Ameliorative Effect of Graviola (Annona muricata) on Mono Sodium Glutamate-Induced Hepatic Injury in Rats: Antioxidant, Apoptotic, Anti-inflammatory, Lipogenesis Markers, and Histopathological Studies
Simple Summary
Abstract
1. Introduction
2. Materials and Methods
2.1. Chemicals
2.2. Ethics Statement
2.3. Experimental Design
2.4. Sampling
2.5. Biochemical and Hematological Analysis
2.6. Analysis of the Antioxidant Status in Hepatic Tissues
2.7. Flowcytometric Analysis for B-Cell Lymphoma 2 (BCL-2), P53, BCL-2-like Protein 4 (Bax), and Caspase-3
2.8. Determination of Hepatic Reactive Oxygen Species (ROS) and Interleukin 6 (IL-6) Content Using ELISA
2.9. Gene Expression Analysis
2.10. Histopathological Studies
2.11. Statistical Analysis
3. Results
3.1. Body Weight
3.2. Hematological and Biochemical Findings
3.3. Hepatic Antioxidant Status
3.4. Effect of Graviola on MSG-Induced Liver Cell Apoptosis
3.5. Effect of Graviola on the Levels of ROS and IL-6
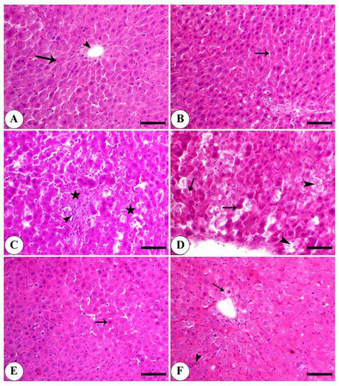
3.6. Effect of Graviola on the Histopathological Alteration Induced by MSG in Liver
3.7. Effect of Graviola on Silent Information Regulator Protein One (SIRT1), Fatty Acid Synthase (FAS), and Inducible Nitric Oxide Synthase (iNOS) Gene Expression
4. Discussion
5. Conclusions
Supplementary Materials
Author Contributions
Funding
Acknowledgments
Conflicts of Interest
Abbreviation
| ALB | Serum Albumin |
| BAX | BCL-2-like protein 4 |
| BCL2 | B-cell lymphoma 2 |
| CAT | Catalase |
| FAS | Fatty acid synthase |
| GAPDH | Glyceraldehyde-3-phosphate dehydrogenase |
| GSH | Reduced glutathione |
| GST | Glutathione S transferase |
| GGT | Serum gamma-glutamyl transferase |
| H2O2 | Hydrogen peroxide |
| HDL-C | High-density Lipoprotein |
| IL-6 | Interleukin 6 |
| NOS | Nitric oxide synthase |
| iNOS | inducible nitric oxide synthase |
| LDL-C | Low-Density Lipoprotein |
| MDA | Malondialdehyde |
| MSG | Monosodium glutamate |
| NO | Nitric oxide |
| ROS | Reactive oxygen species |
| SIRT1 | Silent information regulator protein one gene expression |
| SOD | Superoxide dismutase |
| TB | Serum total bilirubin |
| TP | Serum Total Protein |
| p53 | Tumor protein |
References
- Helal, E.G.E.; El-Sayed, R.A.A.; Hedeab, G.M. Effects of some food additives on some biochemical parameters in young male albino rats and the ameliorative role of royal jelly. Egypt. J. Hosp. Med. 2017, 67, 605–613. [Google Scholar] [CrossRef]
- Kaplita, P.V. Neurotoxic food additives. In Introduction to Neurobehavioral Toxicology: Food and Environment; CRC Taylor & Francis Group: London, UK, 1998; Volume 285. [Google Scholar]
- Shi, Z.; Taylor, A.W.; Yuan, B.; Zuo, H.; Wittert, G. Monosodium glutamate intake is inversely related to the risk of hyperglycemia. Clin. Nutr. 2014, 33, 823–828. [Google Scholar] [CrossRef]
- Abu-Taweel, G.M.; Zyadah, M.A.; Ajarem, J.S.; Ahmad, M. Cognitive and biochemical effects of monosodium glutamate and aspartame, administered individually and in combination in male albino mice. Neurotoxicol. Teratol. 2014, 42, 60–67. [Google Scholar] [CrossRef] [PubMed]
- Gobatto, C.; Mello, M.A.R.; Souza, C.T.; Ribeiro, I. The monosodium glutamate (MSG) obese rat as a model for the study of exercise in obesity. Res. Commun. Mol. Pathol. Pharmacol. 2002, 111, 89–101. [Google Scholar]
- Belluardo, N.; Mudò, G.; Bindoni, M. Effects of early destruction of the mouse arcuate nucleus by monosodium glutamate on age-dependent natural killer activity. Brain Res. 1990, 534, 225–233. [Google Scholar] [CrossRef]
- Walker, R.; Lupien, J.R. The safety evaluation of monosodium glutamate. J. Nutr. 2000, 130, 1049S–1052S. [Google Scholar] [CrossRef] [PubMed]
- Mondal, M.; Sarkar, K.; Nath, P.P.; Paul, G. Monosodium glutamate suppresses the female reproductive function by impairing the functions of ovary and uterus in rat. Environ. Toxicol. 2017, 33, 198–208. [Google Scholar] [CrossRef] [PubMed]
- Singh, K.; Ahluwalia, P. Effect of monosodium glutamate on lipid peroxidation and certain antioxidant enzymes in cardiac tissue of alcoholic adult male mice. J. Cardiovasc. Dis. Res. 2012, 3, 12–18. [Google Scholar] [CrossRef] [PubMed]
- Zanfirescu, A.; Ungurianu, A.; Tsatsakis, A.M.; Nițulescu, G.M.; Kouretas, D.; Veskoukis, A.; Tsoukalas, D.; Engin, A.B.; Aschner, M.; Margină, D. A review of the alleged health hazards of monosodium glutamate. Compr. Rev. Food Sci. Food Saf. 2019, 18, 1111–1134. [Google Scholar] [CrossRef]
- Gartner, L.P.; Hiatt, J.L. Color Atlas of Histology; Lippincott Williams & Wilkins: Philadelphia, PA, USA, 2012. [Google Scholar]
- Halliwell, B. Free radicals, antioxidants, and human disease: Curiosity, cause, osr consequence? Lancet 1994, 344, 721–724. [Google Scholar] [CrossRef]
- Samarghandian, S.; Borji, A.; Farahmand, S.K.; Afshari, R.; Davoodi, S. Crocus sativusL. (Saffron) Stigma aqueous extract induces apoptosis in alveolar human lung cancer cells through caspase-dependent pathways activation. BioMed Res. Int. 2013, 2013, 1–12. [Google Scholar] [CrossRef]
- Sovia, E.; Ratwita, W.; Wijayanti, D.; Novianty, D.R. Hypoglycemic and Hypolipidemic effects of Annona Muricata l. leaf ethanol extract. Int. J. Pharm. Pharm. Sci. 2017, 9, 170. [Google Scholar] [CrossRef]
- Aderibigbe, K.; Komolafe, O.; Adewole, O.; Obuotor, E.; Adenowo, T. Anti hyperglycemic activities of Annona muricata (Linn). Afr. J. Tradit. Complement. Altern. Med. 2010, 6, 62. [Google Scholar] [CrossRef]
- Chan, P.; Ah, R.; Mh, K. Anti-arthritic activities of Annona muricata L. leaves extract on complete Freund’s adjuvant (CFA)—Induced arthritis in rats. Planta Med. 2010, 76, P166. [Google Scholar] [CrossRef]
- Roslida, A.; Tay, C.; Zuraini, A.; Chan, P. Anti-inflammatory and anti-nociceptive activities of the ethanolic extract of Annona muricata leaf. J. Nat. Remedies 2010, 10, 97–104. [Google Scholar]
- Riza; Arthur, F.K.; Woode, E.; Terlabi, E.O.; Larbie, C. Bilirubin lowering potential of Annona muricata (Linn.) in temporary jaundiced rats. Am. J. Pharmacol. Toxicol. 2012, 7, 33–40. [Google Scholar] [CrossRef]
- Liao, J.-C.; Deng, J.-S.; Chiu, C.-S.; Huang, S.-S.; Hou, W.-C.; Lin, W.-C.; Huang, G.-J. Chemical compositions, anti-inflammatory, Antiproliferative and radical-scavenging activities of Actinidia callosa var. ephippioides. Am. J. Chin. Med. 2012, 40, 1047–1062. [Google Scholar] [CrossRef] [PubMed]
- Nwokocha, C.R.; Owu, D.U.; Gordon, A.; Thaxter, K.; McCalla, G.; Ozolua, R.I.; Young, L. Possible mechanisms of action of the hypotensive effect of Annona muricata (soursop) in normotensive Sprague–Dawley rats. Pharm. Biol. 2012, 50, 1436–1441. [Google Scholar] [CrossRef] [PubMed]
- Ezirim, A.; Okochi, V.; James, A.; Adebeshi, O.; Ogunnowo, S.; Odeghe, O. Induction of apoptosis in Myelogenous leukemic k562 cells by Ethanolic leaf extract of Annona Muricata L. Glob. J. Res. Med. Plants Indig. Med. 2013, 2, 142. [Google Scholar]
- Moghadamtousi, S.Z.; Rouhollahi, E.; Karimian, H.; Fadaeinasab, M.; Abdulla, M.A.; Kadir, H.A. Gastroprotective activity of Annona muricata leaves against ethanol-induced gastric injury in rats via Hsp70/Bax involvement. Drug Des. Dev. Ther. 2014, 8, 2099. [Google Scholar]
- Moghadamtousi, S.Z.; Fadaeinasab, M.; Nikzad, S.; Mohan, G.; Ali, H.M.; Kadir, H.A. Annona muricata (Annonaceae): A review of its traditional uses, isolated Acetogenins and biological activities. Int. J. Mol. Sci. 2015, 16, 15625–15658. [Google Scholar] [CrossRef] [PubMed]
- Anuragi, H.; Dhaduk, H.L.; Kumar, S.; Dhruve, J.J.; Parekh, M.J.; Sakure, A.A. Molecular diversity of Annona species and proximate fruit composition of selected genotypes. 3 Biotech 2016, 6, 204. [Google Scholar] [CrossRef] [PubMed]
- Adeyemi, D.; Komolafe, O.; Adewole, O.S.; Obuotor, E.M.; Abiodun, A.; Adenowo, T.K. Histomorphological and morphometric studies of the pancreatic islet cells of diabetic rats treated with extracts of Annona muricata. Folia Morphol. 2010, 69, 92–100. [Google Scholar]
- Hamid, R.A.; Foong, C.P.; Ahmad, Z.; Hussain, M.K. Antinociceptive and anti-ulcerogenic activities of the ethanolic extract of Annona muricata leaf. Rev. Bras. Farm. 2012, 22, 630–641. [Google Scholar] [CrossRef]
- Larbie, C.; Arthur, F.N.; Woode, E.; Terlabi, E. Evaluation of hepatoprotective effect of aqueous extract of Annona muricata (Linn.) leaf against carbon tetrachloride and acetaminophen-induced liver damage. J. Nat. Pharm. 2012, 3, 25. [Google Scholar] [CrossRef]
- Atta, M.S.; Almadaly, E.A.; El-Far, A.H.; Saleh, R.M.; Assar, D.H.; Al Jaouni, S.K.; Mousa, S.A. Thymoquinone defeats diabetes-induced testicular damage in rats targeting antioxidant, inflammatory and aromatase expression. Int. J. Mol. Sci. 2017, 18, 919. [Google Scholar] [CrossRef]
- Alsenosy, A.-W.A.; El-Far, A.H.; Sadek, K.M.; Ibrahim, S.A.; Atta, M.S.; Sayed-Ahmed, A.; Al Jaouni, S.K.; Mousa, S.A. Graviola (Annona muricata) attenuates behavioural alterations and testicular oxidative stress induced by streptozotocin in diabetic rats. PLoS ONE 2019, 14, e0222410. [Google Scholar] [CrossRef]
- Allain, C.C.; Poon, L.S.; Chan, C.S.G.; Richmond, W.; Fu, P.C. Enzymatic determination of total serum cholesterol. Clin. Chem. 1974, 20, 470–475. [Google Scholar] [CrossRef]
- Fossati, P.; Prencipe, L. Serum triglycerides determined colorimetrically with an enzyme that produces hydrogen peroxide. Clin. Chem. 1982, 28, 2077–2080. [Google Scholar] [CrossRef]
- Burstein, M.; Scholnick, H.R.; Morfin, R. Rapid method for the isolation of lipoproteins from human serum by precipitation with polyanions. J. Lipid Res. 1970, 11, 583–595. [Google Scholar]
- Ahmadi, S.A.; Boroumand, M.-A.; Gohari-Moghaddam, K.; Tajik, P.; Dibaj, S.-M. The impact of low serum triglyceride on LDL-cholesterol estimation. Arch. Iran. Med. 2008, 11, 318–321. [Google Scholar] [PubMed]
- Reitman, S.; Frankel, S. A colorimetric method for the determination of serum glutamic Oxalacetic and glutamic pyruvic transaminases. Am. J. Clin. Pathol. 1957, 28, 56–63. [Google Scholar] [CrossRef] [PubMed]
- Belfield, A.; Goldberg, D.M. Normal ranges and diagnostic value of serum 5′ nucleotidase and alkaline phosphatase activities in infancy. Arch. Dis. Child. 1971, 46, 842–846. [Google Scholar] [CrossRef] [PubMed]
- Szasz, G. A kinetic photometric method for serum γ-Glutamyl Transpeptidase. Clin. Chem. 1969, 15, 124–136. [Google Scholar] [CrossRef]
- Kaplan, S.L.; Mason, E.O., Jr.; Mason, S.K.; Catlin, F.I.; Lee, R.T.; Murphy, M.; Feigin, R.D. Prospective comparative trail of moxalactam versus ampicillin or chloramphenicol for treatment of Haemophilus influenzae type b meningitis in children. J. Pediatr. 1984, 104, 447–453. [Google Scholar]
- Gornall, A.G.; Bardawill, C.J.; David, M.M. Determination of serum proteins by means of the biuret reaction. J. Biol. Chem. 1949, 177, 751–766. [Google Scholar]
- Doumas, B.T.; Watson, W.A.; Biggs, H.G. Albumin standards and the measurement of serum albumin with bromcresol green. Clin. Chim. Acta 1971, 31, 87–96. [Google Scholar] [CrossRef]
- Ohkawa, H.; Ohishi, N.; Yagi, K. Assay for lipid peroxides in animal tissues by thiobarbituric acid reaction. Anal. Biochem. 1979, 95, 351–358. [Google Scholar] [CrossRef]
- Montgomery, H.; Dymock, J.F. Determination of Nitrite in Water; Royal Soc Chemistry Thomas Graham House: Cambs, UK, 1961; Volume 86, p. 414. [Google Scholar]
- Wolff, S.P. Ferrous ion oxidation in presence of ferric ion indicator xylenol orange for measurement of hydroperoxides. Methods Enzymol. 1994, 233, 182–189. [Google Scholar]
- Beutler, E.; Duron, O.; Kelly, B.M. Improved method for the determination of blood glutathione. J. Lab. Clin. Med. 1963, 61, 882–888. [Google Scholar]
- Habig, W.H.; Pabst, M.J.; Jakoby, W.B. Glutathione S-transferases. The first enzymatic step in mercapturic acid formation. J. Biol. Chem. 1974, 249, 7130–7139. [Google Scholar]
- Aebi, H. Catalase in vitro. Methods Enzymol. 1984, 105, 121–126. [Google Scholar] [CrossRef]
- Nishikimi, M.; Rao, N.A.; Yagi, K. The occurrence of superoxide anion in the reaction of reduced phenazine methosulfate and molecular oxygen. Biochem. Biophys. Res. Commun. 1972, 46, 849–854. [Google Scholar] [CrossRef]
- Siegel, E.B. The use of flow microfluorometry for pharmaceutical testing. Regul. Toxicol. Pharmacol. 1984, 4, 287–304. [Google Scholar] [CrossRef]
- Gong, J.; Qian, L.; Kong, X.; Yang, R.; Zhou, L.; Sheng, Y.; Sun, W.; Sun, F.; Huang, Y.; Cao, K. Cardiomyocyte apoptosis in the right auricle of patients with ostium secundum atrial septal defect diseases. Life Sci. 2007, 80, 1143–1151. [Google Scholar] [CrossRef] [PubMed]
- Juan, W.-S.; Lin, H.-W.; Chen, Y.-H.; Chen, H.-Y.; Hung, Y.-C.; Tai, S.-H.; Huang, S.-Y.; Chen, T.-Y.; Lee, E.-J. Optimal Percoll concentration facilitates flow cytometric analysis for annexin V/propidium iodine-stained ischemic brain tissues. Cytom. Part A 2012, 81, 400–408. [Google Scholar] [CrossRef]
- Friedman, R.B.; Anderson, R.; Entine, S.M.; Hirshberg, S.B. Effects of diseases on clinical laboratory tests. Clin. Chem. 1980, 26, 1D–2D. [Google Scholar] [CrossRef] [PubMed]
- Akieda-Asai, S.; Ida, T.; Miyazato, M.; Kangawa, K.; Date, Y. Interleukin-15 derived from Guanylin–GC-C-expressing macrophages inhibits fatty acid synthase in adipocytes. Peptides 2018, 99, 14–19. [Google Scholar] [CrossRef] [PubMed]
- Kang, L.; Dong, W.; Ruan, Y.; Zhang, R.; Wang, X. The molecular mechanism of sirt1 signaling pathway in brain injury of newborn rats exposed to Hyperoxia. Biol. Pharm. Bull. 2019, 42, 1854–1860. [Google Scholar] [CrossRef]
- Sartoretto, S.M.; Santos, F.F.; Costa, B.P.; Ceravolo, G.S.; Santos-Eichler, R.; Carvalho, M.H.C.; Fortes, Z.B.; Akamine, E.H. Involvement of inducible nitric oxide synthase and estrogen receptor ESR2 (ERβ) in the vascular dysfunction in female type 1 diabetic rats. Life Sci. 2019, 216, 279–286. [Google Scholar] [CrossRef]
- Wu, N.; Sarna, L.K.; Siow, Y.L.; Karmin, O. Regulation of hepatic cholesterol biosynthesis by berberine during hyperhomocysteinemia. Am. J. Physiol. Integr. Comp. Physiol. 2011, 300, R635–R643. [Google Scholar] [CrossRef]
- Drury, R.; Wallington, E.; Cancerson, R. Carlton’s Histopathological Techniques, 4th ed.; Oxford University Press: Oxford/London, UK, 1976. [Google Scholar]
- Inetianbor, J.; Yakubu, J.; Stephen, E. Effects of food additives and preservatives on man—A review. In Foods and Food Additives; Asian Journal of Science and Technology: Wukari, Taraba State, Nigeria, 2015; Volume 6, Issue 02, pp. 1118–1135. [Google Scholar]
- Alalwani, A.D. Monosodium glutamate induced testicular lesions in rats (histological study). Middle East Fertil. Soc. J. 2014, 19, 274–280. [Google Scholar] [CrossRef]
- Abd-Ella, E.; Mohamed, A. Attenuation of monosodium glutamate-induced hepatic and testicular toxicity in albino rats by Annona muricata Linn. (Annonaceae) leaf extract. J. Pharm. Biol. Sci. 2016, 11, 61–69. [Google Scholar]
- Moneim, W.M.A.; Yassa, H.; Makboul, R.A.; Mohamed, N.A. Monosodium glutamate affects cognitive functions in male albino rats. Egypt. J. Forensic Sci. 2018, 8, 9. [Google Scholar] [CrossRef]
- Husarova, V.; Ostatníková, D. Monosodium glutamate toxic effects and their implications for human intake: A review. JMED Res. 2013, 1–12. [Google Scholar] [CrossRef]
- Chokshi, D. Subchronic oral toxicity of a standardized white kidney bean (Phaseolus vulgaris) extract in rats. Food Chem. Toxicol. 2007, 45, 32–40. [Google Scholar] [CrossRef] [PubMed]
- Adewole, S.; Ojewole, J. Protective effects of Annona muricata linn. (Annonaceae) leaf aqueous extract on serum lipid profiles and oxidative stress in hepatocytes of streptozotocin-treated diabetic rats. Afr. J. Tradit. Complement. Altern. Med. 2010, 6, 6. [Google Scholar] [CrossRef] [PubMed]
- Arthur, F.; Woode, E.; Terlabi, E.; Larbie, C. Evaluation of acute and subchronic toxicity of Annona muricata (Linn.) aqueous extract in animals. Eur. J. Exp. Biol. 2011, 1, 115–124. [Google Scholar]
- Kamal, M.S.; Mohamed, E.T.; Mahdy, E.-S.M.; Singer, G.A.; Elkiki, S.M. Role of Annona muricata (L.) in oxidative stress and metabolic variations in diabetic and gamma-irradiated rats. Egypt. J. Radiat. Sci. Appl. 2017, 30, 73–83. [Google Scholar] [CrossRef]
- Usunobun, U.; Okolie, P.; Eze, G. Modulatory effect of ethanolic leaf extract of Annona muricata pre-treatment on liver damage induced by Dimethylnitrosamine (DMN) in rats. Br. J. Pharm. Res. 2015, 8, 1–9. [Google Scholar]
- Ibegbulem, C.O.; Chikezie, P.C.; Ukoha, A.I.; Opara, C.N. Effects of diet containing monosodium glutamate on organ weights, acute blood steroidal sex hormone levels, lipid profile and erythrocyte antioxidant enzymes activities of rats. J. Acute Dis. 2016, 5, 402–407. [Google Scholar] [CrossRef]
- Diab, A.E.-A.A.; Hamza, R.Z. Monosodium glutamate induced hepatotoxicity and the possible mitigating effect of vitamin C and Propolis. J. Adv. Med. Pharm. Sci. 2016, 7, 1–10. [Google Scholar] [CrossRef]
- Ortiz, G.; Bitzer-Quintero, O.; Zárate, C.B.; Rodríguez-Reynoso, S.; Larios-Arceo, F.; Velázquez-Brizuela, I.; Pacheco-Moisés, F.; Rosales-Corral, S. Monosodium glutamate-induced damage in liver and kidney: A morphological and biochemical approach. Biomed. Pharmacother. 2006, 60, 86–91. [Google Scholar] [CrossRef] [PubMed]
- Tawfik, M.S.; Al-Badr, N. Adverse effects of monosodium glutamate on liver and kidney functions in adult rats and potential protective effect of vitamins C and E. Food Nutr. Sci. 2012, 3, 651–659. [Google Scholar] [CrossRef]
- Palanivel, M.G.; Rajkapoor, B.; Kumar, R.S.; Einstein, J.W.; Kumar, E.P.; Kumar, M.R.; Kavitha, K.; Kumar, M.P.; Jayakar, B. Hepatoprotective and antioxidant effect of Pisonia aculeata L. against CCl4-induced hepatic damage in rats. Sci. Pharm. 2008, 76, 203–215. [Google Scholar] [CrossRef]
- Olakunle, S. Toxicity, anti-lipid peroxidation, Invitro and Invivo evaluation of antioxidant activity of Annona Muricata ethanol stem bark extract. Am. J. Life Sci. 2014, 2, 271. [Google Scholar] [CrossRef]
- Ashaolu, J.; Victor, U.; Okonoboh, A.B.; Ghazal, O.K.; Jimoh, A. Effect of monosodium glutamate on hematological parameters in wistar rats. Int. J. Med. Sci. 2011, 3, 219–222. [Google Scholar]
- Al-Mousawi, N.H. Study on effect of glutamate monosodium exposure on some blood and biochemical parameters in adult albino rats. J. Entomol. Zool. Stud. 2017, 5, 1029–1031. [Google Scholar]
- Abdel-Baky, E.S. Efficiency of Lepidium sativum seeds in modulation the alterations in hematological parameters induced by sodium nitrite in rats. Egypt. J. Hosp. Med. 2019, 74, 396–402. [Google Scholar]
- Tan, K.C.; Mackay, I.R.; Zimmet, P.; Hawkins, B.R.; Lam, K.S. Metabolic and immunologic features of Chinese patients with atypical diabetes mellitus. Diabetes Care 2000, 23, 335–338. [Google Scholar] [CrossRef]
- Syahida, M.; Maskat, M.Y.; Suri, R.; Mamot, S.; Hadijah, H. Soursop (Anona muricata L.): Blood hematology and serum biochemistry of sprague-dawley rats. Int. Food Res. J. 2012, 19, 955. [Google Scholar]
- Ejere, V.C.; Nnamonu, E.I.; Chukwuka, C.O.; Ugwu, G.C.; Ejim, A.O.; Asogwa, C.N. Effects of aqueous extract of Hibiscus sabdariffa calyces on haematological characteristics of Rattus novergicus. Anim. Res. Int. 2013, 10, 1809–1816. [Google Scholar]
- Hassan, Z.A. The effects of monosodium glutamate on Thymic and splenic immune functions and role of recovery (biochemical and histological study). J. Cytol. Histol. 2014, 5, 1. [Google Scholar] [CrossRef]
- Ibrahim, M.A.; Buhari, G.O.; Aliyu, A.B.; Yunusa, I.; Bisalla, M. Amelioration of monosodium glutamate-induced hepatotoxicity by vitamin C. Eur. J. Sci. Res. 2011, 60, 159–165. [Google Scholar]
- Sharma, A.; Wongkham, C.; Prasongwattana, V.; Boonnate, P.; Thanan, R.; Reungjui, S.; Cha’On, U. Proteomic analysis of kidney in rats chronically exposed to monosodium glutamate. PLoS ONE 2014, 9, e116233. [Google Scholar] [CrossRef] [PubMed]
- Calis, I.U.; Cosan, D.T.; Saydam, F.; Kolac, U.K.; Soyocak, A.; Kurt, H.; Gunes, H.V.; Sahinturk, V.; Mutlu, F.S.; Koroglu, Z.O.; et al. The effects of monosodium glutamate and tannic acid on adult rats. Iran. Red Crescent Med. J. 2016, 18, e37912. [Google Scholar] [CrossRef]
- Asl, N.A.; Banaei, S.; Alihemmati, A.; Baradaran, B.; Azimian, E. The anti-inflammatory effect of erythropoietin and melatonin on renal ischemia reperfusion injury in male rats. Adv. Pharm. Bull. 2013, 4, 49–54. [Google Scholar]
- Weinstein, D.M.; Mihm, M.J.; Bauer, J. Cardiac peroxynitrite formation and left ventricular dysfunction following doxorubicin treatment in mice. J. Pharmacol. Exp. Ther. 2000, 294, 396–401. [Google Scholar]
- George, V.C.; Kumar, D.R.N.; Suresh, P.K.; Kumar, R.A. Antioxidant, DNA protective efficacy and HPLC analysis of Annona muricata (soursop) extracts. J. Food Sci. Technol. 2014, 52, 2328–2335. [Google Scholar] [CrossRef]
- Baskar, R.; Rajeswari, V.; Kumar, T.S. In vitro antioxidant studies in leaves of Annona species. Indian J. Exp. Biol. 2007, 45, 480–485. [Google Scholar]
- Spitz, D.R.; Azzam, E.I.; Li, J.J.; Gius, D. Metabolic oxidation/reduction reactions and cellular responses to ionizing radiation: A unifying concept in stress response biology. Cancer Metastasis Rev. 2004, 23, 311–322. [Google Scholar] [CrossRef]
- Ekaluo, U.; Uno, U.; Edu, N.; Ekpo, P.; Etta, S. Effect of Trevo dietary supplement on caffeine induced oxidative stress in albino rat models. Pharm. Chem. J. 2016, 3, 92–97. [Google Scholar]
- Furuya, D.T.; Poletto, A.C.; Favaro, R.; Martins, J.O.; Zorn, T.M.; Machado, U.F. Anti-inflammatory effect of atorvastatin ameliorates insulin resistance in monosodium glutamate–treated obese mice. Metabolism 2010, 59, 395–399. [Google Scholar] [CrossRef] [PubMed]
- Laksmitawati, D.R.; Prasanti, A.P.; Larasinta, N.; Syauta, G.A.; Hilda, R.; Ramadaniati, H.U.; Widyastuti, A.; Karami, N.; Afni, M.; Rihibiha, D.D.; et al. Anti-inflammatory potential of Gandarusa (Gendarussa vulgaris Nees) and Soursoup (Annona muricata L) extracts in LPS stimulated-macrophage cell (RAW264.7). J. Nat. Remedies 2016, 16, 73–81. [Google Scholar] [CrossRef]
- Serafini, M.; Peluso, I.; Raguzzini, A. Flavonoids as anti-inflammatory agents. Proc. Nutr. Soc. 2010, 69, 273–278. [Google Scholar] [CrossRef]
- Foong, C.P.; Hamid, R.A. Evaluation of anti-inflammatory activities of ethanolic extract of Annona muricata leaves. Rev. Bras. Farm. 2012, 22, 1301–1307. [Google Scholar] [CrossRef]
- Sarhan, N.R. The ameliorating effect of sodium selenite on the histological changes and expression of caspase-3 in the testis of monosodium glutamate-treated rats: Light and electron microscopic study. J. Microsc. Ultrastruct. 2018, 6, 105–115. [Google Scholar] [CrossRef]
- Pavlović, V.; Cekić, S.; Kocić, G.; Sokolović, D.; Živković, V. Effect of monosodium glutamate on apoptosis and Bcl-2/Bax protein level in rat thymocyte culture. Physiol. Res. 2007, 56, 619–626. [Google Scholar]
- Kanki, R.; Nakamizo, T.; Yamashita, H.; Kihara, T.; Sawada, H.; Uemura, K.; Kawamata, J.; Shibasaki, H.; Akaike, A.; Shimohama, S. Effects of mitochondrial dysfunction on glutamate receptor-mediated neurotoxicity in cultured rat spinal motor neurons. Brain Res. 2004, 1015, 73–81. [Google Scholar] [CrossRef]
- Mansour, H.H.; Elkady, A.A.; Elrefaei, A.H.; Hafez, H.F. Radioprotective, Antioxidant and Antitumor Efficacy of Annona Muricata L. Leaf Extract. 2018. Available online: http://nopr.niscair.res.in/handle/123456789/44626 (accessed on 14 June 2018).
- Bhattacharya, T.; Bhakta, A.; Ghosh, S.K. Long term effect of monosodium glutamate in liver of albino mice after neo-natal exposure. Nepal. Med. Coll. J. NMCJ 2011, 13, 11–16. [Google Scholar]
- Mustafa, S.J.; Qader, G.I.; Mahmood, S.F. Effect of L-Glutamic acid on histology and functions of liver and kidney of rats and protective role of Zingibar Officionale. Diyala J. Med. 2016, 11, 51–59. [Google Scholar]
- Shrestha, S.; Jha, C.; Das, B.L.; Yadav, P. Effects of Monosodium Glutamate on Liver Tissue of Wistar Albino Rats-A Histological and Biochemical Study. Available online: http://journal.npaa.in/admin/ufile/1523795067IJTA461.pdf (accessed on 17 April 2018).
- Gill, S.; Pulido, O. Glutamate Receptors in Peripheral Tissue: Excitatory Transmission outside the CNS; Springer: Berlin/Heidelberg, Germany, 2005. [Google Scholar]
- Cheville, N.F. Ultrastructural Pathology: The Comparative Cellular Basis of Disease; Wiley-Blackwell: Ames, IA, USA, 2009; 973p, ISBN 978-0-8138-0330-2. [Google Scholar]
- Faleye, O.; Dada, E. Effects of ethanol extract of unripe Annona Muricata (L.) fruits on the Haematological and Histopathological parameters in Swiss albino rats infected with salmonella Typhi. Br. J. Pharm. Res. 2016, 9, 1–13. [Google Scholar] [CrossRef]
- Gavamukulya, Y.; Abou-Elella, F.; Wamunyokoli, F.; Ael-Shemy, H. Phytochemical screening, anti-oxidant activity and in vitro anticancer potential of ethanolic and water leaves extracts of Annona muricata (Graviola). Asian Pac. J. Trop. Med. 2014, 7, S355–S363. [Google Scholar] [CrossRef]
- Wu, T.-Y.; Yang, I.-H.; Tsai, Y.-T.; Wang, J.-Y.; Shiurba, R.; Hsieh, T.-J.; Chang, F.-R.; Chang, W.-C. Isodesacetyluvaricin, an Annonaceous Acetogenin, specifically inhibits gene expression of cyclooxygenase. J. Nat. Prod. 2012, 75, 572–576. [Google Scholar] [CrossRef]
- Xie, J.; Wan, J.; Jiang, R.; Lu, H.; Peng, X.; Zhang, L. Upregulation of Sirt1 in carbon-tetrachloride–induced acute liver injury. Drug Chem. Toxicol. 2012, 36, 277–283. [Google Scholar] [CrossRef]
- Michan, S.; Sinclair, D. Sirtuins in mammals: Insights into their biological function. Biochem. J. 2007, 404, 1–13. [Google Scholar] [CrossRef]
- Shimomura, I.; Shimano, H.; Korn, B.S.; Bashmakov, Y.; Horton, J.D. Nuclear sterol regulatory element-binding proteins activate genes responsible for the entire program of unsaturated fatty acid biosynthesis in transgenic mouse liver. J. Biol. Chem. 1998, 273, 35299–35306. [Google Scholar] [CrossRef] [PubMed]
- Villagarcía, H.G.; Sabugo, V.; Castro, M.C.; Schinella, G.; Castrogiovanni, D.; Spinedi, E.; Massa, M.L.; Francini, F. Chronic glucocorticoid-rich milieu and liver dysfunction. Int. J. Endocrinol. 2016, 2016, 1–12. [Google Scholar] [CrossRef]
- Li, R.; Xu, L.; Liang, T.; Li, Y.; Zhang, S.; Duan, X. Puerarin mediates hepatoprotection against CCl4-induced hepatic fibrosis rats through attenuation of inflammation response and amelioration of metabolic function. Food Chem. Toxicol. 2013, 52, 69–75. [Google Scholar] [CrossRef]
- Pritchard, M.T.; Cohen, J.I.; Roychowdhury, S.; Pratt, B.T.; Nagy, L.E. Early growth response-1 attenuates liver injury and promotes hepatoprotection after carbon tetrachloride exposure in mice. J. Hepatol. 2010, 53, 655–662. [Google Scholar] [CrossRef]







| Genes | 5′–3′ Primer Sequence | Accession Number | References |
|---|---|---|---|
| FAS | F: CCTGGACAACATGGTAGCTGC | NM 017332.1 | [51] |
| R: GCAGTGCCTTCCTTGAGAACAG | |||
| SIRT1 | F: TGA CTT CAG ATC AAG AGA TGG TAT TTA TG | NM 001372090 | [52] |
| R: TGG CTT GAG GAT CTG GGA GAT | |||
| iNOS | F: GGATATCTTCGGTGCGGTCTT | S71597 | [53] |
| R: CTGTAACTCTTCTGGGTGTCAGA | |||
| GAPDH | F: TCAAGAAGGTGGTGAAGCAG | NM 017008.4 | [54] |
| R: AGGTGGAAGAATGGGAGTTG |
| Parameters | Control | Graviola | MSG | Graviola + MSG | MSG + Graviola |
|---|---|---|---|---|---|
| Hb(g/L) | 154.6 ± 1.35 a | 159.2 ± 0.45 a | 85 ± 0.64 c | 115.6 ± 0.78 b | 105.4 ± 0.62 b |
| RBCs (1012/L) | 9.22 ± 0.56 a | 9.27 ± 0.49 a | 4.06 ± 0.26 c | 6.00 ± 0.30 b | 5.93 ± 0.46 b |
| PCV(L/L) | 0.510 ± 0.01 a | 0.525 ± 0.01 a | 0.280 ± 0.01 c | 0.381 ± 0.06 b | 0.347 ± 0.07 b |
| WBCs (109/L) | 9.50 ± 0.31 a | 10.20 ± 0.33 a | 5.45 ± 0.32 c | 7.25 ± 0.31 b | 7.07 ± 0.34 b |
| Lymphocyte% | 73.12 ± 1.15 a | 74.20±1.10 a | 64.92 ± 1.19 c | 67.00 ± 1.7 b | 68.00 ± 1.7 b |
| Neutrophil% | 18.0 ± 1.3 a | 18.1 ± 1.9 a | 7.0 ± 1.1 c | 16.4 ± 1.8 b | 16.9 ± 1.1 b |
| Platelets (109/L) | 755.9 ± 35.38 a | 764.3 ± 40.90 a | 269.6 ± 25.23 c | 458.4 ± 46.40 b | 443.3 ± 44.20 b |
| Parameters | Control | Graviola | MSG | Graviola + MSG | MSG + Graviola |
|---|---|---|---|---|---|
| Total cholesterol (mmol/L) | 2.8 ± 0.06 c | 2.76 ± 0.01 c | 3.25 ± 0.1 a | 3.06 ± 0.1 b | 3.09 ± 0.2 b |
| Triglycerides (mmol/L) | 1.10 ± 0.03 c | 1.07 ± 0.02 c | 1.46 ± 0.04 a | 1.29 ± 0.01 b | 1.32 ± 0.02 b |
| LDL-C (mmol/L) | 0.85 ± 0.01 c | 0.87 ± 0.02 c | 1.88 ± 0.07 a | 1.46 ± 0.06 b | 1.43 ± 0.0.04 b |
| HDL-C (mmol/L) | 1.30 ± 0.06 a | 1.32 ± 0.01 a | 0.796 ± 0.02 c | 1.15 ± 0.02 b | 1.097 ± 0.02b |
| ALT (µkat/L) | 0.51 ± 0.008 c | 0.48 ± 0.01 c | 0.99 ± 0.03 a | 0.73 ± 0.01 b | 0.75 ± 0.01 b |
| AST (µkat/L) | 0.46 ± 0.008 c | 0.49 ± 0.006 c | 1.1 ± 0.08 a | 0.72 ± 0.01 b | 0.79 ± 0.009 b |
| ALP (µkat/L) | 2.19 ± 0.14 c | 2.16 ± 0.02 c | 2.83 ± 0.02 a | 2.50 ± 0.06 b | 2.48 ± 0.02 b |
| GGT (µkat/L) | 0.336 ± 0.005 c | 0.334 ± 0.008 c | 0.475 ± 0.003 a | 0.416 ± 0.004 b | 0.423 ± 0.004 b |
| TB (µmol/L) | 7.70 ± 0.21 c | 6.84 ± 0.18 c | 21.72 ± 0.79 a | 13.0 ± 0.64 b | 13.17 ± 0.26 b |
| Albumin (g/L) | 38 ± 0.64 a | 38.5 ± 0.87 a | 20 ± 0.85 c | 32 ± 1.25 b | 30 ± 1.31 a,b |
| Total proteins (g/L) | 125.90 ± 0.65 a | 127.90 ± 0.86 a | 84.2 ± 1.49 c | 103 ± 2.17 a,b | 100.00 ± 2.10 a,b |
| Parameters | Control | Graviola | MSG | Graviola + MSG | MSG + Graviola |
|---|---|---|---|---|---|
| MDA (nmol/g) | 685.8 ± 36.30 c | 678.2 ± 36.31 c | 1216 ± 18.01 a | 800.4 ± 18.88 b | 815.8 ± 18.80 b |
| NO (μ mol/g) | 18.23 ± 0.52 c | 18.11 ± 0.50 c | 35.48 ± 0.54 a | 25.00 ± 0.50 b | 26.10 ± 0.55 b |
| H2O2 (mM/g) | 1.32 ± 0.10 c | 1.28 ± 0.12 c | 4.83 ± 0.15 a | 3.30c ± 0.10 b | 3.37 ± 0.11 b |
| SOD (U/g) | 92.09 ± 2.77 a | 95.31 ± 2.40 a | 59.28 ± 2.56 c | 79.48 ± 2.66 b | 75.84 ± 2.54 b |
| CAT (U/g) | 189.5 ± 4.40 a | 192.0 ± 2.89 a | 128.5 ± 4.06 d | 170.6 ± 4.66 c | 165.4 ± 4.54 b |
| GST (U/g) | 5.40 ± 0.57 a | 5.87 ± 0.57 a | 1.25 ± 0.22 c | 3.24 ± 0.40 b | 3.06 ± 0.24 b |
| GSH (mmol/g) | 5.50 ± 0.24 a | 5.54 ± 0.29 a | 2.86 ± 0.17 c | 4.20 ± 0.16 b | 4.00 ± 0.15 b |
Publisher’s Note: MDPI stays neutral with regard to jurisdictional claims in published maps and institutional affiliations. |
© 2020 by the authors. Licensee MDPI, Basel, Switzerland. This article is an open access article distributed under the terms and conditions of the Creative Commons Attribution (CC BY) license (http://creativecommons.org/licenses/by/4.0/).
Share and Cite
Shukry, M.; El-Shehawi, A.M.; El-Kholy, W.M.; Elsisy, R.A.; Hamoda, H.S.; Tohamy, H.G.; Abumandour, M.M.; Farrag, F.A. Ameliorative Effect of Graviola (Annona muricata) on Mono Sodium Glutamate-Induced Hepatic Injury in Rats: Antioxidant, Apoptotic, Anti-inflammatory, Lipogenesis Markers, and Histopathological Studies. Animals 2020, 10, 1996. https://doi.org/10.3390/ani10111996
Shukry M, El-Shehawi AM, El-Kholy WM, Elsisy RA, Hamoda HS, Tohamy HG, Abumandour MM, Farrag FA. Ameliorative Effect of Graviola (Annona muricata) on Mono Sodium Glutamate-Induced Hepatic Injury in Rats: Antioxidant, Apoptotic, Anti-inflammatory, Lipogenesis Markers, and Histopathological Studies. Animals. 2020; 10(11):1996. https://doi.org/10.3390/ani10111996
Chicago/Turabian StyleShukry, Mustafa, Ahmed M. El-Shehawi, Wafaa M. El-Kholy, Rasha A. Elsisy, Hazem S. Hamoda, Hossam G. Tohamy, Mohamed M. Abumandour, and Foad A. Farrag. 2020. "Ameliorative Effect of Graviola (Annona muricata) on Mono Sodium Glutamate-Induced Hepatic Injury in Rats: Antioxidant, Apoptotic, Anti-inflammatory, Lipogenesis Markers, and Histopathological Studies" Animals 10, no. 11: 1996. https://doi.org/10.3390/ani10111996
APA StyleShukry, M., El-Shehawi, A. M., El-Kholy, W. M., Elsisy, R. A., Hamoda, H. S., Tohamy, H. G., Abumandour, M. M., & Farrag, F. A. (2020). Ameliorative Effect of Graviola (Annona muricata) on Mono Sodium Glutamate-Induced Hepatic Injury in Rats: Antioxidant, Apoptotic, Anti-inflammatory, Lipogenesis Markers, and Histopathological Studies. Animals, 10(11), 1996. https://doi.org/10.3390/ani10111996

