
| T-AOC | 0.288 | 0.555 | 0.080 | 0.004 |
Disclaimer/Publisher’s Note: The statements, opinions and data contained in all publications are solely those of the individual author(s) and contributor(s) and not of MDPI and/or the editor(s). MDPI and/or the editor(s) disclaim responsibility for any injury to people or property resulting from any ideas, methods, instructions or products referred to in the content. |
© 2023 by the authors. Licensee MDPI, Basel, Switzerland. This article is an open access article distributed under the terms and conditions of the Creative Commons Attribution (CC BY) license (https://creativecommons.org/licenses/by/4.0/).
Share and Cite
Yi, M.; Cao, Z.; Zhou, J.; Ling, Y.; Zhang, Z.; Cao, H. Multi-Omics Analysis of the Mechanism of Mentha Haplocalyx Briq on the Growth and Metabolic Regulation of Fattening Sheep. Animals 2023, 13, 3461. https://doi.org/10.3390/ani13223461
Yi M, Cao Z, Zhou J, Ling Y, Zhang Z, Cao H. Multi-Omics Analysis of the Mechanism of Mentha Haplocalyx Briq on the Growth and Metabolic Regulation of Fattening Sheep. Animals. 2023; 13(22):3461. https://doi.org/10.3390/ani13223461
Chicago/Turabian StyleYi, Mingliang, Zhikun Cao, Jialu Zhou, Yinghui Ling, Zijun Zhang, and Hongguo Cao. 2023. "Multi-Omics Analysis of the Mechanism of Mentha Haplocalyx Briq on the Growth and Metabolic Regulation of Fattening Sheep" Animals 13, no. 22: 3461. https://doi.org/10.3390/ani13223461
APA StyleYi, M., Cao, Z., Zhou, J., Ling, Y., Zhang, Z., & Cao, H. (2023). Multi-Omics Analysis of the Mechanism of Mentha Haplocalyx Briq on the Growth and Metabolic Regulation of Fattening Sheep. Animals, 13(22), 3461. https://doi.org/10.3390/ani13223461

