B-Mode and Contrast Enhanced Ultrasonography Features of Gastric Inflammatory and Neoplastic Diseases in Dogs
Abstract
Simple Summary
Abstract
1. Introduction
2. Materials and Methods
2.1. Animals
2.2. Anesthesiology Protocol
2.3. B-Mode US Examination
2.4. CEUS Examination
2.5. Characterization of Pathological Gastric Wall
2.6. Statistical Analysis
3. Results
3.1. Study Population
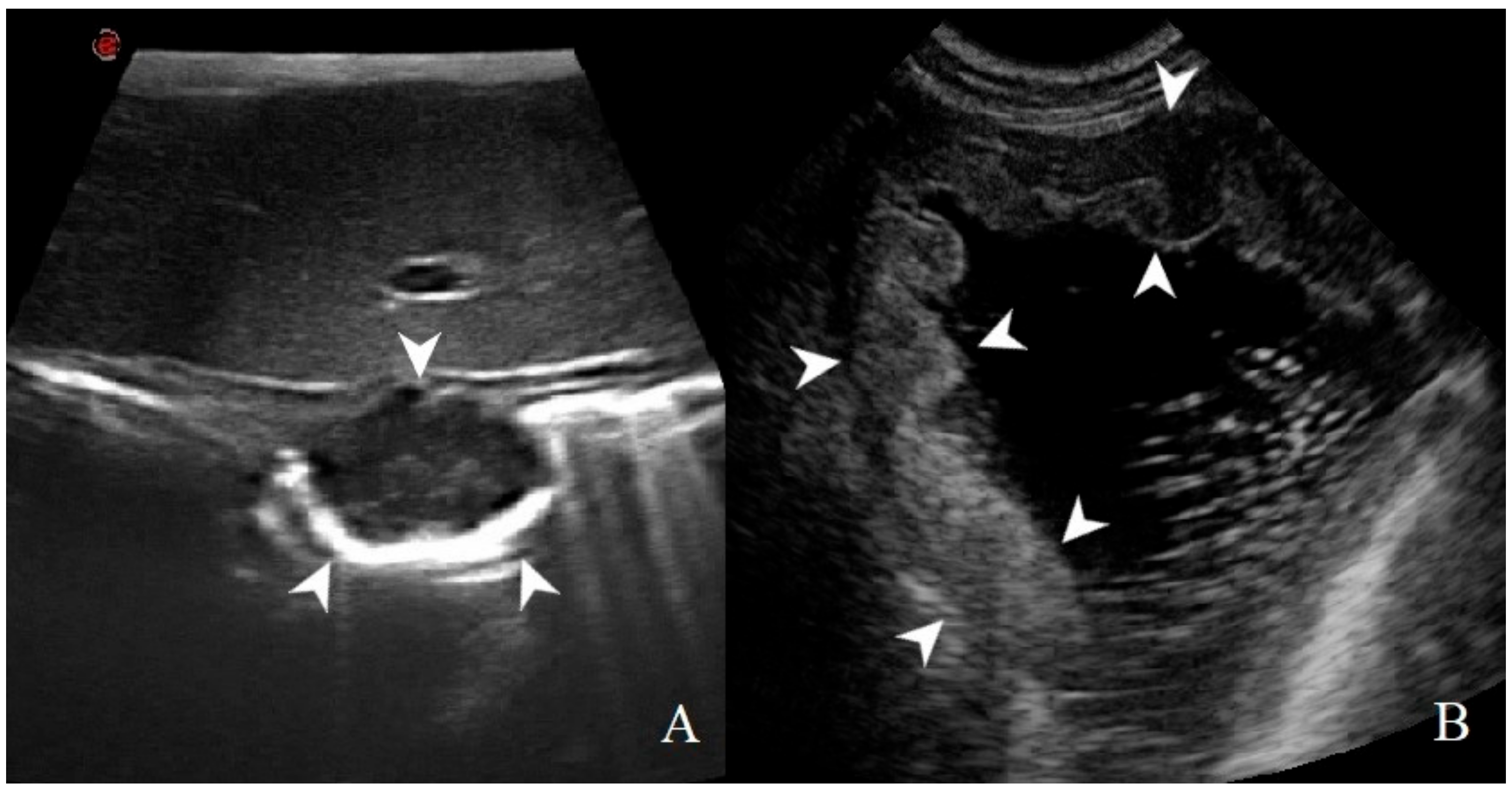
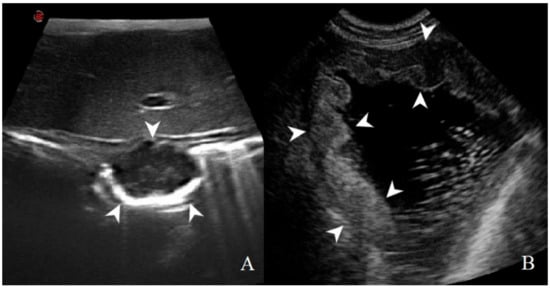
3.2. Analysis of B-Mode Examination
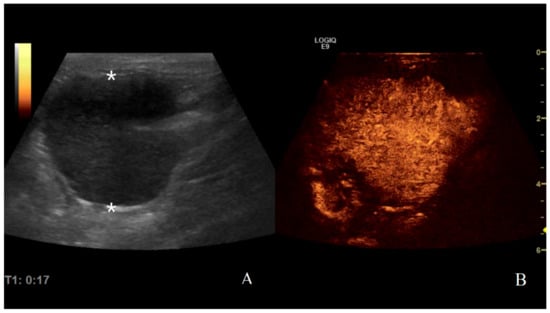
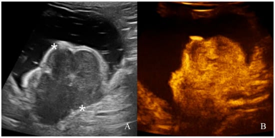
3.3. Analysis of CEUS Examination
4. Discussion
5. Conclusions
Author Contributions
Funding
Institutional Review Board Statement
Data Availability Statement
Acknowledgments
Conflicts of Interest
References
- Gualtieri, M.; Monzeglio, M.G.; Scanziani, E. Gastric Neoplasia. Vet. Clin. N. Am. Small Anim. Pract. 1999, 29, 415–440. [Google Scholar]
- Amorim, I.; Taulescu, M.A.; Day, M.J.; Catoi, C.; Reis, C.A.; Carneiro, F.; Gärtner, F. Canine Gastric Pathology: A Review. J. Comp. Pathol. 2016, 154, 9–37. [Google Scholar] [CrossRef]
- Simeoni, F.; Del Signore, F.; Terragni, R.; Tamburro, R.; Aste, G.; Vignoli, M. Diagnostic Imaging of Gastrointestinal Tumours in Dogs and Cats: A Review. Am. J. Anim. Vet. Sci. 2020, 15, 89–101. [Google Scholar] [CrossRef]
- Withrow, S.J. Cancer of the gastrointestinal tract. In Withrow and MacEwen’s Small Animal Clinical Oncology; Withrow, S.J., Wail, D.M., Eds.; Elsevier Saunders: St. Louis, MO, USA, 2007; pp. 455–510. [Google Scholar]
- Boari, A.; Barreca, A.; Bestetti, G.E.; Minuto, F.; Venturoli, M. Hypoglycemia in a Dog with a Leiomyoma of the Gastric Wall Producing an Insulin-like Growth Factor II-like Peptide. Eur. J. Endocrinol. 1995, 132, 744–750. [Google Scholar] [CrossRef] [PubMed]
- Bagley, R.S.; Levy, J.K.; Malarkey, D.E. Hypoglycemia Associated with Intra-Abdominal Leiomyoma and Leiomyosarcoma in Six Dogs. J. Am. Vet. Med. Assoc. 1996, 208, 69–71. [Google Scholar]
- Patnaik, A.K.; Hurvitz, A.I.; Johnson, G.F. Canine Gastrointestinal Neoplasms. Vet. Pathol. 1977, 14, 547–555. [Google Scholar] [CrossRef]
- Lamb, C.R.; Grierson, J. Ultrasonographic Appearance of Primary Gastric Neoplasia in 21 Dogs. J. Small Anim. Pract. 1999, 40, 211–215. [Google Scholar] [CrossRef] [PubMed]
- Lidbury, J.A.; Suchodolski, J.S.; Steiner, J.M. Gastric Histopathologic Abnormalities in Dogs: 67 Cases (2002–2007). J. Am. Vet. Med. Assoc. 2009, 234, 1147–1153. [Google Scholar] [CrossRef]
- Sullivan, M.; Yool, D.A. Gastric Disease in the Dog and Cat. Vet. J. 1998, 156, 91–106. [Google Scholar] [CrossRef]
- Marolf, A.J.; Bachand, A.M.; Sharber, J.; Twedt, D.C. Comparison of Endoscopy and Sonography Findings in Dogs and Cats with Histologically Confirmed Gastric Neoplasia. J. Small Anim. Pract. 2015, 56, 339–344. [Google Scholar] [CrossRef]
- Seim-Wikse, T.; Jörundsson, E.; Nødtvedt, A.; Grotmol, T.; Bjornvad, C.R.; Kristensen, A.T.; Skancke, E. Breed Predisposition to Canine Gastric Carcinoma--a Study Based on the Norwegian Canine Cancer Register. Acta Vet. Scand. 2013, 55, 25. [Google Scholar] [CrossRef] [PubMed]
- Scanziani, E.; Giusti, A.M.; Gualtieri, M.; Fonda, D. Gastric Carcinoma in the Belgian Shepherd Dog. J. Small Anim. Pract. 1991, 32, 465–469. [Google Scholar] [CrossRef]
- Coyle, K.A.; Steinberg, H. Characterization of Lymphocytes in Canine Gastrointestinal Lymphoma. Vet. Pathol. 2004, 41, 141–146. [Google Scholar] [CrossRef] [PubMed]
- Gieger, T. Alimentary Lymphoma in Cats and Dogs. Vet. Clin. N. Am. Small Anim. Pract. 2011, 41, 419–432. [Google Scholar] [CrossRef] [PubMed]
- Terragni, R.; Vignoli, M.; van Bree, H.J.; Gaschen, L.; Saunders, J.H. Diagnostic Imaging and Endoscopic Finding in Dogs and Cats with Gastric Tumors: A Review. Schweiz. Arch. für Tierheilkd. 2014, 156, 569–576. [Google Scholar] [CrossRef]
- Russell, K.N.; Mehler, S.J.; Skorupski, K.A.; Baez, J.L.; Shofer, F.S.; Goldschmidt, M.H. Clinical and Immunohistochemical Differentiation of Gastrointestinal Stromal Tumors from Leiomyosarcomas in Dogs: 42 Cases (1990–2003). J. Am. Vet. Med. Assoc. 2007, 230, 1329–1333. [Google Scholar] [CrossRef]
- Swann, H.M.; Holt, D.E. Canine Gastric Adenocarcinoma and Leiomyosarcoma: A Retrospective Study of 21 Cases (1986–1999) and Literature Review. J. Am. Anim. Hosp. Assoc. 2002, 38, 157–164. [Google Scholar] [CrossRef]
- Romanucci, M.; Crisi, P.E.; Giordano, M.V.; Di Tommaso, M.; Simeoni, F.; Della Salda, L. Hypertrophic Gastropathy Associated with Gastric Sarcoma in a Dog. J. Vet. Diagn. Investig. 2020. [Google Scholar] [CrossRef]
- Valentini, S.; Tamburro, R.; Zanatta, M.; Brunetti, B.; Gruarin, M.; Zanoni, R.G.; Cipone, M.; Pietra, M. Intra-Abdominal Actinomycetoma in a Dog Caused by Actinomyces Hordeovulneris. Pak. Vet. J. 2014, 34, 133–136. [Google Scholar]
- Seiler BSAVA Manual of Canine and Feline Abdominal Imaging. Available online: https://www.bsavalibrary.com/content/book/10.22233/9781905319718 (accessed on 23 June 2020).
- Penninck, D.G. Characterization of Gastrointestinal Tumors. Vet. Clin. N. Am. Small Anim. Pract. 1998, 28, 777–797. [Google Scholar] [CrossRef]
- Seiler, G.S.; Brown, J.C.; Reetz, J.A.; Taeymans, O.; Bucknoff, M.; Rossi, F.; Ohlerth, S.; Alder, D.; Rademacher, N.; Drost, W.T.; et al. Safety of Contrast-Enhanced Ultrasonography in Dogs and Cats: 488 Cases (2002–2011). J. Am. Vet. Med. Assoc. 2013, 242, 1255–1259. [Google Scholar] [CrossRef] [PubMed]
- Haers, H.; Saunders, J.H. Review of Clinical Characteristics and Applications of Contrast-Enhanced Ultrasonography in Dogs. J. Am. Vet. Med. Assoc. 2009, 234, 460–470. [Google Scholar] [CrossRef]
- Russo, M.; Vignoli, M.; Catone, G.; Rossi, F.; Attanasi, G.; England, G. Prostatic Perfusion in the Dog Using Contrast-Enhanced Doppler Ultrasound. Reprod. Domest. Anim. 2009, 44, 334–335. [Google Scholar] [CrossRef] [PubMed]
- Russo, M.; Vignoli, M.; England, G.C.W. B-Mode and Contrast-Enhanced Ultrasonographic Findings in Canine Prostatic Disorders. Reprod. Domest. Anim. 2012, 47 (Suppl. 6), 238–242. [Google Scholar] [CrossRef]
- Vignoli, M.; Russo, M.; Catone, G.; Rossi, F.; Attanasi, G.; Terragni, R.; Saunders, J.; England, G. Assessment of Vascular Perfusion Kinetics Using Contrast-Enhanced Ultrasound for the Diagnosis of Prostatic Disease in Dogs: Prostatic Perfusion Kinetics Assessed by CEUS. Reprod. Domest. Anim. 2011, 46, 209–213. [Google Scholar] [CrossRef] [PubMed]
- Nakamura, K.; Takagi, S.; Sasaki, N.; Bandula Kumara, W.R.; Murakami, M.; Ohta, H.; Yamasaki, M.; Takiguchi, M. Contrast-Enhanced Ultrasonography for Characterization of Canine Focal Liver Lesions. Vet. Radiol. Ultrasound 2010, 51, 79–85. [Google Scholar] [CrossRef] [PubMed]
- Pey, P.; Rossi, F.; Vignoli, M.; Duchateau, L.; Marescaux, L.; Saunders, J.H. Use of Contrast-Enhanced Ultrasonography to Characterize Adrenal Gland Tumors in Dogs. Am. J. Vet. Res. 2014, 75, 886–892. [Google Scholar] [CrossRef]
- Pey, P.; Vignoli, M.; Haers, H.; Duchateau, L.; Rossi, F.; Saunders, J.H. Contrast-enhanced ultrasonography of the normal canine adrenal gland. Vet. Radiol. Ultrasound 2011, 52, 560–567. [Google Scholar] [CrossRef]
- Haers, H.; Daminet, S.; Smets, P.M.Y.; Duchateau, L.; Aresu, L.; Saunders, J.H. Use of Quantitative Contrast-Enhanced Ultrasonography to Detect Diffuse Renal Changes in Beagles with Iatrogenic Hypercortisolism. Am. J. Vet. Res. 2013, 74, 70–77. [Google Scholar] [CrossRef] [PubMed]
- Vanderperren, K.; Haers, H.; Van der Vekens, E.; Stock, E.; Paepe, D.; Daminet, S.; Saunders, J.H. Description of the Use of Contrast-Enhanced Ultrasonography in Four Dogs with Pancreatic Tumours. J. Small Anim. Pract. 2014, 55, 164–169. [Google Scholar] [CrossRef] [PubMed]
- Volta, A.; Manfredi, S.; Vignoli, M.; Russo, M.; England, G.C.W.; Rossi, F.; Bigliardi, E.; Di Ianni, F.; Parmigiani, E.; Bresciani, C.; et al. Use of Contrast-Enhanced Ultrasonography in Chronic Pathologic Canine Testes. Reprod. Domest. Anim. 2014, 49, 202–209. [Google Scholar] [CrossRef]
- Banzato, T.; Burti, S.; Rubini, G.; Orlandi, R.; Bargellini, P.; Bonsembiante, F.; Zotti, A. Contrast-Enhanced Ultrasonography Features of Hepatobiliary Neoplasms in Cats. Vet. Rec. 2020, 186, 320. [Google Scholar] [CrossRef]
- Burti, S.; Zotti, A.; Rubini, G.; Orlandi, R.; Bargellini, P.; Bonsembiante, F.; Banzato, T. Contrast-Enhanced Ultrasound Features of Malignant Focal Liver Masses in Dogs. Sci. Rep. 2020, 10, 6076. [Google Scholar] [CrossRef]
- Rademacher, N.; Schur, D.; Gaschen, F.; Kearney, M.; Gaschen, L. Contrast-enhanced ultrasonography of the pancreas in healthy dogs and in dogs with acute pancreatitis. Vet. Radiol. Ultrasound 2016, 57, 58–64. [Google Scholar] [CrossRef] [PubMed]
- Morishita, K.; Hiramoto, A.; Michishita, A.; Takagi, S.; Osuga, T.; Lim, S.Y.; Nakamura, K.; Sasaki, N.; Ohta, H.; Takiguchi, M. Washout Ratio in the Hepatic Vein Measured by Contrast-Enhanced Ultrasonography to Distinguish Between Inflammatory and Noninflammatory Hepatic Disorders in Dogs. J. Vet. Intern. Med. 2017, 31, 770–777. [Google Scholar] [CrossRef]
- Macrì, F.; Di Pietro, S.; Mangano, C.; Pugliese, M.; Mazzullo, G.; Iannelli, N.M.; Angileri, V.; Morabito, S.; De Majo, M. Quantitative Evaluation of Canine Urinary Bladder Transitional Cell Carcinoma Using Contrast-Enhanced Ultrasonography. BMC Vet. Res. 2018, 14, 84. [Google Scholar] [CrossRef]
- Cervone, M.; Harel, M.; Ségard-Weisse, E.; Krafft, E. Use of Contrast-Enhanced Ultrasonography for the Detection of a Feline Insulinoma. J. Feline Med. Surg. Open Rep. 2019, 5, 205511691987614. [Google Scholar] [CrossRef]
- Mangano, C.; Macrì, F.; Di Pietro, S.; Pugliese, M.; Santoro, S.; Iannelli, N.M.; Mazzullo, G.; Crupi, R.; De Majo, M. Use of Contrast-Enhanced Ultrasound for Assessment of Nodular Lymphoid Hyperplasia (NLH) in Canine Spleen. BMC Vet. Res. 2019, 15, 196. [Google Scholar] [CrossRef]
- Simeoni, F.; Terragni, R.; Rubini, G.; Tamburro, R.; Del Signore, F.; Falerno, I.; Aste, G.; Russo, M.; Mastromatteo, G.; Vignoli, M. B-Mode and Contrast Enhanced Ultrasonography Features of Gastric Inflammatory and Neoplastic Diseases in Cats. Animals 2020, 10, 1444. [Google Scholar] [CrossRef]
- Kamino, D.; Hata, J.; Haruma, K.; Manabe, N.; Tanaka, S.; Chayama, K. Real-Time Visualization and Quantitation of Canine Gastric Mucosal Blood Flow by Contrast-Enhanced Ultrasonography. Scand. J. Gastroenterol. 2006, 41, 856–861. [Google Scholar] [CrossRef]
- Xue, H.; Ge, H.; Miao, L.; Wang, S.; Zhao, B.; Wang, J.; Cui, L. Differential Diagnosis of Gastric Cancer and Gastritis: The Role of Contrast-Enhanced Ultrasound (CEUS). Abdom. Radiol. 2017, 42, 802–809. [Google Scholar] [CrossRef] [PubMed]
- Neciu, C.V.; Puia, I.C.; Badea, A.F.; Socaciu, M.; Botan, E.; Chiorean, I.; Opincariu, I.; Iancu, C.; Badea, R. Greyscale and Contrast Enhanced Ultrasonography for Characterization of Gastric Malignant Tumors. Med. Ultrason. 2018, 1, 8. [Google Scholar] [CrossRef]
- Larson, M.M.; Biller, D.S. Ultrasound of the Gastrointestinal Tract. Vet. Clin. N. Am. Small Anim. Pract. 2009, 39, 747–759. [Google Scholar] [CrossRef]
- Penninck, D.G.; Nyland, T.G.; Kerr, L.Y.; Fisher, P.E. Ultrasonographic Evaluation of Gastrointestinal Diseases in Small Animals. Vet. Radiol. 1990, 31, 134–141. [Google Scholar] [CrossRef]
- Penninck, D.G.; Nyland, T.G.; Fisher, P.E.; Kerr, L.Y. Ultrasonography of the Normal Canine Gastrointestinal Tract. Vet. Radiol. 1989, 30, 272–276. [Google Scholar] [CrossRef]
- Penninck, D.; Smyers, B.; Webster, C.R.L.; Rand, W.; Moore, A.S. Diagnostic value of ultrasonography in differentiating enteritis from intestinal neoplasia in dogs. Vet. Radiol. Ultrasound 2003, 44, 570–575. [Google Scholar] [CrossRef] [PubMed]
- Gaschen, L. Ultrasonography of Small Intestinal Inflammatory and Neoplastic Diseases in Dogs and Cats. Vet. Clin. N. Am. Small Anim. Pract. 2011, 41, 329–344. [Google Scholar] [CrossRef]
- Vignoli, M.; Saunders, J.H. Image-Guided Interventional Procedures in the Dog and Cat. Vet. J. 2011, 187, 297–303. [Google Scholar] [CrossRef]











| Wall Thickness (mm) | HEA | INF | AC | AL | LEIS | p-Value |
|---|---|---|---|---|---|---|
| Mean | 4.06 a | 6.27 a | 20.1 b | 22.1 b | 27.06 b | <0.001 |
| ±SD | 1.08 | 0.94 | 4.74 | 12.5 | 7.53 | |
| Range | 3.17–6 | 4.8–7.6 | 14–28 | 7.3–39.6 | 19.3–37.3 |
| B-Mode Qualitative Variables | HEA (n = 6) % | INF (n = 9) % | AC (n = 8) % | AL (n = 8) % | LEIS (n = 4) % | p-Value |
|---|---|---|---|---|---|---|
| Layer definition | <0.001 | |||||
| Normal | 100 | 55.6 | 0 | 0 | 0 | |
| Reduced | 0 | 44.4 | 0 | 0 | 0 | |
| Absent | 0 | 0 | 75 | 100 | 100 | |
| Pseudolayering | 0 | 0 | 25 | 0 | 0 | |
| Thickening | 0.010 | |||||
| Absent | 100 | 55.6 | 0 | 0 | 0 | |
| Focal | 0 | 0 | 87.5 | 75 | 100 | |
| Diffuse | 0 | 44.4 | 12.5 | 25 | 0 | |
| Lesion echogenicity | <0.001 | |||||
| Iso/Hypoechoic | NA | NA | 25 | 12.5 | 0 | |
| Hyperechoic | NA | NA | 50 | 25 | 50 | |
| Mixed | NA | NA | 25 | 62.5 | 50 | |
| Regional lymph nodes | 0.006 | |||||
| Normal | 100 | 100 | 50 | 37.5 | 100 | |
| Enlarged | 0 | 0 | 50 | 62.5 | 0 | |
| Steatitis | 0.006 | |||||
| Present | 0 | 0 | 75 | 37.5 | 25 | |
| Absent | 100 | 100 | 25 | 62.5 | 75 | |
| Effusion | 0.650 | |||||
| Present | 0 | 0 | 12.5 | 12.5 | 0 | |
| Absent | 100 | 100 | 87.5 | 87.5 | 100 |
| CEUS Quantitative Features. | HEA (n = 6) | INF (n = 9) | AC (n = 8) | AL (n = 8) | LEIS (n = 4) | p-Value |
|---|---|---|---|---|---|---|
| AT (s) | 14.1 | 21.6 | 13.5 | 10.8 | 9.93 | 0.007 |
| RT (s) | 6.43 | 7.24 | 4.84 | 5.71 | 7.02 | 0.410 |
| TTP (s) | 20.05 | 28.8 | 18.3 | 16.5 | 30.7 | 0.040 |
| TO (s) | 47.2 | 54.6 | 33.5 | 30.07 | 42.2 | 0.010 |
| PE (dB) | 36.8 | 29.3 | 36.4 | 35.8 | 38.6 | 0.030 |
| WiR (dB) | 31.4 | 22.4 | 31.6 | 31.4 | 33.2 | 0.008 |
| CEUS Qualitative Variables | HEA (n = 6) % | INF (n = 9) % | AC (n = 8) % | AL (n = 8) % | LEIS (n = 4) % | p-Value |
|---|---|---|---|---|---|---|
| Enhancement degree | 0.93 | |||||
| Hypo/Isoenhancing | 66.7 | 88.9 | 100 | 75 | 50 | |
| Hyperenhancing | 33.3 | 11.1 | 0 | 25 | 25 | |
| Non-enhancing | 0 | 0 | 0 | 0 | 25 | |
| Enhancement homogeneity | <0.001 | |||||
| Homogeneous | 100 | 100 | 12.5 | 50 | 25 | |
| Heterogeneous | 0 | 0 | 87.5 | 50 | 50 | |
| No uptake | 0 | 0 | 0 | 0 | 25 | |
| Comb teeth-like vessels | 0.73 | |||||
| Present | 0 | 0 | 12.5 | 0 | 0 | |
| Absent | 100 | 100 | 87.5 | 100 | 100 |
Publisher’s Note: MDPI stays neutral with regard to jurisdictional claims in published maps and institutional affiliations. |
© 2021 by the authors. Licensee MDPI, Basel, Switzerland. This article is an open access article distributed under the terms and conditions of the Creative Commons Attribution (CC BY) license (http://creativecommons.org/licenses/by/4.0/).
Share and Cite
Simeoni, F.; Del Signore, F.; Aste, G.; Bargellini, P.; Rubini, G.; Terragni, R.; Tamburro, R.; Falerno, I.; de Pasquale, F.; Russo, M.; et al. B-Mode and Contrast Enhanced Ultrasonography Features of Gastric Inflammatory and Neoplastic Diseases in Dogs. Animals 2021, 11, 670. https://doi.org/10.3390/ani11030670
Simeoni F, Del Signore F, Aste G, Bargellini P, Rubini G, Terragni R, Tamburro R, Falerno I, de Pasquale F, Russo M, et al. B-Mode and Contrast Enhanced Ultrasonography Features of Gastric Inflammatory and Neoplastic Diseases in Dogs. Animals. 2021; 11(3):670. https://doi.org/10.3390/ani11030670
Chicago/Turabian StyleSimeoni, Francesco, Francesca Del Signore, Giovanni Aste, Paolo Bargellini, Giuseppe Rubini, Rossella Terragni, Roberto Tamburro, Ilaria Falerno, Francesco de Pasquale, Marco Russo, and et al. 2021. "B-Mode and Contrast Enhanced Ultrasonography Features of Gastric Inflammatory and Neoplastic Diseases in Dogs" Animals 11, no. 3: 670. https://doi.org/10.3390/ani11030670
APA StyleSimeoni, F., Del Signore, F., Aste, G., Bargellini, P., Rubini, G., Terragni, R., Tamburro, R., Falerno, I., de Pasquale, F., Russo, M., & Vignoli, M. (2021). B-Mode and Contrast Enhanced Ultrasonography Features of Gastric Inflammatory and Neoplastic Diseases in Dogs. Animals, 11(3), 670. https://doi.org/10.3390/ani11030670

