Acute and Subchronic Toxicity Studies of Aristolochic Acid A in Tianfu Broilers
Abstract
Simple Summary
Abstract
1. Introduction
2. Material and Methods
2.1. Experimental Materials
2.2. Experimental Animals
2.3. Acute Poisoning with Aristolochic Acid A in Tianfu Broilers
2.4. Subchronic Poisoning with Aristolochic Acid A in Tianfu Broilers
2.4.1. Grouping and Treatment of Experimental Animals
2.4.2. Biochemical Analysis
2.4.3. Histopathology
2.4.4. Reactive Oxygen Species (ROS), Mitochondrial Membrane Potential (MMP) and Apoptosis of Kidney by Flow Cytometry
2.4.5. Fluorescence Real-Time Quantification PCR (QRT-PCR)
2.5. Statistical Analyses
3. Results
3.1. Acute Poisoning with Aristolochic Acid A in Tianfu Broilers
3.2. Subchronic Poisoning with Aristolochic Acid A in Tianfu Broilers
3.2.1. Aristolochic Acid A Increased Renal Index in Broilers
3.2.2. Aristolochic Acid A Changed Renal Function in Broilers
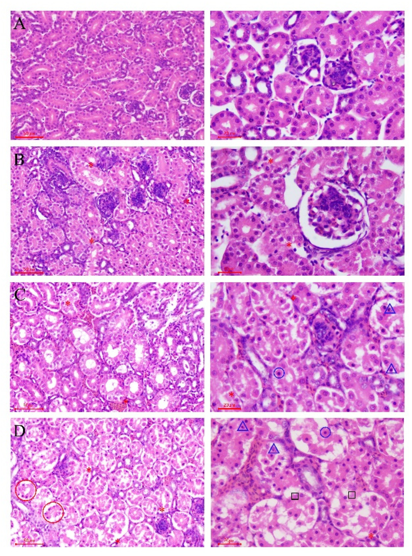
3.2.3. Aristolochic Acid A Destroyed Normal Renal Tissue Structure
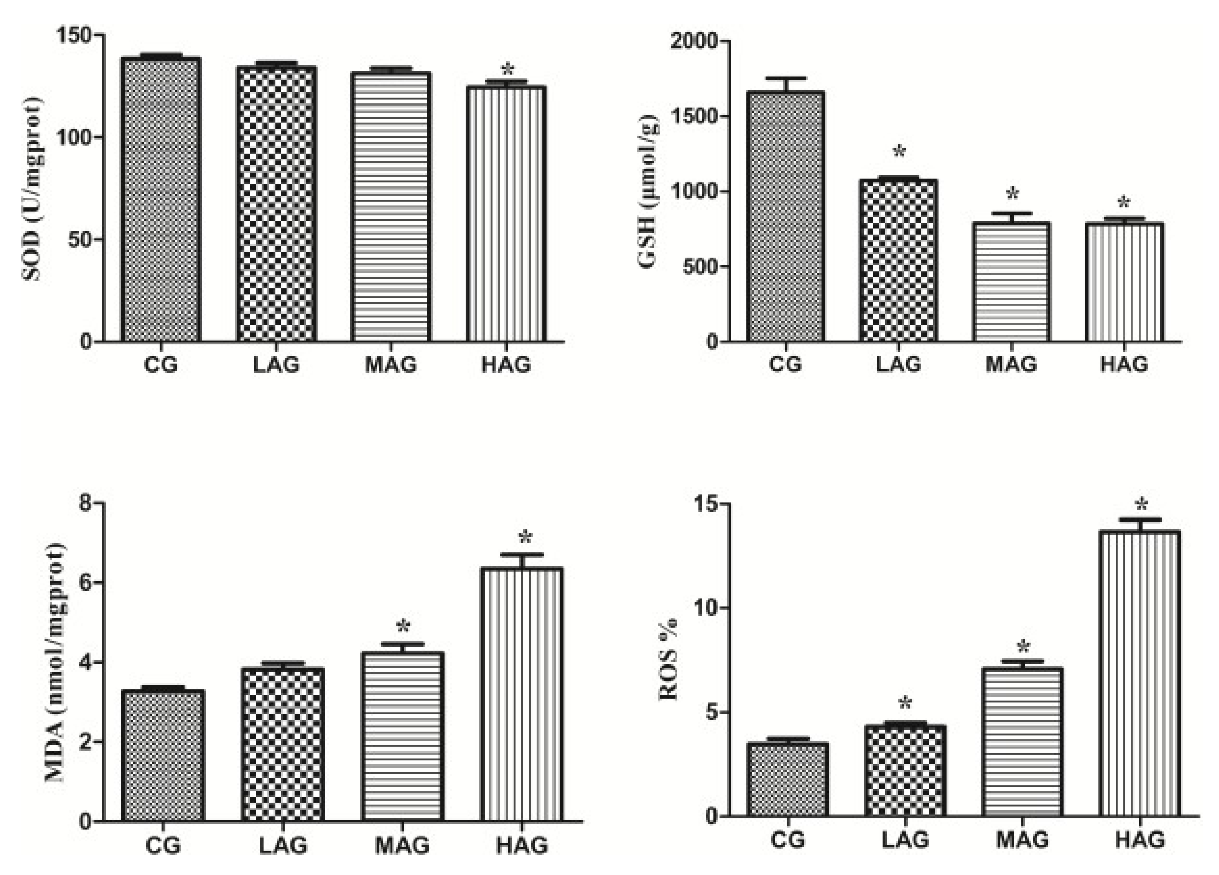
3.2.4. Aristolochic Acid A Destroyed the Antioxidant System to Arouse Oxidative Stress
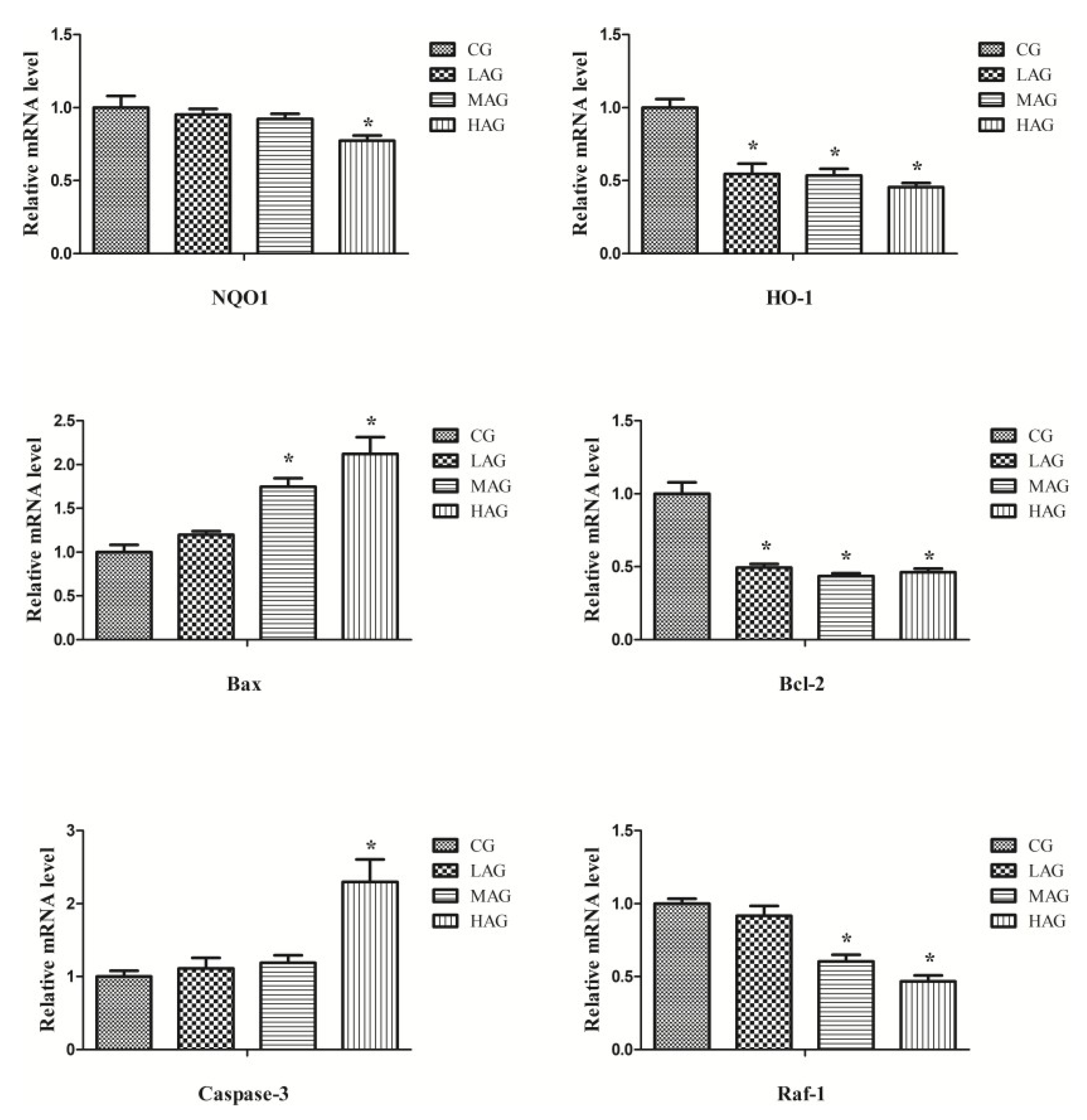
3.2.5. Aristolochic Acid A Promotes Renal Apoptosis and Oxidative Stress in Broilers
4. Discussion
5. Conclusions
Supplementary Materials
Author Contributions
Funding
Institutional Review Board Statement
Data Availability Statement
Conflicts of Interest
References
- Zhang, J.; Zhang, L.; Wang, W.; Wang, H.; China National Survey of Chronic Kidney Disease Working Group. Association between Aristolochic Acid and CKD: A Cross-sectional Survey in China. Am. J. Kidney Dis. 2013, 61, 918–922. [Google Scholar] [CrossRef]
- Ng, A.W.T.; Poon, S.L.; Huang, M.N.; Lim, J.Q.; Boot, A.; Yu, W.; Suzuki, Y.; Thangaraju, S.; Ng, C.C.Y.; Tan, P.; et al. Aristolochic acids and their derivatives are widely implicated in liver cancers in Taiwan and throughout Asia. Sci. Transl. Med. 2017, 9, 6446. [Google Scholar] [CrossRef]
- Schmeiser, H.H.; Bieler, C.A.; Wiessler, M.; van Ypersele de Strihou, C.; Cosyns, J.P. Detection of DNA adducts formed by aristolochic acid in renal tissue from patients with Chinese herbs nephropathy. Cancer Res. 1996, 56, 2025. [Google Scholar] [PubMed]
- Wu, T.-K.; Wei, C.-W.; Pan, Y.-R.; Cherng, S.-H.; Chang, W.-J.; Wang, H.-F.; Yu, Y.-L. Vitamin C attenuates the toxic effect of aristolochic acid on renal tubular cells via decreasing oxidative stress-mediated cell death pathways. Mol. Med. Rep. 2015, 12, 6086–6092. [Google Scholar] [CrossRef] [PubMed]
- Pozdzik, A.A.; Berton, A.; Schmeiser, H.H.; Missoum, W.; Decaestecker, C.; Salmon, I.J.; Vanherweghem, J.-L.; Nortier, J.L. Aristolochic acid nephropathy revisited: A place for innate and adaptive immunity. Histopathology 2010, 56, 449–463. [Google Scholar] [CrossRef] [PubMed]
- Hollstein, M.; Moriya, M.; Grollman, A.P.; Olivier, M. Analysis of TP53 mutation spectra reveals the fingerprint of the potent environmental carcinogen, aristolochic acid. Mutat. Res. 2013, 753, 41–49. [Google Scholar] [CrossRef] [PubMed]
- Shibutani, S.; Dong, H.; Suzuki, N.; Ueda, S.; Miller, F.; Grollman, A.P. Selective Toxicity of Aristolochic Acids I and II. Drug Metab. Dispos. 2007, 35, 1217–1222. [Google Scholar] [CrossRef]
- Chen, M.; Su, M.; Zhao, L.; Jiang, J.; Liu, P.; Cheng, J.; Lai, Y.; Liu, Y.; Jia, W. Metabonomic study of aristolochic acid-induced nephrotoxicity in rats. J. Proteome Res. 2006, 5, 995. [Google Scholar] [CrossRef]
- Pesti, G.M. Nutrient requirements of poultry. Anim. Feed Sci. Technol. 1995, 56, 177–178. [Google Scholar] [CrossRef]
- Bross, I. Estimates of the LD50: A Critique. Biometrics 1950, 6, 413–423. [Google Scholar] [CrossRef]
- Uni, Z.; Gal-Garber, O.; Geyra, A.; Sklan, D.; Yahav, S. Changes in Growth and Function of Chick Small Intestine Epithelium Due to Early Thermal Conditioning. Poult. Sci. 2001, 80, 438–445. [Google Scholar] [CrossRef]
- Cosyns, J.P.; Dehoux, J.P.; Guiot, Y.; Goebbels, R.M.; Robert, A.; Bernard, A.M.; van Ypersele de Strihou, C. Chronic aristolochic acid toxicity in rabbits: A model of Chinese herbs nephropathy. Kidney Int. 2001, 59, 2164–2173. [Google Scholar] [CrossRef] [PubMed]
- Mengs, U.; Lang, W.; Poch, J.-A. The carcinogenic action of aristolochic acid in rats. Arch. Toxicol. 1982, 51, 107–119. [Google Scholar] [CrossRef]
- Mengs, U. Tumour induction in mice following exposure to aristolochic acid. Arch. Toxicol. 1988, 61, 504–505. [Google Scholar] [CrossRef]
- Traesel, G.K.; Coelho de Souza, J.; Lima de Barros, A.; Souza, M.A.; Schmitz, W.O.; Muzzi, R.M.; Oesterreich, S.A.; Arena, A.C. Acute and subacute (28 days) oral toxicity assessment of the oil extracted from Acrocomia aculeata pulp in rats. Food Chem. Toxicol. 2014, 74, 320–325. [Google Scholar] [CrossRef]
- Mengs, U. Acute toxicity of aristolochic acid in rodents. Arch. Toxicol. 1987, 59, 328–331. [Google Scholar] [CrossRef] [PubMed]
- Wang, K.; Feng, C.; Li, C.; Yao, J.; Xie, X.; Gong, L.; Luan, Y.; Xing, G.; Zhu, X.; Qi, X.; et al. Baicalin Protects Mice from Aristolochic Acid I-Induced Kidney Injury by Induction of CYP1A through the Aromatic Hydrocarbon Receptor. Int. J. Mol. Sci. 2015, 16, 16454–16468. [Google Scholar] [CrossRef] [PubMed]
- Traesel, G.K.; Menegati, S.E.L.T.; Dos Santos, A.C.; Souza, R.I.C.; Villas Boas, G.R.; Justi, P.N.; Kassuya, C.A.L.; Argandoña, E.J.S.; Oesterreich, S.A. Oral acute and subchronic toxicity studies of the oil extracted from pequi (Caryocar brasiliense, Camb.) pulp in rats. Food Chem. Toxicol. 2016, 97, 224–231. [Google Scholar] [CrossRef] [PubMed]
- Sun, C.-Y.; Nie, J.; Zheng, Z.-L.; Zhao, J.; Wu, L.-M.; Zhu, Y.; Su, Z.-Q.; Zheng, G.-J.; Feng, B. Renoprotective effect of scutellarin on cisplatin-induced renal injury in mice: Impact on inflammation, apoptosis, and autophagy. Biomed. Pharmacother. 2019, 112, 108647. [Google Scholar] [CrossRef] [PubMed]
- Noctor, G.; Mhamdi, A.; Foyer, C.H. Oxidative stress and antioxidative systems: Recipes for successful data collection and interpretation. Plant Cell Environ. 2016, 39, 1140–1160. [Google Scholar] [CrossRef]
- Yu, F.-Y.; Chu, T.-Y.; Lian, J.-D.; Wu, S.-W.; Hung, T.-W.; Chang, H.-R. Induction of Oxidative Stress and DNA Damage in Human Renal Proximal Tubular Cells by Aristolochic Acid. J. Food Drug Anal. 2011, 19, 114–122. [Google Scholar]
- Shibahara, S.; Nakayama, M.; Kitamuro, T.; Udono-Fujimori, R.; Takahashi, K. Repression of Heme Oxygenase-1 Expression as a Defense Strategy in Humans. Exp. Biol. Med. 2003, 228, 472–473. [Google Scholar] [CrossRef] [PubMed]
- Dinkova-Kostova, A.T.; Talalay, P. NAD(P)H:quinone acceptor oxidoreductase 1 (NQO1), a multifunctional antioxidant enzyme and exceptionally versatile cytoprotector. Arch. Biochem. Biophys. 2010, 501, 116–123. [Google Scholar] [CrossRef] [PubMed]
- Wu, J.; Liu, X.; Fan, J.; Chen, W.; Wang, J.; Zeng, Y.; Feng, X.; Yu, X.; Yang, X. Bardoxolone methyl (BARD) ameliorates aristolochic acid (AA)-induced acute kidney injury through Nrf2 pathway. Toxicology 2014, 318, 22–31. [Google Scholar] [CrossRef] [PubMed]
- Matsui, K.; Kamijo-Ikemorif, A.; Sugaya, T.; Takashi, Y.; Kimura, K. Renal Liver-Type Fatty Acid Binding Protein (L-FABP) Attenuates Acute Kidney Injury in Aristolochic Acid Nephrotoxicity. Am. J. Pathol. 2011, 178, 1021–1032. [Google Scholar] [CrossRef]
- Qi, X.; Cai, Y.; Gong, L.; Liu, L.; Chen, F.; Xiao, Y.; Wu, X.; Li, Y.; Xue, X.; Ren, J. Role of mitochondrial permeability transition in human renal tubular epithelial cell death induced by aristolochic acid. Toxicol. Appl. Pharmacol. 2007, 222, 105–110. [Google Scholar] [CrossRef]
- Jing, G.; Wang, J.J.; Zhang, S.X. ER Stress and Apoptosis: A New Mechanism for Retinal Cell Death. Exp. Diabetes Res. 2012, 2012, 589589. [Google Scholar] [CrossRef] [PubMed]
- Hsin, Y.-H.; Cheng, C.-H.; Tzen, J.T.C.; Wu, M.-J.; Shu, K.-H.; Chen, H.-C. Effect of aristolochic acid on intracellular calcium concentration and its links with apoptosis in renal tubular cells. Apoptosis 2006, 11, 2167–2177. [Google Scholar] [CrossRef]
- Shi, M.; Ma, L.; Zhou, L.; Fu, P. Renal Protective Effects of 17β-Estradiol on Mice with Acute Aristolochic Acid Nephropathy. Apoptosis 2016, 21, 1391. [Google Scholar] [CrossRef]
- Fan, T.-J.; Han, L.-H.; Cong, R.-S.; Liang, J. Caspase Family Proteases and Apoptosis. Acta Biochim. Biophys. Sin. 2010, 37, 719–727. [Google Scholar] [CrossRef]
- Li, J.; Fan, Y.; Zhang, Y.-N.; Sun, D.-J.; Fu, S.-B.; Ma, L.; Jiang, L.-H.; Cui, C.; Ding, H.-F.; Yang, J. The Raf-1 inhibitor GW5074 and the ERK1/2 pathway inhibitor U0126 ameliorate PC12 cells apoptosis induced by 6-hydroxydopamine. Pharmazie 2012, 67, 718–724. [Google Scholar] [PubMed]
- Wang, H.G.; Rapp, U.R.; Reed, J.C. Bcl-2 targets the protein kinase Raf-1 to mitochondria. Cell 1996, 87, 629–638. [Google Scholar] [CrossRef]
- Jia, G.; Wang, Q.; Wang, R.; Deng, D.; Xue, L.; Shao, N.; Zhang, Y.; Xia, X.; Zhi, F.; Yang, Y. Tubeimoside-1 induces glioma apoptosis through regulation of Bax/Bcl-2 and the ROS/Cytochrome C/Caspase-3 pathway. Onco Targets Ther. 2015, 2015, 303–311. [Google Scholar]









| Group Number | 1 | 2 | 3 | 4 | 5 | 6 | 7 |
|---|---|---|---|---|---|---|---|
| Death | 8 | 6 | 4 | 4 | 4 | 2 | 0 |
| Mortality (%) | 100 | 75 | 50 | 50 | 50 | 25 | 0 |
Publisher’s Note: MDPI stays neutral with regard to jurisdictional claims in published maps and institutional affiliations. |
© 2021 by the authors. Licensee MDPI, Basel, Switzerland. This article is an open access article distributed under the terms and conditions of the Creative Commons Attribution (CC BY) license (https://creativecommons.org/licenses/by/4.0/).
Share and Cite
Xu, D.; Ran, C.; Yin, L.; Lin, J.; Fu, H.; Peng, X.; Zhao, X.; Shu, G. Acute and Subchronic Toxicity Studies of Aristolochic Acid A in Tianfu Broilers. Animals 2021, 11, 1556. https://doi.org/10.3390/ani11061556
Xu D, Ran C, Yin L, Lin J, Fu H, Peng X, Zhao X, Shu G. Acute and Subchronic Toxicity Studies of Aristolochic Acid A in Tianfu Broilers. Animals. 2021; 11(6):1556. https://doi.org/10.3390/ani11061556
Chicago/Turabian StyleXu, Dan, Chonglin Ran, Lizi Yin, Juchun Lin, Hualin Fu, Xi Peng, Xiaoling Zhao, and Gang Shu. 2021. "Acute and Subchronic Toxicity Studies of Aristolochic Acid A in Tianfu Broilers" Animals 11, no. 6: 1556. https://doi.org/10.3390/ani11061556
APA StyleXu, D., Ran, C., Yin, L., Lin, J., Fu, H., Peng, X., Zhao, X., & Shu, G. (2021). Acute and Subchronic Toxicity Studies of Aristolochic Acid A in Tianfu Broilers. Animals, 11(6), 1556. https://doi.org/10.3390/ani11061556

