Rare Generalized Form of Fungal Dermatitis in a Horse: Case Report
Simple Summary
Abstract
1. Introduction
2. Materials and Methods
2.1. History
2.2. Clinical Examination and Sampling
2.2.1. Hematology
2.2.2. Parasitological, Bacteriological and Mycological Analysis
2.2.3. Cytology and Histopathology
3. Results
3.1. Hematology/Biochemistry
3.2. Parasitology, Bacteriology, and Mycology
3.3. Cytology
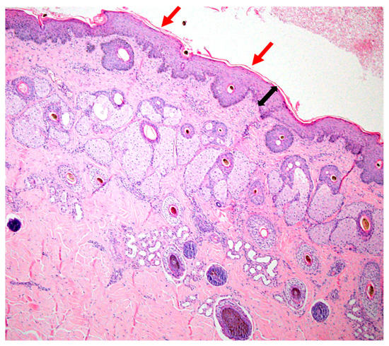
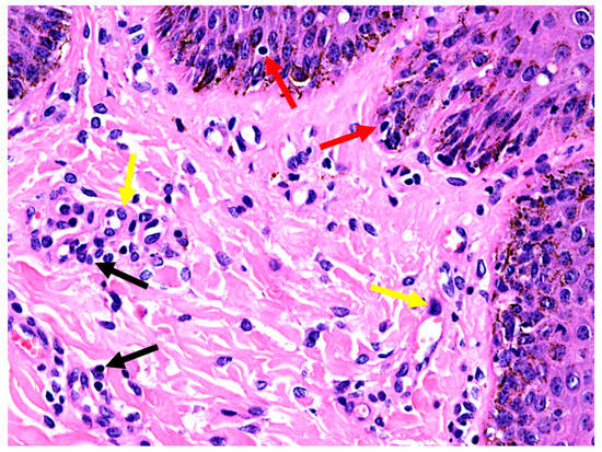
3.4. Histopathology
3.5. Histopathological Diagnosis
3.6. Treatment
3.7. Follow Up
4. Discussion
5. Conclusions
Author Contributions
Funding
Conflicts of Interest
References
- Scott, D.W.; Miller, W.H. Bacterial skin diseases. In Equine Dermatology, 2nd ed.; Scott, D.W., Miller, W.H., Eds.; Elsevier Saunders: St Louis, MO, USA, 2011; pp. 130–170. [Google Scholar]
- Lloyd, D.H.; Littlewood, J.D.; Craig, J.M.; Thomsett, L.R. Practical Equine Dermatology, 1st ed.; Wiley-Blackwell: Oxford, UK, 2003. [Google Scholar]
- Ainsworth, G.C.; Austwick, P.K.C. Fungal Disease of Domestic Animals. In Commonwealth Agricultural Bureau, 2nd ed.; Farnham Royal: London, UK, 1973. [Google Scholar]
- De Hoog, G.S.; Guarro, J.; Gene, J.; Figueras, M.J. Atlas of Clinical Fungi. In Centraal Bureau Voor Schimmel Cultures; Centraalbureau voor Schimmelcultures (CBS): Utrecht, The Netherland, 2000; p. 1126. [Google Scholar]
- Cafarchia, C.; Figueredo, L.A.; Otranto, D. Fungal diseases of horses. Vet. Microbiol. 2013, 167, 215–234. [Google Scholar] [CrossRef] [PubMed]
- Figueredo, L.A.; Cafarchia, C.; Otranto, D. Geotrichum candidum as etiological agent of horse dermatomycosis. Vet. Microbiol. 2011, 148, 368–371. [Google Scholar] [CrossRef] [PubMed]
- Faravelli, G.; Conturba, B.; Mantelli, F.; Costanti, E. Equine onychomycosis in Northen Italy: A research identifying the aetiological agents. Ippologia 2004, 15, 33–44. [Google Scholar]
- Kuwano, A.; Tanaka, K.; Kawabata, M.; Ooi, Y.; Takahashi, R.; Reilly, J.D. A survey of white line disease in Japanese racehorses. Equine Vet. J. 1999, 31, 515–518. [Google Scholar] [CrossRef] [PubMed]
- Keller, M.; Krehon, S.; Stanek, C.; Rosengarten, R. Keratinopathogenic mould fungi and dermatophytes in healthy and diseased hooves of horses. Vet. Rec. 2000, 147, 619–622. [Google Scholar] [CrossRef] [PubMed]
- Riond, B.; Wenger-Riggenbach, B.; Hofmann-Lehmann, R.; Lutz, H. Serum protein concentrations from clinically healthy horses determined by agarose gel electrophoresis. Vet. Clin. Pathol. 2009, 38, 73–77. [Google Scholar] [CrossRef] [PubMed]
- De Hoog, G.S.; Guarro, J. Atlas of Clinical Fungi. In Centraal Bureau Voor Schimmel Cultures; Centraalbureau voor Schimmelcultures (CBS): Utrecht, The Netherlands, 1995; p. 720. [Google Scholar]
- D’Hue, Z.; Perkins, S.M.; Billings, S.D. GMS is superior to PAS for diagnosis of onychomycosis. J. Cutan. Pathol. 2008, 35, 745–747. [Google Scholar] [CrossRef] [PubMed]
- Weiss, D.J.; Wardrop, K.J. Shalm’s Veterinary Hematology, 6th ed.; Wiley Blackwell: Ames, IA, USA, 2010; p. 1206. [Google Scholar]
- Dietz, O.; Huskamp, B. Handbuch Pferdepraxis, 3rd ed.; Enke: Stuttgart, Germany, 1999; pp. 623–650. [Google Scholar]
- Sidhu, R.K.; Singh, K.B.; Jand, S.K.; Joshi, D.V. Cutaneous geotrichosis in a dog and its handler—A case report. Indian J. Anim. Health 1993, 32, 75. [Google Scholar]
- Reppas, G.P.; Snoeck, T.D. Cutaneous geotrichosis in a dog. Aust. Vet. J. 1999, 77, 567–569. [Google Scholar] [CrossRef] [PubMed]
- Spanoghe, L.; Devos, A.; Viaene, N. Cutaneous geotrichosis in the red flamingo (Phoenicopterus ruber). Sabouraudia 1976, 14, 37–42. [Google Scholar] [CrossRef] [PubMed]
- Padalino, B.; Loy, J.; Hawson, L.; Randle, H. Effects of a light-colored cotton rug use on horse thermoregulation and behavior indicators of stress. J. Vet. Behav. 2019, 29, 134–139. [Google Scholar] [CrossRef]
- Azarpeykan, S.; Dittmer, K.E.; Gee, E.K.; Marshall, J.C.; Wallace, J.; Elder, P.; Acke, E.; Thompson, K.G. Influence of blanketing and season on vitamin D and parathyroid hormone, calcium, phosphorus, and magnesium concentrations in horses in New Zealand. Domest. Anim. Endocrin. 2016, 56, 75–84. [Google Scholar] [CrossRef] [PubMed]
- Pottier, I.; Gente, S.; Vernoux, J.P.; Gueguen, M. Safety assessment of dairy microorganisms: Geotrichum candidum. Int. J. Food Microbiol. 2008, 126, 327–332. [Google Scholar] [CrossRef] [PubMed]
- Miceli, M.H.; Diaz, J.A.; Lee, S.A. Emerging opportunistic yeast infections. Lancet Infect. Dis. 2011, 11, 142–151. [Google Scholar] [CrossRef]
- Dolensek, E.P.; Napolitano, R.L.; Kazimiroff, J. Gastrointestinal geotrichosis in six adult gorillas. J. Am. Vet. Med. Assoc. 1977, 171, 975–976. [Google Scholar] [PubMed]
- Chahota, R.; Katoch, R.; Mahajan, A.; Verma, S. Clinical bovine mastitis caused by Geotrichum candidum. Vet. Arhiv. 2001, 171, 197–201. [Google Scholar]
- Henrich, T.J.; Marty, F.M.; Milner, D.A., Jr.; Thorner, A.R. Disseminated Geotrichum candidum infection in a patient with relapsed acute myelogenous leukemia following allogeneic stem cell transplantation and review of the literature. Transpl. Infect. Dis. 2009, 11, 458–462. [Google Scholar] [CrossRef] [PubMed]
- Myint, T.; Dykhuizen, M.J.; McDonald, C.H.; Ribes, J.A. Post-operative fungal endopthalmitis due to Geotrichum candidum. Med. Mycol. Case Rep. 2015, 10, 4–6. [Google Scholar] [CrossRef] [PubMed]
- Koneman, E.W. Koneman’s Color Atlas and Textbook of Diagnostic Microbiology, 6th ed.; Koneman, E.W., Ed.; Lippincott Williams & Wilkins (LWW): Philadelphia, PA, USA, 2006. [Google Scholar]
- Rajak, R.C.; Parwekar, S.; Malviya, H.; Hasija, S.K. Keratin degradation by fungi isolated from gelatin factory in Jabalpur. Mycopathologia 1991, 114, 83–87. [Google Scholar] [CrossRef]
- Fekete, S.G.; Kellems, R.O. Interrelationship of feeding with immunity and parasitic infection: A review. Vet. Med. 2007, 52, 131–143. [Google Scholar] [CrossRef]







| Parameters | Value | Normal Range 1 |
|---|---|---|
| WBC (×103/µL) | 13.2 | 6–12 |
| N (×103/µL) | 9.85 | 2–8.5 |
| L (×103/µL) | 2.78 | 1.16–5.1 |
| M (×103/µL) | 0.523 | 0–0.7 |
| E (×103/µL) | 0.015 | 0–0.2 |
| B (×103/µL) | 0.011 | 0–0.1 |
| RBC (×106/µL) | 7.84 | 5.5–9.5 |
| HGB (g/dL) | 12.4 | 8–14 |
| HCT (%) | 33.8 | 24–44 |
| MCV (fl) | 43.2 | 38–49 |
| MHC (pg) | 15.8 | 15–19 |
| MCHC (g/dL) | 36.7 | 37–40 |
| Parameters | Value | Normal Range 1 |
|---|---|---|
| Total Protein (g/dL) | 8.69 | 5.2–7.9 |
| Albumin (g/dL) | 2.9 | 2.6–3.7 |
| Globulins (g/dL) | 5.79 | 2.9–3.9 |
| Bilirubin (mg/dL) | 3.03 | 1–2 |
| AST (U/L) | 204 | 226–366 |
| ALT (U/L) | 14 | 3–23 |
| GGT (U/L) | 0 | 4.3–13.4 |
| SAP (U/L) | 370 | 143–395 |
| CK (U/L) | 86 | 119–287 |
| LDH (U/L) | 532 | 162–412 |
| Urea (mg/dL) | 58.1 | 10–24 |
| Creatinine (mg/dL) | 1.7 | 1.2–1.9 |
| Calcium (mg/dL) | 11.44 | 11.2–13.6 |
| Phosphorus (mg/dL) | 3.6 | 3.1–5.6 |
| Magnesium (mg/dL) | 1.78 | 2.2–2.8 |
| Glucose (mg/dL) | 100 | 75–115 |
| Cholesterol (mg/dL) | 72 | 75–150 |
| Triglycerides (mg/dL) | 48 | 4–44 |
| Parameters | Value (g/dl) | Value (%) | NR (%) 1 |
|---|---|---|---|
| Albumin | 2.69 | 30.97 | 45–60 |
| α1 | 0.19 | 2.19 | 4–6 |
| α2 | 1.09 | 12.52 | 7–13 |
| β1 | 1.09 | 12.57 | 7–9 |
| β2 | 0.98 | 11.30 | 4.5–8.5 |
| γ | 2.65 | 30.45 | 8–22 |
| Alb/Glo | 0.45 | 0.8–1.0 |
© 2020 by the authors. Licensee MDPI, Basel, Switzerland. This article is an open access article distributed under the terms and conditions of the Creative Commons Attribution (CC BY) license (http://creativecommons.org/licenses/by/4.0/).
Share and Cite
Padalino, B.; Sandy, J.R.; Barrasso, R.; Trotta, A.; Bozzo, G.; Cafarchia, C. Rare Generalized Form of Fungal Dermatitis in a Horse: Case Report. Animals 2020, 10, 871. https://doi.org/10.3390/ani10050871
Padalino B, Sandy JR, Barrasso R, Trotta A, Bozzo G, Cafarchia C. Rare Generalized Form of Fungal Dermatitis in a Horse: Case Report. Animals. 2020; 10(5):871. https://doi.org/10.3390/ani10050871
Chicago/Turabian StylePadalino, Barbara, Jeanine Rhoda Sandy, Roberta Barrasso, Adriana Trotta, Giancarlo Bozzo, and Claudia Cafarchia. 2020. "Rare Generalized Form of Fungal Dermatitis in a Horse: Case Report" Animals 10, no. 5: 871. https://doi.org/10.3390/ani10050871
APA StylePadalino, B., Sandy, J. R., Barrasso, R., Trotta, A., Bozzo, G., & Cafarchia, C. (2020). Rare Generalized Form of Fungal Dermatitis in a Horse: Case Report. Animals, 10(5), 871. https://doi.org/10.3390/ani10050871

