Effect of Nanosilica and Bentonite as Mycotoxins Adsorbent Agent in Broiler Chickens’ Diet on Growth Performance and Hepatic Histopathology
Abstract
:Simple Summary
Abstract
1. Introduction
2. Materials and Methods
2.1. Ethical Approval
2.2. Experimental Chickens, Design, and Management
2.3. Materials of Histological Examination
2.4. Adsorbing Agent Sources
2.5. Body Weight, Body Weight Gain, Feed Intake, Feed Conversion Ratio, and Slaughter Traits
2.6. Statistical Analysis
3. Results
3.1. Detection of Dietary Mycotoxins
3.2. Growth Performance
3.3. Carcass Characteristics
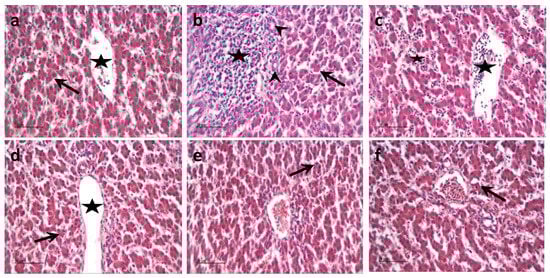
3.4. Histological Findings
4. Discussion
5. Conclusions
Author Contributions
Funding
Institutional Review Board Statement
Data Availability Statement
Conflicts of Interest
References
- Bryden, W.L. Mycotoxin contamination of the feed supply chain: Implications for animal productivity and feed security. Anim. Feed Sci. Technol. 2012, 173, 134–158. [Google Scholar] [CrossRef]
- Horky, P.; Skalickova, S.; Baholet, D.; Skladanka, J. Nanoparticles as a solution for eliminating the risk of mycotoxins, Nanomaterials. J. Nanomater. 2018, 8, 727. [Google Scholar] [CrossRef] [Green Version]
- Wang, Y.; Zhao, C.; Zhang, D.; Zhao, M.; Zheng, D.; Peng, M.; Cui, Z. Simultaneous degradation of aflatoxin B1 and zearalenone by a microbial consortium. Toxicon 2018, 146, 69–76. [Google Scholar] [CrossRef] [PubMed]
- Vila-Donat, P.; Marín, S.; Sanchis, V.; Ramos, J.A. New mycotoxin adsorbents based on tri-octahedral bentonites for animal feed. Anim. Feed Sci. Technol. 2019, 255, 114228. [Google Scholar] [CrossRef]
- Huwig, A.; Freimund, S.; Käppeli, O.; Dutler, H. Mycotoxin detoxication of animal feed by different adsorbents. Toxicol. Lett. 2001, 122, 179–188. [Google Scholar] [CrossRef]
- Lozano, M.C.; Diaz, G.J. Microsomal and cytosolic biotransformation of aflatoxin B1 in four poultry species. Br. Poult. Sci. 2006, 47, 734–741. [Google Scholar] [CrossRef] [PubMed]
- Zhu, Y.; Hassan, Y.I.; Watts, C.; Zhou, T. Innovative technologies for the mitigation of mycotoxins in animal feed and ingredients. A review of recent patents. Anim. Feed Sci. Technol. 2017, 216, 19–29. [Google Scholar] [CrossRef]
- Arana, S.; Dagli, M.; Sabino, M.; Tabata, Y.A.; Rigolino, M.G.; Hernandez-Blazquez, F.J. Evaluation of the efficacy of hydrated sodium aluminosilicate in the prevention of aflatoxin-induced hepatic cancer in rainbow trout. Pesqui. Veterinária Bras. 2011, 31, 751–755. [Google Scholar] [CrossRef] [Green Version]
- Pozzo, M.D.; Viegas, J.; Kozloski, G.V.; Stefanello, C.M.; Silveira, A.M.; Bayer, C.; Santurio, J.M. The effect of mycotoxins ad-sorbents beta glucans or montmorillonite on bovine ruminal fermentation in vitro. Acta Sci.Vet. 2016, 44, 1342. [Google Scholar]
- Swain, P.S.; Rao, S.B.N.; Rajendran, D.; Dominic, G.; Selvaraju, S. Nano zinc, an alternative to conventional zinc as animal feed supplement: A review. Anim. Nutr. 2016, 2, 134–141. [Google Scholar] [CrossRef]
- Jeevanandam, J.; Barhoum, A.; Chan, Y.S.; Dufresne, A.; Danquah, M.K. Review on nanoparticles and nanostructured materials: History, sources, toxicity, and regulations. Beilstein J. Nanotechnol. 2018, 9, 1050–1074. [Google Scholar] [CrossRef] [Green Version]
- Wagner, S.; Gondikas, A.; Neubauer, E.; Hofmann, T.; von der Kammer, F. Spot the Difference: Engineered and Natural Nanoparticles in the Environment-Release, Behavior, and Fate. Angew. Chem. Int. Ed. 2014, 53, 12398–12419. [Google Scholar] [CrossRef] [PubMed]
- Bailey, C.A.; Latimer, G.W.; Barr, A.C.; Wigle, W.L.; Haq, A.U.; Balthrop, J.E. Efficacy of Montmorillonite Clay (NovaSil PLUS) for Protecting Full-Term Broilers from Aflatoxicosis. J. Appl. Poult. Res. 2006, 15, 198–206. [Google Scholar] [CrossRef]
- Xia, M.S.; Hu, C.H.; Xu, Z.R. Effects of copper-bearing montmorillonite on growth performance, digestive enzyme activities, and intestinal microflora and morphology of male broilers. Poult. Sci. 2004, 83, 1868–1875. [Google Scholar] [CrossRef] [PubMed]
- Pappas, A.C.; Zoidis, E.; Theophilou, N.; Zervas, G.; Fegeros, K. Effects of palygorskite on broiler performance, feed technological characteristics, and litter quality. Appl. Clay Sci. 2010, 49, 276–280. [Google Scholar] [CrossRef]
- Wu, Q.J.; Zhou, Y.M.; Wu, Y.N.; Zhang, L.L.; Wang, T. The effects of natural and modified clinoptilolite on intestinal barrier function and immune response to LPS in broiler chickens. Vet. Immunol. Immunopathol. 2013, 153, 70–76. [Google Scholar] [CrossRef]
- Ouhida, I.; Perez, J.F.; Gasa, J.; Puchal, F. Enzymes (β-glucanase and arabinoxylanase) and/or sepiolite supplementation and the nutritive value of maize-barley-wheat based diets for broiler chickens. Br. Poult. Sci. 2000, 41, 617–624. [Google Scholar] [CrossRef]
- Bancroft, J.D.; Gamble, M. Theory and Practice of Histological Techniques. Histopathology 1990, 34, 384–385. [Google Scholar] [CrossRef]
- Al-Sayed, E.; Michel, H.E.; Khattab, M.A.; El-Shazly, M.; Singab, A.N. Protective Role of Casuarinin from Melaleuca leucadendra against Ethanol-Induced Gastric Ulcer in Rats. Planta Med. 2020, 86, 32–44. [Google Scholar] [CrossRef] [PubMed]
- Carmona, V.B.; Oliveira, R.M.; Silva, W.T.L.; Mattoso, L.H.C.; Marconcini, J.M. Nanosilica from rice husk: Extraction and characterization. Ind. Crops Prod. 2013, 43, 291–296. [Google Scholar] [CrossRef]
- Statistical Analysis System (SAS). SAS User’s Guide: Statistics; Version 9.1; SAS Inst. Inc.: Cary, NC, USA, 2010. [Google Scholar]
- Duncan, D.B. Multiple Range and Multiple F Tests. Biom. JSTOR 1955, 11, 1. [Google Scholar] [CrossRef]
- European Commission (EC) No 435. Amending Annex I to Council Regulation (EC) No 1234/2007 (Single CMO Regulation) as Regards Certain Codes of the Combined Nomenclature. In Single Common Market Organisation; Nomos Verlagsgesellschaft mbH and Co. KG: Baden, Germany, 2009; pp. 1032–1033. [Google Scholar] [CrossRef]
- Chkuaseli, A.; Khutsishvili, M.M.; Chagelishvili, A.; Natsvaladze, K.; Lashkarashvili, T. Chagelishvili, G. Application of new mycotoxin adsorbent-bentonite clay “Askangel” in poultry feed. Ann. Agrar. Sci. 2016, 14, 295–298. [Google Scholar] [CrossRef]
- Parizadian, K.B.; Shams, S.M.; Hassani, S.; Mostafalo, Y. Effects of physical sizes of clinoptilolite on protein efficiency ratio, intestinal morphology and growth indices of broilers. Iran. J. Appl. Anim. Sci. 2014, 4, 165–172. [Google Scholar]
- Du, M.; Chen, Y.; Cheng, Y.; Wen, C.; Wang, W.; Wang., A. A comparison study on the effects of dietary conventional and ultra-fine ground palygorskite supplementation on the growth performance and digestive function of broiler chickens. Appl. Clay Sci. 2019, 181, 105211. [Google Scholar] [CrossRef]
- Lala, A.O.; Oso, A.O.; Ajao, A.; Idowu, O.M.; Oni, O.O. Effect of supplementation with molecular or nano-clay adsorbent on growth performance and haematological indices of starter and grower turkeys fed diets contaminated with varying dosages of aflatoxin B1. Livest. Sci. 2015, 178, 209–215. [Google Scholar] [CrossRef]
- Wu, Q.J.; Wang, L.C.; Zhou, Y.M.; Zhang, J.F.; Wang, T. Effects of clinoptilolite and modified clinoptilolite on the growth performance, intestinal microflora, and gut parameters of broilers. Poult. Sci. 2013, 92, 684–692. [Google Scholar] [CrossRef]
- Katouli, M.S.; Boldaji, F.; Dastar, B.; Hassani, S. The effect of dietary silicate minerals supplementation on apparent ileal digestibility of energy and protein in broiler chickens. Int. J. Agric. Biol. 2012, 14, 299–302. [Google Scholar]
- Saleemi, M.K.; Ashraf, K.; Gul, S.T.; Naseem, M.N.; Sajid, M.S.; Mohsin, M. Toxicopathological effects of feeding aflatoxins B1 in broilers and its ameliosration with indigenous mycotoxin binder. Ecotoxicol. Environ. Saf. 2020, 187, 109712. [Google Scholar] [CrossRef] [PubMed]
- Zhao, J.; Shirley, R.B.; Dibner, J.D.; Uraizee, F.; Officer, M.; Kitchell, M.; Vazquez-Anon, M.; Knig, C.D. Comparison of hydrated sodium calcium aluminosilicate and yeast cell wall on counteracting aflatoxicosis in broiler chicks. Poult. Sci. 2010, 89, 2147–2156. [Google Scholar] [CrossRef]
- Pasha, T.N.; Farooq, M.U.; Khattak, F.M.; Jabbar, M.A.; Khan, A.D. Effectiveness of sodium bentonite and two commercial products as aflatoxin absorbents in diets for broiler chickens. Anim. Feed Sci. Technol. 2007, 132, 103–110. [Google Scholar] [CrossRef]
- Shabani, A.; Dastar, B.; Khomeiri, M.; Shabanpour, B.; Hassani, S. Response of Broiler Chickens to Different Levels of Nanozeolite During Experimental Aflatoxicosis. J. Biol. Sci. 2010, 10, 362–367. [Google Scholar] [CrossRef] [Green Version]
- Pappas, A.C.; Tsiplakou, E.; Georgiadou, M.; Anagnostopoulos, C.; Markoglou, A.N.; Liapis, K. Bentonite binders in the presence of mycotoxins: Results of in vitro preliminary tests and an in vivo broiler trial. Appl. Clay Sci. 2014, 99, 48–53. [Google Scholar] [CrossRef]
- Hassan, A.A.; Hafsa, S.H.A.; Elghandour, M.M.M.Y.; Reddy, P.R.K.; Monroy, J.C.; Salem, A.Z.M. Dietary Supplementation with sodium bentonite and coumarin alleviates the toxicity of aflatoxin B1 in rabbits. Toxicon 2019, 171, 35–42. [Google Scholar] [CrossRef]
- Denli, M.; Blandon, J.C.; Guynot, M.E.; Salado, S.; Perez, J.F. Effects of dietary AflaDetox on performance, serum biochemistry, histopathological changes, and aflatoxin residues in broilers exposed to aflatoxin B1. Poult. Sci. 2009, 88, 1444–1451. [Google Scholar] [CrossRef] [PubMed]
- Mgbeahuruike, A.C.; Ejioffor, T.E.; Christian, O.C.; Shoyinka, V.C.; Karlsson, M.; Nordkvist, E. Detoxification of Aflatoxin-Contaminated Poultry Feeds by 3 Adsorbents, Bentonite, Activated Charcoal, and Fuller’s Earth. J. Appl. Poult. Res. 2018, 27, 461–471. [Google Scholar] [CrossRef]
- Miazzo, R.; Peralta, M.F.; Magnoli, C.; Salvano, M.; Ferrero, S.; Chiacchiera, S.M.; Carvalho, E.C.; Rosa, C.A.; Dalcero, A. Efficacy of sodium bentonite as a detoxifier of broiler feed contaminated with aflatoxin and fumonisin. Poult. Sci. 2005, 84, 1–8. [Google Scholar] [CrossRef]

| Ingredients | Starter | Grower | Finisher |
|---|---|---|---|
| (1–14 Days) | (15–28 Days) | (29–35 Days) | |
| Yellow corn | 51.90 | 57.31 | 62.25 |
| Soybean meal 44% | 34.99 | 29.60 | 24.25 |
| Corn gluten meal 60% | 5.00 | 5.00 | 5.00 |
| Soybean oil | 3.28 | 3.82 | 4.45 |
| Limestone | 1.85 | 1.50 | 1.40 |
| Mono calcium phosphate | 1.45 | 1.30 | 1.20 |
| Vitamins and minerals premix 2 | 0.30 | 0.30 | 0.30 |
| DL-methionine | 0.28 | 0.24 | 0.22 |
| L-lysine hydrochloride | 0.31 | 0.30 | 0.32 |
| L-threonine | 0.09 | 0.08 | 0.06 |
| Sodium chloride | 0.35 | 0.35 | 0.35 |
| Choline chloride 60% | 0.10 | 0.10 | 0.10 |
| Sodium bicarbonate | 0.10 | 0.10 | 0.10 |
| Total % | 100% | 100% | 100% |
| Calculated Composition 3 | |||
| Crude protein (%) | 23.00 | 21.00 | 19.00 |
| Metabolizable energy (Kcal/kg) | 3000 | 3100 | 3200 |
| Crude fiber (%) | 3.75 | 3.48 | 3.20 |
| Crude fat (%) | 5.65 | 6.35 | 7.13 |
| Calcium (%) | 1.00 | 0.87 | 0.80 |
| Available phosphorus (%) | 0.48 | 0.44 | 0.40 |
| Lysine (%) | 1.44 | 1.29 | 1.16 |
| Methionine (%) | 0.50 | 0.51 | 0.47 |
| Methionine + cystine (%) | 1.08 | 0.99 | 0.91 |
| Threonine (%) | 0.97 | 0.88 | 0.78 |
| Sodium (%) | 0.20 | 0.20 | 0.20 |
| Dietary Group | AFB1 (ppb/kg) | OA (ppb/kg) | T2 (ppb/kg) | FB (mg/kg) |
|---|---|---|---|---|
| Starter | 35.33 | 120 | 74 | 120 |
| Grower | 37.25 | 173 | 88 | 135 |
| Finisher | 39.22 | 190 | 92 | 220 |
| Items | Nanosilica Levels | |||||||
|---|---|---|---|---|---|---|---|---|
| Control | 0.05% | 0.10% | 0.15% | 0.20% | Bentonite 0.50% | SEM | p-Values | |
| Body Weight (BW), g/bird | ||||||||
| 7 d | 175.7 | 175.7 | 175.7 | 175.7 | 175.7 | 175.7 | 0.08 | ns |
| 14 d | 419.3 d | 429.3 c | 441.3 b | 441.7 b | 451.3 a | 416.0 d | 1.50 | <0.050 |
| 21 d | 844.0 c | 873.3 b | 874.0 b | 878.0 b | 896.0 a | 848.7 c | 2.94 | <0.050 |
| 28 d | 1397.7 c | 1395.3 c | 1398.3 c | 1465.0 b | 1497.3 a | 1394.0 c | 3.39 | <0.050 |
| 35 d | 1925.0 d | 1977.0 c | 1975.0 c | 2032.3 b | 2061.0 a | 2013.7 b | 9.02 | <0.050 |
| Body Weight Gain (BWG), g/bird | ||||||||
| 7–14 d | 244.3 d | 253.7 c | 265.7 b | 266.0 b | 275.7 a | 240.3 d | 1.54 | <0.050 |
| 15–21 d | 424.7 c | 444.3 a | 432.7 b | 436.3 b | 445.0 a | 432.7 b | 2.45 | <0.050 |
| 22–28 d | 554.0 c | 522.3 e | 524.3 e | 587.3 b | 601.3 a | 545.7 d | 2.84 | <0.050 |
| 29–35 d | 527.3 c | 581.7 b | 576.7 b | 567.3 b | 563.7 b | 619.7 a | 5.98 | <0.050 |
| 7–35 d | 1750.0 d | 1801.3 c | 1799.3 c | 1856.7 b | 1885.3 a | 1838.0 b | 9.03 | <0.050 |
| Feed Intake (FI), g/bird | ||||||||
| 7–14 d | 281.0 d | 288.0 c | 282.7 cd | 305.3 a | 295.3 b | 277.0 d | 1.93 | <0.050 |
| 15–21 d | 570.3 a | 572.3 a | 567.3 b | 573.0 a | 566.7 bc | 564.3 c | 0.99 | <0.050 |
| 22–28 d | 832.0 d | 844.3 a | 838.0 c | 840.7 b | 843.3 a | 845.3 a | 0.73 | <0.050 |
| 29–35 d | 1092.7 b | 1069.0 c | 1062.7 d | 1070.7 c | 1056.0 e | 1106.7 a | 1.36 | <0.050 |
| 7–35 d | 2775.3 b | 2772.7 b | 2750.0 d | 2789.3 a | 2761.0 c | 2792.3 a | 3.19 | <0.050 |
| Feed Conversion Ratio (FCR) | ||||||||
| 7–14 d | 1.150 a | 1.136 a | 1.066 b | 1.146 a | 1.073 b | 1.153 a | 0.009 | <0.050 |
| 15–21 d | 1.356 a | 1.290 c | 1.316 b | 1.313 b | 1.273 d | 1.306 bc | 0.007 | <0.050 |
| 22–28 d | 1.500 c | 1.620 a | 1.603 a | 1.430 d | 1.403 e | 1.550 b | 0.008 | <0.050 |
| 29–35 d | 2.083 a | 1.840 bc | 1.840 bc | 1.896 b | 1.886 b | 1.795 c | 0.020 | <0.050 |
| 7–35 d | 1.590 a | 1.540 b | 1.530 b | 1.503 c | 1.466 d | 1.520 bc | 0.008 | <0.050 |
| Treatments | Carcass (%) | Liver (%) | Heart (%) | Gizzard (%) | Spleen (%) | Abd. Fat (%) | Bursa (%) | Thymus (%) |
|---|---|---|---|---|---|---|---|---|
| Control | 73.00 | 2.30 | 0.47 | 1.95 | 0.11 | 0.45 | 0.21 | 0.37 |
| NS 0.05% | 73.33 | 2.31 | 0.48 | 2.17 | 0.14 | 0.42 | 0.22 | 0.30 |
| NS 0.10% | 74.95 | 2.41 | 0.50 | 2.11 | 0.12 | 0.59 | 0.23 | 0.35 |
| NS 0.15% | 72.47 | 2.25 | 0.60 | 2.17 | 0.14 | 0.67 | 0.22 | 0.39 |
| NS 0.20% | 73.10 | 2.36 | 0.60 | 2.21 | 0.12 | 0.56 | 0.18 | 0.29 |
| Bentonite 0.50% | 74.14 | 2.11 | 0.62 | 1.93 | 0.13 | 0.46 | 0.24 | 0.29 |
| SEM | 2.50 | 0.41 | 0.05 | 0.25 | 0.03 | 0.09 | 0.01 | 0.03 |
| p-Values | ns * | ns | ns | ns | ns | ns | ns | ns |
| Treatments | Degenerative Changes of Hepatocytes | Inflammatory CellsInfiltration | Hepatic Vasculatures/ Sinusoidal Diltation | Proliferation of Bile Ducts |
|---|---|---|---|---|
| Control | + | - | - | - |
| NS 0.05% | + | ++ | - | ++ |
| NS 0.10% | + | + | +++ | - |
| NS 0.15% | + | - | + | - |
| NS 0.20% | + | - | - | - |
| Bentonite 0.50% | + | - | - | - |
Publisher’s Note: MDPI stays neutral with regard to jurisdictional claims in published maps and institutional affiliations. |
© 2021 by the authors. Licensee MDPI, Basel, Switzerland. This article is an open access article distributed under the terms and conditions of the Creative Commons Attribution (CC BY) license (https://creativecommons.org/licenses/by/4.0/).
Share and Cite
Ghazalah, A.A.; Abd-Elsamee, M.O.; Moustafa, K.E.M.E.; Khattab, M.A.; Rehan, A.-E.A.A. Effect of Nanosilica and Bentonite as Mycotoxins Adsorbent Agent in Broiler Chickens’ Diet on Growth Performance and Hepatic Histopathology. Animals 2021, 11, 2129. https://doi.org/10.3390/ani11072129
Ghazalah AA, Abd-Elsamee MO, Moustafa KEME, Khattab MA, Rehan A-EAA. Effect of Nanosilica and Bentonite as Mycotoxins Adsorbent Agent in Broiler Chickens’ Diet on Growth Performance and Hepatic Histopathology. Animals. 2021; 11(7):2129. https://doi.org/10.3390/ani11072129
Chicago/Turabian StyleGhazalah, Abdallah A., Mamduh O. Abd-Elsamee, Kout Elkloub M. E. Moustafa, Mohamed Abdelrazik Khattab, and Abd-Elrahim A. A. Rehan. 2021. "Effect of Nanosilica and Bentonite as Mycotoxins Adsorbent Agent in Broiler Chickens’ Diet on Growth Performance and Hepatic Histopathology" Animals 11, no. 7: 2129. https://doi.org/10.3390/ani11072129
APA StyleGhazalah, A. A., Abd-Elsamee, M. O., Moustafa, K. E. M. E., Khattab, M. A., & Rehan, A.-E. A. A. (2021). Effect of Nanosilica and Bentonite as Mycotoxins Adsorbent Agent in Broiler Chickens’ Diet on Growth Performance and Hepatic Histopathology. Animals, 11(7), 2129. https://doi.org/10.3390/ani11072129

