Molecular Characterization of LKB1 of Triploid Crucian Carp and Its Regulation on Muscle Growth and Quality
Abstract
Simple Summary
Abstract
1. Introduction
2. Materials and Methods
2.1. Animals and Tissue Preparation
2.2. Cloning of the cDNA Sequence of LKB1
2.3. Phylogenetic Analysis of LKB1
2.4. LKB1 Expressions in Various Tissues
2.5. Intraperitoneal Injection of the Activator and Inhibitor
2.6. Determination of IMP Levels
2.7. Preparation of Paraffin Sections of Muscle Fibers
2.8. Measurement of Muscle Fiber Diameter and Area
2.9. Detection of Muscle Texture Characteristics
2.10. Effects of Dietary Lysine-Glutamate Dipeptides on LKB1 Expressions
2.11. Statistical Analysis
3. Results
3.1. Isolation and Sequence Analysis of LKB1 cDNA
3.2. Tissue Expression Patterns of LKB1
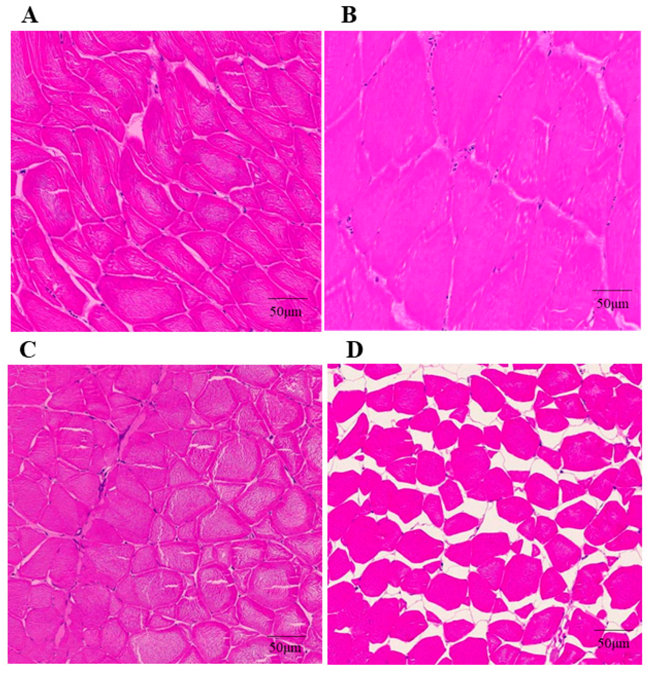
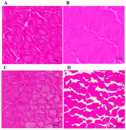
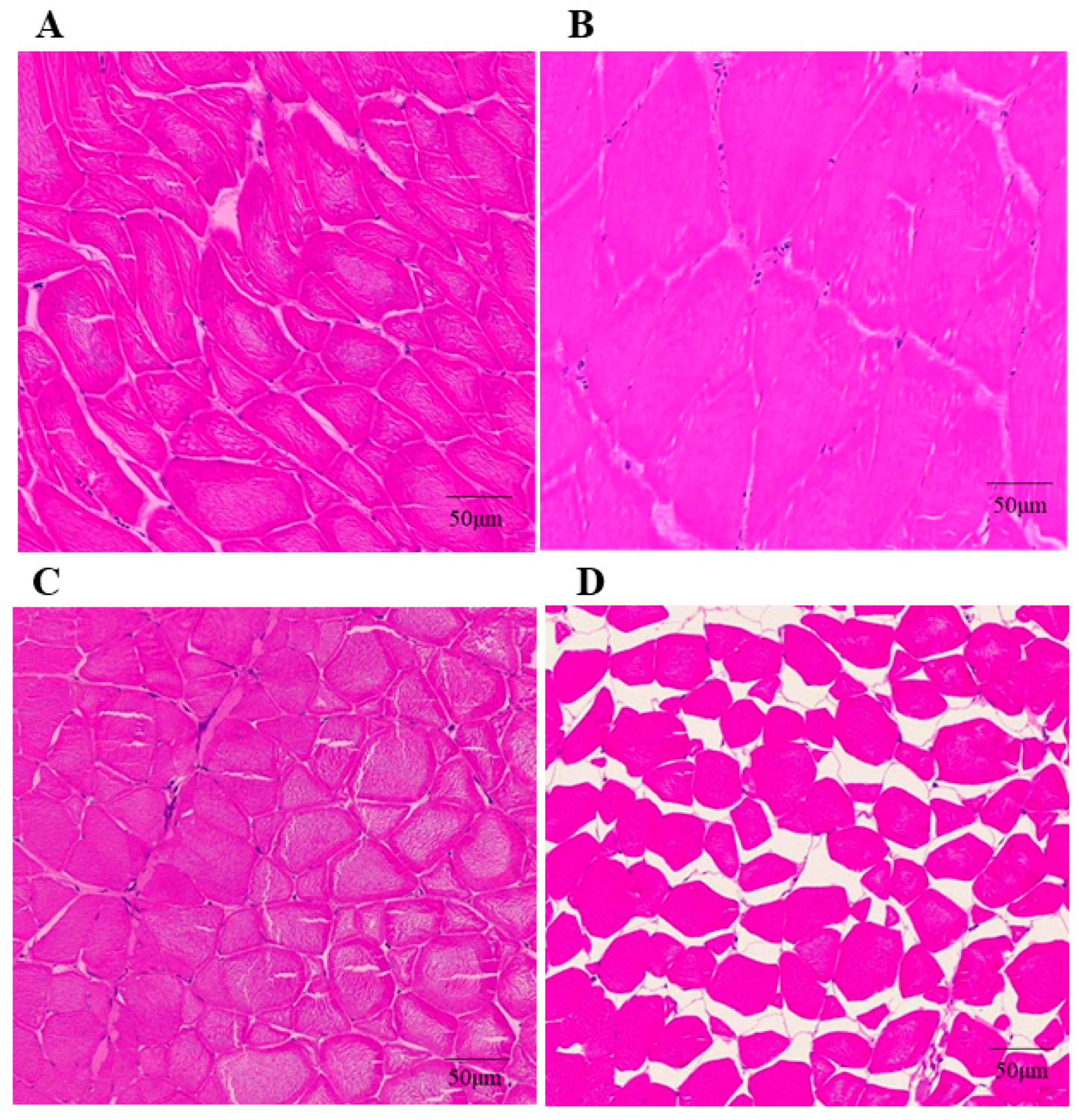
3.3. Effect of LKB1 Activator or Inhibitor on Triploid Crucian Carp Muscle Growth
3.4. Effect of LKB1 Activator and Inhibitor on Triploid Crucian Carp Muscle Quality
3.5. The Effects of Lysine-Glutamate Dipeptide on the Relative mRNA Expression of LKB1 in Muscle
4. Discussion
5. Conclusions
Author Contributions
Funding
Institutional Review Board Statement
Data Availability Statement
Conflicts of Interest
References
- Braun, T.; Gautel, M. Transcriptional mechanisms regulating skeletal muscle differentiation, growth and homeostasis. Nat. Rev. Mol. Cell Biol. 2011, 12, 349–361. [Google Scholar] [CrossRef]
- Wei, C.; Ren, H.; Xu, L.; Li, L.; Liu, R.; Zhang, L.; Zhao, F.; Lu, J.; Zhang, X.; Du, L. Signals of Ezh2, Src, and Akt Involve in Myostatin-Pax7 Pathways Regulating the Myogenic Fate Determination during the Sheep Myoblast Proliferation and Differentiation. PLoS ONE 2015, 10, e0120956. [Google Scholar] [CrossRef] [PubMed]
- Zammit, P.S. Function of the myogenic regulatory factors Myf5, MyoD, Myogenin and MRF4 in skeletal muscle, satellite cells and regenerative myogenesis. Semin. Cell Dev. Biol. 2017, 72, 19–32. [Google Scholar] [CrossRef] [PubMed]
- Rescan, P.-Y. New insights into skeletal muscle development and growth in teleost fishes. J. Exp. Zool. Part B Mol. Dev. Evol. 2008, 310B, 541–548. [Google Scholar] [CrossRef]
- Johnston, I.A.; Bower, N.I.; Macqueen, D.J. Growth and the regulation of myotomal muscle mass in teleost fish. J. Exp. Biol. 2011, 214 Pt 10, 1617–1628. [Google Scholar] [CrossRef]
- Chen, M.-M.; Zhao, Y.-P.; Zhao, Y.; Deng, S.-L.; Yu, K. Regulation of Myostatin on the Growth and Development of Skeletal Muscle. Front. Cell Dev. Biol. 2021, 9, 785712. [Google Scholar] [CrossRef]
- Tu, T.; Wu, W.; Tang, X.; Ge, Q.; Zhan, J. Screening out important substances for distinguishing Chinese indigenous pork and hybrid pork and identifying different pork muscles by analyzing the fatty acid and nucleotide contents. Food Chem. 2021, 350, 129219. [Google Scholar] [CrossRef]
- Rudolph, F.B. The Biochemistry and Physiology of Nucleotides. J. Nutr. 1994, 124 (Suppl. S1), 124S–127S. [Google Scholar] [CrossRef]
- Wang, X.F.; Liu, G.H.; Cai, H.Y.; Chang, W.H.; Ma, J.S.; Zheng, A.J.; Zhang, S. Attempts to increase inosinic acid in broiler meat by using feed additives. Poult. Sci. 2014, 93, 2802–2808. [Google Scholar] [CrossRef]
- Jiang, J.; Shi, D.; Zhou, X.-Q.; Feng, L.; Liu, Y.; Jiang, W.-D.; Wu, P.; Tang, L.; Wang, Y.; Zhao, Y. Effects of lysine and methionine supplementation on growth, body composition and digestive function of grass carp (Ctenopharyngodon idella) fed plant protein diets using high-level canola meal. Aquac. Nutr. 2016, 22, 1126–1133. [Google Scholar] [CrossRef]
- Qi, J.; Wang, H.-H.; Zhou, G.-H.; Xu, X.-L.; Li, X.; Bai, Y.; Yu, X.-B. Evaluation of the taste-active and volatile compounds in stewed meat from the Chinese yellow-feather chicken breed. Int. J. Food Prop. 2018, 20 (Suppl. S3), S2579–S2595. [Google Scholar] [CrossRef]
- Wang, W.; Wen, C.; Guo, Q.; Li, J.; He, S.; Yin, Y. Dietary Supplementation With Chlorogenic Acid Derived From Lonicera macranthoides Hand-Mazz Improves Meat Quality and Muscle Fiber Characteristics of Finishing Pigs via Enhancement of Antioxidant Capacity. Front. Physiol. 2021, 12, 650084. [Google Scholar] [CrossRef] [PubMed]
- Lee, H.-Y.; Kim, J.-M.; Byun, M.-J.; Kang, K.-S.; Kim, T.-H.; Hong, K.-C.; Lee, K.-T. Structure and polymorphisms of the 5′ regulatory region of porcine adenylate kinase 3-like 1 gene and effect on trait of meat quality. Genes Genom. 2011, 33, 147–153. [Google Scholar] [CrossRef]
- Hemminki, A.; Markie, D.; Tomlinson, I.; Avizienyte, E.; Roth, S.; Loukola, A.; Bignell, G.; Warren, W.; Aminoff, M.; Höglund, P.; et al. A serine/threonine kinase gene defective in Peutz–Jeghers syndrome. Nature 1998, 391, 184–187. [Google Scholar] [CrossRef] [PubMed]
- Shan, T.; Zhang, P.; Bi, P.; Kuang, S. Lkb1 deletion promotes ectopic lipid accumulation in muscle progenitor cells and mature muscles. J. Cell. Physiol. 2015, 230, 1033–1041. [Google Scholar] [CrossRef]
- Lizcano, J.M.; Göransson, O.; Toth, R.; Deak, M.; Morrice, N.A.; Boudeau, J.; Hawley, S.A.; Udd, L.; Makela, T.P.; Hardie, D.G.; et al. LKB1 is a master kinase that activates 13 kinases of the AMPK subfamily, including MARK/PAR-1. EMBO J. 2004, 23, 833–843. [Google Scholar] [CrossRef]
- Shan, T.; Xu, Z.; Liu, J.; Wu, W.; Wang, Y. Lkb1 regulation of skeletal muscle development, metabolism and muscle progenitor cell homeostasis. J. Cell. Physiol. 2017, 232, 2653–2656. [Google Scholar] [CrossRef]
- Ke, R.; Xu, Q.; Li, C.; Luo, L.; Huang, D. Mechanisms of AMPK in the maintenance of ATP balance during energy metabolism. Cell Biol. Int. 2018, 42, 384–392. [Google Scholar] [CrossRef]
- Liu, Y.; Feng, L.; Jiang, J.; Liu, Y.; Zhou, X.-Q. Effects of dietary protein levels on the growth performance, digestive capacity and amino acid metabolism of juvenile Jian carp (Cyprinus carpiovar. Jian). Aquac. Res. 2009, 40, 1073–1082. [Google Scholar] [CrossRef]
- Ingebrigtsen, I.A.; Berge, G.M.; Ruyter, B.; Kjær, M.A.; Mørkøre, T.; Sørensen, M.; Gjøen, T. Growth and quality of Atlantic cod (Gadus morhua) fed with high and low fat diets supplemented with glutamate. Aquaculture 2014, 433, 367–376. [Google Scholar] [CrossRef]
- Larsson, T.; Koppang, E.O.; Espe, M.; Terjesen, B.F.; Krasnov, A.; Moreno, H.M.; Rørvik, K.-A.; Thomassen, M.; Mørkøre, T. Fillet quality and health of Atlantic salmon (Salmo salar L.) fed a diet supplemented with glutamate. Aquaculture 2014, 426–427, 288–295. [Google Scholar] [CrossRef]
- Li, X.-Y.; Tang, L.; Hu, K.; Liu, Y.; Jiang, W.-D.; Jiang, J.; Wu, P.; Chen, G.-F.; Li, S.-H.; Kuang, S.-Y.; et al. Effect of dietary lysine on growth, intestinal enzymes activities and antioxidant status of sub-adult grass carp (Ctenopharyngodon idella). Fish Physiol. Biochem. 2014, 40, 659–671. [Google Scholar] [CrossRef] [PubMed]
- Yu, D.; Gong, S.; Lin, Y.; Yuan, Y. Partial replacement of fish meal by several plant proteins with or without iron and lysine supplement in diets for juvenile Chinese sucker, Myxocyprinus asiaticus. Aquac. Nutr. 2014, 20, 205–212. [Google Scholar] [CrossRef]
- Liu, S.J.; Sun, Y.D.; Zhang, C.; Luo, K.K.; Liu, Y. Triploid Crucain Carp-Allotetraploid Hybrids(♂)×Goldfish(♀). Acta Genet. Sin. 2004, 31, 31–38. [Google Scholar] [CrossRef]
- Molina, E.; Hong, L.; Chefetz, I. AMPKα-like proteins as LKB1 downstream targets in cell physiology and cancer. Klin. Wochenschr. 2021, 99, 651–662. [Google Scholar] [CrossRef]
- Pandit, M.; Timilshina, M.; Chang, J.-H. LKB1-PTEN axis controls Th1 and Th17 cell differentiation via regulating mTORC1. Klin. Wochenschr. 2021, 99, 1139–1150. [Google Scholar] [CrossRef]
- Marinaccio, C.; Suraneni, P.; Celik, H.; Volk, A.; Wen, Q.J.; Ling, T.; Bulic, M.; Lasho, T.; Koche, R.P.; Famulare, C.A.; et al. LKB1/STK11 Is a Tumor Suppressor in the Progression of Myeloproliferative Neoplasms. Cancer Discov. 2021, 11, 1398–1410. [Google Scholar] [CrossRef]
- Shan, T.; Zhang, P.; Liang, X.; Bi, P.; Yue, F.; Kuang, S. Lkb1 Is Indispensable for Skeletal Muscle Development, Regeneration, and Satellite Cell Homeostasis. Stem Cells 2014, 32, 2893–2907. [Google Scholar] [CrossRef]
- Laderian, B.; Mundi, P.; Fojo, T.; Bates, S.E. Emerging Therapeutic Implications of STK11 Mutation: Case Series. Oncologist 2020, 25, 733–737. [Google Scholar] [CrossRef]
- Zhao, R.-X.; Xu, Z.-X. Targeting the LKB1 tumor suppressor. Curr. Drug Targets 2014, 15, 32–52. [Google Scholar] [CrossRef]
- Shaw, R.J.; Lamia, K.A.; Vasquez, D.; Koo, S.-H.; Bardeesy, N.; Depinho, R.A.; Montminy, M.; Cantley, L.C. The Kinase LKB1 Mediates Glucose Homeostasis in Liver and Therapeutic Effects of Metformin. Science 2005, 310, 1642–1646. [Google Scholar] [CrossRef] [PubMed]
- Van der Velden, Y.U.; Wang, L.; Zevenhoven, J.; van Rooijen, E.; van Lohuizen, M.; Giles, R.H.; Clevers, H.; Haramis, A.-P.G. The serine-threonine kinase LKB1 is essential for survival under energetic stress in zebrafish. Proc. Natl. Acad. Sci. USA 2011, 108, 4358–4363. [Google Scholar] [CrossRef] [PubMed]
- Thomson, D.M. The Role of AMPK in the Regulation of Skeletal Muscle Size, Hypertrophy, and Regeneration. Int. J. Mol. Sci. 2018, 19, 3125. [Google Scholar] [CrossRef] [PubMed]
- Lee, S.B.; Kim, Y.S.; Oh, M.-Y.; Jeong, I.-H.; Seong, K.-B.; Jin, H.-J. Improving rainbow trout (Oncorhynchus mykiss) growth by treatment with a fish (Paralichthys olivaceus) myostatin prodomain expressed in soluble forms in E. coli. Aquaculture 2010, 302, 270–278. [Google Scholar] [CrossRef]
- Zeng, C.; Liu, X.-L.; Wang, W.-M.; Tong, J.-G.; Luo, W.; Zhang, J.; Gao, Z.-X. Characterization of GHRs, IGFs and MSTNs, and analysis of their expression relationships in blunt snout bream, Megalobrama amblycephala. Gene 2014, 535, 239–249. [Google Scholar] [CrossRef] [PubMed]
- Garikipati, D.K.; Rodgers, B.D. Myostatin stimulates myosatellite cell differentiation in a novel model system: Evidence for gene subfunctionalization. Am. J. Physiol. Integr. Comp. Physiol. 2012, 302, R1059–R1066. [Google Scholar] [CrossRef]
- Garikipati, D.K.; Rodgers, B.D. Myostatin inhibits myosatellite cell proliferation and consequently activates differentiation: Evidence for endocrine-regulated transcript processing. J. Endocrinol. 2012, 215, 177–187. [Google Scholar] [CrossRef]
- Kwasek, K.; Choi, Y.M.; Wang, H.; Lee, K.; Reddish, J.M.; Wick, M. Proteomic profile and morphological characteristics of skeletal muscle from the fast- and slow-growing yellow perch (Perca flavescens). Sci. Rep. 2021, 11, 16272. [Google Scholar] [CrossRef]
- Sakamoto, K.; McCarthy, A.; Smith, D.; Green, K.A.; Hardie, G.; Ashworth, A.; Alessi, D. Deficiency of LKB1 in skeletal muscle prevents AMPK activation and glucose uptake during contraction. EMBO J. 2005, 24, 1810–1820. [Google Scholar] [CrossRef]
- Johnston, I.A.; Alderson, R.; Sandham, C.; Dingwall, A.; Mitchell, D.; Selkirk, C.; Nickell, D.; Baker, R.; Robertson, B.; Whyte, D.; et al. Muscle fibre density in relation to the colour and texture of smoked Atlantic salmon (Salmo salar L.). Aquaculture 2000, 189, 335–349. [Google Scholar] [CrossRef]
- Hurling, R.; Rodell, J.; Hunt, H. Fiber diameter and fish texture. J. Texture Stud. 1996, 27, 679–685. [Google Scholar] [CrossRef]
- Zhao, H.; Xia, J.; Zhang, X.; He, X.; Li, L.; Tang, R.; Chi, W.; Li, D. Diet Affects Muscle Quality and Growth Traits of Grass Carp (Ctenopharyngodon idellus): A Comparison Between Grass and Artificial Feed. Front. Physiol. 2018, 9, 283. [Google Scholar] [CrossRef] [PubMed]
- Li, X.-M.; Yuan, J.-M.; Fu, S.-J.; Zhang, Y.-G. The effect of sustained swimming exercise on the growth performance, muscle cellularity and flesh quality of juvenile qingbo (Spinibarbus sinensis). Aquaculture 2016, 465, 287–295. [Google Scholar] [CrossRef]
- Rahimnejad, S.; Lee, K.-J. Comparison of Free and Dipeptide Lysine Utilization in Diets for Juvenile Olive Flounder Paralichthys olivaceus. Fish. Aquat. Sci. 2014, 17, 433–439. [Google Scholar] [CrossRef]
- Cai, W.-C.; Liu, W.-B.; Jiang, G.-Z.; Wang, K.-Z.; Sun, C.-X.; Li, X.-F. Lysine supplement benefits the growth performance, protein synthesis, and muscle development of Megalobrama amblycephala fed diets with fish meal replaced by rice protein concentrate. Fish Physiol. Biochem. 2018, 44, 1159–1174. [Google Scholar] [CrossRef] [PubMed]








| Primer Names | Sequence (5′→3′) | Use |
|---|---|---|
| LKB1-F | CGTTGCTTCGGAAAACTAAT | CDS |
| LKB1-R | CATAACGCTCACAGCTCCTC | CDS |
| RT-LKB1-F | ATCTCAGACCTGGGTGTAGCAG | qRT-PCR |
| RT-LKB1-R | GGCTCGTGGTTATGTTGTATAGTG | qRT-PCR |
| RT-actin-F | CTGCCCACCAACGATCTGTCCC | qRT-PCR |
| RT-actin-R | CTTATTTAGCCCCGCCCCCTCT | qRT-PCR |
| RT-MyoG-F | TCTTCGCAGACCAGCGTTTTT | qRT-PCR |
| RT-MyoG-R | CAACCCCACTCCGTTTGACAG | qRT-PCR |
| RT-MyoD-F | GAAAAACCACCAACGCTGACC | qRT-PCR |
| RT-MyoD-R | CAGGATCTCCACTTTGGGCAG | qRT-PCR |
| RT-Myf5-F | GTTTGAGGCACTACGGCG | qRT-PCR |
| RT-Myf5-R | CTTTCAGAACAGCTTGAGGAAG | qRT-PCR |
| RT-MRF4-F | GTCAGTGTCTAATGTGGGCTTG | qRT-PCR |
| RT-MRF4-R | GGATTGGGCACCGTCTTTTTCT | qRT-PCR |
| RT-MSTN1-F | GTTCTGGGGGATGACAGTAAGG | qRT-PCR |
| RT-MSTN1-R | TTGAACGATGGGGTCAGGCTCT | qRT-PCR |
| Dietary Lysine-Glutamate Dipeptide Levels (%) | ||||||
|---|---|---|---|---|---|---|
| 0.0 | 0.4 | 0.8 | 1.2 | 1.6 | 2.0 | |
| Fishmeal 1 | 12.00 | 12.00 | 12.00 | 12.00 | 12.00 | 12.00 |
| Soybean meal 1 | 20.00 | 20.00 | 20.00 | 20.00 | 20.00 | 20.00 |
| Rapeseed meal 1 | 15.00 | 15.00 | 15.00 | 15.00 | 15.00 | 15.00 |
| Casein 1 | 6.50 | 6.50 | 6.50 | 6.50 | 6.50 | 6.50 |
| Fish oil | 3.00 | 3.00 | 3.00 | 3.00 | 3.00 | 3.00 |
| Soybean oil | 3.00 | 3.00 | 3.00 | 3.00 | 3.00 | 3.00 |
| Cornstarch | 16.80 | 16.80 | 16.80 | 16.80 | 16.80 | 16.80 |
| Wheat flour | 10.00 | 10.00 | 10.00 | 10.00 | 10.00 | 10.00 |
| Choline | 0.50 | 0.50 | 0.50 | 0.50 | 0.50 | 0.50 |
| Premix 2 | 3.00 | 3.00 | 3.00 | 3.00 | 3.00 | 3.00 |
| CMC | 3.00 | 3.00 | 3.00 | 3.00 | 3.00 | 3.00 |
| Cellulose | 7.20 | 6.80 | 6.40 | 6.00 | 5.60 | 5.20 |
| Lysine-glutamate 3 | 0.00 | 0.40 | 0.80 | 1.20 | 1.60 | 2.00 |
| Total | 100.00 | 100.00 | 100.00 | 100.00 | 100.00 | 100.00 |
| Proximate composition | ||||||
| Crude protein | 32.01 | 32.41 | 32.81 | 33.21 | 33.61 | 34.01 |
| Crude lipid | 8.07 | 8.07 | 8.07 | 8.07 | 8.07 | 8.07 |
| Moisture | 10.05 | 12.31 | 9.80 | 9.70 | 11.18 | 0.93 |
| Ash | 6.78 | 6.48 | 6.97 | 6.54 | 6.77 | 7.15 |
Publisher’s Note: MDPI stays neutral with regard to jurisdictional claims in published maps and institutional affiliations. |
© 2022 by the authors. Licensee MDPI, Basel, Switzerland. This article is an open access article distributed under the terms and conditions of the Creative Commons Attribution (CC BY) license (https://creativecommons.org/licenses/by/4.0/).
Share and Cite
Zuo, A.; Zhou, Y.; Li, Y.; Zhang, Y.; Yi, Z.; Xiao, Y.; Zou, M.; Cao, S.; Qu, F.; Tang, J.; et al. Molecular Characterization of LKB1 of Triploid Crucian Carp and Its Regulation on Muscle Growth and Quality. Animals 2022, 12, 2474. https://doi.org/10.3390/ani12182474
Zuo A, Zhou Y, Li Y, Zhang Y, Yi Z, Xiao Y, Zou M, Cao S, Qu F, Tang J, et al. Molecular Characterization of LKB1 of Triploid Crucian Carp and Its Regulation on Muscle Growth and Quality. Animals. 2022; 12(18):2474. https://doi.org/10.3390/ani12182474
Chicago/Turabian StyleZuo, Anli, Yonghua Zhou, Yingjie Li, Yu Zhang, Zilin Yi, Yangbo Xiao, Mei Zou, Shenping Cao, Fufa Qu, Jianzhou Tang, and et al. 2022. "Molecular Characterization of LKB1 of Triploid Crucian Carp and Its Regulation on Muscle Growth and Quality" Animals 12, no. 18: 2474. https://doi.org/10.3390/ani12182474
APA StyleZuo, A., Zhou, Y., Li, Y., Zhang, Y., Yi, Z., Xiao, Y., Zou, M., Cao, S., Qu, F., Tang, J., & Liu, Z. (2022). Molecular Characterization of LKB1 of Triploid Crucian Carp and Its Regulation on Muscle Growth and Quality. Animals, 12(18), 2474. https://doi.org/10.3390/ani12182474
