Effects of Essential Oil Derived from the Bitter Orange (Citrus aurantium) on Growth Performance, Histology and Gene Expression Levels in Common Carp Juveniles (Cyprinus carpio)
Abstract
Simple Summary
Abstract
1. Introduction
2. Materials and Methods
2.1. Fish and Experimental Conditions
2.2. Experimental Diets
2.3. Determination of Aromatic Components in Neroli Oil
2.4. Calculation of the Growth Performance of Fish
2.5. Histopathological Examination
2.6. Total RNA Isolation and Quality Control
2.7. Primer Design and cDNA Synthesis
2.8. Real-Time PCR Analysis
2.9. Identification of Gene Expression Levels
2.10. Statistical Analysis
3. Results
3.1. Growth Performance
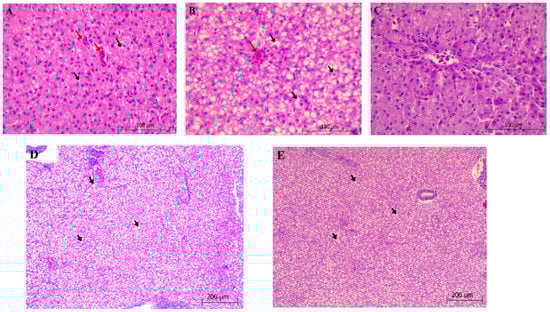
3.2. Histopathological Results
3.2.1. Liver
3.2.2. Intestine
3.3. Expression of Growth and Immune Related Genes
4. Discussion
5. Conclusions
Author Contributions
Funding
Institutional Review Board Statement
Data Availability Statement
Conflicts of Interest
References
- Cabello, F.C. Heavy use of prophylactic antibiotics in aquaculture: A growing problem for human and animal health and for the environment. Environ. Microbiol. 2006, 8, 1137–1144. [Google Scholar] [CrossRef]
- Kesbiç, O.S.; Parrino, V.; Acar, Ü.; Yilmaz, S.; Paro, G.L.; Fazio, F. Effects of Monterey cypress (Cupressus macrocarpa Hartw) leaf essential oil as a dietary supplement on growth performance and haematological and biochemical parameters of common carp (Cyprinus carpio L.). Ann. Anim. Sci. 2020, 20, 1411–1426. [Google Scholar] [CrossRef]
- Acar, Ü.; Kesbiç, O.S.; İnanan, B.E.; Yılmaz, S. Effects of dietary Bergamot (Citrus bergamia) peel oil on growth, haematology and immune response of European sea bass (Dicentrarchus labrax) juveniles. Aquac. Res. 2019, 50, 3305–3312. [Google Scholar] [CrossRef]
- Yılmaz, S.; Ergün, S.; Çelik, E.Ş. The effect of dietary carob (Ceratonia siliqua) syrup on growth performance, haematological, serum biochemical and immunological parameters in tilapia (Oreochromis mossambicus). TURJAF 2018, 6, 1820–1826. [Google Scholar]
- Lopes, J.M.; de Freitas Souza, C.; Saccol, E.M.H.; Pavanato, M.A.; Antoniazzi, A.; Rovani, M.T.; Heinzmann, B.M.; Baldisserotto, B. Citrus x aurantium essential oil as feed additive improved growth performance, survival, metabolic, and oxidative parameters of silver catfish (Rhamdia quelen). Aquacult. Nutr. 2019, 25, 310–318. [Google Scholar] [CrossRef]
- Kesbiç, O.S.; Acar, Ü.; Yilmaz, S.; Aydin, Ö.D. Effects of bergamot (Citrus bergamia) peel oil-supplemented diets on growth performance, haematology and serum biochemical parameters of Nile tilapia (Oreochromis niloticus). Fish Physiol. Biochem. 2020, 46, 103–110. [Google Scholar] [CrossRef] [PubMed]
- Acar, Ü.; Kesbiç, O.S.; Yılmaz, S.; Gültepe, N.; Türker, A. Evaluation of the effects of essential oil extracted from sweet orange peel (Citrus sinensis) on growth rate of tilapia (Oreochromis mossambicus) and possible disease resistance against Streptococcus iniae. Aquaculture 2015, 437, 282–286. [Google Scholar] [CrossRef]
- Kang, P.; Ryu, K.H.; Lee, J.M.; Kim, H.K.; Seol, G.H. Endothelium-and smooth muscle-dependent vasodilator effects of Citrus aurantium L. var. amara: Focus on Ca2+ modulation. Biomed. Pharmacother. 2016, 82, 467–471. [Google Scholar] [CrossRef]
- Dosoky, N.S.; Setzer, W.N. Biological activities and safety of Citrus spp. essential oils. Int. J. Mol. Sci. 2018, 19, 1966. [Google Scholar] [CrossRef]
- Tisserand, R.; Young, R. Essential Oil Safety-e-Book: A Guide for Health Care Professionals; Elsevier Health Sciences: London, UK, 2013. [Google Scholar]
- Haj Ammar, A.; Bouajila, J.; Lebrihi, A.; Mathieu, F.; Romdhane, M.; Zagrouba, F. Chemical composition and in vitro antimicrobial and antioxidant activities of Citrus aurantium L. flowers essential oil (Neroli oil). Pak. J. Biol. Sci. 2012, 15, 1034–1040. [Google Scholar] [CrossRef] [PubMed]
- Yi, L.T.; Xu, H.L.; Feng, J.; Zhan, X.; Zhou, L.P.; Cui, C.C. Involvement of monoaminergic systems in the antidepressant-like effect of nobiletin. Physiol. Behav. 2011, 102, 1–6. [Google Scholar] [CrossRef] [PubMed]
- Jäger, W.M.; Buchbauer, G.; Jirovetz, L.; Dietrich, H.; Plank, C. Evidence of the sedative effect of neroli oil, citronellal and phenylethyl acetate on mice. J. Essent. Oil Res. 1992, 4, 387–394. [Google Scholar] [CrossRef]
- Baba, E.; Acar, Ü.; Öntaş, C.; Kesbiç, O.S.; Yılmaz, S. Evaluation of Citrus limon peels essential oil on growth performance, immune response of Mozambique tilapia Oreochromis mossambicus challenged with Edwardsiella tarda. Aquaculture 2016, 465, 13–18. [Google Scholar] [CrossRef]
- AOAC. Official Methods of Analysis of AOAC International; AOAC Int.: Gaithersburg, MD, USA; Aquaculture: Rome, Italy, 1998. [Google Scholar]
- Schwaiger, J.; Wanke, R.; Adam, S.; Pawert, M.; Honnen, W.; Triebskorn, R. The use of histopathological indicators to evaluate contaminant-related stress in fish. J. Aquat. Ecosyst. Stress Recovery 1997, 6, 75–86. [Google Scholar] [CrossRef]
- Stoyanova, S.; Georgieva, E.; Velcheva, I.; Iliev, I.; Vasileva, T.; Bivolarski, V.; Yancheva, V. Multi-biomarker assessment in common carp (Cyprinus carpio, Linnaeus 1758) liver after acute chlorpyrifos exposure. Water 2020, 12, 1837. [Google Scholar] [CrossRef]
- Yancheva, V.; Georgieva, E.; Stoyanova, S.; Velcheva, I.; Somogyi, D.; Nyeste, K.; Antal, L. A histopathological study on the Caucasian dwarf goby from an anthropogenically loaded site in Hungary using multiple tissues analyses. Acta Zool. 2020, 101, 431–446. [Google Scholar] [CrossRef]
- Kalendar, R.; Lee, D.; Schulman, A.H. Fast PCR Software for PCR primer and probe design and repeat search. Genes Genomes Genom. 2009, 3, 1–14. [Google Scholar]
- Pfaffl, M.W. A new mathematical model for relative quantification in real-time RT–PCR. Nucleic Acids Res. 2001, 29, 45. [Google Scholar] [CrossRef]
- Alderman, D.J.; Hastings, T.S. Antibiotic use in aquaculture: Development of antibiotic resistance–potential for consumer health risks. J. Food Sci. Technol. 1998, 33, 139–155. [Google Scholar] [CrossRef]
- Acar, Ü.; Parrino, V.; Kesbiç, O.S.; Lo Paro, G.; Saoca, C.; Abbate, F.; Fazio, F. Effects of different levels of pomegranate seed oil on some blood parameters and disease resistance against Yersinia ruckeri in rainbow trout. Front. Physiol. 2018, 9, 596. [Google Scholar] [CrossRef] [PubMed]
- Mehrabi, Z.; Firouzbakhsh, F.; Jafarpour, A. Effects of dietary supplementation of synbiotic on growth performance, serum biochemical parameters and carcass composition in rainbow trout (Oncorhynchus mykiss) fingerlings. J. Anim. Physiol. Anim. Nutr. 2012, 96, 474–481. [Google Scholar] [CrossRef]
- Reverter, M.; Bontemps, N.; Lecchini, D.; Banaigs, B.; Sasal, P. Use of plant extracts in fish aquaculture as an alternative to chemotherapy: Current status and future perspectives. Aquaculture 2014, 433, 50–61. [Google Scholar] [CrossRef]
- Ahmad, I.; Farrukh, A.; Mohammad, O. Modern Phytomedicine: Turning Medicinal Plants into Drugs; Wiley-VCH: New York, NY, USA, 2006; p. 136. [Google Scholar]
- Ling, X.-D.; Dong, W.-T.; Zhang, Y.; Qian, X.; Zhang, W.-D.; He, W.-H.; Zhao, X.-X.; Liu, J.-X. Comparative transcriptomics and histopathological analysis of crucian carp infection by atypical Aeromonas salmonicida. Fish Shellfish Immunol. 2019, 94, 294–307. [Google Scholar] [CrossRef] [PubMed]
- Moustafa, E.M.; Dawood, M.A.; Assar, D.H.; Omar, A.A.; Elbialy, Z.I.; Farrag, F.A.; Shukry, M.; Zayed, M.M. Modulatory effects of fenugreek seeds powder on the histopathology, oxidative status, and immune related gene expression in Nile tilapia (Oreochromis niloticus) infected with Aeromonas hydrophila. Aquaculture 2020, 515, 734589. [Google Scholar] [CrossRef]
- Yigit, N.O.; Diler, O.; Koca, S.B.; Gormez, O. Effect on histology and nutrient digestibility of supplemented Origanum onites essential oil to rainbow trout diets (Oncorhynchus mykiss). Indian J. Pharmaceut. Educ. Res. 2017, 51, 262–267. [Google Scholar] [CrossRef]
- Abdel-Latif, H.M.; Abdel-Tawwab, M.; Khafaga, A.F.; Dawood, M.A. Dietary origanum essential oil improved antioxidative status, immune-related genes, and resistance of common carp (Cyprinus carpio L.) to Aeromonas hydrophila infection. Fish Shellfish Immunol. 2020, 104, 1–7. [Google Scholar] [CrossRef] [PubMed]
- Dawood, M.A.; Metwally, A.E.S.; Elkomy, A.H.; Gewaily, M.S.; Abdo, S.E.; Abdel-Razek, M.A.; Soliman, A.A.; Amer, A.A.; Abdel-Razik, N.I.; Abdel-Latif, H.M. The impact of menthol essential oil against inflammation, immunosuppression, and histopathological alterations induced by chlorpyrifos in Nile tilapia. Fish Shellfish Immunol. 2020, 102, 316–325. [Google Scholar] [CrossRef] [PubMed]
- Yilmaz, E.; Genc, E. Effects of alternative dietary lipid sources (soy-acid oil and yellow grease) on growth and hepatic lipidosis of common carp (Cyprinus carpio) fingerling: A preliminary study. Turkish J. Fish. Aquat. Sci. 2006, 6, 1. [Google Scholar]
- Nicholson, J.K.; Holmes, E.; Kinross, J.; Burcelin, R.; Gibson, G.; Jia, W.; Pettersson, S. Host-gut microbiota metabolic interactions. Science 2012, 336, 1262–1267. [Google Scholar] [CrossRef]
- Brum, A.; Cardoso, L.; Chagas, E.C.; Chaves, F.C.M.; Mouriño, J.L.P.; Martins, M.L. Histological changes in Nile tilapia fed essential oils of clove basil and ginger after challenge with Streptococcus agalactiae. Aquaculture 2018, 490, 98–107. [Google Scholar] [CrossRef]
- Picha, M.E.; Turano, M.J.; Beckman, B.R.; & Borski, R.J. Endocrine biomarkers of growth and applications to aquaculture: A minireview of growth hormone, insulin-like growth factor (IGF)-I, and IGF-binding proteins as potential growth indicators in fish. N. Am. J. Aquac. 2008, 70, 196–211. [Google Scholar] [CrossRef]
- Asaduzzaman, M.; Ikeda, D.; Abol-Munafi, A.B.; Bulbul, M.; Ali, M.E.; Kinoshita, S.; Watabe, S.; Kader, M.A. Dietary supplementation of inosine monophosphate promotes cellular growth of muscle and upregulates growth-related gene expression in Nile tilapia Oreochromis niloticus. Aquaculture 2017, 468, 297–306. [Google Scholar] [CrossRef]
- Aanyu, M.; Betancor, M.B.; Monroig, O. Effects of dietary limonene and thymol on the growth and nutritional physiology of Nile tilapia (Oreochromis niloticus). Aquaculture 2018, 488, 217–226. [Google Scholar] [CrossRef]
- Zemheri-Navruz, F.; Acar, Ü.; Yılmaz, S. Dietary supplementation of olive leaf extract enhances growth performance, digestive enzyme activity and growth related genes expression in common carp Cyprinus carpio. Gen. Comp. Endocrinol. 2020, 296, 113541. [Google Scholar] [CrossRef]
- Hoseini, S.M.; Yousefi, M.; Hoseinifar, S.H.; Van Doan, H. ytokines’ gene expression, humoral immune and biochemical responses of common carp (Cyprinus carpio, Linnaeus, 1758) to transportation density and recovery in brackish water. Aquaculture 2019, 504, 13–21. [Google Scholar] [CrossRef]
- Guardiola, F.A.; Porcino, C.; Cerezuela, R.; Cuesta, A.; Faggio, C.; Esteban, M.A. Impact of date palm fruits extracts and probiotic enriched diet on antioxidant status, innate immune response and immune-related gene expression of European seabass (Dicentrarchus labrax). Fish Shellfish Immunol. 2016, 52, 298–308. [Google Scholar] [CrossRef]
- Yousefi, M.; Shabunin, S.V.; Vatnikov, Y.A.; Kulikov, E.V.; Adineh, H.; Hamidi, M.K.; Hoseini, S.M. Effects of lavender (Lavandula angustifolia) extract inclusion in diet on growth performance, innate immunity, immune-related gene expression, and stress response of common carp, Cyprinus carpio. Aquaculture 2020, 515, 734588. [Google Scholar] [CrossRef]
- Mirghaed, A.T.; Hoseini, S.M.; Hoseinifar, S.H.; Van Doan, H. Effects of dietary thyme (Zataria multiflora) extract on antioxidant and immunological responses and immune-related gene expression of rainbow trout (Oncorhynchus mykiss) juveniles. Fish Shellfish Immunol. 2020, 106, 502–509. [Google Scholar] [CrossRef]
- Nootash, S.; Sheikhzadeh, N.; Baradaran, B.; Oushani, A.K.; Moghadam, M.R.M.; Nofouzi, K.; Monfaredan, A.; Aghebati, L.; Zare, F.; Shabanzadeh, S. Green tea (Camellia sinensis) administration induces expression of immune relevant genes and biochemical parameters in rainbow trout (Oncorhynchus mykiss). Fish Shellfish Immunol. 2013, 35, 1916–1923. [Google Scholar] [CrossRef]



| Ingredients (%) | NO0 | NO0.25 | NO0.50 | NO1 | NO1.5 |
|---|---|---|---|---|---|
| Fish meal | 23.00 | 23.00 | 23.00 | 23.00 | 23.00 |
| Soybean meal | 37.00 | 37.00 | 37.00 | 37.00 | 37.00 |
| Wheat meal | 12.00 | 12.00 | 12.00 | 12.00 | 12.00 |
| Fish oil | 5.00 | 5.00 | 5.00 | 5.00 | 5.00 |
| Vitamin-mineral mix | 4.00 | 4.00 | 4.00 | 4.00 | 4.00 |
| Corn starch | 19.00 | 18.75 | 18.50 | 18.00 | 17.50 |
| Neroli oil | 0.00 | 0.25 | 0.50 | 1.00 | 1.50 |
| Proximate composition (DM%) | |||||
| Crude protein | 34.41 | 34.33 | 34.58 | 34.49 | 34.43 |
| Crude lipid | 7.80 | 7.71 | 7.88 | 7.91 | 7.95 |
| Crude ash | 5.65 | 5.49 | 5.80 | 5.86 | 5.79 |
| Compounds | Retention Time | Concentration % | |
|---|---|---|---|
| 1 | Linalool | 15.883 | 27.41 |
| 2 | α- Terpineol | 19.248 | 3.26 |
| 3 | Linalyl acetate | 21.725 | 42.77 |
| 4 | Geranial | 22.137 | 0.64 |
| 5 | Geranyl acetate | 25.369 | 10.21 |
| 6 | Linalool 8-monooxygenase | 27.032 | 0.80 |
| 7 | Limonene dioxide | 29.949 | 3.50 |
| 8 | Indanedione | 30.450 | 1.25 |
| Total identified volatile content value | 89.84 | ||
| Gene | Oligonucleotide Sequence | Product Size (bp) | Gene Bank No. | |
|---|---|---|---|---|
| β-Actin | F | CTGGTATCGTGATGGACTCT | 204 | M24113 |
| R | CAGAGCTTCTCCTTGATGTC | |||
| TNF-α | F | GTGTCTACAGAAACCCTGGA | 109 | AJ311800 |
| R | AGTAAATGCCGTCAGTAGGA | |||
| IL-1ß | F | TTACAGTAAGACCAGCCTGA | 89 | AJ245635 |
| R | AGGCTCGTCACTTAGTTTGT | |||
| IL-8 | F | GTCTTAGAGGACTGGGTGTA | 120 | AB470924.1 |
| R | ACAGTGTGAGCTTGGAGGGA | |||
| GH | F | TCTTCGCATCTCTTTTCACC | 210 | M27000.1 |
| R | AGTCGGCCAGCTTCTCA | |||
| IGF-1 | F | GGCATTGGTGTGATGTCTTT | 96 | KP661168.1 |
| R | CATATCCTGTCGGTTTGCTG | |||
| NO0 | NO0.25 | NO0.50 | NO1 | NO1.5 | |
|---|---|---|---|---|---|
| Initial weight (g) | 1.88 ± 0.05 | 1.96 ± 0.03 | 1.91 ± 0.05 | 1.97 ± 0.03 | 1.95 ± 0.02 |
| Final weight (g) | 5.76 ± 0.10 c | 6.66 ± 0.20 a | 6.18 ± 0.15 b | 5.81 ± 0.13 bc | 5.33 ± 0.06 d |
| Relative growth rate (%) | 206.5 ± 2.87 bc | 235.4 ± 10.11 a | 223.2 ± 1.26 ab | 193.7 ± 8.00 c | 173.8 ± 5.26 d |
| Specific growth rate (% day−1) | 2.49 ± 0.02 bc | 2.71 ± 0.07 a | 2.60 ± 0.01 ab | 2.39 ± 0.06 c | 2.23 ± 0.04 d |
| Feed conversion ratio | 0.86 ± 0.01 b | 0.71 ± 0.03 d | 0.78 ± 0.02 c | 0.87 ± 0.03 b | 0.98 ± 0.02 a |
| Organs | Lesion | NO0 | NO0.25 | NO0.50 | NO1 | NO1.5 |
|---|---|---|---|---|---|---|
| LIVER | Balloon-like and hydropic degeneration of hepatocytes | 1.50 ± 0.54 | 2.16 ± 0.98 | 1.00 ± 0.00 | 1.66 ± 0.81 | 2.66 ± 1.03 |
| Lipid vacuole accumulation | 0.66 ± 0.81 b | 0.66 ± 0.51 b | 0.75 ± 0.50 ab | 2.00 ± 1.09 a | 1.66 ± 0.51 ab | |
| Pyknotic hepatocytes | 0.16 ± 0.40 | 0.83 ± 0.75 | 0.25 ± 0.50 | 0.66 ± 0.81 | 0.83 ± 0.40 | |
| Congestion/dilated sinusoids | 0.83 ± 0.40 | 0.83 ± 0.75 | 0.75 ± 0.50 | 1.33 ± 0.51 | 1.16 ± 0.40 | |
| INTESTINE | Cell infiltration in lamina propria | 0.50 ± 0.54 c | 1.00 ± 0.00 bc | 1.25 ± 0.50 bc | 2.20 ± 0.44 a | 1.50 ± 0.54 ab |
| Cell infiltration in submucosa | 0.50 ± 0.54 c | 0.80 ± 0.44 bc | 1.75 ± 0.50 a | 1.80 ± 0.44 a | 1.66 ± 0.51 ab | |
| Congestion | 0.66 ± 0.51 | 0.40 ± 0.89 | 0.25 ± 0.50 | 0.80 ± 0.44 | 1.00 ± 0.63 |
Publisher’s Note: MDPI stays neutral with regard to jurisdictional claims in published maps and institutional affiliations. |
© 2021 by the authors. Licensee MDPI, Basel, Switzerland. This article is an open access article distributed under the terms and conditions of the Creative Commons Attribution (CC BY) license (https://creativecommons.org/licenses/by/4.0/).
Share and Cite
Acar, Ü.; Kesbiç, O.S.; Yılmaz, S.; İnanan, B.E.; Zemheri-Navruz, F.; Terzi, F.; Fazio, F.; Parrino, V. Effects of Essential Oil Derived from the Bitter Orange (Citrus aurantium) on Growth Performance, Histology and Gene Expression Levels in Common Carp Juveniles (Cyprinus carpio). Animals 2021, 11, 1431. https://doi.org/10.3390/ani11051431
Acar Ü, Kesbiç OS, Yılmaz S, İnanan BE, Zemheri-Navruz F, Terzi F, Fazio F, Parrino V. Effects of Essential Oil Derived from the Bitter Orange (Citrus aurantium) on Growth Performance, Histology and Gene Expression Levels in Common Carp Juveniles (Cyprinus carpio). Animals. 2021; 11(5):1431. https://doi.org/10.3390/ani11051431
Chicago/Turabian StyleAcar, Ümit, Osman Sabri Kesbiç, Sevdan Yılmaz, Burak Evren İnanan, Fahriye Zemheri-Navruz, Funda Terzi, Francesco Fazio, and Vincenzo Parrino. 2021. "Effects of Essential Oil Derived from the Bitter Orange (Citrus aurantium) on Growth Performance, Histology and Gene Expression Levels in Common Carp Juveniles (Cyprinus carpio)" Animals 11, no. 5: 1431. https://doi.org/10.3390/ani11051431
APA StyleAcar, Ü., Kesbiç, O. S., Yılmaz, S., İnanan, B. E., Zemheri-Navruz, F., Terzi, F., Fazio, F., & Parrino, V. (2021). Effects of Essential Oil Derived from the Bitter Orange (Citrus aurantium) on Growth Performance, Histology and Gene Expression Levels in Common Carp Juveniles (Cyprinus carpio). Animals, 11(5), 1431. https://doi.org/10.3390/ani11051431

