Flunixin Meglumine Enhanced Bone Fracture Healing in Rabbits Associated with Activation of Early Collagen Deposition and Enhancement of Vascular Endothelial Growth Factor Expression
Abstract
:Simple Summary
Abstract
1. Introduction
2. Materials and Methods
2.1. Ethical Committee Approval
2.2. Animals
2.3. Surgical Procedures
2.4. Animal Grouping
2.5. Clinical Evaluation
2.6. Radiography
2.7. Radiographic Scoring
2.8. Histopathology
2.9. Immunohistochemical Procedures
2.10. Statistical Analysis
3. Results
3.1. Radiographic Findings
3.2. Histological Findings
3.2.1. Fourth Week Study
3.2.2. Eighth Week Study
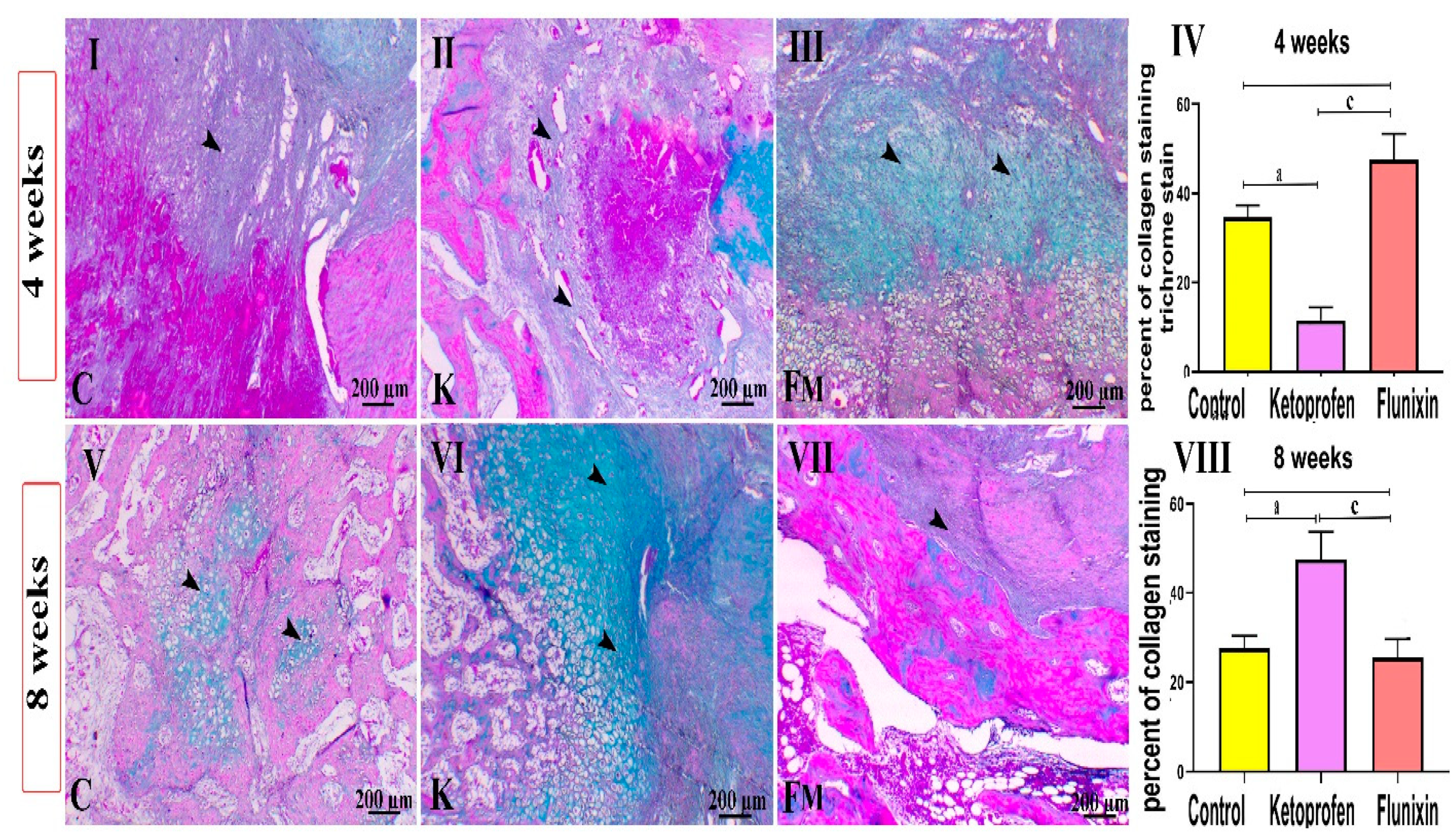
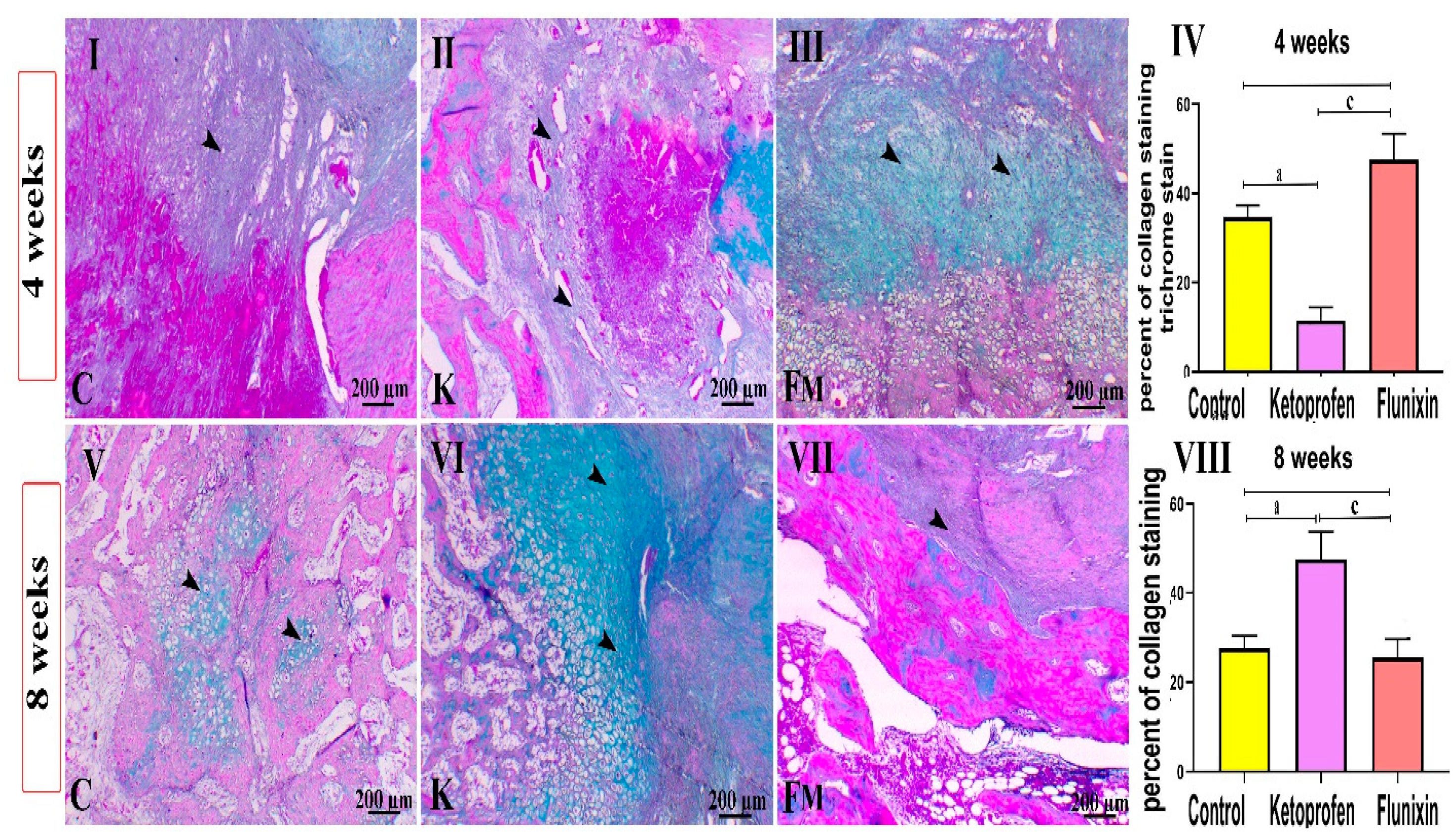
3.3. Masson’s Trichrome Staining
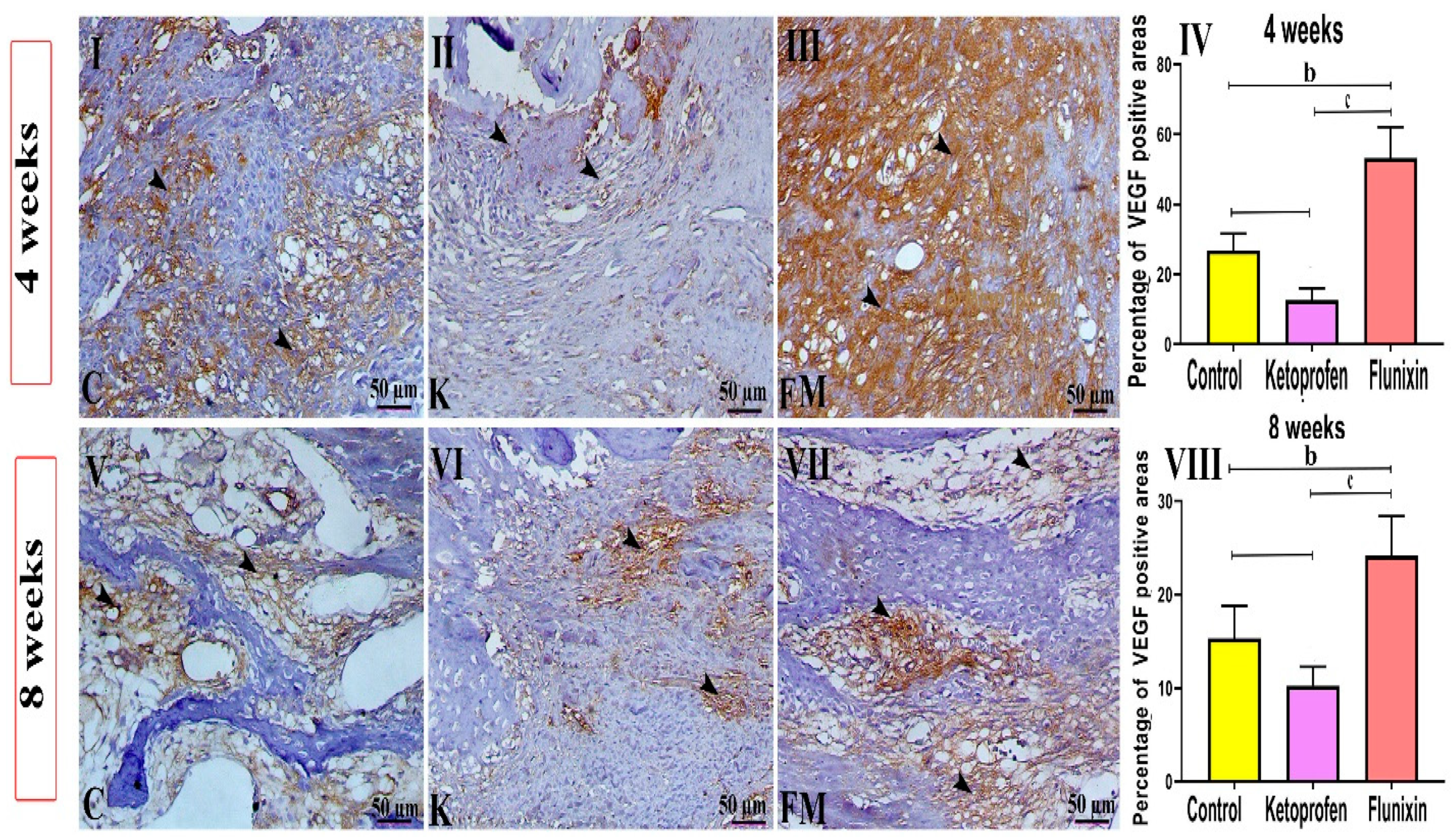
3.4. Immunohistochemical Findings
VEGF Immunostaining
4. Discussion
5. Conclusions
Author Contributions
Funding
Institutional Review Board Statement
Data Availability Statement
Acknowledgments
Conflicts of Interest
References
- Salih, S.I.; Al-Falahi, N.H.; Saliem, A.H.; Abedsalih, A.N. Effectiveness of platelet-rich fibrin matrix treated with silver nanoparticles in fracture healing in rabbit model. Vet. World 2018, 11, 944. [Google Scholar] [CrossRef] [Green Version]
- Pountos, I.; Georgouli, T.; Bird, H.; Kontakis, G.; Giannoudis, P.V. The effect of antibiotics on bone healing: Current evidence. Expert Opin. Drug Saf. 2011, 10, 935–945. [Google Scholar] [CrossRef]
- Cottrell, J.; O’Connor, J.P. Effect of non-steroidal anti-inflammatory drugs on bone healing. Pharmaceuticals 2010, 3, 1668–1693. [Google Scholar] [CrossRef] [Green Version]
- Wheatley, B.M.; Nappo, K.E.; Christensen, D.L.; Holman, A.M.; Brooks, D.I.; Potter, B.K. Effect of NSAIDs on bone healing rates: A meta-analysis. J. Am. Acad. Orthop. Surg. 2019, 27, e330–e336. [Google Scholar] [CrossRef]
- Brown, K.M.; Saunders, M.M.; Kirsch, T.; Donahue, H.J.; Reid, J.S. Effect of COX-2-specific inhibition on fracture-healing in the rat femur. JBJS 2004, 86, 116–123. [Google Scholar] [CrossRef]
- Lisowska, B.; Kosson, D.; Domaracka, K. Positives and negatives of nonsteroidal anti-inflammatory drugs in bone healing: The effects of these drugs on bone repair. Drug Des. Dev. Ther. 2018, 12, 1809. [Google Scholar] [CrossRef]
- Pountos, I.; Georgouli, T.; Calori, G.M.; Giannoudis, P.V. Do nonsteroidal anti-inflammatory drugs affect bone healing? A critical analysis. Sci. World J. 2012, 2012, 606404. [Google Scholar] [CrossRef] [Green Version]
- Nagano, A.; Arioka, M.; Takahashi-Yanaga, F.; Matsuzaki, E.; Sasaguri, T. Celecoxib inhibits osteoblast maturation by suppressing the expression of Wnt target genes. J. Pharmacol. Sci. 2017, 133, 18–24. [Google Scholar] [CrossRef]
- Marquez-Lara, A.; Hutchinson, I.D.; Nuñez, F., Jr.; Smith, T.L.; Miller, A.N. Nonsteroidal anti-inflammatory drugs and bone-healing: A systematic review of research quality. JBJS Rev. 2016, 4, e4. [Google Scholar] [CrossRef]
- Lack, W.D.; Fredericks, D.; Petersen, E.; Donovan, M.; George, M.; Nepola, J.; Smucker, J.; Femino, J.E. Effect of aspirin on bone healing in a rabbit ulnar osteotomy model. JBJS 2013, 95, 488–496. [Google Scholar] [CrossRef]
- Dimmen, S.; Engebretsen, L.; Nordsletten, L.; Madsen, J.E. Negative effects of parecoxib and indomethacin on tendon healing: An experimental study in rats. Knee Surg. Sports Traumatol. Arthrosc. 2009, 17, 835–839. [Google Scholar] [CrossRef]
- Van Esch, R.W.; Kool, M.M.; van As, S. NSAIDs can have adverse effects on bone healing. Med. Hypotheses 2013, 81, 343–346. [Google Scholar] [CrossRef]
- Aliuskevicius, M.; Østgaard, S.E.; Hauge, E.M.; Vestergaard, P.; Rasmussen, S. Influence of Ibuprofen on Bone Healing After Colles’ Fracture: A Randomized Controlled Clinical Trial. J. Orthop. Res. 2020, 38, 545–554. [Google Scholar] [CrossRef] [PubMed]
- Hjorthaug, G.A.; Søreide, E.; Nordsletten, L.; Madsen, J.E.; Reinholt, F.P.; Niratisairak, S.; Dimmen, S. Short-term perioperative parecoxib is not detrimental to shaft fracture healing in a rat model. Bone Jt. Res. 2019, 8, 472–480. [Google Scholar] [CrossRef] [PubMed]
- Zarghi, A.; Arfaei, S. Selective COX-2 Inhibitors: A Review of Their Structure-Activity Relationships. Iran. J. Pharm. Res. 2011, 10, 655–683. [Google Scholar]
- Mitchell, J.A.; Warner, T.D. Cyclo-oxygenase-2: Pharmacology, physiology, biochemistry and relevance to NSAID therapy. Br. J. Pharmacol. 1999, 128, 1121–1132. [Google Scholar] [CrossRef] [PubMed]
- Kam, P.; See, A.U.L. Cyclo-oxygenase isoenzymes: Physiological and pharmacological role. Anaesthesia 2000, 55, 442–449. [Google Scholar] [CrossRef]
- Wasnik, S.; Lakhan, R.; Baylink, D.J.; Rundle, C.H.; Xu, Y.; Zhang, J.; Qin, X.; Lau, K.-H.W.; Carreon, E.E.; Tang, X. Cyclooxygenase 2 augments osteoblastic but suppresses chondrocytic differentiation of CD90+ skeletal stem cells in fracture sites. Sci. Adv. 2019, 5, eaaw2108. [Google Scholar] [CrossRef] [Green Version]
- Lisowska, B.; Kosson, D.; Domaracka, K. Lights and shadows of NSAIDs in bone healing: The role of prostaglandins in bone metabolism. Drug Des. Dev. Ther. 2018, 12, 1753. [Google Scholar] [CrossRef] [Green Version]
- Vuolteenaho, K.; Moilanen, T.; Moilanen, E. Non-steroidal anti-inflammatory drugs, cyclooxygenase-2 and the bone healing process. Basic Clin. Pharmacol. Toxicol. 2008, 102, 10–14. [Google Scholar] [CrossRef]
- Nyangoga, H.; Aguado, E.; Goyenvalle, E.; Baslé, M.F.; Chappard, D. A non-steroidal anti-inflammatory drug (ketoprofen) does not delay β-TCP bone graft healing. Acta Biomater. 2010, 6, 3310–3317. [Google Scholar] [CrossRef] [Green Version]
- Urrutia, J.; Mardones, R.; Quezada, F. The effect of ketoprophen on lumbar spinal fusion healing in a rabbit model. J. Neurosurg. Spine 2007, 7, 631–636. [Google Scholar] [CrossRef] [PubMed]
- Behfar, M.; Hobbenaghi, R.; Sarrafzadeh-Rezaei, F. Effects of flunixin meglumine on experimental tendon wound healing: A histopathological and mechanical study in rabbits. Vet. Res. Forum Int. Q. J. 2013, 4, 233. [Google Scholar]
- Donner, G.; Ellison, G.; Peyton, L.; Crowley, A.; Szempruch, N.; Williams, J. Effect of flunixin meglumine on surgical wound strength and healing in the rat. Am. J. Vet. Res. 1986, 47, 2247–2251. [Google Scholar] [PubMed]
- Reppert, E.J.; Kleinhenz, M.D.; Montgomery, S.R.; Bornheim, H.N.; Magnin, G.; Sidhu, P.K.; Zhang, Y.; Joo, H.; Coetzee, J.F. Pharmacokinetics and pharmacodynamics of intravenous and transdermal flunixin meglumine in meat goats. J. Vet. Pharmacol. Ther. 2019, 42, 309–317. [Google Scholar] [CrossRef]
- Lane, N.E.; Nyman, J.; Uppuganti, S.; Chaudhari, A.; Aguirre, J.; Shidara, K.; Liu, X.; Yao, W.; Kimmel, D. Inhibition of vascular endothelial growth factor in young adult mice causes low bone blood flow and bone strength with no effect on bone mass in trabecular regions. Bone Rep. 2019, 10, 100210. [Google Scholar] [CrossRef] [PubMed]
- Greenberg, D.A.; Jin, K. Vascular endothelial growth factors (VEGFs) and stroke. Cell. Mol. Life Sci. 2013, 70, 1753–1761. [Google Scholar] [CrossRef]
- Hirashima, M. Regulation of endothelial cell differentiation and arterial specification by VEGF and Notch signaling. Anat. Sci. Int. 2009, 84, 95–101. [Google Scholar] [CrossRef]
- de Sousa Segundo, F.A.; de Sousa Costa, E.I.; de Azevedo, A.S.; de Araújo, A.L.; de França Silva, A.C.; de Lima, G.G.; de Sá, M.J.C. Platelet-rich plasma, hydroxyapatite, and chitosan in the bone and cartilaginous regeneration of femoral trochlea in rabbits: Clinical, radiographic, and histomorphometric evaluations. J. Healthc. Eng. 2018, 2018, 6917958. [Google Scholar]
- Yoshino, O.; Brady, J.; Young, K.; Hardy, B.; Matthys, R.; Buxton, T.; Appleyard, R.; Tomka, J.; Dabirrahmani, D.; Woodford, P. Reamed locked intramedullary nailing for studying femur fracture and its complications. Eur. Cell Mater. 2017, 34, 99–107. [Google Scholar] [CrossRef]
- Gahlod, T.R.; Dhakate, M.; Upadhye, S.A.S.; Bawaskar, S. Management of femoral fracture with the use of horn peg in canine. Vet. World 2010, 3, 37. [Google Scholar]
- Suvarna, K.S.; Layton, C.; Bancroft, J.D. Bancroft’s Theory and Practice of Histological Techniques, 8th ed.; Elsevier: Beijing, China, 2019. [Google Scholar]
- Heiple, K.G.; Goldberg, V.M.; Powell, A.E.; Bos, G.D.; Zika, J.M. Biology of cancellous bone grafts. Orthop. Clin. N. Am. 1987, 18, 179–185. [Google Scholar] [CrossRef]
- Bigham, A.; Dehghani, S.; Shafiei, Z.; Nezhad, S.T. Xenogenic demineralized bone matrix and fresh autogenous cortical bone effects on experimental bone healing: Radiological, histopathological and biomechanical evaluation. J. Orthop. Traumatol. 2008, 9, 73–80. [Google Scholar] [CrossRef] [PubMed] [Green Version]
- Saber, S.; Khalil, R.M.; Abdo, W.S.; Nassif, D.; El-Ahwany, E. Olmesartan ameliorates chemically-induced ulcerative colitis in rats via modulating NFκB and Nrf-2/HO-1 signaling crosstalk. Toxicol. Appl. Pharmacol. 2019, 364, 120–132. [Google Scholar] [CrossRef] [PubMed]
- Claes, L.; Recknagel, S.; Ignatius, A. Fracture healing under healthy and inflammatory conditions. Nat. Rev. Rheumatol. 2012, 8, 133–143. [Google Scholar] [CrossRef] [PubMed]
- Mirhadi, S.; Ashwood, N.; Karagkevrekis, B. Factors influencing fracture healing. Trauma 2013, 15, 140–155. [Google Scholar] [CrossRef]
- Alemdaroğlu, K.B.; Tiftikçi, U.; Iltar, S.; Aydoğan, N.H.; Kara, T.; Atlihan, D.; Ateşalp, A.S. Factors Affecting the Fracture Healing in Treatment of Tibial Shaft Fractures With Circular External Fixator. Injury 2009, 40, 1151–1156. [Google Scholar] [CrossRef] [PubMed]
- Jarolmasjed, S.; Shahbazfar, A.-A.; Mohammadpour, H. Histpathological Anti-inflammatory Effects of Flunixin Meglumine and Ketoprofen on Excised Rat Tendon. Iran. J. Vet. Surg. 2015, 10, 53–58. [Google Scholar]
- Yaseen, F.N.; Taqa, G.A. Effect of Ketoprofen and Paracetamol on Bone Mineral Density in Rabbits. Int. J. Enhanc. Res. Sci. Technol. Eng. 2018, 7, 69–78. [Google Scholar]
- Moarabi, A.; Mossalla Nejad, B.; Imani Rastabi, H.; Baniadam, A.; Hoseini, H. Evaluation of Adverse Effects of Ketoprofen Following Experimental Tibial Osteotomy in Cats. Iran. Vet. J. 2016, 12, 99–110. [Google Scholar]
- Nicholls, P.J.; Berg, E.; Bliven, F.E., Jr.; Kling, J.M. X-ray diagnosis of healing fractures in rabbits. Clin. Orthop. Relat. Res. 1979, 142, 234–236. [Google Scholar] [CrossRef]
- Ochi, H.; Hara, Y.; Asou, Y.; Harada, Y.; Nezu, Y.; Yogo, T.; Shinomiya, K.; Tagawa, M. Effects of long-term administration of carprofen on healing of a tibial osteotomy in dogs. Am. J. Vet. Res. 2011, 72, 634–641. [Google Scholar] [CrossRef]
- Einhorn, T.A.; Gerstenfeld, L.C. Fracture healing: Mechanisms and interventions. Nat. Rev. Rheumatol. 2015, 11, 45. [Google Scholar] [CrossRef] [Green Version]
- Tovar, L.; Agut, A.; Sanchez-Valverde, M.; Lasaosa, J.; Gomez, M. Effect of flunixin meglumine on surgical skin wound healing in the rabbit. Arch. Med. Vet. 1992, 24, 169–174. [Google Scholar]
- Poundarik, A.A.; Wu, P.-C.; Evis, Z.; Sroga, G.E.; Ural, A.; Rubin, M.; Vashishth, D. A direct role of collagen glycation in bone fracture. J. Mech. Behav. Biomed. Mater. 2015, 52, 120–130. [Google Scholar] [CrossRef] [PubMed] [Green Version]
- Han, Y.; Gomez, J.; Hua, R.; Xiao, P.; Gao, W.; Jiang, J.X.; Wang, X. Removal of glycosaminoglycans affects the in situ mechanical behavior of extrafibrillar matrix in bone. J. Mech. Behav. Biomed. Mater. 2021, 123, 104766. [Google Scholar] [CrossRef] [PubMed]
- Arai, Y.; Choi, B.; Kim, B.J.; Park, S.; Park, H.; Moon, J.J.; Lee, S.-H. Cryptic ligand on collagen matrix unveiled by MMP13 accelerates bone tissue regeneration via MMP13/Integrin α3/RUNX2 feedback loop. Acta Biomater. 2021, 125, 219–230. [Google Scholar] [CrossRef] [PubMed]
- Gao, G.; Schilling, A.F.; Yonezawa, T.; Wang, J.; Dai, G.; Cui, X. Bioactive nanoparticles stimulate bone tissue formation in bioprinted three-dimensional scaffold and human mesenchymal stem cells. Biotechnol. J. 2014, 9, 1304–1311. [Google Scholar] [CrossRef]
- Barker, A.J.; Arthur, A.; DeNichilo, M.O.; Panagopoulos, R.; Gronthos, S.; Anderson, P.J.; Zannettino, A.C.; Evdokiou, A.; Panagopoulos, V. Plant-derived soybean peroxidase stimulates osteoblast collagen biosynthesis, matrix mineralization, and accelerates bone regeneration in a sheep model. Bone Rep. 2021, 14, 101096. [Google Scholar] [CrossRef] [PubMed]
- Zuniga, J.; Fuenzalida, M.; Guerrero, A.; Illanes, J.; Dabancens, A.; Diaz, E.; Lemus, D. Effects of steroidal and non steroidal drugs on the neovascularization response induced by tumoral TA3 supernatant on CAM from chick embryo. Biol. Res. 2003, 36, 233–240. [Google Scholar] [CrossRef] [Green Version]
- Manzano-Moreno, F.J.; Costela-Ruiz, V.J.; Melguizo-Rodríguez, L.; Illescas-Montes, R.; García-Martínez, O.; Ruiz, C.; Ramos-Torrecillas, J. Inhibition of VEGF gene expression in osteoblast cells by different NSAIDs. Arch. Oral Biol. 2018, 92, 75–78. [Google Scholar] [CrossRef]
- Sakayama, K.; Kidani, T.; Miyazaki, T.; Shirakata, H.; Kimura, Y.; Kamogawa, J.; Masuno, H.; Yamamoto, H. Effect of ketoprofen in topical formulation on vascular endothelial growth factor expression and tumor growth in nude mice with osteosarcoma. J. Orthop. Res. 2004, 22, 1168–1174. [Google Scholar] [CrossRef] [PubMed]
- Bahney, C.S.; Zondervan, R.L.; Allison, P.; Theologis, A.; Ashley, J.W.; Ahn, J.; Miclau, T.; Marcucio, R.S.; Hankenson, K.D. Cellular biology of fracture healing. J. Orthop. Res. 2019, 37, 35–50. [Google Scholar] [CrossRef] [PubMed] [Green Version]
- Orth, M.; Shenar, A.K.; Scheuer, C.; Braun, B.J.; Herath, S.C.; Holstein, J.H.; Histing, T.; Yu, X.; Murphy, W.L.; Pohlemann, T. VEGF-loaded mineral-coated microparticles improve bone repair and are associated with increased expression of epo and RUNX-2 in murine non-unions. J. Orthop. Res. 2019, 37, 821–831. [Google Scholar] [CrossRef]








| Timeline | Callus Formation | Bone Union | Bone Remodeling | p Value | ||||||
|---|---|---|---|---|---|---|---|---|---|---|
| Control | Ketoprofen | FM | Control | Ketoprofen | FM | Control | Ketoprofen | FM | ||
| 2 weeks | 2.5 ± 0.54 | 2 ± 0.84 | 3.14 ± 0.51 | 1.66 ± 0.51 | 0.83 ± 0.40 | 2.40 ± 0.40 | - | - | - | p < 0.05 |
| 4 weeks | 2.67 ± 0.52 | 1.66 ± 0.82 | 3.13 ± 0.51 | 1.83 ± 0.75 | 1.17 ± 0.75 | 2.42 ± 0.41 | - | - | - | p < 0.05 |
| 6 weeks | 3.17 ± 0.75 | 1.83 ± 0.75 | 2.29 ± 0.52 | 2.33 ± 0.52 | 1.17 ± 0.75 | 2.46 ± 0.40 | 0.33 ± 0.52 | 0 ± 0 | 1.33 ± 0.51 | p < 0.05 |
| 8 weeks | 2.67 ± 0.52 | 0.33 ± 0.52 | 0.59 ± 0.52 | 2.66 ± 0.52 | 0.33 ± 0.52 | 2.75 ± 0.41 | 1.33 ± 0.52 | 0 ± 0 | 2.33 ± 0.41 | p < 0.05 |
Publisher’s Note: MDPI stays neutral with regard to jurisdictional claims in published maps and institutional affiliations. |
© 2021 by the authors. Licensee MDPI, Basel, Switzerland. This article is an open access article distributed under the terms and conditions of the Creative Commons Attribution (CC BY) license (https://creativecommons.org/licenses/by/4.0/).
Share and Cite
Elgendy, M.; Elsayad, G.; Seleim, M.; Abdo, W.; Baty, R.S.; Elmahallawy, E.K.; Atiba, A. Flunixin Meglumine Enhanced Bone Fracture Healing in Rabbits Associated with Activation of Early Collagen Deposition and Enhancement of Vascular Endothelial Growth Factor Expression. Animals 2021, 11, 2834. https://doi.org/10.3390/ani11102834
Elgendy M, Elsayad G, Seleim M, Abdo W, Baty RS, Elmahallawy EK, Atiba A. Flunixin Meglumine Enhanced Bone Fracture Healing in Rabbits Associated with Activation of Early Collagen Deposition and Enhancement of Vascular Endothelial Growth Factor Expression. Animals. 2021; 11(10):2834. https://doi.org/10.3390/ani11102834
Chicago/Turabian StyleElgendy, Mohamed, Gamal Elsayad, Magdi Seleim, Walied Abdo, Roua S. Baty, Ehab Kotb Elmahallawy, and Ayman Atiba. 2021. "Flunixin Meglumine Enhanced Bone Fracture Healing in Rabbits Associated with Activation of Early Collagen Deposition and Enhancement of Vascular Endothelial Growth Factor Expression" Animals 11, no. 10: 2834. https://doi.org/10.3390/ani11102834
APA StyleElgendy, M., Elsayad, G., Seleim, M., Abdo, W., Baty, R. S., Elmahallawy, E. K., & Atiba, A. (2021). Flunixin Meglumine Enhanced Bone Fracture Healing in Rabbits Associated with Activation of Early Collagen Deposition and Enhancement of Vascular Endothelial Growth Factor Expression. Animals, 11(10), 2834. https://doi.org/10.3390/ani11102834

