Dietary Supplementation with Fumaric Acid Improves Growth Performance in Nile Tilapia Juveniles
Simple Summary
Abstract
1. Introduction
2. Materials and Methods
2.1. Experimental Diets
2.2. Fish and General Procedures
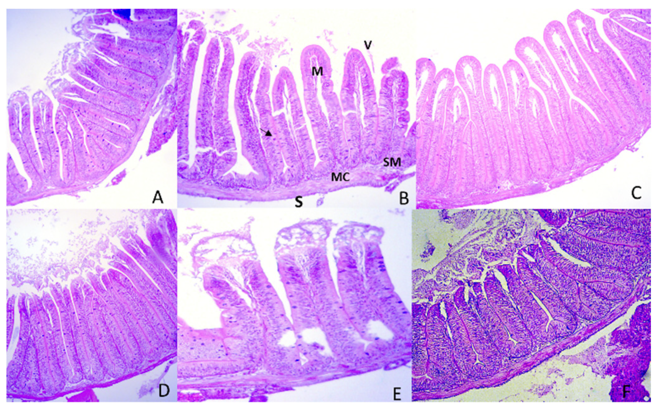
2.3. Microbiological and Histological Sampling and Processing
2.4. Proximate and Chemical Composition Analyses
2.5. Calculations and Statistical Procedures
3. Results
4. Discussion
5. Conclusions
Author Contributions
Funding
Institutional Review Board Statement
Data Availability Statement
Conflicts of Interest
References
- Butt, R.L.; Volkoff, H. Gut Microbiota and Energy Homeostasis in Fish. Front. Endocrinol. 2019, 10, 9. [Google Scholar] [CrossRef]
- Huyghebaert, G.; Ducatelle, R.; Van Immerseel, F. An update on alternatives to antimicrobial growth promoters for broilers. Vet. J. 2011, 187, 182–188. [Google Scholar] [CrossRef] [PubMed]
- Suiryanrayna, M.V.A.N.; Ramana, J.V. A review of the effects of dietary organic acids fed to swine. J. Anim. Sci. Biotechnol. 2015, 6, 45. [Google Scholar] [CrossRef] [PubMed]
- Freitag, M. Organic acids and salts promote performance and health in animal husbandry. In Acidifiers in Animal Nutrition: A Guide for Feed Preservation and Acidification to Promote Animal Performance; Lückstädt, C., Ed.; Nottinghan University Press: Nottingham, UK, 2009; pp. 1–12. [Google Scholar]
- Ng, W.-K.; Koh, C.-B. The utilization and mode of action of organic acids in the feeds of cultured aquatic animals. Rev. Aquac. 2016, 9, 342–368. [Google Scholar] [CrossRef]
- Rungruangsak, K.; Utne, F. Effect of different acidified wet feeds on protease activities in the digestive tract and on growth rate of rainbow trout (Salmo gairdneri Richardson). Aquaculture 1981, 22, 67–79. [Google Scholar] [CrossRef]
- Abdel-Tawwab, M.; Khattaby, A.E.-R.; Monier, M.N. Dietary acidifiers blend enhanced the production of Nile tilapia (Oreochromis niloticus), striped mullet (Mugil cephalus), and African catfish (Clarias gariepinus) polycultured in earthen ponds. Aquac. Int. 2019, 27, 369–379. [Google Scholar] [CrossRef]
- Addam, K.G.S.; Pereira, S.A.; Jesus, G.F.A.; Cardoso, L.; Syracuse, N.; Lopes, G.R.; Lehmann, N.B.; da Silva, B.C.; de Sá, L.S.; Chaves, F.C.M.; et al. Dietary organic acids blend alone or in combination with an essential oil on the survival, growth, gut/liver structure and de hemato-immunological in Nile tilapia Oreochromis niloticus. Aquac. Res. 2019, 50, 2960–2971. [Google Scholar] [CrossRef]
- Hassaan, M.S.; Soltan, M.A.; Jarmołowicz, S.; Abdo, H.S. Combined effects of dietary malic acid and Bacillus subtilison growth, gut microbiota and blood parameters of Nile tilapia (Oreochromis niloticus). Aquac. Nutr. 2018, 24, 83–93. [Google Scholar] [CrossRef]
- Huan, D.; Li, X.; Chowdhury, M.A.K.; Yang, H.; Liang, G.; Leng, X. Organic acid salts, protease and their combination in fish meal-free diets improved growth, nutrient retention and digestibility of tilapia (Oreochromis niloticus × O. aureus). Aquac. Nutr. 2018, 24, 1813–1821. [Google Scholar] [CrossRef]
- Vielma, J.; Ruohonen, K.; Lall, S.P. Supplemental citric acid and particle size of fish bone-meal influence the availability of minerals in rainbow trout Oncorhynchus mykiss (Walbaum). Aquac. Nutr. 1999, 5, 65–71. [Google Scholar] [CrossRef]
- Zhou, Z.; Liu, Y.; He, S.; Shi, P.; Gao, X.; Yao, B.; Ringø, E. Effects of dietary potassium diformate (KDF) on growth performance, feed conversion and intestinal bacterial community of hybrid tilapia (Oreochromis niloticus ♀×O. aureus ♂). Aquaculture 2009, 291, 89–94. [Google Scholar] [CrossRef]
- Romano, N.; Simon, W.; Ebrahimi, M.; Fadel, A.H.; Chong, C.M.; Kamarudin, M.S. Dietary sodium citrate improved oxidative stability in red hybrid tilapia (Oreochromis sp.) but reduced growth, health status, intestinal short chain fatty acids and induced liver damage. Aquaculture 2016, 458, 170–176. [Google Scholar] [CrossRef]
- Omosowone, O.; Dada, A.; Adeparusi, E. EFFECTS OF DIETARY SUPPLEMENTATION OF FUMARIC ACID ON GROWTH PERFORMANCE OF AFRICAN CATFISH Clarias gariepinus AND Aeromonas sobria CHALLENGE. Croat. J. Fish. 2015, 73, 13–19. [Google Scholar] [CrossRef]
- Omosowone, O.O.; Dada, A.A.; Adeparusi, E.O. Histological alterations in some organs of African catfish fed with fumaric acid supplemented diets. Int. J. Ecol. Environ. Stud. 2015, 3, 85–92. [Google Scholar]
- Zhu, Y.; Qiu, X.; Ding, Q.; Duan, M.; Wang, C. Combined effects of dietary phytase and organic acid on growth and phosphorus utilization of juvenile yellow catfish Pelteobagrus fulvidraco. Aquaculture 2014, 430, 1–8. [Google Scholar] [CrossRef]
- Partanen, K.H.; Mroz, Z. Organic acids for performance enhancement in pig diets. Nutr. Res. Rev. 1999, 12, 117–145. [Google Scholar] [CrossRef]
- Hanczakowska, E.; Szewczyk, A.; Okon, K. Caprylic, capric and/or fumaric acids as antibiotic replacements in piglet feed. Ann. Anim. Sci. 2011, 11, 115–124. [Google Scholar]
- Association of Official Analytical Chemists-AOAC. Official Methods of Analysis; Helrich, K., Ed.; Association of Official Analytical Chemists, Inc.: Arlington, VA, USA, 1990; Volume 1. [Google Scholar]
- Furuya, W.M.; Pezzato, L.E.; Barros, M.M.; Boscolo, W.R.; Cyrino, J.E.P.; Furuya, V.R.B.; Feiden, A. Tabelas Brasileiras Para A Nutrição de Tilápías; Furuya, W.M., Ed.; GFM: Toledo, PR, Brazil, 2010; ISBN 9788560308149. [Google Scholar]
- El-Sayed, A.-F.M. Tilapia Culture; CABI Publishing: Oxfordshire, UK, 2006; ISBN 9780851990149. [Google Scholar]
- Chen, Y.J.; Luo, L.; Zhang, G.Z.; Li, Z.; Bai, F.J.; Shi, Y.Q.; Yang, H.S. Effect of dietary L-malic acid supplementation on growth, feed utilization and digestive function of juvenile GIFT tilapia Oreochromis niloticus (Linnaeus, 1758). J. Appl. Ichthyol. 2016, 32, 1118–1123. [Google Scholar] [CrossRef]
- Shah, S.Z.H.; Afzal, M.; Khan, S.Y.; Hussain, S.M.; Habib, R.Z. Prospects of using citric acid as fish feed supplement. Int. J. Agric. Biol. 2015, 17, 1–8. [Google Scholar]
- Xie, S.; Zhang, L.; Wang, D. Effects of several organic acids on the feeding behavior of Tilapia nilotica. J. Appl. Ichthyol. 2003, 19, 255–257. [Google Scholar] [CrossRef]
- Chen, Y.-J.; Zhang, T.-Y.; Luo, L.; Shi, Y.-Q.; Bai, F.-J.; Jiang, D.-N. Impact of Dietary L-Malic Acid Supplementation on Growth, Feed Utilization, Ash Deposition, and Hepatic Lipid Metabolism of Juvenile Genetically Improved Farmed Tilapia, Oreochromis niloticus. J. World Aquac. Soc. 2016, 48, 563–573. [Google Scholar] [CrossRef]
- Prescott, L.M.; Harley, P.J.; Donald, A.K. Microbiology; The Macgraw-Hill Companies: Boston, MA, USA, 2002. [Google Scholar]
- Korsnes, K.; Nicolaisen, O.; Skår, C.K.; Nerland, A.H.; Bergh, Ø. Bacteria in the gut of juvenile cod Gadus morhua fed live feed enriched with four different commercial diets. ICES J. Mar. Sci. 2006, 63, 296–301. [Google Scholar] [CrossRef]
- Nayak, S.K. Role of gastrointestinal microbiota in fish. Aquac. Res. 2010, 41, 1553–1573. [Google Scholar] [CrossRef]
- Fjellheim, A.J.; Playfoot, K.J.; Skjermo, J.; Vadstein, O. Vibrionaceae dominates the microflora antagonistic towards Listonella anguillarum in the intestine of cultured Atlantic cod (Gadus morhua L.) larvae. Aquaculture 2007, 269, 98–106. [Google Scholar] [CrossRef]
- Ringø, E.; Sperstad, S.; Myklebust, R.; Refstie, S.; Krogdahl, Å. Characterisation of the microbiota associated with intestine of Atlantic cod (Gadus morhua L.). Aquaculture 2006, 261, 829–841. [Google Scholar] [CrossRef]
- Mine, S.; Boopathy, R. Effect of Organic Acids on Shrimp Pathogen, Vibrio harveyi. Curr. Microbiol. 2011, 63, 1–7. [Google Scholar] [CrossRef] [PubMed]
- Freney, J.; Husson, M.O.; Gavini, F.; Madier, S.; Martra, A.; Izard, D.; Leclerc, H.; Fleurette, J. Susceptibilities to antibiotics and antiseptics of new species of the family Enterobacteriaceae. Antimicrob. Agents Chemother. 1988, 32, 873–876. [Google Scholar] [CrossRef] [PubMed]
- Sabat, G.; Rose, P.; Hickey, W.J.; Harkin, J.M. Selective and Sensitive Method for PCR Amplification of Escherichia coli 16S rRNA Genes in Soil. Appl. Environ. Microbiol. 2000, 66, 844–849. [Google Scholar] [CrossRef]
- Stone, N.D.; O’Hara, C.M.; Williams, P.P.; McGowan, J.E.; Tenover, F.C. Comparison of Disk Diffusion, VITEK 2, and Broth Microdilution Antimicrobial Susceptibility Test Results for Unusual Species of Enterobacteriaceae. J. Clin. Microbiol. 2007, 45, 340–346. [Google Scholar] [CrossRef]
- Kluge, H.; Broz, J.; Eder, K. Effect of benzoic acid on growth performance, nutrient digestibility, nitrogen balance, gastrointestinal microflora and parameters of microbial metabolism in piglets. J. Anim. Physiol. Anim. Nutr. 2006, 90, 316–324. [Google Scholar] [CrossRef] [PubMed]




| Ingredient | Content (g/kg) |
|---|---|
| Soybean meal | 344.4 |
| Fish meal | 200.0 |
| Corn | 295.4 |
| Corn starch | 100.0 |
| Soybean oil | 20.0 |
| Fumaric acid | 0.00 |
| Cellulose | 30 |
| Vitamin-mineral premix 1 | 10.0 |
| BHT 2 | 0.20 |
| Analyzed chemical composition | |
| Moisture | 76.6 |
| Crude protein | 353.0 |
| Crude lipid | 115.4 |
| Ash | 81.9 |
| Calcium | 15.5 |
| Phosphorus | 11.2 |
| Digestible energy (kcal/g) 3 | 3.4 |
| Acid Fumaric Levels (g/kg) | ||||||
|---|---|---|---|---|---|---|
| Supplemented | 0 | 5 | 10 | 15 | 20 | 30 |
| Analyzed | 0.43 | 5.6 | 9.1 | 15.7 | 21.2 | 30.5 |
Publisher’s Note: MDPI stays neutral with regard to jurisdictional claims in published maps and institutional affiliations. |
© 2021 by the authors. Licensee MDPI, Basel, Switzerland. This article is an open access article distributed under the terms and conditions of the Creative Commons Attribution (CC BY) license (https://creativecommons.org/licenses/by/4.0/).
Share and Cite
das Neves, S.C.V.; da Silva, S.M.B.C.; Costa, G.K.A.; Correia, E.S.; Santos, A.L.; da Silva, L.C.R.; Bicudo, Á.J.A. Dietary Supplementation with Fumaric Acid Improves Growth Performance in Nile Tilapia Juveniles. Animals 2022, 12, 8. https://doi.org/10.3390/ani12010008
das Neves SCV, da Silva SMBC, Costa GKA, Correia ES, Santos AL, da Silva LCR, Bicudo ÁJA. Dietary Supplementation with Fumaric Acid Improves Growth Performance in Nile Tilapia Juveniles. Animals. 2022; 12(1):8. https://doi.org/10.3390/ani12010008
Chicago/Turabian Styledas Neves, Suzane C. V., Suzianny M. B. C. da Silva, Gisely K. A. Costa, Eudes S. Correia, Alexandre L. Santos, Lilian C. R. da Silva, and Álvaro J. A. Bicudo. 2022. "Dietary Supplementation with Fumaric Acid Improves Growth Performance in Nile Tilapia Juveniles" Animals 12, no. 1: 8. https://doi.org/10.3390/ani12010008
APA Styledas Neves, S. C. V., da Silva, S. M. B. C., Costa, G. K. A., Correia, E. S., Santos, A. L., da Silva, L. C. R., & Bicudo, Á. J. A. (2022). Dietary Supplementation with Fumaric Acid Improves Growth Performance in Nile Tilapia Juveniles. Animals, 12(1), 8. https://doi.org/10.3390/ani12010008

