Steroidogenic Enzyme and Steroid Receptor Expression in the Equine Accessory Sex Glands
Abstract
Simple Summary
Abstract
1. Introduction
2. Materials and Methods
2.1. Tissue Collection
2.2. qPCR Analysis
2.3. Immunohistochemistry
2.4. Histology
2.5. Quantitative Analysis of Immunohistochemistry
2.6. Statistical Analysis
| Genes (Locus) | Primer Sequence | Ref. | 
|---|---|---|
| AR (XM 01504865.1) | Forward: 5′-AGCTGCCATCCACTCTGTCT-3′ | [11] | 
| Reverse: 3′-TGATAAACTGCTGCCTCGTC-5′ | ||
| ESR1 (NM 001081772) | Forward: 5′-TCCATGGAGCACCCAGGAAAGC-3′ | [16] | 
| Reverse: 3′-CGGAGCCGAGATGACGTAGCC-3′ | ||
| ESR2 (XM 001915519) | Forward: 5′-TCCTGAATGCTGTGACCGAC-3′ | [16] | 
| Reverse: 3′-GTGCCTGACGTGAGAAAGGA-3′ | ||
| HSD3B1 (D89666.1) | Forward: 5′-AGCAAATACCATGAGCACGA-3′ | [3] | 
| Reverse: 3′-TAACGTGGGCATCTTGTGAA-5′ | ||
| CYP17 (GenBank# D30688.1) | Forward: 5′-GCATGCCTGGACTTACTGATCC-3′ | [3] | 
| Reverse: 3′-CTGGGCCAGTGTTGTTATTG-5′ | ||
| CYP19 (Horse Genome #AF031520.1) | Forward: 5′-CCACATCATGAAACACGATCA-3′ | [3] | 
| Reverse: 3′-TACTGCAACCCAAATGTGCT-5′ | 
3. Results
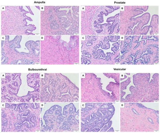
3.1. Histological Assessment of Accessory Sex Glands
3.2. Androgen Receptor
3.3. Estrogen Receptor 1
3.4. Estrogen Receptor 2
3.5. Steroidogenic Enzymes
4. Discussion
5. Conclusions
Author Contributions
Funding
Institutional Review Board Statement
Data Availability Statement
Conflicts of Interest
References
- Chernier, T.S. Anatomy and Physical Examination of the stallion. In Equine Breeding Management and Artificial Insemination; Samper, J.C., Ed.; W.B. Saunders: Philadelphia, PA, USA, 2009; pp. 2–15. [Google Scholar]
 - Pozor, M.A.; McDonnell, S.M. Ultrasonographic measurements of accessory sex glands, ampullae, and urethra of normal stallions of various size types. Theriogenology 2002, 58, 1425–1433. [Google Scholar] [CrossRef]
 - Almeida, J.; Conley, A.J.; Mathewson, L.; Ball, B.A. Expression of steroidogenic enzymes during equine testicular development. Reproduction 2011, 141, 841–848. [Google Scholar] [CrossRef]
 - Ellem, S.J.; Risbridger, G.P. Aromatase and regulating the estrogen: Androgen ratio in the prostate gland. J. Steroid Biochem. Mol. Biol. 2010, 118, 246–251. [Google Scholar] [CrossRef] [PubMed]
 - Gallardo, F.; Mogas, T.; Baró, T.; Rabanal, R.; Morote, J.; Abal, M.; Reventós, J.; Lloreta, J. Expression of androgen, oestrogen α and β, and progesterone receptors in the canine prostate: Differences between normal, inflamed, hyperplastic and neoplastic glands. J. Comp. Pathol. 2007, 136, 1–8. [Google Scholar] [CrossRef] [PubMed]
 - Knobbe, M.; Levine, D.; Habecker, P.; Getman, L.; Beech, J.; Turner, R. Prostatic Masses in Geldings: Two Cases. J. Equine Vet. Sci. 2012, 32, 628–633. [Google Scholar] [CrossRef]
 - Hess, R.; Carnes, K. The role of estrogen in testis and the male reproductive tract: A review and species comparison. Anim. Reprod. 2004, 1, 5–30. [Google Scholar]
 - Teng, C.T.; Gladwell, W.; Beard, C.; Walmer, D.; Teng, C.S.; Brenner, R. Lactoferrin gene expression is estrogen responsive in human and rhesus monkey endometrium. Mol. Hum. Reprod. 2002, 8, 58–67. [Google Scholar] [CrossRef]
 - Pearl, C.A.; Roser, J.F. Lactoferrin expression and secretion in the stallion epididymis. Reprod. Biol. 2014, 14, 148–154. [Google Scholar] [CrossRef]
 - Parlevliet, J.M.; Pearl, C.A.; Hess, M.F.; Famula, T.R.; Roser, J.F. Immunolocalization of estrogen and androgen receptors and steroid concentrations in the stallion epididymis. Theriogenology 2006, 66, 755–765. [Google Scholar] [CrossRef]
 - Almeida, J.; Conley, A.J.; Ball, B.A. Expression of anti-Müllerian hormone, CDKN1B, connexin 43, androgen receptor and steroidogenic enzymes in the equine cryptorchid testis. Equine Vet. J. 2013, 45, 538–545. [Google Scholar] [CrossRef] [PubMed]
 - Livak, K.J.; Schmittgen, T.D. Analysis of relative gene expression data using real-time quantitative PCR and the 2-ΔΔCT method. Methods 2001, 25, 402–408. [Google Scholar] [CrossRef] [PubMed]
 - Pearl, C.A.; Mason, H.; Roser, J.F. Immunolocalization of estrogen receptor alpha, estrogen receptor beta and androgen receptor in the pre-, peri- and post-pubertal stallion testis. Anim. Reprod. Sci. 2011, 125, 103–111. [Google Scholar] [CrossRef]
 - Shu, J.; Dolman, G.E.; Duan, J.; Qiu, G.; Ilyas, M. Statistical colour models: An automated digital image analysis method for quantification of histological biomarkers. Biomed. Eng. Online 2016, 15, 1–16. [Google Scholar] [CrossRef]
 - R Core Team. R: A Language and Environment for Statistical Computing; R Core Team: Vienna, Austria, 2020. [Google Scholar]
 - Silva, E.S.M.; Scoggin, K.E.; Canisso, I.F.; Troedsson, M.H.T.; Squires, E.L.; Ball, B.A. Expression of receptors for ovarian steroids and prostaglandin E2 in the endometrium and myometrium of mares during estrus, diestrus and early pregnancy. Anim. Reprod. Sci. 2014, 151, 169–181. [Google Scholar] [CrossRef]
 - Zhu, L.J.; Hardy, M.P.; Inigo, I.V.; Huhtaniemi, I.; Bardin, C.W.; Moo-Young, A.J. Effects of androgen on androgen receptor expression in rat testicular and epididymal cells: A quantitative immunohistochemical study. Biol. Reprod. 2000, 63, 368–376. [Google Scholar] [CrossRef] [PubMed]
 - Goyal, H.O.; Bartol, F.F.; Wiley, A.A.; Khalil, M.K.; Williams, C.S.; Vig, M.M. Regulation of androgen and estrogen receptors in male excurrent ducts of the goat: An immunohistochemical study. Anat. Rec. 1998, 250, 164–171. [Google Scholar] [CrossRef]
 - Ezer, N.; Robaire, B. Androgenic regulation of the structure and function of the epididymis. In The Epididymis: From Molecules to Clinical Practice; Robaire, B., Hinton, H., Eds.; Kluwer Academic/Plenum Publishers: New York, NY, USA, 2002; pp. 297–316. [Google Scholar]
 - Gallardo, F.; Lloreta, J.; García, F.; Moll, X.; Baró, T.; González, L.A.; Morote, J.; Reventos, J.; Mogas, T. Immunolocalization of androgen receptors, estrogen α receptors, and estrogen β receptors in experimentally induced canine prostatic hyperplasia. J. Androl. 2009, 30, 240–247. [Google Scholar] [CrossRef]
 - Forti, G.; Salerno, R.; Moneti, G.; Zoppi, S.; Fiorelli, G.; Marinoni, T.; Natali, A.; Costantini, A.; Serio, M.; Martini, L. Three-month treatment with a long-acting gonadotropin-releasing hormone agonist of patients with benign prostatic hyperplasia: Effects on tissue androgen concentration, 5 alpha-reductase activity and androgen receptor content. J. Clin. Endocrinol. Metab. 1989, 68, 461–468. [Google Scholar] [CrossRef]
 - Huang, J.K.; Bartsch, W.; Voigt, K.D. Interactions of an anti-androgen (cyproterone acetate) with the androgen receptor system and its biological action in the rat ventral prostate. Acta. Endocrinol. 1985, 109, 569–576. [Google Scholar] [CrossRef]
 - Murakoshi, M.; Tagawa, M.; Ikeda, R.; Nakayama, T.; Ishimura, K. Histopathological and immunohistochemical studies of the effect of antiandrogen, chlormadinone acetate (CMA), on canine spontaneous benign prostatic hyperplasia (BPH). J. Toxicol. Pathol. 2000, 13, 29–35. [Google Scholar] [CrossRef][Green Version]
 - Sar, M.; Welsch, F. Oestrogen receptor alpha and beta in rat prostate and epididymis. Andrologia 2000, 32, 295–301. [Google Scholar] [CrossRef]
 - Savolainen, S.; Pakarainen, T.; Huhtaniemi, I.; Poutanen, M.; Mäkelä, S. Delay of postnatal maturation sensitizes the mouse prostate to testosterone-induced pronounced hyperplasia: Protective role of estrogen receptor-β. Am. J. Pathol. 2007, 171, 1013–1022. [Google Scholar] [CrossRef]
 - Lemazurier, E.; Sourdaine, P.; Nativelle, C.; Plainfossé, B.; Séralini, G.E. Aromatase gene expression in the stallion. Mol. Cell. Endocrinol. 2001, 178, 133–139. [Google Scholar] [CrossRef]
 - Hess, M.F.; Roser, J.F. Immunocytochemical localization of cytochrome P450 aromatase in the testis of prepubertal, pubertal, and postpubertal horses. Theriogenology 2004, 61, 293–299. [Google Scholar] [CrossRef]
 - Brodie, A.; Son, C.; King, D.; Meyer, K.; Inkster, S. Lack of evidence for aromatase in human prostatic tissues: Effects of 4-hydroxyandrostenedione and other inhibitors on androgen metabolism: Editorial comment. Cancer Res. 1989, 49, 6551–6555. [Google Scholar] [PubMed]
 - Negri-Cesi, P.; Poletti, A.; Colciago, A.; Magni, P.; Martini, P.; Motta, M. Presence of 5α-Reductase isozymes and aromatase in human prostate cancer cells and in benign prostate hyperplastic tissue. Prostate 1998, 34, 283–291. [Google Scholar] [CrossRef]
 - Stone, N.N.; Laudone, V.P.; Fair, W.R.; Fishman, J. Aromatization of androstenedione to estrogen by benign prostatic hyperplasia, prostate cancer and expressed prostatic secretions. Urol. Res. 1987, 15, 165–167. [Google Scholar] [CrossRef] [PubMed]
 - Hiramatsu, M.; Maehara, I.; Ozaki, M.; Harada, N.; Orikasa, S.; Sasano, H. Aromatase in hyperplasia and carcinoma of the human prostate. Prostate 1997, 31, 118–124. [Google Scholar] [CrossRef]
 - Tsugaya, M.; Harada, N.; Tozawa, K.; Yamada, Y.; Hayashi, Y.; Tanaka, S.; Maruyama, K.; Kohri, K. Aromatase mRNA levels in benign prostatic hyperplasia and prostate cancer. Int. J. Urol. 1996, 3, 292–296. [Google Scholar] [CrossRef]
 - Matzkin, H.; Soloway, M.S. Immunohistochemical evidence of the existence and localization of aromatase in human prostatic tissues. Prostate 1992, 21, 309–314. [Google Scholar] [CrossRef] [PubMed]
 - Ellem, S.J.; Schmitt, J.F.; Pedersen, J.S.; Frydenberg, M.; Risbridger, G.P. Local aromatase expression in human prostate is altered in malignancy. J. Clin. Endocrinol. Metab. 2004, 89, 2434–2441. [Google Scholar] [CrossRef] [PubMed]
 - Hwang, K.; Choi, J.; Bian, S.; Ayala, G.; Khera, M.; Lipschultz, L.; Lamb, L.; Delores, J. Steroidogenic potential of adult mouse and humanprostate and penis. J. Urol. 2011, 185, e364. [Google Scholar] [CrossRef]
 






| AR | ||||
|---|---|---|---|---|
| Fetus | Colt | Gelding | Stallion | |
| Ampulla | 73.9 ± 25.1 a | 63.6 ± 10.1 a | 64.8 ± 3.8 ab | 56.6 ± 3.3 b | 
| Bulbourethral | 83.2 ± 9.9 a | 58.8 ± 11.1 b | 69.4 ± 0.6 b | 65.7 ± 13.0 ab | 
| Prostate | 67.4 ± 18.7 a | 50.4 ± 10.6 b | 75.2 ± 17.3 a | 68.0 ± 13.7 a | 
| Vesicular | 56.7 ± 8.6 ab | 48.5 ± 10.0 ab | 41.6 ± 25.9 a | 55.4 ± 4.6 b | 
| ER-α | ||||
| Fetus | Colt | Gelding | Stallion | |
| Ampulla | 23.3 ± 8.7 ab | 21.3 ± 8.7 a | 28.8 ± 8.8 b | 46.5 ± 8.8 c | 
| Bulbourethral | 35.0 ± 10.6 | 31.7 ± 21.2 | 38.5 ± 12.7 | 38.8 ± 19.2 | 
| Prostate | 21.5 ± 11.9 a | 14.0 ± 8.6 a | 16.4 ± 6.0 a | 31.0 ± 4.2 b | 
| Vesicular | 19.5 ± 4.9 b | 16.3 ± 5.0 b | 17.5 ± 5.8 b | 40.3 ± 11.3 a | 
| ER-β | ||||
| Fetus | Colt | Gelding | Stallion | |
| Ampulla | 64.7 ± 23.5 | 63.3 ± 18.6 | 64.3 ± 2.4 | 67.2 ± 10.6 | 
| Bulbourethral | 55.8 ± 3.4 a | 60.8 ± 7.1 b | 64.2 ± 3.8 b | 70.2 ± 9.7 b | 
| Prostate | 44.0 ± 28.3 a | 43.2 ± 26.5 ab | 56.4 ± 15.4 b | 67.0 ± 17.5 c | 
| Vesicular | 22.9 ± 13.1 a | 42.4 ± 15.6 a | 25.4 ± 16.0 a | 62.6 ± 16.7 b | 
Publisher’s Note: MDPI stays neutral with regard to jurisdictional claims in published maps and institutional affiliations.  | 
© 2021 by the authors. Licensee MDPI, Basel, Switzerland. This article is an open access article distributed under the terms and conditions of the Creative Commons Attribution (CC BY) license (https://creativecommons.org/licenses/by/4.0/).
Share and Cite
Ellerbrock, R.E.; Podico, G.; Scoggin, K.E.; Ball, B.A.; Carossino, M.; Canisso, I.F. Steroidogenic Enzyme and Steroid Receptor Expression in the Equine Accessory Sex Glands. Animals 2021, 11, 2322. https://doi.org/10.3390/ani11082322
Ellerbrock RE, Podico G, Scoggin KE, Ball BA, Carossino M, Canisso IF. Steroidogenic Enzyme and Steroid Receptor Expression in the Equine Accessory Sex Glands. Animals. 2021; 11(8):2322. https://doi.org/10.3390/ani11082322
Chicago/Turabian StyleEllerbrock, Robyn E., Giorgia Podico, Kirsten E. Scoggin, Barry A. Ball, Mariano Carossino, and Igor F. Canisso. 2021. "Steroidogenic Enzyme and Steroid Receptor Expression in the Equine Accessory Sex Glands" Animals 11, no. 8: 2322. https://doi.org/10.3390/ani11082322
APA StyleEllerbrock, R. E., Podico, G., Scoggin, K. E., Ball, B. A., Carossino, M., & Canisso, I. F. (2021). Steroidogenic Enzyme and Steroid Receptor Expression in the Equine Accessory Sex Glands. Animals, 11(8), 2322. https://doi.org/10.3390/ani11082322
        
