Effect of Supplementation of Cryoprotectant Solution with Hydroxypropyl Cellulose for Vitrification of Bovine Oocytes
Abstract
Simple Summary
Abstract
1. Introduction
2. Materials and Methods
2.1. Experiment Design
2.2. Oocyte Preparation and In Vitro Maturation (IVM)
2.3. Vitrification and Thawing
2.4. PA and In Vitro Culture
2.5. Measurement of Intracellular ROS
2.6. TUNEL Assay
2.7. Real-Time RT-PCR 7
2.8. Statistical Analysis
3. Results
3.1. Comparison of the Survival Rate and ROS Level of Oocytes between the Various Groups
3.2. Comparison of mRNA Expression Levels of Oocytes between the Various Groups
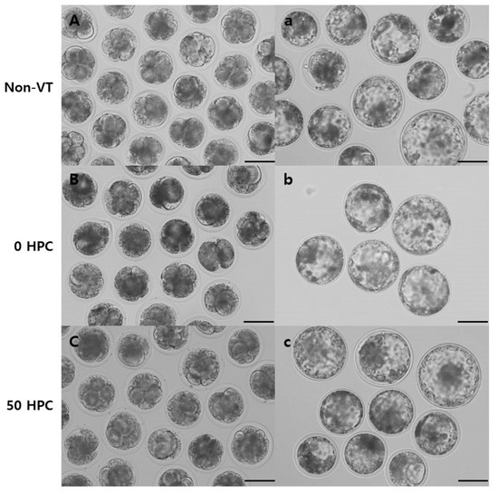
3.3. Effect of HPC Treatment during Freezing of Oocytes on Development of Embryos Obtained via PA
3.4. Comparison of the mRNA Expression Levels of Genes Related to Developmental Potential in Blastocysts between the Groups
4. Discussion
Author Contributions
Funding
Institutional Review Board Statement
Informed Consent Statement
Data Availability Statement
Conflicts of Interest
References
- Sansinena, M.; Santos, M.V.; Chirife, J.; Zaritzky, N. In-vitro development of vitrified-warmed bovine oocytes after activation may be predicted based on mathematical modelling of cooling and warming rates during vitrification, storage and sample removal. Reprod. Biomed. Online 2018, 36, 500–507. [Google Scholar] [CrossRef] [PubMed]
- Somfai, T.; Kikuchi, K. Vitrification of porcine oocytes and zygotes in microdrops on a solid metal surface or liquid nitrogen. Methods Mol. Biol. 2021, 2180, 455–468. [Google Scholar] [PubMed]
- Fesahat, F.; Faramarzi, A.; Khoradmehr, A.; Omidi, M.; Anbari, F.; Khalili, M.A. Vitrification of mouse MII oocytes: Developmental competency using paclitaxel. Taiwan J. Obs. Gynecol. 2016, 55, 796–800. [Google Scholar] [CrossRef] [PubMed]
- Almodin, C.G.; Ceschin, A.; Nakano, R.E.; Radaelli, M.R.; Almodin, P.M.; Silva, C.G.; Nishikawa, L.K.; Fujihara, L.S.; Minguetti-Camara, V.C. Vitrification of human oocytes and its contribution to in vitro fertilization programs. JBRA Assist. Reprod. 2015, 19, 135–140. [Google Scholar] [CrossRef] [PubMed]
- Martinez-Burgos, M.; Herrero, L.; Megias, D.; Salvanes, R.; Montoya, M.C.; Cobo, A.C.; Garcia-Velasco, J.A. Vitrification versus slow freezing of oocytes: Effects on morphologic appearance, meiotic spindle configuration, and DNA damage. Fertil. Steril. 2011, 95, 374–377. [Google Scholar] [CrossRef]
- Gualtieri, R.; Iaccarino, M.; Mollo, V.; Prisco, M.; Iaccarino, S.; Talevi, R. Slow cooling of human oocytes: Ultrastructural injuries and apoptotic status. Fertil. Steril. 2009, 91, 1023–1034. [Google Scholar] [CrossRef]
- Aman, R.R.; Parks, J.E. Effects of cooling and rewarming on the meiotic spindle and chromosomes of in vitro-matured bovine oocytes. Biol. Reprod. 1994, 50, 103–110. [Google Scholar] [CrossRef]
- Al-Fageeh, M.B.; Marchant, R.J.; Carden, M.J.; Smales, C.M. The cold-shock response in cultured mammalian cells: Harnessing the response for the improvement of recombinant protein production. Biotechnol. Bioeng. 2006, 93, 829–835. [Google Scholar] [CrossRef]
- Gallardo, M.; Hebles, M.; Migueles, B.; Dorado, M.; Aguilera, L.; Gonzalez, M.; Piqueras, P.; Lucas, A.; Montero, L.; Sanchez-Martin, P.; et al. Hydroxypropyl cellulose supplementation in vitrification solutions: A prospective study with donor oocytes. J. Assist. Reprod. Genet. 2017, 34, 417–422. [Google Scholar] [CrossRef]
- Mori, C.; Yabuuchi, A.; Ezoe, K.; Murata, N.; Takayama, Y.; Okimura, T.; Uchiyama, K.; Takakura, K.; Abe, H.; Wada, K.; et al. Hydroxypropyl cellulose as an option for supplementation of cryoprotectant solutions for embryo vitrification in human assisted reproductive technologies. Reprod. Biomed. 2015, 30, 613–621. [Google Scholar] [CrossRef]
- Coello, A.; Campos, P.; Remohi, J.; Meseguer, M.; Cobo, A. A combination of hydroxypropyl cellulose and trehalose as supplementation for vitrification of human oocytes: A retrospective cohort study. J. Assist. Reprod. Genet. 2016, 33, 413–421. [Google Scholar] [CrossRef] [PubMed]
- Kim, E.Y.; Kim, D.I.; Lee, M.G.; Lee, J.U.; Lee, G.S.; Park, S.Y.; Park, E.M.; Yun, J.Y.; Heo, Y.T.; Jo, H.J.; et al. Establishment of bovine oven bank: I. Full term development of vitrified in vitro matured Hanwoo (Korean cattle) oocytes by minimum volume cooling (MVC) method. Korean J. Anim. Reprod. 2001, 25, 1–7. [Google Scholar]
- Park, M.J.; Lee, S.E.; Kim, E.Y.; Lee, J.B.; Jeong, C.J.; Park, S.P. Effective oocyte vitrification and survival techniques for bovine somatic cell nuclear transfer. Cell Reprogr. 2015, 17, 199–210. [Google Scholar] [CrossRef]
- Livak, K.J.; Schmittgen, T.D. Analysis of relative gene expression data using real-time quantitative PCR and the 2(-Delta Delta C(T)) Method. Methods 2001, 25, 402–408. [Google Scholar] [CrossRef]
- Meryman, H.T. Osmotic stress as a mechanism of freezing injury. Cryobiology 1971, 8, 489–500. [Google Scholar] [CrossRef]
- Friedler, S.; Giudice, L.C.; Lamb, E.J. Cryopreservation of embryos and ova. Fertil. Steril. 1988, 49, 743–764. [Google Scholar] [PubMed]
- Van den Abbeel, E.; Schneider, U.; Liu, J.; Agca, Y.; Critser, J.K.; Van Steirteghem, A. Osmotic responses and tolerance limits to changes in external osmolalities, and oolemma permeability characteristics, of human in vitro matured MII oocytes. Hum. Reprod. 2007, 22, 1959–1972. [Google Scholar] [CrossRef]
- Shaw, P.W.; Bernard, A.G.; Fuller, B.J.; Hunter, J.H.; Shaw, R.W. Vitrification of mouse oocytes using short cryoprotectant exposure: Effects of varying exposure times on survival. Mol. Reprod. Dev. 1992, 33, 210–214. [Google Scholar] [CrossRef]
- Cao, Y.X.; Xing, Q.; Li, L.; Cong, L.; Zhang, Z.G.; Wei, Z.L.; Zhou, P. Comparison of survival and embryonic development in human oocytes cryopreserved by slow-freezing and vitrification. Fertil. Steril. 2009, 92, 1306–1311. [Google Scholar] [CrossRef]
- Al-Gubory, K.H.; Fowler, P.A.; Garrel, C. The roles of cellular reactive oxygen species, oxidative stress and antioxidants in pregnancy outcomes. Int. J. Biochem. Cell Biol. 2010, 42, 1634–1650. [Google Scholar] [CrossRef]
- Gogvadze, V.; Orrenius, S. Mitochondrial regulation of apoptotic cell death. Chem. Biol. Interact. 2006, 163, 4–14. [Google Scholar] [CrossRef] [PubMed]
- Youle, R.J.; Strasser, A. The BCL-2 protein family: Opposing activities that mediate cell death. Nat. Rev. Mol. Cell Biol. 2008, 9, 47–59. [Google Scholar] [CrossRef] [PubMed]
- Anchamparuthy, V.M.; Dhali, A.; Lott, W.M.; Pearson, R.E.; Gwazdauskas, F.C. Vitrification of bovine oocytes: Implications of follicular size and sire on the rates of embryonic development. J. Assist. Reprod. Genet. 2009, 26, 613–619. [Google Scholar] [CrossRef] [PubMed][Green Version]
- Zhao, X.M.; Hao, H.S.; Du, W.H.; Zhao, S.J.; Wang, H.Y.; Wang, N.; Wang, D.; Liu, Y.; Qin, T.; Zhu, H.B. Melatonin inhibits apoptosis and improves the developmental potential of vitrified bovine oocytes. J. Pineal. Res. 2016, 60, 132–141. [Google Scholar] [CrossRef]
- Men, H.; Monson, R.L.; Parrish, J.J.; Rutledge, J.J. Degeneration of cryopreserved bovine oocytes via apoptosis during subsequent culture. Cryobiology 2003, 47, 73–81. [Google Scholar] [CrossRef]
- O’Doherty, A.M.; O’Shea, L.C.; Fair, T. Bovine DNA methylation imprints are established in an oocyte size-specific manner, which are coordinated with the expression of the DNM.MT3 family proteins. Biol. Reprod. 2012, 86, 67. [Google Scholar] [CrossRef]
- Kaneda, M.; Okano, M.; Hata, K.; Sado, T.; Tsujimoto, N.; Li, E.; Sasaki, H. Essential role for de novo DNA methyltransferase Dnmt3a in paternal and maternal imprinting. Nature 2004, 429, 900–903. [Google Scholar] [CrossRef]
- Chen, H.; Zhang, L.; Deng, T.; Zou, P.; Wang, Y.; Quan, F.; Zhang, Y. Effects of oocyte vitrification on epigenetic status in early bovine embryos. Theriogenology 2016, 86, 868–878. [Google Scholar] [CrossRef]
- Kim, D.H.; Park, H.S.; Kim, S.W.; Hwang, I.S.; Yang, B.C.; Im, G.S.; Chung, H.J.; Seong, H.W.; Moon, S.J.; Yang, B.S. Vitrification of immature bovine oocytes by the microdrop method. J. Reprod. Dev. 2007, 53, 843–851. [Google Scholar] [CrossRef]
- Menkveld, R.; Holleboom, C.A.; Rhemrev, J.P. Measurement and significance of sperm morphology. Asian J. Androl. 2011, 13, 59–68. [Google Scholar] [CrossRef]
- Punyawai, K.; Anakkul, N.; Srirattana, K.; Aikawa, Y.; Sangsritavong, S.; Nagai, T.; Imai, K.; Parnpai, R. Comparison of cryotop and micro volume air cooling methods for cryopreservation of bovine matured oocytes and blastocysts. J. Reprod. Dev. 2015, 61, 431–437. [Google Scholar] [CrossRef] [PubMed]
- Yang, B.C.; Im, G.S.; Kim, D.H.; Yang, B.S.; Oh, H.J.; Park, H.S.; Seong, H.H.; Kim, S.W.; Ka, H.H.; Lee, C.K. Development of vitrified-thawed bovine oocytes after in vitro fertilization and somatic cell nuclear transfer. Anim. Reprod. Sci. 2008, 103, 25–37. [Google Scholar] [CrossRef] [PubMed]
- Morato, R.; Izquierdo, D.; Paramio, M.T.; Mogas, T. Cryotops versus open-pulled straws (OPS) as carriers for the cryopreservation of bovine oocytes: Effects on spindle and chromosome configuration and embryo development. Cryobiology 2008, 57, 137–141. [Google Scholar] [CrossRef] [PubMed]
- Paula-Lopes, F.F.; Hansen, P.J. Heat shock-induced apoptosis in preimplantation bovine embryos is a developmentally regulated phenomenon. Biol. Reprod. 2002, 66, 1169–1177. [Google Scholar] [CrossRef]





| Gene | Primer Sequence | Annealing Temperature (°C) | Product Size (bp) |
|---|---|---|---|
| Bax | 5′-GCTCTGAGCAGATCAAG-3′ 5′-AGCCGCTCTCGAAGGAAGTC-3′ | 56 | 201 |
| Bcl2 | 5′-TTGGAGAGCCAGTGAACAGT-3′ 5′-TGCTGATAACTGTCTGCGCT-3′ | 54 | 203 |
| HSF1 | 5′-GAGCGAGGACATAAAGATTC-3′ 5′-GAGATGAGGAACTGGATGAG-3′ | 54 | 207 |
| Glut-5 | 5′-TTGGAGAGCCAGTGAACAGT-3′ 5′-TGCTGATAACTGTCTGCGCT-3′ | 60 | 292 |
| Interferon-tau | 5′-ATGGCCTTCGTGCTCTCTCT-3′ 5′-AGGTCCTCCAGCTGCTGTTG-3′ | 55 | 356 |
| Caspase-3 | 5′-CGATCTGGTACAGACGTG-3′ 5′-GCCATGTCATCCTCA-3′ | 50 | 359 |
| Hsp70 | 5′-GACAAGTGCCAGGAGGTGATTT-3′ 5′-CAGTCTGCTGATGATGGGGTTA-3′ | 51 | 117 |
| Dnmt3a | 5′-TGATCTCTCCATCGTCAACCCT-3′ 5′-GAAGAAGGGGCGGTCATCTC-3′ | 54 | 221 |
| β-actin | 5′-GTCATCACCATCGGCAATGA-3′ 5′-GGATGTCGACGTCACACTTC-3′ | 56 | 111 |
| Treatment Group * | No. (%) of Oocytes | |
|---|---|---|
| Thawed | Survived | |
| 0 HPC | 183 | 138 (75.4) |
| 10 HPC | 204 | 164 (80.4) |
| 50 HPC | 202 | 170 (84.2) a |
| 100 HPC | 204 | 154 (75.5) |
| Treatment Group * | No. (%) of Oocytes | Total No. of Cells per Blastocyst | No. (%) of Apoptotic Cells per Blastocyst | ||||
|---|---|---|---|---|---|---|---|
| Thawed | Survived | PA | Cleaved (Day 2) | Blastocysts (Day 8) | |||
| Non-VT | - | - | 147 | 139 (94.6) | 31 (21.1) | 120.2 ± 6.4 | 2.0 ± 0,5 (1.7) |
| 0 HPC | 242 | 179 (74.0) | 170 | 127 (74.7) a | 12 (7.1) a | 82.7 ± 2.5 a | 4.0 ± 1 (4.8) |
| 50 HPC | 201 | 161 (80.1) | 161 | 121 (75.2) a | 21 (13.0) | 100.2 ± 10.0 | 4.0 ± 0.7 (4.0) |
Publisher’s Note: MDPI stays neutral with regard to jurisdictional claims in published maps and institutional affiliations. |
© 2022 by the authors. Licensee MDPI, Basel, Switzerland. This article is an open access article distributed under the terms and conditions of the Creative Commons Attribution (CC BY) license (https://creativecommons.org/licenses/by/4.0/).
Share and Cite
Park, M.-J.; Lee, S.-E.; Yoon, J.-W.; Park, H.-J.; Kim, S.-H.; Oh, S.-H.; Lee, D.-G.; Pyeon, D.-B.; Kim, E.-Y.; Park, S.-P. Effect of Supplementation of Cryoprotectant Solution with Hydroxypropyl Cellulose for Vitrification of Bovine Oocytes. Animals 2022, 12, 2636. https://doi.org/10.3390/ani12192636
Park M-J, Lee S-E, Yoon J-W, Park H-J, Kim S-H, Oh S-H, Lee D-G, Pyeon D-B, Kim E-Y, Park S-P. Effect of Supplementation of Cryoprotectant Solution with Hydroxypropyl Cellulose for Vitrification of Bovine Oocytes. Animals. 2022; 12(19):2636. https://doi.org/10.3390/ani12192636
Chicago/Turabian StylePark, Min-Jee, Seung-Eun Lee, Jae-Wook Yoon, Hyo-Jin Park, So-Hee Kim, Seung-Hwan Oh, Do-Geon Lee, Da-Bin Pyeon, Eun-Young Kim, and Se-Pill Park. 2022. "Effect of Supplementation of Cryoprotectant Solution with Hydroxypropyl Cellulose for Vitrification of Bovine Oocytes" Animals 12, no. 19: 2636. https://doi.org/10.3390/ani12192636
APA StylePark, M.-J., Lee, S.-E., Yoon, J.-W., Park, H.-J., Kim, S.-H., Oh, S.-H., Lee, D.-G., Pyeon, D.-B., Kim, E.-Y., & Park, S.-P. (2022). Effect of Supplementation of Cryoprotectant Solution with Hydroxypropyl Cellulose for Vitrification of Bovine Oocytes. Animals, 12(19), 2636. https://doi.org/10.3390/ani12192636

