Abnormal Prothrombin (PIVKA-II) Expression in Canine Tissues as an Indicator of Anticoagulant Poisoning
Abstract
:Simple Summary
Abstract
1. Introduction
2. Materials and Methods
2.1. Toxicological Analysis
2.2. Histological Examination
2.3. Immunohistochemistry
2.4. Statistical Analysis
3. Results
3.1. Toxicological Results
3.2. Necroscopical and Histological Evaluation
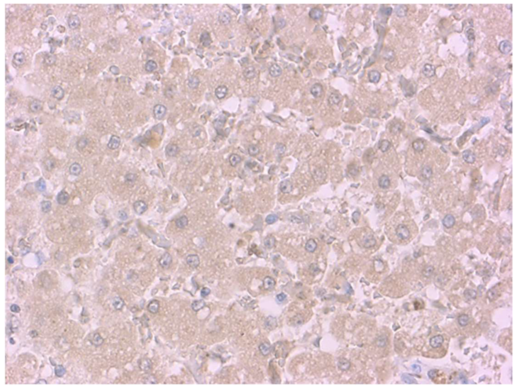
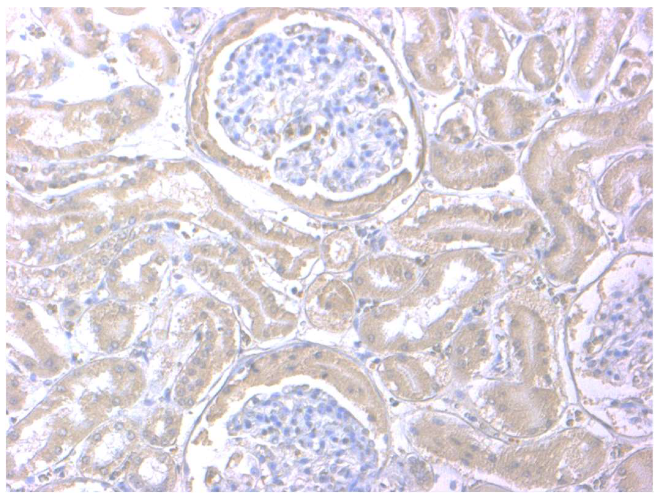
3.3. Immunohistochemistry
4. Discussion
5. Conclusions
6. Patents
Supplementary Materials
Author Contributions
Funding
Institutional Review Board Statement
Informed Consent Statement
Conflicts of Interest
References
- Cranenburg, E.C.M.; Schurgers, L.J.; Vermeer, C. Vitamin K: The coagulation vitamin that became omnipotent. Thromb. Haemost. 2007, 98, 120–125. [Google Scholar] [CrossRef] [PubMed] [Green Version]
 - Card, D.J.; Gorska, R.; Harrington, D.J. Laboratory assessment of vitamin K status. J. Clin. Pathol. 2019, 73, 70–75. [Google Scholar] [CrossRef] [PubMed]
 - Boos, J.; Pollmann, H.; Dominick, H.C. Vitamin K-dependent coagulation parameters during the first six days of life: Incidence of PIVKA II in newborns. Pediatr. Hematol. Oncol. 1989, 6, 113–119. [Google Scholar] [CrossRef] [PubMed]
 - Abdelhafez, O.M.; Amin, K.M.; Batran, R.; Maher, T.J.; Nada, S.A.; Sethumadhavan, S. Synthesis, anticoagulant and PIVKA-II induced by new 4-hydroxycoumarin derivatives. Bioorganic Med. Chem. 2010, 18, 3371–3378. [Google Scholar] [CrossRef] [PubMed]
 - Motohara, K.; Endo, F.; Matsuda, I. Effect of vitamin K administration on acarboxy prothrombin (PIVKA-II) levels in newborns. Lancet 1985, 326, 242–244. [Google Scholar] [CrossRef]
 - Kawaguchi, Y. Abnormal plasma prothrombin (PIVKA-II) levels in hepatocellular carcinoma. Jpn. J. Surg. 1989, 19, 296–300. [Google Scholar] [CrossRef]
 - Matsueda, K.; Yamamoto, H.; Yoshida, Y.; Notohara, K. Hepatoid carcinoma of the pancreas producing protein induced by vitamin K absence or antagonist II (PIVKA-II) and alpha-fetoprotein (AFP). J. Gastroenterol. 2006, 41, 1011–1019. [Google Scholar] [CrossRef] [PubMed]
 - Orita, K.; Sakamoto, A.; Okamoto, T.; Matsuda, S. Solitary Muscle Metastasis of Hepatocellular Carcinoma to the Biceps Femoris Muscle with Only Elevated Serum PIVKA-II: A Case Report. Am. J. Case Rep. 2019, 20, 306–309. [Google Scholar] [CrossRef]
 - Takahashi, Y.; Inoue, T. Des-gamma carboxy prothrombin (PIVKA-II) and alpha-fetoprotein producing gastric cancer with multiple liver metastases. Pathol. Int. 2003, 53, 236–240. [Google Scholar] [CrossRef]
 - Tartaglione, S.; Granato, T.; Anastasi, E.; Angeloni, A.; Marchese, C.; Manganaro, L.; Viggiani, V.; Zarrillo, S.R.; Pecorella, I. Protein Induced by Vitamin K Absence II (PIVKA-II) as a potential serological biomarker in pancreatic cancer: A pilot study. Biochem. Medica 2019, 29, 020707. [Google Scholar] [CrossRef] [PubMed]
 - Tsuchiya, N. Biomarkers for the early diagnosis of hepatocellular carcinoma. World J. Gastroenterol. 2015, 21, 10573–10583. [Google Scholar] [CrossRef] [PubMed]
 - Lim, T.S.; Kim, D.Y.; Han, K.-H.; Kim, H.-S.; Shin, S.H.; Jung, K.S.; Kim, B.K.; Kim, S.U.; Park, J.Y.; Ahn, S.H. Combined use of AFP, PIVKA-II, and AFP-L3 as tumor markers enhances diagnostic accuracy for hepatocellular carcinoma in cirrhotic patients. Scand. J. Gastroenterol. 2015, 51, 344–353. [Google Scholar] [CrossRef] [PubMed]
 - Brenner, B.; Kuperman, A.A.; Watzka, M.; Oldenburg, J. Vitamin K-dependent coagulation factors deficiency. Semin. Thromb. Hemost. 2009, 35, 439–446. [Google Scholar] [CrossRef] [PubMed]
 - Berny, P.; Caloni, F.; Croubels, S.; Sachana, M.; Vandenbroucke, V.; Davanzo, F.; Guitart, R. Animal poisoning in Europe. Part 2: Companion animals. Vet. J. 2010, 183, 255–259. [Google Scholar] [CrossRef]
 - Mount, M.E.; Kim, B.U.; Kass, P.H. Use of a test for proteins induced by vitamin K absence or antagonism in diagnosis of anticoagulant poisoning in dogs: 325 cases (1987–1997). J. Am. Vet. Med. Assoc. 2003, 222, 194–198. [Google Scholar] [CrossRef] [PubMed]
 - Di Blasio, A.; Bertolini, S.; Gili, M.; Avolio, R.; Leogrande, M.; Ostorero, F.; Ru, G.; Dondo, A.; Zoppi, S. Local context and environment as risk factors for acute poisoning in animals in northwest Italy. Sci. Total. Environ. 2020, 709, 136016. [Google Scholar] [CrossRef] [PubMed]
 - Ajisaka, H.; Shimizu, K.; Miwa, K. Immunohistochemical study of protein induced by vitamin K absence or antagonist II in hepatocellular carcinoma. J. Surg. Oncol. 2003, 84, 89–93. [Google Scholar] [CrossRef] [PubMed]
 - Arnesen, H.; Smith, P. The predictability of bleeding by prothrombin times sensitive or insensitive to PIVKA during intensive oral anticoagulation. Thromb. Res. 1991, 61, 311–314. [Google Scholar] [CrossRef]
 - Basile, U.; Miele, L.; Napodano, C.; Ciasca, G.; Gulli, F.; Pocino, K.; De Matthaeis, N.; Liguori, A.; De Magistris, A.; Marrone, G.; et al. The diagnostic performance of PIVKA-II in metabolic and viral hepatocellular carcinoma: A pilot study. Eur. Rev. Med. Pharmacol. Sci. 2020, 24, 12675–12685. [Google Scholar]
 - Heckemann, H.J.; Ruby, C.; Rossner, K. Simultaneous determination of functional coagulation factors and competitive (PIVKA-) inhibitors based on enzyme kinetics. Folia Haematol. Int. Mag. Klin Morphol. Blutforsch 1988, 115, 533–537. [Google Scholar]
 - Prins, M.; Schellens, C.; Van Leeuwen, M.; Rothuizen, J.; Teske, E. Coagulation disorders in dogs with hepatic disease. Vet. J. 2010, 185, 163–168. [Google Scholar] [CrossRef] [PubMed]
 - Miskad, U.A.; Yano, Y.; Nakaji, M.; Kishi, S.; Itoh, H.; Kim, S.R.; Ku, Y.; Kuroda, Y.; Hayashi, Y. Histological study of PIVKA-II expression in hepatocellular carcinoma and adenomatous hyperplasia. Pathol. Int. 2001, 51, 916–922. [Google Scholar] [CrossRef] [PubMed]
 - Center, S.A.; Warner, K.; Corbett, J.; Randolph, J.F.; Erb, H.N. Proteins invoked by vitamin K absence and clotting times in clinically ill cats. J. Vet. Intern. Med. 2000, 14, 292–297. [Google Scholar] [CrossRef] [PubMed]
 - Giger, U. Differing opinions on value of PIVKA test. J. Am. Vet. Med. Assoc. 2003, 222, 1070. [Google Scholar]
 - Ko, D.-H.; Hyun, J.; Kim, H.S.; Park, M.-J.; Kim, J.-S.; Park, J.-Y.; Shin, D.H.; Cho, H.C. Analytical and Clinical Performance Evaluation of the Abbott Architect PIVKA Assay. Ann. Clin. Lab. Sci. 2018, 48, 75–80. [Google Scholar]
 - Meguro, T.; Yamada, K. A simple and rapid test for PIVKA-II in plasma. Thromb. Res. 1982, 25, 109–114. [Google Scholar] [CrossRef]
 - Rutty, G.N.; Woolley, A.; Brookfield, C.; Shepherd, F.; Kitchen, S. The PIVKA II test: The first reliable coagulation test for autopsy investigations. Int. J. Legal Med. 2003, 117, 143–148. [Google Scholar] [CrossRef]
 



| Age (Years) | PIVKA-II IHC Results  | |||||
|---|---|---|---|---|---|---|
| Case n. | Gender | Toxicology | Cause of Death | Liver | Kidney | |
| 1 | 4 | Male | Brodifacum | Intoxication | + | + | 
| 2 | 7 | Male | Negative | Trauma | − | − | 
| 3 | 10 | Female | Negative | Pneumonia | − | − | 
| 4 | 1 | Male | Methomyl | Intoxication | − | − | 
| 5 | 1 | Female | Negative | Respiratory failure | − | − | 
| 6 | Adult | Male | Negative | DIC, gastric dilation | + | + | 
| 7 | Adult | Male | Bromadiolone | Intoxication | + | + | 
| 8 | Adult | Female | Strychnine | Intoxication | − | − | 
| 9 | Adult | Female | Negative | Haemangiosarcoma | − | − | 
| 10 | 2 | Female | Negative | Lymphoma | − | − | 
| 11 | 12 | Male | Brodifacum | Intoxication | + | + | 
| 12 | Adult | Female | Bromadiolone | Intoxication | + | + | 
| 13 | 5 | Male | Bromadiolone | Intoxication | − | + | 
| 14 | 1 | Female | Bromadiolone | Intoxication | + | + | 
| 15 | Adult | Male | Coumatetralyl | Intoxication | + | + | 
| 16 | 13 | Female | Brodifacum and bromadiolone | Intoxication | + | + | 
| 17 | Adult | Female | Negative | Cardiac tamponade | − | − | 
| 18 | Adult | Female | Brodifacum and bromadiolone | Intoxication | + | + | 
| 19 | Adult | Male | Brodifacum and bromadiolone | Intoxication | + | + | 
| 20 | Adult | Male | Coumatetralyl and brodifacum | Intoxication | + | + | 
| 21 | Adult | Female | Negative | Renal Failure | − | − | 
| 22 | Adult | Female | Negative | Hepatic Failure | + | − | 
| 23 | Adult | Male | Negative | Haemangiosarcoma | − | − | 
| 24 | Adult | Female | Negative | DIC, septic shock | + | + | 
| 25 | Adult | Male | Embutramide | Intoxication | − | − | 
| 26 | 2 | Male | Negative | Renal failure | − | − | 
| 27 | Adult | Female | Negative | Cardiac failure | − | − | 
| 28 | Adult | Male | Alphachloralose | Intoxication | − | − | 
| 29 | 1 | Male | Negative | Hypovolemic shock | − | − | 
| 30 | Adult | Female | Negative | Squamous cell carcinoma | − | − | 
| 31 | Adult | Female | Brodifacum | Intoxication | + | + | 
| 32 | Adult | Male | Negative | DIC due to massive Strongylosis | + | + | 
| 33 | Adult | Female | Negative | Shock during surgery | − | − | 
| 34 | Adult | Female | Negative | DIC, septic shock | + | + | 
| 35 | Adult | Male | Negative | DIC, septic shock | + | + | 
| 36 | Adult | Male | Negative | Respiratory failure | − | − | 
| 37 | Adult | Female | Brodifacum | Intoxication | + | + | 
| 38 | Adult | Female | Brodifacum | Intoxication | + | + | 
| 39 | Adult | Female | Brodifacum and bromadiolone | Intoxication | + | + | 
| 40 | Adult | Female | Negative | Hepatic failure | + | − | 
| 41 | Adult | Male | Negative | Hepatic failure | + | − | 
| 42 | Adult | Female | Negative | Cardiac failure | − | − | 
| 43 | Adult | Male | Negative | DIC, septic shock | + | + | 
| 44 | Adult | Female | Negative | Renal failure | − | − | 
| 45 | Adult | Female | Negative | DIC, septic shock | + | + | 
| 46 | 6 | Female | Negative | Lymphoma | − | − | 
| 47 | Adult | Male | Negative | Hepatic failure with haemorrages | + | − | 
| 48 | Adult | Female | Brodifacum | Intoxication | + | + | 
| 49 | 1 | Male | Negative | Haemangiosarcoma | − | − | 
| 50 | 1 | Male | Negative | Parvovirus infection | − | − | 
| 51 | Adult | Female | Negative | Pulmonary thrombosis | − | − | 
| 52 | Adult | Female | Negative | DIC, septic shock | + | + | 
| 53 | Adult | Male | Negative | Haemangiosarcoma | − | − | 
| 54 | Adult | Male | Negative | Haemangiosarcoma | − | − | 
| 55 | Adult | Female | Negative | Haemangiosarcoma | − | − | 
| 56 | Adult | Female | Negative | Haemangiosarcoma | − | − | 
| 57 | Adult | Male | Negative | Haemangiosarcoma | − | − | 
| 58 | Adult | Female | Negative | Haemangiosarcoma | − | − | 
| 59 | Adult | Female | Negative | Haemangiosarcoma | − | − | 
| 60 | Adult | Male | Negative | Haemangiosarcoma | − | − | 
| 61 | Adult | Female | Negative | Haemangiosarcoma | − | − | 
| Case n. | Toxicology | Type of Substance | 
|---|---|---|
| 1 | Brodifacum | Anticoagulant | 
| 4 | Methomyl | Neurotoxic Insecticide | 
| 7 | Bromadiolone | Anticoagulant | 
| 8 | Strychnine | Neurotoxic | 
| 11 | Brodifacum | Anticoagulant | 
| 12 | Bromadiolone | Anticoagulant | 
| 13 | Bromadiolone | Anticoagulant | 
| 14 | Bromadiolone | Anticoagulant | 
| 15 | Coumatetralyl | Anticoagulant | 
| 16 | Brodifacum and bromadiolone | Anticoagulant | 
| 18 | Brodifacum and bromadiolone | Anticoagulant | 
| 19 | Brodifacum and bromadiolone | Anticoagulant | 
| 20 | Coumatetralyl and brodifacum | Anticoagulant | 
| 25 | Embutramide | Opioid | 
| 28 | Alphachloralose | Narcotic | 
| 31 | Brodifacum | Anticoagulant | 
| 37 | Brodifacum | Anticoagulant | 
| 38 | Brodifacum | Anticoagulant | 
| 39 | Brodifacum and bromadiolone | Anticoagulant | 
| 48 | Brodifacum | Anticoagulant | 
| PIVKA-II n. Positive Cases | ||
|---|---|---|
| Liver | Kidney | |
| Anticoagulant + | 15/16 | 16/16 | 
| Anticoagulant − | 12/45 | 8/45 | 
| Total | 27/61 | 24/61 | 
Publisher’s Note: MDPI stays neutral with regard to jurisdictional claims in published maps and institutional affiliations.  | 
© 2021 by the authors. Licensee MDPI, Basel, Switzerland. This article is an open access article distributed under the terms and conditions of the Creative Commons Attribution (CC BY) license (https://creativecommons.org/licenses/by/4.0/).
Share and Cite
Maniscalco, L.; Varello, K.; Zoppi, S.; Abbamonte, G.; Ferrero, M.; Torres, E.; Ostorero, F.; Rossi, F.; Bozzetta, E. Abnormal Prothrombin (PIVKA-II) Expression in Canine Tissues as an Indicator of Anticoagulant Poisoning. Animals 2021, 11, 2612. https://doi.org/10.3390/ani11092612
Maniscalco L, Varello K, Zoppi S, Abbamonte G, Ferrero M, Torres E, Ostorero F, Rossi F, Bozzetta E. Abnormal Prothrombin (PIVKA-II) Expression in Canine Tissues as an Indicator of Anticoagulant Poisoning. Animals. 2021; 11(9):2612. https://doi.org/10.3390/ani11092612
Chicago/Turabian StyleManiscalco, Lorella, Katia Varello, Simona Zoppi, Giuseppina Abbamonte, Marta Ferrero, Elena Torres, Federica Ostorero, Francesca Rossi, and Elena Bozzetta. 2021. "Abnormal Prothrombin (PIVKA-II) Expression in Canine Tissues as an Indicator of Anticoagulant Poisoning" Animals 11, no. 9: 2612. https://doi.org/10.3390/ani11092612
APA StyleManiscalco, L., Varello, K., Zoppi, S., Abbamonte, G., Ferrero, M., Torres, E., Ostorero, F., Rossi, F., & Bozzetta, E. (2021). Abnormal Prothrombin (PIVKA-II) Expression in Canine Tissues as an Indicator of Anticoagulant Poisoning. Animals, 11(9), 2612. https://doi.org/10.3390/ani11092612
        
                                                
