Histological Evaluation of Gonad Impairments in Russian Sturgeon (Acipenser gueldenstaedtii) Reared in Recirculating Aquatic System (RAS)
Simple Summary
Abstract
1. Introduction
2. Materials and Methods
2.1. Rearing Conditions
2.2. Feeding Regime
2.3. Sample Collection and Procedures
2.4. Histological and Immunohistochemical (IHC) Analysis
2.5. Microscopic, Histometric and Statistical Analyses
3. Results
3.1. Sex Ratio and Gonad Anatomo-Morphology
3.2. Ovarian Histomorphology and Histopathology
3.3. Testicular and Intersex Gonad Histomorphology and Histopathology
4. Discussion
5. Conclusions
Author Contributions
Funding
Acknowledgments
Conflicts of Interest
References
- Wuertz, S.; Güralp, H.; Pšenička, M.; Chebanov, M. Sex Determination in Sturgeon. In Sex Control in Aquaculture; John Wiley & Sons, Ltd.: Chichester, UK, 2018; pp. 645–668. ISBN 9781119127291. [Google Scholar]
- Memiş, D.; Ercan, E.; Çelikkale, M.S.; Timur, M.; Zarkua, Z. Growth and Survival Rate of Russian Sturgeon (Acipenser gueldenstaedtii) Larvae from Fertilized Eggs to Artificial Feeding. Turk. J. Fish. Aquat. Sci. 2009, 9, 47–52. [Google Scholar]
- Bregnballe, J. A Guide to Recirculation Aquaculture. In FAO and Eurofish Report: An Introduction to the New Environmentally Friendly and Highly Productive Closed Fish Farming Systems, Food and Agriculture Organization of the United Nations (FAO); EUROFISH International Organisation: Copenhagen, Denmark, 2015; p. 100. [Google Scholar]
- Chebanov, M.; Rosenthal, H.; Gessner, J.; Van Anrooy, R.; Doukakis, P.; Pourkazemi, M.; Williot, P. Sturgeon hatchery practices and management for release: Guidelines. FAO Fish. Aquac. Tech. Pap. 2011, 570, I. [Google Scholar]
- Chebanov, M.; Williot, P. An assessment of the characteristics of world production of Siberian sturgeon destined to human consumption. In The Siberian Sturgeon (Acipenser baerii, Brandt, 1869); Springer International Publishing: Cham, Switzerland, 2018; Volume 2, pp. 217–286. ISBN 9783319616766. [Google Scholar]
- Nita, V.N.; Nenciu, M.-I.; Raykov, V.S.; Nicolae, C.G. First Attempt of Rearing the Siberian Sturgeon (Acipenser baerii Brandt, 1869) in Black Sea Water. AgroLife Sci. J. 2018, 7, 97–104. [Google Scholar]
- Dettlaff, T.A.; Ginsburg, A.S.; Schmalhausen, O.I. Sturgeon Fishes; Springer: Berlin/Heidelberg, Germany, 1993. [Google Scholar]
- Dalsgaard, J.; Lund, I.; Thorarinsdottir, R.; Drengstig, A.; Arvonen, K.; Pedersen, P.B. Farming different species in RAS in Nordic countries: Current status and future perspectives. Aquac. Eng. 2013, 53, 2–13. [Google Scholar] [CrossRef]
- Barracund, M.; Ferlin, P.; Lamarque, P.; Sabault, J.J. Alimentation artificielle de l’esturgeon (Acipenser baeri). In Finfish Nutrition and Fishfeed Technology; Halver, J.E., Tiews, K., Eds.; Heeneman Gmbh & Company: Berlin, Germany, 1979; pp. 411–422. [Google Scholar]
- Kolman, R.; Zdanowski, B. Application of recirculating aquaculture systems (RAS) in Polish sturgeon culture. In Recirculation Technologies in Indoor and Outdoor Systems Handbook; HAKI: Szarvas, Hungary, 2013; pp. 30–43. [Google Scholar]
- Zhang, H.; Ni, Q.; Zhang, Y.; Wu, F.; Liu, H.; Long, L.; Guan, C. Effects of temperature on growth, hematology, and immune responses of subadult Chinese sturgeon (Acipenser sinensis Gray 1835) under different ammonia nitrogen conditions in recirculating aquaculture system. J. Appl. Ichthyol. 2019, 35, 313–322. [Google Scholar] [CrossRef]
- Chebanov, M.S.; Galich, E.V. Sturgeon Hatchery Manual. FAO Fish. Aquac. Tech. Pap. 2011, 558, I. [Google Scholar]
- Memiş, D.; Ercan, E.; Yamaner, G. The effects of shaded pond on growth performance of Russian sturgeon (Acipenser gueldenstaedtii). J. Appl. Ichthyol. 2011, 27, 571–575. [Google Scholar] [CrossRef]
- Ruchin, A.B. Effect of photoperiod on growth, physiologica and hematological indices of juvenile Siberian sturgeon Acipenser baerii. Biol. Bull. 2007, 34, 583–589. [Google Scholar] [CrossRef]
- Xiao, H.; Cui, Y.; Hung, S.S.O.; Zhu, X.; Zou, Z.; Xie, S. Growth of Juvenile Chinese Sturgeon Acipenser sinensis Fed Live and Formulated Diets. N. Am. J. Aquac. 1999, 61, 184–188. [Google Scholar] [CrossRef]
- Hung, S.S.O. Recent advances in sturgeon nutrition. Anim. Nutr. 2017, 3, 191–204. [Google Scholar] [CrossRef]
- Webb, M.A.H.; Van Eenennaam, J.P.; Crossman, J.A.; Chapman, F.A. A practical guide for assigning sex and stage of maturity in sturgeons and paddlefish. J. Appl. Ichthyol. 2019, 35, 169–186. [Google Scholar] [CrossRef]
- Bahmani, M.; Kazemi, R.; Hallajian, A.; Dejandian, S.; Jourdehi, A.Y.; Charmi, A. Gonad Development in Acipenser Persicus and Huso Huso Sturgeon Fish. Online J. Vet. Res. 2013, 17, 630–637. [Google Scholar]
- Webb, M.A.H.; Van Eenennaam, J.P.; Doroshov, S.I.; Moberg, G.P. Preliminary observations on the effects of holding temperature on reproductive performance of female white sturgeon, Acipenser transmontanus Richardson. Aquaculture 1999, 176, 315–329. [Google Scholar] [CrossRef]
- Webb, M.A.H.; Van Eenennaam, J.P.; Feist, G.W.; Linares-Casenave, J.; Fitzpatrick, M.S.; Schreck, C.B.; Doroshov, S.I. Effects of thermal regime on ovarian maturation and plasma sex steroids in farmed white sturgeon, Acipenser transmontanus. Aquaculture 2001, 201, 137–151. [Google Scholar] [CrossRef]
- Hamlin, H.J.; Moore, B.C.; Edwards, T.M.; Larkin, I.L.V.; Boggs, A.; High, W.J.; Main, K.L.; Guillette, L.J. Nitrate-induced elevations in circulating sex steroid concentrations in female Siberian sturgeon (Acipenser baeri) in commercial aquaculture. Aquaculture 2008, 281, 118–125. [Google Scholar] [CrossRef]
- Bayunova, L.; Barannikova, I.; Semenkova, T. Sturgeon stress reactions in aquaculture. J. Appl. Ichthyol. 2002, 18, 397–404. [Google Scholar] [CrossRef]
- Doroshov, S.I.; Moberg, G.P.; Van Eenennaam, J.P. Observations on the reproductive cycle of cultures white sturgeon, Acipenser transmontanus. Environ. Biol. Fishes 1997, 48, 265–278. [Google Scholar] [CrossRef]
- Wu, R.S.S. Chapter 3 Effects of Hypoxia on Fish Reproduction and Development. In Fish Physiology; Academic Press: London, UK, 2009; Volume 27, pp. 79–141. [Google Scholar]
- Secor, D.H.; Niklitschek, E.J. Sensitivity of sturgeons to environmental hypoxia: A review of physiological and ecological evidence. In Fish Physiology, Toxicology, and Water Quality. Proceedings of the 6th International Symposium, La Paz, Mexico, 22–26 January 2001; Thurston, R.V., Ed.; Environmental Protection Agency: Athens, GA, USA, 2002; pp. 61–78. [Google Scholar]
- Rzepkowska, M.; Ostaszewska, T.; Gibala, M.; Roszko, M.L. Intersex Gonad Differentiation in Cultured Russian (Acipenser gueldenstaedtii) and Siberian (Acipenser baerii) Sturgeon. Biol. Reprod. 2014, 90, 31. [Google Scholar] [CrossRef]
- Kolman, R.; Kapusta, A. Food Characteristics and Feeding Management on Sturgeon with a Special Focus on the Siberian Sturgeon. In The Siberian Sturgeon (Acipenser baerii, Brandt, 1869) Volume 2-Farming; Springer International Publishing: Cham, Switzerland, 2018; pp. 75–84. [Google Scholar]
- Rzepkowska, M.; Ostaszewska, T. Proliferating cell nuclear antigen and Vasa protein expression during gonadal development and sexual differentiation in cultured Siberian (Acipenser baerii Brandt, 1869) and Russian (Acipenser gueldenstaedtii Brandt & Ratzeburg, 1833) sturgeon. Rev. Aquac. 2014, 6, 75–88. [Google Scholar] [CrossRef]
- Rzepkowska, M.; Roszko, M.Ł.; Fajkowska, M.; Adamek-Urbańska, D.; Ostaszewska, T. Dietary isoflavone intake and tissue concentration in cultured sturgeons. Aquac. Nutr. 2020, 26, 866–875. [Google Scholar] [CrossRef]
- Keyvanshokooh, S.; Gharaei, A. A review of sex determination and searches for sex-specific markers in sturgeon. Aquac. Res. 2010, 41, e1–e7. [Google Scholar] [CrossRef]
- Fajkowska, M.; Rzepkowska, M.; Adamek, D.; Ostaszewska, T.; Szczepkowski, M. Expression of dmrt1 and vtg genes during gonad formation, differentiation and early maturation in cultured Russian sturgeon Acipenser gueldenstaedtii. J. Fish Biol. 2016, 89, 1441–1449. [Google Scholar] [CrossRef] [PubMed]
- Hansen, P.D.; Dizer, H.; Hock, B.; Marx, A.; Sherry, J.; McMaster, M.; Blaise, C. Vitellogenin-A biomarker for endocrine disruptors. TrAC-Trends Anal. Chem. 1998, 17, 448–451. [Google Scholar] [CrossRef]
- Porte, C.; Janer, G.; Lorusso, L.C.; Ortiz-Zarragoitia, M.; Cajaraville, M.P.; Fossi, M.C.; Canesi, L. Endocrine disruptors in marine organisms: Approaches and perspectives. Comp. Biochem. Physiol.-C Toxicol. Pharmacol. 2006, 143, 303–315. [Google Scholar] [CrossRef] [PubMed]
- Bidwell, C.A.; Carlson, D.M. Characterization of vitellogenin from white sturgeon, Acipenser transmontanus. J. Mol. Evol. 1995, 41, 104–112. [Google Scholar] [CrossRef]
- Tingaud-Sequeira, A.; Knoll-Gellida, A.; André, M.; Babin, P.J. Vitellogenin Expression in White Adipose Tissue in Female Teleost Fish1. Biol. Reprod. 2012, 86, 1–11. [Google Scholar] [CrossRef]
- Sicuro, B. The future of caviar production on the light of social changes: A new dawn for caviar? Rev. Aquac. 2019, 11, 204–219. [Google Scholar] [CrossRef]
- Gille, D.A.; Van Eenennaam, J.P.; Famula, T.R.; Schreier, A.D.; Beer, K.; Struffenegger, P.; Renschler, B.; Bishop, S.; Doroshov, S.I. Finishing diet, genetics, and other culture conditions affect ovarian adiposity and caviar yield in cultured white sturgeon (Acipenser transmontanus). Aquaculture 2017, 474, 121–129. [Google Scholar] [CrossRef]
- Ruban, G.I.; Akimova, N.V.; Goriounova, V.B.; Mikodina, E.V.; Nikolskaya, M.P.; Novosadova, A.V.; Rosenthal, H.; Sokolova, S.A.; Shagayera, V.G.; Shatunovsky, M.I. Atlas of Abnormalities in Gametogenies and Early Life Stages of Sturgeons; Rosenthal, H., Ed.; World Sturgeon Conservation Society: Special Publication Series BoD–Books on Demand: Norderstedt, Germany, 2015; ISBN 373925775X, 9783739257754. [Google Scholar]
- Ruban, G.I.; Akimova, N.V.; Goriounova, V.B.; Mikodina, E.V.; Nikolskaya, M.P.; Shagayeva, V.G.; Shatunovsky, M.I.; Sokolova, S.A. Abnormalities in Sturgeon gametogenesis and postembryonal ontogeny. J. Appl. Ichthyol. 2006, 22, 213–220. [Google Scholar] [CrossRef]
- Fedorovykh, J.V.; Ponomarev, S.V.; Bakaneva, J.M.; Bakanev, N.M.; Sergeeva, J.V.; Bakhareva, A.A.; Grozesku, J.N.; Egorova, V.I. The Effect of Lipid Composition in Diets on Ovicell Generating of the Russian Sturgeon Females. J. Aquac. Res. Dev. 2015, 6, 334. [Google Scholar] [CrossRef]
- Talbott, M.J.; Van Eenennaam, J.P.; Linares-Casenave, J.; Doroshov, S.I.; Guy, C.S.; Struffenegger, P.; Webb, M.A.H. Investigating the use of plasma testosterone and estradiol-17β to detect ovarian follicular atresia in farmed white sturgeon, Acipenser transmontanus. Aquaculture 2011, 315, 283–289. [Google Scholar] [CrossRef]
- Kershaw, E.E.; Flier, J.S. Adipose Tissue as an Endocrine Organ. J. Clin. Endocrinol. Metab. 2004, 89, 2548–2556. [Google Scholar] [CrossRef] [PubMed]
- Treanor, H.B.; Miller, I.R.; Halvorson, L.J.; Van Eenennaam, J.P.; Doroshov, S.I.; Webb, M.A.H. Effect of dietary fat on adipocyte size in farmed age-2 white sturgeon (Acipenser transmontanus, Richardson, 1836). J. Appl. Ichthyol. 2018, 34, 419–423. [Google Scholar] [CrossRef]
- Grier, H.J.; Uribe-Aranzábal, M.C.; Patiño, R. The ovary, folliculogenesis, and oogenesis in teleosts. Reprod. Biol. Phylogeny Fishes (Agnathans Bony Fishes) 2009, 8, 25–84. [Google Scholar]
- Guraya, S. Gonadal development and production of gametes in fish. Proc. Indian Natl. Sci. Acad. Part B 1994, 60, 15. [Google Scholar]
- Valdebenito, I.; Paiva, L.; Berland, M. Follicular atresia in teleost fish: A review. Arch. Med. Vet. 2011, 43, 11–25. [Google Scholar] [CrossRef]
- Blazer, V.S. Histopathological assessment of gonadal tissue in wild fishes. Fish Physiol. Biochem. 2002, 26, 85–101. [Google Scholar] [CrossRef]
- Miranda, A.C.L.; Bazzoli, N.; Rizzo, E.; Sato, Y. Ovarian follicular atresia in two teleost species: A histological and ultrastructural study. Tissue Cell 1999, 31, 480–488. [Google Scholar] [CrossRef]
- Morais, R.D.V.S.; Thomé, R.G.; Lemos, F.S.; Bazzoli, N.; Rizzo, E. Autophagy and apoptosis interplay during follicular atresia in fish ovary: A morphological and immunocytochemical study. Cell Tissue Res. 2012, 347, 467–478. [Google Scholar] [CrossRef]
- Habibi, H.R.; Andreu-Vieyra, C.V. Hormonal regulation of follicular atresia in teleost fish. In The Fish Oocyte; Springer: Dordrecht, The Netherlands, 2007; pp. 235–253. [Google Scholar]
- Johnson, R.; Wolf, J.; Braunbeck, T. OECD Guidance document for the diagnosis of endocrine-related histopathology of fish gonads. In OECD Environment, Health and Safety Publications Series on Testing and Assessment; Organization for Economic Co-operation and Development: Paris, France, 2009; pp. 1–42. [Google Scholar]
- Wee, S.Y.; Aris, A.Z. Occurrence and public-perceived risk of endocrine disrupting compounds in drinking water. NPJ Clean Water 2019, 2, 1–14. [Google Scholar] [CrossRef]
- Pelissero, C.; Bennetau, B.; Babin, P.; Le Menn, F.; Dunogues, J. The estrogenic activity of certain phytoestrogens in the siberian sturgeon Acipenser baeri. J. Steroid Biochem. Mol. Biol. 1991, 38, 293–299. [Google Scholar] [CrossRef]
- Pelissero, C.; Le Menn, F.; Kaushick, S. Estrogenic effect of dietary soya bean meal on vitellogenesis in cultured Siberian sturgeon Acipenser baerii. Gen. Comp. Endocrinol. 1991, 83, 447–457. [Google Scholar] [CrossRef]
- Fajkowska, M.; Głowacka, D.K.; Adamek-Urbańska, D.; Ostaszewska, T.; Krajnik, K.A.; Rzepkowska, M. Sex-related gene expression profiles in various tissues of juvenile Russian sturgeon (Acipenser gueldenstaedtii). Aquaculture 2019, 500, 532–539. [Google Scholar] [CrossRef]
- Antonelli, M.L.; Faberi, A.; Pastorini, E.; Samperi, R.; Laganà, A. Simultaneous quantitation of free and conjugated phytoestrogens in Leguminosae by liquid chromatography-tandem mass spectrometry. Talanta 2005, 66, 1025–1033. [Google Scholar] [CrossRef] [PubMed]
- Francis, G.; Makkar, H.P.S.; Becker, K. Antinutritional factors present in plant-derived alternate fish feed ingredients and their effects in fish. Aquaculture 2001, 199, 197–227. [Google Scholar] [CrossRef]
- Shanle, E.K.; Xu, W. Endocrine disrupting chemicals targeting estrogen receptor signaling: Identification and mechanisms of action. Chem. Res. Toxicol. 2010, 24, 6–19. [Google Scholar] [CrossRef]
- Chakraborty, S.B.; Molnár, T.; Hancz, C. Effects of methyltestosterone, tamoxifen, genistein and basella alba extract on masculinization of guppy (Poecilia reticulata). J. Appl. Pharm. Sci. 2012, 2, 48–52. [Google Scholar] [CrossRef]
- Green, C.C.; Kelly, A.M. Effects of the estrogen mimic genistein as a dietary component on sex differentiation and ethoxyresorufin-O-deethylase (EROD) activity in channel catfish (Ictalurus punctatus). Fish Physiol. Biochem. 2009, 35, 377–384. [Google Scholar] [CrossRef]
- Kiparissis, Y.; Balch, G.C.; Metcalfe, T.L.; Metcalfe, C.D. Effects of the isoflavones genistein and equol on the gonadal development of Japanese medaka (Oryzias latipes). Environ. Health Perspect. 2003, 111, 1158–1163. [Google Scholar] [CrossRef]
- Zhang, L.; Khan, I.A.; Foran, C.M. Characterization of the estrogenic response to genistein in Japanese medaka (Oryzias latipes). Comp. Biochem. Physiol. Part C Toxicol. Pharmacol. 2002, 132, 203–211. [Google Scholar] [CrossRef]
- Cleveland, B.M.; Manor, M.L. Effects of phytoestrogens on growth-related and lipogenic genes in rainbow trout (Oncorhynchus mykiss). Comp. Biochem. Physiol. Part C Toxicol. Pharmacol. 2015, 170, 28–37. [Google Scholar] [CrossRef] [PubMed]
- Roszko, M.Ł.; Kamińska, M.; Szymczyk, K.; Piasecka-Jóźwiak, K.; Chabłowska, B. Endocrine disrupting potency of organic pollutant mixtures isolated from commercial fish oil evaluated in yeast-based bioassays. PLoS ONE 2018, 13, e0197907. [Google Scholar] [CrossRef] [PubMed]
- Harshbarger, J.C.; Coffey, M.J.; Young, M.Y. Intersexes in Mississippi River shovelnose sturgeon sampled below Saint Louis, Missouri, USA. Mar. Environ. Res. 2000, 50, 247–250. [Google Scholar] [CrossRef]
- Jackson, K.; Hurvitz, A.; Din, S.Y.; Goldberg, D.; Pearlson, O.; Degani, G.; Levavi-Sivan, B. Anatomical, hormonal and histological descriptions of captive Russian sturgeon (Acipenser gueldenstaedtii) with intersex gonads. Gen. Comp. Endocrinol. 2006, 148, 359–367. [Google Scholar] [CrossRef]
- Hurvitz, A.; Degani, G.; Goldberg, D.; Din, S.Y.; Jackson, K.; Levavi-Sivan, B. Cloning of FSHβ, LHβ, and glycoprotein α subunits from the Russian Sturgeon (Acipenser gueldenstaedtii), β-subunit mRNA expression, gonad development, and steroid levels in immature fish. Gen. Comp. Endocrinol. 2005, 140, 61–73. [Google Scholar] [CrossRef]
- Hurvitz, A.; Jackson, K.; Yom-Din, S.; Degani, G.; Levavi-Sivan, B. Sexual development in Russian sturgeon (Acipenser gueldenstaedtii) grown in aquaculture. Cybium 2008, 32, 283–285. [Google Scholar]
- Shaha, C.; Tripathi, R.; Prasad Mishra, D. Male germ cell apoptosis: Regulation and biology. Philos. Trans. R. Soc. B Biol. Sci. 2010, 365, 1501–1515. [Google Scholar] [CrossRef]
- Milla, S.; Depiereux, S.; Kestemont, P. The effects of estrogenic and androgenic endocrine disruptors on the immune system of fish: A review. Ecotoxicology 2011, 20, 305–319. [Google Scholar] [CrossRef]
- Maret, A.; Coudert, J.D.; Garidou, L.; Foucras, G.; Gourdy, P.; Krust, A.; Dupont, S.; Chambon, P.; Druet, P.; Bayard, F.; et al. Estradiol enhances primary antigen-specific CD4 T cell responses and Th1 development in vivo. Essential role of estrogen receptor α expression in hematopoietic cells. Eur. J. Immunol. 2003, 33, 512–521. [Google Scholar] [CrossRef]
- Rodriguez-Hernandez, H.; Simental-Mendia, L.E.; Rodriguez-Ramirez, G.; Reyes-Romero, M.A. Obesity and inflammation: Epidemiology, risk factors, and markers of inflammation. Int. J. Endocrinol. 2013, 2013, 50–61. [Google Scholar] [CrossRef]
- Tichopád, T.; Vetešník, L.; Šimková, A.; Rodina, M.; Franěk, R.; Pšenička, M. Spermatozoa morphology and reproductive potential in F1 hybrids of common carp (Cyprinus carpio) and gibel carp (Carassius gibelio). Aquaculture 2020, 521, 735092. [Google Scholar] [CrossRef]
- Linhartová, Z.; Havelka, M.; Pšenička, M.; Flajšhans, M. Interspecific hybridization of sturgeon species affects differently their gonadal development. Czech J. Anim. Sci. 2018, 63, 1–10. [Google Scholar] [CrossRef]
- Fajkowska, M.; Ostaszewska, T.; Rzepkowska, M. Review: Molecular mechanisms of sex differentiation in sturgeons. Rev. Aquac. 2019, 12, 1003–1027. [Google Scholar] [CrossRef]



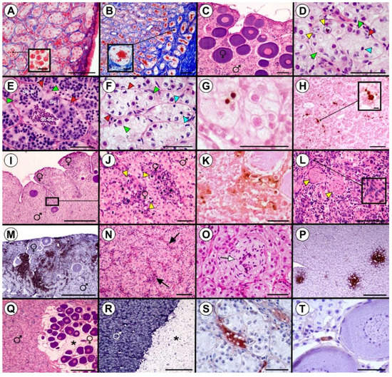
| No. | Sex | Type of Gonad | Stage of Development † | No. of Ovarian Follicles (mm2) | Early Atretic Follicles (%) | Intraovarian Fat | Lymphocyte Infiltration | Presence of Vitellogenin | Figures |
|---|---|---|---|---|---|---|---|---|---|
| 1 | female | ovary | 2 | 6.97 ± 1.67 c | 6.52 ± 7.72 c,d | *** | - | - | Figure 1D and Figure 2A,I,L |
| 2 | female | ovary | 2 | 44.11 ± 3.16 a | 12.12 ± 5.85 a | - | - | - | Figure 1A and Figure 2B,K,N,O |
| 3 | female | ovary | 2 | 19.40 ± 3.79 d | 6.50 ± 4.02 c,d | ** | * | blood plasma and small oocytes in PNS | Figure 2C,D |
| 4 | female | ovary | 2 | 20.10 ± 3.69 d | 6.76 ± 5.65 c,d | * | * | - | Figure 2H,P,S |
| 5 | female | ovary | 2 | 23.72 ± 3.24 b | 8.35 ± 2.23 a,c | ** | - | - | Figure 2M |
| 6 | female | ovary | 1 | NC | NC | *** | *** | - | Figure 2E,Q,R,T |
| 7 | female | ovary | 2 | 11.25 ± 4.45 e | 1.81 ± 2.9 b | *** | * | - | Figure 2G |
| 8 | female | ovary | 1/2 | NC | NC | ** | * | blood plasma and small oocytes in PNS | Figure 2F |
| 9 | female | ovary | 2 | 14.08 ± 4.39 e | 2.83 ± 2.58 b,d | *** | - | - | Figure 2J |
| 10 | intersex | ova-testis | 1/2 | NC | NC | - | *** | - | Figure 1B and Figure 3D,I–O |
| 11 | intersex | testis-ova | 2 | NC | NC | * | ** | blood plasma and Sertoli cells | Figure 1C and Figure 3C,Q,S,T |
| 12 | intersex | testis-ova | 2 | NC | NC | - | ** | - | Figure 3F,G,R |
| 13 | intersex | ova-testis | 2 | NC | NC | - | * | - | Figure 3E,H |
| 14 | intersex | testis-ova | 2 | NC | NC | - | * | - | - |
| 15 | male | testis | - | - | - | - | ** | - | Figure 3A,B,P |
| No. | Sex | Type of Gonad | Stage of Development † | Spermatogenic Tubules (%) | No. of Spermatogonia (mm2) | Degenerating Spermatogonia (%) |
|---|---|---|---|---|---|---|
| 10 | intersex | ova-testis | 2/3 | 0.36 ± 0.81 c | 1668 ± 1431 b | 32.5 ± 41.7 a |
| 11 | intersex | testis-ova | 2/3 | 30.79 ± 10.85 b | 2051 ± 979 b | 9.17 ± 24.47 b |
| 12 | intersex | testis-ova | 2 | 0.00 ± 0.00 c | 1020 ± 735 a | 14.75 ± 26.22 b |
| 13 | intersex | ova-testis | 4 | 100 ± 0.00 a | NC | NC |
| 14 | intersex | testis-ova | 2/3 | 0.85 ± 1.44 c | 1458 ± 562 a,b | 1.00 ± 4.47 b |
| 15 | male | testis | 2/3 | 3.26 ± 1.99 c | 1845 ± 918 b | 7.50 ± 14.53 b |
© 2020 by the authors. Licensee MDPI, Basel, Switzerland. This article is an open access article distributed under the terms and conditions of the Creative Commons Attribution (CC BY) license (http://creativecommons.org/licenses/by/4.0/).
Share and Cite
Rzepkowska, M.; Adamek-Urbańska, D.; Fajkowska, M.; Roszko, M.Ł. Histological Evaluation of Gonad Impairments in Russian Sturgeon (Acipenser gueldenstaedtii) Reared in Recirculating Aquatic System (RAS). Animals 2020, 10, 1439. https://doi.org/10.3390/ani10081439
Rzepkowska M, Adamek-Urbańska D, Fajkowska M, Roszko MŁ. Histological Evaluation of Gonad Impairments in Russian Sturgeon (Acipenser gueldenstaedtii) Reared in Recirculating Aquatic System (RAS). Animals. 2020; 10(8):1439. https://doi.org/10.3390/ani10081439
Chicago/Turabian StyleRzepkowska, Małgorzata, Dobrochna Adamek-Urbańska, Magdalena Fajkowska, and Marek Łukasz Roszko. 2020. "Histological Evaluation of Gonad Impairments in Russian Sturgeon (Acipenser gueldenstaedtii) Reared in Recirculating Aquatic System (RAS)" Animals 10, no. 8: 1439. https://doi.org/10.3390/ani10081439
APA StyleRzepkowska, M., Adamek-Urbańska, D., Fajkowska, M., & Roszko, M. Ł. (2020). Histological Evaluation of Gonad Impairments in Russian Sturgeon (Acipenser gueldenstaedtii) Reared in Recirculating Aquatic System (RAS). Animals, 10(8), 1439. https://doi.org/10.3390/ani10081439

