Meagre Argyrosomus regius (Asso, 1801) Stem Spermatogonia: Histological Characterization, Immunostaining, In Vitro Proliferation, and Cryopreservation
Simple Summary
Abstract
1. Introduction
2. Materials and Methods
2.1. Ethical Statement
2.2. Fish Sampling
2.3. Histological Analysis of Meagre Testis and Immunohistochemical Localization of Spermatogonial Stem Cells
2.4. Meagre Spermatogonial Stem Cell Isolation
2.5. Meagre Spermatogonial Stem Cell Culture
2.6. Meagre Spermatogonial Stem Cell Cryopreservation
2.7. Immunofluorescence
2.8. Statistical Analysis
3. Results
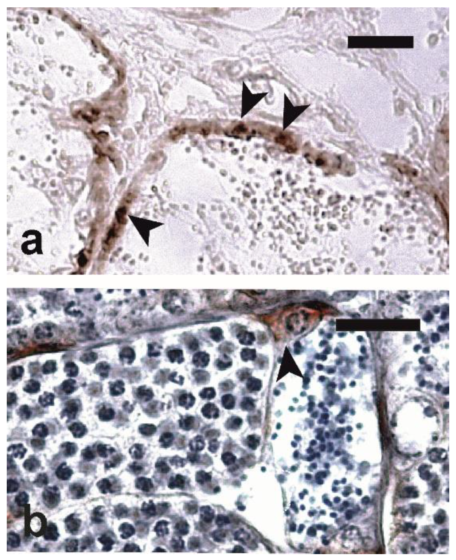
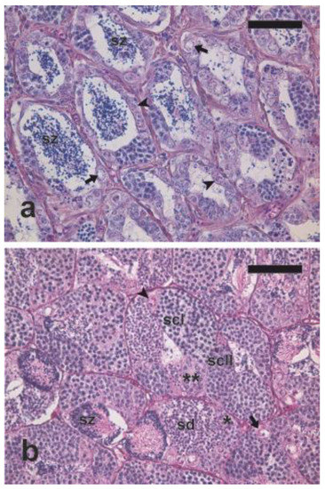
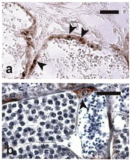
3.1. Histological and Immunohistochemical Analyses
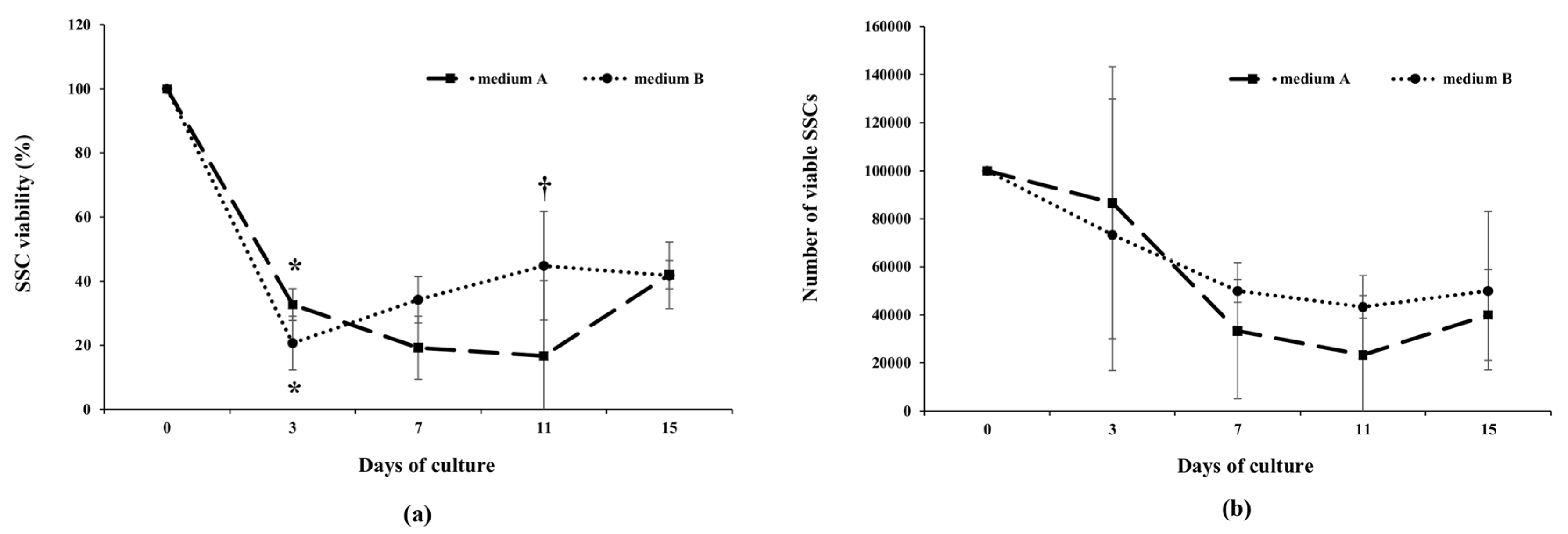
3.2. Meagre Spermatogonial Stem Cells’ Isolation Culture and Cryopreservation
3.3. Immunofluorescence Analysis
4. Discussion
Author Contributions
Funding
Acknowledgments
Conflicts of Interest
References
- Gil, M.D.M.; Grau, A.; Basilone, G.; Ferreri, R.; Palmer, M. Reproductive strategies and fecundity of meagre Argyrosomus regius Asso, 1801 (Pisces: Sciaenidae): Implications for restocking programs. Sci. Mar. 2013, 77, 105–118. [Google Scholar] [CrossRef]
- Griffiths, M.H.; Heemstra, P.C. A Contribution to the Taxonomy of the Marine Fish Genus Argyrosomus (Perciformes: Sciaenidae), with Descriptions of Two New Species from Southern Africa; Ichthyol. Bull; J.L.B. Smith Institute of Ichthyology: Grahamstown, South Africa, 1995. [Google Scholar]
- Morales-Nin, B.; Geffen, A.J.; Pérez-Mayol, S.; Palmer, M.; González-Quirós, R.; Grau, A. Seasonal and ontogenicmigrations of meagre (Argyrosomus regius) determined by otolith geochemical signatures. Fish. Res. 2012, 127–128, 154–165. [Google Scholar] [CrossRef]
- FAO. Cultured Aquatic Species Information Programme. In Argyrosomus regius; Stipa, P., Angelini, M., Eds.; FAO Fisheries and Aquaculture Department: Rome, Italy, 10 February 2005; Available online: http://www.fao.org/fishery/culturedspecies/Argyrosomus_regius/en (accessed on 10 April 2020).
- Monfort, M.C. Present Market Situation and Prospects of Meagre (Argyrosomus Regius), as An Emerging Species in Mediterranean Aquaculture; No. 89; Studies and Reviews-General Fisheries Commission for the Mediterranean: Rome, Italy, 2010; p. 28. [Google Scholar]
- FAO. Fisheries and aquaculture software. In FishStat Plus-Universal Software for Fishery Statistical Time Series; FAO Fisheries and Aquaculture Department: Rome, Italy, 14 September 2017; Available online: http://www.fao.org/fishery/statistics/software/fishstat/en (accessed on 10 April 2020).
- Duncan, N.J.; Estévez, A.; Fernández-Palacios, H.; Gairin, I.; Hernández-Cruz, C.M.; Roo, F.J.; Schuchardt, D.; Vallés, R. Aquaculture production of meagre (Argyrosomus regius), hatchery techniques, ongrowin and market. In Advances in Aquaculture Hatchery Technology; Allan, G., Burnell, G., Eds.; Woodhead Publishing Limited: Cambridge, UK, 2013; pp. 519–541. [Google Scholar]
- DIVERSIFY EU FP7 Project. Available online: https://www.diversifyfish.eu/ (accessed on 13 May 2020).
- NewTechAqua EU H2020 Project. Available online: https://www.newtechaqua.eu/ (accessed on 13 May 2020).
- Abou Shabana, N.M.; Abd El Rahma, S.H.; Al Absawy, M.A.; Assem, S.S. Reproductive biology of Argyrosomus regius (Asso, 1801) inhabiting the south eastern Mediteraanean Sea, Egypt. Egypt. J. Aquat. Res. 2012, 38, 147–156. [Google Scholar] [CrossRef]
- González-Quirós, R.; del Árbol, J.; García-Pacheco, M.; Silva-García, J.; Naranjo, J.M.; Morales-Nin, B. Life-history of the meagre Argyrosomus regius in the Gulf of Cadiz (SW Iberian Peninsula). Fish. Res. 2011, 109, 140–149. [Google Scholar] [CrossRef]
- Prista, N.; Gordo, L.; Costa, J.L.; Costa, M.J.; Jones, C. Reproductive phase determination in male meagre (Argyrosomus regius, Sciaenidae): Testis development and histologic corroboration of a gross anatomical scale. Sci. Mar. 2014, 78, 65–80. [Google Scholar] [CrossRef]
- Mylonas, C.C.; Mitrizakis, N.; Papadaki, M.; Sigelaki, I. Reproduction of hatchery-produced meagre Argyrosomus regius in captivity I. Description of the annual reproductive cycle. Aquaculture 2013, 414–415, 309–317. [Google Scholar] [CrossRef]
- Duncan, N.J.; Estévez, A.; Porta, J.; Carazo, I.; Norambuena, F.; Aguilera, C.; Gairin, I.; Bucci, F.; Vallés, R.; Mylonas, C.C. Reproductive development, GnRHa-induced spawning and egg quality of wild meagre (Argyrosomus regius) acclimatised to captivity. Fish Physiol. Biochem. 2012, 38, 1273–1286. [Google Scholar] [CrossRef] [PubMed]
- Mylonas, C.; Mitrizakis, N.; Castaldo, C.; Cerviño, C.; Papadaki, M.; Sigelaki, I. Reproduction of hatchery-produced meagre Argyrosomus regius in captivity II. Hormonal induction of spawning and monitoring of spawning kinetics, egg production and egg quality. Aquaculture 2013, 414–415, 318–327. [Google Scholar] [CrossRef]
- FAO. The State of World Fisheries and Aquaculture: 2012; Food and Agriculture Organization of the United Nations: Rome, Italy, 2012; p. 209. [Google Scholar]
- Estévez, A.; Duncan, N.; Campoverde, C.; Afonso, J.M.; Tsigenopoulos, C.; Mylonas, C.C.; Robaina, L.; Izquierdo, M.S.; Papandroulakis, N.; Andree, K.A.; et al. New advances in meagre (Argyrosomus regius) culture: Results of the EU Diversify project in 2014 and 2015. In Proceedings of the Aquaculture Europe 15, Rotterdam, The Neatherlands, 20–23 October 2015; pp. 24–25. [Google Scholar]
- Nóbrega, R.H.; Batlouni, S.R.; França, L.R. An overview of functional and stereological evaluation of spermatogenesis and germ cell transplantation in fish. Fish Physiol. Biochem. 2009, 35, 197–206. [Google Scholar] [CrossRef]
- Lacerda, S.M.S.N.; Aponte, P.M.; Costa, G.M.J.; Campos-Junior, P.H.A.; Segatelli, T.M.; Silva, M.A.; França, L.R. An overview of spermatogonial stem cell physiology, niche and transplantation in fish. Anim. Reprod. 2012, 9, 798–808. [Google Scholar]
- Lacerda, S.M.S.N.; Costa, G.M.J.; Campos-Junior, P.H.A.; Segatelli, T.M.; Yazawa, R.; Takeuchi, Y.; Morita, T.; Yoshizaki, G.; França, L.R. Germ cell transplantation as a potential biotechnological approach to fish reproduction. Fish Physiol. Biochem. 2013, 39, 3–11. [Google Scholar] [CrossRef] [PubMed]
- Yoshizaki, G.; Fujinuma, K.; Iwasaki, Y.; Okutsu, T.; Shikina, S.; Yazawa, R.; Takeuchi, Y. 2011. Spermatogonial transplantation in fish: A novel method for the preservation of genetic resources. Comp. Biochem. Physiol. Part D Genom. Proteom. 2011, 6, 55–61. [Google Scholar]
- Lacerda, S.M.S.N.; Costa, G.M.J.; de Araújo da Silva, M.; Campos-Junior, P.H.; Segatelli, T.M.; Peixoto, M.T.; Resende, R.R.; de França, L.R. Phenotypic characterization and in vitro propagation and transplantation of the Nile tilapia (Oreochromis niloticus) spermatogonial stem cells. Gen. Comp. Endocrinol. 2013, 192, 95–106. [Google Scholar] [CrossRef]
- Silva, M.A.; Costa, G.M.J.; Lacerda, S.M.S.N.; Brandão-Dias, P.F.P.; Kalapothakis, E.; Silva Júnior, A.F.; Alvarenga, E.R.; França, L.R. Successful xenogeneic germ cell transplantation from Jundia catfish (Rhamdia quelen) into adult Nile tilapia (Oreochromis niloticus) testes. Gen. Comp. Endocrinol. 2016, 230–231, 48–56. [Google Scholar] [CrossRef] [PubMed]
- Tonelli, F.M.P.; Lacerda, S.M.S.N.; Tonelli, F.C.P.; Costa, G.M.J.; de França, L.R.; Resende, R.R. Progress and biotechnological prospects in fish transgenesis. Biotechnol. Adv. 2017, 35, 832–844. [Google Scholar] [CrossRef]
- Yoshizaki, G.; Okutsu, T.; Morita, T.; Terasawa, M.; Yazawa, R.; Takeuchi, Y. Biological characteristics of fish germ cells and their application to developmental biotechnology. Reprod. Domest. Anim. 2012, 47, 187–192. [Google Scholar] [CrossRef]
- Okutsu, T.; Suzuki, K.; Takeuchi, Y.; Takeuchi, T.; Yoshizaki, G. Testicular germ cells can colonize sexually undifferentiated embryonic gonad and produce functional eggs in fish. Proc. Natl. Acad. Sci. USA 2006, 103, 2725–2729. [Google Scholar] [CrossRef]
- De Rooij, D.G.; Russell, L.D. All you wanted to know about spermatogonia but were afraid to ask. J. Androl. 2000, 21, 776–798. [Google Scholar]
- Yano, A.; von Schalburg, K.; Cooper, G.; Koop, B.F.; Yoshizaki, G. Identification of a molecular marker for type A spermatogonia by microarray analysis using gonadal cells from pvasa-GFP transgenic rainbow trout (Oncorhynchus mykiss). Mol. Reprod. Dev. 2009, 76, 246–254. [Google Scholar] [CrossRef]
- Nagasawa, K.; Miwa, M.; Yazawa, R.; Morita, T.; Takeuchi, Y.; Yoshizaki, G. Characterization of lymphocyte antigen 75 (Ly75/CD205) as a potential cell-surface marker on spermatogonia in Pacific bluefin tuna Thunnus orientalis. Fish. Sci. 2012, 78, 791–800. [Google Scholar] [CrossRef]
- Lacerda, S.M.S.N.; Costa, G.M.J.; de França, L.R. Biology and identity of fish spermatogonial stem cell. Gen. Comp. Endocrinol. 2014, 207, 56–65. [Google Scholar] [CrossRef] [PubMed]
- Corriero, A.; Acone, F.; Desantis, S.; Zubani, D.; Deflorio, M.; Ventriglia, G.; Bridges, C.R.; Labate, M.; Palmieri, G.; McAllister, B.G.; et al. Histological and immunohistochemical investigation on ovarian development and plasma estradiol levels in the swordfish (Xiphias gladius L.). Eur. J. Histochem. 2004, 48, 413–422. [Google Scholar] [CrossRef]
- Zupa, R.; Fauvel, C.; Mylonas, C.C.; Pousis, C.; Santamaria, N.; Papadaki, Μ.; Fakriadis, I.; Cicirelli, V.; Mangano, S.; Passantino, L.; et al. Rearing in captivity affects spermatogenesis and sperm quality in greater amberjack Seriola dumerili (Risso, 1810). J. Anim. Sci. 2017, 95, 4085–4100. [Google Scholar] [CrossRef]
- Zupa, R.; Rodríguez, C.; Mylonas, C.C.; Rosenfeld, H.; Fakriadis, I.; Papadaki, M.; Pérez, J.A.; Pousis, C.; Basilone, G.; Corriero, A. Comparative study of reproductive development in wild and captive-reared greater amberjack Seriola dumerili (Risso,1810). PLoS ONE 2017, 12, e0169645. [Google Scholar] [CrossRef] [PubMed]
- Xu, H.Y.; Li, M.Y.; Gui, J.F.; Hong, Y.H. Fish germ cells. Sci. China Life Sci. 2010, 53, 435–446. [Google Scholar] [CrossRef] [PubMed]
- Panda, R.P.; Barman, H.K.; Mohapatra, C. Isolation of enriched carp spermatogonial stem cells from Labeo rohita testis for in vitro propagation. Theriogenology 2011, 76, 241–251. [Google Scholar] [CrossRef]
- Martino, N.A.; Lange-Consiglio, A.; Cremonesi, F.; Valentini, L.; Caira, M.; Guaricci, A.C.; Ambruosi, B.; Sciorsci, R.L.; Lacalandra, G.M.; Reshkin, S.J.; et al. Functional expression of the extracellular calcium sensing receptor (CaSR) in equine umbilical cord matrix size-sieved stem cells. PLoS ONE 2011, 17, e17714. [Google Scholar] [CrossRef]
- Billard, R. Spermatogenesis and spermatology of some teleost fish species. Reprod. Nutr. Dev. 1986, 26, 877–920. [Google Scholar] [CrossRef]
- Chaves-Pozo, E.; Mulero, V.; Meseguer, J.; García-Ayala, A. An overview of cell renewal in the testis throughout the reproductive cycle of a seasonal breeding teleost, the Gilthead seabream (Sparus aurata L.). Biol. Reprod. 2005, 72, 593–601. [Google Scholar] [CrossRef]
- Schulz, R.W.; de França, L.R.; Lareyre, J.-J.; LeGac, F.; Chiarini-Garcia, H.; Nóbrega, R.H.; Miura, T. Spermatogenesis in fish. Gen. Comp. Endocrinol. 2010, 165, 390–411. [Google Scholar] [CrossRef]
- Niwa, H.; Miyazaki, J.; Smith, A.G. Quantitative expression of Oct-3/4 defines differentiation, dedifferentiation or self-renewal of ES cells. Nat. Genet. 2000, 24, 372–376. [Google Scholar] [CrossRef] [PubMed]
- Jerabek, S.; Merino, F.; Schöler, H.R.; Cojocaru, V. OCT4: Dynamic DNA binding pioneers stem cell pluripotency. BBA-Gene Regul. Mech. 2014, 1839, 138–154. [Google Scholar] [CrossRef] [PubMed]
- Gao, J.; Wang, X.; Zhang, Q. Evolutionary conservation of pou5f3 genomic organization and its dynamic distribution during embryogenesis and in adult gonads in Japanese flounder Paralichthys olivaceus. Int. J. Mol. Sci. 2017, 18, 231. [Google Scholar] [CrossRef] [PubMed]
- Sánchez-Sánchez, A.V.; Camp, E.; García-España, A.; Leal-Tassias, A.; Mullor, J.L. Medaka Oct4 is expressed during early embryo development, and in primordial germ cells and adult gonads. Dev. Dyn. 2010, 239, 672–679. [Google Scholar] [CrossRef]
- Wang, D.; Manali, D.; Wang, T.; Bhat, N.; Hong, N.; Li, Z.; Wang, L.; Yan, Y.; Liu, R.; Hong, Y. Identification of pluripotency genes in the fish medaka. Int. J. Biol. Sci. 2011, 7, 440–451. [Google Scholar] [CrossRef] [PubMed]
- Froschauer, A.; Khatun, M.M.; Sprott, D.; Franz, A.; Rieger, C.; Pfennig, F.; Gutzeit, H.O. Oct4-EGFP reporter gene expression marks the stem cells in embryonic development and in adult gonads of transgenic medaka. Mol. Reprod. Dev. 2013, 80, 48–58. [Google Scholar] [CrossRef]
- Bosseboeuf, A.; Gautier, A.; Auvray, P.; Mazan, S.; Sourdaine, P. Characterization of spermatogonial markers in the mature testis of the dogfish (Scyliorhinus canicula L.). Reproduction 2013, 147, 125–139. [Google Scholar] [CrossRef]
- Liang, L.; Diehl-Jones, W.; Lasko, P. Localization of vasa protein to the Drosophila pole plasm is independent binding and helicase activities. Development 1994, 120, 1201–1211. [Google Scholar]
- Yoon, C.; Kawakami, K.; Hopkins, N. Zebrafish vasa homologue RNA is localized to the cleavage planes of 2- and 4-cell-stage embryos and is expressed in the primordial germ cells. Development 1997, 124, 3157–3165. [Google Scholar]
- Olsen, L.C.; Aasland, R.; Fjose, A. A vasa-like gene in zebrafish identifies putative primordial germ cells. Mech. Dev. 1997, 66, 95–105. [Google Scholar] [CrossRef]
- Braat, A.K.; Zandbergen, T.; Van de Water, S.; Goos, H.J.T.; Zivkovic, D. Characterization of zebrafish primordial germ cells: Morphology and early distribution of vasa RNA. Dev. Dyn. 1999, 216, 153–167. [Google Scholar] [CrossRef]
- Braat, A.K.; van de Water, S.; Goos, H.; Bogerd, J.; Zivkovic, D. Vasa protein expression and localization in the zebrafish. Mech. Dev. 2000, 95, 271–274. [Google Scholar] [CrossRef]
- Krøvel, A.V.; Olsen, L.C. Expression of a vas:EGFP transgene in primordial germ cells of the zebrafish. Mec. Dev. 2002, 116, 141–150. [Google Scholar] [CrossRef]
- Yoshizaki, G.; Takeuchi, Y.; Sakatani, S.; Takeuchi, T. Germ cell-specific expression of green fluorescent protein in transgenic rainbow trout under control of the rainbow trout vasa-like gene promoter. Int. J. Dev. Biol. 2000, 44, 323–326. [Google Scholar]
- Takeuchi, Y.; Yoshizaki, G.; Kobayashi, T.; Takeuchi, T. Mass isolation of primordial germ cells from transgenic rainbow trout carrying the green fluorescent protein gene driven by the vasa gene promoter. Biol. Reprod. 2002, 67, 1087–1092. [Google Scholar] [CrossRef] [PubMed]
- Jin, Y.H.; Davie, A.; Migaud, H. Expression pattern of nanos, piwil, dnd, vasa and pum genes during ontogenic development in Nile tilapia Oreochromis niloticus. Gene 2019, 688, 62–70. [Google Scholar] [CrossRef] [PubMed]
- Rzepkowska, M.; Ostaszewska, T. Proliferating cell nuclear antigen and Vasa protein expression during gonadal development and sexual differentiation in cultured Siberian (Acipenser baerii Brandt, 1869) and Russian (Acipenser gueldenstaedtii Brandt & Ratzeburg, 1833) sturgeon. Rev. Aquac. 2014, 6, 75–88. [Google Scholar]
- Leal, M.C.; Cardoso, E.R.; Nóbrega, R.H.; Batlouni, S.R.; Bogerd, J.; França, L.R.; Schulz, R.W. Histological and stereological evaluation of zebrafish (Danio rerio) spermatogenesis with an emphasis on spermatogonial generations. Biol. Reprod. 2009, 81, 177–187. [Google Scholar] [CrossRef]
- Nóbrega, R.H.; Greebe, C.D.; van de Kant, H.; Bogerd, J.; de França, L.R.; Schulz, R.W. Spermatogonial stem cell niche and spermatogonial stem cell transplantation in zebrafish. PLoS ONE 2010, 5, e12808. [Google Scholar] [CrossRef]
- Yano, A.; Suzuki, K.; Yoshizaki, G. Flow-cytometric isolation of testicular germ cells from rainbow trout (Oncorhynchus mykiss) carrying the green fluorescent protein gene driven by trout vasa regulatory regions. Biol. Reprod. 2008, 78, 151–158. [Google Scholar] [CrossRef]
- Shikina, S.; Yoshizaki, G. Improved in vitro culture conditions to enhance the survival, mitotic activity, and transplantability of rainbow trout type A spermatogonia. Biol. Reprod. 2010, 83, 268–276. [Google Scholar] [CrossRef] [PubMed]
- Kobayashi, T.; Kajiura-Kobayashi, H.; Nagahama, Y. Differential expression of vasa homologue gene in the germ cells during oogenesis and spermatogenesis in a teleost fish, tilapia, Oreochromis niloticus. Mech. Dev. 2000, 99, 139–142. [Google Scholar] [CrossRef]
- Yuan, Y.; Li, M.; Hong, Y. Light and electronmicroscopic analyses of Vasa expression in adult germ cells of the fish medaka. Gene 2014, 545, 15–22. [Google Scholar] [CrossRef] [PubMed]
- Morita, T.; Kumakura, N.; Morishima, K.; Mitsuboshi, T.; Ishida, M.; Hara, T.; Kudo, S.; Miwa, M.; Ihara, S.; Higuchi, K.; et al. Production of donor-derived offspring by allogeneic transplantation of spermatogonia in the yellowtail (Seriola quinqueradiata). Biol. Reprod. 2012, 86, 1–11. [Google Scholar] [CrossRef] [PubMed]
- Vasconcelos, A.C.N.; Streit, D.P., Jr.; Octavera, A.; Miwa, M.; Kabeya, N.; Freitas Garcia, R.R.; Rotili, D.A.; Yoshizaki, G. Isolation and characterization of a germ cell marker in teleost fish Colossoma macropomum. Gene 2019, 683, 54–60. [Google Scholar] [CrossRef]
- Kise, K.; Yoshikawa, H.; Sato, M.; Tashiro, M.; Yazawa, R.; Nagasaka, Y.; Takeuchi, Y.; Yoshizaki, G. Flow-cytometric isolation and enrichment of teleost type A spermatogonia based on light-scattering properties. Biol. Reprod. 2012, 86, 1–12. [Google Scholar] [CrossRef]
- Tomac, A.C.; Grinberg, A.; Huang, S.P.; Nosrat, C.; Wang, Y.; Borlongan, C.; Lin, S.Z.; Chiang, Y.H.; Olson, L.; Westphal, H.; et al. Glial cell line-derived neurotrophic factor receptor alpha1 availability regulates glial cell line-derived neurotrophic factor signaling: Evidence from mice carrying one or two mutated alleles. Neuroscience 2000, 95, 1011–1023. [Google Scholar] [CrossRef]
- Bellaїche, J.; Goupil, A.-S.; Sambroni, E.; Lareyre, J.-J.; Le Gac, F. Gdnf-Gfra1 pathway is expressed in a spermatogenetic-dependent manner and is regulated by Fsh in a fish testis. Biol. Reprod. 2014, 91, 1–12. [Google Scholar]
- Hofmann, M.C. Gdnf signaling pathways within the mammalian spermatogonial stem cell niche. Mol. Cell. Endocrinol. 2008, 288, 95–103. [Google Scholar] [CrossRef]
- Sada, A.; Suzuki, A.; Suzuki, H.; Saga, Y. The RNA-binding protein NANOS2 is required to maintain murine spermatogonial stem cells. Science 2009, 325, 1394–1398. [Google Scholar] [CrossRef]
- Suzuki, H.; Sada, A.; Yoshida, S.; Saga, Y. The heterogeneity of spermatogonia is revealed by their topology and expression of marker proteins including the germ cell-specific proteins Nanos2 and Nanos3. Dev. Biol. 2009, 336, 222–231. [Google Scholar] [CrossRef] [PubMed]
- Sada, A.; Hasegawa, K.; Pin, P.H.; Saga, Y. NANOS2 acts downstream of glial cell line-derived neurotrophic factor signaling to suppress differentiation of spermatogonial stem cells. Stem Cells 2012, 30, 280–291. [Google Scholar] [CrossRef] [PubMed]
- Beer, R.L.; Draper, B.W. Nanos3 maintains germline stem cells and expression of the conserved germline stem cell gene nanos2 in the zebrafish ovary. Dev. Biol. 2012, 374, 308–331. [Google Scholar] [CrossRef] [PubMed]
- Bellaїche, J.; Lareyre, J.J.; Cauty, C.; Yano, A.; Allemand, I.; Le Gac, F. Spermatogonial stem cell quest: nanos2, marker of a subpopulation of undifferentiated A spermatogonia in trout testis. Biol. Reprod. 2014, 90, 1–14. [Google Scholar] [CrossRef]
- Corriero, A.; Desantis, S.; Bridges, C.R.; Kime, D.E.; Megalofonou, P.; Santamaria, N.; Cirillo, F.; Ventriglia, G.; Di Summa, A.; Deflorio, M.; et al. Germ cell proliferation and apoptosis during different phases of swordfish (Xiphias gladius L.) spermatogenetic cycle. J. Fish Biol. 2007, 70, 83–99. [Google Scholar] [CrossRef]
- Zupa, R.; Fauvel, C.; Mylonas, C.C.; Santamaria, N.; Valentini, L.; Pousis, C.; Papadaki, M.; Suquet, M.; de la Gándara, F.; Bello, G.; et al. Comparative analysis of male germ cell proliferation in wild and captive Atlantic bluefin tuna Thunnus thynnus. J. Appl. Ichthyol. 2013, 29, 71–81. [Google Scholar] [CrossRef]
- Sato, M.; Hayashi, M.; Yoshizaki, G. Stem cell activity of type A spermatogonia is seasonally regulated in rainbow trout. Biol. Reprod. 2017, 96, 1303–1316. [Google Scholar] [CrossRef]
- Ichida, K.; Kise, K.; Morita, T.; Yazawa, R.; Takeuchi, Y.; Yoshizaki, G. Flow-cytometric enrichment of Pacific bluefin tuna type A spermatogonia based on light-scattering properties. Theriogenology 2017, 101, 91–98. [Google Scholar] [CrossRef]
- Kawasaki, T.; Saito, K.; Sakai, C.; Shinya, M.; Sakai, N. Production of zebrafish offspring from cultured spermatogonial stem cells. Genes Cells 2012, 17, 316–325. [Google Scholar] [CrossRef]
- Lacerda, S.M.; Batlouni, S.R.; Costa, G.M.; Segatelli, T.M.; Quirino, B.R.; Queiroz, B.M.; Kalapothakis, E.; França, L.R. A new and fast technique to generate offspring after germ cells transplantation in adult fish: The Nile Tilapia (Oreochromis niloticus) model. PLoS ONE 2010, 5, e10740. [Google Scholar] [CrossRef]
- Marinović, Z.; Li, Q.; Lujić, J.; Iwasaki, Y.; Csenki, Z.; Urbányi, B.; Yoshizaki, G.; Horváth, Á. Preservation of zebrafish genetic resources through testis cryopreservation and spermatogonia transplantation. Sci. Rep. 2019, 9, 13861. [Google Scholar] [CrossRef] [PubMed]






© 2020 by the authors. Licensee MDPI, Basel, Switzerland. This article is an open access article distributed under the terms and conditions of the Creative Commons Attribution (CC BY) license (http://creativecommons.org/licenses/by/4.0/).
Share and Cite
Zupa, R.; Martino, N.A.; Marzano, G.; Dell’Aquila, M.E.; Corriero, A. Meagre Argyrosomus regius (Asso, 1801) Stem Spermatogonia: Histological Characterization, Immunostaining, In Vitro Proliferation, and Cryopreservation. Animals 2020, 10, 851. https://doi.org/10.3390/ani10050851
Zupa R, Martino NA, Marzano G, Dell’Aquila ME, Corriero A. Meagre Argyrosomus regius (Asso, 1801) Stem Spermatogonia: Histological Characterization, Immunostaining, In Vitro Proliferation, and Cryopreservation. Animals. 2020; 10(5):851. https://doi.org/10.3390/ani10050851
Chicago/Turabian StyleZupa, Rosa, Nicola A. Martino, Giuseppina Marzano, Maria E. Dell’Aquila, and Aldo Corriero. 2020. "Meagre Argyrosomus regius (Asso, 1801) Stem Spermatogonia: Histological Characterization, Immunostaining, In Vitro Proliferation, and Cryopreservation" Animals 10, no. 5: 851. https://doi.org/10.3390/ani10050851
APA StyleZupa, R., Martino, N. A., Marzano, G., Dell’Aquila, M. E., & Corriero, A. (2020). Meagre Argyrosomus regius (Asso, 1801) Stem Spermatogonia: Histological Characterization, Immunostaining, In Vitro Proliferation, and Cryopreservation. Animals, 10(5), 851. https://doi.org/10.3390/ani10050851

