Transmural Ultrasonography in the Evaluation of Horse Hoof Internal Structures: Comparative Quantitative Findings—Part 2
Abstract
Simple Summary
Abstract
1. Introduction
2. Materials and Methods
2.1. Anatomical Pieces and Alive Horse Hooves
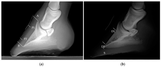
2.2. Measurements of the Hoof Internal Structures and Ultrasonographic Ratios
2.3. Statistical Analysis
3. Results
4. Discussion
5. Conclusions
Author Contributions
Funding
Institutional Review Board Statement
Informed Consent Statement
Data Availability Statement
Acknowledgments
Conflicts of Interest
Appendix A


References
- Castro-Mesa, A.F.; Resende Faleiros, R.; Martínez-Aranzales, J.R. Transmural ultrasonography in the evaluation of horse hoof internal structures: Comparative qualitative findings—Part 1. Animals, 2023; acceptted. [Google Scholar]
- Pollitt, C.C. The Anatomy and Physiology of the Suspensory Apparatus of the Distal Phalanx. Vet. Clin. N. Am. Equine Pract. 2010, 26, 29–49. [Google Scholar] [CrossRef]
- Pollitt, C.C.; Collins, S.N. The suspensory apparatus of the distal phalanx in normal horses. Equine Vet. J. 2015, 48, 496–501. [Google Scholar] [CrossRef]
- Bras, R.; Morrison, S. Mechanical Principles of the Equine Foot. Vet. Clin. N. Am. Equine Pract. 2021, 37, 581–618. [Google Scholar] [CrossRef]
- Belknap, J.K. The Pharmacologic Basis for the Treatment of Developmental and Acute Laminitis. Vet. Clin. N. Am. Equine Pract. 2010, 26, 115–124. [Google Scholar] [CrossRef]
- Clutterbuck, A.L.; Harris, P.; Allaway, D.; Mobasheri, A. Matrix metalloproteinases in inflammatory pathologies of the horse. Vet. J. 2010, 183, 27–38. [Google Scholar] [CrossRef]
- Patterson-Kane, J.C.; Karikoski, N.P.; McGowan, C.M. Paradigm shifts in understanding equine laminitis. Vet. J. 2018, 231, 33–40. [Google Scholar] [CrossRef]
- Van Eps, A.W.; Burns, T.A. Are There Shared Mechanisms in the Pathophysiology of Different Clinical Forms of Laminitis and What Are the Implications for Prevention and Treatment? Vet. Clin. N. Am. Equine Pract. 2019, 35, 379–398. [Google Scholar] [CrossRef]
- Leise, B.S.; Fugler, L.A. Laminitis Updates: Sepsis/Systemic Inflammatory Response Syndrome–Associated Laminitis. Vet. Clin. N. Am. Equine Pract. 2021, 37, 639–656. [Google Scholar] [CrossRef]
- Van Eps, A.W.; Engiles, J.; Galantino-Homer, H. Supporting Limb Laminitis. Vet. Clin. N. Am. Equine Pract. 2021, 37, 657–668. [Google Scholar] [CrossRef]
- Cripps, P.J.; Eustace, R.A. Radiological measurements from the feet of normal horses with relevance to laminitis. Equine Vet. J. 1999, 31, 427–432. [Google Scholar] [CrossRef]
- Xavier, V.F.; Lima, I.R.; Marval, C.A.D.; Silveira, D.; Vieira, R.A.M.; Castro, T.D.C.; Faleiros, R.R. Estudo radiográfico do posicionamento da falange distal e suas possíveis correlações com obesidade em equinos de patrulhamento da Polícia Militar do Estado de Minas Gerais. Arq. Bras. Med. Veterinária Zootec. 2014, 66, 672–680. [Google Scholar] [CrossRef]
- Coleman, M.C. Laminitis; Diseases of the Bones, Joints, and Connective Tissues. In Large Animal Internal Medicine, 5th ed.; Smith, B.P., Ed.; Elsevier Mosby: St. Louis, MO, USA, 2015; pp. 1119–1122. [Google Scholar]
- Parks, A.H.; Belknap, J.K. Diagnostic Imaging; Diagnostic evaluation of equine laminitis. In Equine Laminitis, 1st ed.; Belknap, J.K., Ed.; John Wiley & Sons, Inc.: Ames, IA, USA, 2017; pp. 226–236. [Google Scholar]
- Magalhães, J.F.; Lima, L.R.; Paz, C.F.R.; Rocha Júnior, S.S.; Oliveira, A.P.L.; Duarte, P.C.; Faleiros, R.R. Spatial relationship between the hoof capsule and the distal phalanx in adult Campolina mares with and without obesity. Arq. Bras. Med. Veterinária Zootec. 2019, 71, 1773–1780. [Google Scholar] [CrossRef]
- Mullard, J.; Ireland, J.; Dyson, S. Radiographic assessment of the ratio of the hoof wall distal phalanx distance to palmar length of the distal phalanx in 415 front feet of 279 horses. Equine Vet. Educ. 2020, 32, 2–10. [Google Scholar] [CrossRef]
- Cardona, G.A.; Uribe, A.; Ortved, K. Determination of Positional Parameters of the Distal Phalanx Within the Hoof Capsule in Sound Colombian Paso Horses. J. Equine Vet. Sci. 2001, 101, 103434. [Google Scholar] [CrossRef]
- Goulet, C.; Olive, J.; Rossier, Y.; Beauchamp, G. Radiographic and anatomic characteristics of dorsal hoof wall layers in nonlaminitic horses. Vet. Rad. Ultrasound 2015, 56, 589–594. [Google Scholar] [CrossRef]
- Grundmann, I.N.M.; Drost, W.T.; Zekas, L.J.; Belknap, J.K.; Garabed, R.B.; Weisbrode, S.E.; Maierl, J. Quantitative assessment of the equine hoof using digital radiography and magnetic resonance imaging. Equine Vet. J. 2015, 47, 542–547. [Google Scholar] [CrossRef]
- Arble, J.B.; Mattoon, J.S.; Drost, W.T.; Weisbrode, S.E.; Wassenaar, P.A.; Pan, X.; Belknap, J.K. Magnetic resonance imaging of the initial active stage of equine laminitis at 4.7 T. Vet. Radiol. Ultrasound 2009, 50, 3–12. [Google Scholar] [CrossRef]
- Sage, A.M.; Turner, T.A. Ultrasonography of the soft tissue structures of the equine foot. Equine Vet. Educ. 2010, 14, 221–224. [Google Scholar] [CrossRef]
- Denoix, J.M.; Bertoni, L.; Heitzmann, A.G.; Werpy, N.; Audigié, F. Ultrasonographic examination of the collateral ligaments of the distal interphalangeal joint in horses: Part A: Technique and normal images. Equine Vet. Educ. 2011, 23, 574–580. [Google Scholar] [CrossRef]
- Evrard, L.; Bolen, G.; Maquet, N.; Busoni, V. Ultrasonography of the Collateral Ligaments of the Distal Interphalangeal Joint in Horses: Technique and Reference Images. J. Equine Vet. Sci. 2012, 32, 584–589. [Google Scholar] [CrossRef]
- Hauser, M.L.; Rantanen, N.W.; Modransky, P.D. Ultrasound examination of distal interphalangeal joint, navicular bursa, navicular bone and deep digital tendon. J. Equine Vet. Sci. 1982, 2, 95–97. [Google Scholar] [CrossRef]
- Busoni, V.; Denoix, J.M. Ultrasonography of the podotrochlear apparatus in the horse using a transcuneal approach: Technique and reference images. Vet. Radiol. Ultrasound 2001, 42, 534–540. [Google Scholar] [CrossRef]
- Olivier-Carstens, A. Ultrasonography of the solar aspect of the distal phalanx in the horse. Vet. Radiol. Ultrasound 2004, 45, 449–457. [Google Scholar] [CrossRef]
- Kristoffersen, M.; Thoefner, M.B. Ultrasonography of the navicular region in horses. Equine Vet. Educ. 2010, 15, 150–157. [Google Scholar] [CrossRef]
- Seignour, M.; Pasquet, H.; Coudry, V.; Denoix, J.M. Ultrasonographic diagnosis of injuries to the deep digital flexor tendon and associated structures in the equine foot (suprasesamoidean area). Equine Vet. Educ. 2011, 23, 369–376. [Google Scholar] [CrossRef]
- Dupays, A.G.; Coudry, V.; Denoix, J.M. Ultrasonographic examination of the dorsal aspect of the distal interphalangeal joint of the horse. Equine Vet. Educ. 2012, 24, 38–44. [Google Scholar] [CrossRef]
- Gunkelman, M.A.; Hammer, C.J. A Preliminary Study Examining the Digital Cushion in Horses. J. Equine Vet. Sci. 2017, 56, 6–8. [Google Scholar] [CrossRef]
- Gallastegui, A. Imaging the Equine Foot. Vet. Clin. N. Am. Equine Pract. 2021, 37, 563–579. [Google Scholar] [CrossRef]
- Carstens, A.; Smith, R.K.W. Ultrasonography of the Foot and Pastern. In Atlas of Equine Ultrasonography, 2nd ed.; Kidd, J.K., Kristina, G.L., Frazer, M.L., Eds.; John Wiley & Sons Ltd.: Hoboken, NJ, USA, 2022; pp. 25–39. [Google Scholar]
- Henneke, D.R.; Potter, G.D.; Kreider, J.L.; Yeates, B.F. Relationship between condition score, physical measurements and body fat percentage in mares. Equine Vet. J. 1983, 15, 371–372. [Google Scholar] [CrossRef]
- Keller, M.D.; Galloway, G.J.; Pollitt, C.C. Magnetic resonance microscopy of the equine hoof wall: A study of resolution and potential. Equine Vet. J. 2006, 38, 461–466. [Google Scholar] [CrossRef]
- Scott, D.W.; Miller, W.H., Jr. Environmental Skin Diseases. In Equine Dermatology, 2nd ed.; Elsevier Saunders: Maryland Heights, MO, USA, 2011; p. 404. [Google Scholar]
- White, S.D. Frostbite; Diseases of the skin. In Large Animal Internal Medicine, 5th ed.; Smith, B.P., Ed.; Elsevier Mosby: St. Louis, MO, USA, 2015; p. 1217. [Google Scholar]
- Croser, E.L.; Pollitt, C.C. Acute Laminitis: Descriptive Evaluation of Serial Hoof Biopsies. In The Hoof—“How-To” and Selected Topics. In Proceedings of the 52nd Annual Convention of the American Association of Equine Practitioner, San Antonio, TX, USA, 6 December 2006; Volume 52, pp. 542–546. [Google Scholar]
- Hanly, B.K.; Stokes, A.M.; Bell, A.M.; Johnson, J.R.; Keowen, M.L.; Paulsen, D.B.; Moore, R.M. Use of serial lamelar tissue collection via biopsy in conscious healthy horses. Am. J. Vet. Res. 2009, 70, 697–702. [Google Scholar] [CrossRef]
- Ribeiro, R.M.; Mendes, H.M.; Valadares, R.C.; Paz, C.F.; Oliveira, A.D.P.L.D.; Junior, O.S.; Faleiros, R.R. A Novel Equine Hoof Lamellar Tissue Biopsy Technique. J. Equine Vet. Sci. 2017, 49, 63–68. [Google Scholar] [CrossRef]
- Kummer, M.; Geyer, H.; Imboden, I.; Auer, J.; Lischer, C. The effect of hoof trimming on radiographic measurements of the front feet of normal Warmblood horses. Vet. J. 2006, 172, 58–66. [Google Scholar] [CrossRef]
- Sherlock, C.; Parks, A. Radiographic and radiological assessment of laminitis. Equine Vet. Educ. 2013, 25, 524–535. [Google Scholar] [CrossRef]
- Hood, D.M. Laminitis in the horse. Vet. Clin. N. Am. Equine Pract. 1999, 15, 287–294. [Google Scholar] [CrossRef]
- Cripps, P.J.; Eustace, R.A. Factors involved in the prognosis of equine laminitis in the UK. Equine Vet. J. 1999, 31, 433–442. [Google Scholar] [CrossRef]
- Parks, A.; Belknap, J.K. Laminitis; The Foot; Lameness in the Extremities. In Adams and Stashak’s Lameness in Horses, 6th ed.; Baxter, G.M., Ed.; John Wiley & Sons Ltd.: Ames, IA, USA, 2011; pp. 535–558. [Google Scholar]
- Bushberg, J.T.; Seibert, A.J.; Leidhold, E.M., Jr.; Boone, J.M. Ultrasound Image Quality and Artifacts. In The Essential Physics of Medical Imaging, 3rd ed.; Lippincott Williams & Wilkins: Philadelphia, PA, USA, 2012; pp. 560–568. [Google Scholar]
- Magalhães, J.F.; Lima, I.R.; Lima, L.R.; Varela, J.A.R.C.; Vieira, R.A.M.; Alves, G.E.S.; Faleiros, R.R. Estudo da correlação de medidas radiográficas indicadoras de laminite em éguas da raça Mangalarga Marchador com e sem sinais de sobrepeso. Arq. Bras. Med. Veterinária Zootec. 2014, 66, 1023–1032. [Google Scholar] [CrossRef]
- Castro, A. Evaluación Ultrasonográfica de las Estructuras Internas del Dígito Equino a Través de la Técnica Transmural del Casco: Estudio Piloto. Master’s Thesis, Universidad de Antioquia, Medellín, Antioquia, Colombia, 2022. [Google Scholar]
- Budras, D.K.; Sack, W.O.; Röck, S. Suspensory Apparatus of the Coffin Bone (Distal Phalanx), Vessels and Nerves of the Hoof. In Anatomy of the Horse, 5th, revised ed.; Schlütersche Verlagsgesellschaft mbH & Co.: Hannover, Germany, 2009; pp. 28–29. [Google Scholar]
- Murray, R.C.; Dyson, S.J.; Schramme, M.C.; Branch, M.; Woods, S. Magnetic resonance imaging of the equine digit with chronic laminitis. Vet. Radiol. Ultrasound 2003, 44, 609–617. [Google Scholar] [CrossRef]
- Rucker, A. Clinical applications of digital venography. J. Equine Vet. Sci. 2010, 30, 491–503. [Google Scholar] [CrossRef]
- Rucker, A. Equine Venography and Its Clinical Application in North America. Vet. Clin. N. Am. Equine Pract. 2010, 26, 167–177. [Google Scholar] [CrossRef]
- Kramer, J.; Rucker, A.; Leise, B. Venographic evaluation of the circumflex vessels and lamellar circumflex junction in laminitic horses. Equine Vet. Educ. 2020, 32, 386–392. [Google Scholar] [CrossRef]
- Collins, S.N.; van Eps, A.W.; Pollitt, C.C.; Kuwano, A. The Lamellar Wedge. Vet. Clin. N. Am. Equine Pract. 2010, 26, 179–195. [Google Scholar] [CrossRef]



| Variables | DR | US | AN | n = 15 | |
|---|---|---|---|---|---|
| Median ± SD | Median ± SD | Median ± SD | p Value | ||
| Distance A | 14.1 ± 1.61 | 10.8 ± 1.51 | 13.67 ± 1.57 | 0.02 | - |
| Tubular hoof wall (P1) | 9.0 ± 1.15 | 6.6 ± 1.11 | 8.79 ± 1.13 | - | - |
| Parietal dermis (D1) | 7.1 ± 0.30 a | 8.1 ± 0.96 a | 5.7 ± 0.37 a | 0.19 | 0.01 |
| Lamellar layer (L1) | - | 5.8 ± 1.13 | 2.5 ± 0.68 | - | 0.01 |
| Sublamellar dermis (C1) | - | 2.25 ± 0.36 | 3.1 ± 0.52 | - | 0.01 |
| Tubular hoof wall (P2) | 8.7 ± 0.95 | 6.4 ± 0.64 | 8.58 ± 0.77 | - | - |
| Parietal dermis (D2) | 6.2 ± 0.62 a | 7.3 ± 0.60 a | 4.62 ± 0.67 a | 0.07 | 0.02 |
| Lamellar layer (L2) | - | 5.0 ± 0.97 | 2.3 ± 0.53 | - | 0.01 |
| Sublamellar dermis (C2) | - | 2.1 ± 0.48 b | 2.37 ± 0.46 b | - | 0.67 |
| Distance B | 15.2 ± 1.22 a | 13.8 ± 0.73 a | 14.1 ± 1.58 a | 0.07 | - |
| Sole dermis (S) | 6.0 ± 1.31 a | 4.9 ± 1.32 a | 6.17 ± 0.65 a | 0.12 | - |
| US ratios | Proximal | Distal | |||
| Mean ± SD | Mean ± SD | ||||
| D: A | 0.70 ± 0.03 | 0.66 ± 0.03 | |||
| L: D | 0.71 ± 0.02 | 0.68 ± 0.02 | |||
| C: D | 0.28 ± 0.01 | 0.30 ± 0.02 | |||
| Mean ± SD | |||||
| B: A | 0.84 ± 0.05 | ||||
| S: A | 0.44 ± 0.02 | ||||
| Variables | DR | US | AN | n = 15 | |
|---|---|---|---|---|---|
| Median ± SD | Median ± SD | Median ± SD | p Value | ||
| Distance A | 14.7 ± 1.32 | 10.5 ± 1.04 | 14.08 ± 1.63 | 0.02 | - |
| Tubular hoof wall (P1) | 9.2 ± 1.23 | 6.6 ± 0.65 | 8.96 ± 1.11 | - | - |
| Parietal dermis (D1) | 6.4 ± 0.70 a | 7.85 ± 1.33 a,b | 5.3 ± 1.77 a,b | 0.43 | 0.25 |
| Lamellar layer (L1) | - | 5.6 ± 0.76 | 2.4 ± 0.35 | - | 0.01 |
| Sublamellar dermis (C1) b | - | 2.1 ± 0.51 b | 2.7 ± 0.38 b | - | 0.16 |
| Tubular hoof wall (P2) | 8.9 ± 0.83 | 6.65 ± 0.72 | 8.3 ± 0.42 | - | - |
| Parietal dermis (D2) a | 6.0 ± 0.90 a | 7.3 ± 0.58 a | 4.57 ± 0.59 a | 0.57 | 0.02 |
| Lamellar layer (L2) | - | 5.0 ± 1.23 | 1.96 ± 0.48 | - | 0.01 |
| Sublamellar dermis (C2) b | - | 2.15 ± 0.94 b | 2.31 ± 0.38 b | - | 0.58 |
| Distance B | 16.55 ± 1.36 | 14.5 ± 0.81 | 14.56 ± 1.41 | 0.02 | - |
| Sole dermis (S) a | 6.95 ± 1.0 a | 3.6 ± 0.87 a | 5.89 ± 0.88 a | 0.08 | - |
| US ratios | Proximal | Distal | |||
| Mean ± SD | Mean ± SD | ||||
| D: A | 0.71 ± 0.04 | 0.68 ± 0.02 | |||
| L: D | 0.74 ± 0.02 | 0.69 ± 0.01 | |||
| C: D | 0.29 ± 0.02 | 0.29 ± 0.01 | |||
| Mean ± SD | |||||
| B: A | 0.74 ± 0.02 | ||||
| S: A | 0.36 ± 0.03 | ||||
| Variables | DR | US | n = 16 | |
|---|---|---|---|---|
| Median ± SD | Median ± SD | p Value | ||
| Distance A | 13.3 ± 2.18 | 10.3 ± 1.24 | 0.001 | |
| Tubular hoof wall (P1) | 8.5 ± 1.56 | 6.95 ± 0.55 | - | |
| Parietal dermis (D1) | 6.3 ± 1.04 | 7.8 ± 0.58 | 0.001 | |
| Lamellar layer (L1) | - | 5.05 ± 0.56 | - | |
| Sublamellar dermis (C1) | - | 2.6 ± 0.25 | - | |
| Tubular hoof wall (P2) | 7.55 ± 1.22 | 6.55 ± 0.8 | - | |
| Parietal dermis (D2) | 6.7 ± 0.87 | 7.35 ± 0.58 | 0.019 | |
| Lamellar layer (L2) | - | 5.15 ± 0.5 | - | |
| Sublamellar dermis (C2) | - | 2.5 ± 0.23 | - | |
| Distance B | 14.4 ± 1.06 a | 14.65 ± 0.72 a | 0.906 | |
| Sole dermis (S) | 7.7 ± 1.58 | 3.3 ± 0.46 | 0.011 | |
| US ratios | Proximal | Distal | ||
| Mean ± SD | Mean ± SD | |||
| D: A | 0.73 ± 0.03 | 0.70 ± 0.03 | ||
| L: D | 0.65 ± 0.01 | 0.67 ± 0.01 | ||
| C: D | 0.34 ± 0.01 | 0.33 ± 0.01 | ||
| Mean ± SD | ||||
| B: A | 0.70 ± 0.02 | |||
| S: A | 0.32 ± 0.02 | |||
| Variables | DR | US | n = 16 | |
|---|---|---|---|---|
| Median ± SD | Median ± SD | p Value | ||
| Distance A | 13.3 ± 1.91 | 10.75 ± 1.31 | 0.001 | |
| Tubular hoof wall (P1) | 8.4 ± 2.10 | 6.55 ± 0.96 | - | |
| Parietal dermis (D1) | 5.75 ± 1.28 | 7.95 ± 1.21 | 0.0004 | |
| Lamellar layer (L1) | - | 5.4 ± 1.10 | - | |
| Sublamellar dermis (C1) | - | 2.5 ± 0.26 | - | |
| Tubular hoof wall (P2) | 8.35 ± 1.34 | 6.2 ± 0.89 | - | |
| Parietal dermis (D2) | 5.15 ± 1.20 | 7.25 ± 1.10 | 0.004 | |
| Lamellar layer (L2) | - | 4.9 ± 0.88 | - | |
| Sublamellar dermis (C2) | - | 2.3 ± 0.36 | - | |
| Distance B | 14.1 ± 2.31 a | 13.2 ± 0.72 a | 0.755 | |
| Sole dermis (S) | 6.35 ± 1.47 | 3.4 ± 1.48 | 0.004 | |
| US ratios | Proximal | Distal | ||
| Mean ± SD | Mean ± SD | |||
| D: A | 0.73 ± 0.04 | 0.69 ± 0.04 | ||
| L: D | 0.67 ± 0.01 | 0.67 ± 0.01 | ||
| C: D | 0.32 ± 0.01 | 0.32 ± 0.01 | ||
| Mean ± SD | ||||
| B: A | 0.83 ± 0.03 | |||
| S: A | 0.30 ± 0.07 | |||
Disclaimer/Publisher’s Note: The statements, opinions and data contained in all publications are solely those of the individual author(s) and contributor(s) and not of MDPI and/or the editor(s). MDPI and/or the editor(s) disclaim responsibility for any injury to people or property resulting from any ideas, methods, instructions or products referred to in the content. |
© 2023 by the authors. Licensee MDPI, Basel, Switzerland. This article is an open access article distributed under the terms and conditions of the Creative Commons Attribution (CC BY) license (https://creativecommons.org/licenses/by/4.0/).
Share and Cite
Castro-Mesa, A.F.; Resende Faleiros, R.; Martínez-Aranzales, J.R. Transmural Ultrasonography in the Evaluation of Horse Hoof Internal Structures: Comparative Quantitative Findings—Part 2. Animals 2023, 13, 2267. https://doi.org/10.3390/ani13142267
Castro-Mesa AF, Resende Faleiros R, Martínez-Aranzales JR. Transmural Ultrasonography in the Evaluation of Horse Hoof Internal Structures: Comparative Quantitative Findings—Part 2. Animals. 2023; 13(14):2267. https://doi.org/10.3390/ani13142267
Chicago/Turabian StyleCastro-Mesa, Andrés Felipe, Rafael Resende Faleiros, and José Ramón Martínez-Aranzales. 2023. "Transmural Ultrasonography in the Evaluation of Horse Hoof Internal Structures: Comparative Quantitative Findings—Part 2" Animals 13, no. 14: 2267. https://doi.org/10.3390/ani13142267
APA StyleCastro-Mesa, A. F., Resende Faleiros, R., & Martínez-Aranzales, J. R. (2023). Transmural Ultrasonography in the Evaluation of Horse Hoof Internal Structures: Comparative Quantitative Findings—Part 2. Animals, 13(14), 2267. https://doi.org/10.3390/ani13142267

