Simple Summary
Feral cats (Felis catus) have a devastating impact on Australian native fauna. Several programs exist to control their numbers through lethal removal, using tools such as baiting with toxins. Adult male cats are especially difficult to control. We hypothesized that one way to capture these male cats is to lure them using female cats. As female cats are seasonal breeders, a method is needed to artificially induce reproductive (estrous) behavior so that they could be used for this purpose year-round (i.e., regardless of season). Estrogens can be given to cats to induce estrous behavior, but it is not known for how long this elevates the blood concentrations of estradiol. Following the administration of a long-acting estrogen, estradiol cypionate, to nine captive feral cats, blood estrogen concentrations remained elevated for several days. This information will be useful to ongoing studies that are investigating ways to reduce the abundance of feral cats in Australia, especially adult male cats.
Abstract
The control of feral cats (Felis catus) in Australia is a key biological conservation issue. Male cats are more difficult to control than female cats. Collared and tagged female cats displaying estrous behavior have been considered as a way to lure male cats and reveal their locations. As female cats are seasonal breeders, artificial induction of estrous behavior following the administration of a long-acting estrogen could improve their use for this purpose. Estradiol cypionate was intramuscularly administered to nine entire non-pregnant female feral cats, of unknown estrous status, at 0.1, 0.3, or 0.5 mg/kg. Mean peak serum concentrations of estradiol-17β were 365 pg/mL (0.1 mg/kg), 1281 pg/mL (0.3 mg/kg), and 1447 pg/mL (0.5 mg/kg). The time-course of estradiol-17β concentrations after various doses of estradiol cypionate was assessed using non-compartmental and non-linear mixed-effects methods. At the highest-studied dose (0.5 mg/kg), the 50th percentile of estradiol-17β concentrations exceeded 0.1 ng/mL for 11.8 days, and 0.05 ng/mL for 14.6 days. The duration increased with increasing dose. No signs of toxicity were noticed in any cat during the study. This information will be useful to ongoing studies that are investigating ways to reduce the abundance of feral cats in Australia, especially adult male cats.
1. Introduction
Control of feral cats (Felis catus) is considered a key conservation issue in Australia due to the threat they pose to many endangered animal species through predation and disease transmission [1]. Many Australian conservation organizations use broadcast sodium fluoroacetate (compound 1080) poison baits to kill feral cats [2,3]. It is rare (or undocumented) for all feral cats to be killed by a baiting program. Surviving individuals invariably consist predominantly of males that are larger and more adept at hunting and less likely to consume baits [3]. Targeting male cats for lethal control has therefore become a recent focus for feral cat control programs [4].
A cogitated approach for effective control of male cats that warrants consideration is to use reproductively cycling female cats as a lure. A number of methods to attract feral cats have been assessed and scent-based lures (anal gland preparations) were found to be the most effective [5].
A cycling female cat could attract a male cat and reveal its location by acting as a “Femme Fatale”. A Femme Fatale is analogous to a ‘Judas’ animal that is utilized to locate and kill individual animals of gregarious invasive species [6,7,8]. The Judas animal control technique was originally developed for feral goats (Capra hircus) [9], and this method has been enhanced through the use of Mata Hari female goats where, following tubal ligation, female goats are administered exogenous estrogen so they more actively seek out, and are searched for by, male goats [10,11].
The reproductive cycle of the cat is seasonal, and where a captured feral cat is in her estrous cycle is difficult to determine without considerable handling for assessment. Estrous behavior in the cat can be induced following the administration of exogenous estradiol-17β [12,13,14,15,16,17]. In a variety of mammalian species, including cats, there is a latency period of approximately 1–3 days between drug administration and the onset of estrous behavior that does not appear to be dependent on the dose administered [12,14,18,19,20]. Higher doses of estradiol-17β have been associated with longer periods of estrous behavior [19,21,22] and sustaining elevated blood concentrations of estradiol-17β can be achieved through the regular administration of estradiol-17β [12] or by giving custom-made subcutaneous implants of estradiol-17β [13,23]. An alternative and simple approach, more appropriate for use in a feral animal where minimal handling is required, could be to administer a single dose of a longer-acting preparation of estradiol-17β that is commercially available.
Numerous semisynthetic estrogens can confer a long duration of action. Commonly used preparations include estradiol cypionate, estradiol benzoate, and estradiol valerate [24,25], with estradiol cypionate having the longest duration of action [26,27]. Following the intramuscular injection of estradiol-17β esters (e.g., cypionate) in oily solutions, the oils are absorbed leaving a microcrystalline depot of estradiol cypionate at the injection site that is released into the circulation at a slow rate [23,28]. The disposition of radiolabeled (14C) estradiol-17β has been investigated in cats [29] but we are unaware of any studies on the disposition of estradiol-17β following the administration of estradiol cypionate in this species.
Estradiol cypionate has been used to stimulate estrous behavior in female cats [14,30] but due to concerns about estrogen toxicity, modern recommendations for the use of this drug in domestic cats are limited to pregnancy termination [24,25,31,32]. While assessing the persistence of behavior in feral animals is challenging, knowledge of the pharmacokinetics of estradiol cypionate in feral cats will assist the Femme Fatale technique by providing information on the length of time that supraphysiological concentrations of estradiol-17β persist for in cats post-injection. This information can be used in concert with the histological assessment of the ovaries and uteri to correlate the association between blood estradiol-17β concentration and the activity of the reproductive tract. The aim of this study was therefore to assess the disposition of estradiol-17β and the histological appearance of the ovaries and uteri in feral cats following the intramuscular administration of estradiol cypionate. This information could then be used in future behavioral and field studies. Subsequent field studies could then assess the efficacy of Femme Fatales in attracting male cats (e.g., through the use of cameras mounted to female cats) [33].
2. Material and Methods
2.1. Ethics Statement
Approval of our experimental work was provided by the animal ethics committees of Murdoch University (R3087/18) and the Department of Biodiversity, Conservation and Attractions (DBCA) (2018-25F). Both of these committees adhere to the Australian Code for the Care and Use of Animals for Scientific Purposes (2013). The experiment was carried out in January of 2019.
2.2. Study Animals
Nine mature, female feral cats (mean weight ± SE = 3.1 kg ± 0.32 kg; range = 2.4–3.6 kg) were captured at rural effuse sites (rubbish tips) in Western Australia, using Sheffield wire small cage traps (Sheffield Wire Products, Australia) [34]. Cats were transported to the Wildlife Research Centre of DBCA in Perth in their capture cages on the morning of capture.
2.3. Housing
Before the trial commenced, the cats were habituated to captivity for a period of one month. During this time, the cats were housed in groups of three in outdoor pens (3.0 × 5.0 × 2.0 m) constructed of cyclone wire. Each pen contained a medium-sized wooden kennel (80 × 60 × 60 cm; Allpet Products, Welshpool, Australia) to provide shelter. Enrichment included branches for scratching and climbing, and PVC pipes for hiding. Tinned cat food and dried cat biscuits were supplied daily to each animal and water was available ad libitum. Human interaction was restricted to pen cleaning and daily monitoring of the animals’ health. Monitoring included assessments of each animal’s mentation, appearance, gait, respiratory rate and effort, water and food intake, and fecal and urine output.
2.4. Trial
Each cat was randomly assigned to one of three groups to receive 0.1, 0.3, or 0.5 mg/kg of intramuscular estradiol cypionate (Depo-Estradiol®, Pfizer, NY, USA, 5 mg/mL).
The cats were relocated to smaller trial cages measuring 1.0 × 3.0 × 2.3 m. These cages had concrete floors and a litter tray, but otherwise, they were furnished the same as the pre-trial housing. On the first day of the study (day 0), each cat was physically captured and then sedated using a mixture of medetomidine (60 µg/kg, DomitorTM, Zoetis Australia, West Ryde, Australia, 1 mg/mL) and butorphanol (0.2 mg/kg, Torbugesic®, Bayer, Pymble, Australia, 10 mg/mL) that was injected intramuscularly. This was followed 1–5 min later by an intramuscular injection of ketamine (5 mg/kg, KetalarTM, Zoetis Australia, 100 mg/mL). Once sedated, each cat was weighed, and blood was collected from its jugular vein. Each cat was then injected with the assigned dose of estradiol cypionate. The animals were then monitored for 1–3 h before being returned to their trial cages.
The cats were re-captured, with nets or traps, from their trial cages for blood sampling. Blood was collected from alternating jugular veins on days 1, 2, 4, 6, 8, and 10. At each occasion, the cat was sedated with medetomidine, butorphanol, and ketamine and approximately 2 mL of blood was collected as described above. After blood sampling, all cats were given atipamezole (200 µg/kg, AntisedanTM, Zoetis Australia, 5 mg/mL) via intramuscular injection. The cats were closely observed for 1–3 h after the sampling before being returned to their trial cages.
Whole blood samples were centrifuged at 2500 g for 10 min immediately following sampling. A minimum of 0.5 mL of serum was submitted overnight to a pathology laboratory (Gribbles-Victoria, Australia) in foam cooler boxes containing ice. The serum samples were processed within 24 h.
The concentration of estradiol-17β in each serum sample was determined by ELISA using the ADVIA Centaur Estradiol-6 III assay. The linear range of this assay is reported by the manufacturer (Siemens, New York, NY, USA) as 0.007–1.0 ng/mL (25.7–3,670 pM), and using human serum samples with approximately 200–3400 pmol/L of estradiol-17β, the coefficient of variation has been externally assessed as being 8–24% [35]. For each serum sample with a concentration of estradiol-17β greater than 1 ng/mL (1000 pg/mL), the serum was diluted so that the concentration was within the linear range of the assay. The dilution factor was then used to determine the concentration of estradiol-17β in these samples.
At the completion of the trial, on day 10 after estradiol administration, cats were sedated using the methods described above and then euthanased by intravascular or intracardiac injection of 160 mg/kg of pentobarbitone (LethabarbTM Euthanasia Injection, Virbac, Sydney, Australia, 325 mg/mL).
2.5. Histology
Following euthanasia, samples of ovary and uterine horn from each cat were collected and fixed in 10% (v/v) neutral buffered formalin for histological examination. The fixed sections were blocked, embedded in paraffin, cut at 4 μm, and stained with haematoxylin and eosin. The slides were examined by a specialist veterinary pathologist who was blinded to the origin of the sections.
The reproductive tracts were histologically characterized into the stage of cycle based on the presence or absence of the ovarian follicles, corpora lutea, corpora albicans, and the appearance of the endometrium. Sections of ovary were examined for the presence or absence of primary, secondary, early tertiary and Graafian follicles, corpora lutea, and corpora albicans [36]. Corpora lutea were categorized according to an established luteal pseudopregnancy staging system [37] as either pseudopregnancy stage 1 (PP1), PP2, PP3, PP4.1, or PP4.2. Briefly, corpora lutea with elongated-to-round-shaped luteal cells with moderate numbers of small lipid droplets finely organized on the cell periphery (classified as type I vacuolation) were categorized as PP1. Corpora lutea with polyhedral-shaped luteal cells and moderate-to-heavy type I vacuolation were categorized as PP2. Corpora lutea with polyhedral-shaped luteal cells and moderate-to-heavy vacuolation, with large vacuoles that were coarsely scattered throughout the cell (classified as type II vacuolation), were categorized as PP3. Corpora lutea with irregularly-shaped luteal cells and heavy type II vacuolation were categorized as PP4.1. Corpora lutea with signet ring-shaped luteal cells with heavy type II vacuolation were categorized as PP4.2.
Sections of uterine horn were examined and classified using an established system [38]. The endometrium was classified as either a single, pseudostratified, or hyperplastic epithelial lining. The endometrial glands were classified as having either a single cell lining, pseudostratified lining, or hyperplastic lining with or without glandular secretion and dilatation, cystic changes, and/or proliferation of the endometrial glands.
2.6. Non-Compartmental Pharmacokinetic Calculations
The maximum serum concentration (Cmax) of estradiol-17β following intramuscular administration was the highest measured concentration for each animal. The time at Cmax (tmax) was also recorded. The terminal rate constant (λz) was calculated as the negative slope of the semi-logarithm plot of each animal created from the terminal time points (t = 2, 4, 6, 8, and 10 days). Either the last four or five time points were used depending on which negative slope was supported by the higher R2 value. The terminal half-life (t1/2β) was calculated as ln(2)/λz. The area under the serum concentration time curve (AUC0→∞) was estimated by the trapezoidal rule extrapolated to infinite time. The non-compartmental calculation of the volume of distribution [39] at pseudo-equilibrium was not calculated because it relies on the rate constant, λz, being an elimination rate constant. Given that the drug disposition following intramuscular administration follows flip-flop (absorption-limiting) kinetics, this assumption is invalid.
2.7. Pharmacokinetic Modelling
A non-linear mixed-effects (NLME) model [40] was defined in Monolix (Lixoft, Antony, France). The structural model was a one-compartment mammillary model of the form:
where absorption and elimination were both first order, and the starting estradiol-17β concentration was implemented as an initial condition for the central compartment. The one-compartment structure was selected after observation of scattered log-transformed concentration-time data. The parameters to be estimated were:
- ka: Absorption rate constant
- VC/F: Central compartment volume of distribution
- C1: Difference between absorption and elimination (ke) rate constants
- BX: Baseline estradiol-17β concentration
- σε: Residual error standard deviation
The statistical model specified log-normal distributions of the parameters, and a proportional error model. As all parameters are therefore positively valued, in this model, the absorption rate constant must be smaller than the elimination rate constant (Equation (3); [41]). A random effect (between-subject variability) was not estimated for the volume of distribution, as initial analysis suggested that the data were not sufficient to support this.
Goodness-of-fit of the model was assessed by visualization of the observed and predicted estradiol-17β concentrations, the relative standard errors (RSE%) of the parameter estimates, and the Bayesian information criterion (BIC).
Two estimates of a supraphysiological serum concentration of estradiol-17β were chosen for simulations: 0.1 ng/mL and 0.05 ng/mL. These estimates were based on the natural cycles of estradiol-17β in domestic cats [42,43]. To determine the predicted time at which the proposed threshold concentrations of interest would be reached, simulations were conducted from the final pharmaco-statistical model. Simulations of 2000 subjects (for each dose) were performed using the ‘Simulx’ package in R (version R-3.6.3) [44]. A range of doses, including and above the studied doses, was examined, and the time for which 10%, 50%, and 90% of simulated subjects exceeded the target concentrations was determined. The prediction intervals were obtained across the simulated time series, and interpolating splines used to determine the time-to-reach-target.
3. Results
No evidence of ill-health was detected in any cat for the duration of this study.
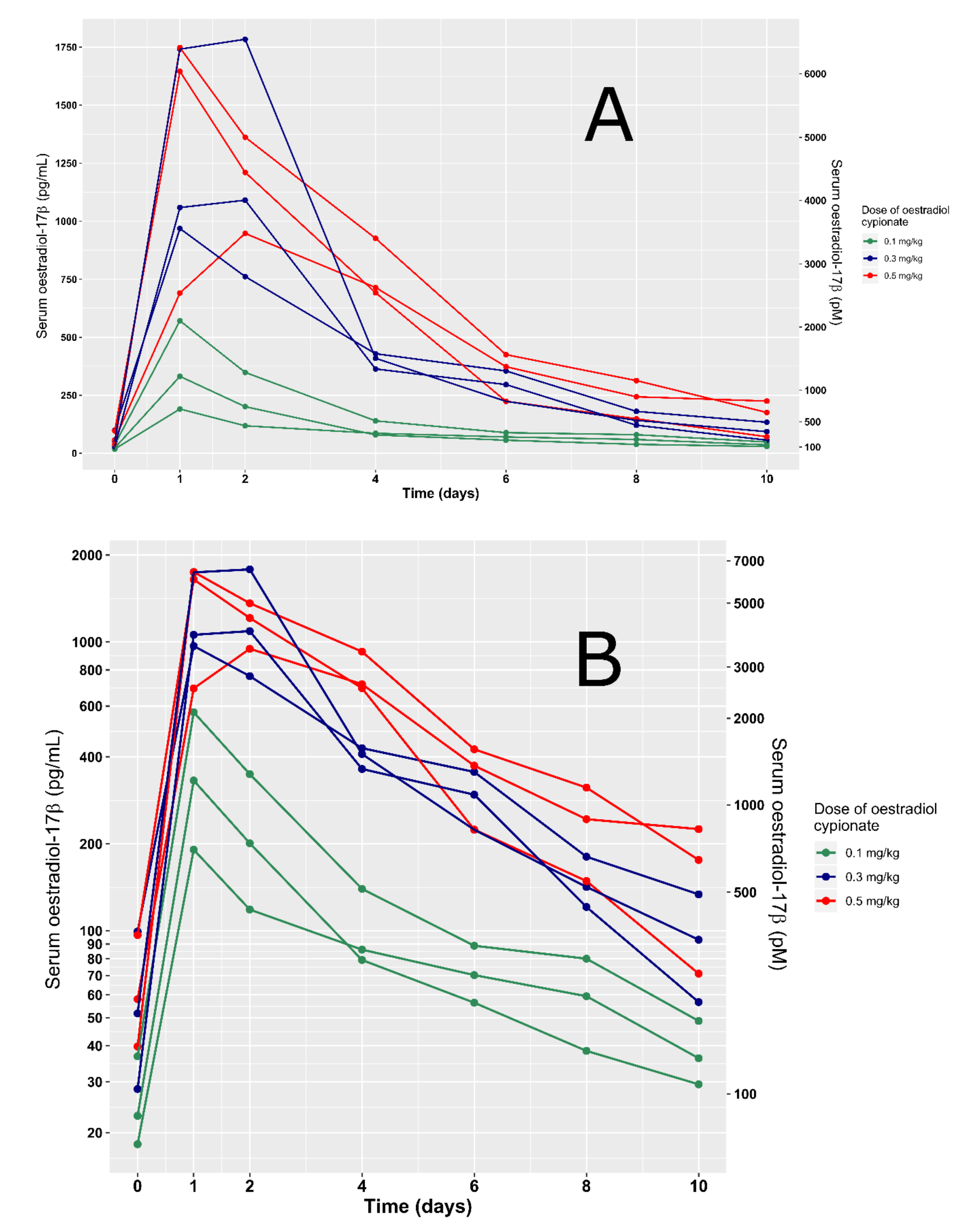
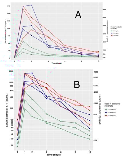
Higher doses of estradiol cypionate were generally associated with higher maximum serum concentrations of estradiol-17β (Figure 1) and larger areas under their respective serum concentration time curves (Table 1).
Figure 1.
Observed serum concentration of estradiol-17β following the intramuscular administration of 0.1–0.52 mg/kg of estradiol cypionate to nine feral cats. Linear (A) and log10 scales (B).
Table 1.
Pharmacokinetic parameters of estradiol-17β in feral cats and other species.
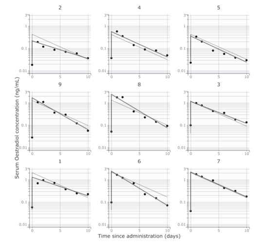
The final model with proportional error variance, log-normal distributions of the pharmacokinetic parameters, and baseline estradiol-17β concentrations as the initial model condition was a reasonable fit to the available data (Figure 2). Each subject’s data was closely predicted (Figure 3) and there was no apparent model failure across the studied doses. The major apparent weakness of the final model was difficulty obtaining a smooth curve prior to the first observation at day 1, presumably due to the lack of information in the data regarding this phase. The parameter estimates obtained from the final model are described in Table 2. The size of the residual error was small (b = 0.21).
Figure 2.
Individual goodness-of-fit plots for the estradiol-17β concentrations after intramuscular administration of estradiol cypionate. Subjects 2, 4, and 5: nominal dose 0.1 mg/kg (of estradiol cypionate); subjects 9, 8, and 3: nominal dose 0.3 mg/kg; subjects 1, 6, and 7: nominal dose 0.5 mg/kg. Points are the individual observations. Solid lines are the individual predictions. Dashed (light grey) lines are the population predictions (fixed effects only).
Figure 3.
Identity (observations vs. predictions) plots for serum estradiol-17β concentrations on logarithmic axes. The left panel is the population predictions (fixed effects), and the right panel is the individual predictions (fixed and random effects). The solid line is the line of identity (y = x). This model uses proportional residual error.
Table 2.
Parameter estimates from the nonlinear mixed-effects (NLME) model.
Parameters were precisely estimated with relative standard error (RSE%) of the fixed effects ranging from 2.5 to 18%. Though RSE% were small, the estimates for the elimination rate and volume of distribution were highly correlated (R: −0.567), suggesting that these parameters were not individually identifiable. This is unsurprising considering that the terminal phase, representing most of the available data, is dominated by the absorption process in this case.
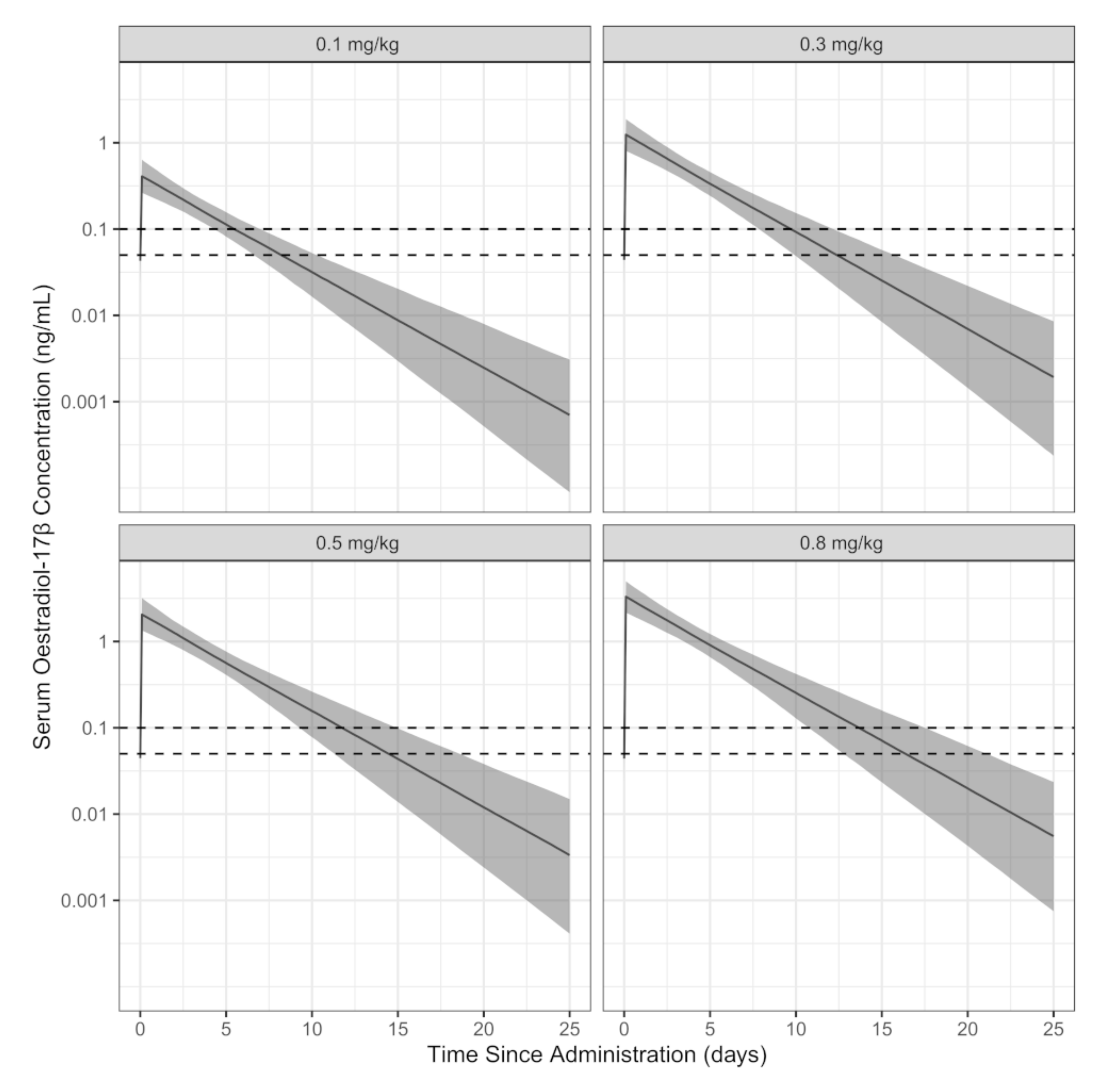
From the final model, a simulated population was used to determine the predicted duration that threshold concentrations (100 pg/mL and 50 pg/mL) were exceeded, after various doses (Figure 4). The durations for the 10th, 50th (median), and 90th percentiles are shown in Table 3. As expected, the time-to-reach target increased with increasing dose. Most of these estimated times, particularly for target 0.05 ng/mL, were extrapolated beyond the observation times from the experiment.
Figure 4.
Predicted time-course of estradiol-17β concentrations after simulated administration of 0.1, 0.3, 0.5, or 0.8 mg/kg intramuscular estradiol cypionate from the final pharmaco-statistical model. Each dose comprises 2000 simulated subjects. The dark solid line is the median concentration. The band represents, from top-down, the 90th and 10th percentile concentrations. The dashed lines represent 0.1 (upper) and 0.05 (lower) ng/mL of estradiol-17β.
Table 3.
Predicted population time-to-reach-concentration (days), for the target estradiol-17β serum concentrations of 0.1 ng/mL and 0.05 ng/mL, after administration of various doses of intramuscular estradiol cypionate. For each dose, 2000 subjects were simulated from the final pharmaco-statistical model, including residual error in the predicted concentrations. The times to reach the target concentrations were determined from interpolating splines fitted to the empirical percentiles.
The reproductive tracts from all cats were histologically consistent with luteal phase, ranging from PP1 to PP3/4 (Figure 5 and Figure 6, Table 4). The sections of ovaries from all cats contained one to multiple corpora lutea in various phases of development and regression, numerous follicles in varying phases of development raging from primary to tertiary follicles, and an ovary from a single cat contained a single corpus albicans. The uteri from eight of the nine cats were also histologically consistent with the luteal phase with hyperplastic endometrium and numerous elongated endometrial glands.
Figure 5.
Feline ovary. The ovary contains a corpus luteum (white arrow), a corpus albicans (asterisk), and ovarian follicles at various developmental stages (black arrows). Hematoxylin & Eosin (H&E) stain. Bar = 500 µm.
Figure 6.
Feline uterine horn. The endometrium demonstrates elongated long glands (arrowhead), which are characteristic of the luteal stage. H&E stain. Bar = 500 µm.
Table 4.
Histological characterization and staging of ovaries and uterine horns.
4. Discussion
This study has provided the first report of the disposition of estradiol-17β and the histological appearance of the ovaries and uteri in female feral cats of unknown cycle stage, following the intramuscular administration of estradiol cypionate.
In our study, the pre-drug serum concentrations of estradiol-17β ranged from 18.2 to 96.7 pg/mL (mean = 50.2 pg/mL, 95% CI = 27.2–73.2 pg/mL). These concentrations are similar to those reported in investigations of domestic cats. In one study, the mean peak and trough plasma concentrations of endogenous estradiol-17β during polyestrous in four naturally cycling female cats were 59.5 pg/mL and 8.1 pg/mL, respectively [43]. In a separate study, the peak plasma concentrations of estradiol-17β in domestic cats were 50–70 pg/mL [42].
Other studies have provided insights into the association between blood concentrations of estradiol-17β and estrous behavior and/or mating. In a previous study [42], the follicular phase was defined by plasma estradiol-17β concentrations that exceeded 20 pg/mL and using that definition, 100% of cats (n = 23) displayed estrous behavior by the sixth day of the follicular phase, but the percentage steadily declined over the next six days. That is, sexual behavior was still seen in some cats outside of the follicular phase; plasma concentrations of estradiol-17β were approximately 8–10 pg/mL at that time. In another study, male cats were observed to mate with female cats who had plasma estradiol-17β concentrations of 3.8–146 pg/mL (mean ± SE = 40.3 ± 15.6) [16]. In that same study, mating was also seen in female cats following the subcutaneous administration of 4 cm or 8 cm implants of estradiol-17β (the specific dose was not reported) that resulted in plasma estradiol-17β concentrations of 29 ± 2 and 48 ± 4 pg/mL, respectively.
Following the administration of 0.5 mg/kg of estradiol cypionate, we found that the mean number of days that serum concentrations of estradiol-17β exceeded 20 pg/mL was 17.8 days. Clearly, lower doses exceeded higher concentrations for shorter periods of time. For example, following 0.1 mg/kg of estradiol cypionate, the mean number of days above 100 pg/mL was only 3.9 days. A dose-independent latency of approximately 1–3 days between drug administration and the onset of estrous behavior has been described by others [12,14,18,19,20]. Even accommodating for this period of latency, it is reasonable to assume that estrous behavior in female feral cats would last for at least several days following the administration of higher doses (e.g., 0.5 mg/kg) of estradiol cypionate. This is consistent with other studies: another study [22] found that two days after the subcutaneous administration of 0.45 mg (total dose) of estradiol benzoate to female cats, the median duration of mating was 6.2 days. It was found that mating with male cats continued for less than a week after the cessation of daily subcutaneous administration of stilbestrol dipropionate or crystalline estradiol-17β to ovariectomized female cats [12]. Additionally, in a separate study, two 0.25 mg doses of intramuscular estradiol cypionate were administered 48 h apart to nine sexually demonstrative mixed-breed adult female cats [14]. Estrous behavior usually lasted for 14–28 days.
The persistence of supraphysiological plasma concentrations of estradiol-17β following the administration of estradiol cypionate has also been described in llamas (Lama glama) and humans, albeit at lower doses than what was used in our study. In a study on six sexually mature female llamas, supraphysiological plasma concentrations of estradiol-17β persisted for nine days following the intramuscular administration of 2.5 mg of estradiol cypionate [27]. In ten 20–35-year-old women, plasma concentrations of estradiol-17β did not return to baseline levels for 11.8 days after the intramuscular administration of 5 mg of estradiol cypionate [26]. In our study, and those by others [26,27], results were complicated by the presence of endogenous estradiol-17β. This challenge has been addressed in different ways.
One study [26] did not correct for the pre-dose plasma concentrations of estrogen, as the women in that study had been treated daily with oral contraceptives of 150 µg of levonorgestrel and 30 µg of ethinylestradiol. Treatment lasted for at least three months before the study commenced and continued for the duration of the study. This approach was intended to result in a relatively constant and low plasma concentration of estradiol-17β. Further, the anti-sera that was used to quantify plasma estradiol-17β cross-reacted by less than 0.1% with ethinylestradiol. Our study cats had not been treated with estrogens before our experiment commenced and could have been at any stage of their cycle, and so not surprisingly had a wide range of pre-dose serum concentrations of estradiol-17β. We decided to not subtract the baseline (endogenous) serum estrogen concentrations from the post-dose sample measurements for two reasons. First, the majority of serum estradiol-17β concentrations exceeded the baseline measurements substantially. In a study on oral estradiol cypionate in rats, this logic was used to leave post-dose serum concentrations of estradiol-17β unadjusted [47]. Although not stated explicitly, it appears that another study [27] did not adjust for physiological plasma concentrations of estradiol-17β in their pharmacokinetic calculations. The second reason why we chose not to adjust for baseline serum concentrations of estradiol-17β was that one of our later serum concentrations of estradiol-17β (from Cat 6) was below the pre-dose serum concentrations. Adjusting values in accordance with pre-dose serum concentrations could therefore result in negative serum estradiol-17β concentrations. A post-dose concentration that is lower than the pre-dose concentration could be due to negative feedback of exogenous estrogen on the gonadotropins in the pituitary gland; an effect that has been described in women [48], female sheep, [49] and female cats [50].
The ability to directly include the endogenous pre-study estradiol-17β concentration in a simple way is an advantage of the model-based approach. The reasonable fit of this model across concentrations, without a mechanism for ongoing endogenous estrogen release, supports the view that endogenous estrogen release was negligible during the observation window and that the observed estradiol-17β pharmacokinetics were dominated by the absorption rate. More advanced techniques for the treatment of endogenous analytes, such as those based on linear systems theory or deconvolution, could directly estimate the input of endogenous estradiol-17β as a function of time, but were considered beyond the scope of the current study and data.
A pharmaco-statistical (i.e., NLME) model is an ideal tool for statistical inference from pharmacokinetic data, as the model structure systematically accounts for variation between subjects, and information is borrowed across all doses and subjects simultaneously. The NLME model in this study met the objective of describing the time course of estradiol-17β concentrations as a function of dose. However, some limitations of the model are worth highlighting. The simulation of a large hypothetical population of cats is not intended to overcome the small sample size; it is instead a tool to explore, in detail, the information contained within the data, under specific assumptions. To apply the predictions to a true population rigorously, an external validation procedure would be needed. The primary limitation to the internal validity of those simulations from the current study is the reasonableness of the log-normal distribution selected for the absorption rate constant; this is difficult to evaluate with a small sample size. A key observation in the analysis of these data was that the volume of distribution and the elimination rate constant were difficult to estimate, presumably due to identifiability constraints. As the pharmacokinetic observations were dominated by the absorption rate (flip-flop phenomenon), the data are not very informative regarding these parameters. This could readily be resolved by the addition of intravenous data, and the NLME approach to analysis facilitates this. The estimates of these parameters from the current study are essentially arbitrary, and they should not be considered externally valid or used for any other purpose.
A liquid chromatography-mass spectrometry assay was recently developed for the specific detection of estradiol cypionate (as distinct from estradiol-17β) [46]. This was to address the complication of measuring endogenous and exogenous estradiol-17β concurrently, but obviously this has utility only to those studies using the cypionate ester of estradiol-17β. This assay is therefore more appropriate for drug monitoring than for use in studies intending to assess the biological effects of estradiol-17β.
In our study, some cats had peak serum concentrations of estradiol-17β that were over 1,600 pg/mL, which is more than an order of magnitude higher than concentrations measured in naturally cycling female cats [42,43]. Further, the highest dose we administered (0.5 mg/kg) is greater than the clinical doses of estradiol cypionate that are advocated for pregnancy termination in cats, which range from 0.25 mg/cat (~0.06 mg/kg for an adult cat; [24,31]) to 0.25 mg/kg [25]. Cats are reported to be more susceptible to the adverse side effects of estrogens than ferrets, rats, mice, and dogs [32]. Side effects of estradiol-17β include cystic endometrial hyperplasia, pyometra, and dose-dependent bone marrow toxicity leading to leukopenia, thrombocytopenia, and fatal aplastic anemia [24]. In some cases, the bone marrow depression may be transient with resolution beginning in 30–40 days [25]. Estradiol-17β has been associated with a minor decrease in aggression in ovariectomized and entire female cats as defined by a slightly (but statistically significant) prolonged latency time to attack anaesthetized rats [51]. In rats, estradiol cypionate was associated with a significant increase in vaginal counts of culturable bacteria three days after treatment [52]. Our histological assessment of the ovaries and uterus horns did not reveal any lesions, but our study did not otherwise investigate estradiol-17β toxicity. Nevertheless, no overt signs of illness were detected in any cat during daily monitoring for the 10 days following administration of estradiol cypionate.
In cats, daily doses of diethylstilbestrol between 0.1 mg/kg and 2–4 mg/kg are associated with average survival rates of 25–75 days [32]. At daily doses of 4–10 mg/kg, the average survival time reduces to 10–25 days [32]. Lethal single doses are typically defined at about 10–70 mg/kg [32]. It should be noted that estradiol-17β has been shown to be more potent than diethylstilbestrol in rats [53] and women [23] for a number of estrogenic-mediated responses, but their relative potency in cats is not described. It appears, based on the lack of any relevant observations, that the single doses of estradiol cypionate administered in this study (0.1–0.5 mg/kg) are below the total dose associated with death in cats, or that toxicity manifests clinically more than 10 days after drug administration.
Following the assessment of the uterus horns, we found that eight out of nine cats had minimal-to-moderate hyperplasia of the endometrium, which is consistent with the findings by Harris and Michael [13], where an increase in endometrial surface area was observed in ovariectomized female cats administered estrogen implants. All cats were in the luteal phase but a limitation of the histological aspect of our study is that we did not have a no-drug control group nor did we perform a suite of assessments of the reproductive tract before administering the drug (e.g., ultrasound, vaginal cytology, etc.). This would have aided in determining when the cats might have ovulated. Another limitation is that progesterone was not measured in the serum samples and so interpreting the histological appearance of the ovaries becomes problematic. The presence of luteal tissue may indicate a drug-induced diestrus, with production of progesterone. Behavioral effects of excessive progesterone are inhibitory; feral cats receiving an oral progesterone-type compound in food showed fewer estrous cycles, a lack of sexual interest and loss of ‘‘social status’’ [54]. This highlights the potential interaction of hormonal treatment with the natural reproductive cycle of the cats and indicates the need for further investigation of the behavior and hormonal effects when cats are in seasonal anestrus. In particular, future behavioral studies should consider ovariectomized cats. Without an ovarian response to the exogenous estrogen, the potentially confounding effect of progesterone would be removed.
5. Conclusions
This study has provided the first report of the disposition of estradiol-17β and the histological appearance of the ovaries and uterus horns in female feral cats following the intramuscular administration of estradiol cypionate. It was shown that supraphysiological serum concentrations of estradiol-17β persisted for several days following the administration of this long-acting estrogen. This will assist future behavioral studies and field investigations into the suitability of Femme Fatales for the management of male cats in feral cat control programs. Further work is needed to ascertain the impact these concentrations have on the behavior of female cats and for how long these female cats can be used as lures for adult male cats. Subsequent work would then be required to translate attracting male cats into effectively killing male cats that are attracted to Femme Fatale animals.
Author Contributions
T.H.H.: conceptualization, methodology, software, validation, investigation, resources, data curation, formal analysis, writing—original draft, writing—review and editing, supervision, project administration, funding acquisition. K.L.A.: conceptualization, methodology, investigation, resources, data curation, writing—original draft, project administration, funding acquisition. A.P.W.: methodology, software, validation, resources, data curation, formal analysis, writing—original draft, writing—review and editing. F.C.: methodology, validation, investigation, resources, data curation, formal analysis, writing—original draft. J.O.H.: writing—original draft, writing—review and editing. D.N.: conceptualization, methodology, validation, investigation, resources, data curation, supervision, project administration, funding acquisition. N.H.: investigation, resources, supervision, project administration. A.B.: conceptualization, methodology, writing—review and editing, supervision, project administration. D.A.: conceptualization, methodology, validation, investigation, resources, writing—review and editing, supervision, project administration, funding acquisition. All authors have read and agreed to the published version of the manuscript.
Funding
This research received no external funding.
Acknowledgments
This study was supported by the Department of Biodiversity, Conservation and Attractions (DBCA) and Murdoch University. Academic license for Monolix was provided by Lixoft, France.
Conflicts of Interest
The authors declare no conflict of interest.
References
- Woinarski, J.C.; Burbidge, A.A.; Harrison, P.L. Ongoing unraveling of a continental fauna: Decline and extinction of Australian mammals since European settlement. Proc. Natl. Acad. Sci. USA 2015, 112, 4531–4540. [Google Scholar] [CrossRef]
- Short, J.; Turner, B.; Risbey, D.A.; Carnamah, R. Control of feral cats for nature conservation. II. Population reduction by poisoning. Wildl. Res. 1997, 24, 703–714. [Google Scholar] [CrossRef]
- Algar, D.; Burbidge, A.; Angus, G. Cat eradication on Hermite Island, Montebello Islands, Western Australia. In Turning the Tide: The Eradication of Invasive Species; Veitch, C.R., Clout, M.N., Eds.; Invasive Species Specialist Group of the World Conservation Union (IUCN): Auckland, New Zealand, 2002; pp. 14–18. [Google Scholar]
- Algar, D.; Angus, G.; Onus, M. Eradication of feral cats on Rottnest Island, Western Australia. J. R. Soc. West. Aust. 2011, 94, 439–443. [Google Scholar]
- Edwards, G.; Piddington, K.; Paltridge, R. Field evaluation of olfactory lures for feral cats (Felis catus L.) in central Australia. Wildl. Res. 1997, 24, 173–183. [Google Scholar] [CrossRef]
- Spencer, P.B.; Hampton, J.O.; Pacioni, C.; Kennedy, M.S.; Saalfeld, K.; Rose, K.; Woolnough, A.P. Genetic relationships within social groups influence the application of the Judas technique: A case study with wild dromedary camels. J. Wildl. Manag. 2015, 79, 102–111. [Google Scholar] [CrossRef]
- Woolnough, A.P.; Hampton, J.O.; Campbell, S.; Lethbridge, M.R.; Boardman, W.S.; Sharp, T.; Rose, K. Field immobilization of feral ‘Judas’ donkeys (Equus asinus) by remote injection of medetomidine and ketamine and antagonism with atipamezole. J. Wildl. Dis. 2012, 48, 435–443. [Google Scholar] [CrossRef]
- McIlroy, J.; Gifford, E. The ‘Judas’ pig technique: A method that could enhance control programmes against feral pigs, Sus scrofa. Wildl. Res. 1997, 24, 483–491. [Google Scholar] [CrossRef]
- Taylor, D.; Katahira, L. Radio telemetry as an aid in eradicating remnant feral goats. Wildl. Soc. Bull. 1988, 16, 297–299. [Google Scholar]
- Campbell, K.J.; Baxter, G.S.; Murray, P.J.; Coblentz, B.E.; Donlan, C.J. Development of a prolonged estrus effect for use in Judas goats. Appl. Anim. Behav. Sci. 2007, 102, 12–23. [Google Scholar] [CrossRef]
- Carrion, V.; Donlan, C.J.; Campbell, K.J.; Lavoie, C.; Cruz, F. Archipelago-wide island restoration in the Galápagos Islands: Reducing costs of invasive mammal eradication programs and reinvasion risk. PLoS ONE 2011, 6. [Google Scholar] [CrossRef]
- Michael, R.; Scott, P.P. The activation of sexual behaviour in cats by the subcutaneous administration of oestrogen. J. Physiol. 1964, 171, 254–274. [Google Scholar] [CrossRef] [PubMed]
- Harris, G.; Michael, R. The activation of sexual behaviour by hypothalamic implants of oestrogen. J. Physiol. 1964, 171, 275–301. [Google Scholar] [CrossRef] [PubMed]
- Hart, B.L. Facilitation by estrogen of sexual reflexes in female cats. Physiol. Behav. 1971, 7, 675–678. [Google Scholar] [CrossRef]
- Beyer, C.; Morali, G.; Larsson, K.; Södersten, P. Steroid regulation of sexual behavior. J. Steroid Biochem. 1976, 7, 1171–1176. [Google Scholar] [CrossRef]
- Johnson, L.M.; Gay, V.L. Luteinizing hormone in the cat. II. Mating-induced secretion. Endocrinology 1981, 109, 247–252. [Google Scholar] [CrossRef]
- Robison, B.L.; Sawyer, C.H. Hypothalamic control of ovulation and behavioral estrus in the cat. Brain Res. 1987, 418, 41–51. [Google Scholar] [CrossRef]
- Quadagno, D.M.; McCullough, J.; Langan, R. The effect of varying amounts of exogenous estradiol benzoate on estrous behavior in the rat. Horm. Behav. 1972, 3, 175–179. [Google Scholar] [CrossRef]
- Dial, G.; Dial, O.; Bevier, G.; Glenn, S.; Dziuk, P. Estrous behavior and circadian discharge of luteinizing hormone in the prepubertal gilt in response to exogenous estrogen. Biol. Reprod. 1983, 29, 1047–1056. [Google Scholar] [CrossRef]
- McCarthy, M.M.; Albrecht, E.D. Steroid regulation of sexual behavior. Trends Endocrinol. Metab. 1996, 7, 324–327. [Google Scholar] [CrossRef]
- Lindsay, D. Modification of behavioural oestrus in the ewe by social and hormonal factors. Anim. Behav. 1966, 14, 73–83. [Google Scholar] [CrossRef]
- Peretz, E. Estrogen dose and the duration of the mating period in cats. Physiol. Behav. 1968, 3, 41–43. [Google Scholar] [CrossRef]
- Kuhl, H. Pharmacology of estrogens and progestogens: Influence of different routes of administration. Climacteric 2005, 8, 3–63. [Google Scholar] [CrossRef] [PubMed]
- Papich, M.G. Saunders Handbook of Veterinary Drugs: Small and Large Animal, 4th ed.; Elsevier Health Sciences: St. Louis, MO, USA, 2016. [Google Scholar]
- Plumb, D.C. Plumb’s Veterinary Drug Handbook, 7th ed.; PharmaVet Inc.: Stockholm, WI, USA, 2011. [Google Scholar]
- Oriowo, M.; Landgren, B.-M.; Stenström, B.; Diczfalusy, E. A comparison of the pharmacokinetic properties of three estradiol esters. Contraception 1980, 21, 415–424. [Google Scholar] [PubMed]
- Cavilla, M.V.; Bianchi, C.P.; Aba, M.A. Oestradiol-17β plasma concentrations after intramuscular injection of oestradiol benzoate or oestradiol cypionate in llamas (Lama glama). Acta Vet. Scand. 2010, 52, 13. [Google Scholar] [CrossRef] [PubMed]
- Kuhl, H. Pharmacokinetics of oestrogens and progestogens. Maturitas 1990, 12, 171–197. [Google Scholar] [CrossRef]
- Shille, V.; Haggerty, M.; Shackleton, C.; Lasley, B. Metabolites of estradiol in serum, bile, intestine and feces of the domestic cat (Felis catus). Theriogenology 1990, 34, 779–794. [Google Scholar] [CrossRef]
- Hart, B.L.; Leedy, M.G. Female sexual responses in male cats facilitated by olfactory bulbectomy and medial preoptic/anterior hypothalamic lesions. Behav. Neurosci. 1983, 97, 608. [Google Scholar] [CrossRef]
- Herron, M.; Sis, R. Ovum transport in the cat and the effect of estrogen administration. Am. J. Vet. Res. 1974, 35, 1277. [Google Scholar]
- Hart, J. Endocrine pathology of estrogens: Species differences. Pharmacol. Ther. 1990, 47, 203–218. [Google Scholar] [CrossRef]
- McGregor, H.; Legge, S.; Jones, M.E.; Johnson, C.N. Feral cats are better killers in open habitats, revealed by animal-borne video. PLoS ONE 2015, 10. [Google Scholar] [CrossRef]
- Molsher, R. Trapping and demographics of feral cats (Felis catus) in central New South Wales. Wildl. Res. 2001, 28, 631–636. [Google Scholar] [CrossRef]
- Coucke, W.; Devleeschouwer, N.; Libeer, J.-C.; Schiettecatte, J.; Martin, M.; Smitz, J. Accuracy and reproducibility of automated estradiol-17 β and progesterone assays using native serum samples: Results obtained in the Belgian external assessment scheme. Hum. Reprod. 2007, 22, 3204–3209. [Google Scholar] [CrossRef] [PubMed]
- Reynaud, K.; Gicquel, C.; Thoumire, S.; Chebrout, M.; Ficheux, C.; Bestandji, M.; Chastant-Maillard, S. Folliculogenesis and morphometry of oocyte and follicle growth in the feline ovary. Reprod. Domest. Anim. 2009, 44, 174–179. [Google Scholar] [CrossRef] [PubMed]
- Amelkina, O.; Braun, B.C.; Dehnhard, M.; Jewgenow, K. The corpus luteum of the domestic cat: Histologic classification and intraluteal hormone profile. Theriogenology 2015, 83, 711–720. [Google Scholar] [CrossRef] [PubMed]
- Chatdarong, K.; Rungsipipat, A.; Axnér, E.; Forsberg, C.L. Hysterographic appearance and uterine histology at different stages of the reproductive cycle and after progestagen treatment in the domestic cat. Theriogenology 2005, 64, 12–29. [Google Scholar] [CrossRef]
- Toutain, P.-L.; Bousquet-Mélou, A. Volumes of distribution. J. Vet. Pharmacol. Ther. 2004, 27, 441–453. [Google Scholar] [CrossRef]
- Bon, C.; Toutain, P.; Concordet, D.; Gehring, R.; Martin-Jimenez, T.; Smith, J.; Pelligand, L.; Martinez, M.; Whittem, T.; Riviere, J. Mathematical modeling and simulation in animal health. Part III: Using nonlinear mixed-effects to characterize and quantify variability in drug pharmacokinetics. J. Vet. Pharmacol. Ther. 2018, 41, 171–183. [Google Scholar] [CrossRef]
- Yáñez, J.A.; Remsberg, C.M.; Sayre, C.L.; Forrest, M.L.; Davies, N.M. Flip-flop pharmacokinetics–delivering a reversal of disposition: Challenges and opportunities during drug development. Ther. Deliv. 2011, 2, 643–672. [Google Scholar] [CrossRef]
- Shille, V.; Lundström, K.E.; Stabenfeldt, G. Follicular function in the domestic cat as determined by estradiol-17 β concentrations in plasma: Relation to estrous behavior and cornification of exfoliated vaginal epithelium. Biol. Reprod. 1979, 21, 953–963. [Google Scholar] [CrossRef]
- Verhage, H.; Beamer, N.; Brenner, R. Plasma levels of estradiol and progesterone in the cat during polyestrus, pregnancy and pseudopregnancy. Biol. Reprod. 1976, 14, 579–585. [Google Scholar] [CrossRef]
- R Core Team. R: A Language and Environment for Statistical Computing; R Foundation for Statistical Computing: Vienna, Austria, 2019. [Google Scholar]
- Vynckier, L.; Debackere, M.; De Kruif, A.; Coryn, M. Plasma estradiol-17ß concentrations in the cow during induced estrus and after injection of estradiol-17ß benzoate and estradiol-17ß cypionate-a preliminary study. J. Vet. Pharmacol. Ther. 1990, 13, 36–42. [Google Scholar] [CrossRef] [PubMed]
- Martins, R.S.; Antunes, N.J.; Comerlatti, G.; Caraccio, G.; Moreno, R.A.; Frecentese, F.; Caliendo, G.; De Nucci, G. Quantification of estradiol cypionate in plasma by liquid chromatography coupled with tandem mass spectrometry: Application in a pharmacokinetic study in healthy female volunteers. J. Pharm. Biomed. Anal. 2019, 170, 273–278. [Google Scholar] [CrossRef] [PubMed]
- Lokind, K.B.; Lorenzen, F.H.; Bundgaard, H. Oral bioavailability of 17β-estradiol and various ester prodrugs in the rat. Int. J. Pharm. 1991, 76, 177–182. [Google Scholar] [CrossRef]
- Shaw, N.D.; Histed, S.N.; Srouji, S.S.; Yang, J.; Lee, H.; Hall, J.E. Estrogen negative feedback on gonadotropin secretion: Evidence for a direct pituitary effect in women. J. Clin. Endocrinol. Metab. 2010, 95, 1955–1961. [Google Scholar] [CrossRef]
- Clarke, I.J. Multifarious effects of estrogen on the pituitary gonadotrope with special emphasis on studies in the ovine species. Arch. Physiol. Biochem. 2002, 110, 62–73. [Google Scholar] [CrossRef]
- Johnson, L.M.; Gay, V.L. Luteinizing hormone in the cat. I. Tonic secretion. Endocrinology 1981, 109, 240–246. [Google Scholar] [CrossRef]
- Inselman-Temkin, B.R.; Flynn, J.P. Sex-dependent effects of gonadal and gonadotropic hormones on centrally-elicited attack in cats. Brain Res. 1973, 60, 393–410. [Google Scholar] [CrossRef]
- Larsen, B.; Markovetz, A.; Galask, R. Role of estrogen in controlling the genital microflora of female rats. Appl. Environ. Microbiol. 1977, 34, 534–540. [Google Scholar] [CrossRef]
- Grunert, G.; Porcia, M.; Tchernitchin, A. Differential potency of oestradiol-17β and diethylstilboestrol on separate groups of responses in the rat uterus. J. Endocrinol. 1986, 110, 103–114. [Google Scholar] [CrossRef]
- Jöchle, W.; Jöchle, M. Reproductive and behavioral control in the male and female cat with progestins: Long-term field observations in individual animals. Theriogenology 1975, 3, 179–185. [Google Scholar] [CrossRef]
© 2020 by the authors. Licensee MDPI, Basel, Switzerland. This article is an open access article distributed under the terms and conditions of the Creative Commons Attribution (CC BY) license (http://creativecommons.org/licenses/by/4.0/).





