The Effect of Single and Triple Testicular Biopsy Using Biopty Gun on Spermatogenesis in Pubertal Rats
Abstract
Simple Summary
Abstract
1. Introduction
2. Materials and Methods
2.1. Experimental Animals
2.2. Surgery
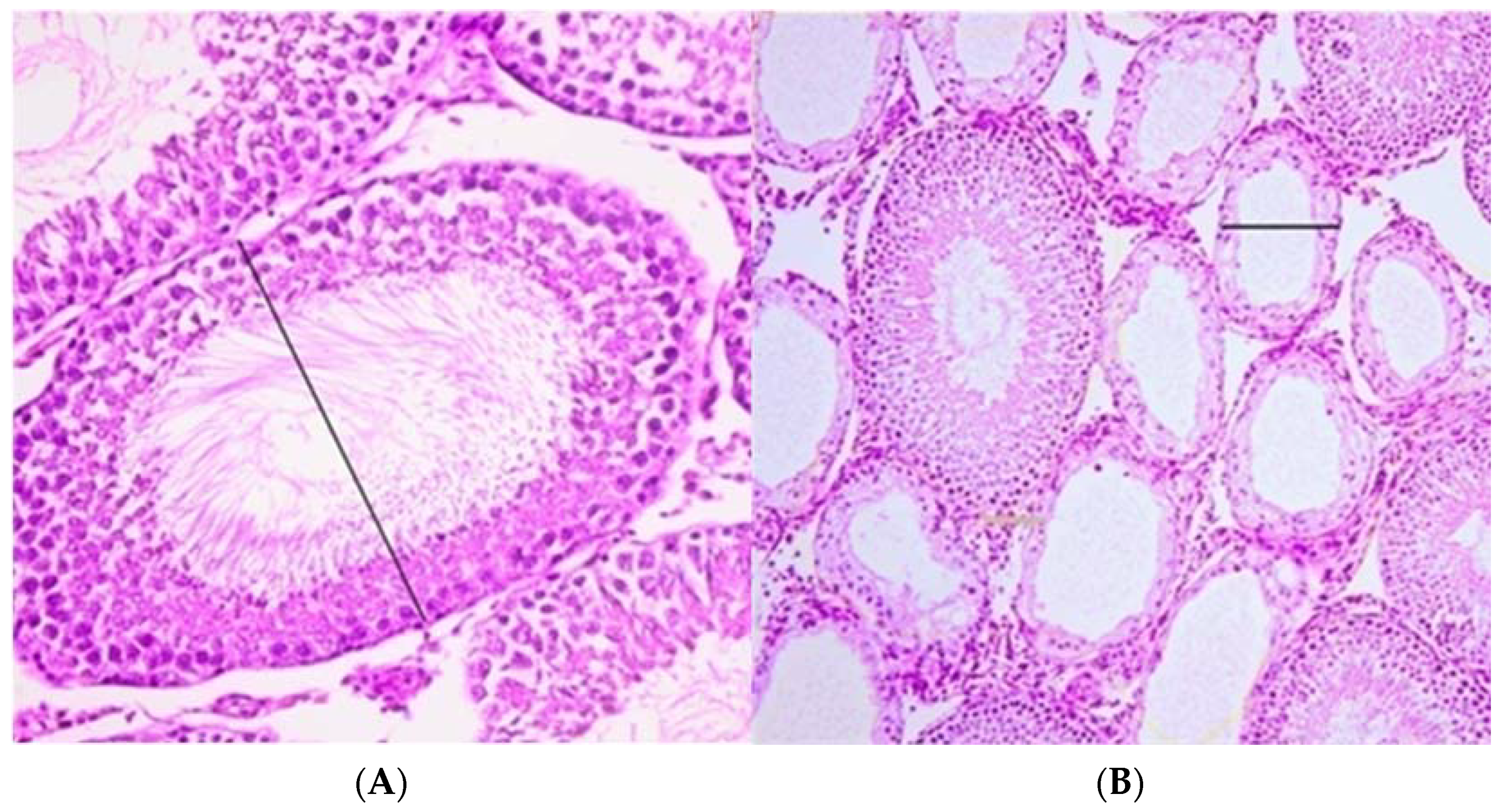
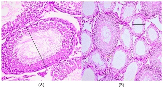
2.3. Histological Analysis
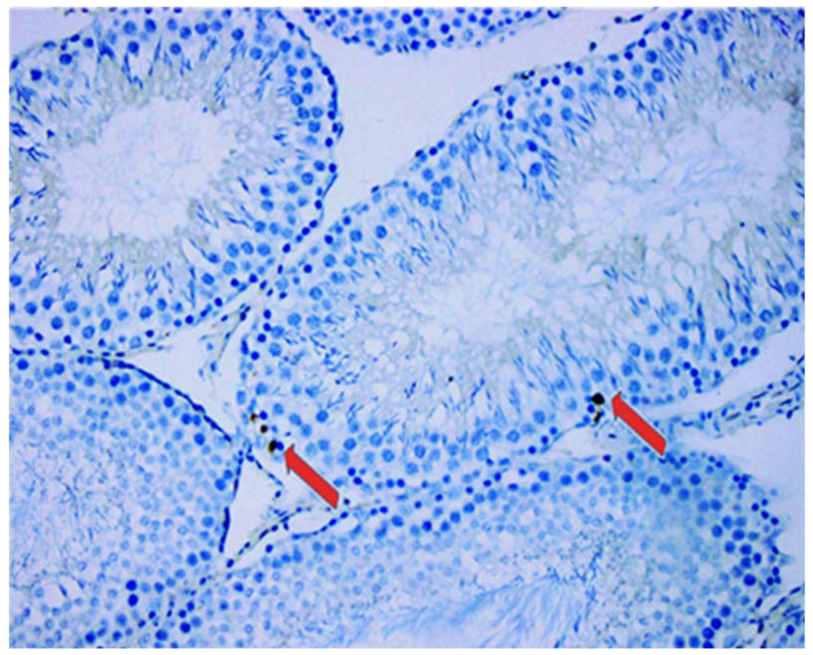
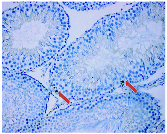
2.4. Immunohistochemistry
2.5. Sperm Extraction for Analysis of Sperm Count, Motility and Morphology
2.6. Statistical Analysis
3. Results
4. Discussion
5. Conclusions
Author Contributions
Funding
Institutional Review Board Statement
Data Availability Statement
Conflicts of Interest
References
- Kang, C.; Punjani, N.; Schlegel, P.N. Reproductive chances of men with azoospermia due to spermatogenic dysfunction. J. Clin. Med. 2021, 10, 1400. [Google Scholar] [CrossRef]
- Pogorelić, Z.; Sopta, M.; Jukić, M.; Nevešćanin, A.; Jurić, I.; Furlan, D. Laparoscopic varicocelectomy using polymeric ligating clips and its effect on semen parameters in pediatric population with symptomatic varicocele: A 5-year single surgeon experience. J. Laparoendosc. Adv. Surg. Tech. A 2017, 27, 1318–1325. [Google Scholar] [CrossRef] [PubMed]
- Nakane, A.; Kojima, Y.; Hayashi, Y.; Kurokawa, S.; Mizuno, K.; Kohri, K. Effect of testicular biopsy in childhood on spermatogenesis, fertility, and paternity in adulthood—A mouse model study. Urology 2005, 66, 682–686. [Google Scholar] [CrossRef] [PubMed]
- Uygur, M.C.; Arik, A.I.; Erol, D.; Ozer, E.; Ustün, H. Quantitative evaluation of biopty gun testis needle biopsy. Correlation between biopsy score of varicocele-bearing testis and sperm count. J. Reprod. Med. 1999, 44, 445–449. [Google Scholar]
- Faure, A.; Bouty, A.; O’Brien, M.; Thorup, J.; Hutson, J.; Heloury, Y. Testicular biopsy in prepubertal boys: A worthwhile minor surgical procedure? Nat. Rev. Urol. 2016, 13, 141–150. [Google Scholar] [CrossRef]
- Elzanaty, S. Varicocele repair in non-obstructive azoospermic men: Diagnostic value of testicular biopsy—A meta-analysis. Scand. J. Urol. 2014, 48, 494–498. [Google Scholar] [CrossRef] [PubMed]
- Kessaris, D.N.; Wasserman, P.; Mellinger, B.C. Histopathological and cytopathological correlations of percutaneous testis biopsy and open testis biopsy in infertile men. J. Urol. 1995, 153, 1151–1155. [Google Scholar] [CrossRef]
- Morey, A.F.; Deshon, G.E., Jr.; Rozanski, T.A.; Dresner, M.L. Technique of biopty gun testis needle biopsy. Urology 1993, 42, 325–326. [Google Scholar] [CrossRef]
- Cito, G.; Coccia, M.E.; Sessa, F.; Cocci, A.; Verrienti, P.; Picone, R.; Fucci, R.; Criscuoli, L.; Serni, S.; Carini, M.; et al. Testicular Fine-Needle Aspiration for Sperm Retrieval in Azoospermia: A Small Step toward the Technical Standardization. World J. Men’s Health 2019, 37, 55–67. [Google Scholar] [CrossRef]
- Carpi, A.; Fabris, F.G.; Todeschini, G.; Nardini, V. Large-needle percutaneous aspiration biopsy of the testicle in men with nonobstructive azoospermia. Fertil. Steril. 2006, 86, 464–465. [Google Scholar] [CrossRef]
- Rajfer, J.; Binder, S. Use of biopty gun for transcutaneous testicular biopsies. J. Urol. 1989, 142, 1021–1022. [Google Scholar] [CrossRef]
- Lee, A.P.; Roth, M.Y.; Nya-Ngatchou, J.J.; Lin, K.; Walsh, T.J.; Page, S.T.; Matsumoto, A.M.; Bremner, W.J.; Amory, J.K.; Anawalt, B.D. Testicular fine-needle aspiration for the assessment of intratesticular hormone concentrations. Asian J. Androl. 2016, 18, 21–24. [Google Scholar]
- Cohen, M.S.; Frye, S.; Warner, R.S.; Leiter, E. Testicular needle biopsy in diagnosis of infertility. Urology 1984, 24, 439–442. [Google Scholar] [CrossRef]
- Ramanathan, S.; Dogra, V. Current status of percutaneous testicular biopsy for focal lesions. Abdom. Radiol. 2018, 43, 3125–3131. [Google Scholar] [CrossRef]
- Schlegel, P.N.; Su, L.M. Physiological consequences of testicular sperm extraction. Hum. Reprod. 1997, 12, 1688–1692. [Google Scholar] [CrossRef]
- Altay, B.; Hekimgil, M.; Kefi, A.; Girgin, C.; Cikili, N. A comparison of the histopathological findings after open and percutaneous needle testicular biopsy in adult male rats. BJU Int. 2000, 86, 1084–1087. [Google Scholar] [CrossRef] [PubMed]
- Shufaro, Y.; Prus, D.; Laufer, N.; Simon, A. Impact of repeated testicular fine needle aspirations (TEFNA) and testicular sperm extraction (TESE) on the microscopic morphology of the testis: An animal model. Hum. Reprod. 2002, 17, 1795–1799. [Google Scholar] [CrossRef] [PubMed]
- Stampfli, M.; Hadziselimovic, F. The effect of needle biopsy procedure on prepubertal rat testis. Eur. J. Pediatr Surg. 1991, 1, 36–39. [Google Scholar] [CrossRef]
- Johnsen, S.G. Testicular biopsy score count-a method for registration of spermatogenesis in human testes: Normal values and results in 335 hypogonadal males. Hormones 1970, 1, 2–25. [Google Scholar] [CrossRef]
- Dohle, G.R.; Elzanaty, S.; van Casteren, N.J. Testicular biopsy: Clinical practice and interpretation. Asian J. Androl. 2012, 14, 88–93. [Google Scholar] [CrossRef] [PubMed]
- Todorić, D.; Durdov, M.G.; Tandara, M.; Čapkun, V.; Jurić, I.; Biočić, M.; Meštrović, J.; Pogorelić, Z. Influence of open testicular biopsy in prepubertal rats on rats' adulthood fertility with correlation to serum levels of inhibin B and follicle stimulating hormone. J. Pediatr. Urol. 2014, 10, 1063–1069. [Google Scholar] [CrossRef]
- Pogorelić, Z.; Jurić, I.; Biočić, M.; Furlan, D.; Budimir, D.; Todorić, J.; Milunović, K.P. Management of testicular rupture after blunt trauma in children. Pediatr. Surg. Int. 2011, 27, 885–889. [Google Scholar] [CrossRef]
- Jukic, M.; Todoric, M.; Todoric, J.; Susnjar, T.; Pogorelic, Z. Laparoscopic versus open high ligation for adolescent varicocele: A 6-year single center study. Indian Pediatr. 2019, 56, 653–658. [Google Scholar] [CrossRef]
- Pogorelic, Z.; Neumann, C.; Jukic, M. An unusual presentation of testicular torsion in children: A single—Centre retrospective study. Can. J. Urol. 2019, 26, 10026–10032. [Google Scholar] [PubMed]
- Pogorelić, Z.; Mrklić, I.; Jurić, I.; Biočić, M.; Furlan, D. Testicular torsion in the inguinal canal in children. J. Pediatr. Urol. 2013, 9, 793–797. [Google Scholar] [CrossRef] [PubMed]
- Cosentino, M.J.; Sheinfeld, J.; Erturk, E.; Cockett, A.T. The effect of graded unilateral testicular biopsy on the reproductive capacity of male rats. J. Urol. 1986, 135, 155–158. [Google Scholar] [CrossRef]
- Gul, S.B.; Polat, A.V.; Bekci, T.; Selcuk, M.B. Accuracy of percutaneous CT-guided spine biopsy and determinants of biopsy success. J. Belg. Soc. Radiol. 2016, 100, 62. [Google Scholar]
- Rohländer, M.; Otzen, H.; Rode, K.; Jung, K.; Schmicke, M.; Harborth, T.; Langeheine, M.; Brehm, R.; Bajcsy, Á.C. Histological comparison of testicular needle biopsy and en bloc samples in abattoir calves. Animals 2020, 10, 918. [Google Scholar] [CrossRef]
- Odabaş, O.; Uğraş, S.; Yilmaz, Y.; Aydin, S.; Atilla, M.K. Testicular needle biopsy: Is it a safe and adequate method? Int. Urol. Nephrol. 1997, 29, 591–595. [Google Scholar] [CrossRef]
- Murshidi, M.M.; Choy, J.T.; Eisenberg, M.L. Male infertility and somatic health. Urol. Clin. N. Am. 2020, 47, 211–217. [Google Scholar] [CrossRef]











| Groups Variables | Single and Triple-Biopsy | Single-Biopsy and Control | Triple-Biopsy and Control | |||||||
|---|---|---|---|---|---|---|---|---|---|---|
| Statistical Analysis | Median (IQR) or Mean ± SD | Post-Hoc Test | Median (IQR) or Mean ± SD | Post-Hoc Test | Median (IQR) or Mean ± SD | Post-Hoc Test | ||||
| Volume (mL) | H = 15.6; p < 0.001 a | 2.28 (2.25–2.29) | 1.7 (1.71–1.81) | z = 3.6; p < 0.01 d | 2.28 (2.25–2.29) | 2.39 (2.29–2.71) | z = 2.1 p = 0.052 d | 1.7 (1.71–1.81) | 2.39 (2.29–2.71) | z = 4.8 p < 0.001 d | 
| Sperm count (mill/mL) | H = 6.5; p < 0.05 a | 16 (15.75–17.25) | 14.5 (13.25–15.75) | z = 1.9; p = 0.13 d | 16 (15.75–17.25) | 17.5 (16.25–18.75) | z = 2.6 p = 0.380 d | 14.5 (13.25–15.75) | 17.5 (16.25–18.75) | z = 2.6 p = 0.05 d | 
| Sperm motility (%) | (F = 3.1; p > 0.05) * F = 1.5; p > 0.05 b | 32.7 ± 15.8 | 24.6 ± 18.4 | - | 32.7 ± 15.8 | 35.4 ± 7.6 | - | 24.6 ± 18.4 | 35.4 ± 7.6 | - | 
| Abnormal sperm (%) | H = 4.3; df = 2; p > 0.05 a | 27 (25.5–29) | 30 (28–33.5) | - | 27 (25.5–29) | 31 (28.5–35.5) | - | 30 (28–33.5) | 31 (28.5–35.5) | - | 
| Apoptotic index | (F = 4.9; p < 0.05) * F = 11.2; p < 0.01 c | 1.19 ± 1.04 | 1.56 ± 0.9 | t = 0.89; p = 0.65 e | 1.19 ± 1.04 | 0.36 ± 0.19 | t = 2.72 p = 0.015 e | 1.56 ± 0.9 | 0.36 ± 0.19 | t = 4.1 p < 0.01 e | 
| Atrophic tubules (%) | H = 26.9; p < 0.001 a | 6 (3.75–7.25) | 21 (14.75–27.5) | z = 5.5; p < 0.001 d | 6 (3.75–7.25) | 0 | z = 9.8; df = 11; p < 0.001 d | 21 (14.75–27.5) | 0 | z = 15.6 p < 0.001 d | 
| Johnsen score | H = 25.2; p < 0.001 a | 3 (3–4) | 3(3–3) | z = 2.54; p < 0.05 d | 3 (3–4) | 10 (8–10) | z = 8.2 p < 0.001 d | 3(3–3) | 10 (8–10) | z = 14.9 p < 0.001 d | 
| Group Variables | Single-Biopsy | Triple-Biopsy | ||||
|---|---|---|---|---|---|---|
| Median (IQR) or Mean ± SD | p | Median (IQR) or Mean ± SD | p | |||
| Left Testis | Right Testis | Left Testis | Right Testis | |||
| Volume (mL) | 2.28 (2.25–2.29) | 2.28 (2.28–2.52) | 0.36 | 1.74 ± 0.44 | 2.38 ± 0.33 | <0.01 | 
| Sperm count (mill/mL) | 16.7 ± 2.64 | 16.5 ± 2.39 | 0.87 | 14.5 (13.25–15.75) | 15.25 (13.25–17.5) | 0.47 | 
| Sperm motility (%) | 32.7 ± 15.8 | 34.6 ± 18.1 | 0.79 | 24.6 ± 18.4 | 29.1 ± 17.6 | 0.58 | 
| Abnormal sperm (%) | 28 ± 4 | 27.8 ± 5.1 | 0.93 | 30 (28–33.5) | 31 (26.5–34) | 0.85 | 
| Apoptotic index | 1.19 ± 1.04 | 0.59 ± 0.29 | 0.08 | 1.56 ± 0.9 | 0.63 ± 0.38 | 0.01 | 
| Atrophic tubules (%) | 6 (3.75–7.25) | 0 (0–0.4) | <0.001 | 21 (14.75–27.5) | 0 (0–0.23) | <0.001 | 
| Johnsen score | 3 (3–4) | 10(6.5–10) | <0.001 | 3 (3–3) | 10 (7.25–10) | <0.001 | 
| Publisher’s Note: MDPI stays neutral with regard to jurisdictional claims in published maps and institutional affiliations. | 
© 2021 by the authors. Licensee MDPI, Basel, Switzerland. This article is an open access article distributed under the terms and conditions of the Creative Commons Attribution (CC BY) license (https://creativecommons.org/licenses/by/4.0/).
Share and Cite
Šušnjar, T.; Kuzmić Prusac, I.; Švagelj, I.; Jurišić, A.; Šušnjar, T.; Jurišić, A.; Jukić, M.; Pogorelić, Z. The Effect of Single and Triple Testicular Biopsy Using Biopty Gun on Spermatogenesis in Pubertal Rats. Animals 2021, 11, 1569. https://doi.org/10.3390/ani11061569
Šušnjar T, Kuzmić Prusac I, Švagelj I, Jurišić A, Šušnjar T, Jurišić A, Jukić M, Pogorelić Z. The Effect of Single and Triple Testicular Biopsy Using Biopty Gun on Spermatogenesis in Pubertal Rats. Animals. 2021; 11(6):1569. https://doi.org/10.3390/ani11061569
Chicago/Turabian StyleŠušnjar, Tomislav, Ivana Kuzmić Prusac, Ivan Švagelj, Anđela Jurišić, Tomislav Šušnjar, Antonija Jurišić, Miro Jukić, and Zenon Pogorelić. 2021. "The Effect of Single and Triple Testicular Biopsy Using Biopty Gun on Spermatogenesis in Pubertal Rats" Animals 11, no. 6: 1569. https://doi.org/10.3390/ani11061569
APA StyleŠušnjar, T., Kuzmić Prusac, I., Švagelj, I., Jurišić, A., Šušnjar, T., Jurišić, A., Jukić, M., & Pogorelić, Z. (2021). The Effect of Single and Triple Testicular Biopsy Using Biopty Gun on Spermatogenesis in Pubertal Rats. Animals, 11(6), 1569. https://doi.org/10.3390/ani11061569
 
         
                                                



 
       