Comparative Study of Indirect Fluorescent Antibody, ELISA, and Immunochromatography Tests for Serological Diagnosis of Bovine Babesiosis Caused by Babesia bovis
Abstract
Simple Summary
Abstract
1. Introduction
2. Materials and Methods
2.1. Sample Size Calculation
2.2. Serum Samples
2.2.1. Reference Serum Samples
2.2.2. Field Serum Samples
2.3. Pre-Adsorption of Serum Samples
2.4. Preparation of Recombinant Protein MSA-1 and Sheep Anti-rMSA-1 IgG
2.5. Enzyme-Linked Immunosorbent Assay (ELISA)
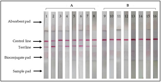
2.6. Immunochromatographic Test (ICT)
2.7. Indirect Fluorescent Antibody Test (IFAT)
2.8. Statistical Analysis
2.9. Ethical Statement
3. Results
3.1. Performance Evaluation of ELISA and ICT
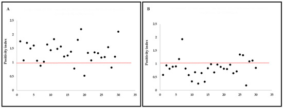
3.2. Comparison between ELISA and ICT for Detection of Antibodies to B. bovis
4. Discussion
5. Conclusions
Author Contributions
Funding
Institutional Review Board Statement
Data Availability Statement
Acknowledgments
Conflicts of Interest
References
- Urdaneta, F. Improving the productive efficiency of dual-purpose cattle farming systems (Taurus-Indicus). Arch. Latinoam. Prod. Anim. 2009, 17, 109–120. Available online: http://www.bioline.org.br/pdf?la09016 (accessed on 1 February 2021).
- SIAP. Available online: https://www.gob.mx/siap/acciones-y-programas/produccion-pecuaria (accessed on 7 April 2021).
- Jongejan, F.; Uilenberg, G. The global importance of ticks. Parasitology 2004, 129, S3–S14. [Google Scholar] [CrossRef]
- Bock, R.; Jackson, J.; de vos, A.; Jorgensen, W. Babesiosis of cattle. Parasitology 2004, 129, S247–S269. [Google Scholar] [CrossRef] [PubMed]
- Bautista-Garfias, C.R.; Castañeda-Arriola, R.O.; Álvarez-Mártínez, J.A.; Rojas-Martínez, C.; Figueroa-Millán, J.V.; Rodríguez-Lozano, A. The simultaneous vaccination of bovines with Lactobacillus casei and the bivalent vaccine against bovine babesiosis induces a better protection against Babesia bovis and B. bigemina transmitted by ticks in extreme field conditions. Vet. Méx. 2012, 43, 189–200. Available online: http://www.scielo.org.mx/pdf/vetmex/v43n3/v43n3a1.pdf (accessed on 1 February 2021).
- Gohil, S.; Herrmann, S.; Gunther, S.; Cooke, B.M. Bovine babesiosis in the 21st century: Advances in biology and functional genomics. Int. J. Parasitol. 2013, 43, 125–132. [Google Scholar] [CrossRef]
- Rojas, M.C.; Rodríguez, V.R.I.; Figueroa, J.V.; Bautista, G.C.R.; Castañeda, A.R.O.; Lira, A.J.J.; Vargas, U.P.; Ojeda, C.J.J.; Álvarez, J.A. Bovine babesiosis: Cattle protected in the field with a frozen vaccine containing Babesia bovis and Babesia bigemina cultured in vitro with a serum-free medium. Parasitol. Int. 2018, 67, 190–195. [Google Scholar] [CrossRef] [PubMed]
- Rodríguez, V.R.I.; Grisi, L.; Pérez de León, A.A.; Silva, V.H.; Torres, A.J.F.J.; Fragoso, S.H.; Romero, S.D.; Cruz, R.R.; Saldierna, F.; García, C.D. Potential economic impact assessment for cattle parasites in Mexico. Rev. Mex. Cienc. Pecu. 2017, 8, 61–74. [Google Scholar] [CrossRef]
- Romero-Salas, D.; Mira, A.; Mosqueda, J.; García, V.Z.; Hidalgo, R.M.; Ortiz, V.N.A.; Pérez, L.A.A.; Florin, C.M.; Schnittger, L. Molecular and serological detection of Babesia bovis and Babesia bigemina infection in bovines and water buffaloes raised jointly in an endemic field. Vet. Parasitol. 2016, 217, 101–107. [Google Scholar] [CrossRef]
- Terkawi, M.A.; Alhasan, H.; Huyena, N.X.; Sabagh, A.; Awier, K.; Cao, S.; Goo, Y.K.; Aboge, G.; Yokoyama, N.; Nishikawa, Y.; et al. Molecular and serological prevalence of Babesia bovis and Babesia bigemina in cattle from central region of Syria. Vet. Parasitol. 2012, 187, 307–311. [Google Scholar] [CrossRef]
- OIE. Bovine Babesiosis-OIE-World Organisation for Animal Health. Available online: https://www.oie.int/en/disease/bovine-babesiosis/ (accessed on 8 June 2021).
- Alvarez, J.A.; Rojas, C.; Figueroa, J.V. Diagnostic tools for the identification of Babesia sp. in persistently infected cattle. Pathogens 2019, 8, 143. [Google Scholar] [CrossRef]
- Kim, C.M.; Conza, B.L.B.; Alhassan, A.; Iseki, H.; Yokoyama, N.; Xuan, X.; Igarashi, I. Development of a rapid immunochromatographic test for simultaneous serodiagnosis of bovine babesiosis caused by Babesia bovis and Babesia bigemina. Am. J. Trop. Med. Hyg. 2008, 78, 117–121. [Google Scholar] [CrossRef] [PubMed]
- Stuart, T.D.; Magdy, B.A.; El-Saber, B.G.; Komugisha, M.; Joseph, B.; Vudriko, P.; Yahia, R.; Alkazmi, L.; Hetta, H.F.; Yokoyama, N.; et al. Assessing the immunochromatographic test strip for serological detection of bovine babesiosis in Uganda. Microorganisms 2020, 8, 1110. [Google Scholar] [CrossRef] [PubMed]
- Guswanto, A.; Allamanda, P.; Mariamah, E.S.; Sodirun, S.; Wibowo, P.E.; Indrayani, L.; Nugroho, R.S.; Wirata, I.K.; Jannah, N.; Dias, L.P.; et al. Molecular and serological detection of bovine babesiosis in Indonesia. Parasit. Vectors 2017, 10, 550. [Google Scholar] [CrossRef]
- Ganzinelli, S.; Benitez, D.; Gantuya, S.; Guswanto, A.; Florin-Christensen, M.; Schnittger, L.; Igarashi, I. Highly sensitive nested PCR and rapid immunochromatographic detection of Babesia bovis and Babesia bigemina infection in a cattle herd with acute clinical and fatal cases in Argentina. Transbound. Emerg. Dis. 2020, 67 (Suppl. S2), 159–164. [Google Scholar] [CrossRef] [PubMed]
- Guswanto, A.; Allamanda, P.; Mariamah, E.S.; Munkjargal, T.; Tuvshintulga, B.; Takemae, H.; Sivakumar, T.; AbouLaila, M.; Terkawi, M.A.; Ichikawa-Seki, M.; et al. Evaluation of immunochromatographic test (ICT) strips for the serological detection of Babesia bovis and Babesia bigemina infection in cattle from Western Java, Indonesia. Vet. Parasitol. 2017, 239, 76–79. [Google Scholar] [CrossRef]
- Miot, H.A. Sample size in clinical and experimental trials. J. Vasc. Bras. 2011, 10, 275–278. Available online: https://www.scielo.br/j/jvb/a/Dxg84WBMPnNrVcpKMXyVfHd/?format=pdf&lang=en (accessed on 1 February 2021). [CrossRef]
- Ojeda, J.J.; Orozco, L.; Flores, R.; Rojas, C.; Figueroa, J.V.; Álvarez, M.J.A. Validation of an attenuated live vaccine against babesiosis in native cattle in an endemic area. Transbound. Emerg. Dis. 2010, 57, 84–86. [Google Scholar] [CrossRef]
- Ojeda, C.J.J.; Espinosa, A.E.; Hernández, G.P.A.; Rojas, M.C.; Álvarez, M.J.A. Seroprevalencia de enfermedades que afectan la reproducción de bovinos para leche con énfasis en neosporosis. Ecosistemas Recur. Agropecu. 2016, 3, 243–249. Available online: http://www.scielo.org.mx/pdf/era/v3n8/2007-901X-era-3-08-00243.pdf (accessed on 1 February 2021).
- SENASICA. Available online: https://www.gob.mx/senasica/documentos/situacion-actual-del-control-de-la-garrapata-boophilus-spp (accessed on 11 September 2021).
- Jaramillo, O.J.M.; Montenegro, V.N.; de la Fournière, S.A.; Sarmiento, N.F.; Farber, M.D.; Wilkowsky, S.E. Development of an indirect ELISA based on a recombinant chimeric protein for the detection of antibodies against bovine babesiosis. Vet. Sci. 2018, 5, 13. [Google Scholar] [CrossRef]
- Nguyen, T.T.; Zhou, M.; Ruttayaporn, N.; Nguyen, Q.D.; Nguyenb, V.K.; Goto, Y.; Suzuki, Y.; Kawazu, S.; Inoue, N. Diagnostic value of the recombinant tándem repeat antigen TeGM6-4r for surra in water buffaloes. Vet. Parasitol. 2014, 201, 18–23. [Google Scholar] [CrossRef]
- Álvarez, J.A.; López, U.; Rojas, C.; Borgonio, V.M.; Sanchez, V.; Castañeda, R.; Vargas, P.; Figueroa, J.V. Immunization of Bos taurus steers with Babesia bovis recombinant antigens MSA-1, MSA-2c and 12D3. Transbound. Emerg. Dis. 2010, 57, 87–90. [Google Scholar] [CrossRef] [PubMed]
- Santamaria, R.M.; Lira, J.J.; Vargas, P.; Alvarez, J.A.; Rojas, C.; Figueroa, J.V. Validation of an indirect ELISA using recombinant proteins as antigen to identify animals exposed to Babesia bigemina. Transbound. Emerg. Dis. 2020, 67, 1–7. [Google Scholar] [CrossRef] [PubMed]
- Kim, C.M.; Alhassan, A.; Verdida, R.A.; Yokoyama, N.; Xuan, X.; Fujisaki, K.; Kawasu, S.; Igarashi, I. Development of two immunochromatographic tests for the serodiagnosis of bovine babesiosis. Vet. Parasitol. 2007, 148, 137–143. [Google Scholar] [CrossRef] [PubMed]
- Huang, X.; Xuan, X.; Hirata, H.; Yokoyama, N.; Xu, L.; Susuki, N.; Igarashi, I. Rapid immunochromatographic test using recombinant SAG-2 for detection of antibodies against Toxoplasma gondii in cats. J. Clin. Microbiol. 2004, 42, 351–353. [Google Scholar] [CrossRef] [PubMed][Green Version]
- Terkawi, M.A.; Kameyama, K.; Rasul, N.H.; Xuan, X.; Nishikawa, Y. Development of an immunochromatographic assay based on dense granule protein 7 for serological detection of Toxoplasma gondii. Clin. Vaccine Immunol. 2013, 20, 596–601. [Google Scholar] [CrossRef]
- Silva, F.A.C.; Molina, V.M. Likelihood ratio (razón de verosimilitud): Definición y aplicación en radiología. Rev. Argen. Radiol. 2017, 81, 204–208. [Google Scholar] [CrossRef]
- Reyes, S.R.M.; Bautista, G.C.R.; Castañeda, A.R.O.; Vargas, U.P.; Álvarez, M.J.A.; Rojas, M.C.; Mejía, E.F.; Figueroa, M.J.V. Babesiosis: Field assessment of protection in cattle immunized with a mixture of Babesia bovis recombinant proteins. Quehacer cient. Chiapas. 2016, 11, 36–46. Available online: https://www.dgip.unach.mx/images/pdf-REVISTA-QUEHACERCIENTIFICO/2016-jul-dic/Babesiosis_Field_assessment_of_protection_in_cattle.pdf (accessed on 1 February 2021).
- Lira, A.J.J.; Polanco, M.D.J.; Castañeda, A.R.O.; Ramos, A.J.A.; Lara, H.E.J.; Preciado, T.J.F.; Rojas, M.C.; Álvarez, M.J.A.; Bautista, G.C.R.; Figueroa, M.J.V. Prevalencia serológica y molecular de Babesia bovis, Babesia bigemina y Anaplasma marginale en búfalos de agua mantenidos en zonas de alta incidencia de garrapatas. Entomol. Mex. 2017, 4, 627–632. Available online: https://www.socmexent.org/entomologia/revista/2017/EV/EM1502017_627-632.pdf (accessed on 1 February 2021).
- Bose, R.; Jorgensen, W.K.; Dalgliesh, R.J.; Friedhoff, K.T.; de Vos, A.J. Current state and future trends in the diagnosis of babesiosis. Vet. Parasitol. 1995, 57, 61–74. [Google Scholar] [CrossRef]
- Richardson, D.C.; Ciach, M.; Zhong, K.J.Y.; Crandall, I.; Kain, K.C. Evaluation of the Makromed dipstick assay versus PCR for diagnosis of Plasmodium falciparum malaria in returned travelers. J. Clin. Microbiol. 2002, 40, 4528–4530. [Google Scholar] [CrossRef]
- Smits, H.L.; Eapen, C.K.; Sugathan, S.; Kurikose, M.; Gasem, H.; Yersin, C.; Sasaki, D.; Punjianto, B.; Vestering, M.; Abdoel, T.; et al. Lateral-flow assay for rapid serodiagnosis of human leptospirosis. Clin. Diagn. Lab. Immunol. 2001, 8, 166–169. [Google Scholar] [CrossRef]
- Rhemrev-Boom, M.M.; Yates, M.; Rudolph, M.; Raedts, M. (Immuno) affinity chromatography: A versatile tool for fast and selective purification, concentration, isolation and analysis. J. Pharm. Biomed. Anal. 2001, 24, 825–833. [Google Scholar] [CrossRef]
- Figueroa-Millán, J.V.; Castañeda-Arriola, R.O.; Lira-Amaya, J.J.; Vargas-Urióstegui, P.; Álvarez-Martínez, J.A.; Rojas-Martínez, C. ELISA test using Babesia sp. recombinant antigens for epidemiological diagnosis of bovine babesiosis in Mexico. In ELISA: Advances in Research and Application; submitted; Angeles, J.M., Ed.; Nova Science Publishers: Hauppauge, NY, USA, 2021. [Google Scholar]
- El-Sayed, S.; Rizk, M.A.; Terkawi, M.; Igarashi, I. Cocktail Babesia bovis antigens for global detection of Babesia bovis infection in cattle. Exp. Parasitol. 2019, 206, 107758. [Google Scholar] [CrossRef] [PubMed]
- Huang, X.; Xuan, X.; Verdida, R.A.; Zhang, S.; Yokoyama, N.; Xu, L.; Igarashi, I. Immunochromatographic test for simultaneous serodiagnosis of Babesia caballi and Babesia equi infection in horses. Clin. Vaccine Immunol. 2006, 13, 553–555. [Google Scholar] [CrossRef] [PubMed][Green Version]
- Liao, M.; Zhang, S.; Xuan, X.; Zhang, G.; Huang, X.; Igarashi, I.; Fujusaki, K. Development of rapid immunochromatographic test with recombinant NcSAG1 for detection of antibodies to Neospora caninum in cattle. Clin. Vaccine Immunol. Clin. 2005, 12, 885–887. [Google Scholar] [CrossRef]
- Lu, Y.; Guan, G.; Jiang, T.; Li, Y.; Yang, J.; Liu, G.; Luo, J.; Yin, H.; Liu, Z. Development of an immunochromatographic strip for the serodiagnosis of Theileria infection in sheep. Parasit. Vectors 2015, 8, 621. [Google Scholar] [CrossRef]
- Borgonio, V.M.; Mosqueda, J.J.; Genis, A.D.; Falcón, A.; Álvarez, J.A.; Camacho, M.; Figueroa, J.V. msa-1 and msa-2c gene analysis and common epitopes assessment in Mexican B. bovis isolates. Ann. N. Y. Acad. Sci. 2008, 1149, 145–148. [Google Scholar] [CrossRef]
- Hines, S.A.; Palmer, G.H.; Jasmer, D.P.; Goff, W.L.; Mcelwain, T.F. Immunization of cattle with recombinant Babesia bovis merozoite surface antigen-1. Infect. Immun. 1995, 63, 349–352. Available online: https://www.ncbi.nlm.nih.gov/pmc/articles/PMC172999/ (accessed on 1 February 2021). [CrossRef]
- Hines, S.A.; Palmer, G.H.; Jasmer, D.P.; McGuire, T.C.; McElwain, T.F. Neutralization-sensitive merozoite surface antigens of Babesia bovis encoded by members of a polymorphic gene family. Mol. Biochem. Parasitol. 1992, 55, 85–94. [Google Scholar] [CrossRef]
- Yokoyama, N.; Okamura, M.; Igarashi, I. Erythrocyte invasion by Babesia parasites: Current advances in the elucidation of the molecular interactions between the protozoan ligands and host receptors in the invasion stage. Vet. Parasitol. 2006, 138, 22–32. [Google Scholar] [CrossRef]
- Kemp, L.E.; Yamamoto, Y.; Soldati, F.D. Subversion of host cellular functions by the apicomplexan parasites. Microbiol. Rev. 2013, 37, 607–631. [Google Scholar] [CrossRef] [PubMed]


| Result | Reference Serum Samples | ||
|---|---|---|---|
| B. bovis-Positive Serum (n = 30) | Babesia spp.-Negative Serum (n = 30) | ||
| ELISA | + | 26 | 6 |
| − | 4 | 24 | |
| ICT | + | 27 | 5 |
| − | 3 | 25 | |
| IFAT | + | 27 | 8 |
| − | 3 | 22 | |
| Result c | ELISA | ICT | IFAT | |||
|---|---|---|---|---|---|---|
| n | % b | n a | % b | n a | % b | |
| + | 65 | 90.3 | 70 | 97.2 | 69 | 95.8 |
| − | 7 | 9.7 | 2 | 2.8 | 3 | 4.2 |
| Total | 72 | 100 | 72 | 100 | 72 | 100 |
| Result IFAT c | ELISA a | ICT b | Total | ||
|---|---|---|---|---|---|
| + | − | + | − | ||
| + | 65 | 4 | 69 | 0 | 69 |
| − | 0 | 3 | 1 | 2 | 3 |
| Total | 65 | 7 | 70 | 2 | 72 |
| Terms Evaluated | IFAT Results Compared to | |
|---|---|---|
| ELISA | ICT | |
| Sensitivity (%) | 94.2 | 100 |
| Specificity (%) | 100 | 66.6 |
| Concordance (%) | 94.4 | 98.6 |
| Kappa value | 0.57 | 0.79 |
| +LR | 4.3 | 5.4 |
| −LR | 0.16 | 0.12 |
Publisher’s Note: MDPI stays neutral with regard to jurisdictional claims in published maps and institutional affiliations. |
© 2021 by the authors. Licensee MDPI, Basel, Switzerland. This article is an open access article distributed under the terms and conditions of the Creative Commons Attribution (CC BY) license (https://creativecommons.org/licenses/by/4.0/).
Share and Cite
Lira-Amaya, J.J.; Martínez-García, G.; Santamaria-Espinosa, R.M.; Castañeda-Arriola, R.O.; Ojeda-Carrasco, J.J.; Ávila-Ramírez, G.; Figueroa-Millán, J.V. Comparative Study of Indirect Fluorescent Antibody, ELISA, and Immunochromatography Tests for Serological Diagnosis of Bovine Babesiosis Caused by Babesia bovis. Animals 2021, 11, 3358. https://doi.org/10.3390/ani11123358
Lira-Amaya JJ, Martínez-García G, Santamaria-Espinosa RM, Castañeda-Arriola RO, Ojeda-Carrasco JJ, Ávila-Ramírez G, Figueroa-Millán JV. Comparative Study of Indirect Fluorescent Antibody, ELISA, and Immunochromatography Tests for Serological Diagnosis of Bovine Babesiosis Caused by Babesia bovis. Animals. 2021; 11(12):3358. https://doi.org/10.3390/ani11123358
Chicago/Turabian StyleLira-Amaya, José Juan, Grecia Martínez-García, R. Montserrat Santamaria-Espinosa, Roberto O. Castañeda-Arriola, Juan J. Ojeda-Carrasco, Guillermina Ávila-Ramírez, and Julio V. Figueroa-Millán. 2021. "Comparative Study of Indirect Fluorescent Antibody, ELISA, and Immunochromatography Tests for Serological Diagnosis of Bovine Babesiosis Caused by Babesia bovis" Animals 11, no. 12: 3358. https://doi.org/10.3390/ani11123358
APA StyleLira-Amaya, J. J., Martínez-García, G., Santamaria-Espinosa, R. M., Castañeda-Arriola, R. O., Ojeda-Carrasco, J. J., Ávila-Ramírez, G., & Figueroa-Millán, J. V. (2021). Comparative Study of Indirect Fluorescent Antibody, ELISA, and Immunochromatography Tests for Serological Diagnosis of Bovine Babesiosis Caused by Babesia bovis. Animals, 11(12), 3358. https://doi.org/10.3390/ani11123358

