Aquatic Pollution and Risks to Biodiversity: The Example of Cocaine Effects on the Ovaries of Anguilla anguilla
Abstract
Simple Summary
Abstract
1. Introduction
2. Materials and Methods
2.1. Animals
2.2. Experimental Design
2.3. Histological Analysis
2.4. Immunohistochemical Analysis
2.4.1. Immunoblot
2.4.2. Immunohistochemistry
2.5. Hormone Determination
2.6. Statistical Analysis
3. Results
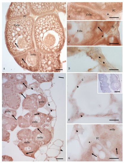
3.1. General Morphology
3.2. Immunoblot
3.3. 3β-HSD Localization
3.4. 17β-HSD Localization
3.5. P450 Aromatase Localization
3.6. Serum LH, FSH, and Cortisol Concentrations
4. Discussion
5. Conclusions
Supplementary Materials
Author Contributions
Funding
Institutional Review Board Statement
Informed Consent Statement
Data Availability Statement
Conflicts of Interest
References
- Murgado-Armenteros, E.M.; Gutierrez-Salcedo, M.; Torres-Ruiz, F.J. The concern about biodiversity as a criterion for the classification of the sustainable consumer: A cross-cultural approach. Sustainability 2020, 12, 3472. [Google Scholar] [CrossRef]
- Belpaire, C.; Goemans, G. The European eel Anguilla anguilla, a rapporteur of the chemical status for the water framework directive? Vie Milieu-Life Environ. 2007, 57, 235–252. [Google Scholar]
- Bettinetti, R.; Galassi, S.; Quadroni, S.; Volta, P.; Capoccioni, F.; Ciccotti, E.; De Leo, G. Use of Anguilla anguilla for biomonitoring persistent organic pollutants (POPs) in brackish and riverine waters in central and southern Italy. Water Air Soil Pollut. 2011, 217, 321–331. [Google Scholar] [CrossRef]
- Nowosad, J.; Kucharczyk, D.; Szmyt, M.; Luczynska, J.; Tamàs, M.; Horvàth, L. Changes in cadmium concentration in muscles, ovaries and eggs of silver European eel (Anguilla anguilla), during maturation under controlled conditions. Animals 2021, 11, 1027. [Google Scholar] [CrossRef] [PubMed]
- Slingenberg, A.; Bratt, L.; van der Windt, H.; Rademaekers, K.; Eichler, L.; Turner, K. Study on Understanding the Cause of Biodiversity Loss and the Policy Assessment Framework; Contract No.DG.ENV.G.1/FRA/2006/0073 Final Report; European Commission Directorate-General for Environment: Brussels, Belgium, 2009. [Google Scholar]
- Campestrini, I.; Jardim, W. Occurrence of cocaine and benzoylecgonine in drinking and source water in the São Paulo State region, Brazil. Sci. Total Environ. 2017, 576, 374–380. [Google Scholar] [CrossRef] [PubMed]
- Fontes, M.K.; Campos, B.G.; Cortez, F.S.; Pusceddu, F.H.; Moreno, B.B.; Maranho, L.A.; Lebre, D.T.; Guimarães, L.L.; Pereira, C.D.S. Seasonal monitoring of cocaine and benzoylecgonine in a subtropical coastal zone (Santos Bay, Brazil). Mar. Pollut. Bull. 2019, 149, 110545. [Google Scholar] [CrossRef]
- Fontes, M.K.; Maranho, L.; Pereira, C.D.S. Review on the occurrence and biological effects of illicit drugs in aquatic ecosystems. Environ. Sci. Pollut. Res. 2020, 27, 30998–31034. [Google Scholar] [CrossRef] [PubMed]
- Fontes, M.K.; Campos, B.G.; Cortez, F.S.; Pusceddu, F.H.; Nobre, C.R.; Barbosa Moreno, B.; Temponi Lebre, D.; Alves Maranho, L.; Seabra Pereira, C.D. Mussels get higher: A study on the occurrence of cocaine and benzoylecgonine in seawater, sediment and mussels from a subtropical ecosystem (Santos Bay, Brazil). Sci. Total Environ. 2021, 757, 143808. [Google Scholar] [CrossRef]
- Pereira, C.D.S.; Maranho, L.A.; Cortez, F.S.; Pusceddu, F.H.; Santos, A.R.; Ribeiro, D.A.; Cesar, A.; Guimarães, L.L. Occurrence of pharmaceuticals and cocaine in a Brazilian coastal zone. Sci. Total Environ. 2016, 548–549, 148–154. [Google Scholar] [CrossRef] [PubMed]
- Baker, D.R.; Kasprzyk-Hordern, B. Spatial and temporal occurrence of pharmaceuticals and illicit drugs in the aqueous environment and during wastewater treatment: New developments. Sci. Total Environ. 2013, 454–455, 442–456. [Google Scholar] [CrossRef] [PubMed]
- Brodin, T.; Fick, J.; Jonsson, M.; Klaminder, J. Dilute concentrations of a psychiatric drug alter behavior of fish from natural populations. Science 2013, 339, 814. [Google Scholar] [CrossRef]
- Guler, Y.; Ford, A.T. Anti-depressants make amphipods see the light. Aquat. Toxicol. 2010, 99, 397–404. [Google Scholar] [CrossRef] [PubMed]
- UNODC. World Drug Report (United Nations Publication, Sales, No. E.20.XI.6). Book 2: Drug Use and Health Consequences, 52. 2021. Available online: https://www.unodc.org/unodc/en/data-and-analysis/wdr2021.html (accessed on 14 February 2022).
- Binelli, A.; Marisa, I.; Fedorova, M.; Hoffman, R.; Riva, C. First evidence of protein profile alteration due to the main cocaine metabolite (benzoylecgonine) in a freshwater biological model. Aquat. Toxicol. 2013, 140–141, 268–278. [Google Scholar] [CrossRef] [PubMed]
- Pal, R.; Megharaj, M.; Kirkbride, K.P.; Naidu, R. Illicit drugs and the environment-a review. Sci. Total Environ. 2013, 463–464, 1079–1092. [Google Scholar] [CrossRef] [PubMed]
- Castiglioni, S.; Bagnati, R.; Melis, M.; Panawennage, D.; Chiarelli, P.; Fanelli, R.; Zuccato, E. Identification of cocaine and its metabolites in 865 urban wastewater and comparison with the human excretion profile in urine. Water Res. 2011, 45, 5141–5150. [Google Scholar] [CrossRef] [PubMed]
- Evgenidou, E.M.; Konstantinou, I.K.; Lambropoulou, D.A. Occurrence and removal of transformation products of PPCPs and illicit drugs in wastewaters: A review. Sci. Total Environ. 2015, 505, 905–926. [Google Scholar] [CrossRef] [PubMed]
- Terzic, S.; Senta, I.; Ahel, M. Illicit drugs in wastewater of the city of Zagreb (Croatia)—Estimation of drug abuse in a transition country. Environ. Pollut. 2010, 158, 2686–2693. [Google Scholar] [CrossRef] [PubMed]
- Maranho, L.; Fontes, M.K.; Kamimura, A.S.S.; Nobre, C.R.; Moreno, B.B.; Pusceddu, F.H.; Cortez, F.S.; Lebre, D.T.; Marques, J.R.; Abessa, D.M.S.; et al. Exposure to crack cocaine causes adverse effects on marine mussels Perna perna. Mar. Pollut. Bull. 2017, 123, 410–414. [Google Scholar] [CrossRef] [PubMed]
- Ortega, A.B.S.; Maranho, L.A.; Nobre, C.R.; Moreno, B.B.; Guimarães, R.S.; Lebre, D.T.; Abessa, D.M.S.; Ribeiro, D.A.; Pereira, C.D.S. Detoxification, oxidative stress, and cytogenotoxicity of crack cocaine in the brown mussel Perna perna. Environ. Sci. Pollut. Res. 2019, 26, 27569–27578. [Google Scholar] [CrossRef] [PubMed]
- Imeh-Nathaniel, A.; Rincon, N.; Orfanakos, V.B.; Brechtel, L.; Wormack, L.; Richardson, E.; Huber, R.; Nathaniel, T.I. Effects of chronic cocaine, morphine and methamphetamine on the mobility, immobility and stereotyped behaviors in crayfish. Behav. Brain Res. 2017, 332, 120–125. [Google Scholar] [CrossRef] [PubMed]
- Monaco, A.; Capaldo, A.; Laforgia, V.; Grimaldi, M.C.; Ferrandino, I. Environmental cocaine concentration effects on Danio rerio development. Eur. J. Histochem. 2016, 60, 9. [Google Scholar]
- Capaldo, A.; Gay, F.; Maddaloni, M.; Valiante, S.; De Falco, M.; Lenzi, M.; Laforgia, V. Presence of cocaine in tissues of the European eel Anguilla anguilla, exposed to environmental cocaine concentrations. Water Air Soil Pollut. 2012, 223, 2137–2143. [Google Scholar] [CrossRef]
- Capaldo, A.; Gay, F.; Maddaloni, M.; Palollela, G.; Martucciello, S.; Lionetti, L.; Caputo, I.; Laforgia, V. Effects of environmental cocaine concentrations on the skeletal muscle of the European eel (Anguilla anguilla). Sci. Total Environ. 2018, 640–641, 862–873. [Google Scholar] [CrossRef] [PubMed]
- Capaldo, A.; Gay, F.; Laforgia, V. Changes in the gills of the European eel (Anguilla anguilla) after chronic exposure to environmental cocaine concentration. Ecotoxicol. Environ. Saf. 2019, 169, 112–119. [Google Scholar] [CrossRef] [PubMed]
- Bevacqua, D.; Melia, P.; Gatto, M.; De Leo, G. A global viability assessment of the European eel. Glob. Change Biol. 2015, 21, 3323–3325. [Google Scholar] [CrossRef]
- Egg, L.; Mueller, M.; Pander, J.; Knott, J.; Geist, J. Improving European eel (Anguilla anguilla) downstream migration by undershot sluice gate management at a small-scale hydropower plant. Ecol. Eng. 2017, 106, 349–357. [Google Scholar] [CrossRef]
- Belpaire, C.; Hodson, P.; Pierron, F.; Freese, M. Impact of chemical pollution on Atlantic eels: Facts, research needs, and implications for management. Curr. Opin. Environ. Sci. Health 2019, 11, 26–36. [Google Scholar] [CrossRef]
- Geeraerts, C.; Belpaire, C. The effects of contaminants in European eel: A review. Ecotoxicology 2010, 19, 239–266. [Google Scholar] [CrossRef] [PubMed]
- Guarniero, I.; Cariani, A.; Ferrari, A.; Sulliot, V.; Emmanuele, P.; Casalini, A.; Tinti, F.; Mordenti, O. Sexual behaviour and reproductive performance of the endangered European eel Anguilla anguilla (Linnaeus, 1758) based on direct observations and paternity assignement in semi-natural conditions. Aquac. Rep. 2020, 16, 100258. [Google Scholar] [CrossRef]
- Belpaire, C.; Goemans, G. Eels: Contaminant cocktails pinpointing environmental contamination. ICES J. Mar. Sci. 2007, 64, 1423–1436. [Google Scholar] [CrossRef][Green Version]
- Michel, N.; Freese, M.; Brinkmann, M.; Pohlmann, J.D.; Hollert, H.; Kammann, U.; Haarich, M.; Theobald, N.; Gerwinski, W.; Rotard, W.; et al. Fipronil and two of its transformation products in water and European eel from their river Elbe. Sci. Total Environ. 2016, 568, 171–179. [Google Scholar] [CrossRef] [PubMed]
- Gheorghe, A.; van Nuijs, A.; Pecceu, B.; Bervoets, L.; Jorens, P.G.; Blust, R.; Neels, H.; Covaci, A. Analysis of cocaine and its principal metabolites in waste and surface water using solid-phase extraction and liquid chromatography–Ion trap tandem mass spectrometry. Anal. Bioanal. Chem. 2008, 391, 1309–1319. [Google Scholar] [CrossRef] [PubMed]
- Zuccato, E.; Chiabrando, C.; Castiglioni, S.; Bagnati, R.; Fanelli, R. Estimating community drug abuse by wastewater analysis. Environ. Health Perspect. 2008, 116, 1027–1032. [Google Scholar] [CrossRef] [PubMed]
- Di Lorenzo, M.; Mileo, A.; Laforgia, V.; De Falco, M.; Rosati, L. Alkyphenol exposure alters steroidogenesis in male lizard Podarcis siculus. Animals 2021, 11, 1003. [Google Scholar] [CrossRef] [PubMed]
- Rosati, L.; Di Fiore, M.M.; Prisco, M.; Di Giacomo Russo, F.; Venditti, M.; Andreuccetti, P.; Chieffi Baccari, G.; Santillo, A. Seasonal expression and cellular distribution of star and steroidogenic enzymes in quail testis. J. Exp. Zool. B Mol. Dev. Evol. 2019, 332, 198–209. [Google Scholar] [CrossRef]
- Forte, M.; Di Lorenzo, M.; Iacchetta, G.; Mita, G.D.; Laforgia, V.; De Falco, M. Nonylphenol acts on prostate adenocarcinoma cells via estrogen molecular pathway. Ecotoxicol. Environ. Saf. 2019, 180, 412–419. [Google Scholar] [CrossRef]
- Zizza, M.; Di Lorenzo, M.; Laforgia, V.; Furia, E.; Sindona, G.; Canonaco, M.; Facciolo, R.M. Orexin receptor expression is increased during mancozeb-induced feeding impairments and neurodegenerative events in a marine fish. Neurotoxicology 2018, 67, 46–53. [Google Scholar] [CrossRef]
- Rosati, L.; Andreuccetti, P.; Prisco, M. Vasoactive intestinal peptide (VIP) localization in the epididymis of two vertebrate species. Comptes Rendus Biol. 2017, 340, 379–385. [Google Scholar] [CrossRef] [PubMed]
- Rosati, L.; Prisco, M.; Di Lorenzo, M.; De Falco, M.; Andreuccetti, P. Immunolocalization of aromatase P450 in the epididymis of Podarcis sicula and Rattus rattus. Eur. J. Histochem. 2020, 27, 64. [Google Scholar] [CrossRef]
- Manzo, C.; Zerani, M.; Gobbetti, A.; Di Fiore, M.M.; Angelini, F. Is corticosterone involved in the reproductive processes of the male lizard, Podarcis sicula sicula? Horm. Behav. 1994, 28, 117–129. [Google Scholar] [CrossRef]
- Santillo, A.; Rosati, L.; Prisco, M.; Chieffi Baccari, G.; Adreuccetti, P.; Falvo, S.; Di Fiore, M.M. Aromatase immunolocalization and activity in the lizard’s brain: Dynamic changes during the reproductive cycle. Comptes Rendus Biol. 2019, 342, 18–26. [Google Scholar] [CrossRef] [PubMed]
- Ondarza, P.M.; Haddad, S.P.; Avigliano, E.; Miglioranza, K.S.B.; Brooks, B.W. Pharmaceuticals, illicit drugs and their metabolites in fish from Argentina: Implications for protected areas influenced by urbanization. Sci. Total Environ. 2019, 649, 1029–1037. [Google Scholar] [CrossRef]
- Horký, P.; Grabic, R.; Grabicovà, K.; Brooks, B.W.; Douda, K.; Slavìk, O.; Hubenà, P.; Sancho Santos, E.M.; Randàk, T. Metamphetamine pollution elicits addiction in fish. J. Exp. Biol. 2021, 224, jeb242145. [Google Scholar] [CrossRef] [PubMed]
- Liao, P.H.; Yang, W.K.; Yang, C.H.; Lin, C.H.; Hwang, C.C.; Chen, P.J. Illicit drug ketamine induces adverse effects from behavioral alterations and oxidative stress to p53-regulated apoptosis in medaka fish under environmentally relevant exposures. Environ. Pollut. 2018, 237, 1062–1071. [Google Scholar] [CrossRef] [PubMed]
- Capaldo, A.; Gay, F.; Caputo, I.; Lionetti, L.; Paolella, G.; Gregorio, I.D.; Martucciello, S.; Di Lorenzo, M.; Rosati, L.; Laforgia, V. Effects of environmental cocaine concentrations on COX and caspase-3 a, GRP-78, ALT, CRP and blood glucose levels in the liver and kidney of the European eel (Anguilla anguilla). Ecotoxicol. Environ. Saf. 2021, 208, 111475. [Google Scholar] [CrossRef] [PubMed]
- Gay, F.; Maddaloni, M.; Valiante, S.; Laforgia, V.; Capaldo, A. Endocrine disruption in the European eel, Anguilla anguilla, exposed to an environmental cocaine concentration. Water Air Soil Pollut. 2013, 224, 1579. [Google Scholar] [CrossRef]
- Gay, F.; Ferrandino, I.; Monaco, A.; Cerulo, M.; Capasso, G.; Capaldo, A. Histological and hormonal changes in the European eel (Anguilla anguilla) after exposure to environmental cocaine concentration. J. Fish Dis. 2016, 39, 295–308. [Google Scholar] [CrossRef]
- Kaufmann, R.A.; Savoy-Moore, R.; Sacco, A.G.; Subramanian, M.G. The effect of cocaine on oocyte development and the follicular microenvironment in the rabbit. Fertil. Steril. 1990, 54, 921–926. [Google Scholar] [CrossRef]
- Potter, D.A.; Moreno, A.; Luther, M.F.; Eddy, C.A.; Siler-Khodr, T.M.; King, T.S.; Schenken, R.S. Effects of follicular-phase cocaine administration on menstrual and ovarian cyclicity in rhesus monkeys. Am. J. Obstet. Ginecol. 1998, 178, 118–125. [Google Scholar] [CrossRef]
- Willard, S.S.; Koss, C.M.; Cronmiller, C. Chronic cocaine exposure in Drosophila: Life, cell death and oogenesis. Dev. Biol. 2006, 296, 150–163. [Google Scholar] [CrossRef]
- Kobayashi, T.; Chang, X.T.; Nakamura, M.; Kajiura, H.; Nagahama, Y. Fish 3β-Hydroxysteroid dehydrogenase/Δ5-Δ4Isomerase: Antibody production and their use for the immunohistochemical detection of fish steroidogenic tissues. Zool. Sci. 1996, 13, 909–914. [Google Scholar] [CrossRef]
- Ijiri, S.; Takei, N.; Andachi, S.; Yamauchi, K. Immunolocalization of steroidogenic enzymes (P450scc, P450c17, P450arom) in gonad of Japanese eel. Fish Physiol. Biochem. 2004, 28, 209–213. [Google Scholar] [CrossRef]
- Priyadarshini, B.L. Seasonal ovarian immunolocalization of neuropeptide Y and its role in steroidogenesis in Asian catfish, Clarias batrachus. Gen. Comp. Endocrinol. 2018, 255, 32–39. [Google Scholar] [CrossRef] [PubMed]
- Blakemore, J.; Naftolin, F. Aromatase: Contributions to physiology and disease in women and men. Physiology 2016, 31, 258–269. [Google Scholar] [CrossRef] [PubMed]
- Aranyakanout, C.; Ijiri, S.; Hasegawa, Y.; Adachi, S. 17β- Hydroxysteroid dehydrogenase type 12 is responsible for maturation-inducing steroid synthesis during oocyte maturation in Nile tilapia. Gen. Comp. Endocrinol. 2020, 290, 113399. [Google Scholar] [CrossRef] [PubMed]
- Kostic, T.S.; Stojknov, N.J.; Bjelic, M.M.; Mihajlovic, A.I.; Janjic, M.M.; Andric, S.A. Pharmacological doses of testosterone upregulated androgen receptor and 3-beta-hydroxysteroid dehydrogenase/delta-5-delta-4 isomerase and impaired Leydig cells steroidogenesis in adult rats. Toxicol. Sci. 2011, 121, 397–407. [Google Scholar] [CrossRef]
- Cheshenko, K.; Pakdel, F.; Segner, H.; Kah, O.; Eggen, R.L.L. Interference of endocrine disrupting chemicals with aromatase CYP19 expression or activity and consequences for reproduction on teleost fish. Gen. Comp. Endocrinol. 2007, 155, 31–62. [Google Scholar] [CrossRef]
- Tenugu, S.; Pranoty, A.; Mamta, S.K.; Senthilkumaran, B. Development and organization of gonadal steroidogenesis in bony fishes—A review. Aquac. Fish. 2020, 6, 223–246. [Google Scholar] [CrossRef]
- Kazeto, Y.; Matsubara, S.I.H.; Adachi, S.; Yamauchi, K. Cloning of 17β-hydroxysteroid dehydrogenase- I cDNAs from Japanese eel ovary. Biochem. Biophys. Res. Commun. 2000, 279, 451–456. [Google Scholar] [CrossRef]
- Bhat, I.A.; Rather, M.A.; Nazir, M.I.; Pathakota, G.B.; Goswami, M.; Sundaray, J.K.; Sharma, R. Cloning, characterisation, docking and expression analysis of 3-beta-hydroxysteroid dehydrogenase during ontogenetic development and annual reproductive cycles in catfish, Clarias batrachus. Theriogenelogy 2018, 105, 34–44. [Google Scholar] [CrossRef]
- Dufour, S.; Sebert, M.E.; Weltzien, F.A.; Rousseau, E.; Pasqualini, C. Neudoendocrine control by dopamine teleost reproduction. J. Fish Biol. 2010, 76, 129–160. [Google Scholar] [CrossRef] [PubMed]
- Song, J.L.; Wong, J.L.; Wessel, G.M. Oogenesis: Single cell development and differentiation. Dev. Biol. 2006, 300, 385–405. [Google Scholar] [CrossRef] [PubMed][Green Version]
- Rojo-Bartolomè, I.; Martínez-Miguel, L.; Lafont, A.G.; Vílchez, C.; Austriano, J.F.; Pérez, L.; Cancio, I. Molecular markers oocytes differentiation in European eel during hormonally induced oogenesis. Comp. Biochem. Physiol. A 2017, 211, 17–25. [Google Scholar] [CrossRef] [PubMed]
- Norris, D.O. Vertebrate Endocrinology, 4th ed.; Academic Press: Amsterdam, The Netherlands, 2007; pp. 168–186. [Google Scholar]
- Nguyen, A.T.; Chia, J.H.; Kazeto, Y.; Wylie, M.J.; Lokman, P.M. Induction of oocyte development in previtellogenic eel, Anguilla australis. Gen. Comp. Endocrinol. 2020, 291, 113404. [Google Scholar] [CrossRef] [PubMed]
- Heesch, C.M.; Negus, B.H.; Bost, J.E.; Kaffer, J.H.; Snyder, N.W.; Eichhorn, E.J. Effects of cocaine on anterior pituitary and gonadal hormones. J. Pharmacol. Exp. Ther. 1996, 278, 1195–1200. [Google Scholar]
- Mello, N.K.; Mendelson, J.H.; Negus, S.S.; Kelly, M.; Knudson, I.; Roth, M.E. The effects of cocaine on gonadal steroid hormones and LH in male and female rhesus monkeys. Neuropsychopharmacology 2004, 29, 2024–2034. [Google Scholar] [CrossRef]
- Sébert, M.E.; Weltzien, F.A.; Moisan, C.; Pasqualini, C.; Dufour, S. Dopaminergic systems in the European eel: Characterization, brain distribution, and potential role in migration and reproduction. Hydrobiology 2008, 602, 27–46. [Google Scholar] [CrossRef]







Publisher’s Note: MDPI stays neutral with regard to jurisdictional claims in published maps and institutional affiliations. |
© 2022 by the authors. Licensee MDPI, Basel, Switzerland. This article is an open access article distributed under the terms and conditions of the Creative Commons Attribution (CC BY) license (https://creativecommons.org/licenses/by/4.0/).
Share and Cite
Fontes, M.K.; Rosati, L.; Di Lorenzo, M.; Pereira, C.D.S.; Maranho, L.A.; Laforgia, V.; Capaldo, A. Aquatic Pollution and Risks to Biodiversity: The Example of Cocaine Effects on the Ovaries of Anguilla anguilla. Animals 2022, 12, 1766. https://doi.org/10.3390/ani12141766
Fontes MK, Rosati L, Di Lorenzo M, Pereira CDS, Maranho LA, Laforgia V, Capaldo A. Aquatic Pollution and Risks to Biodiversity: The Example of Cocaine Effects on the Ovaries of Anguilla anguilla. Animals. 2022; 12(14):1766. https://doi.org/10.3390/ani12141766
Chicago/Turabian StyleFontes, Mayana Karoline, Luigi Rosati, Mariana Di Lorenzo, Camilo Dias Seabra Pereira, Luciane Alves Maranho, Vincenza Laforgia, and Anna Capaldo. 2022. "Aquatic Pollution and Risks to Biodiversity: The Example of Cocaine Effects on the Ovaries of Anguilla anguilla" Animals 12, no. 14: 1766. https://doi.org/10.3390/ani12141766
APA StyleFontes, M. K., Rosati, L., Di Lorenzo, M., Pereira, C. D. S., Maranho, L. A., Laforgia, V., & Capaldo, A. (2022). Aquatic Pollution and Risks to Biodiversity: The Example of Cocaine Effects on the Ovaries of Anguilla anguilla. Animals, 12(14), 1766. https://doi.org/10.3390/ani12141766

